Sign in to use this feature.

Years

Between: -

Subjects

remove_circle_outline
remove_circle_outline
remove_circle_outline
remove_circle_outline
remove_circle_outline
remove_circle_outline
remove_circle_outline
remove_circle_outline
remove_circle_outline

Journals

remove_circle_outline
remove_circle_outline
remove_circle_outline
remove_circle_outline
remove_circle_outline

Article Types

Countries / Regions

remove_circle_outline
remove_circle_outline
remove_circle_outline
remove_circle_outline
remove_circle_outline
remove_circle_outline
remove_circle_outline

Search Results (327)

Search Parameters:
Keywords = transitional fish

Order results
Result details
Results per page
Select all
Export citation of selected articles as:
13 pages, 2979 KB  
Article
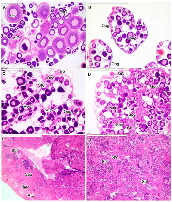
Histological and Molecular Characterisation of Gonadal Phenotypes Confirms Diandry in a Protogynous Wrasse
by Tessa E. Hamer, Holly A. Robertson, Nicole Miller, Steve Bird, Kaj Kamstra and Simon Muncaster
Fishes 2025, 10(11), 554; https://doi.org/10.3390/fishes10110554 (registering DOI) - 2 Nov 2025
Abstract
Sequentially hermaphroditic fish begin life as one sex and change to another at some stage of their lifecycle. To date, the majority of research into this fascinating process has focused on sex change in sexually mature fish. The current study on the New [...] Read more.
Sequentially hermaphroditic fish begin life as one sex and change to another at some stage of their lifecycle. To date, the majority of research into this fascinating process has focused on sex change in sexually mature fish. The current study on the New Zealand spotty wrasse (Notolabrus celidotus) seeks to describe sex change in sexually immature females that are transitioning to become so called initial-phase males. This was achieved through analysis of gonadal histology, and the expression of key genes involved in sex differentiation (amh, dmrt1, and cyp19a1a) and methylation (dnmt1 and dnmt3a). It was found that initial-phase (IP) male spotty wrasse likely reach sexual maturity at a much earlier developmental stage and smaller size than previously realised. This study furthermore shows that all juvenile spotty wrasse are female first, before some individuals undergo pre-maturational sex change to become IP males. Thus, we confirm diandry in the protogynous New Zealand spotty wrasse and provide clarity around the definitions of primary male formation. Full article
Show Figures

Figure 1

18 pages, 1083 KB  
Review
Green Port Policy: Planning and Implementation of Environmental Projects—Case Study of the Port of Gaženica
by Ljiljana Peričin, Luka Grbić, Šime Vučetić and Marko Šundov
Sustainability 2025, 17(21), 9557; https://doi.org/10.3390/su17219557 - 27 Oct 2025
Viewed by 223
Abstract
The port of Gaženica, managed by the Port Authority of Zadar, is open to public traffic of special economic interest to the Republic of Croatia. Situated outside Zadar’s city centre, with convenient access to the airport and A1 highway, this port presents significant [...] Read more.
The port of Gaženica, managed by the Port Authority of Zadar, is open to public traffic of special economic interest to the Republic of Croatia. Situated outside Zadar’s city centre, with convenient access to the airport and A1 highway, this port presents significant opportunities for Zadar County’s economic growth. While also serving as a cargo and fishing port, as the second-largest passenger port in Croatia, the port of Gaženica prioritises the development of cruise ship traffic. The expansion of intermodal traffic is being facilitated through the development of a multipurpose terminal to accommodate general, roll-on/roll-off, and containerised cargo (full and empty containers). The rising number of passenger ships—particularly cruise ships—along with the increasing passenger, vehicle, and cargo traffic, poses a significant risk of pollution due to dust, noise, greenhouse gases, and other pollutants. Considering these risks, the use of alternative energy sources, decarbonisation of maritime transport, the separation of waste by type, and the proper handling and disposal of ship waste are of utmost importance. The aim of this study is to present and analyse the green transition process of the port of Gaženica through the results that have been achieved or are yet to be achieved through the implementation of green projects by the Port Authority of Zadar. For this purpose, a mixed-methods approach combining project analysis and the qualitative analysis of emissions data is used. It is important to highlight that the method of interviews with relevant representatives of institutions involved in the project was also used to gain insight into financial and infrastructural challenges, the accessibility of certain data, and potential improvements in implementation. The research results indicate that the port of Gaženica has completed four green projects, while another four are currently being implemented, with their completion expected by 2026. The research concludes that it is necessary to strengthen environmental awareness regarding proper waste disposal among all stakeholders in maritime transport, including the local community, businesses, and local authorities. The results demonstrate a need to focus on certification with the aim of strengthening the green transition process through involvement in the EcoPorts and Green Award certification schemes. It is also necessary to actively improve the public availability of data from the base station in the port of Gaženica to inform the public about environmental impacts in real time (24/7) while facilitating data collection for statistical reporting purposes. Full article
Show Figures

