Ulnar Wrist Pain Revisited: Ultrasound Diagnosis and Guided Injection for Triangular Fibrocartilage Complex Injuries
Abstract
1. Introduction
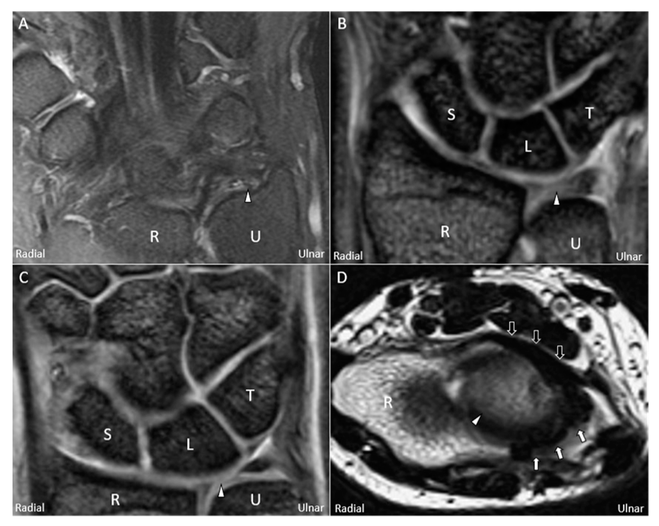
2. Anatomy
3. Mechanism of Injury
4. Physical Examination
5. Imaging (Other than US)
6. US Imaging
6.1. Scanning Protocol
6.1.1. Long-Axis View
6.1.2. Short-Axis View
7. Pathologies—Classification
8. Treatment
8.1. General Principles
8.2. US-Guided Injection
9. Conclusions
Supplementary Materials
Author Contributions
Funding
Conflicts of Interest
References
- Palmer, A.K. Triangular fibrocartilage complex lesions: A classification. J. Hand Surg. 1989, 14, 594–606. [Google Scholar] [CrossRef]
- Pesquer, L.; Scepi, M.; Bihan, M.; Vialle, R.; Richer, J.P.; Roumy, J.; Tasu, J.P. Normal ultrasound anatomy of the triangular fibrocartilage of the wrist: A study on cadavers and on healthy subjects. J. Clin. Ultrasound 2009, 37, 194–198. [Google Scholar] [CrossRef] [PubMed]
- Hung, C.-Y.; Chang, K.-V.; Özçakar, L. Dynamic and Doppler Ultrasound Imaging for the Diagnosis of Triangular Fibrocartilage Complex Injury and Ulnocarpal Wrist Instability. Am. J. Phys. Med. Rehabil. 2016, 95, e111–e112. [Google Scholar] [CrossRef] [PubMed]
- Yoshioka, H.; Burns, J.E. Magnetic resonance imaging of triangular fibrocartilage. J. Magn. Reson. Imaging 2012, 35, 764–778. [Google Scholar] [CrossRef] [PubMed]
- Chen, I.J.; Wang, M.T.; Chang, K.V.; Liang, H.W. Ultrasonographic images of the hand in a case with early eosinophilic fasciitis. J. Med. Ultrason. 2018, 45, 641–645. [Google Scholar] [CrossRef] [PubMed]
- Chang, K.-V.; Wu, W.-T.; Han, D.-S.; Özçakar, L. Static and dynamic shoulder imaging to predict initial effectiveness and recurrence after ultrasound-guided subacromial corticosteroid injections. Arch. Phys. Med. Rehabil. 2017, 98, 1984–1994. [Google Scholar] [CrossRef] [PubMed]
- Wu, W.-T.; Chang, K.-V.; Mezian, K.; Naňka, O.; Lin, C.-P.; Özçakar, L. Basis of shoulder nerve entrapment syndrome: An ultrasonographic study exploring factors influencing cross-sectional area of the suprascapular nerve. Front. Neurol. 2018, 9, 902. [Google Scholar] [CrossRef] [PubMed]
- Özçakar, L.; Kara, M.; Chang, K.; Ulaşlı, A.; Hung, C.; Tekin, L.; Wu, C.; Tok, F.; Hsiao, M.; Akkaya, N. EURO-MUSCULUS/USPRM Basic Scanning Protocols for wrist and hand. Eur. J. Phys. Rehabil. Med. 2015, 51, 479–484. [Google Scholar]
- Wu, C.-H.; Chang, K.-V.; Özçakar, L.; Hsiao, M.-Y.; Hung, C.-Y.; Shyu, S.-G.; Wang, T.-G.; Chen, W.-S. Sonographic tracking of the upper limb peripheral nerves: A pictorial essay and video demonstration. Am. J. Phys. Med. Rehabil. 2015, 94, 740–747. [Google Scholar] [CrossRef] [PubMed]
- Milz, S.; Sicking, B.; Sprecher, C.; Putz, R.; Benjamin, M. An immunohistochemical study of the triangular fibrocartilage complex of the wrist: Regional variations in cartilage phenotype. J. Anat. 2007, 211, 1–7. [Google Scholar] [CrossRef]
