Thoracentesis for the Diagnosis and Management of Pleural Effusions: The Current State of a Centuries-Old Procedure
Abstract
:1. Introduction
2. Pleural Effusions
2.1. Pleural Space Anatomy
2.2. Pleural Fluid Accumulation
2.3. Diagnostic Imaging
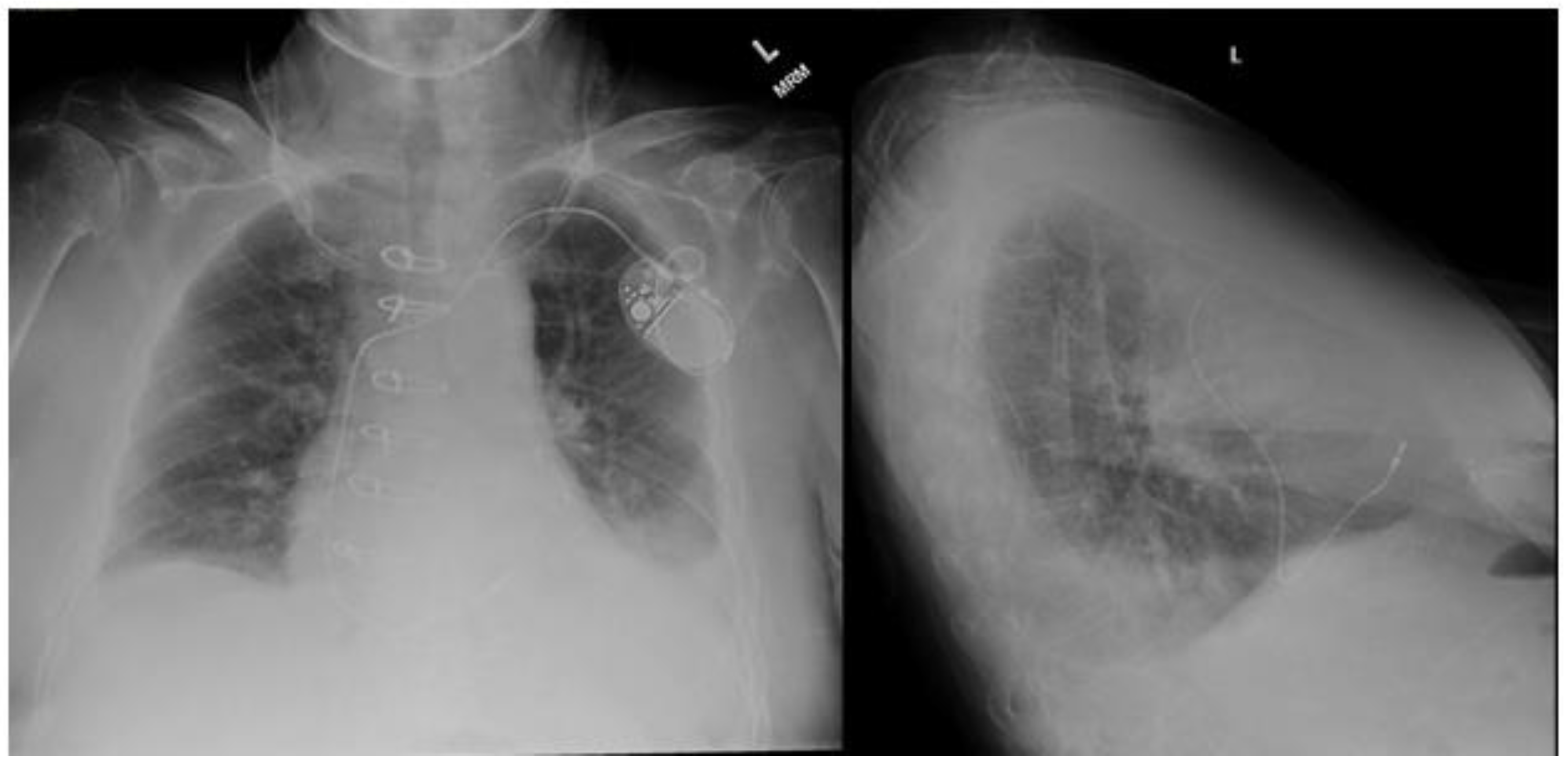
2.3.1. Chest Radiography
2.3.2. Computed Tomography
2.3.3. Ultrasound
2.4. Pleural Fluid Analysis
2.4.1. Classification
2.4.2. Common Pleural Fluid Tests
2.5. Cell Count
2.6. Total Protein
2.7. Lactate Dehydrogenase
2.8. Glucose
2.9. Cholesterol
2.10. pH
2.11. Adenosine Deaminase
2.12. Amylase
2.13. Triglycerides
2.14. Albumin
2.15. Gram Stain and Culture
2.16. Cytology
3. Thoracentesis
3.1. Indications
3.2. Contraindications
3.3. Preparation
3.3.1. Informed Consent
3.3.2. Anticoagulation and Antiplatelet Therapy
3.3.3. Pre-Procedural Laboratory Data
3.3.4. Equipment
- A sterile tray, sterile drapes, skin antiseptic solution (e.g., iodine or chlorhexidine), sterile 4 × 4 gauze, sterile gown, sterile gloves, eye protection, mask, medical cap, sterile ultrasound probe cover, sterile ultrasound gel, and sterile dressing;
- Ultrasound with both a low-frequency and high-frequency transducer;
- Local anesthetic, preferably 5–10 mL of lidocaine 1% (10 mg/mL) without epinephrine;
- A Luer lock syringe (10–20 mL), 18-gauge needle, and 22-gauge or 25-gauge needle for local anesthetic infiltration;
- A 60 mL Luer lock syringe, 20-gauge or 22-gauge needle, over-the-needle catheter (6–8 Fr catheter with a 16–20-gauge needle), 3-way stop cock, intravenous tubing, scalpel, and collection chamber such as a 1000 mL suction cannister for needle insertion and pleural fluid drainage;
- Iced blood gas syringe, aerobic and anaerobic blood culture bottles, a 50 mL clear collection cup, and a plain collection tube for sample collection and storage.
