Clinical Features, Histopathology and Differential Diagnosis of Sarcoidosis
Abstract
1. Introduction
2. Clinical Pictures of Sarcoidosis
2.1. Lung Involvement
2.2. Extrapulmonary Disease
2.2.1. Eye Disease
2.2.2. Skin Involvement
2.2.3. Heart
2.2.4. Liver
2.2.5. Spleen
2.2.6. Neurosarcoidosis
2.2.7. Skeletal System
2.2.8. Bone Marrow Involvement
2.2.9. Renal Disease
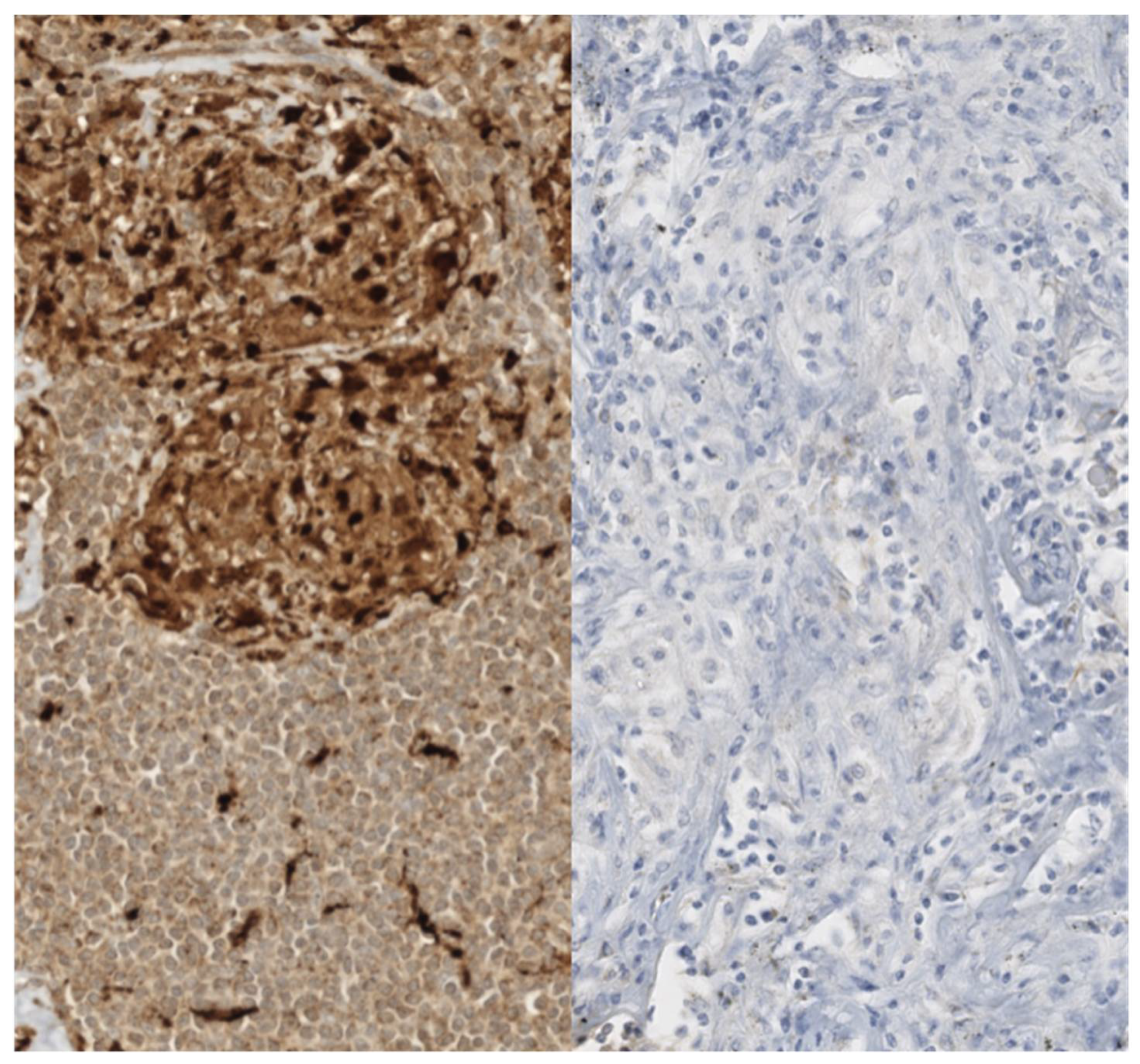
3. Histopathology of Sarcoidosis
3.1. Common Findings
3.2. Other Histopathological Findings
4. Differential Diagnosis of Sarcoid Granulomas
4.1. Hypersensitivity Pneumonitis (HP) or Extrinsic Allergic Alveolitis
4.2. Berylliosis
4.3. Granulomatosis with Polyangiitis (GPA, Formerly Wegner’s Granulomatosis)
4.4. Fungal Infections
4.5. Granulomas from Mycobacterial Tuberculosis
4.6. Non-Tuberculous Mycobacterial (NTM) Granulomas
4.7. Foreign Body Granuloma
4.8. Sarcoid-Like Reaction from Drug and Malignancies
5. Conclusions
Author Contributions
Funding
Institutional Review Board Statement
Informed Consent Statement
Data Availability Statement
Conflicts of Interest
References
- Tana, C. Sarcoidosis: An Old but Always Challenging Disease. Diagnostics 2021, 11, 696. [Google Scholar] [CrossRef]
- Arkema, E.V.; Cozier, Y.C. Sarcoidosis epidemiology: Recent estimates of incidence, prevalence and risk factors. Curr. Opin. Pulm. Med. 2020, 26, 527–534. [Google Scholar] [CrossRef] [PubMed]
- Tana, C.; Mantini, C.; Donatiello, I.; Mucci, L.; Tana, M.; Ricci, F.; Cipollone, F.; Giamberardino, M.A. Clinical Features and Diagnosis of Cardiac Sarcoidosis. J. Clin. Med. 2021, 10, 1941. [Google Scholar] [CrossRef]
- Hena, K.M. Sarcoidosis Epidemiology: Race Matters. Front. Immunol. 2020, 11, 537382. [Google Scholar] [CrossRef]
- Prasse, A.; Katic, C.; Germann, M.; Buchwald, A.; Zissel, G.; Müller-Quernheim, J. Phenotyping sarcoidosis from a pulmonary perspective. Am. J. Respir. Crit. Care Med. 2008, 177, 330–336. [Google Scholar] [CrossRef] [PubMed]
- Denny, M.C.; Fotino, A.M. The Heerfordt-Waldenström syndrome as an initial presentation of sarcoidosis. Bayl. Univ. Med. Cent. Proc. 2013, 26, 390–392. [Google Scholar] [CrossRef]
- Chokoeva, A.A.; Tchernev, G.; Tana, M.; Tana, C. Exclusion criteria for sarcoidosis: A novel approach for an ancient disease? Eur. J. Intern. Med. 2014, 25, e120. [Google Scholar] [CrossRef]
- Chappell, A.G.; Cheung, W.Y.; Hutchings, H.A. Sarcoidosis: A long-term follow up study. Sarcoidosis Vasc. Diffus. Lung Dis. 2000, 17, 167–173. [Google Scholar]
- Neville, E.; Walker, A.N.; James, D.G. Prognostic factors predicting the outcome of sarcoidosis: An analysis of 818 patients. Q. J. Med. 1983, 52, 525–533. [Google Scholar]
