Usefulness of Imaging Techniques in the Diagnosis of Selected Injuries and Lesions of the Canine Tarsus. A Review
Abstract
Simple Summary
Abstract
1. Introduction
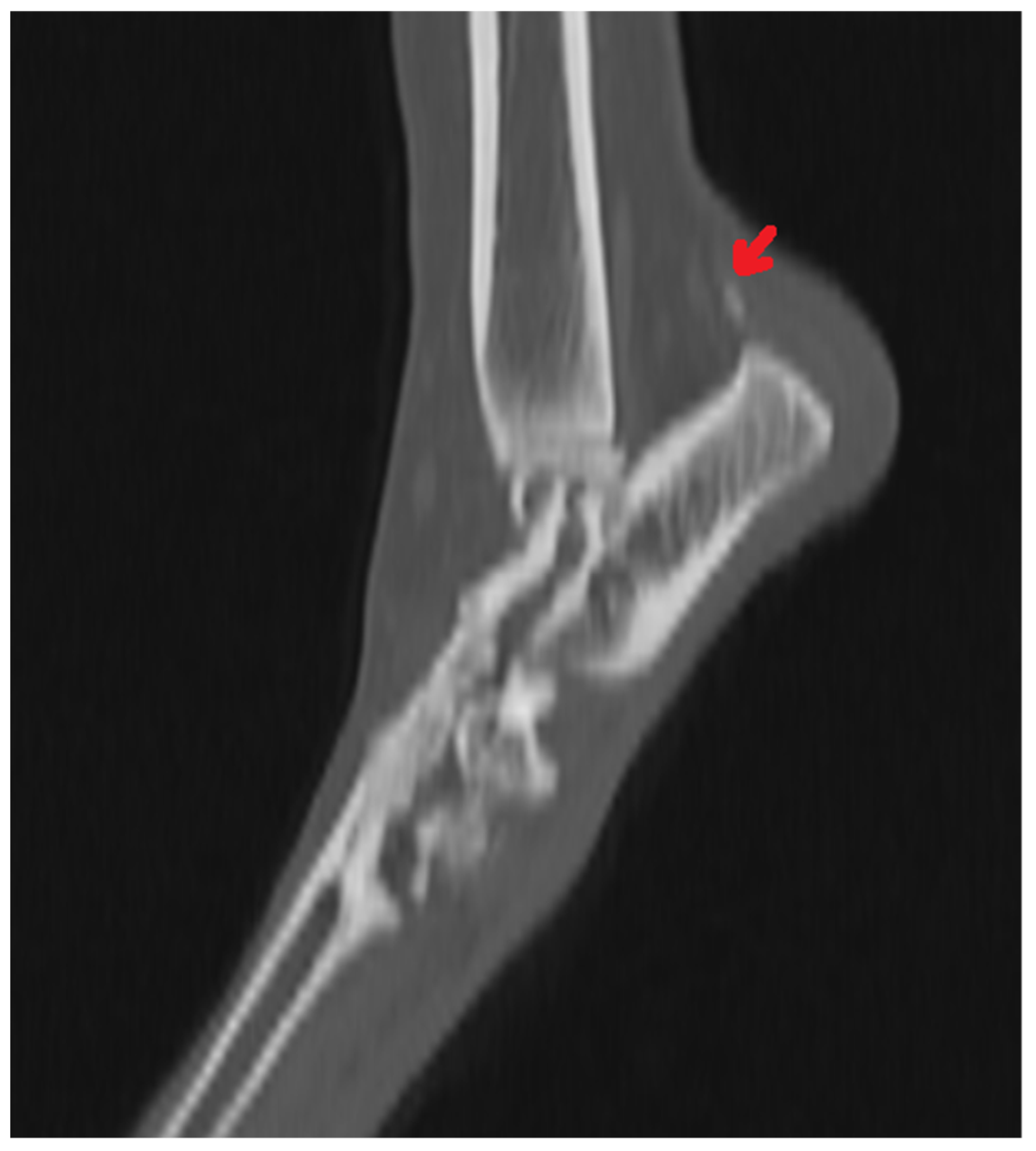
2. Osteochondrosis
3. Achilles Tendon Injuries
4. Fractures of the Tarsal Bones
5. Conclusions
Author Contributions
Funding
Institutional Review Board Statement
Conflicts of Interest
References
- Deruddere, K.J.; Milne, M.E.; Wilson, K.M.; Snelling, S.R. Magnetic Resonance Imaging, Computed Tomography, and Gross Anatomy of the Canine Tarsus. Vet. Surg. 2014, 43, 912–919. [Google Scholar] [CrossRef] [PubMed]
- Butler, D.; Nemanic, S.; Warnock, J.J. Comparison of radiography and computed tomography to evaluate fractures of the canine tarsus. Vet. Radiol. Ultrasound 2018, 59, 43–53. [Google Scholar] [CrossRef] [PubMed]
- Bergh, M.S.; Piras, A.; Samii, V.F.; Weisbrode, S.E.; Johnson, K.A. Fractures in regions of adaptive modeling and remodeling of central tarsal bones in racing greyhounds. Am. J. Vet. Res. 2012, 73, 375–380. [Google Scholar] [CrossRef] [PubMed]
- Boudrieau, R.J.; Dee, J.F.; Dee, L.G. Central tarsal bone fractures in the racing Greyhound: A review of 114 cases. J. Am. Vet. Med. Assoc. 1984, 184, 1486–1491. [Google Scholar]
- Armstrong, A.J.; Bruce, M.; Adams, R.; Kulendra, E.; Pease, T.; Perry, K.L. Injuries involving the central tarsal bone in nonracing dogs: Short-term outcomes and prognostic factors. Vet. Surg. 2019, 48, 524–536. [Google Scholar] [CrossRef] [PubMed]
- Olsson, S.E. Lameness in the dog. A review of lesions causing osteoarthrosis of the shoulder, elbow, hip, stifle and hock joints. Proc. Am. Anim. Hosp. Assoc. 1975, 42, 363–370. [Google Scholar]
- Jeffcott, L.B. Osteochondrosis—An international problem for the horse industry. J. Equine Vet. Sci. 1996, 16, 32–37. [Google Scholar] [CrossRef]
- Schenck, R.C.; Goodnight, J.M. Current Concept Review—Osteochondritis Dissecans. J. Bone Joint Surg. 1996, 78, 439–456. [Google Scholar] [CrossRef]
- Ytrehus, B.; Carlson, C.S.; Lundeheim, N.; Mathisen, L.; Reinholt, F.P.; Teige, J.; Ekman, S. Vascularisation and osteochondrosis of the epiphyseal growth cartilage of the distal femur in pigs—development with age, growth rate, weight and joint shape. Bone 2004, 34, 454–465. [Google Scholar] [CrossRef]
- Carlisle, C.H.; Robins, G.M.; Reynolds, K.M. Radiographic signs of osteochondritis dissecans of the lateral ridge of the trochlea tali in the dog. J. Small Anim. Pract. 1990, 31, 280–286. [Google Scholar] [CrossRef]
