Sign in to use this feature.

Years

Between: -

Subjects

remove_circle_outline
remove_circle_outline
remove_circle_outline
remove_circle_outline

Journals

Article Types

Countries / Regions

Search Results (11)

Search Parameters:
Keywords = spindle cell rhabdomyosarcoma

Order results
Result details
Results per page
Select all
Export citation of selected articles as:
18 pages, 1004 KB  
Case Report
Vesicovaginal Leiomyoma at 20 Years of Age—A Rare Clinical Entity: Case Report and Literature Review
by Carmen Elena Bucuri, Răzvan Ciortea, Andrei Mihai Măluțan, Aron Valentin Oprea, Maria Patricia Roman, Cristina Mihaela Ormindean, Ionel Daniel Nati, Viorela Elena Suciu, Alex Emil Hăprean and Dan Mihu
Diagnostics 2025, 15(21), 2686; https://doi.org/10.3390/diagnostics15212686 - 24 Oct 2025
Viewed by 349
Abstract
Background and Clinical Significance: Vesicovaginal leiomyomas are an exceedingly rare form of extrauterine fibroids. They represent less than 1% of all leiomyomas and have been reported in less than 300 cases worldwide since 1733. These benign smooth muscle tumors typically occur in perimenopausal [...] Read more.
Background and Clinical Significance: Vesicovaginal leiomyomas are an exceedingly rare form of extrauterine fibroids. They represent less than 1% of all leiomyomas and have been reported in less than 300 cases worldwide since 1733. These benign smooth muscle tumors typically occur in perimenopausal women aged 35–50 years, presenting in young adults extraordinarily uncommonly. The rarity in younger patients creates significant diagnostic challenges, as clinical presentation often mimics malignant entities, particularly embryonal rhabdomyosarcoma. Case Presentation: This paper presents a 20-year-old nulliparous female who developed progressive dyspareunia and urinary dysfunction over 12 months due to a large vesicovaginal mass. Physical examination revealed a 6–7 cm smooth, firm mass obstructing the vaginal canal. Transvaginal ultrasound demonstrated a well-circumscribed, hypoechoic solid lesion measuring 6.9 cm in the vesicovaginal space. Magnetic resonance imaging showed a characteristic T2-hypointense signal with restricted diffusion consistent with leiomyoma, revealing an incidental septate uterus. Ultrasound-guided core needle biopsy confirmed benign leiomyoma with bland spindle cells, absent atypia, and minimal mitotic activity. The patient underwent successful transvaginal enucleation with complete symptom resolution. Conclusion: This case highlights diagnostic challenges posed by benign leiomyomas in young women presenting with solid pelvic masses. Systematic diagnostic approaches incorporating multimodal imaging and guided tissue sampling are essential to avoid misdiagnosis and unnecessary radical surgery. When malignancy is confidently excluded, management should prioritize fertility preservation in young patients. Full article
(This article belongs to the Special Issue Imaging for the Diagnosis of Obstetric and Gynecological Diseases)
Show Figures