- Judson, M.A.; Baughman, R.P.; Teirstein, A.S.; Terrin, M.L.; Yeager, H., Jr. Defining organ involvement in sarcoidosis: The ACCESS proposed instrument. ACCESS Research Group. A Case Control Etiologic Study of Sarcoidosis. Sarcoidosis Vasc. Diffuse. Lung Dis. 1999, 16, 75–86. [Google Scholar]
- Judson, M.A.; Costabel, U.; Drent, M.; Wells, A.; Maier, L.; Koth, L.; Shigemitsu, H.; Culver, D.A.; Gelfand, J.; Valeyre, D.; et al. Organ Assessment Instrument Investigators TW. The WASOG Sarcoidosis Organ Assessment Instrument: An update of a previous clinical tool. Sarcoidosis Vasc. Diffus. Lung Dis. 2014, 31, 19–27. [Google Scholar]
- Katsushika, S.; Kodera, S.; Nakamoto, M.; Ninomiya, K.; Kakuda, N.; Shinohara, H.; Matsuoka, R.; Ieki, H.; Uehara, M.; Higashikuni, Y.; et al. Deep Learning Algorithm to Detect Cardiac Sarcoidosis From Echocardiographic Movies. Circ. J. 2021. [CrossRef] [PubMed]
- Tana, C.; Mantini, C.; Cipollone, F.; Giamberardino, M.A. Chest Imaging of Patients with Sarcoidosis and SARS-CoV-2 Infection. Current Evidence and Clinical Perspectives. Diagnostics (Basel) 2021, 11, 183. [Google Scholar] [CrossRef]
- Lynch, J.P., 3rd; Kazerooni, E.A.; Gay, S.E. Pulmonary sarcoidosis. Clin. Chest Med. 1997, 18, 755–757. [Google Scholar] [CrossRef]
- McKinzie, B.P.; Bullington, W.M.; Mazur, J.E.; Judson, M.A. Efficacy of short-course, low-dose corticosteroid therapy for acute pulmonary sarcoidosis exacerbations. Am. J. Med. Sci. 2010, 339, 1–4. [Google Scholar] [CrossRef]
- Rajesh, S.; Randeep, G.; Anant, M.; Chinmoyee, D. Scadding Criteria for Diagnosis of Sarcoidosis: Is There A Need For Change? Chest 2004, 126, 754S. [Google Scholar]
- Raoof, S.; Amchentsev, A.; Vlahos, I.; Goud, A.; Naidichm, D.P. Pictorial essay: Multinodular disease: A high-resolution CT scan diagnostic algorithm. Chest 2006, 129, 805–815. [Google Scholar] [CrossRef] [PubMed]
- Nishino, M.; Lee, K.S.; Itoh, H.; Hatabu, H. The spectrum of pulmonary sarcoidosis: Variations of high-resolution CT findings and clues for specific diagnosis. Eur. J. Radiol. 2010, 73, 66–73. [Google Scholar] [CrossRef]
- Polychronopoulos, V.S.; Prakash, U.B. Airway involvement in sarcoidosis. Chest 2009, 136, 1371–1380. [Google Scholar] [CrossRef] [PubMed]
- Rosen, Y. Sarcoidosis. In Pulmonary Pathology; Dail, D.H., Hammar, S.P., Eds.; Springer: New York, NY, USA, 1994; pp. 615–645. [Google Scholar]