3.4. Procedure
3.4.1. Ultrasound Guidance
3.4.2. Local Anesthesia
3.4.3. Accessing Pleural Space
3.4.4. Pleural Manometry
3.4.5. Sample Collection
3.4.6. Fluid Drainage
3.4.7. Needle Removal and Dressing
3.5. Post-Procedural Care
3.6. Complications
4. Discussion
5. Future Direction
Author Contributions
Funding
Institutional Review Board Statement
Informed Consent Statement
Data Availability Statement
Conflicts of Interest
References
- Jany, B.; Welte, T. Pleural Effusion in Adults-Etiology, Diagnosis, and Treatment. Dtsch. Aerzteblatt Int. 2019, 116, 377–386. [Google Scholar] [CrossRef] [PubMed]
- Krishna, R.; Antoine, M.H.; Rudrappa, M. Pleural Effusion. In StatPearls; StatPearls Publishing: Treasure Island, FL, USA, 2023. Available online: https://www.ncbi.nlm.nih.gov/books/NBK448189/ (accessed on 6 September 2023).
- Karkhanis, V.S.; Joshi, J.M. Pleural effusion: Diagnosis, treatment, and management. Open Access Emerg. Med. 2012, 4, 31–52. [Google Scholar] [CrossRef] [PubMed]
- Charalampidis, C.; Youroukou, A.; Lazaridis, G.; Baka, S.; Mpoukovinas, I.; Karavasilis, V.; Kioumis, I.; Pitsiou, G.; Papaiwannou, A.; Karavergou, A.; et al. Pleura space anatomy. J. Thorac. Dis. 2015, 7 (Suppl. S1), S27–S32. [Google Scholar] [CrossRef] [PubMed]
- Steven, A.S. The Pathophysiology of Pleural Effusions. Annu. Rev. Med. 1990, 41, 7–13. [Google Scholar]
- Hooper, C.; Lee, Y.C.G.; Maskell, N. Investigation of a unilateral pleural effusion in adults: British Thoracic Society pleural disease guideline 2010. Thorax 2010, 65, ii4–ii17. [Google Scholar] [CrossRef] [PubMed]
- Roberts, M.E.; Rahman, N.M.; Maskell, N.A.; Bibby, A.C.; Blyth, K.G.; Corcoran, J.P.; Edey, A.; Evison, M.; de Fonseka, D.; Hallifax, R.; et al. British Thoracic Society Guideline for pleural disease. Thorax 2023, 78 (Suppl. S3), 1–42. [Google Scholar] [CrossRef] [PubMed]
- Prina, E.; Torres, A.; Carvalho, C.R. Lung ultrasound in the evaluation of pleural effusion. J. Bras. Pneumol. 2014, 40, 1–5. [Google Scholar] [CrossRef]
- Xirouchaki, N.; Magkanas, E.; Vaporidi, K.; Kondili, E.; Plataki, M.; Patrianakos, A.; Akoumianaki, E.; Georgopoulos, D. Lung ultrasound in critically ill patients: Comparison with bedside chest radiography. Intensive Care Med. 2011, 37, 1488–1493. [Google Scholar] [CrossRef]
- Vetrugno, L.; Guadagnin, G.M.; Orso, D.; Boero, E.; Bignami, E.; Bove, T. An easier and safe affair, pleural drainage with ultrasound in critical patient: A technical note. Crit. Ultrasound J. 2018, 10, 18. [Google Scholar] [CrossRef]
- Asciak, R.; Bedawi, E.O.; Bhatnagar, R.; Clive, A.O.; Hassan, M.; Lloyd, H.; Reddy, R.; Roberts, H.; Rahman, N.M. British Thoracic Society Clinical Statement on pleural procedures. Thorax 2023, 78 (Suppl. S3), s43–s68. [Google Scholar] [CrossRef]
- Yang, P.C.; Luh, K.T.; Chang, D.B.; Wu, H.D.; Yu, C.J.; Kuo, S.H. Value of sonography in determining the nature of pleural effusion: Analysis of 320 cases. AJR Am. J. Roentgenol. 1992, 159, 29–33. [Google Scholar] [CrossRef] [PubMed]
- Brogi, E.; Gargani, L.; Bignami, E.; Barbariol, F.; Marra, A.; Forfori, F.; Vetrugno, L. Thoracic ultrasound for pleural effusion in the intensive care unit: A narrative review from diagnosis to treatment. Crit. Care 2017, 21, 325. [Google Scholar] [CrossRef] [PubMed]
