Effect of Pinocembrin Isolated from Mexican Brown Propolis on Diabetic Nephropathy
Abstract
1. Introduction
2. Results
2.1. Isolation of Flavonoids from EEP Samples of Propolis
2.2. Total Phenolics and Total Flavonoids of the EEP Samples
2.3. Antioxidant Capacity of the EEP Samples
2.4. Effect of Pinocembrin on Body Weight, Survival and Blood Glucose
2.5. Effect of Pinocembrin on the Liver
2.6. Effect of Pinocembrin on Lipids
2.7. Effect of Pinocembrin on Renal Function
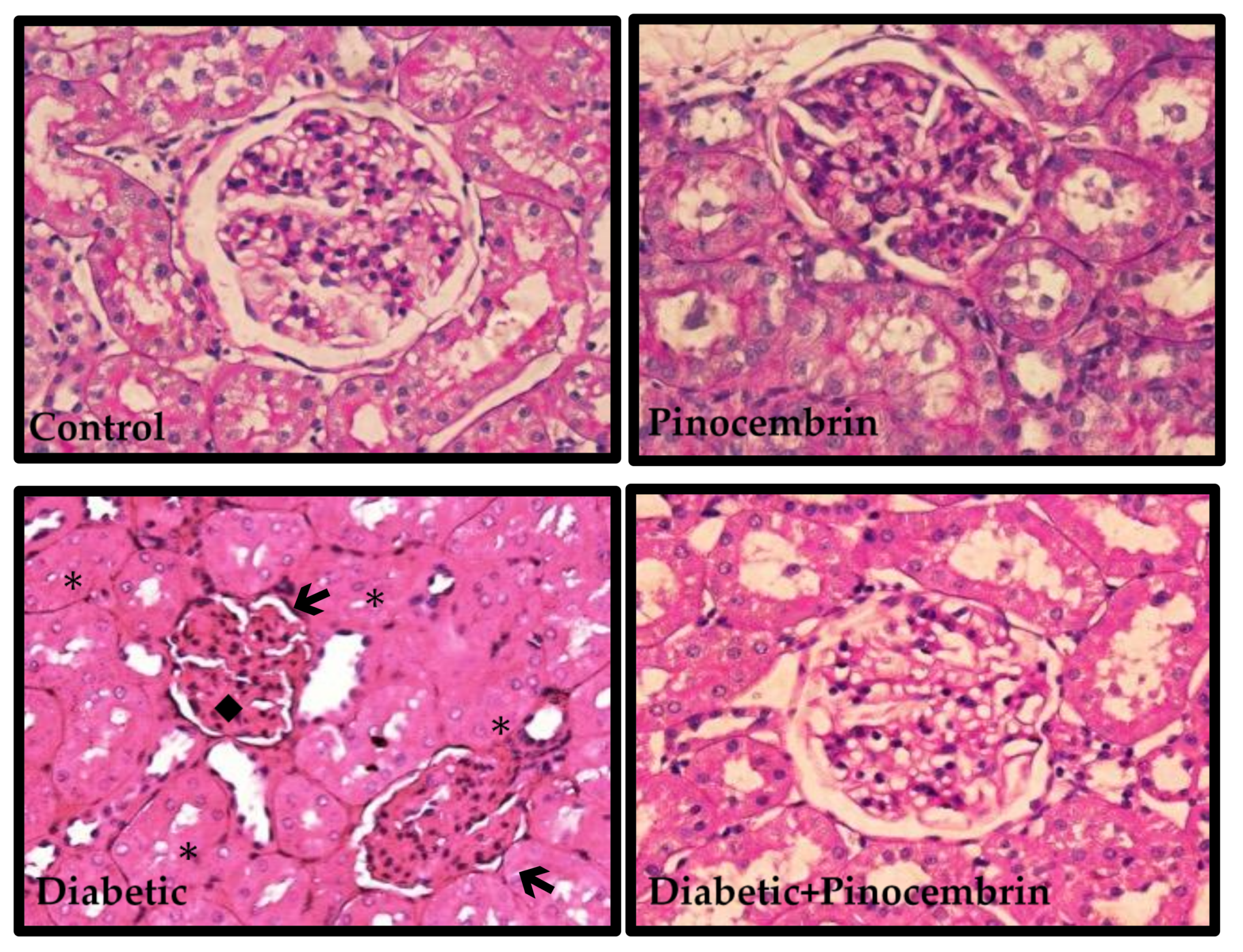
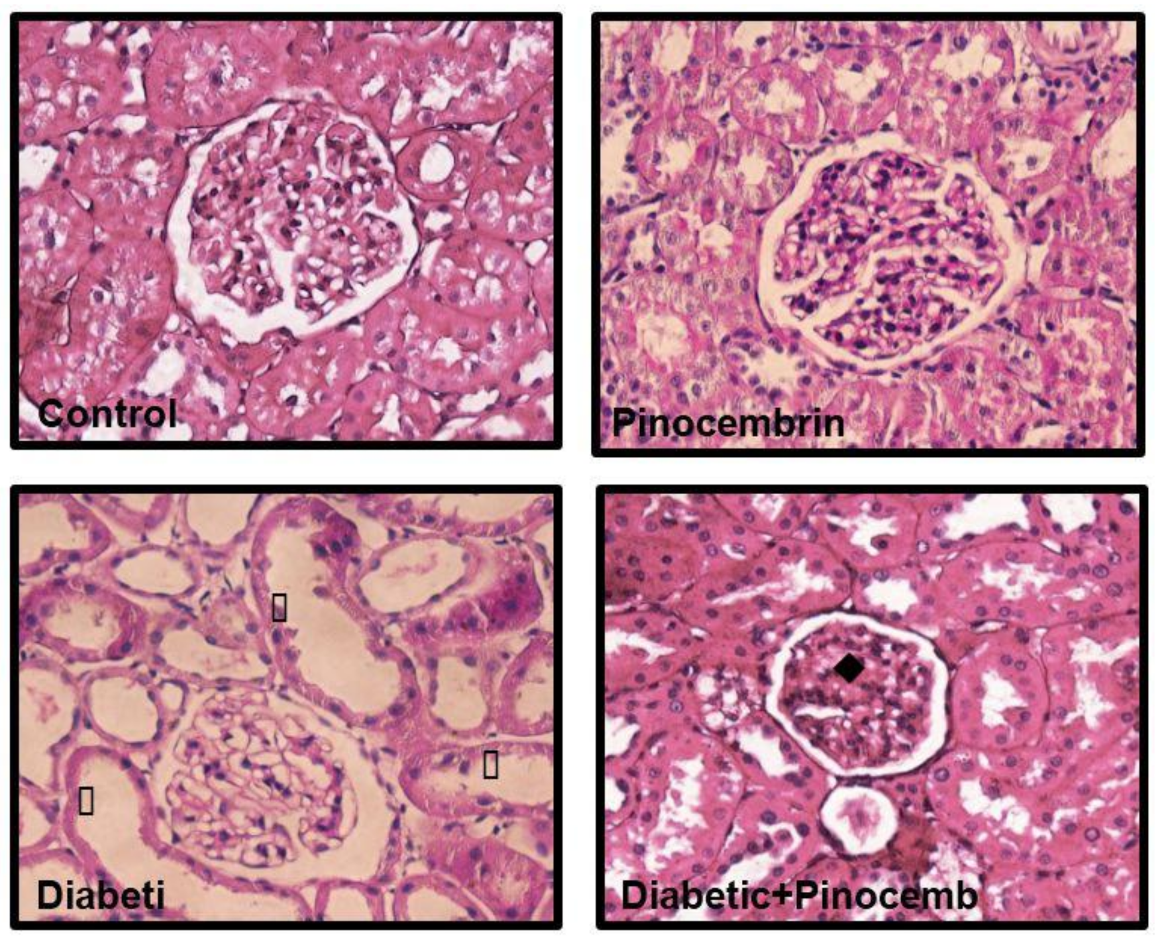
2.8. Histopathological Analysis
2.9. Biomarkers of Renal Damage
2.10. Oxidative Stress
3. Discussion
4. Materials and Methods
4.1. Chemicals and Reagents
4.2. Propolis Samples
4.3. Extraction and Isolation
4.4. Total Phenolic Content
4.5. Total Flavonoid Content
4.6. Antioxidant Capacity
4.6.1. DPPH Bleaching Assay
4.6.2. FRAP Assay
4.6.3. β-Carotene Bleaching Assay
4.7. In Vivo Experiments
4.7.1. Animals
4.7.2. Experimental Design
4.8. Biochemical Analyses
4.9. Biomarkers of Renal Damage
4.10. Oxidative Stress Markers
4.11. Histopathological Analysis
4.12. Statistical Analysis
5. Conclusions
Supplementary Materials
Acknowledgments
Author Contributions
Conflicts of Interest
References
- IDF Diabetes Atlas, 8th ed.; International Diabetes Federation: Brussels, Belgium, 2017; Available online: http://www.diabetesatlas.org (accessed on 11 November 2017).