- Nardi, A.; Brillet, P.-Y.; Letoumelin, P.; Girard, F.; Brauner, M.; Uzunhan, Y.; Naccache, J.-M.; Valeyre, D.; Nunes, H. Stage IV sarcoidosis: Comparison of survival with the general population and causes of death. Eur. Respir. J. 2011, 38, 1368–1373. [Google Scholar] [CrossRef]
- Smith, L.J.; Lawrence, J.B.; Katzenstein, A.A. Vascular sarcoidosis: A rare cause of pulmonary hypertension. Am. J. Med. Sci. 1983, 285, 38–44. [Google Scholar] [CrossRef] [PubMed]
- Rafferty, P.; Biggs, B.A.; Crompton, G.K.; Grant, I.W. What happens to patients with pulmonary aspergilloma? Analysis of 23 cases. Thorax 1983, 38, 579–583. [Google Scholar] [CrossRef]
- Dana, M.R.; Merayo-Lloves, J.; Schaumberg, D.A.; Foster, C.S. Prognosticators for visual outcome in sarcoid uveitis. Ophthalmology 1996, 103, 1846–1853. [Google Scholar] [CrossRef]
- Ohara, K.; Judson, M.A.; Baughman, R.P. Clinical aspects of ocular sarcoidosis. Eur. Respir. J. Monog. 2005, 10, 188–209. [Google Scholar]
- Hart, L.A.; Conron, M.; du Bois, R.M. Sarcoidosis. Int. J. Tuberc. Lung Dis. 2001, 5, 791–806. [Google Scholar]
- Henry, K.; Symmers, W.S.C. Thymus, Lymph Nodes, Spleen and Lymphatics, 3rd ed.; Churchill Livingstone: London, UK, 1993; Volume 7, pp. 517–543. [Google Scholar]
- Goble, R.R.; Murray, P.I. Fuch’s heterochromic uveitis and sarcoidosis. Br. J. Ophthalmol. 1995, 79, 1021–1023. [Google Scholar] [CrossRef] [PubMed]
- Yanardag, H.; Pamuk, O.N. Lacrimal gland involvement in sarcoidosis. The clinical features of 9 patients. Swiss Med. Wkly. 2003, 133, 388–391. [Google Scholar]
- Tchernev, G.; Cardoso, J.C.; Chokoeva, A.A.; Verma, S.B.; Tana, C.; Ananiev, J.; Gulubova, M.; Philipov, S.; Kanazawa, N.; Nenoff, P.; et al. The “mystery” of cutaneous sarcoidosis: Facts and controversies. Int. J. Immunopathol. Pharmacol. 2014, 27, 321–330. [Google Scholar] [CrossRef] [PubMed]
- Tchernev, G.; Tana, C.; Schiavone, C.; Cardoso, J.C.; Ananiev, J.; Wollina, U. Sarcoidosis vs. Sarcoid-like reactions: The Two Sides of the same Coin? Wien Med. Wochenschr. 2014, 164, 247–259. [Google Scholar] [CrossRef]
- Eklund, A.; Rizzato, G. Skin manifestations in sarcoidosis. Eur. Resp. J. Monog. 2005, 10, 150–163. [Google Scholar]
- Requena, L.; Requena, C. Erythema Nodosum. Dermat. Online J. 2003, 8, 4. [Google Scholar]
- Chao, S.C.; Yan, J.J.; Lee, J.Y. Cutaneous sarcoidosis among Taiwanese. J. Formos. Med. Assoc. 2000, 99, 317–323. [Google Scholar]
- Iannuzzi, M.C.; Rybicki, B.A.; Teirstein, A.S. Sarcoidosis. N. Engl. J. Med. 2007, 357, 2153–2165. [Google Scholar] [CrossRef] [PubMed]
- Dubrey, S.W.; Bell, A.; Mittal, T.K. Sarcoid heart disease. Postgrad. Med. J. 2007, 83, 618–623. [Google Scholar] [CrossRef]