Figure 1

25 pages, 2397 KB  
Article
Eco-Tourism and Biodiversity Conservation in Aquaculture Lagoons: The Role of Operator Philosophy and Low-Vibration Pontoon Boats
by Po-Jen Chen, Chun-Han Shih, Yu-Chi Sung and Tang-Chung Kan
Water 2025, 17(21), 3047; https://doi.org/10.3390/w17213047 - 23 Oct 2025
Viewed by 409
Abstract
Aquaculture lagoons must reconcile visitor access with biodiversity protection. This study integrates results of a large survey of the attitudes of tour operators with field observations of fish populations to test whether operator choices can align tourism and conservation. Using data from 801 [...] Read more.
Aquaculture lagoons must reconcile visitor access with biodiversity protection. This study integrates results of a large survey of the attitudes of tour operators with field observations of fish populations to test whether operator choices can align tourism and conservation. Using data from 801 guided-tour participants in Taiwan’s Cigu Lagoon, a sequential experience hierarchy was validated whereby environmental knowledge enhanced attitudes, strengthened perceived guide professionalism, induced flow, and ultimately increased conservation intention (R2 = 0.523). Experiential service quality exerted stronger effects than functional quality (β = 0.287 vs. 0.156; both p < 0.001). Parallel underwater monitoring indicated that electric, low-vibration motors were associated with richer fish assemblages and larger fish body sizes; fish abundance is 61% higher and mean body length 38% greater, with community composition differing significantly by motor type (PERMANOVA, p < 0.001). Together, these results link training and technology adoption to measurable ecological gains and pro-conservation motivation, indicating that electrified propulsion and interpretive practice are mutually reinforcing levers for biodiversity-positive tourism. The framework offers directly actionable criteria—motor choice, guide development, and safety/facility context—for transitioning small-scale fisheries and recreation toward low-impact marine experiences. Full article
(This article belongs to the Section Water, Agriculture and Aquaculture)
Show Figures