- Wisner, E.R.; Berry, C.R.; Morgan, J.P.; Pool, R.R.; Wind, A.P.; Vasseur, P.B. Osteochondrosis of the Lateral Trochlear Ridge of the Talus in Seven Rottweiler Dogs. Vet. Surg. 1990, 19, 435–439. [Google Scholar] [CrossRef]
- Van Ryssen, B.; Van Bree, H.J. Arthroscopic evaluation of osteochondrosis lesions in the canine hock joint—A review of 2 cases. J. Am. Anim. Hosp. Assoc. 1992, 28, 295–299. [Google Scholar]
- Dingemanse, W.; Gielen, I.; Duchateau, L.; Van Bree, H. Comparison of morphological and clinical features between medial and lateral trochlear ridge talar osteochondritis dissecans in dogs. Vet. Surg. 2013, 42, 340–345. [Google Scholar] [CrossRef]
- Kramer, M.; Gerwing, M.; Hach, V.; Schimke, E. Sonography of the musculoskeletal system in dogs and cats. Vet. Radiol. Ultrasound 1997, 38, 139–149. [Google Scholar] [CrossRef] [PubMed]
- Fitch, R.B.; Beale, B.S. Osteochondrosis of the canine tibiotarsal joint. Vet. Clin. N. Am. Small Anim. Pract. 1998, 28, 95–113. [Google Scholar] [CrossRef]
- Van der Peijl, G.J.W.; Schaeffer, I.G.F.; Theyse, L.F.H.; Dijkshoorn, N.A.; Schwencke, M.; Hazewinkel, H.A.W. Osteochondrosis dissecans of the tarsus in labrador retrievers: Clinical signs, radiological data and force plate gait evaluation after surgical treatment. Vet. Comp. Orthop. Traumatol. 2012, 25, 126–134. [Google Scholar] [CrossRef]
- Montgomery, R.D.; Hathcock, J.T.; Milton, J.L.; Fitch, R.B. Osteochondrosis dissecans of the canine tarsal joint. Comp. Cont. Educ. Pract. Vet. 1994, 16, 835–844. [Google Scholar]
- Gielen, I.M.; Van Bree, H.J.; Van Ryssen, B.; De Clercq, T.; De Rooster, H. Radiographic, computed tomographic and arthroscopic findings in 23 dogs with osteochondrosis of the tarsocrural joint. Vet. Rec. 2002, 150, 442–447. [Google Scholar] [CrossRef] [PubMed]
- Mason, T.A.; Lavelle, R.B. Osteochondritis dissecans of the tibial tarsal bone in dogs. J. Small Anim. Pract. 1979, 20, 423–432. [Google Scholar] [CrossRef]
- Johnson, K.A.; Howlett, C.B.; Pettit, G.D. Osteochondrosis in the hock joints in dogs. J. Am. Anim. Hosp. Assoc. 1980, 16, 103–113. [Google Scholar]
- Morgan, J.P.; Wind, A.; Davidson, A.P. Bone dysplasias in the labrador retriever: A radiographic study. J. Am. Anim. Hosp. Assoc. 1999, 35, 332–340. [Google Scholar] [CrossRef] [PubMed]
- Ballegeer, E.A. Computed Tomography of the Musculoskeletal System. Vet. Clin. N. Am. Small Anim. Pract. 2016, 46, 373–420. [Google Scholar] [CrossRef] [PubMed]
- Breur, G.J.; Spaulding, K.A.; Braden, T.D. Osteochondritis Dissecans of the Medial Trochlear Ridge of the Talus in the Dog. Vet. Comp. Orthop. Traumatol. 1989, 2, 168–176. [Google Scholar] [CrossRef]
