Utilization of Marine Waste to Obtain β-Chitin Nanofibers and Films from Giant Humboldt Squid Dosidicus gigas
Abstract
1. Introduction
2. Results and Discussion
2.1. Squid Pen and β-Chitin Isolated Composition
2.2. Physicochemical Characterization of β-Chitin
2.2.1. 13C CP/MAS Solid-State NMR Analysis
2.2.2. FTIR Analysis
2.2.3. Thermogravimetric Analysis
2.2.4. SEM Analysis
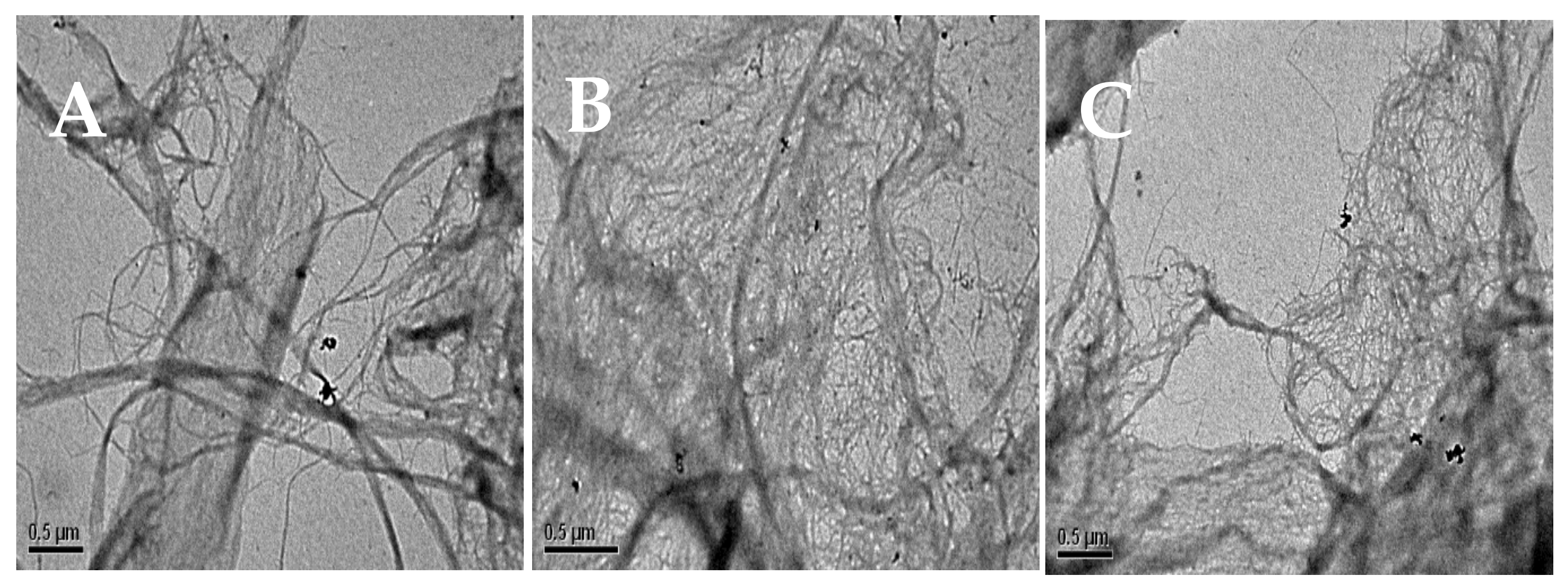
2.3. Nanofibrillated β-Chitin Characterization
2.3.1. Viscosity
2.3.2. TEM Analysis
2.4. Nanofibrous β-Chitin Film Preparation and Characterization
2.4.1. X-ray Diffraction (XRD) Analysis
2.4.2. SEM Analysis of Films
2.4.3. Mechanical, Colorimetric, and Swelling Degree Properties
3. Materials and Methods
3.1. Materials
3.2. β-Chitin Isolation at Bench Scale
3.3. Characterization of Squid Pen and Isolated β-Chitin
3.3.1. Water and Ash Content
3.3.2. Total Protein Content
3.3.3. Chitin Content
3.3.4. Total Lipid Content
3.3.5. Infrared Spectroscopy Analysis
3.3.6. Thermogravimetric Analysis
3.3.7. Solid-State Cross-Polarization/Magic Angle Spinning 13C NMR Spectroscopy (CP/MAS 13C NMR)
3.3.8. Scanning Electron Microscopy (SEM)
3.3.9. Reduced Viscosity Determination
3.4. β-Chitin Nanofibrils (NF) Preparation at Bench Scale
3.5. Physicochemical Characterization of β-Chitin Nanofibrils
3.5.1. Viscosimetry
3.5.2. Transmission Electron Microscopy (TEM)
3.5.3. X-ray Diffraction (XRD)
3.6. Preparation of Nanofibrous β-Chitin Films
3.7. Characterization of Films
Mechanical, Colorimetric, and Swelling Degree Analysis
4. Conclusions
Author Contributions
Funding
Data Availability Statement
Conflicts of Interest
References
- Vázquez, J.A.; Sotelo, C.G.; Sanz, N.; Pérez-Martín, R.I.; Rodríguez-Amado, I.; Valcarcel, J. Valorization of Aquaculture By-Products of Salmonids to Produce Enzymatic Hydrolysates: Process Optimization, Chemical Characterization and Evaluation of Bioactives. Mar. Drugs 2019, 17, 676. [Google Scholar] [CrossRef]
- Al Khawli, F.; Pateiro, M.; Domínguez, R.; Lorenzo, J.M.; Gullón, P.; Kousoulaki, K.; Ferrer, E.; Berrada, H.; Barba, F.J. Innovative Green Technologies of Intensification for Valorization of Seafood and Their By-Products. Mar. Drugs 2019, 17, 689. [Google Scholar] [CrossRef] [PubMed]
- Giannetto, A.; Esposito, E.; Lanza, M.; Oliva, S.; Riolo, K.; Di Pietro, S.; Abbate, J.M.; Briguglio, G.; Cassata, G.; Cicero, L.; et al. Protein Hydrolysates from Anchovy (Engraulis encrasicolus) Waste: In Vitro and In Vivo Biological Activities. Mar. Drugs 2020, 18, 86. [Google Scholar] [CrossRef] [PubMed]
- Bernabé, P.; Becherán, L.; Cabrera-Barjas, G.; Nesic, A.; Alburquenque, C.; Tapia, C.V.; Taboada, E.; Alderete, J.; De Los Ríos, P. Chilean crab (Aegla cholchol) as a new source of chitin and chitosan with antifungal properties against Candida spp. Int. J. Biol. Macromol. 2020, 149, 962–975. [Google Scholar] [CrossRef]