Figure 1

14 pages, 266 KB  
Article
Lifestyle in Nursing Students: Physical Activity Level, Diet Quality, Body Composition, and Cardiovascular Risk (ABSI)
by Carmen María Guerrero-Agenjo, Sergio Rodríguez-Cañamero, Ángel López-González, Cristina Rivera-Picón, Samantha Díaz-González, Carlos Durantez-Fernandez, Jose Alberto Laredo-Aguilera, Juan Manuel Carmona-Torres, Jesús López-Torres Hidalgo and Joseba Rabanales-Sotos
Healthcare 2025, 13(20), 2647; https://doi.org/10.3390/healthcare13202647 - 21 Oct 2025
Viewed by 301
Abstract
Background/Objective: One of the life stages that affects the consolidation of habits and health is the university stage. This transition to adulthood is associated with a decrease in physical activity, increasing the risk of cardiovascular disease. This study describes lifestyle habits related [...] Read more.
Background/Objective: One of the life stages that affects the consolidation of habits and health is the university stage. This transition to adulthood is associated with a decrease in physical activity, increasing the risk of cardiovascular disease. This study describes lifestyle habits related to physical activity level, diet quality, and body composition in nursing students and analyzes cardiovascular risk using the ABSI-z index. Methods: We conducted a cross-sectional study with 296 students from the Faculty of Nursing of Albacete (Spain). Physical activity was assessed via the IPAQ-SF. Body composition was measured by bioimpedance, from which BMI and ABSI-z scores were obtained as indicators of cardiovascular risk. The eating patterns of the participants were analyzed. Results/Discussion: The active students had significantly better body composition, with greater fat-free mass and muscle mass than the sedentary students, both in men (p = 0.037 and p = 0.046, respectively) and in women (p = 0.002 and p = 0.007). These findings corroborate evidence of the protective role of physical activity in maintaining metabolic health. The analysis of the ABSI-z score revealed different patterns in the distribution of body fat. High ABSI values were associated with greater abdominal girth (p < 0.001) and visceral fat (p < 0.001) in women, confirming its usefulness as an early marker of cardiovascular risk in university students. In contrast, the fulfillment of healthy dietary criteria was low, especially in the consumption of legumes (19%) and fish (25.9%). Conclusions: Regular physical activity is a determining factor in the body composition of university students, and ABSI is a good indicator of cardiovascular risk. Full article
(This article belongs to the Special Issue Multidisciplinary Approaches to Chronic Disease Management)
17 pages, 1187 KB  
Article
Annual Variations and Influencing Factors of Zooplankton Community Structure in the Coastal Waters of Northern Shandong Peninsula, China
by Xiuxia Wang, Mingming Zhu, Bingqing Xu, Yanyan Yang, Xiaomin Zhang, Shaowen Li, Tiantian Wang, Fan Li, Guangxin Cui and Xiang Zheng
Biology 2025, 14(10), 1386; https://doi.org/10.3390/biology14101386 - 11 Oct 2025
Viewed by 270
Abstract
The coastal waters of the northern Shandong Peninsula have abundant fishery resources, which serve as a critical transitional fishing ground for economic fish migrating into the Bohai Sea for spawning and departing for overwintering habitats. However, anthropogenic pressures such as garbage dumping have [...] Read more.
The coastal waters of the northern Shandong Peninsula have abundant fishery resources, which serve as a critical transitional fishing ground for economic fish migrating into the Bohai Sea for spawning and departing for overwintering habitats. However, anthropogenic pressures such as garbage dumping have led to severe degradation of local fishery resources and concomitant adverse effects on zooplankton communities. To assess these impacts, we analyzed the spatiotemporal distribution, community structure, dominant species, and diversity indices of zooplankton based on sampling data collected in spring from 2015 to 2018 in this region. A total of 24 zooplankton species and 11 larval classes were identified, with the highest species richness observed in 2016. Calanus sinicus and Centropages abdominalis were the primary dominant species, with C. sinicus consistently predominant across all four years. Notably, the dominant species exhibited marked annual variability. The abundance and biomass of zooplankton in the surveyed area exhibited significant annual variations, both showing a trend of first decreasing and then increasing. Peak abundance occurred in 2015 (594.36 ind/m3), while the lowest was recorded in 2017 (118.73 ind/m3). Spatially, abundance and biomass were heterogeneous, with coastal waters exhibiting higher concentrations than offshore areas. The overall low level of community diversity and its significant annual variations indicated that the zooplankton community structure in the surveyed sea area was unstable and showed a trend of degenerative succession. The community structure of zooplankton and larger-bodied dominant species showed stronger correlations with phytoplankton dynamics, whereas smaller-bodied species were more influenced by water temperature. Full article
(This article belongs to the Special Issue Global Fisheries Resources, Fisheries, and Carbon-Sink Fisheries)
Show Figures

