PSPC1 Binds to HCV IRES and Prevents Ribosomal Protein S5 Binding, Inhibiting Viral RNA Translation
Abstract
1. Introduction
2. Material and Methods
2.1. List of Primers and siRNA
2.2. Plasmids and siRNA
2.3. Cell Lines and Transfections
2.4. In Vitro Transcription
2.5. Total RNA Isolation, cDNA Preparation, and Semiquantitative PCR
2.6. Quantitative Reverse Transcription PCR (qRT-PCR)
2.7. Western Blot Analysis
2.8. Immunofluorescence
2.9. Recombinant PSPC1 Protein Purification
2.10. Radiolabeled Probe Synthesis
2.11. UV-Induced Cross-Linking
2.12. Immunoprecipitation—Reverse Transcription (IP-RT)
2.13. Polysome Profiling
2.14. Statistical Analysis
3. Results
3.1. PSPC1 Is Relocalized to the Cytoplasm and Negatively Regulates HCV RNA Translation and Replication
3.2. PSPC1 Specifically Interacts with HCV 5’UTR
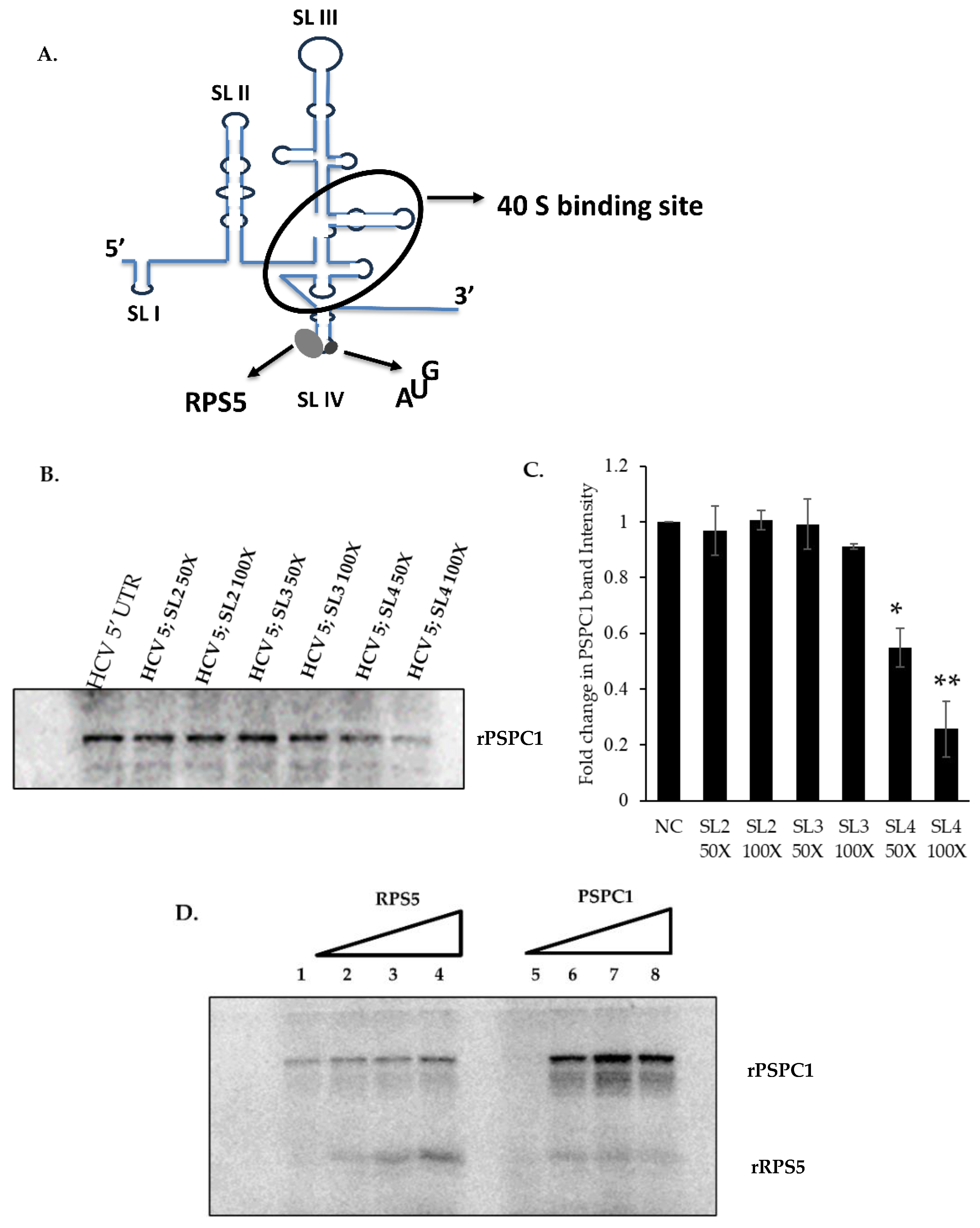
3.3. PSPC1 Interacts with SLIV Domain of HCV 5’UTR and Competes with RPS5
3.4. PSPC1 Competes with RPS5 Protein Binding at the SLIV Region and Affects the Ribosome Loading
3.5. HCV-JFH1 Transfection Decreases PSPC1 Protein Level
4. Discussion
5. Conclusions
Author Contributions
Funding
Institutional Review Board Statement
Informed Consent Statement
Data Availability Statement
Acknowledgments
Conflicts of Interest
References
- Lukavsky, P.J. Structure and function of HCV IRES domains. Virus Res. 2009, 139, 166–171. [Google Scholar] [CrossRef] [PubMed]
- Frentzen, A.; Anggakusuma; Gürlevik, E.; Hueging, K.; Knocke, S.; Ginkel, C.; Brown, R.J.; Heim, M.; Dill, M.T.; Kröger, A.; et al. Cell entry, efficient RNA replication, and production of infectious hepatitis C virus progeny in mouse liver-derived cells. Hepatology 2014, 59, 78–88. [Google Scholar] [CrossRef] [PubMed]
- Unfried, J.P.; Fortes, P. LncRNAs in HCV Infection and HCV-Related Liver Disease. Int. J. Mol. Sci. 2020, 21, 2255. [Google Scholar] [CrossRef] [PubMed]
- Tripathi, S.K.; Pal, A.; Ghosh, S.; Goel, A.; Aggarwal, R.; Banerjee, S.; Das, S. LncRNA NEAT1 regulates HCV-induced Hepatocellular carcinoma by modulating the miR-9-BGH3 axis. J. Gen. Virol. 2022, 103, 001809. [Google Scholar] [CrossRef] [PubMed]
- Ali, N.; Siddiqui, A. The La antigen binds 5’ noncoding region of the hepatitis C virus RNA in the context of the initiator AUG codon and stimulates internal ribosome entry site-mediated translation. Proc. Natl. Acad. Sci. USA 1997, 94, 2249–2254. [Google Scholar] [CrossRef] [PubMed]