- Informe Final de Resultados. Available online: http://promocion.salud.gob.mx/dgps/descargas1/doctos_2016/ensanut_mc_2016-310oct.pdf (accessed on 28 November 2017).
- Nacionales, D. Estadísticas a propósito del día de muertos (2 de noviembre). Available online: http://www.inegi.org.mx/saladeprensa/aproposito/2017/muertos2017_Nal.pdf (accessed on 15 November 2017).
- American Diabetes Association. Nephropathy in diabetes (Position Statement). Diabetes Care. 2004, 27 (Suppl. 1), 79–83. [Google Scholar]
- Asumiendo el control de la diabetes. Available online: http://oment.uanl.mx/wp-content/uploads/2016/11/FMidete_Asumiendo-Control-Diabetes-2016.pdf (accessed on 29 November 2017).
- Papadopoulou-Marketou, N; Chrousos, G.P.; Kanaka-Gantenbein, C. Diabetic nephropathy in type 1 diabetes: A review of early natural history, pathogenesis, and diagnosis. Diabetes Metab. Res. Rev. 2017, 33, e2841-n/a. [Google Scholar] [CrossRef] [PubMed]
- Ahmad, J. Management of diabetic nephropathy: Recent progress and future perspective. Diabetes Metab. Syndr. Clin. Res. Rev. 2015, 9, 343–358. [Google Scholar] [CrossRef] [PubMed]
- Ahad, A.; Ganai, A.A.; Mujeeb, M.; Siddiqui, W.A. Chrysin, an anti-inflammatory molecule, abrogates renal dysfunction in type 2 diabetic rats. Toxicol. Appl. Pharmacol. 2014, 279, 1–7. [Google Scholar] [CrossRef] [PubMed]
- Bankova, V.; Bertelli, D.; Borba, R.; Conti, B.J.; da Silva Cunha, I.B.; Danert, C.; Eberlin, M.N.; I Falcão, S.; Isla, M.I.; Moreno, M.I.N.; et al. Standard methods for Apis mellifera propolis research. J. Api. Res. 2016, 1–49. [Google Scholar] [CrossRef]
- Kuropatnicky, A.K.; Szliszka, E.; Krol, W. Historical aspects of propolis research in modern times. Evid. Based Complement. Alternat. Med. 2013, 2013, 964149. [Google Scholar] [CrossRef] [PubMed]
- Salatino, A.; Fernandes-Silva, C.C.; Righi, A.A.; Salatino, M.L. Propolis research and the chemistry of plant products. Nat. Prod. Rep. 2011, 28, 925–936. [Google Scholar] [CrossRef] [PubMed]
- Toreti, V.C.; Sato, H.H.; Pastore, G.M.; Park, Y.K. Recent progress of propolis for its biological and chemical compositions and its botanical origin. Evid Based Complement. Alternat. Med. 2013, 2013, 697390. [Google Scholar]
- Papotti, G.; Bertelli, D.; Bortolotti, L.; Plessi, M. Chemical and Functional Characterization of Italian Propolis Obtained by Different Harvesting Methods. J. Agric. Food Chem. 2012, 60, 2852–2862. [Google Scholar] [CrossRef] [PubMed]
- Christov, R.; Trusheva, B.; Popova, M.; Bankova, V.; Bertrand, M. Chemical composition of propolis from Canada, its antiradical activity and plant origin. Nat. Prod. Res. 2006, 20, 531–536. [Google Scholar] [CrossRef] [PubMed]
- Navarro-Navarro, M.; Ruiz-Bustos, P.; Valencia, D.; Robles-Zepeda, R.; Ruiz-Bustos, E.; Virues, C.; Hernandez, J.; Dominguez, Z.; Velazquez, C. Antibacterial activity of Sonoran propolis and some of its constituents against clinically significant Vibrio species. Foodborne Pathog. Dis. 2013, 10, 150–158. [Google Scholar] [CrossRef] [PubMed]