- Sharma, O.P. Diagnosis of cardiac sarcoidosis: An imperfect science, a hesitant art. Chest 2003, 123, 18–19. [Google Scholar] [CrossRef] [PubMed]
- Yazaki, Y.; Isobe, M.; Hiroe, M.; Morimoto, S.; Hiramitsu, S.; Nakano, T.; Izumi, T.; Sekiguchi, M.; Central Japan Heart Study Group. Prognostic determinants of long-term survival in Japanese patients with cardiac sarcoidosis treated with prednisone. Am. J. Cardiol. 2001, 88, 1006–1010. [Google Scholar] [CrossRef]
- Yigla, M.; Badarna-Abu-Ria, N.; Tov, N.; Ravell-Weiller, D.; Rubin, A.-H.E. Sarcoidosis in northern Israel; clinical character-istics of 120 patients. Sarcoidosis Vasc. Diffus. Lung Dis. Off. J. WASOG World Assoc. Sarcoidosis Granulomatous Disord. 2002, 19, 220–226. [Google Scholar]
- Baughman, R.P.; Teirstein, A.S.; Judson, M.A.; Rossman, M.D.; Yeager, H., Jr.; Bresnitz, E.A.; DePalo, L.; Hunninghake, G.; Iannuzzi, M.C.; Johns, C.J.; et al. Clinical characteristics of patients in a case control study of sarcoidosis. Am. J. Respir. Crit. Care Med. 2001, 164, 1885–1889. [Google Scholar] [CrossRef]
- Harder, H.; Büchler, M.W.; Fröhlich, B.; Ströbel, P.; Bergmann, F.; Neff, W.; Singer, M.V. Extrapulmonary sarcoidosis of liver and pancreas: A case report and review of literature. World J. Gastroenterol. 2007, 13, 2504–2509. [Google Scholar] [CrossRef]
- Tana, C.; Silingardi, M.; Dietrich, C.F. New trends in ultrasound of hepatosplenic sarcoidosis. Z Gastroenterol. 2015, 53, 283–284. [Google Scholar] [CrossRef]
- Lehmuskallio, E.; Hannuksela, M.; Halme, H. The liver in sarcoidosis. Acta Med. Scand. 1977, 202, 289–293. [Google Scholar] [CrossRef]
- Thudani, U.; Aber, C.P.; Taylor, J.J. Massive splenomegaly, pancytopenia and hæmolitic anaemia in sarcoidosis. Acta Haematol. 1975, 53, 230–240. [Google Scholar] [CrossRef] [PubMed]
- Tana, C.; Donatiello, I.; Coppola, M.G.; Ricci, F.; Maccarone, M.T.; Ciarambino, T.; Cipollone, F.; Giamberardino, M.A. CT Findings in Pulmonary and Abdominal Sarcoidosis. Implications for Diagnosis and Classification. J. Clin. Med. 2020, 9, 3028. [Google Scholar] [CrossRef]
- Tana, C.; Iannetti, G.; Mezzetti, A.; Schiavone, C. Splenic sarcoidosis remains a diagnostic challenge. J. Clin. Ultrasound. 2014, 42, 156. [Google Scholar] [CrossRef] [PubMed]
- Tana, C.; Iannetti, G.; D’Alessandro, P.; Tana, M.; Mezzetti, A.; Schiavone, C. Pitfalls of contrast-enhanced ultrasound (CEUS) in the diagnosis of splenic sarcoidosis. J. Ultrasound. 2013, 16, 75–80. [Google Scholar] [CrossRef][Green Version]