- Pudi, R.; Abhiman, S.; Srinivasan, N.; Das, S. Hepatitis C virus internal ribosome entry site-mediated translation is stimulated by specific interaction of independent regions of human La autoantigen. J. Biol. Chem. 2003, 278, 12231–12240. [Google Scholar] [CrossRef] [PubMed]
- Ali, N.; Siddiqui, A. Interaction of polypyrimidine tract-binding protein with the 5′ noncoding region of the hepatitis C virus RNA genome and its functional requirement in internal initiation of translation. J. Virol. 1995, 69, 6367–6375. [Google Scholar] [CrossRef] [PubMed]
- Hahm, B.; Kim, Y.K.; Kim, J.H.; Kim, T.Y.; Jang, S.K. Heterogeneous nuclear ribonucleoprotein L interacts with the 3′ border of the internal ribosomal entry site of hepatitis C virus. J. Virol. 1998, 72, 8782–8788. [Google Scholar] [CrossRef]
- Sp Ngberg, K.; Schwartz, S. Poly(C)-binding protein interacts with the hepatitis C virus 5′ untranslated region. J. Gen. Virol. 1999, 80 Pt 6, 1371–1376. [Google Scholar] [CrossRef]
- Spångberg, K.; Wiklund, L.; Schwartz, S. HuR, a protein implicated in oncogene and growth factor mRNA decay, binds to the 3′ ends of hepatitis C virus RNA of both polarities. Virology 2000, 274, 378–390. [Google Scholar] [CrossRef]
- Shwetha, S.; Kumar, A.; Mullick, R.; Vasudevan, D.; Mukherjee, N.; Das, S. HuR Displaces Polypyrimidine Tract Binding Protein To Facilitate La Binding to the 3′ Untranslated Region and Enhances Hepatitis C Virus Replication. J. Virol. 2015, 89, 11356–11371. [Google Scholar] [CrossRef] [PubMed]
- Fukushi, S.; Okada, M.; Stahl, J.; Kageyama, T.; Hoshino, F.B.; Katayama, K. Ribosomal protein S5 interacts with the internal ribosomal entry site of hepatitis C virus. J. Biol. Chem. 2001, 276, 20824–20826. [Google Scholar] [CrossRef] [PubMed]
- Bhat, P.; Shwetha, S.; Sharma, D.K.; Joseph, A.P.; Srinivasan, N.; Das, S. The beta hairpin structure within ribosomal protein S5 mediates interplay between domains II and IV and regulates HCV IRES function. Nucleic Acids Res. 2015, 43, 2888–2901. [Google Scholar] [CrossRef] [PubMed]
