The authors would like to make a correction to their published paper [1].
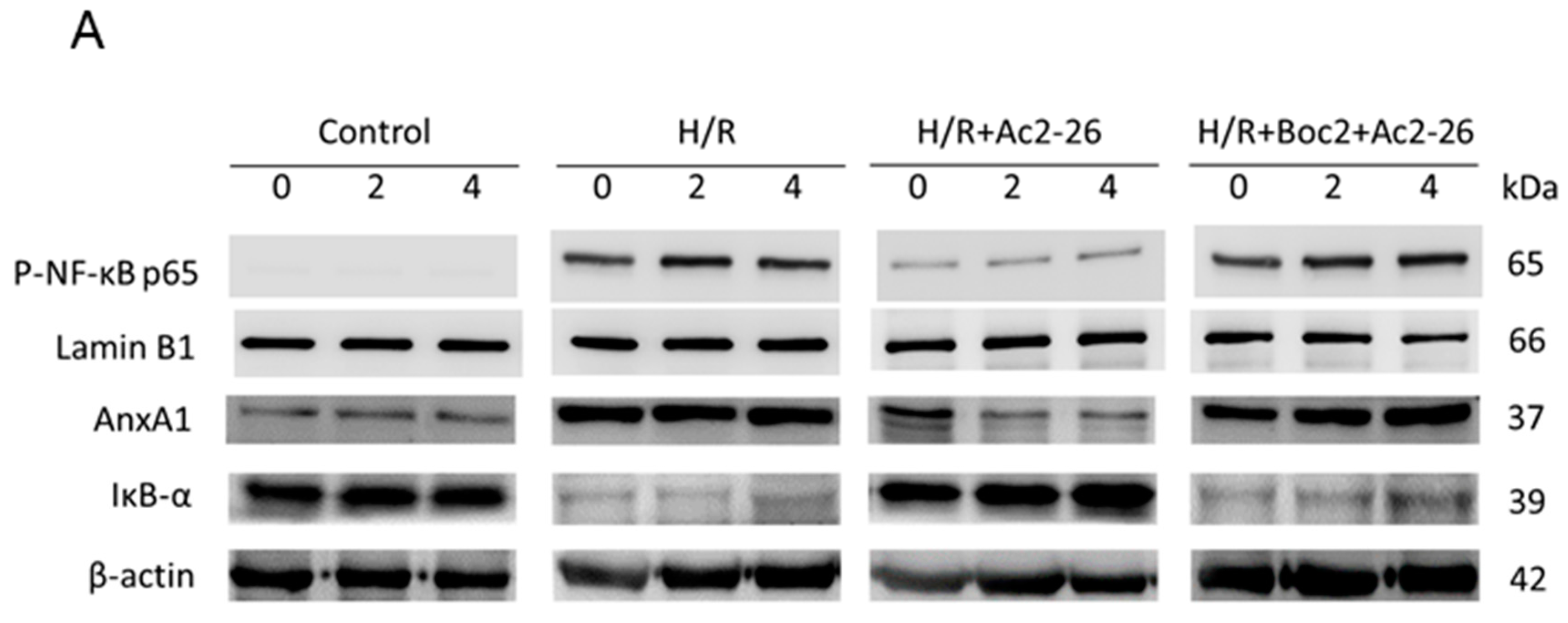
There was a mistake in the original version of the article in Figure 10A (page 10). The arrangements of bands between groups in the AnxA1 panel were scrambled. The authors have corrected the error as shown in the figure below. The rest of the manuscript and the figure legend do not need to be changed. The authors would like to apologize for any inconvenience caused.
Please replace this figure:
with the following:
The changes do not affect the scientific results. The manuscript will be updated and the original will remain online on the article webpage, with a reference to this Correction.
Reference
- Liao, W.I.; Wu, S.Y.; Wu, G.C.; Pao, H.P.; Tang, S.E.; Huang, K.L.; Chu, S.J. Ac2-26, an Annexin A1 Peptide, Attenuates Ischemia-Reperfusion-Induced Acute Lung Injury. Int. J. Mol. Sci. 2017, 18, 1771. [Google Scholar] [CrossRef] [PubMed]
© 2018 by the authors. Licensee MDPI, Basel, Switzerland. This article is an open access article distributed under the terms and conditions of the Creative Commons Attribution (CC BY) license (http://creativecommons.org/licenses/by/4.0/).