- Robins, G.M.; Read, R.A.; Carlisle, C.H.; Webb, S.M. Osteochondritis dissecans of the lateral ridge of the trochlea of the tibial tarsal bone in the dog. J. Small Anim. Pract. 1983, 24, 675–685. [Google Scholar] [CrossRef]
- Beale, B.S.; Goring, R.L.; Herrington, J.; Dee, J.; Conrad, K. A prospective evaluation of four surgical approaches to the talus of the dog used in the treatment of osteochondritis dissecans. J. Am. Anim. Hosp. Assoc. 1991, 27, 221–229. [Google Scholar]
- Weinstein, M.J.; Mongil, C.M.; Rhodes, W.H.; Smith, G.K. Orthopedic conditions of the rottweiler. II. Comp. Cont. Educ. Pract. Vet. 1997, 17, 925–939. [Google Scholar]
- Gielen, I.; Van Ryssen, B.; Coopman, F.; Van Bree, H. Comparison of subchondral lesion size between clinical and non-clinical medial trochlear ridge talar osteochondritis dissecans in dogs. Vet. Comp. Orthop. Traumatol. 2007, 20, 8–11. [Google Scholar] [CrossRef][Green Version]
- Carlisle, C.H.; Reynolds, K.M. Radiographic anatomy of the tarsocrural joint of the dog. J. Small Anim. Pract. 1990, 31, 273–279. [Google Scholar] [CrossRef]
- Gielen, I.; Van Ryssen, B.; Van Bree, H. Computerized tomography compared with radiography in the diagnosis of lateral trochlear ridge talar osteochondritis dissecans in dogs. Vet. Comp. Orthop. Traumatol. 2005, 18, 77–82. [Google Scholar] [CrossRef]
- Newell, S.M.; Mahaffey, M.B.; Aron, D.N. Fragmentation of the medial malleolus of dogs with and without tarsal osteochondrosis. Vet. Radiol. Ultrasound 1994, 35, 5–9. [Google Scholar] [CrossRef]
- Cook, J.L.; Tomlinson, J.L.; Stoll, M.R.; Crouch, D.T.; Priddy, N.H. Arthroscopic removal and curettage of osteochondrosis lesions on the lateral and medial trochlear ridges of the talus in two dogs. J. Am. Anim. Hosp. Assoc. 2001, 37, 75–80. [Google Scholar] [CrossRef]
- Kippenes, H.; Johnston, G. Diagnostic imaging of osteochondrosis. Vet. Clin. N. Am. Small Anim. Pract. 1998, 28, 137–160. [Google Scholar] [CrossRef]
- Drost, W.T.; Love, N.E.; Berry, C.R. Comparison of radiography, myelography and computed tomography for the evaluation of canine vertebral and spinal cord tumor in sixteen dogs. Vet. Radiol. Ultrasound 1996, 37, 28–33. [Google Scholar] [CrossRef]
- Gielen, I.M.; De Rycke, L.M.; Van Bree, H.J.; Simoens, P.J. Computed tomography of the tarsal joint in clinically normal dogs. Am. J. Vet. Res. 2001, 62, 1911–1915. [Google Scholar] [CrossRef] [PubMed]