Figure 1

14 pages, 1501 KB  
Article
Changes in Gonadal Sex Differentiation, Digestive Enzymes, and Growth-Related Hormone Contents in the Larval and Juvenile Black Scraper, Thamnaconus modestus
by Wengang Xu, Yan Liu, Jiulong Wang, Pei Yang, Yanqing Wu and Liming Liu
Biology 2025, 14(10), 1385; https://doi.org/10.3390/biology14101385 - 10 Oct 2025
Viewed by 486
Abstract
To understand the changes in gonadal sex differentiation, digestive enzyme activity, and growth-related hormone levels in the larval and juvenile black scraper, Thamnaconus modestus, continuous sampling was conducted from 0 to 91 days post-hatching (dph). 17β-estradiol (E2) and testosterone (T) levels, six [...] Read more.
To understand the changes in gonadal sex differentiation, digestive enzyme activity, and growth-related hormone levels in the larval and juvenile black scraper, Thamnaconus modestus, continuous sampling was conducted from 0 to 91 days post-hatching (dph). 17β-estradiol (E2) and testosterone (T) levels, six digestive enzymes, as well as T3, T4, GH, and IGF-I were detected. The results showed that oogonia or spermatogonia was observed at 60 dph. During the sex differentiation to female or male, both E2 and T levels significantly increased (p < 0.05), suggesting that E2 and T may induce the sex differentiation to female or male in T. modestus, respectively. The amylase activity from 0 to 35 dph showed a slow upward trend, which may be due to the transition from endogenous to exogenous nutrition at this time. From 12 to 25 dph, alkaline protease activity significantly decreased (p < 0.05), while acid protease levels significantly increased (p < 0.05), suggesting that as organs in the digestive system continue to develop, acid protease plays an important role. T3 and T4 could already be detected at 0 dph, and the T4 content was always much higher than T3 throughout the stages, indicating that T4 may play more important roles than T3. Additionally, the changes in IGF-I and GH content followed a trend of an initial increase, a subsequent decrease, and then an increase, ultimately showing an overall upward trend. These results indicate that T4, IGF-I, and GH play crucial roles in growth and development in the juvenile fish. In conclusion, the results of this study provide useful information for growth, artificial reproduction, and sex regulation in T. modestus. Full article
(This article belongs to the Section Evolutionary Biology)
Show Figures

Figure 1

22 pages, 7879 KB  
Review
Effectiveness of Small Hydropower Plants Dismantling in the Chishui River Watershed and Recommendations for Follow-Up Studies
by Wenzhuo Gao, Zhigang Wang, Ke Wang, Xianxun Wang, Xiao Li and Qunli Jiang
Water 2025, 17(19), 2909; https://doi.org/10.3390/w17192909 - 9 Oct 2025
Viewed by 426
Abstract
With the characteristic of “decentralized distribution and local power supply”, small hydropower (SHP) in China has become a core means of solving the problem of insufficient power supply in rural and remote mountainous areas, effectively promoting the improvement of local livelihoods. However, for [...] Read more.
With the characteristic of “decentralized distribution and local power supply”, small hydropower (SHP) in China has become a core means of solving the problem of insufficient power supply in rural and remote mountainous areas, effectively promoting the improvement of local livelihoods. However, for a long time, SHP has had many problems, such as irrational development, old equipment, and poor economic efficiency, resulting in some rivers with connectivity loss and reduced biodiversity, etc. The Chishui River Watershed is an ecologically valuable river in the upper reaches of the Yangtze River. As an important habitat for rare fish in the upper reaches of the Yangtze River and the only large-scale tributary that maintains a natural flow pattern, the SHP plants’ dismantling and ecological restoration practices in the Chishui River Watershed can set a model for regional sustainable development. This paper adopts the methods of literature review, field research, and case study analysis, combined with the comparison of ecological conditions before and after the dismantling, to systematically analyze the effectiveness and challenges of SHP rectification in the Chishui River Watershed. The study found that after dismantling 88.2% of SHP plants in ecologically sensitive areas, the number of fish species upstream and downstream of the original dam site increased by about 6.67% and 70%, respectively; the natural hydrological connectivity has been restored to the downstream of the Tongzi River, the Gulin River and other rivers, but there are short-term problems such as sediment underflow, increased economic pressure, and the gap of alternative energy sources; the retained power stations have achieved the success and challenges of power generation and ecological management ecological flow control and comprehensive utilization, achieving a balance between power generation and ecological protection. Based on the above findings, the author proposes dynamic monitoring and interdisciplinary tracking research to fill the gap of systematic data support and long-term effect research in the SHP exit mechanism, and the results can provide a reference for the green transition of SHP. Full article
(This article belongs to the Section Water Resources Management, Policy and Governance)
Show Figures