- Berger, R.A. The anatomy of the ligaments of the wrist and distal radioulnar joints. Clin. Orthop. Relat. Res. 2001, 383, 32–40. [Google Scholar] [CrossRef] [PubMed]
- Haugstvedt, J.-R.; Berger, R.A.; Nakamura, T.; Neale, P.; Berglund, L.; An, K.-N. Relative contributions of the ulnar attachments of the triangular fibrocartilage complex to the dynamic stability of the distal radioulnar joint. J. Hand Surg. 2006, 31, 445–451. [Google Scholar] [CrossRef] [PubMed]
- Shin, W.-J.; Kim, J.-P.; Yang, H.-M.; Lee, E.-Y.; Go, J.-H.; Heo, K. Topographical anatomy of the distal ulna attachment of the radioulnar ligament. J. Hand Surg. 2017, 42, 517–524. [Google Scholar] [CrossRef] [PubMed]
- Zhan, H.-L.; Li, W.-T.; Bai, R.-J.; Wang, N.-L.; Qian, Z.-H.; Ye, W.; Yin, Y.-M. High-resolution 3T magnetic resonance imaging of the triangular fibrocartilage complex in Chinese wrists: Correlation with cross-sectional anatomy. Chin. Med. J. 2017, 130, 817. [Google Scholar] [CrossRef] [PubMed]
- Kleinman, W.B. Stability of the distal radioulna joint: Biomechanics, pathophysiology, physical diagnosis, and restoration of function what we have learned in 25 years. J. Hand Surg. 2007, 32, 1086–1106. [Google Scholar] [CrossRef] [PubMed]
- Moritomo, H.; Murase, T.; Arimitsu, S.; Oka, K.; Yoshikawa, H.; Sugamoto, K. Change in the length of the ulnocarpal ligaments during radiocarpal motion: Possible impact on triangular fibrocartilage complex foveal tears. J. Hand Surg. 2008, 33, 1278–1286. [Google Scholar] [CrossRef] [PubMed]
- Taljanovic, M.S.; Goldberg, M.R.; Sheppard, J.E.; Rogers, L.F. US of the intrinsic and extrinsic wrist ligaments and triangular fibrocartilage complex—Normal anatomy and imaging technique. Radiographics 2011, 31, 79–80. [Google Scholar] [CrossRef]
- Watanabe, A.; Souza, F.; Vezeridis, P.S.; Blazar, P.; Yoshioka, H. Ulnar-sided wrist pain. II. Clinical imaging and treatment. Skelet. Radiol. 2010, 39, 837–857. [Google Scholar] [CrossRef]
- Kataoka, T.; Moritomo, H.; Omokawa, S.; Iida, A.; Murase, T.; Sugamoto, K. Ulnar variance: Its relationship to ulnar foveal morphology and forearm kinematics. J. Hand Surg. 2012, 37, 729–735. [Google Scholar] [CrossRef]
- Palmer, A.K.; Werner, F.W.; Glisson, R.R.; Murphy, D.J. Partial excision of the triangular fibrocartilage complex. J. Hand Surg. 1988, 13, 391–394. [Google Scholar] [CrossRef]
- Tay, S.C.; Tomita, K.; Berger, R.A. The “ulnar fovea sign” for defining ulnar wrist pain: An analysis of sensitivity and specificity. J. Hand Surg. 2007, 32, 438–444. [Google Scholar] [CrossRef] [PubMed]
- Nakamura, R.; Horii, E.; Imaeda, T.; Nakao, E.; Kato, H.; Watanabe, K. The ulnocarpal stress test in the diagnosis of ulnar-sided wrist pain. J. Hand Surg. 1997, 22, 719–723. [Google Scholar] [CrossRef]
- Berger, R.A.; Dobyns, J.H. Physical examination and provocative maneuvers of the wrist. In Imaging of the Hand; Saunders: Philadelphia, PA, USA, 1996. [Google Scholar]