- Bastiaens, L.; Soetemans, L.; D’Hondt, E.; Elst, K. Sources of Chitin and Chitosan and Their Isolation. In Chitin and Chitosan: Properties and Applications; van den Broek, L.A.M., Boeriu, C.G., Eds.; John Wiley & Sons: Hoboken, NJ, USA, 2019; pp. 1–34. [Google Scholar]
- Hamed, I.; Özogul, F.; Regenstein, J.M. Industrial Applications of Crustacean By-Products (Chitin, Chitosan, and Chitooligosaccharides): A Review. Trends Food Sci. Technol. 2016, 48, 40–50. [Google Scholar] [CrossRef]
- Suenaga, S.; Nikaido, N.; Totani, K.; Kawasaki, K.; Ito, Y.; Yamashita, K.; Osada, M. Effect of purification method of β-chitin from squid pen on the properties of β-chitin nanofibers. Int. J. Biol. Macromol. 2016, 91, 987–993. [Google Scholar] [CrossRef]
- Ma, Q.; Pang, K.; Wang, K.; Huang, S.; Ding, B.; Duan, Y.; Zhang, J. Ultrafine and carboxylated β-chitin nanofibers prepared from squid pen and its transparent hydrogels. Carbohydr. Polym. 2019, 211, 118–123. [Google Scholar] [CrossRef] [PubMed]
- Uranga, J.; Etxabide, A.; Cabezudo, S.; de la Caba, K.; Guerrero, P. Valorization of marine-derived biowaste to develop chitin/fish gelatin products as bioactive carriers and moisture scavengers. Sci. Total Environ. 2020, 706, 135747. [Google Scholar] [CrossRef] [PubMed]
- Saito, T.; Kuramae, R.; Wohlert, J.; Berglund, L.A.; Isogai, A. An Ultrastrong Nanofibrillar Biomaterial: The Strength of Single Cellulose Nanofibrils Revealed via Sonication-Induced Fragmentation. Biomacromolecules 2013, 14, 248–253. [Google Scholar] [CrossRef]
- Susana Cortizo, M.; Berghoff, C.F.; Alessandrini, J.L. Characterization of chitin from Illex argentinus squid pen. Carbohydr. Polym. 2008, 74, 10–15. [Google Scholar] [CrossRef]
- Cuong, H.N.; Minh, N.C.; Van Hoa, N.; Trung, T.S. Preparation and characterization of high purity β-chitin from squid pens (Loligo chenisis). Int. J. Biol. Macromol. 2016, 93, 442–447. [Google Scholar] [CrossRef] [PubMed]
- Lavall, R.; Assis, O.; Campana-Filho, S. β-Chitin from the pens of Loligo sp.: Extraction and characterization. Bioresour. Technol. 2007, 98, 2465–2472. [Google Scholar] [CrossRef]
- Suenaga, S.; Totani, K.; Nomura, Y.; Yamashita, K.; Shimada, I.; Fukunaga, H.; Takahashi, N.; Osada, M. Effect of acidity on the physicochemical properties of α- and β-chitin nanofibers. Int. J. Biol. Macromol. 2017, 102, 358–366. [Google Scholar] [CrossRef] [PubMed]
- Ifuku, S.; Yamada, K.; Morimoto, M.; Saimoto, H. Nanofibrillation of Dry Chitin Powder by Star Burst System. J. Nanomater. 2012, 2012, 645624. [Google Scholar] [CrossRef]