- Mercer, R.M.; Corcoran, J.P.; Porcel, J.M.; Rahman, N.M.; Psallidas, I. Interpreting pleural fluid results. Clin. Med. 2019, 19, 213–217. [Google Scholar] [CrossRef] [PubMed]
- Romero-Candeira, S.; Fernández, C.; Martín, C.; Sánchez-Paya, J.; Hernández, L. Influence of diuretics on the concentration of proteins and other components of pleural transudates in patients with heart failure. Am. J. Med. 2001, 110, 681–686. [Google Scholar] [CrossRef] [PubMed]
- Beaudoin, S.; Gonzalez, A.V. Evaluation of the patient with pleural effusion. Can. Med Assoc. J. 2018, 190, E291–E295. [Google Scholar] [CrossRef]
- Na, M.J. Diagnostic tools of pleural effusion. Tuberc. Respir. Dis. 2014, 76, 199–210. [Google Scholar] [CrossRef]
- Krenke, R.; Nasilowski, J.; Korczynski, P.; Gorska, K.; Przybylowski, T.; Chazan, R.; Light, R.W. Incidence and aetiology of eosinophilic pleural effusion. Eur. Respir. J. 2009, 34, 1111–1117. [Google Scholar] [CrossRef]
- Mark, C. Houston, Pleural fluid pH: Diagnostic, therapeutic, and prognostic value. Am. J. Surg. 1987, 154, 333–337. [Google Scholar] [CrossRef]
- Menzies, S.M.; Rahman, N.M.; Wrightson, J.M.; Davies, H.E.; Shorten, R.; Gillespie, S.H.; Davies, C.W.; Maskell, N.A.; Jeffrey, A.A.; Lee, Y.C.; et al. Blood culture bottle culture of pleural fluid in pleural infection. Thorax 2011, 66, 658–662. [Google Scholar] [CrossRef]
- Garcia, L.W.; Ducatman, B.S.; Wang, H.H. The value of multiple fluid specimens in the cytological diagnosis of malignancy. Mod. Pathol. 1994, 7, 665–668. [Google Scholar]
- Desai, N.R.; Lee, H.J. Diagnosis and management of malignant pleural effusions: State of the art in 2017. J. Thorac. Dis. 2017, 9 (Suppl. S10), S1111–S1122. [Google Scholar] [CrossRef] [PubMed]
- Grosu, H.B.; Kazzaz, F.; Vakil, E.; Molina, S.; Ost, D. Sensitivity of Initial Thoracentesis for Malignant Pleural Effusion Stratified by Tumor Type in Patients with Strong Evidence of Metastatic Disease. Respiration 2018, 96, 363–369. [Google Scholar] [CrossRef] [PubMed]
- Li, D.; Ajmal, S.; Tufail, M.; Panchal, R.K. Modern day management of a unilateral pleural effusion. Clin. Med. 2021, 21, e561–e566. [Google Scholar] [CrossRef] [PubMed]
- Patel, I.J.; Davidson, J.C.; Nikolic, B.; Salazar, G.M.; Schwartzberg, M.S.; Walker, T.G.; Saad, W.A. Standards of Practice Committee, with Cardiovascular and Interventional Radiological Society of Europe (CIRSE) Endorsement. Consensus guidelines for periprocedural management of coagulation status and hemostasis risk in percutaneous image-guided interventions. J. Vasc. Interv. Radiol. 2012, 23, 727–736. [Google Scholar] [CrossRef] [PubMed]
- Vikas Pathak JErin Allender Mollie, W.G. Management of anticoagulant and antiplatelet therapy in patients undergoing interventional pulmonary procedures. Eur. Respir. Rev. 2017, 26, 170020. [Google Scholar] [CrossRef]
- Segal, J.B.; Dzik, W.H. Paucity of studies to support that abnormal coagulation test results predict bleeding in the setting of invasive procedures: An evidence-based review. Transfusion 2005, 45, 1413–1425. [Google Scholar] [CrossRef] [PubMed]
- LeVasseur, T. Chapter 76 Thoracentesis. In The Mont Reid Surgical Handbook, 6th ed.; Textbook; W.B. Saunders: Philadelphia, PA, USA, 2008; pp. 835–838. [Google Scholar]
- Liang, S.J.; Tu, C.Y.; Chen, H.J.; Chen, C.H.; Chen, W.; Shih, C.M.; Hsu, W.H. Application of ultrasound-guided pigtail catheter for drainage of pleural effusions in the ICU. Intensive Care Med. 2009, 35, 350–354. [Google Scholar] [CrossRef]