- Moriya, T.; Aoki, M.; Iba, K.; Ozasa, Y.; Wada, T.; Yamashita, T. Effect of triangular ligament tears on distal radioulnar joint instability and evaluation of three clinical tests: A biomechanical study. J. Hand Surg. (Eur. Vol.) 2009, 34, 219–223. [Google Scholar] [CrossRef] [PubMed]
- Chung, K.C.; Zimmerman, N.B.; Travis, M.T. Wrist arthrography versus arthroscopy: A comparative study of 150 cases. J. Hand Surg. 1996, 21, 591–594. [Google Scholar] [CrossRef]
- Zanetti, M.; Saupe, N.; Nagy, L. Role of MR imaging in chronic wrist pain. Eur. Radiol. 2007, 17, 927–938. [Google Scholar] [CrossRef] [PubMed]
- Bayoumy, M.A.; Elkady, H.A.; Said, H.G.; El-Sayed, A.; Saleh, W.R. Arthroscopic grading of common wrist disorders and its role in management. J. Orthop. 2015, 12, S244–S250. [Google Scholar] [CrossRef] [PubMed][Green Version]
- Taljanovic, M.S.; Sheppard, J.E.; Jones, M.D.; Switlick, D.N.; Hunter, T.B.; Rogers, L.F. Sonography and sonoarthrography of the scapholunate and lunotriquetral ligaments and triangular fibrocartilage disk: Initial experience and correlation with arthrography and magnetic resonance arthrography. J. Ultrasound Med. 2008, 27, 179–191. [Google Scholar] [CrossRef] [PubMed]
- von Borstel, D.; Wang, M.; Small, K.; Nozaki, T.; Yoshioka, H. High-resolution 3T MR imaging of the triangular fibrocartilage complex. Magn. Reson. Med. Sci. 2016. [Google Scholar] [CrossRef]
- Nakamura, T.; Yabe, Y. Histological anatomy of the triangular fibrocartilage complex of the human wrist. Ann. Anat.-Anat. Anz. 2000, 182, 567–572. [Google Scholar] [CrossRef]
- Moritomo, H.; Arimitsu, S. Tenodesis of the Ulnotriquetrum Ligament to the Fovea for a Triangular Fibrocartilage Complex Tear. Tech. Hand Up. Extrem. Surg. 2018, 22, 141–145. [Google Scholar] [CrossRef]
- Palmer, A.K.; Werner, F.W. The triangular fibrocartilage complex of the wrist—Anatomy and function. J. Hand Surg. 1981, 6, 153–162. [Google Scholar] [CrossRef]
- McAdams, T.R.; Swan, J.; Yao, J. Arthroscopic treatment of triangular fibrocartilage wrist injuries in the athlete. Am. J. Sports Med. 2009, 37, 291–297. [Google Scholar] [CrossRef] [PubMed]
- Atzei, A.; Luchetti, R. Foveal TFCC tear classification and treatment. Hand Clin. 2011, 27, 263–272. [Google Scholar] [CrossRef] [PubMed]
- Ishii, S.; Palmer, A.K.; Werner, F.W.; Short, W.H.; Fortino, M.D. An anatomic study of the ligamentous structure of the triangular fibrocartilage complex. J. Hand Surg. 1998, 23, 977–985. [Google Scholar] [CrossRef]
- Zhan, H.; Zhang, H.; Bai, R.; Qian, Z.; Liu, Y.; Zhang, H.; Yin, Y. High-resolution 3-T MRI of the triangular fibrocartilage complex in the wrist: Injury pattern and MR features. Skelet. Radiol. 2017, 46, 1695–1706. [Google Scholar] [CrossRef] [PubMed]
- Nakamura, T. Anatomical reattachment of the TFCC to the ulnar fovea using an ECU half-slip. J. Wrist Surg. 2015, 4, 15–21. [Google Scholar] [CrossRef] [PubMed]