- Li, F.; Awale, S.; Tezuka, Y.; Esumi, H.; Kadota, S. Study of the constituents of mexican propolis and their cytotoxic activity against PANC-1 human pancreatic cancer cells. J. Nat. Prod. 2010, 73, 623–627. [Google Scholar] [CrossRef] [PubMed]
- Lotti, C.; Campo Fernandez, M.; Piccinelli, A.L.; Cuesta-Rubio, O.; Márquez-Hernández, I.; Rastrelli, L. Chemical constituents of red Mexican propolis. J. Agric. Food Chem. 2010, 58 (Suppl. 4), 2209–2213. [Google Scholar] [CrossRef] [PubMed]
- Boisard, S.; Tho Huyn, T.H.; Escalante-Erosa, F.; Hernández-Chávez, L.I.; Peña-Rodríguez, L.M.; Richomme, P. Unusual chemical composition of a Mexican propolis collected in Quintana Roo, Mexico. J. Api. Res. 2015, 54 (Suppl. 4), 350–357. [Google Scholar] [CrossRef]
- Guzmán-Gutiérrez, S.L.; Nieto-Camacho, A.; Castillo-Arellano, J.I.; Huerta-Salazar, E.; Hernández-Pasteur, G.; Silva-Miranda, M.; Argüello-Nájera, O.; Sepúlveda-Robles, O.; Espitia, C.I.; Reyes-Chilpa, R. Mexican propolis: A source of antioxidants and anti-Inflammatory compounds, and isolation of a novel chalcone and ƹ-caprolactone derivative. Molecules 2018, 23 (Suppl. 2), 334. [Google Scholar] [CrossRef] [PubMed]
- Rivera-Yáñez, N.; Rodríguez-Canales, M.; Nieto-Yáñez, O.; Jiménez-Estrada, M.; Ibarra-Barajas, M.; Canales-Martínez, M.M.; Rodríguez-Monroy, M.A. Hypoglycaemic and antioxidant effects of propolis of Chihuahua in a model of experimental diabetes. Evid. Based Complement. Alternat. Med. 2018, 2018, 4360356. [Google Scholar] [CrossRef]
- El-Sayed el, S.M.; Abo-Salem, O.M.; Aly, H.A.; Mansour, A.M. Potential antidiabetic and hypolipidemic effects of propolis extract in streptozotocin-induced diabetic rats. Pak. J. Pharm. Sci. 2009, 22, 168–174. [Google Scholar]
- Hu, F.; Zhan, Y.; Chen, M.; Ying, H.; Zhu, W. Effects of propolis on blood lipid and liver of hyperlipidemic SD rats. J. Zhejiang Univ. 2004, 30, 510–514. [Google Scholar]
- Orsolic, N.; Sirovina, D.; Koncic, M.Z.; Lackovic, G.; Gregorovic, G. Effect of Croatian propolis on diabetic nephropathy and liver toxicity in mice. BMC Complement. Altern. Med. 2012, 12, 117. [Google Scholar] [CrossRef] [PubMed]
- Sameni, H.R.; Ramhormozi, P.; Bandegi, A.R.; Taherian, A.A.; Mirmohammadkhani, M.; Safari, M. Effects of ethanol extract of propolis on histopathological changes and anti-oxidant defense of kidney in a rat model for type 1 diabetes mellitus. J. Diabetes Investig. 2016, 7, 506–513. [Google Scholar] [CrossRef] [PubMed]
- Lai, P.-B.; Zhang, L.; Yang, L.-Y. Quercetin Ameliorates Diabetic Nephropathy by Reducing the Expressions of Transforming Growth Factor-β1 and Connective Tissue Growth Factor in Streptozotocin-Induced Diabetic Rats. Ren. Fail. 2012, 34, 83–87. [Google Scholar] [CrossRef] [PubMed]
- Rasul, A.; Millimouno, F.M.; Ali Eltayb, W.; Ali, M.; Li, J.; Li, X. Pinocembrin: A Novel Natural Compound with Versatile Pharmacological and Biological Activities. Biomed. Res. Int. 2013, 2013, 9. [Google Scholar] [CrossRef] [PubMed]
- Traditional Medicine. Fact sheet Nº 134. Available online: http://www.siav-itvas.org/images/stories/doc/agopuntura_scientifica/WHO_Traditional_medicine_2008.pdf (accessed on 25 July 2017).