- Raheja, H.; George, B.; Tripathi, S.K.; Saha, S.; Maiti, T.K.; Das, S. Hepatitis C virus non-structural proteins modulate cellular kinases for increased cytoplasmic abundance of host factor HuR and facilitate viral replication. PLOS Pathog. 2023, 19, e1011552. [Google Scholar] [CrossRef] [PubMed]
- Henke, J.I.; Goergen, D.; Zheng, J.; Song, Y.; Schüttler, C.G.; Fehr, C.; Jünemann, C.; Niepmann, M. microRNA-122 stimulates translation of hepatitis C virus RNA. EMBO J. 2008, 27, 3300–3310. [Google Scholar] [CrossRef]
- Sedano, C.D.; Sarnow, P. Hepatitis C virus subverts liver-specific miR-122 to protect the viral genome from exoribonuclease Xrn2. Cell Host Microbe 2014, 16, 257–264. [Google Scholar] [CrossRef]
- Schult, P.; Roth, H.; Adams, R.L.; Mas, C.; Imbert, L.; Orlik, C.; Ruggieri, A.; Pyle, A.M.; Lohmann, V. microRNA-122 amplifies hepatitis C virus translation by shaping the structure of the internal ribosomal entry site. Nat. Commun. 2018, 9, 2613. [Google Scholar] [CrossRef] [PubMed]
- Barriocanal, M.; Fortes, P. Long Non-coding RNAs in Hepatitis C Virus-Infected Cells. Front. Microbiol. 2017, 8, 1833. [Google Scholar] [CrossRef] [PubMed]
- Fox, A.H.; Lamond, A.I. Paraspeckles. Cold Spring Harb. Perspect. Biol. 2010, 2, a000687. [Google Scholar] [CrossRef]
- Bond, C.S.; Fox, A.H. Paraspeckles: Nuclear bodies built on long noncoding RNA. J. Cell Biol. 2009, 186, 637–644. [Google Scholar] [CrossRef]
- Landeras-Bueno, S.; Jorba, N.; Pérez-Cidoncha, M.; Ortín, J. The splicing factor proline-glutamine rich (SFPQ/PSF) is involved in influenza virus transcription. PLoS Pathog. 2011, 7, e1002397. [Google Scholar] [CrossRef]
- Zolotukhin, A.S.; Michalowski, D.; Bear, J.; Smulevitch, S.V.; Traish, A.M.; Peng, R.; Patton, J.; Shatsky, I.N.; Felber, B.K. PSF acts through the human immunodeficiency virus type 1 mRNA instability elements to regulate virus expression. Mol. Cell. Biol. 2003, 23, 6618–6630. [Google Scholar] [CrossRef] [PubMed]
- Dave, P.; George, B.; Sharma, D.K.; Das, S. Polypyrimidine tract-binding protein (PTB) and PTB-associated splicing factor in CVB3 infection: An ITAF for an ITAF. Nucleic Acids Res. 2017, 45, 9068–9084. [Google Scholar] [CrossRef] [PubMed]
- Sikora, D.; Greco-Stewart, V.S.; Miron, P.; Pelchat, M. The hepatitis delta virus RNA genome interacts with eEF1A1, p54nrb, hnRNP-L, GAPDH and ASF/SF2. Virology 2009, 390, 71–78. [Google Scholar] [CrossRef] [PubMed]