Figure 1

23 pages, 2105 KB  
Article
Driving Sustainable Operations: Aligning Lean Six Sigma Practices with Sustainability Goals
by Pedro Marques, Lígia Conceição, André M. Carvalho and João Reis
Sustainability 2025, 17(19), 8898; https://doi.org/10.3390/su17198898 - 7 Oct 2025
Viewed by 991
Abstract
Sustainability is gaining relevance across organizations, yet significant challenges remain in how it is implemented and translated into daily operations. This paper examines how Lean Six Sigma can be used to address operational challenges while also supporting the integration of sustainability objectives in [...] Read more.
Sustainability is gaining relevance across organizations, yet significant challenges remain in how it is implemented and translated into daily operations. This paper examines how Lean Six Sigma can be used to address operational challenges while also supporting the integration of sustainability objectives in industrial contexts. The study is based on a project conducted in a fish processing plant, aiming to increase production capacity and reduce delays. Using the DMAIC framework, the team addressed key bottlenecks through demand-based workload leveling, earlier production planning, and targeted maintenance to improve equipment performance. These actions led to measurable gains in throughput, resource use, and schedule reliability. In parallel, they contributed to sustainability outcomes, including reduced rework, lower waste, and improved working conditions. The results suggest that Lean Six Sigma, typically focused on performance, can also act as a platform for embedding sustainability into existing routines. The findings offer insight into how performance-driven approaches can support sustainability transitions in process-intensive industries. Full article
Show Figures

Figure 1

13 pages, 1436 KB  
Article
Functional Characterization of Trypsin in the Induction of Biologically Live Bait Feeding in Mandarin Fish (Siniperca chuatsi) Larvae
by Xiaoru Dong, Ke Lu, Jiaqi Wu, Qiuling Wang and Xu-fang Liang
Cells 2025, 14(19), 1537; https://doi.org/10.3390/cells14191537 - 1 Oct 2025
Viewed by 465
Abstract
The early developmental transition from endogenous to exogenous feeding is a critical period in carnivorous fish larvae, often associated with high mortality rates in aquaculture. Although trypsin, a key protease in protein digestion, is hypothesized to play a pivotal role in initiating exogenous [...] Read more.
The early developmental transition from endogenous to exogenous feeding is a critical period in carnivorous fish larvae, often associated with high mortality rates in aquaculture. Although trypsin, a key protease in protein digestion, is hypothesized to play a pivotal role in initiating exogenous feeding, the expression dynamics and functional contributions of trypsin and isoforms during early development remain poorly characterized in carnivorous species. This study explores the critical role of trypsin in the early feeding process of carnivorous fish, using mandarin fish (Siniperca chuatsi) as a model, which is a commercially valuable species that faces significant challenges during this phase due to its strict dependence on live prey and underdeveloped digestive system. Phylogenetic analysis indicates that, compared to herbivorous and omnivorous fish, carnivorous fish have evolved a greater number of trypsins, with a distinct branch specifically dedicated to try. RNA-seq data revealed the expression profiles of 13 trypsins during the early developmental stages of the mandarin fish. Most trypsins began to be expressed in large quantities with the appearance of the pancreas, reaching a peak prior to feeding. In situ hybridization revealed the spatiotemporal expression pattern of trypsins, starting from the pancreas in early development and later extending to the intestines. Furthermore, inhibition of trypsins activity successfully suppressed early oral feeding in mandarin fish, which was achieved by increasing the expression of cholecystokinin 2 (CCK2) and proopiomelanocortin (POMC) to suppress appetite. These findings enhance our understanding of the adaptive relationship between the ontogeny of the digestive enzyme system and feeding behavior in carnivorous fish. This research may help alleviate bottleneck issues in aquaculture production by improving the survival rate and growth performance of carnivorous fish during critical early life stages. Full article
Show Figures