- Boisard, S.; Le Ray, A.M.; Gatto, J.; Aumond, M.C.; Blanchard, P.; Derbré, S.; Flurin, C.; Richomme, P. Chemical composition, antioxidant and anti-AGEs activities of a French poplar type propolis. J. Agric. Food Chem. 2014, 62 (Suppl. 2), 1344–1351. [Google Scholar] [CrossRef] [PubMed]
- Huang, D.; Ou, B.; Prior, R.L. The chemistry behind antioxidant capacity assays. J. Agric. Food Chem. 2005, 2005 53, 1841–1856. [Google Scholar] [CrossRef]
- Propóleos, producción y especificaciones para su procesamiento. Available online: https://normateca.sagarpa.gob.mx/tipo/norma-oficial-mexicana-nom (accessed on 21 March 2018).
- Piluzza, G.; Bullitta, S. Correlations between phenolic content and antioxidant properties in twenty-four plant species of traditional ethnoveterinary use in the Mediterranean area. Pharm. Biol. 2011, 49 (Suppl. 3), 240–247. [Google Scholar] [CrossRef] [PubMed]
- Tan, J.B.; Lim, Y.Y. Critical analysis of current methods for assessing the in vitro antioxidant and antibacterial activity of plant extracts. Food Chem. 2015, 172, 814–822. [Google Scholar] [CrossRef] [PubMed]
- Lima, B.; Tapia, A.; Luna, L.; Fabani, M.P.; Schmeda-Hirschmann, G.; Podio, N.S.; Wunderlin, D.A.; Feresin, G.E. Main flavonoids, DPPH activity, and metal content allow determination of the geographical origin of propolis from the Province of San Juan (Argentina). J. Agric. Food Chem. 2009, 57 (Suppl. 7), 2691–2698. [Google Scholar] [CrossRef] [PubMed]
- Abbate, M.; Zoja, C.; Remuzzi, G. How does proteinuria cause progressive renal damage? J. Am. Soc. Nephrol. 2006, 17 (Suppl. 11), 2974–2984. [Google Scholar] [CrossRef] [PubMed]
- Aslan, O.; Demir, M.; Koseouglu, M. Kidney Injury Molecule Levels in Type 2 Diabetes Mellitus. J. Clin. Lab. Anal. 2016, 30 (Suppl. 6), 1–6. [Google Scholar] [CrossRef] [PubMed]
- Mahfouz, M.; Assiri, A.M.; Mukhtar, M.H. Assessment of Neutrophil Gelatinase-Associated Lipocalin (NGAL) and Retinol-Binding Protein 4 (RBP4) in Type 2 Diabetic Patients with Nephropathy. Biomark. Insights. 2016, 11, 31–40. [Google Scholar] [CrossRef] [PubMed]
- Kasiske, B.L.; O’Donnell, M.D.; Cleary, M.P.; Keane, W.F. Treatment of hyperlipidemia reduces glomerular injury in obese Zucker rats. Kidney Int. 1988, 33, 667–672. [Google Scholar] [CrossRef] [PubMed]
- Rauter, A.P.; Martins, A.; Borges, C.; Mota-Filipe, H.; Pinto, R.; Sepodes, B.; Justino, J. Antihyperglycaemic and protective effects of flavonoids on streptozotocin–induced diabetic rats. Phytother. Res. 2010, 24, 133–138. [Google Scholar] [CrossRef] [PubMed]
- Pan, H.; Zhang, L.; Guo, M.; Sui, H.; Li, H.; Wu, W.; Qu, N.; Liang, M.; Chang, D. The oxidative stress status in diabetes mellitus and diabetic nephropathy. Acta Diabetol. 2010, 47 (Suppl. 1), 71–76. [Google Scholar] [CrossRef]
