Direct Purification of Pectinase from Mango (Mangifera Indica Cv. Chokanan) Peel Using a PEG/Salt-Based Aqueous Two Phase System
Abstract
:1. Introduction
2. Result and Discussion
2.1. Effect of PEG Molecular Weight on Partitioning of Pectinase
2.2. Effect of Potassium Phosphate Concentration on Partitioning of Pectinase
2.3. Effect of System pH on Partitioning of Pectinase
2.4. Effect of NaCl on Partitioning of Pectinase
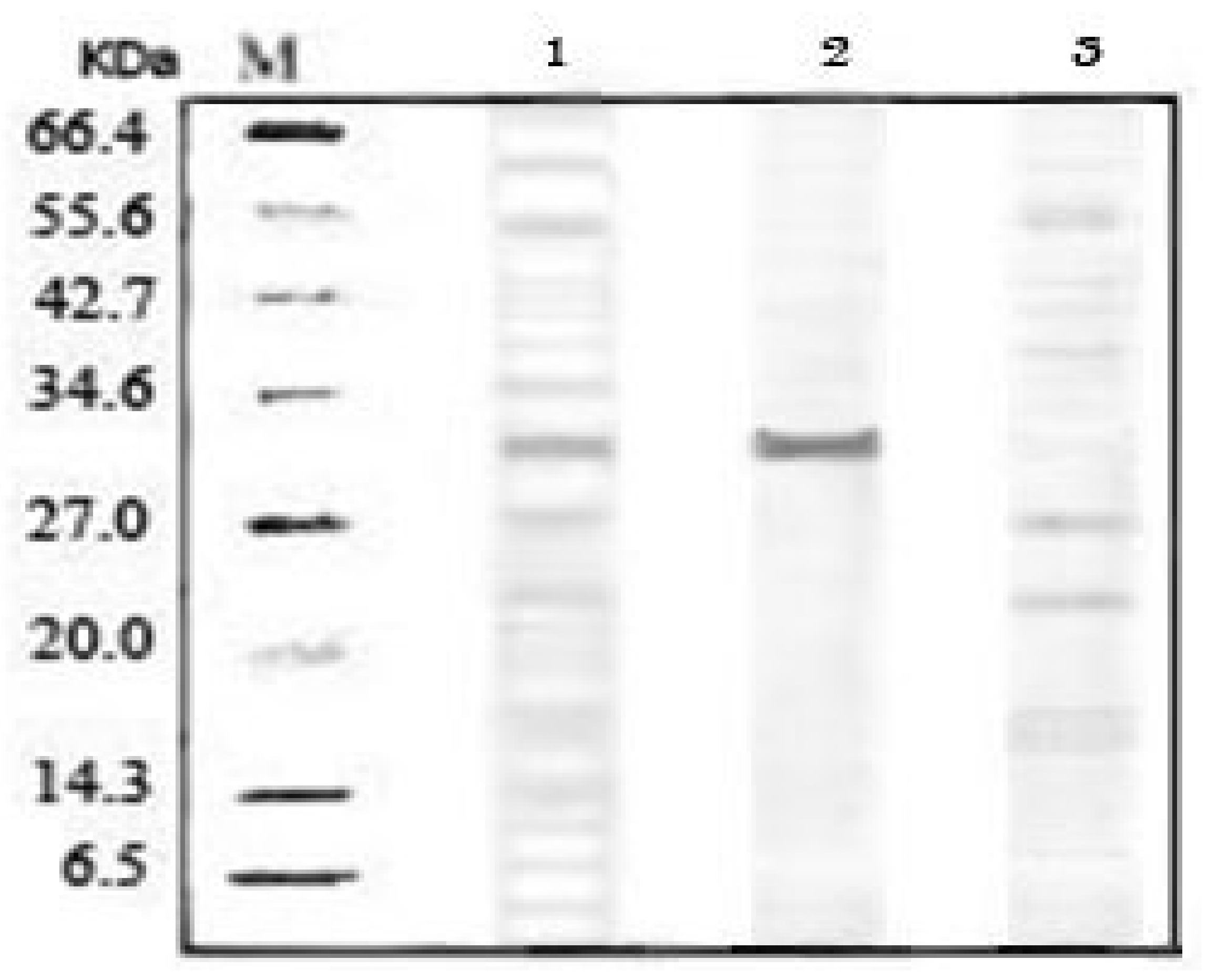
2.5. SDS-PAGE Analysis of Purified Pectinase from ATPS
3. Experimental Section
3.1. Materials
3.2. Chemicals
3.3. Enzyme Extraction
3.4. Aqueous Two Phase System
3.5. Pectinas Activity Assay
3.6. Protein Concentration Determination
3.7. Determination of Partition Coefficient, Purification Factor and Yield of Enzyme
3.8. Sodium Dodecyl Sulfate-Polyacrylamide Gel Electrophoresis (SDS-PAGE)
4. Conclusion
References
- Ajila, C.M.; Naidu, K.A.; Bhat, S.G.; Prasada Rao, U.J.S. Bioactive compounds and antioxidant potential of mango peel extract. Food Chem. 2007, 105, 982–988. [Google Scholar] [CrossRef]
- Negro, C.; Tommasi, L.; Miceli, A. Phenolic compounds and antioxidant activity from red grape mare extract. Bioresource Technol. 2003, 87, 41–44. [Google Scholar] [CrossRef]
- Loelillet, D. The European mango market: A promising tropical fruit. Fruits 1994, 49, 332–334. [Google Scholar]
- Kashyap, D.R.; Vohra, P.K.; Chopra, S.; Tewari, R. Applications of pectinases in the commercial sector: A review. Bioresource Technol. 2002, 77, 215–227. [Google Scholar] [CrossRef]
- Gummadi, S.N.; Panda, T. Purification and biochemical properties of microbial pectinases—A review. Process Biochem. 2003, 38, 987–996. [Google Scholar] [CrossRef]
- Cavalitto, S.F.; Arcas, J.A.; Hours, R.A. Pectinase production profile of Aspergillus foedidus in solid state cultures at different acidities. Biotechnol. Lett. 1996, 18, 251–256. [Google Scholar] [CrossRef]
- Fukal, L.; Kas, J. Chromatographic separation of papain evaluated by immunochemical methods. J. Chromatogr. A. 1984, 285, 365–372. [Google Scholar] [CrossRef]
- Zhang, M.; Hub, P.; Liang, Q.; Yang, H.; Liu, Q.; Wang, Y.; Luoa, G. Direct process integration of extraction and expanded bed adsorption in the recovery of crocetin derivatives from Fructus gardenia. J. Chromatogr. B 2007, 858, 220–226. [Google Scholar] [CrossRef] [PubMed]
- Hatti-Kaul, R. Methods in Biotechnology: Aqueous Two-Phase Systems: Methods and Protocols; Humana Press: New Jersey, NJ, USA, 1999. [Google Scholar]
- Rahimpour, F.; Feyzi, F.; Machsoudi, S.; Hatti-Kaulr, R. Purification of plasmid DNA with polymer-salt aqueous two-phase system: Optimization using response surface methodology. Biotechnol. Bioeng. 2006, 95, 627–637. [Google Scholar] [CrossRef] [PubMed]
