Estimating the Volume of Nodules and Masses on Serial Chest Radiography Using a Deep-Learning-Based Automatic Detection Algorithm: A Preliminary Study
Abstract
1. Introduction
2. Materials and Methods
2.1. Patients
2.2. CAD System for CXR Interpretation
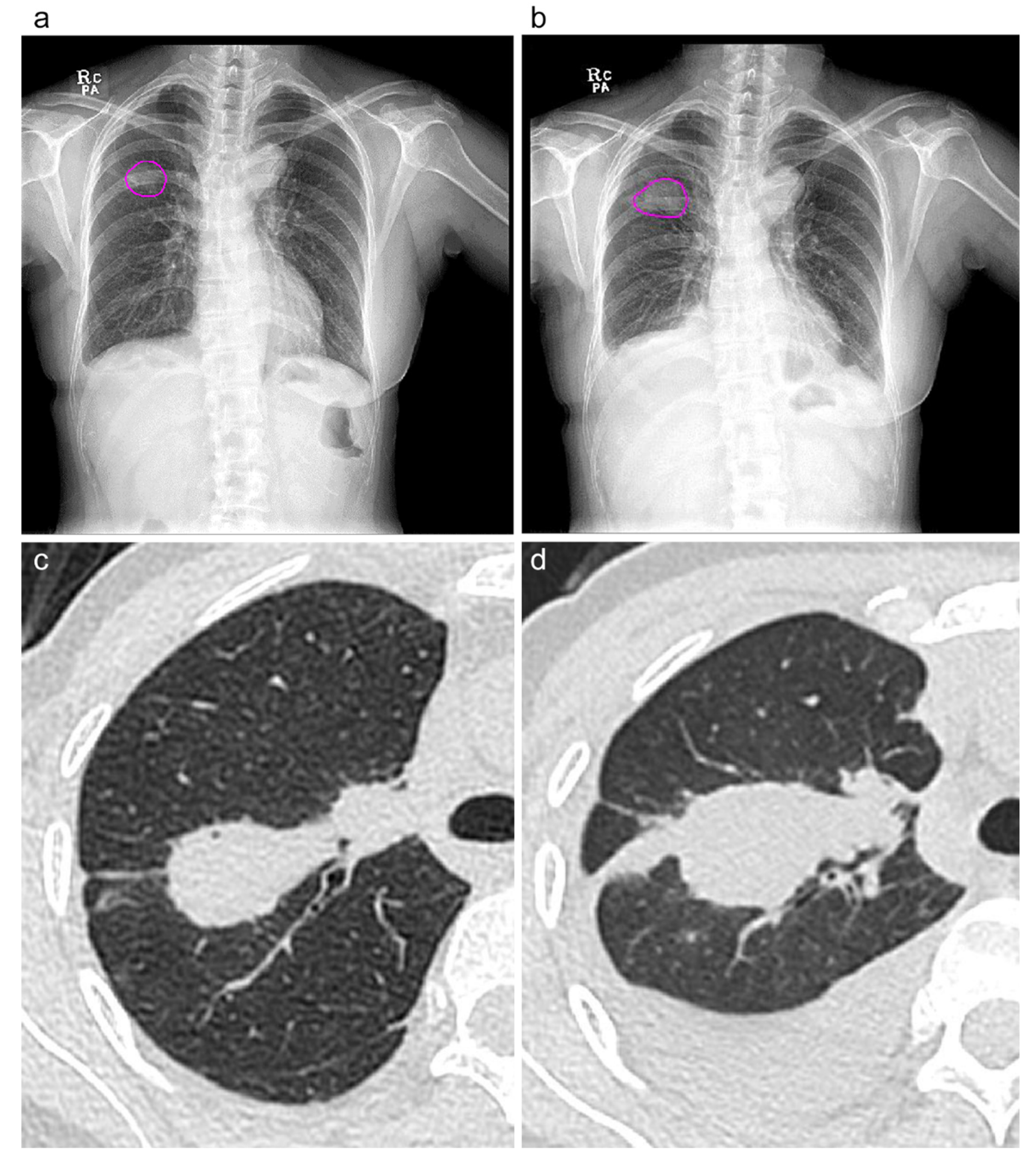
2.3. Image Analysis and Definition of Reference Standards with Volume Measurements
2.4. Statistical Analysis for Establishing a Prediction Model
3. Results
3.1. Demographics and Chest Radiography Features
3.2. Regression Analysis of Volume Prediction of Pulmonary Nodules or Masses
4. Discussion
5. Conclusions
Supplementary Materials
Author Contributions
Funding
Institutional Review Board Statement
Informed Consent Statement
Data Availability Statement
Acknowledgments
Conflicts of Interest
References
- Hwang, E.J.; Park, S.; Jin, K.N.; Kim, J.I.; Choi, S.Y.; Lee, J.H.; Goo, J.M.; Aum, J.; Yim, J.J.; Park, C.M.; et al. Development and Validation of a Deep Learning-based Automatic Detection Algorithm for Active Pulmonary Tuberculosis on Chest Radiographs. Clin. Infect. Dis. 2019, 69, 739–747. [Google Scholar] [CrossRef] [PubMed]
- Nam, J.G.; Park, S.; Hwang, E.J.; Lee, J.H.; Jin, K.N.; Lim, K.Y.; Vu, T.H.; Sohn, J.H.; Hwang, S.; Goo, J.M.; et al. Development and Validation of Deep Learning-based Automatic Detection Algorithm for Malignant Pulmonary Nodules on Chest Radiographs. Radiology 2019, 290, 218–228. [Google Scholar] [CrossRef] [PubMed]
- Park, S.; Lee, S.M.; Lee, K.H.; Jung, K.H.; Bae, W.; Choe, J.; Seo, J.B. Deep learning-based detection system for multiclass lesions on chest radiographs: Comparison with observer readings. Eur. Radiol. 2020, 30, 1359–1368. [Google Scholar] [CrossRef] [PubMed]
- Sim, Y.; Chung, M.J.; Kotter, E.; Yune, S.; Kim, M.; Do, S.; Han, K.; Kim, H.; Yang, S.; Lee, D.J.; et al. Deep Convolutional Neural Network-based Software Improves Radiologist Detection of Malignant Lung Nodules on Chest Radiographs. Radiology 2020, 294, 199–209. [Google Scholar] [CrossRef]
- Hwang, E.J.; Park, S.; Jin, K.N.; Kim, J.I.; Choi, S.Y.; Lee, J.H.; Goo, J.M.; Aum, J.; Yim, J.J.; Cohen, J.G.; et al. Development and Validation of a Deep Learning-Based Automated Detection Algorithm for Major Thoracic Diseases on Chest Radiographs. JAMA Netw. Open 2019, 2, e191095. [Google Scholar] [CrossRef]
- Hong, W.; Hwang, E.J.; Lee, J.H.; Park, J.; Goo, J.M.; Park, C.M. Deep Learning for Detecting Pneumothorax on Chest Radiographs after Needle Biopsy: Clinical Implementation. Radiology 2022, 303, 433–441. [Google Scholar] [CrossRef]
- Kim, E.Y.; Chung, M.J. Application of artificial intelligence in chest imaging for COVID-19. J. Korean Med. Assoc. 2021, 64, 664–670. [Google Scholar] [CrossRef]