Figure 1

24 pages, 2910 KB  
Article
TFCP2 Fusion-Positive Rhabdomyosarcomas: A Report of 10 Cases and a Review of the Literature
by Madison P. Ginn, Ryan A. Denu, Davis R. Ingram, Khalida M. Wani, Alexander J. Lazar, Douglas J. Harrison, Michael S. Nakazawa, Anthony P. Conley, Shreyaskumar Patel and John Andrew Livingston
Cancers 2025, 17(9), 1441; https://doi.org/10.3390/cancers17091441 - 25 Apr 2025
Cited by 1 | Viewed by 1330
Abstract
Background/Objectives: The fusion of the TFCP2 gene with either EWSR1 or FUS typically results in a spindle cell and/or epithelioid variant of rhabdomyosarcoma. This is an ultra-rare type of sarcoma, with most of our knowledge about these coming from case reports and small [...] Read more.
Background/Objectives: The fusion of the TFCP2 gene with either EWSR1 or FUS typically results in a spindle cell and/or epithelioid variant of rhabdomyosarcoma. This is an ultra-rare type of sarcoma, with most of our knowledge about these coming from case reports and small case series. Herein, we describe the clinical characteristics and treatment course of 10 patients with TFCP2 fusion sarcomas. Methods: We identified 10 patients in our hospital system with TFCP2 fusion sarcomas and 43 previously reported cases in the literature. We assessed primary tumor characteristics, treatment regimens, and survival rates among all cases. Results: We find that TFCP2 fusion sarcomas most commonly occur in young adults (median age: 33 years) and arise in craniofacial bones (7/10, 70%). Concomitant ALK alterations and ALK overexpression is nearly universal, and two of our patients were treated with ALK inhibitors; one patient had a near complete response before eventual progression, while the other patient had progressive disease after 2 months. For most, the prognosis was poor. The median overall survival in this cohort was 24.7 months (range: 5.9–29.7 months). Four patients were treated with upfront surgery, and all four developed recurrent disease. The median time to recurrence following upfront surgery was 2.1 months (range: 0.73–6.9 months). Five patients received systemic therapy, and the median progression-free survival from the start of treatment to progression was 1.6 months (range: 0.97–2.7). We also review the 53 total cases of TFCP2 fusion sarcomas in the literature, again highlighting the dismal outcomes in this disease. Conclusions:TFCP2 fusion sarcomas are proven to be aggressive and have poor prognosis. Additional work is needed to define the optimal treatment course for TFCP2 fusion sarcomas. Full article
(This article belongs to the Section Clinical Research of Cancer)
Show Figures

Figure 1

7 pages, 2342 KB  
Interesting Images
Comparison of 18F-FDG PET/CT and 68Ga-FAPI in Spindle Cell Rhabdomyosarcoma
by Zhihui Shen and Ruimin Wang
Diagnostics 2023, 13(18), 3006; https://doi.org/10.3390/diagnostics13183006 - 20 Sep 2023
Cited by 6 | Viewed by 2031
Abstract
We report a rare case of spindle cell rhabdomyosarcoma. Sarcomas generally exhibit an abnormal increased FDG uptake on 18F-FDG PET/CT imaging, while spindle cell rhabdosarcomas exhibits a significantly increased lesion uptake on 68Ga FAPI PET/CT imaging compared to 18F-FDG. This [...] Read more.
We report a rare case of spindle cell rhabdomyosarcoma. Sarcomas generally exhibit an abnormal increased FDG uptake on 18F-FDG PET/CT imaging, while spindle cell rhabdosarcomas exhibits a significantly increased lesion uptake on 68Ga FAPI PET/CT imaging compared to 18F-FDG. This case suggests that 68Ga-FAPI PET/CT has potential value in evaluating spindle cell rhabdomyosarcoma. Full article
(This article belongs to the Special Issue 18F-FDG PET/CT: Current and Future Clinical Applications)
Show Figures

Figure 1

12 pages, 3418 KB  
Case Report
Spindle Cell Rhabdomyosarcoma of the Inguinal Region Mimicking a Complicated Hernia in the Adult—An Unexpected Finding
by Valentin Titus Grigorean, Radu Serescu, Andrei Anica, Violeta Elena Coman, Ştefan Iulian Bedereag, Roxana Corina Sfetea, Mircea Liţescu, Iancu Emil Pleşea, Costin George Florea, Cosmin Burleanu, Anwar Erchid and Ionuţ Simion Coman
Medicina 2023, 59(9), 1515; https://doi.org/10.3390/medicina59091515 - 23 Aug 2023
Cited by 1 | Viewed by 2318
Abstract
Rhabdomyosarcoma is a rare tumor that is diagnosed mostly in children and adolescents, rarely in adults, representing 2–5% of all soft tissue sarcomas. It has four subtypes that are recognized: embryonal (50%), alveolar (20%), pleomorphic (20%), and spindle cell/sclerosing (10%). The diagnosis of [...] Read more.
Rhabdomyosarcoma is a rare tumor that is diagnosed mostly in children and adolescents, rarely in adults, representing 2–5% of all soft tissue sarcomas. It has four subtypes that are recognized: embryonal (50%), alveolar (20%), pleomorphic (20%), and spindle cell/sclerosing (10%). The diagnosis of rhabdomyosarcoma is based on the histological detection of rhabdomyoblasts and the expression of muscle-related biomarkers. Spindle cell/sclerosing rhabdomyosarcoma consists morphologically of fusiform cells with vesicular chromatin arranged in a storiform pattern or long fascicles, with occasional rhabdomyoblasts. Also, dense, collagenous, sclerotic stroma may be seen more commonly in adults. We present a rare case of an adult who presented to the hospital with a tumor in the left inguinal area, was first diagnosed with a left strangulated inguinal hernia and was operated on as an emergency, although the diagnosis was ultimately a spindle cell rhabdomyosarcoma of the inguinal region. Full article
Show Figures