- Tana, C.; Dietrich, C.F.; Schiavone, C. Hepatosplenic sarcoidosis: Contrast-enhanced ultrasound findings and implications for clinical practice. Biomed Res. Int. 2014, 2014, 926203. [Google Scholar] [CrossRef] [PubMed]
- Tana, C.; Wegener, S.; Borys, E.; Pambuccian, S.; Tchernev, G.; Tana, M.; Giamberardino, M.A.; Silingardi, M. Challenges in the diagnosis and treatment of neurosarcoidosis. Ann. Med. 2015, 47, 576–591. [Google Scholar] [CrossRef]
- Nozaki, K.; Scott, T.F.; Sohn, M.; Judson, M.A. Isolated neurosarcoidosis: Case series in 2 sarcoidosis centers. Neurologist 2012, 18, 373–377. [Google Scholar] [CrossRef] [PubMed]
- Hoitsma, E.; Faber, C.G.; Drent, M.; Sharma, O.P. Neurosarcoidosis: A clinical dilemma. Lancet Neurol 2004, 3, 397–407. [Google Scholar] [CrossRef]
- Stern, B.J.; Krumholz, A.; Johns, C.; Scott, P.; Nissim, J. Sarcoidosis and its neurological manifestations. Arch. Neurol. 1985, 42, 909–917. [Google Scholar] [CrossRef]
- Nemni, R.; Galassi, G.; Cohen, M.; Hays, A.P.; Gould, R.; Singh, N.; Bressman, S.; Gamboa, E.T. Symmetric sarcoid polyneu-ropathy: Analysis of a sural nerve biopsy. Neurology 1981, 31, 1217–1223. [Google Scholar] [CrossRef] [PubMed]
- Murialdo, G.; Tamagno, G. Endocrine aspects of neurosarcoidosis. J. Endocrinol. Investig. 2002, 25, 650–662. [Google Scholar] [CrossRef]
- Barnard, J.; Newman, L.S. Sarcoidosis: Immunology, rheumatic involvement, and therapeutics. Curr. Opin. Rheumatol. 2001, 13, 84–91. [Google Scholar] [CrossRef]
- Flipo, R.M.; Cotton, A. Sarcoidosic dactylitis. Rev. Med. Intern. 1995, 16, 724–725. [Google Scholar] [CrossRef]
- Neville, E.; Carstairs, L.S.; James, D.G. Sarcoidosis of bone. Q. J. Med. 1977, 46, 215–227. [Google Scholar] [CrossRef]
- Mañá, J.; Gómez-Vaquero, C.; Montero, A.; Salazar, A.; Marcoval, J.; Valverde, J.; Manresa, F.; Pujol, R. Löfgren’s syndrome revisited: A study of 186 patients. Am. J. Med. 1999, 107, 240–245. [Google Scholar] [CrossRef]
- Awada, H.; Abi-Karam, G.; Fayad, F. Musculoskeletal and other extrapulmonary disorders in sarcoidosis. Best Pract. Res. Clin. Rheumatol. 2003, 17, 971–987. [Google Scholar] [CrossRef] [PubMed]
- Bhargava, V.; Farhi, D.C. Bone marrow granulomas: Clinicopathologic findings in 72 cases and review of the literature. Hematol. Pathol. 1988, 2, 43–50. [Google Scholar]
- Brackers de Hugo, L.; French, M.; Broussolle, C.; Sève, P. Granulomatous lesions in bone marrow: Clinicopathologic findings and significance in a study of 48 cases. Eur. J. Intern. Med. 2013, 24, 468–473. [Google Scholar] [CrossRef] [PubMed]
- Peña-Garcia, J.I.; Shaikh, S.; Barakoti, B.; Papageorgiou, C.; Lacasse, A. Bone marrow involvement in sarcoidosis: An elusive extrapulmonary manifestation. J. Community Hosp. Intern. Med. Perspect. 2019, 9, 150–154. [Google Scholar] [CrossRef]