- Liang, C.H.; Liu, Y.C.; Wu, M.T.; Garcia-Castro, F.; Alberich-Bayarri, A.; Wu, F.Z. Identifying pulmonary nodules or masses on chest radiography using deep learning: External validation and strategies to improve clinical practice. Clin. Radiol. 2020, 75, 38–45. [Google Scholar] [CrossRef]
- Elhanashi, A.; Lowe Sr, D.; Saponara, S.; Moshfeghi, Y. Deep learning techniques to identify and classify COVID-19 abnormalities on chest X-ray images. In Real-Time Image Processing and Deep Learning 2022; SPIE: Bellingham, WA, USA, 2022; pp. 15–24. [Google Scholar]
- Ahn, J.S.; Ebrahimian, S.; McDermott, S.; Lee, S.; Naccarato, L.; Di Capua, J.F.; Wu, M.Y.; Zhang, E.W.; Muse, V.; Miller, B.; et al. Association of Artificial Intelligence-Aided Chest Radiograph Interpretation with Reader Performance and Efficiency. JAMA Netw. Open 2022, 5, e2229289. [Google Scholar] [CrossRef]
- Jang, S.; Song, H.; Shin, Y.J.; Kim, J.; Kim, J.; Lee, K.W.; Lee, S.S.; Lee, W.; Lee, S.; Lee, K.H. Deep Learning-based Automatic Detection Algorithm for Reducing Overlooked Lung Cancers on Chest Radiographs. Radiology 2020, 296, 652–661. [Google Scholar] [CrossRef]
- Shin, H.J.; Han, K.; Ryu, L.; Kim, E.-K. The impact of artificial intelligence on the reading times of radiologists for chest radiographs. npj Digit. Med. 2023, 6, 82. [Google Scholar] [CrossRef]
- Sun, J.; Peng, L.; Li, T.; Adila, D.; Zaiman, Z.; Melton-Meaux, G.B.; Ingraham, N.E.; Murray, E.; Boley, D.; Switzer, S.; et al. Performance of a Chest Radiograph AI Diagnostic Tool for COVID-19: A Prospective Observational Study. Radiol. Artif. Intell. 2022, 4, e210217. [Google Scholar] [CrossRef]
- Hurt, B.; Yen, A.; Kligerman, S.; Hsiao, A. Augmenting Interpretation of Chest Radiographs with Deep Learning Probability Maps. J. Thorac. Imaging 2020, 35, 285–293. [Google Scholar] [CrossRef] [PubMed]
- Guo, R.; Passi, K.; Jain, C.K. Tuberculosis Diagnostics and Localization in Chest X-rays via Deep Learning Models. Front. Artif. Intell. 2020, 3, 583427. [Google Scholar] [CrossRef] [PubMed]
- Zhou, B.; Khosla, A.; Lapedriza, A.; Oliva, A.; Torralba, A. Learning Deep Features for Discriminative Localization. In Proceedings of the 2016 IEEE Conference on Computer Vision and Pattern Recognition (CVPR), Las Vegas, NV, USA, 27–30 June 2016; pp. 2921–2929. [Google Scholar] [CrossRef]
- Shimazaki, A.; Ueda, D.; Choppin, A.; Yamamoto, A.; Honjo, T.; Shimahara, Y.; Miki, Y. Deep learning-based algorithm for lung cancer detection on chest radiographs using the segmentation method. Sci. Rep. 2022, 12, 727. [Google Scholar] [CrossRef] [PubMed]
- Hansell, D.M.; Bankier, A.A.; MacMahon, H.; McLoud, T.C.; Muller, N.L.; Remy, J. Fleischner Society: Glossary of terms for thoracic imaging. Radiology 2008, 246, 697–722. [Google Scholar] [CrossRef] [PubMed]