Figure 1

14 pages, 1449 KB  
Review
Biological Role and Clinical Implications of MYOD1L122R Mutation in Rhabdomyosarcoma
by Daniela Di Carlo, Julia Chisholm, Anna Kelsey, Rita Alaggio, Gianni Bisogno, Veronique Minard-Colin, Meriel Jenney, Raquel Dávila Fajardo, Johannes H. M. Merks, Janet M. Shipley and Joanna L. Selfe
Cancers 2023, 15(6), 1644; https://doi.org/10.3390/cancers15061644 - 7 Mar 2023
Cited by 13 | Viewed by 4623
Abstract
Major progress in recent decades has furthered our clinical and biological understanding of rhabdomyosarcoma (RMS) with improved stratification for treatment based on risk factors. Clinical risk factors alone were used to stratify patients for treatment in the European Pediatric Soft Tissue Sarcoma Study [...] Read more.
Major progress in recent decades has furthered our clinical and biological understanding of rhabdomyosarcoma (RMS) with improved stratification for treatment based on risk factors. Clinical risk factors alone were used to stratify patients for treatment in the European Pediatric Soft Tissue Sarcoma Study Group (EpSSG) RMS 2005 protocol. The current EpSSG overarching study for children and adults with frontline and relapsed rhabdomyosarcoma (FaR-RMS NCT04625907) includes FOXO1 fusion gene status in place of histology as a risk factor. Additional molecular features of significance have recently been recognized, including the MYOD1L122R gene mutation. Here, we review biological information showing that MYOD1L122R blocks cell differentiation and has a MYC-like activity that enhances tumorigenesis and is linked to an aggressive cellular phenotype. MYOD1L122R mutations can be found together with mutations in other genes, such as PIK3CA, as potentially cooperating events. Using Preferred Reporting Items for Systematic Reviews and Meta-Analyses (PRISMA) guidelines, ten publications in the clinical literature involving 72 cases were reviewed. MYOD1L122R mutation in RMS can occur in both adults and children and is frequent in sclerosing/spindle cell histology, although it is also significantly reported in a subset of embryonal RMS. MYOD1L122R mutated tumors most frequently arise in the head and neck and extremities and are associated with poor outcome, raising the issue of how to use MYOD1L122R in risk stratification and how to treat these patients most effectively. Full article
Show Figures

Figure 1

10 pages, 1099 KB  
Article
NanoString Digital Molecular Profiling of Protein and microRNA in Rhabdomyosarcoma
by Atif A. Ahmed, Midhat S. Farooqi, Sultan S. Habeebu, Elizabeth Gonzalez, Terrie G. Flatt, Ashley L. Wilson and Frederic G. Barr
Cancers 2022, 14(3), 522; https://doi.org/10.3390/cancers14030522 - 21 Jan 2022
Cited by 11 | Viewed by 4332
Abstract
Purpose: Rhabdomyosarcoma (RMS) exhibits a complex prognostic algorithm based on histologic, biologic and clinical parameters. The embryonal (ERMS) and spindle cell-sclerosing RMS (SRMS) histologic subtypes warrant further studies due to their heterogenous genetic background and variable clinical behavior. NanoString digital profiling methods have [...] Read more.
Purpose: Rhabdomyosarcoma (RMS) exhibits a complex prognostic algorithm based on histologic, biologic and clinical parameters. The embryonal (ERMS) and spindle cell-sclerosing RMS (SRMS) histologic subtypes warrant further studies due to their heterogenous genetic background and variable clinical behavior. NanoString digital profiling methods have been previously highlighted as robust novel methods to detect protein and microRNA expression in several cancers but not in RMS. Methods/Patients: To identify prognostic biomarkers, we categorized 12 ERMS and SRMS tumor cases into adverse (n = 5) or favorable (n = 7) prognosis groups and analyzed their signaling pathways and microRNA profiles. The digital spatial profiling of protein and microRNA analysis was performed on formalin-fixed, paraffin-embedded (FFPE) tumor tissue using NanoString technology. Results: The detectable expression of several component members of the PI3K/AKT, MAPK and apoptosis signaling pathways was highlighted in RMS, including INPP4B, Pan-AKT, MET, Pan-RAS, EGFR, phospho-p90 RSK, p44/42 ERK1/2, BAD, BCL-XL, cleaved caspase-9, NF1, PARP and p53. Compared to cases with favorable prognosis, the adverse-prognosis tumor samples had significantly increased expression of INPP4B, which was confirmed with traditional immunohistochemistry. The analysis of microRNA profiles revealed that, out of 798 microRNAs assessed, 228 were overexpressed and 134 downregulated in the adverse prognosis group. Significant over-expression of oncogenic/tumor suppressor miR-3144-3p, miR-612, miR-302d-3p, miR-421, miR-548ar-5p and miR-548y (p < 0.05) was noted in the adverse prognosis group. Conclusion: This study highlights the utility of NanoString digital profiling methods in RMS, where it can detect distinct molecular signatures with the expression of signaling pathways and microRNAs from FFPE tumor tissue that may help identify prognostic biomarkers of interest. The overexpression of INPP4B and miR-3144-3p, miR-612, miR-302d-3p, miR-421, miR-548y and miR-548ar-5p may be associated with worse overall survival in ERMS and SRMS. Full article
(This article belongs to the Special Issue Pediatric Cancer Biology: Basic and Translational Implications)
Show Figures