- Lu, Y.; Sun, Q.; She, X.; Xia, Y.; Liu, Y.; Li, J.; Yang, D. Fabrication and characterisation of α-chitin nanofibers and highly transparent chitin films by pulsed ultrasonication. Carbohydr. Polym. 2013, 98, 1497–1504. [Google Scholar] [CrossRef] [PubMed]
- Ifuku, S.; Nogi, M.; Abe, K.; Yoshioka, M.; Morimoto, M.; Saimoto, H.; Yano, H. Preparation of chitin nanofibers with a uniform width as α-chitin from crab shells. Biomacromolecules 2009, 10, 1584–1588. [Google Scholar] [CrossRef] [PubMed]
- Salaberria, A.M.; Fernandes, S.C.M.; Diaz, R.H.; Labidi, J. Processing of α-chitin nanofibers by dynamic high pressure homogenization: Characterization and antifungal activity against A. niger. Carbohydr. Polym. 2015, 116, 286–291. [Google Scholar] [CrossRef] [PubMed]
- Morganti, P. Chitin-Nanofibrils in skin treatment. J. Appl. Cosmetol. 2009, 27, 251–270. [Google Scholar]
- Danti, S.; Trombi, L.; Fusco, A.; Azimi, B.; Lazzeri, A.; Morganti, P.; Coltelli, M.-B.; Donnarumma, G. Chitin Nanofibrils and Nanolignin as Functional Agents in Skin Regeneration. Int. J. Mol. Sci. 2019, 20, 2669. [Google Scholar] [CrossRef]
- Zhu, Y.; Huan, S.; Bai, L.; Ketola, A.; Shi, X.; Zhang, X.; Ketoja, J.A.; Rojas, O.J. High Internal Phase Oil-in-Water Pickering Emulsions Stabilized by Chitin Nanofibrils: 3D Structuring and Solid Foam. ACS Appl. Mater. Interfaces 2020, 12, 11240–11251. [Google Scholar] [CrossRef]
- Coltelli, M.-B.; Gigante, V.; Panariello, L.; Aliotta, L.; Morganti, P.; Danti, S.; Cinelli, P.; Lazzeri, A. Chitin Nanofibrils in Renewable Materials for Packaging and Personal Care Applications. Adv. Mater. Lett. 2019, 10, 425–430. [Google Scholar]
- Seggiani, M.; Cinelli, P.; Verstichel, S.; Puccini, M.; Vitolo, S.; Anguillesi, I.; Lazzeri, A. Development of Fibres-Reinforced Biodegradable Composites. Chem. Eng. Trans. 2015, 43, 1813–1815. [Google Scholar]
- Youn, D.K.; No, H.K.; Prinyawiwatkul, W. Preparation and characteristics of squid pen β-chitin prepared under optimal deproteinisation and demineralisation condition. Int. J. Food Sci. Technol. 2013, 48, 571–577. [Google Scholar] [CrossRef]
- Abdelmalek, B.E.; Sila, A.; Haddar, A.; Bougatef, A.; Ayadi, M.A. β-Chitin and chitosan from squid gladius: Biological activities of chitosan and its application as clarifying agent for apple juice. Int. J. Biol. Macromol. 2017, 104, 953–962. [Google Scholar] [CrossRef]
- Subhapradha, N.; Ramasamy, P.; Sudharsan, S.; Seedevi, P.; Moovendhan, M.; Srinivasan, A.; Shanmugam, V.; Shanmugam, A. Preparation of phosphorylated chitosan from gladius of the squid Sepioteuthis lessoniana (Lesson, 1830) and its in vitro antioxidant activity. Bioact. Carbohydr. Diet. Fibre 2013, 1, 148–155. [Google Scholar] [CrossRef]