- Wang, Z.; Fan, P.; Zhao, Y.; Zhang, S.; Lu, J.; Xie, W.; Jiang, Y.; Lei, F.; Xu, N.; Zhang, Y. NEAT1 modulates herpes simplex virus-1 replication by regulating viral gene transcription. Cell. Mol. Life Sci. 2017, 74, 1117–1131. [Google Scholar] [CrossRef] [PubMed]
- Imamura, K.; Imamachi, N.; Akizuki, G.; Kumakura, M.; Kawaguchi, A.; Nagata, K.; Kato, A.; Kawaguchi, Y.; Sato, H.; Yoneda, M.; et al. Long noncoding RNA NEAT1-dependent SFPQ relocation from promoter region to paraspeckle mediates IL8 expression upon immune stimuli. Mol. Cell 2014, 53, 393–406. [Google Scholar] [CrossRef] [PubMed]
- Beeharry, Y.; Goodrum, G.; Imperiale, C.J.; Pelchat, M. The Hepatitis Delta Virus accumulation requires paraspeckle components and affects NEAT1 level and PSP1 localization. Sci. Rep. 2018, 8, 6031. [Google Scholar] [CrossRef] [PubMed]
- Li, K.; Wang, Z. Speckles and paraspeckles coordinate to regulate HSV-1 genes transcription. Commun. Biol. 2021, 4, 1207. [Google Scholar] [CrossRef] [PubMed]
- Wakita, T.; Pietschmann, T.; Kato, T.; Date, T.; Miyamoto, M.; Zhao, Z.; Murthy, K.; Habermann, A.; Kräusslich, H.G.; Mizokami, M.; et al. Production of infectious hepatitis C virus in tissue culture from a cloned viral genome. Nat. Med. 2005, 11, 791–796. [Google Scholar] [CrossRef]
- Ray, P.S.; Das, S. La autoantigen is required for the internal ribosome entry site-mediated translation of Coxsackievirus B3 RNA. Nucleic Acids Res. 2002, 30, 4500–4508. [Google Scholar] [CrossRef]
- Matsui, C.; Shoji, I.; Kaneda, S.; Sianipar Imelda, R.; Deng, L.; Hotta, H. Hepatitis C Virus Infection Suppresses GLUT2 Gene Expression via Downregulation of Hepatocyte Nuclear Factor 1α. J. Virol. 2012, 86, 12903–12911. [Google Scholar] [CrossRef]
- Hu, B.; Huo, Y.; Yang, L.; Chen, G.; Luo, M.; Yang, J.; Zhou, J. ZIKV infection effects changes in gene splicing, isoform composition and lncRNA expression in human neural progenitor cells. Virol. J. 2017, 14, 217. [Google Scholar] [CrossRef] [PubMed]
- Li, H.C.; Yang, C.H.; Lo, S.Y. Roles of microRNAs in Hepatitis C Virus Replication and Pathogenesis. Viruses 2022, 14, 1776. [Google Scholar] [CrossRef] [PubMed]