Figure 1

15 pages, 6094 KB  
Article
The Role of BiP and the IRE1α–XBP1 Axis in Rhabdomyosarcoma Pathology
by Mahmoud Aghaei, Ahmad Nasimian, Marveh Rahmati, Philip Kawalec, Filip Machaj, Jakub Rosik, Bhavya Bhushan, S. Zahra Bathaie, Negar Azarpira, Marek J. Łos, Afshin Samali, David Perrin, Joseph W. Gordon and Saeid Ghavami
Cancers 2021, 13(19), 4927; https://doi.org/10.3390/cancers13194927 - 30 Sep 2021
Cited by 15 | Viewed by 4032 | Correction
Abstract
Background: Rhabdomyosarcoma (RMS) is the most common soft-tissue sarcoma in children, and is associated with a poor prognosis in patients presenting with recurrent or metastatic disease. The unfolded protein response (UPR) plays pivotal roles in tumor development and resistance to therapy, including RMS. [...] Read more.
Background: Rhabdomyosarcoma (RMS) is the most common soft-tissue sarcoma in children, and is associated with a poor prognosis in patients presenting with recurrent or metastatic disease. The unfolded protein response (UPR) plays pivotal roles in tumor development and resistance to therapy, including RMS. Methods: In this study, we used immunohistochemistry and a tissue microarray (TMA) on human RMS and normal skeletal muscle to evaluate the expression of key UPR proteins (GRP78/BiP, IRE1α and cytosolic/nuclear XBP1 (spliced XBP1-sXBP1)) in the four main RMS subtypes: alveolar (ARMS), embryonal (ERMS), pleomorphic (PRMS) and sclerosing/spindle cell (SRMS) RMS. We also investigated the correlation of these proteins with the risk of RMS and several clinicopathological indices, such as lymph node involvement, distant metastasis, tumor stage and tumor scores. Results: Our results revealed that the expression of BiP, sXBP1, and IRE1α, but not cytosolic XBP1, are significantly associated with RMS (BiP and sXBP1 p-value = 0.0001, IRE1 p-value = 0.001) in all of the studied types of RMS tumors (n = 192) compared to normal skeletal muscle tissues (n = 16). In addition, significant correlations of BiP with the lymph node score (p = 0.05), and of IRE1α (p value = 0.004), cytosolic XBP1 (p = 0.001) and sXBP1 (p value = 0.001) with the stage score were observed. At the subtype level, BiP and sXBP1 expression were significantly associated with all subtypes of RMS, whereas IRE1α was associated with ARMS, PRMS and ERMS, and cytosolic XBP1 expression was associated with ARMS and SRMS. Importantly, the expression levels of IRE1α and sXBP1 were more pronounced in ARMS than in any of the other subtypes. The results also showed correlations of BiP with the lymph node score in ARMS (p value = 0.05), and of sXBP1 with the tumor score in PRMS (p value = 0.002). Conclusions: In summary, this study demonstrates that the overall UPR is upregulated and, more specifically, that the IRE1/sXBP1 axis is active in RMS. The subtype and stage-specific dependency on the UPR machinery in RMS may open new avenues for the development of novel targeted therapeutic strategies and the identification of specific tumor markers in this rare but deadly childhood and young-adult disease. Full article
(This article belongs to the Special Issue Targeted Therapies for Pediatric Solid Tumors)
Show Figures