- Johnson, K.A.; Muir, P.; Nicoll, R.G.; Roush, J.K. Asymmetric adaptive modeling of central tarsal bones in racing greyhounds. Bone 2000, 27, 257–263. [Google Scholar] [CrossRef]
- Dingemanse, W.; Müller-Gerbl, M.; Jonkers, I.; Van der Sloten, J.; Van Bree, H.; Gielen, I. Subchondral bone density distribution of the talus in clinically normal Labrador Retrievers. BMC Vet. Res. 2016, 12, 1–7. [Google Scholar] [CrossRef]
- Liuti, T.; Saunders, J.H.; Gielen, I.; De Rycke, L.; Coopman, F.; Van Bree, H. Ultrasound approach to the canine distal tibia and trochlear ridges of the talus. Vet. Radiol. Ultrasound 2007, 48, 361–367. [Google Scholar] [CrossRef] [PubMed]
- Harasen, G.L.G. Ruptures of the common calcaneal tendon. Can. Vet. J. 2006, 47, 1219–1220. [Google Scholar]
- Nielsen, C.; Pluhar, G.E. Outcome following surgical repair of achilles tendon rupture and comparison between post-operative tibiotarsal immobilization methods in dogs. 28 cases (1997–2004). Vet. Comp. Orthop. Traumatol. 2006, 19, 246–249. [Google Scholar] [CrossRef]
- Kramer, M.; Gerwing, M.; Michele, U.; Schimke, E.; Kindler, S. Ultrasonographic examination of injuries to the Achilles tendon in dogs and cats. J. Small Anim. Pract. 2001, 42, 531–535. [Google Scholar] [CrossRef]
- Isaka, M.; Befu, M.; Matsubara, N.; Ishikawa, M.; Aono, H.; Namba, S. Type 1 Achilles tendon rupture caused by grooming trauma in a young dog. Open Vet. J. 2014, 4, 56–58. [Google Scholar]
- Corr, S.A.; Draffan, D.; Kulendra, E.; Carmichael, S.; Brodbelt, D. Retrospective study of Achilles mechanism disruption in 45 dogs. Vet. Rec. 2010, 167, 407–411. [Google Scholar] [CrossRef]
- Caine, A.; Agthe, P.; Posch, B.; Herrtage, M. Sonography of the soft tissue structures of the canine tarsus. Vet. Radiol. Ultrasound 2009, 50, 304–308. [Google Scholar] [CrossRef]
- Lamb, C.R.; Duvernois, A. Ultrasonographic anatomy of the normal canine calcaneal tendon. Vet. Radiol. Ultrasound 2005, 46, 326–330. [Google Scholar] [CrossRef]
- Hodgson, R.J.; O’Connor, P.J.; Grainger, A.J. Tendon and ligament imaging. Br. J. Radiol. 2012, 85, 1157–1172. [Google Scholar] [CrossRef] [PubMed]
- Rivers, B.J.; Walter, P.A.; Kramek, B.; Wallace, L. Sonographic findings in canine common calcaneal tendon injury. Vet. Comp. Orthop. Traumatol. 1997, 10, 45–53. [Google Scholar] [CrossRef]
- Lin, M.; Glass, E.N.; Kent, M. Utility of MRI for Evaluation of a Common Calcaneal Tendon Rupture in a Dog: Case Report. Front. Vet. Sci. 2020, 7, 602. [Google Scholar] [CrossRef] [PubMed]