- Grossman, P.D.; Gainer, J.L. Correlation of aqueous two-phase partitioning of proteins with changes in free volume. Biotechnology 1987, 4, 6–11. [Google Scholar] [CrossRef]
- Forciniti, D.; Hall, C.K. Protein partitioning at the isoelectric point: Influence of polymer molecular weight and concentration and protein size. Biotechnol. Bioeng. 1991, 38, 986–994. [Google Scholar] [CrossRef] [PubMed]
- Babu, B.R.; Rastogi, N.K.; Raghavarao, K.S.M.S. Liquid-liquid extraction of bromelain and polyphenol oxidase using aqueous two-phase system. Chem. Eng. Process. 2008, 47, 83–89. [Google Scholar] [CrossRef]
- Chien, W.O.; Beng, T.T.; Slew, L.H.; Arbakariya, A.; Shing, W.H.; Hohn, C.W.L.; Ruey, S.J.; Siti Mazlina, M.K.; Tau Chaun, L. Direct purification of Burkholderia pseudomallei lipase from fermentation broth using aqueous two-phase system. Biotechnol. Bioprocess Eng. 2009, 14, S811–S818. [Google Scholar]
- Huddleston, J.G.; Ottomar, K.W.; Ngonyani, D.M.; Lyddiatt, A. Influence of system and molecular parameters upon fractionation of intracellular proteins from Saccharomyces by aqueous two-phase partition. Microb. Technol. 1991, 13, 24–32. [Google Scholar] [CrossRef]
- Albertsson, P.A. Partition of Cell Particles and Macromolecules; Wiley: New York, NY, USA, 1987. [Google Scholar]
- Forciniti, D. Preparation of Aqueous Two-Phase Systems: Aqueous Two-Phase Systems-Methods and Protocols; Humana Press: Totawa, NJ, USA, 2000. [Google Scholar]
- Laemmli, U.K. Cleavage of structural proteins during the assembly of the head of bacteriophage T4. Nature 1970, 227, 680–685. [Google Scholar] [CrossRef] [PubMed]
- Amid, M.; Chin Ping, T.; Mirhosseini, H.; Norashikin, A.; Tau Chuan, L. Optimisation of serine protease extraction from mango peel (Mangifera Indica Cv. Chokanan). Food Chem. 2011, 124, 666–671. [Google Scholar] [CrossRef]
- Miller, G.L. Use of dinitrosalicyclic acid reagent for determination of reducing sugar. J. Anal. Chem. 1959, 31, 426–428. [Google Scholar] [CrossRef]
- Bradford, M.M. A rapid and sensitive methods for the quantitation of microgram quantities of protein utilizing the principle of protein-dye binding. J. Anal. Biochem. 1976, 72, 248–254. [Google Scholar] [CrossRef]
- Ngo, L.T.A.; Pham, T.L.; Le, V.V.M. Purification of Endopolygalacturonase from submerged culture of Aspergillus awamori L1 using a two-step procedure: Enzyme precipitation and gel filtration. Int. Food Res. J. 2008, 15, 135–140. [Google Scholar]