Figure 1

17 pages, 12334 KB  
Article
Bioponics in Tomato Cultivation Toward Sustainable Farming: Evaluation of a Circular Tri-Trophic System Incorporating Aquaponics and Insects
by Anastasia Mourantian, Michalis Chatzinikolaou, Maria Feka and Efi Levizou
Plants 2025, 14(18), 2882; https://doi.org/10.3390/plants14182882 - 16 Sep 2025
Viewed by 597
Abstract
Bioponics is a promising agricultural system designed to integrate circular economy principles by recovering nutrients from organic waste. In this context we implemented a tri-trophic circular system, where insect larvae fed on crop residues and fruits were processed into insect meal for fish [...] Read more.
Bioponics is a promising agricultural system designed to integrate circular economy principles by recovering nutrients from organic waste. In this context we implemented a tri-trophic circular system, where insect larvae fed on crop residues and fruits were processed into insect meal for fish feed. The water used in fish rearing then irrigated tomato crops in an aquaponic setup, closing the nutritional loop. Tomato was cultivated in this system with the aim of thoroughly evaluating its applicability via assessing the dynamics of growth, yield, and functional responses of the crop across three treatments: coupled aquaponics (CAP), decoupled aquaponics (DCAP), and hydroponics (HP, as control). DCAP matched HP in all parameters assessed and even outperformed it in fertilizer use efficiency by 31%. In contrast, CAP showed reduced growth and yield (by 38%) and limitations in photochemical efficiency and photosynthetic performance, likely due to significant deficiencies in potassium and phosphorus (9-fold and 2-fold lower than in HP, respectively). DCAP demonstrated strong potential to achieve similar crop outcomes to conventional hydroponics with enhanced resource efficiency. Overall, adopting the DCAP variant of aquaponics in this circular nutrition system is a promising alternative to conventional hydroponics, supporting a transition toward more environmentally resilient farming practices. Full article
Show Figures

Figure 1

15 pages, 1767 KB  
Article
Ichthyoplankton Composition and Environmental Drivers in the Sanquianga Tapaje Estuarine System, Eastern Tropical Pacific
by Juan José Gallego-Zerrato, Andrés Cuellar and Alan Giraldo
Diversity 2025, 17(9), 649; https://doi.org/10.3390/d17090649 - 16 Sep 2025
Viewed by 452
Abstract
Estuaries are vital coastal ecosystems that support fish during key life stages such as spawning, feeding, and early development. This study investigates ichthyoplankton composition and abundance in the Sanquianga Tapaje estuarine system, located in the southern Eastern Tropical Pacific (ETP) of Colombia. Zooplankton [...] Read more.
Estuaries are vital coastal ecosystems that support fish during key life stages such as spawning, feeding, and early development. This study investigates ichthyoplankton composition and abundance in the Sanquianga Tapaje estuarine system, located in the southern Eastern Tropical Pacific (ETP) of Colombia. Zooplankton samples were collected using bongo nets at 11 stations across four river mouths (Tapaje, Amárales, Sanquianga, and Guascama), alongside measurements of oceanographic parameters at 1 and 10 m depths. A total of 357 fish larvae were identified, representing 23 species and 11 families, with Engraulidae, Gobiidae, and Carangidae dominating the assemblage. Water column conditions reflected typical tropical estuarine dynamics, influenced by tidal action and freshwater input. Spearman’s rank correlation revealed strong positive associations between larval abundance and surface salinity (rs = 0.81, p = 0.003), as well as dissolved oxygen saturation and concentration (rs > 0.68, p < 0.021). Diversity indices (Shannon, Pielou, Whittaker) indicated high species turnover in transitional zones, and larval hotspots were associated with outer estuarine zones. Salinity and dissolved oxygen emerged as key drivers of ichthyoplankton distribution. These findings underscore the ecological complexity and nursery function of tropical estuaries, offering baseline data to inform biodiversity conservation, ecosystem monitoring, and adaptive management in Colombia’s Pacific region and across the ETP. Full article
Show Figures