- Tolaimate, A.; Desbrieres, J.; Rhazi, M.; Alagui, A. Contribution to the preparation of chitins and chitosans with controlled physico-chemical properties. Polymer 2003, 44, 7939–7952. [Google Scholar] [CrossRef]
- Cárdenas, G.; Cabrera, G.; Taboada, E.; Miranda, S.P. Chitin characterization by SEM, FTIR, XRD, and 13 C cross polarization/mass angle spinning NMR. J. Appl. Polym. Sci. 2004, 93, 1876–1885. [Google Scholar] [CrossRef]
- Chaussard, G.; Domard, A. New Aspects of the Extraction of Chitin from Squid Pens. Biomacromolecules 2004, 5, 559–564. [Google Scholar] [CrossRef] [PubMed]
- Methacanon, P.; Prasitsilp, M.; Pothsree, T.; Pattaraarchachai, J. Heterogeneous N-deacetylation of squid chitin in alkaline solution. Carbohydr. Polym. 2003, 52, 119–123. [Google Scholar] [CrossRef]
- Perez, J.J.; Villanueva, M.E.; Sánchez, L.; Ollier, R.; Alvarez, V.; Copello, G.J. Low cost and regenerable composites based on chitin/bentonite for the adsorption potential emerging pollutants. Appl. Clay Sci. 2020, 194, 105703. [Google Scholar] [CrossRef]
- Balitaan, J.N.I.; Yeh, J.-M.; Santiago, K.S. Marine waste to a functional biomaterial: Green facile synthesis of modified-β-chitin from Uroteuthis duvauceli pens (gladius). Int. J. Biol. Macromol. 2020, 154, 1565–1575. [Google Scholar] [CrossRef] [PubMed]
- Ianiro, A.; Giosia, M.; Fermani, S.; Samorì, C.; Barbalinardo, M.; Valle, F.; Pellegrini, G.; Biscarini, F.; Zerbetto, F.; Calvaresi, M.; et al. Customizing Properties of β-Chitin in Squid Pen (Gladius) by Chemical Treatments. Mar. Drugs 2014, 12, 5979–5992. [Google Scholar] [CrossRef]
- Yang, F.-C.; Peters, R.D.; Dies, H.; Rheinstädter, M.C. Hierarchical, self-similar structure in native squid pen. Soft Matter 2014, 10, 5541–5549. [Google Scholar] [CrossRef]
- Nishiyama, Y.; Noishiki, Y.; Wada, M. X-ray Structure of Anhydrous β-Chitin at 1 Å Resolution. Macromolecules 2011, 44, 950–957. [Google Scholar] [CrossRef]
- Montroni, D.; Marzec, B.; Valle, F.; Nudelman, F.; Falini, G. β-Chitin Nanofibril Self-Assembly in Aqueous Environments. Biomacromolecules 2019, 20, 2421–2429. [Google Scholar] [CrossRef]
- Silva, S.S.; Gomes, J.M.; Rodrigues, L.C.; Reis, R.L. Marine-Derived Polymers in Ionic Liquids: Architectures Development and Biomedical Applications. Mar. Drugs 2020, 18, 346. [Google Scholar] [CrossRef] [PubMed]
- Fang, Y.; Zhang, R.; Duan, B.; Liu, M.; Lu, A.; Zhang, L. Recyclable Universal Solvents for Chitin to Chitosan with Various Degrees of Acetylation and Construction of Robust Hydrogels. ACS Sustain. Chem. Eng. 2017, 5, 2725–2733. [Google Scholar] [CrossRef]
- Roy, J.C.; Salaün, F.; Giraud, S.; Ferri, A.; Chen, G.; Guan, J. Solubility of Chitin: Solvents, Solution Behaviors and Their Related Mechanisms. In Solubility of Polysaccharides; InTech: London, UK, 2017. [Google Scholar]