- Yuan, J.; Zhu, Z.; Zhang, P.; Ashrafizadeh, M.; Abd El-Aty, A.; Hacımüftüoğlu, A.; Linnebacher, C.S.; Linnebacher, M.; Sethi, G.; Gong, P.; et al. SKP2 promotes the metastasis of pancreatic ductal adenocarcinoma by suppressing TRIM21-mediated PSPC1 degradation. Cancer Lett. 2024, 587, 216733. [Google Scholar] [CrossRef]
- Zhan, T.; Cheng, X.; Zhu, Q.; Han, Z.; Zhu, K.; Tan, J.; Liu, M.; Chen, W.; Chen, X.; Chen, X.; et al. LncRNA LOC105369504 inhibits tumor proliferation and metastasis in colorectal cancer by regulating PSPC1. Cell Death Discov. 2023, 9, 89. [Google Scholar] [CrossRef]








| Name | Sequence |
|---|---|
| siPSPC1 (IDT) | 5′ rUrUrCrGrUrUrCrArUrUrCrCrUrGrGrCrUrArUrCrUrAdTdT 3′ |
| siNsp Dharmacon (D-001810-01-05) | 5′ UGGUUUACAUGUCGACUAA 3′ |
| HCV F | 5′ TGCGGAACCGGTGAGTACA 3′ |
| HCV R | 5′ GAGGTTTAGGATTTGTGCTCAT 3′ |
| GAPDH F | 5′ CAGCCTCAAGATCATCAGCAAT 3′ |
| GAPDH R | 5′ GGTCATGAGTCCTTCCACGA 3′ |
Disclaimer/Publisher’s Note: The statements, opinions and data contained in all publications are solely those of the individual author(s) and contributor(s) and not of MDPI and/or the editor(s). MDPI and/or the editor(s) disclaim responsibility for any injury to people or property resulting from any ideas, methods, instructions or products referred to in the content. |
© 2024 by the authors. Licensee MDPI, Basel, Switzerland. This article is an open access article distributed under the terms and conditions of the Creative Commons Attribution (CC BY) license (https://creativecommons.org/licenses/by/4.0/).
Share and Cite
Tripathi, S.K.; Aneja, A.; Borgaonkar, T.; Das, S. PSPC1 Binds to HCV IRES and Prevents Ribosomal Protein S5 Binding, Inhibiting Viral RNA Translation. Viruses 2024, 16, 738. https://doi.org/10.3390/v16050738
Tripathi SK, Aneja A, Borgaonkar T, Das S. PSPC1 Binds to HCV IRES and Prevents Ribosomal Protein S5 Binding, Inhibiting Viral RNA Translation. Viruses. 2024; 16(5):738. https://doi.org/10.3390/v16050738
Chicago/Turabian StyleTripathi, Sachin Kumar, Ashish Aneja, Teji Borgaonkar, and Saumitra Das. 2024. "PSPC1 Binds to HCV IRES and Prevents Ribosomal Protein S5 Binding, Inhibiting Viral RNA Translation" Viruses 16, no. 5: 738. https://doi.org/10.3390/v16050738
APA StyleTripathi, S. K., Aneja, A., Borgaonkar, T., & Das, S. (2024). PSPC1 Binds to HCV IRES and Prevents Ribosomal Protein S5 Binding, Inhibiting Viral RNA Translation. Viruses, 16(5), 738. https://doi.org/10.3390/v16050738