- Santos, A.C.; Uyemura, S.A.; Lopes, J.L.C.; Bazon, J.N.; Mingatto, F.E.; Curti, C. Effect of Naturally Occurring Flavonoids on Lipid Peroxidation and Membrane Permeability Transition in Mitochondria. Free Radic. Biol. 1998, 24, 1455–1461. [Google Scholar] [CrossRef]
- Saad, M.A.; Abdel Salam, R.M.; Kenawy, S.A.; Attia, A.S. Pinocembrin attenuates hippocampal inflammation, oxidative perturbations and apoptosis in a rat model of global cerebral ischemia reperfusion. Pharmacol. Rep. 2015, 67, 115–122. [Google Scholar] [CrossRef] [PubMed]
- Brownlee, M. The Pathobiology of Diabetic Complications, A Unifying Mechanism. Diabetes 2005, 54, 1615–1625. [Google Scholar] [CrossRef] [PubMed]
- Procházková, D.; Boušová, I.; Wilhelmová, N. Antioxidant and prooxidant properties of flavonoids. Fitoterapia 2011, 82, 513–523. [Google Scholar] [CrossRef] [PubMed]
- Singleton, V.L.; Rossi, J.A. Colorimetry of total phenolics with phosphomolybdic-phosphotungstic acid reagents. Am. J. Enol. Vitic. 1965, 16, 144–158. [Google Scholar]
- Marquele, F.D.; Di Mambro, V.M.; Georgetti, S.R.; Casagrande, R.; Valim, Y.M.L.; Fonseca, M.J.V. Assessment of the antioxidant activities of Brazilian extracts of propolis alone and in topical pharmaceutical formulations. J. Pharm. Biomed. Anal. 2005, 39, 455–462. [Google Scholar] [CrossRef] [PubMed]
- Cheng, Z.; Moore, J.; Yu, L. High-Throughput Relative DPPH Radical Scavenging Capacity Assay. J. Agric. Food Chem. 2006, 54, 7429–7436. [Google Scholar] [CrossRef] [PubMed]
- Thaipong, K.; Boonprakob, U.; Crosby, K.; Cisneros-Zevallos, L.; Hawkins Byrne, D. Comparison of ABTS, DPPH, FRAP and ORAC assays for estimating antioxidant activity from guava fruit extracts. J. Food Compost. Anal. 2006, 19 (Suppl. 6–7), 669–675. [Google Scholar] [CrossRef]
- Wang, W.; Wu, N.; Zu, Y.G.; Fu, Y.J. Antioxidative actiivty of Rosmarinus officinales L. essential oil compared to its main components. Food Chem. 2008, 108 (Suppl. 3), 1019–1022. [Google Scholar] [CrossRef] [PubMed]
- National Research Council (US) Committee for the Update of the Guide for the Care and Use of Laboratory Animals. Guide for the Care and Use of Laboratory Animals, 8th ed.; National Academies Press: Washington, DC, USA, 2011. [Google Scholar]
- Smith, P.K.; Krohn, R.I.; Hermanson, G.T.; Mallia, A.K.; Gartner, F.H.; Provenzano, M.D.; Fujimoto, E.K.; Goeke, N.M.; Olson, B.J.; Klenk, D.C. Measurement of protein using bicinchoninic acid. Anal. Biochem. 1985, 150, 76–85. [Google Scholar] [CrossRef]
- Gérard-Monnier, D.; Erdelmeier, I.; Régnard, K.; Moze-Henry, N.; Yadan, J.-C.; Chaudière, J. Reactions of 1-Methyl-2-phenylindole with Malondialdehyde and 4-Hydroxyalkenals. Analytical Applications to a Colorimetric Assay of Lipid Peroxidation. Chem. Res. Toxicol. 1998, 11, 1176–1183. [Google Scholar] [CrossRef] [PubMed]