Figure 1

18 pages, 4750 KB  
Article
Protein Arginine Methyltransferase (PRMT) Inhibitors—AMI-1 and SAH Are Effective in Attenuating Rhabdomyosarcoma Growth and Proliferation in Cell Cultures
by Joanna Janisiak, Patrycja Kopytko, Marta Tkacz, Dorota Rogińska, Magdalena Perużyńska, Bogusław Machaliński, Andrzej Pawlik and Maciej Tarnowski
Int. J. Mol. Sci. 2021, 22(15), 8023; https://doi.org/10.3390/ijms22158023 - 27 Jul 2021
Cited by 18 | Viewed by 3242
Abstract
Rhabdomyosarcoma (RMS) is a malignant soft tissue cancer that develops mostly in children and young adults. With regard to histopathology, four rhabdomyosarcoma types are distinguishable: embryonal, alveolar, pleomorphic and spindle/sclerosing. Currently, increased amounts of evidence indicate that not only gene mutations, but also [...] Read more.
Rhabdomyosarcoma (RMS) is a malignant soft tissue cancer that develops mostly in children and young adults. With regard to histopathology, four rhabdomyosarcoma types are distinguishable: embryonal, alveolar, pleomorphic and spindle/sclerosing. Currently, increased amounts of evidence indicate that not only gene mutations, but also epigenetic modifications may be involved in the development of RMS. Epigenomic changes regulate the chromatin architecture and affect the interaction between DNA strands, histones and chromatin binding proteins, thus, are able to control gene expression. The main aim of the study was to assess the role of protein arginine methyltransferases (PRMT) in the cellular biology of rhabdomyosarcoma. In the study we used two pan-inhibitors of PRMT, called AMI-1 and SAH, and evaluated their effects on proliferation and apoptosis of RMS cells. We observed that AMI-1 and SAH reduce the invasive phenotype of rhabdomyosarcoma cells by decreasing their proliferation rate, cell viability and ability to form cell colonies. In addition, microarray analysis revealed that these inhibitors attenuate the activity of the PI3K-Akt signaling pathway and affect expression of genes related to it. Full article
Show Figures

