Wound Healing Activity of Elaeis guineensis Leaf Extract Ointment
Abstract
:1. Introduction
2. Results and Discussion
2.1. Wound Closure Rate
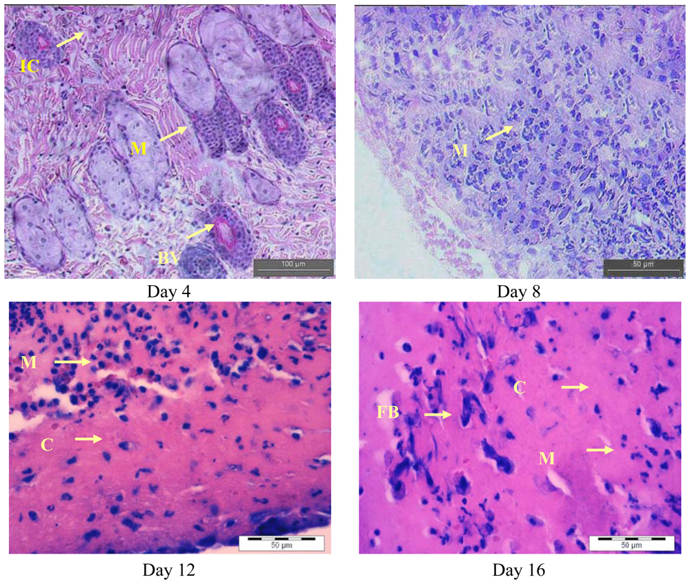
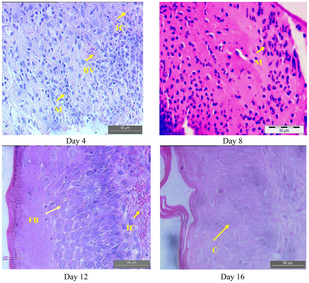
2.2. Histopathology Analysis
2.3. Gelatin Zymography
3. Experimental Section
3.1. Sample Collection
3.2. Extraction Procedure
3.3. Wound Healing Activity
3.3.1. Crude Extract Formulation
3.3.2. Animal
3.3.3. In Vivo Wound Healing Activity
3.3.4. Collecting of Granulation Tissue
3.3.5. Histological Analysis
3.3.6. Gelatin Zymography
3.3.7. Statistical Analysis
4. Conclusions
References
- Malaysian Palm Oil Board (MPOB), Oil palm Statistics, 21st ed; MPOB: Kuala Lumpur, Malaysia, 2001; Volume 21, p. 131.
- Eng, K.T.; Ooi, K.I.; Rosma, A.; Mohd Azemi, M.N. Potential of Oil Fronds (OPF) as Cultivation Media for Yeast Growth. In Lignocellulose: Materials for the Future from the Tropics; Tanaka, R., Cheng, L.H., Eds.; Japan International Research Center for Agricultural Sciences: Tsukuba, Japan, 2005; pp. 134–138. [Google Scholar]
- Abdul Khalil, H.P.S.; Rozman, H.D. Gentian dan Komposit Lignoselulosik; Universiti Sains Malaysi Publisher: Penang, Malaysia, 2004. [Google Scholar]
- Ministry of Agriculture (MAO). Hectareage of Industrial Crops by Types, Malaysia. 2006. Available online: http://www.doa.gov.my/main.php?Content=article&ArticleID=5 (accessed on 28 November 2011).
- Sreekala, M.S.; Kumaran, M.G.; Thomas, S. Oil palm fiber: Morphology, chemicals composition, surface modification and mechanical properties. J. Appl. Polym. Sci 1997, 66, 821–835. [Google Scholar]
- Reddy, N.; Yang, Y. Biofibers from agricultural byproducts for industrial application. Trends Biotechnol 2005, 23, 22–27. [Google Scholar]
- Irvin, T.T. Wound healing. Arch. Emerg. Med 1985, 2, 3–10. [Google Scholar]
- Sasidharan, S.; Sharmini, R.; Vijayarathna, S.; Yoga Latha, L.; Vijenthi, R.; Amala, R.; Amutha, S. Antioxidant and hepatoprotective activity of methanolic extracts of Elaeis guineensis Jacq leaf. Pharmacologyonline 2009, 3, 84–90. [Google Scholar]
- Manjunatha, B.K.; Vidya, S.M.; Rashmi, K.V.; Mankani, K.L.; Shilpa, H.J.; Singh, S.J. Evaluation of wound-healing potency of Vernonia arborea Hk. Indian J. Pharmacol 2005, 37, 223–226. [Google Scholar]
- Chong, K.H.; Zuraini, Z.; Sasidharan, S.; Devi, P.V.K.; Latha, L.Y.; Ramanathan, S. Antimicrobial of Elaeis guineensis leaf. Pharmacologyonline 2008, 3, 379–386. [Google Scholar]
- Sasidharan, S.; Nilawatyi, R.; Xavier, R.; Latha, L.Y.; Amala, R. Wound healing potential of elaeis guineensis jacq leaves in an infected albino rat model. Molecules 2010, 15, 3186–3199. [Google Scholar]
- Rajoo, A.; Ramanathan, S.; Sasidharan, S.; Mansor, S.M. Standardization of Elaeis guineensis with respect to authenticity, assay and chemical constituent analysis. Afr. J. Biotechnol 2010, 9, 7544–7549. [Google Scholar]
- Syahmi, A.R.M.; Vijayarathna, S.; Sasidharan, S.; Latha, L.Y.; Kwan, Y.P.; Lau, Y.L.; Shin, L.N.; Chen, Y. Acute oral toxicity and brine shrimp lethality of Elaeis guineensis jacq., (oil palm leaf) methanol extract. Molecules 2010, 15, 8111–8121. [Google Scholar]
- Menke, N.B.; Cain, J.W.; Reynolds, A.; Chan, D.M.; Segal, R.A.; Witten, T.M.; Bonchev, D.G.; Diegelmann, R.F.; Ward, K.R. Virginia Commonwealth University Reanimation, Engineering Shock Center. The Wound Healing Group. An in silico approach to the analysis of acute wound healing. Wound Repair Regen 2010, 18, 105–113. [Google Scholar]