- Hu, K.; Chopra, A.; Huggins, J.T.; Nanchal, R. Pleural manometry: Techniques, applications, and pitfalls. J. Thorac. Dis. 2020, 12, 2759–2770. [Google Scholar] [CrossRef]
- Havelock, T.; Teoh, R.; Laws, D.; Gleeson, F. Pleural procedures and thoracic ultrasound: British Thoracic Society pleural disease guideline 2010. Thorax 2010, 65, i61–i76. [Google Scholar] [CrossRef]
- Cantey, E.P.; Walter, J.M.; Corbridge, T.; Barsuk, J.H. Complications of thoracentesis: Incidence, risk factors, and strategies for prevention. Curr. Opin. Pulm. Med. 2016, 22, 378–385. [Google Scholar] [CrossRef]
- Feller-Kopman, D.J.; Reddy, C.B.; De Camp, M.M.; Diekemper, R.L.; Gould, M.K.; Henry, T.; Iyer, N.P.; Lee, Y.C.G.; Lewis, S.Z.; Maskell, N.A.; et al. Management of Malignant Pleural Effusions. An Official ATS/STS/STR Clinical Practice Guideline. Am. J. Respir. Crit. Care Med. 2018, 198, 839–849. [Google Scholar] [CrossRef] [PubMed]
- Ost, D.E.; Niu, J.; Zhao, H.; Grosu, H.B.; Giordano, S.H. Quality Gaps and Comparative Effectiveness of Management Strategies for Recurrent Malignant Pleural Effusions. Chest 2018, 153, 438–452. [Google Scholar] [CrossRef] [PubMed]




| Effusion Type | Anechoic | Complex Non-Septated | Complex Septated | Echogenic |
|---|---|---|---|---|
| Transudative | X | X | ||
| Exudative | X | X | X | X |
| Hemorrhagic | X |
| Light’s Criteria | Pleural Fluid Only Three Test Combination |
|---|---|
| Pleural fluid to serum total protein > 0.5 | Total protein > 3g/dL |
| Pleural fluid to serum lactate dehydrogenase (LDH) ratio > 0.6 | Cholesterol > 55mg/dL |
| Pleural fluid LDH > two-thirds upper limit of normal | LDH > two-thirds the upper limit of normal |
Disclaimer/Publisher’s Note: The statements, opinions and data contained in all publications are solely those of the individual author(s) and contributor(s) and not of MDPI and/or the editor(s). MDPI and/or the editor(s) disclaim responsibility for any injury to people or property resulting from any ideas, methods, instructions or products referred to in the content. |
© 2023 by the authors. Licensee MDPI, Basel, Switzerland. This article is an open access article distributed under the terms and conditions of the Creative Commons Attribution (CC BY) license (https://creativecommons.org/licenses/by/4.0/).
Share and Cite
Nicholson, M.J.; Manley, C.; Ahmad, D. Thoracentesis for the Diagnosis and Management of Pleural Effusions: The Current State of a Centuries-Old Procedure. J. Respir. 2023, 3, 208-222. https://doi.org/10.3390/jor3040020
Nicholson MJ, Manley C, Ahmad D. Thoracentesis for the Diagnosis and Management of Pleural Effusions: The Current State of a Centuries-Old Procedure. Journal of Respiration. 2023; 3(4):208-222. https://doi.org/10.3390/jor3040020
Chicago/Turabian StyleNicholson, Michael J., Christopher Manley, and Danish Ahmad. 2023. "Thoracentesis for the Diagnosis and Management of Pleural Effusions: The Current State of a Centuries-Old Procedure" Journal of Respiration 3, no. 4: 208-222. https://doi.org/10.3390/jor3040020
APA StyleNicholson, M. J., Manley, C., & Ahmad, D. (2023). Thoracentesis for the Diagnosis and Management of Pleural Effusions: The Current State of a Centuries-Old Procedure. Journal of Respiration, 3(4), 208-222. https://doi.org/10.3390/jor3040020