- Neumann, K.H.; Kellner, C.; Kühn, K.; Stolte, H.; Schurek, H.-J. Age-dependent thickening of glomerular basement membrane has no major effect on glomerular hydraulic conductivity. Nephrol. Dial. Transplant. 2004, 19, 805–811. [Google Scholar] [CrossRef] [PubMed]
Sample Availability: Samples of the compounds are available from the authors. |







| EEP Sample | Total Phenolics mg eq. GA/g Extract | Total Flavonoids mg eq. Q/g Extract | DPPH TE/g Extract | FRAP TE/g Extract | β-Carotene Bleaching Assay %AA |
|---|---|---|---|---|---|
| Durango | 139 ± 1 | 90 ± 2 | 1145 ± 10 | 20 ± 1 | 46 ± 13 |
| Zacatecas | 109 ± 2 | 70 ± 1 | 1098 ± 22 | 13 ± 1 | 49 ± 5 |
| Chihuahua | 126 ± 3 | 71 ± 2 | 975 ± 33 | 21 ± 1 | 39 ± 8 |
| Control | Pinocembrin | Diabetic | Diabetic + Pinocembrin | |
|---|---|---|---|---|
| MDA Plasma (μM) | 0.93 ± 0.19 | 1.0 ± 0.14 | 2.2 ± 0.3 a | 1.3 ± 0.2 b |
| MDA Kidney (nM/mg Protein) | 21.8 ± 3.7 | 19.6 ± 2.2 | 42.2 ± 4.9 a | 27.6 ± 2.9 b |
| Urinary H2O2 (μM/24h) | 0.04 ± 0.04 | 0.14 ± 0.09 | 2.7 ± 0.7 a | 2.6 ± 0.7 a |
| Control | Pinocembrin | Diabetic | Diabetic + Pinocembrin | |
|---|---|---|---|---|
| MDA Plasma | 0.92 ± 0.25 | 1.2 ± 0.3 | 2.4 ± 0.4 a | 1.9 ± 0.2 a |
| MDA Kidney | 18.8 ± 3.1 | 39.1 ± 2.7a | 34.2 ± 2.74 a | 22.4 ± 3.3 b |
| Urinary H2O2 (μM/24h) | 0.09 ± 0.04 | 0.03 ± 0.03 | 3.7 ± 0.8 a | 5.9 ± 1.3 a,b |
© 2018 by the authors. Licensee MDPI, Basel, Switzerland. This article is an open access article distributed under the terms and conditions of the Creative Commons Attribution (CC BY) license (http://creativecommons.org/licenses/by/4.0/).
Share and Cite
Granados-Pineda, J.; Uribe-Uribe, N.; García-López, P.; Ramos-Godinez, M.D.P.; Rivero-Cruz, J.F.; Pérez-Rojas, J.M. Effect of Pinocembrin Isolated from Mexican Brown Propolis on Diabetic Nephropathy. Molecules 2018, 23, 852. https://doi.org/10.3390/molecules23040852
Granados-Pineda J, Uribe-Uribe N, García-López P, Ramos-Godinez MDP, Rivero-Cruz JF, Pérez-Rojas JM. Effect of Pinocembrin Isolated from Mexican Brown Propolis on Diabetic Nephropathy. Molecules. 2018; 23(4):852. https://doi.org/10.3390/molecules23040852
Chicago/Turabian StyleGranados-Pineda, Jessica, Norma Uribe-Uribe, Patricia García-López, María Del Pilar Ramos-Godinez, J. Fausto Rivero-Cruz, and Jazmin Marlen Pérez-Rojas. 2018. "Effect of Pinocembrin Isolated from Mexican Brown Propolis on Diabetic Nephropathy" Molecules 23, no. 4: 852. https://doi.org/10.3390/molecules23040852
APA StyleGranados-Pineda, J., Uribe-Uribe, N., García-López, P., Ramos-Godinez, M. D. P., Rivero-Cruz, J. F., & Pérez-Rojas, J. M. (2018). Effect of Pinocembrin Isolated from Mexican Brown Propolis on Diabetic Nephropathy. Molecules, 23(4), 852. https://doi.org/10.3390/molecules23040852