Figure 1

20 pages, 1418 KB  
Article
Refining Larval Culture Protocols of Clownfish (Amphiprion ocellaris) to Reduce the Use of Live Feeds
by Casey A. Murray, Brittney D. Lacy, Olivia I. Markham and Matthew A. DiMaggio
Fishes 2025, 10(9), 461; https://doi.org/10.3390/fishes10090461 - 13 Sep 2025
Viewed by 759
Abstract
Clownfish (Amphiprion ocellaris) are a staple commodity in the marine aquarium trade and an emerging model organism for research. Bottlenecks during larviculture affect the survival of juvenile fish and continued reliance on live feeds, such as rotifers (Brachionus spp.) and [...] Read more.
Clownfish (Amphiprion ocellaris) are a staple commodity in the marine aquarium trade and an emerging model organism for research. Bottlenecks during larviculture affect the survival of juvenile fish and continued reliance on live feeds, such as rotifers (Brachionus spp.) and Artemia spp. nauplii, increasing the complexity and cost of raising this species. This study utilized known digestive physiology of clownfish larvae to experimentally reduce the use of live feeds. First, larvae were weaned from rotifers to Artemia at three time points (3, 5, and 7 days post-hatch [DPH]), demonstrating that larvae can be transitioned to Artemia as early as 5 DPH without negative impacts on survival, total length (TL), or whole-body cortisol. A second weaning trial tested the introduction of a commercial microdiet (MD) at 5, 8, and 11 DPH. Survival was greatest when the MD was introduced at 5 DPH (mean ± SD; 64.47 ± 0.10%), and no differences in TL nor whole-body cortisol were detected, suggesting that Artemia may not be required prior to MD weaning. Next, three commercially available MDs were tested for their effects on survival, growth, and coloration of clownfish larvae. Survival and growth did not differ among diets, but fish fed TDO Chroma Boost™ exhibited significantly red-shifted hues, higher saturation, and greater brightness scores in some body regions compared to fish fed Golden Pearl or GEMMA Micro 300. A partial budget analysis indicated a net profit increase of ~$1.60 per fish, highlighting the potential for cost savings and streamlined clownfish production. Full article
(This article belongs to the Special Issue Intestinal Health of Aquatic Organisms)
Show Figures

Figure 1

30 pages, 883 KB  
Review
Artificial Intelligence in Microbiome Research and Beyond: Connecting Human Health, Animal Husbandry, and Aquaculture
by Silvio Rizzi, Giulio Saroglia, Violeta Kalemi, Simona Rimoldi and Genciana Terova
Appl. Sci. 2025, 15(17), 9781; https://doi.org/10.3390/app15179781 - 5 Sep 2025
Viewed by 1716
Abstract
Technological advancements in computational power and algorithm design have enabled artificial intelligence to become a transformative force in microbiome research. This paper presents a concise overview of recent applications of this computational paradigm in human and animal health, with a particular emphasis on [...] Read more.
Technological advancements in computational power and algorithm design have enabled artificial intelligence to become a transformative force in microbiome research. This paper presents a concise overview of recent applications of this computational paradigm in human and animal health, with a particular emphasis on aquaculture. International projects focused on the intestinal microbiome have allowed human research to consistently dominate in terms of application cases, offering insights into various pathological conditions. In contrast, animal research has leveraged artificial intelligence in microbiome analysis to promote sustainable productivity, addressing environmental and public health concerns linked to livestock husbandry. In aquaculture, on the other hand, artificial intelligence has mainly supported management practices, improving rearing conditions and feeding strategies. When considering microbiome manipulation, however, fish farms have often relied on traditional methods, without harnessing the immense potential of artificial intelligence, whose recent applications include biomonitoring and modeling interactions between microbial communities and environmental factors in farming systems. Given the paradigm shift currently underway in both human health and animal husbandry, we advocate for a transition in the aquaculture industry toward smart farming, whose interconnected infrastructure will allow to fully leverage artificial intelligence to seamlessly integrate both biological measurements and rearing parameters. Full article
Show Figures