- Berliner, A.R.; Haas, M.; Choi, M.J. Sarcoidosis: The nephrologist’s perspective. Am. J. Kidney Dis. 2006, 48, 856–870. [Google Scholar] [CrossRef]
- Göbel, U.; Kettritz, R.; Schneider, W.; Luft, F.C. The Protean face of renal sarcoidosis. J. Am. Soc. Nephrol. 2001, 12, 616–623. [Google Scholar] [CrossRef] [PubMed]
- Costabel, U.; Ohsimo, S.; Guzman, J. Diagnosis of sarcoidosis. Curr. Opin. Pulm. Med. 2008, 14, 455–461. [Google Scholar] [CrossRef] [PubMed]
- Semenzato, G.; Pezzutto, A.; Chilosi, M.; Pizzolo, G. Redistribution of T-lymphocytes in the lymph nodes of patients with sarcoidosis. N. Engl. J. Med. 1982, 306, 48–49. [Google Scholar] [PubMed]
- Gal, A.A.; Koss, M.N. The pathology of sarcoidosis. Curr. Opin. Pulm. Med. 2002, 8, 445–451. [Google Scholar] [CrossRef]
- Tana, C.; Giamberardino, M.A.; Di Gioacchino, M.; Mezzetti, A.; Schiavone, C. Immunopathogenesis of sarcoidosis and risk of malignancy: A lost truth? Int. J. Immunopathol. Pharmacol. 2013, 26, 305–313. [Google Scholar] [CrossRef] [PubMed]
- Reid, J.D.; Andersen, M.E. Calcium oxalate in sarcoid granulomas. Am. J. Clin. Pathol. 1988, 90, 545–558. [Google Scholar] [CrossRef]
- Rosen, Y. Pathology of sarcoidosis. Semin Respir. Crit. Care Med. 2007, 28, 36–52. [Google Scholar]
- Jones Williams, W. The nature and origin of Schaumann bodies. J. Pathol. Bacteriol. 1960, 79, 193–201. [Google Scholar] [CrossRef]
- Boutet, M. Ultrastructural and histochemical study of Hamasaki-Wesenberg bodies in lymphonode sarcoidosis. Ann. Anat. Pathol. 1975, 20, 201–212. [Google Scholar]
- Liebow, A.A. The J. Burns Amberson lecture–pulmonary angiitis and granulomatosis. Am. Rev. Respir. Dis. 1973, 108, 1–18. [Google Scholar]
- Karpathiou, G.; Batistatou, A.; Boglou, P.; Stefanou, D.; Froudarakis, M.E. Necrotizing sarcoid granulomatosis: A distinctive form of pulmonary granulomatous disease. Clin. Respir. J. 2018, 12, 1313–1319. [Google Scholar] [CrossRef] [PubMed]
- Le Gall, F.; Loeuillet, L.; Delaval, P.; Thoreux, P.H.; Desrues, B.; Ramee, M.P. Necrotizing sarcoid granulomatosis with and without extrapulmonary involvement. Path. Res. Pract. 1996, 192, 306–313. [Google Scholar] [CrossRef]
- Tana, C.; Schiavone, C. The Chameleon Behavior of Sarcoidosis. J. Clin. Med. 2021, 10, 2780. [Google Scholar] [CrossRef]
- Coleman, A.; Colby, T.V. Histologic diagnosis of extrinsic allergic alveolitis. Am. J. Surg. Pathol. 1988, 12, 514–518. [Google Scholar] [CrossRef]