- Quinn, S.F.; Murray, W.T.; Clark, R.A.; Cochran, C.F. Achilles tendon: MR imaging at 1.5 T. Radiology 1987, 164, 767–770. [Google Scholar] [CrossRef]
- Chandnani, V.P.; Bradley, Y.C. Achilles tendon and miscellaneous tendon lesions. Magn. Reson. Imaging Clin. N. Am. 1994, 2, 89–96. [Google Scholar] [CrossRef]
- Schweitzer, M.E.; Karasick, D. MR imaging of disorders of the Achilles tendon. AJR Am. J. Roentgenol. 2000, 175, 613–625. [Google Scholar] [CrossRef]
- Harris, C.; Peduto, A. Achilles tendon imaging. Australas. Radiol. 2006, 50, 513–525. [Google Scholar] [CrossRef] [PubMed]
- Maxwell, J. The surgical management of a fractured tibial tarsal bone in a Kelpie sheepdog. Aust. Vet. J. 2006, 84, 40–42. [Google Scholar] [CrossRef] [PubMed]
- Guilliard, M.J. Fractures of the central tarsal bone in eight racing greyhounds. Vet. Rec. 2000, 147, 512–515. [Google Scholar] [CrossRef] [PubMed]
- Hercock, C.A.; Innes, J.F.; McConnell, F.; Guilliard, M.J.; Ness, M.G.; Hodson, D.; Young, I.S. Observer variation in the evaluation and classification of severe central tarsal bone fractures in racing greyhounds. Vet. Comp. Orthop. Traumatol. 2011, 24, 215–222. [Google Scholar] [CrossRef] [PubMed]
- Maley, J.R.; Dvorak, L.D.; Bahr, A. Diagnosis and management of a fracture of the lateral trochlear ridge of the talus in a dog. Vet. Comp. Orthop. Traumatol. 2010, 23, 284–288. [Google Scholar] [CrossRef]
- Thompson, D.J.; Cave, N.J.; Bridges, J.P.; Reuvers, K.; Owen, M.C.; Firth, E.C. Bone volume and regional density of the central tarsal bone detected using computed tomography in a cross-sectional study of adult racing greyhounds. N. Z. Vet. J. 2012, 60, 278–284. [Google Scholar] [CrossRef]
- Lorinson, D.; Grosslinger, K. Central tarsal bone luxation in three non-racing dogs. Vet. Comp. Orthop. Traumatol. 2001, 14, 229–231. [Google Scholar] [CrossRef]
- Guilliard, M.J. Central tarsal bone fracture in the border collie: Case Report. J. Small Anim. Pract. 2007, 48, 414–417. [Google Scholar] [CrossRef]
- Hay, C.W.; Muir, P.; Johnson, K.A. Central tarsal bone fractures in two dalmatians. Vet. Comp. Orthop. Traumatol. 1995, 8, 222–225. [Google Scholar] [CrossRef]
- Harasen, G.L.G. Fracture-luxation of the central tarsal bone in a dog. Can. Vet. J. 1999, 40, 195. [Google Scholar]
- Guilliard, M.J. Third tarsal bone fractures in the greyhound. J. Small Anim. Pract. 2010, 51, 635–641. [Google Scholar] [CrossRef] [PubMed]
- Hudson, C.C.; Pozzi, A. Minimally invasive repair of central tarsal bone luxation in a dog. Vet. Comp. Orthop. Traumatol. 2012, 25, 79–82. [Google Scholar] [CrossRef] [PubMed]