- Shamshina, J.L.; Berton, P. Use of Ionic Liquids in Chitin Biorefinery: A Systematic Review. Front. Bioeng. Biotechnol. 2020, 8, 1–14. [Google Scholar] [CrossRef]
- Joseph, B.; Mavelil Sam, R.; Balakrishnan, P.; Maria, H.J.; Gopi, S.; Volova, T.; Fernandes, S.C.M.; Thomas, S. Extraction of Nanochitin from Marine Resources and Fabrication of Polymer Nanocomposites: Recent Advances. Polymers 2020, 12, 1664. [Google Scholar]
- Suenaga, S.; Osada, M. Preparation of β-Chitin Nanofiber Aerogels by Lyophilization. Int. J. Biol. Macromol. 2019, 126, 1145–1149. [Google Scholar] [CrossRef]
- Jung, J.; Zhao, Y. Alkali- or acid-induced changes in structure, moisture absorption ability and deacetylating reaction of β-chitin extracted from jumbo squid (Dosidicus gigas) pens. Food Chem. 2014, 152, 355–362. [Google Scholar] [CrossRef] [PubMed]
- Fan, Y.; Saito, T.; Isogai, A. Preparation of Chitin Nanofibers from Squid Pen β-Chitin by Simple Mechanical Treatment under Acid Conditions. Biomacromolecules 2008, 9, 1919–1923. [Google Scholar] [CrossRef] [PubMed]
- Kaya, M.; Sargin, I.; Sabeckis, I.; Noreikaite, D.; Erdonmez, D.; Salaberria, A.M.; Labidi, J.; Baublys, V.; Tubelytė, V. Biological, mechanical, optical and physicochemical properties of natural chitin films obtained from the dorsal pronotum and the wing of cockroach. Carbohydr. Polym. 2017, 163, 162–169. [Google Scholar] [CrossRef]
- Mushi, N.E. A Review on Native Well-Preserved Chitin Nanofibrils for Materials of High Mechanical Performance. Int. J. Biol. Macromol. 2021, 178, 591–606. [Google Scholar] [CrossRef]
- Ifuku, S. Chitin and Chitosan Nanofibers: Preparation and Chemical Modifications. Molecules 2014, 19, 18367–18380. [Google Scholar] [CrossRef] [PubMed]
- Dutta, A.K.; Izawa, H.; Morimoto, M.; Saimoto, H.; Ifuku, S. Simple Preparation of Chitin Nanofibers from Dry Squid Pen β-Chitin Powder by Star Burst System. J. Chitin Chitosan Sci. 2013, 1, 186–191. [Google Scholar] [CrossRef]
- Mushi, N.E.; Nishino, T.; Berglund, L.A.; Zhou, Q. Strong and Tough Chitin Film from α-Chitin Nanofibers Prepared by High Pressure Homogenization and Chitosan Addition. ACS Sustain. Chem. Eng. 2019, 7, 1692–1697. [Google Scholar] [CrossRef]
- Wu, Q.; Jungstedt, E.; Šoltésová, M.; Mushi, N.E.; Berglund, L.A. High Strength Nanostructured Films Based on Well-Preserved β-Chitin Nanofibrils. Nanoscale 2019, 11, 11001–11011. [Google Scholar] [CrossRef]
- Zhang, X.; Rolandi, M. Engineering Strategies for Chitin Nanofibers. J. Mater. Chem. B 2017, 5, 2547–2559. [Google Scholar] [CrossRef]
- Fazli Wan Nawawi, W.M.; Lee, K.Y.; Kontturi, E.; Murphy, R.J.; Bismarck, A. Chitin Nanopaper from Mushroom Extract: Natural Composite of Nanofibers and Glucan from a Single Biobased Source. ACS Sustain. Chem. Eng. 2019, 7, 6492–6496. [Google Scholar] [CrossRef]