- Sauermann, K.; Jaspers, S.; Koop, U. Topically applied vitamin C increases the density of dermalpapillae in aged human skin. BMC Dermatol 2004, 4. [Google Scholar] [CrossRef]
- Rose, W.M.; Creighton, M.O.; Stewart-DeHaan, P.J.; Sanwal, M.; Hirst, M.; Trevithick, J.R. Modelling cortical cataractogenesis: 3. In vivo effects of vitamin E on cataractogenesis in diabetic rats. Can. J. Ophthalmol 1982, 17, 61–66. [Google Scholar]
- Nayak, B.S.; Kanhai, J.; Milne, D.M.; Swanston, W.H.; Mayers, S.; Eversley, M.; Rao, A.V. Investigation of the wound healing activity of Carapa guianensis L. (Meliaceae) bark extract in rats using excision, incision, and dead space wound models. J. Med. Food 2010, 13, 1141–1146. [Google Scholar]
- Nayak, S.B.; Pinto Pereira, L.; Maharaj, D. Wound healing activity of Carica papaya L. in experimentally induced diabetic rats. Indian J. Exp. Biol 2007, 45, 739–743. [Google Scholar]
- Nayak, B.S.; Mohan, K. Influence of ethanolic extract of Jasminum grandflorum Linn flower on wound healing activity in rats. Indian J. Physiol. Pharmacol 2007, 51, 189–194. [Google Scholar]
- Thiem, B.; Goslinska, O. Antimicrobial activity of Rubus chamaemorus leaves. Fitoterapia 2004, 75, 93–95. [Google Scholar]
- Chithra, P.; Sajithlal, G.B.; Chandrahasan, G. Influence of Aloe vera on collagen turnover in healing of dermal wounds in rats. Indian J. Exp. Biol 1998, 36, 896–901. [Google Scholar]
- David, G.; Armstrong, D.P.M.; Edward, B.; Jude, M.D. The role of matrix metalloproteinases in wound healing. J. Am. Podiatr. Med. Assoc 2002, 92, 12–18. [Google Scholar]
- Salo, T.; Mäkelä, M.; Kylmäniemi, M.; Autio-Harmainen, H.; Larjava, H. Expression of matrix metalloproteinase-2 and -9 during early human wound healing. Lab. Invest 1994, 70, 176–182. [Google Scholar]
- Carter, S.L. Cooper and Gunn’s Dispensing for Pharmaceutical Students; CBS Publisher and Distributors: Delhi, India, 1997; pp. 199–200. [Google Scholar]
- Mcmanus, J.G.A.; Mowry, R.W. Staining Methods: Histological and Histochemical; Harper and Row: New York, NY, USA, 1984. [Google Scholar]
- Senthil-Kumar, M.; Sripriya, R.; Vijaya Raghavan, H.; Sehgal, P.K. Wound healing potential of Cassia fistula on infected albino rat model. J. Surg. Res 2006, 131, 283–289. [Google Scholar]






© 2012 by the authors; licensee Molecular Diversity Preservation International, Basel, Switzerland. This article is an open-access article distributed under the terms and conditions of the Creative Commons Attribution license (http://creativecommons.org/licenses/by/3.0/).
Share and Cite
Sasidharan, S.; Logeswaran, S.; Latha, L.Y. Wound Healing Activity of Elaeis guineensis Leaf Extract Ointment. Int. J. Mol. Sci. 2012, 13, 336-347. https://doi.org/10.3390/ijms13010336
Sasidharan S, Logeswaran S, Latha LY. Wound Healing Activity of Elaeis guineensis Leaf Extract Ointment. International Journal of Molecular Sciences. 2012; 13(1):336-347. https://doi.org/10.3390/ijms13010336
Chicago/Turabian StyleSasidharan, Sreenivasan, Selvarasoo Logeswaran, and Lachimanan Yoga Latha. 2012. "Wound Healing Activity of Elaeis guineensis Leaf Extract Ointment" International Journal of Molecular Sciences 13, no. 1: 336-347. https://doi.org/10.3390/ijms13010336
APA StyleSasidharan, S., Logeswaran, S., & Latha, L. Y. (2012). Wound Healing Activity of Elaeis guineensis Leaf Extract Ointment. International Journal of Molecular Sciences, 13(1), 336-347. https://doi.org/10.3390/ijms13010336