- Beever, L.J.; Kulendra, E.R.; Meeson, R.L. Short and long-term outcome following surgical stabilization of tarsocrural instability in dogs. Vet. Comp. Orthop. Traumatol. 2016, 29, 142–148. [Google Scholar] [CrossRef] [PubMed]
- Galateanu, G.; Aizenberg, I.; Hildebrandt, T.B.; Apelt, D. Short communications: Computed tomographic demonstration of central tarsal bone plantar process occult fracture in a dog. Vet. Rec. 2011, 169, 442. [Google Scholar] [CrossRef] [PubMed]
- Galateanu, G.; Apelt, D.; Aizenberg, I.; Saragusty, J.; Hildebrandt, T.B. Canine tarsal architecture as revealed by high-resolution computed tomography. Vet. J. 2013, 196, 374–380. [Google Scholar] [CrossRef] [PubMed]
- Singleton, T.J.; Hutchinson, B.; Ford, L. Arthroscopic treatment of ankle osteochondral lesions. Clin. Podiatr. Med. Surg. 2011, 28, 481–490. [Google Scholar] [CrossRef]
- Snaps, F.R.; Saunders, J.H.; Park, R.D.; Daenen, B.; Balligand, M.H.; Dondelinger, R.F. Comparison of spin echo, gradient echo and fat saturation magnetic resonance imaging sequences for imaging the canine elbow. Vet. Radiol. Ultrasound 1998, 39, 518–523. [Google Scholar] [CrossRef] [PubMed]





Publisher’s Note: MDPI stays neutral with regard to jurisdictional claims in published maps and institutional affiliations. |
© 2021 by the authors. Licensee MDPI, Basel, Switzerland. This article is an open access article distributed under the terms and conditions of the Creative Commons Attribution (CC BY) license (https://creativecommons.org/licenses/by/4.0/).
Share and Cite
Abako, J.; Holak, P.; Głodek, J.; Zhalniarovich, Y. Usefulness of Imaging Techniques in the Diagnosis of Selected Injuries and Lesions of the Canine Tarsus. A Review. Animals 2021, 11, 1834. https://doi.org/10.3390/ani11061834
Abako J, Holak P, Głodek J, Zhalniarovich Y. Usefulness of Imaging Techniques in the Diagnosis of Selected Injuries and Lesions of the Canine Tarsus. A Review. Animals. 2021; 11(6):1834. https://doi.org/10.3390/ani11061834
Chicago/Turabian StyleAbako, Justyna, Piotr Holak, Joanna Głodek, and Yauheni Zhalniarovich. 2021. "Usefulness of Imaging Techniques in the Diagnosis of Selected Injuries and Lesions of the Canine Tarsus. A Review" Animals 11, no. 6: 1834. https://doi.org/10.3390/ani11061834
APA StyleAbako, J., Holak, P., Głodek, J., & Zhalniarovich, Y. (2021). Usefulness of Imaging Techniques in the Diagnosis of Selected Injuries and Lesions of the Canine Tarsus. A Review. Animals, 11(6), 1834. https://doi.org/10.3390/ani11061834