- Ezekiel Mushi, N.; Butchosa, N.; Zhou, Q.; Berglund, L.A. Nanopaper Membranes from Chitin-Protein Composite Nanofibers—Structure and Mechanical Properties. J. Appl. Polym. Sci. 2014, 131, 1–9. [Google Scholar] [CrossRef]
- Wu, J.; Zhang, K.; Girouard, N.; Meredith, J.C. Facile Route to Produce Chitin Nanofibers as Precursors for Flexible and Transparent Gas Barrier Materials. Biomacromolecules 2014, 15, 4614–4620. [Google Scholar] [CrossRef]
- Kaku, Y.; Fujisawa, S.; Saito, T.; Isogai, A. Synthesis of Chitin Nanofiber-Coated Polymer Microparticles via Pickering Emulsion. Biomacromolecules 2020, 21, 1886–1891. [Google Scholar] [CrossRef] [PubMed]
- Azuma, K.; Nishihara, M.; Shimizu, H.; Itoh, Y.; Takashima, O.; Osaki, T.; Itoh, N.; Imagawa, T.; Murahata, Y.; Tsuka, T.; et al. Biological Adhesive Based on Carboxymethyl Chitin Derivatives and Chitin Nanofibers. Biomaterials 2015, 42, 20–29. [Google Scholar] [CrossRef] [PubMed]
- Jayakumar, R.; Prabaharan, M.; Nair, S.V.; Tamura, H. Novel Chitin and Chitosan Nanofibers in Biomedical Applications. Biotechnol. Adv. 2010, 28, 142–150. [Google Scholar] [CrossRef]
- Fuyuan, D.; Hongbing, D.; Yumin, D.; Xiaowen, S.; Qun, W. Emerging Chitin and Chitosan Nanofibrous Materials for Biomedical Application. Nanoscale 2014, 6, 9477–9493. [Google Scholar]
- Aklog, Y.F.; Egusa, M.; Kaminaka, H.; Izawa, H.; Morimoto, M.; Saimoto, H.; Ifuku, S. Protein/CaCo3/Chitin Nanofiber Complex Prepared from Crab Shells by Simple Mechanical Treatment and Its Effect on Plant Growth. Int. J. Mol. Sci. 2016, 17, 1600. [Google Scholar] [CrossRef]
- Egusa, M.; Matsui, H.; Urakami, T.; Okuda, S.; Ifuku, S.; Nakagami, H.; Kaminaka, H. Chitin Nanofiber Elucidates the Elicitor Activity of Polymeric Chitin in Plants. Front. Plant Sci. 2015, 6, 1–7. [Google Scholar] [CrossRef]
- Bligh, E.G.; Dyer, W.J. A rapid method of total lipid extraction and purification. Can. J. Biochem. Physiol. 1959, 37, 911–917. [Google Scholar] [CrossRef]
- Hardy, R.; Keay, J.N. Seasonal variations in the chemical composition of Cornish mackerel, Scomber scombrus (L), with detailed reference to the lipids. Int. J. Food Sci. Technol. 2007, 7, 125–137. [Google Scholar] [CrossRef]










| Sample | Humidity (%) | Ashes (%) | Lipid (%) | Chitin (%) | Protein (%) | DA (%) 1 | Ref |
|---|---|---|---|---|---|---|---|
| Squid pen | 23.3 ± 1.2 | 1.8 ± 0.2 | 0.4 ± 0.1 | 30.2 ± 0.5 | 67.5 ± 0.4 | - | Present work |
| Loligo vulgaris | - | 1.7 ± 0.1 | 0.32 ± 0.04 | 40.0 ± 1.5 | 36.5 ± 0.6 | - | [27] |
| Loligo chenisis | - | 1.4 ± 0.2 | 1.9 ± 0.2 | 35.8 ±1.8 | 57.2 ±2.3 | - | [12] |