- Shin, K.E.; Lee, K.S.; Yi, C.A.; Chung, M.J.; Shin, M.-H.; Choi, Y.-H. Subcentimeter lung nodules stable for 2 years at LDCT: Long-term follow-up using volumetry. Respirology 2014, 19, 921–928. [Google Scholar] [CrossRef]
- Devaraj, A.; Van Ginneken, B.; Nair, A.; Baldwin, D. Use of Volumetry for Lung Nodule Management: Theory and Practice. Radiology 2017, 284, 630–644. [Google Scholar] [CrossRef]
- Xu, Y.; Hosny, A.; Zeleznik, R.; Parmar, C.; Coroller, T.; Franco, I.; Mak, R.H.; Aerts, H. Deep Learning Predicts Lung Cancer Treatment Response from Serial Medical Imaging. Clin. Cancer Res. 2019, 25, 3266–3275. [Google Scholar] [CrossRef]
- CORELINE. Available online: https://www.corelinesoft.com/en/ (accessed on 1 March 2023).
- Nam, J.G.; Kim, M.; Park, J.; Hwang, E.J.; Lee, J.H.; Hong, J.H.; Goo, J.M.; Park, C.M. Development and validation of a deep learning algorithm detecting 10 common abnormalities on chest radiographs. Eur. Respir. J. 2021, 57, 2003061. [Google Scholar] [CrossRef]
- Koch, G.; Zemel, R.; Salakhutdinov, R. Siamese neural networks for one-shot image recognition. In Proceedings of the Icml Deep Learning Workshop, Lille, France, 6–11 July 2015. [Google Scholar]
- Li, B.; Wu, W.; Wang, Q.; Zhang, F.; Xing, J.; Yan, J. Siamrpn++: Evolution of siamese visual tracking with very deep networks. In Proceedings of the IEEE/CVF Conference on Computer Vision and Pattern Recognition, Long Beach, CA, USA, 15–20 June 2019; pp. 4282–4291. [Google Scholar]
- Cai, J.; Tang, Y.; Yan, K.; Harrison, A.P.; Xiao, J.; Lin, G.; Lu, L. Deep lesion tracker: Monitoring lesions in 4D longitudinal imaging studies. In Proceedings of the IEEE/CVF Conference on Computer Vision and Pattern Recognition, Nashville, TN, USA, 20–25 June 2021; pp. 15159–15169. [Google Scholar]
- Tang, W.; Kang, H.; Zhang, H.; Yu, P.; Arnold, C.W.; Zhang, R. Transformer Lesion Tracker. In Proceedings of the Medical Image Computing and Computer Assisted Intervention–MICCAI 2022: 25th International Conference, Singapore, 18–22 September 2022; pp. 196–206, Proceedings, Part VI. [Google Scholar]
- Jung, H.; Oh, Y. Towards better explanations of class activation mapping. In Proceedings of the IEEE/CVF International Conference on Computer Vision, Montreal, BC, Canada, 11–17 October 2021; pp. 1336–1344. [Google Scholar] [CrossRef]
- Fu, R.; Hu, Q.; Dong, X.; Guo, Y.; Gao, Y.; Li, B. Axiom-based grad-cam: Towards accurate visualization and explanation of cnns. arXiv 2020, arXiv:2008.02312. [Google Scholar]
- Selvaraju, R.R.; Cogswell, M.; Das, A.; Vedantam, R.; Parikh, D.; Batra, D. Grad-cam: Visual explanations from deep networks via gradient-based localization. In Proceedings of the IEEE International Conference on Computer Vision, Venice, Italy, 22–29 October 2017; pp. 618–626. [Google Scholar]