- Popper, H.H. Epithelioid cell granulomatosis of the lung: New insights and concepts. Sarcoidosis Vasc. Diffus. Lung Dis. 1999, 16, 32–46. [Google Scholar]
- Godman, G.; Churg, J. Wegener’s granulomatosis. A.M.A. Arch. Pathol. 1954, 58, 533–553. [Google Scholar]
- Mukhopadhyay, S. Role of histology in the diagnosis of infectious causes of granulomatous lung disease. Curr. Opin. Pulm. Med. 2001, 17, 189–196. [Google Scholar] [CrossRef]
- Mukhopadhyay, S.; Gal, A.A. Granulomatous lung disease: An approach to the differential diagnosis. Arch. Pathol. Lab. Med. 2010, 134, 667–690. [Google Scholar] [CrossRef]
- Arar, O.; Boni, F.; Meschi, T.; Tana, C. Pulmonary Sarcoidosis Presenting with Miliary Opacities. Curr. Med. Imaging Rev. 2019, 15, 81–83. [Google Scholar] [CrossRef] [PubMed]
- Hsu, R.M.; Connors, A.F., Jr.; Tomashefski, J.F., Jr. Histologic, microbiologic, and clinical correlates of the diagnosis of sarcoi-dosis by transbronchial biopsy. Arch. Pathol. Lab. Med. 1996, 120, 364–368. [Google Scholar]
- Boehme, C.C.; Nabeta, P.; Hillemann, D.; Nicol, M.; Shenai, S.; Krapp, F.; Allen, J.; Tahirli, R.; Blakemore, R.; Rustomjee, R.; et al. Rapid molecular detection of tuberculosis and rifampin resistance. N. Engl. J. Med. 2010, 363, 1005–1015. [Google Scholar] [CrossRef]
- Griffith, D.E.; Aksamit, T.; Brown-Elliott, B.A.; Catanzaro, A.; Daley, C.; Gordin, F.; Holland, S.M.; Horsburgh, R.; Huitt, G.; Iademarco, M.F.; et al. An official ATS/IDSA statement: Diagnosis, treatment, and prevention of nontuberculous mycobacterial diseases. Am. J. Respir. Crit. Care Med. 2007, 175, 367–416. [Google Scholar] [CrossRef] [PubMed]
- Wallace, J.M.; Hannah, J.B. Mycobacterium avium complex infection in patients with the acquired immunodeficiency syn-drome. A clinicopathologic study. Chest 1988, 93, 926–932. [Google Scholar] [CrossRef] [PubMed]
- Corpe, R.F.; Runyon, E.H.; Lester, W. Status of disease due to unclassified mycobacteria. A statement of the Subcommittee on Unclassified Mycobacteria of the Committee on Therapy. Am. Rev. Respir. Dis. 1963, 87, 459–461. [Google Scholar] [CrossRef]
- Weeden, D. The Granulomatous Reaction Pattern. Weedon’s Skin Pathology; Elsevier: Beijing, China, 2010; pp. 170–196. [Google Scholar]
- Churg, C.; Green, H.Y. Miscellaneous conditions. In Pathology of Occupational Lung Disease; Churg, A., Green, F.Y., Eds.; Iga-kuShoin: New York, NY, USA, 1988; pp. 351–353. [Google Scholar]
- Miedema, J.; Nunes, H. Drug-induced sarcoidosis-like reactions. Curr. Opin. Pulm. Med. 2021, 27, 439–447. [Google Scholar] [CrossRef] [PubMed]