| Todarodes pacifica | - | 0.8 ± 0.1 | 0.20 ± 0.01 | 25.5 ± 0.4 | 74.6 ± 0.3 | - | [26] |
| Illex argentinus | - | 0.1 ± 0.1 | 2.3 ± 0.2 | 31.0 ± 0.6 | 64.0 ± 0.7 | - | [11] |
| β-Chitin | 10.1 ± 0.9 | 0.7 ± 0.2 | - | - | 0.7 ± 0.1 | 96.4 | Present work |
| Sample | Temperature (°C) | Weight Loss (%) | ||
|---|---|---|---|---|
| TOnset | Tmax | TEnd | ||
| Squid pen | 25 | 46 | 126 | 23.0 |
| 127 | 223 | 264 | 22.8 | |
| 264 | 294 | 550 | 20.2 | |
| β-Chitin | 25 | 86 | 193 | 3.6 |
| 193 | 325 | 550 | 59.4 | |
| Sample | d-Spacing (Å) | Dap (nm) | CI (%) | ||
|---|---|---|---|---|---|
| (010) | 0) | (010) | 0) | ||
| β-chitin powder | 10.76 | 4.59 | 6.00 | 2.60 | 69.7 |
| NF β-chitin film | 10.05 | 4.48 | 4.70 | 2.60 | 68.0 |
| Thickness (mm) | E (GPa) | TS (MPa) | e (%) | Swelling Degree (%) | CIELAB | |||||
|---|---|---|---|---|---|---|---|---|---|---|
| pH 4 | pH 6 | pH 8 | L* | a* | b* | ΔE* | ||||
| 0.02 | 0.9 | 3.94 | 3.46 | 294 ± 12 | 291 ± 15 | 257 ± 16 | 91.88 | −0.273 | 1.647 | 3.43 |
| 0.05 | 1.1 | 17.4 | 1.74 | 287 ± 14 | 283 ± 12 | 263 ± 13 | 91.34 | −0.226 | 1.712 | 3.87 |
Publisher’s Note: MDPI stays neutral with regard to jurisdictional claims in published maps and institutional affiliations. |
© 2021 by the authors. Licensee MDPI, Basel, Switzerland. This article is an open access article distributed under the terms and conditions of the Creative Commons Attribution (CC BY) license (http://creativecommons.org/licenses/by/4.0/).
Share and Cite
Cabrera-Barjas, G.; González, C.; Nesic, A.; Marrugo, K.P.; Gómez, O.; Delattre, C.; Valdes, O.; Yin, H.; Bravo, G.; Cea, J. Utilization of Marine Waste to Obtain β-Chitin Nanofibers and Films from Giant Humboldt Squid Dosidicus gigas. Mar. Drugs 2021, 19, 184. https://doi.org/10.3390/md19040184
Cabrera-Barjas G, González C, Nesic A, Marrugo KP, Gómez O, Delattre C, Valdes O, Yin H, Bravo G, Cea J. Utilization of Marine Waste to Obtain β-Chitin Nanofibers and Films from Giant Humboldt Squid Dosidicus gigas. Marine Drugs. 2021; 19(4):184. https://doi.org/10.3390/md19040184
Chicago/Turabian StyleCabrera-Barjas, Gustavo, Cristian González, Aleksandra Nesic, Kelly P. Marrugo, Oscar Gómez, Cédric Delattre, Oscar Valdes, Heng Yin, Gaston Bravo, and Juan Cea. 2021. "Utilization of Marine Waste to Obtain β-Chitin Nanofibers and Films from Giant Humboldt Squid Dosidicus gigas" Marine Drugs 19, no. 4: 184. https://doi.org/10.3390/md19040184
APA StyleCabrera-Barjas, G., González, C., Nesic, A., Marrugo, K. P., Gómez, O., Delattre, C., Valdes, O., Yin, H., Bravo, G., & Cea, J. (2021). Utilization of Marine Waste to Obtain β-Chitin Nanofibers and Films from Giant Humboldt Squid Dosidicus gigas. Marine Drugs, 19(4), 184. https://doi.org/10.3390/md19040184