Figure 1

31 pages, 2884 KB  
Review
Towards Ethical and Effective Conservation of New Zealand’s Natural Heritage
by Joanna C. Pollard
Conservation 2025, 5(3), 47; https://doi.org/10.3390/conservation5030047 - 3 Sep 2025
Viewed by 3180
Abstract
Major human impacts on New Zealand’s ecology began about 800 years ago with immigration firstly from Polynesia, then Europe starting a few centuries later. The humans cleared habitat, hunted species to extinction, and introduced biota, including plants, birds, fish, invertebrates, and mammals. Over [...] Read more.
Major human impacts on New Zealand’s ecology began about 800 years ago with immigration firstly from Polynesia, then Europe starting a few centuries later. The humans cleared habitat, hunted species to extinction, and introduced biota, including plants, birds, fish, invertebrates, and mammals. Over the last 70 years, government-funded campaigns have been waged against some of the introduced mammals that became considered harmful to native biota. These campaigns spread poisonous food baits from aircraft to kill and suppress target animals (mainly brushtail possums (Trichosurus vulpecula) and rats (Rattus spp.)) over large areas. Increased intensity, frequency, and scale of poisoning are being trialled under a new conservation strategy (Predator Free 2050) to eradicate several mammalian species. The present study investigates the opportunity for a paradigm shift in conservation, emphasizing the rationales for transitioning from spreading of pesticides to a more targeted approach. NZ’s poison- and predator-focused ecological management has been criticized internationally as cruel and unnecessary, while independent NZ ecologists have called for, and outlined, a new system of conservation management based on ecological knowledge, which embraces all threats to native biota. A central tenet of proposed new methods is the engagement of all relevant stakeholders. Efficient management tools include remote monitoring, and smart, self-resetting kill traps for targeted small mammal control. Ecology-driven, commercially sound, targeted, monitored, relatively humane management can be implemented to protect the remnants of NZ’s natural heritage. Full article
Show Figures

Figure 1

31 pages, 2977 KB  
Review
Thermal and Nutritional Strategies for Managing Tenacibaculum maritimum in Aquaculture: A Welfare-Oriented Review
by Raquel Carrilho, Márcio Moreira, Ana Paula Farinha, Denise Schrama, Florbela Soares, Pedro Rodrigues and Marco Cerqueira
Animals 2025, 15(17), 2581; https://doi.org/10.3390/ani15172581 - 2 Sep 2025
Viewed by 735
Abstract
Disease outbreaks pose a significant challenge in aquaculture, leading to substantial economic losses for producers. Tenacibaculosis, a significant ulcerative bacterial disease caused by Tenacibaculum maritimum, affects a wide range of marine fish species globally. Current disease management relies on antibiotics and chemicals, [...] Read more.
Disease outbreaks pose a significant challenge in aquaculture, leading to substantial economic losses for producers. Tenacibaculosis, a significant ulcerative bacterial disease caused by Tenacibaculum maritimum, affects a wide range of marine fish species globally. Current disease management relies on antibiotics and chemicals, leading to environmental issues, impaired fish and consumer health, and increased antimicrobial-resistant bacteria. This narrative review critically explores welfare-oriented alternatives, specifically examining the potential of temperature modulation and functional diets. Although thermal strategies show promise for warm-water species through behavioural fever mechanisms, their effectiveness remains limited by species-specific thermal tolerances and lack of commercial validation. Nutritional interventions using marine algae, probiotics, and immunostimulants demonstrate broader applicability but suffer from inconsistent methodologies, limited commercial validation, and significant knowledge gaps. We propose that integration of these approaches could theoretically represent a paradigm shift from pathogen-focused to host-centred disease management, pending empirical validation. However, this integration concept requires rigorous validation, as significant knowledge gaps persists regarding optimal implementation protocols, welfare monitoring frameworks, and economic viability assessments. From our perspective, transitioning to welfare-oriented aquaculture demands rigorous evaluation and validation, commercial-scale trials, economic cost–benefit analysis, and the establishment of regulatory frameworks before these theoretical alternatives can be responsibly implemented. Full article
(This article belongs to the Section Aquatic Animals)
Show Figures

Figure 1

Back to TopTop