- Cabanié, C.; Ammari, S.; Hans, S.; Pobel, C.; Laparra, A.; Danlos, F.X.; Chanson, N.; Dolidon, S.; Seban, R.; Voisin, A.L.; et al. Outcomes of patients with cancer and sarcoid-like granulomatosis associated with immune checkpoint inhibitors: A case-control study. Eur. J. Cancer. 2021, 156, 46–59. [Google Scholar] [CrossRef]
- Brincker, H. Sarcoid reactions in malignant tumours. Cancer Treat Rev. 1986, 13, 147–156. [Google Scholar] [CrossRef]
- Brincker, H.; Pedersen, N.T. Immunohistologic separation of B-cell-positive granulomas from B-cell-negative granulomas in paraffin-embedded tissues with special reference to tumor-related sarcoid reactions. APMIS 1991, 99, 282–290. [Google Scholar] [CrossRef]






| Stage | Chest X-Ray Findings | Frequency (%) | Resolution (%) |
|---|---|---|---|
| 0 | Normal | 5–15 | |
| I | Bilateral hilar lymph node enlargement | 25–65 | 60–90 |
| II | Bilateral hilar lymph node enlargement and lung infiltration | 20–40 | 40–70 |
| III | Lung infiltration without lymph node enlargement | 10–15 | 10–20 |
| IV | Lung fibrosis | 5 | 0 |
Publisher’s Note: MDPI stays neutral with regard to jurisdictional claims in published maps and institutional affiliations. |
© 2021 by the authors. Licensee MDPI, Basel, Switzerland. This article is an open access article distributed under the terms and conditions of the Creative Commons Attribution (CC BY) license (https://creativecommons.org/licenses/by/4.0/).
Share and Cite
Tana, C.; Donatiello, I.; Caputo, A.; Tana, M.; Naccarelli, T.; Mantini, C.; Ricci, F.; Ticinesi, A.; Meschi, T.; Cipollone, F.; et al. Clinical Features, Histopathology and Differential Diagnosis of Sarcoidosis. Cells 2022, 11, 59. https://doi.org/10.3390/cells11010059
Tana C, Donatiello I, Caputo A, Tana M, Naccarelli T, Mantini C, Ricci F, Ticinesi A, Meschi T, Cipollone F, et al. Clinical Features, Histopathology and Differential Diagnosis of Sarcoidosis. Cells. 2022; 11(1):59. https://doi.org/10.3390/cells11010059
Chicago/Turabian StyleTana, Claudio, Iginio Donatiello, Alessandro Caputo, Marco Tana, Teresa Naccarelli, Cesare Mantini, Fabrizio Ricci, Andrea Ticinesi, Tiziana Meschi, Francesco Cipollone, and et al. 2022. "Clinical Features, Histopathology and Differential Diagnosis of Sarcoidosis" Cells 11, no. 1: 59. https://doi.org/10.3390/cells11010059
APA StyleTana, C., Donatiello, I., Caputo, A., Tana, M., Naccarelli, T., Mantini, C., Ricci, F., Ticinesi, A., Meschi, T., Cipollone, F., & Giamberardino, M. A. (2022). Clinical Features, Histopathology and Differential Diagnosis of Sarcoidosis. Cells, 11(1), 59. https://doi.org/10.3390/cells11010059