- Mirjana, G.A. Partitioning of pectinase produced by Polyporus squamosus in aqueous two-phase system polyethylene glycol 4000/crude dextran at different initial pH values. Carbohydr. Polym. 2004, 56, 295–300. [Google Scholar]
- Blum, H.; Beier, H.; Gross, H.J. Improved silver staining of plant-proteins, RNA and DNA in polyacrylamide gels. Electrophoresis 1987, 8, 93–99. [Google Scholar] [CrossRef]
Sample Availability: Samples of the compounds mango juice are available from the authors. |
) and yield (
) were calculated using Equation 1 and Equation 4, respectively.
) and yield (
) were calculated using Equation 1 and Equation 4, respectively.
) and purification factor (
) were calculated as a function of the NaCl concentration.
) and purification factor (
) were calculated as a function of the NaCl concentration.

| PEG Type a | Partition coefficient (K) | Yield (%) | Purification factor (PFT) |
|---|---|---|---|
| 2,000 | 4.3 | 48.3 | 6.3 |
| 4,000 | 5.8 | 69.2 | 8.7 |
| 6,000 | 3.2 | 22.4 | 5.2 |
| 8,000 | 1.4 | 33.5 | 3.5 |
| 10,000 | 0.9 | 12.5 | 4.8 |
| Concentration (%, w/w) a | Partition coefficient (K) | Yield (Y%) | Purification factor (PFT) |
|---|---|---|---|
| PEG 4000 (14%)/ Potassium phosphate (12–20%,w/w) | |||
| 12 | 2.2 | 67.3 | 6.9 |
| 14 | 8.3 | 73.8 | 9.4 |
| 16 | 5.7 | 54.2 | 7.2 |
| 18 | 2.1 | 33.2 | 4.4 |
| 20 | 0.5 | 23.4 | 3.2 |
© 2011 by the authors; licensee MDPI, Basel, Switzerland. This article is an open access article distributed under the terms and conditions of the Creative Commons Attribution license (http://creativecommons.org/licenses/by/3.0/).
Share and Cite
Mehrnoush, A.; Sarker, M.Z.I.; Mustafa, S.; Yazid, A.M.M. Direct Purification of Pectinase from Mango (Mangifera Indica Cv. Chokanan) Peel Using a PEG/Salt-Based Aqueous Two Phase System. Molecules 2011, 16, 8419-8427. https://doi.org/10.3390/molecules16108419
Mehrnoush A, Sarker MZI, Mustafa S, Yazid AMM. Direct Purification of Pectinase from Mango (Mangifera Indica Cv. Chokanan) Peel Using a PEG/Salt-Based Aqueous Two Phase System. Molecules. 2011; 16(10):8419-8427. https://doi.org/10.3390/molecules16108419
Chicago/Turabian StyleMehrnoush, Amid, Md. Zaidul Islam Sarker, Shuhaimi Mustafa, and Abdul Manap Mohd Yazid. 2011. "Direct Purification of Pectinase from Mango (Mangifera Indica Cv. Chokanan) Peel Using a PEG/Salt-Based Aqueous Two Phase System" Molecules 16, no. 10: 8419-8427. https://doi.org/10.3390/molecules16108419
APA StyleMehrnoush, A., Sarker, M. Z. I., Mustafa, S., & Yazid, A. M. M. (2011). Direct Purification of Pectinase from Mango (Mangifera Indica Cv. Chokanan) Peel Using a PEG/Salt-Based Aqueous Two Phase System. Molecules, 16(10), 8419-8427. https://doi.org/10.3390/molecules16108419