- Vickers, A.J.; Elkin, E.B. Decision curve analysis: A novel method for evaluating prediction models. Med. Decis. Making 2006, 26, 565–574. [Google Scholar] [CrossRef] [PubMed]





| Characteristic | Number (Percentage) |
|---|---|
| Patient information | |
| No. of chest radiographs | 147 |
| Patient with nodules | 72 |
| No. of men | 39 (54.17%) |
| No. of women | 33 (45.83%) |
| Mean age | 62.00 ± 11.74 |
| Nodule information | |
| Total no. of nodules | 208 |
| No. of nodules per chest radiograph | |
| One nodule | 104 |
| Two nodules | 25 |
| Three nodules | 18 |
| Disease | |
| Primary lung cancer | 34 (47.2%) |
| Pulmonary metastasis | 29 (40.28%) |
| Benign | 8 (11.11%) |
| Other primary malignancies in the thorax | 1 (1.39%) |
| Mean nodule volume (cm3) | 9.37 ± 11.69 * |
| Manufacturer | |
| GE Healthcare | 78 (53.06%) |
| Samsung Electronics | 69 (46.94%) |
Disclaimer/Publisher’s Note: The statements, opinions and data contained in all publications are solely those of the individual author(s) and contributor(s) and not of MDPI and/or the editor(s). MDPI and/or the editor(s) disclaim responsibility for any injury to people or property resulting from any ideas, methods, instructions or products referred to in the content. |
© 2023 by the authors. Licensee MDPI, Basel, Switzerland. This article is an open access article distributed under the terms and conditions of the Creative Commons Attribution (CC BY) license (https://creativecommons.org/licenses/by/4.0/).
Share and Cite
Lim, C.Y.; Cha, Y.K.; Chung, M.J.; Park, S.; Park, S.; Woo, J.H.; Kim, J.H. Estimating the Volume of Nodules and Masses on Serial Chest Radiography Using a Deep-Learning-Based Automatic Detection Algorithm: A Preliminary Study. Diagnostics 2023, 13, 2060. https://doi.org/10.3390/diagnostics13122060
Lim CY, Cha YK, Chung MJ, Park S, Park S, Woo JH, Kim JH. Estimating the Volume of Nodules and Masses on Serial Chest Radiography Using a Deep-Learning-Based Automatic Detection Algorithm: A Preliminary Study. Diagnostics. 2023; 13(12):2060. https://doi.org/10.3390/diagnostics13122060
Chicago/Turabian StyleLim, Chae Young, Yoon Ki Cha, Myung Jin Chung, Subin Park, Soyoung Park, Jung Han Woo, and Jong Hee Kim. 2023. "Estimating the Volume of Nodules and Masses on Serial Chest Radiography Using a Deep-Learning-Based Automatic Detection Algorithm: A Preliminary Study" Diagnostics 13, no. 12: 2060. https://doi.org/10.3390/diagnostics13122060
APA StyleLim, C. Y., Cha, Y. K., Chung, M. J., Park, S., Park, S., Woo, J. H., & Kim, J. H. (2023). Estimating the Volume of Nodules and Masses on Serial Chest Radiography Using a Deep-Learning-Based Automatic Detection Algorithm: A Preliminary Study. Diagnostics, 13(12), 2060. https://doi.org/10.3390/diagnostics13122060