- Chang, K.-V.; Mezian, K.; Naňka, O.; Wu, W.-T.; Lou, Y.-M.; Wang, J.-C.; Martinoli, C.; Özçakar, L. Ultrasound imaging for the cutaneous nerves of the extremities and relevant entrapment syndromes: From anatomy to clinical implications. J. Clin. Med. 2018, 7, 457. [Google Scholar] [CrossRef] [PubMed]
- Mikić, Z. The blood supply of the human distal radioulnar joint and the microvasculature of its articular disk. Clin. Orthop. Relat. Res. 1992, 275, 19–28. [Google Scholar] [CrossRef]
- Unglaub, F.; Kroeber, M.W.; Thomas, S.B.; Wolf, M.B.; Arkudas, A.; Dragu, A.; Horch, R.E. Incidence and distribution of blood vessels in punch biopsies of Palmer 1A disc lesions in the wrist. Arch. Orthop. Trauma Surg. 2009, 129, 631–634. [Google Scholar] [CrossRef]

















| Class 1 (Traumatic) |
|---|
| (A). Central tear of the articular disc |
| (B). Ulnar attachment tear of the articular disc |
| (C). Radial attachment tear of the articular disc |
| (D). Horizontal tear of the articular disc |
| (E). Injury of the triangular fibrocartilage component other than the articular disc, i.e., meniscus homologue; radioulnar, lunotriquetral, and ulnar collateral ligaments; or extensor carpi ulnaris tendon subsheath |
| Class 2 (Degenerative) |
| (A). Articular disc wear |
| (B). Class 2A plus chondromalacia of the lunate or the ulna |
| (C). Class 2B plus articular disc rupture |
| (D). Class 2C plus lunotriquetral ligament rupture and cartilage abnormalities |
| (E). Class 2D plus ulnocarpal/radioulnar arthritis |
© 2019 by the authors. Licensee MDPI, Basel, Switzerland. This article is an open access article distributed under the terms and conditions of the Creative Commons Attribution (CC BY) license (http://creativecommons.org/licenses/by/4.0/).
Share and Cite
Wu, W.-T.; Chang, K.-V.; Mezian, K.; Naňka, O.; Yang, Y.-C.; Hsu, Y.-C.; Hsu, P.-C.; Özçakar, L. Ulnar Wrist Pain Revisited: Ultrasound Diagnosis and Guided Injection for Triangular Fibrocartilage Complex Injuries. J. Clin. Med. 2019, 8, 1540. https://doi.org/10.3390/jcm8101540
Wu W-T, Chang K-V, Mezian K, Naňka O, Yang Y-C, Hsu Y-C, Hsu P-C, Özçakar L. Ulnar Wrist Pain Revisited: Ultrasound Diagnosis and Guided Injection for Triangular Fibrocartilage Complex Injuries. Journal of Clinical Medicine. 2019; 8(10):1540. https://doi.org/10.3390/jcm8101540
Chicago/Turabian StyleWu, Wei-Ting, Ke-Vin Chang, Kamal Mezian, Ondřej Naňka, Yi-Chiang Yang, Yu-Chun Hsu, Po-Cheng Hsu, and Levent Özçakar. 2019. "Ulnar Wrist Pain Revisited: Ultrasound Diagnosis and Guided Injection for Triangular Fibrocartilage Complex Injuries" Journal of Clinical Medicine 8, no. 10: 1540. https://doi.org/10.3390/jcm8101540
APA StyleWu, W.-T., Chang, K.-V., Mezian, K., Naňka, O., Yang, Y.-C., Hsu, Y.-C., Hsu, P.-C., & Özçakar, L. (2019). Ulnar Wrist Pain Revisited: Ultrasound Diagnosis and Guided Injection for Triangular Fibrocartilage Complex Injuries. Journal of Clinical Medicine, 8(10), 1540. https://doi.org/10.3390/jcm8101540