Figure 1

20 pages, 2643 KB  
Article
Establishment and Characterization of a Cell Line (S-RMS1) Derived from an Infantile Spindle Cell Rhabdomyosarcoma with SRF-NCOA2 Fusion Transcript
by Marta Colletti, Angela Galardi, Evelina Miele, Virginia Di Paolo, Ida Russo, Cristiano De Stefanis, Rita De Vito, Martina Rinelli, Andrea Ciolfi, Biagio De Angelis, Angelica Zin, Alessandro Guffanti, Maria Cristina Digilio, Antonio Novelli, Rita Alaggio, Giuseppe Maria Milano and Angela Di Giannatale
Int. J. Mol. Sci. 2021, 22(11), 5484; https://doi.org/10.3390/ijms22115484 - 22 May 2021
Cited by 6 | Viewed by 3786
Abstract
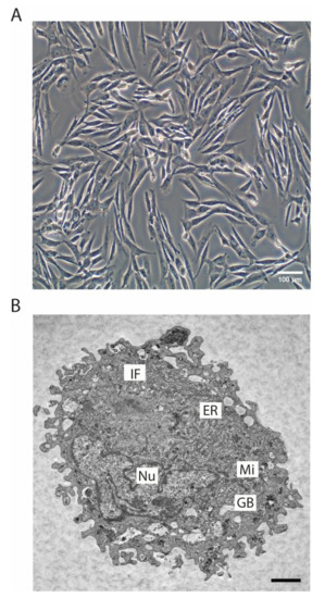
Background: Spindle cell rhabdomyosarcoma (S-RMS) is a rare tumor that was previously considered as an uncommon variant of embryonal RMS (ERMS) and recently reclassified as a distinct RMS subtype with NCOA2, NCOA1, and VGLL2 fusion genes. In this study, we established a [...] Read more.
Background: Spindle cell rhabdomyosarcoma (S-RMS) is a rare tumor that was previously considered as an uncommon variant of embryonal RMS (ERMS) and recently reclassified as a distinct RMS subtype with NCOA2, NCOA1, and VGLL2 fusion genes. In this study, we established a cell line (S-RMS1) derived from a four-month-old boy with infantile spindle cell RMS harboring SRF-NCOA2 gene fusion. Methods: Morphological and molecular characteristics of S-RMS1 were analyzed and compared with two RMS cell lines, RH30 and RD18. Whole genome sequencing of S-RMS1 and clinical exome sequencing of genomic DNA were performed. Results: S-RMS1 showed cells small in size, with a fibroblast-like morphology and positivity for MyoD-1, myogenin, desmin, and smooth muscle actin. The population doubling time was 3.7 days. Whole genome sequencing demonstrated that S-RMS1 retained the same genetic profile of the tumor at diagnosis. A Western blot analysis showed downregulation of AKT-p and YAP-p while RT-qPCR showed upregulation of endoglin and GATA6 as well as downregulation of TGFßR1 and Mef2C transcripts. Conclusion: This is the first report of the establishment of a cell line from an infantile spindle cell RMS with SRF-NCOA2 gene fusion. S-RMS1 should represent a useful tool for the molecular characterization of this rare and almost unknown tumor. Full article
Show Figures

Figure 1

21 pages, 7795 KB  
Guidelines
Canadian Consensus for Biomarker Testing and Treatment of TRK Fusion Cancer in Pediatric Patients
by Sébastien Perreault, Rose Chami, Rebecca J. Deyell, Dina El Demellawy, Benjamin Ellezam, Nada Jabado, Daniel A. Morgenstern, Aru Narendran, Poul H. B. Sorensen, Jonathan D. Wasserman and Stephen Yip
Curr. Oncol. 2021, 28(1), 346-366; https://doi.org/10.3390/curroncol28010038 - 9 Jan 2021
Cited by 35 | Viewed by 6131
Abstract
Neurotrophic tyrosine receptor kinase gene fusions (NTRK) are oncogenic drivers present at a low frequency in most tumour types (<5%), and at a higher frequency (>80%) in a small number of rare tumours (e.g., infantile fibrosarcoma [IFS]) and considered mutually exclusive [...] Read more.
Neurotrophic tyrosine receptor kinase gene fusions (NTRK) are oncogenic drivers present at a low frequency in most tumour types (<5%), and at a higher frequency (>80%) in a small number of rare tumours (e.g., infantile fibrosarcoma [IFS]) and considered mutually exclusive with other common oncogenic drivers. Health Canada recently approved two tyrosine receptor kinase (TRK) inhibitors, larotrectinib (for adults and children) and entrectinib (for adults), for the treatment of solid tumours harbouring NTRK gene fusions. In Phase I/II trials, these TRK inhibitors have demonstrated promising overall response rates and tolerability in patients with TRK fusion cancer who have exhausted other treatment options. In these studies, children appear to have similar responses and tolerability to adults. In this report, we provide a Canadian consensus on when and how to test for NTRK gene fusions and when to consider treatment with a TRK inhibitor for pediatric patients with solid tumours. We focus on three pediatric tumour types: non-rhabdomyosarcoma soft tissue sarcoma/unspecified spindle cell tumours including IFS, differentiated thyroid carcinoma, and glioma. We also propose a tumour-agnostic consensus based on the probability of the tumour harbouring an NTRK gene fusion. For children with locally advanced or metastatic TRK fusion cancer who have either failed upfront therapy or lack satisfactory treatment options, TRK inhibitor therapy should be considered. Full article
Show Figures

Figure 1

26 pages, 8946 KB  
Article
Establishment and Characterization of a Sclerosing Spindle Cell Rhabdomyosarcoma Cell Line with a Complex Genomic Profile
by Sabine Schleicher, Stefan Grote, Elke Malenke, Kenneth Chun-Ho Chan, Martin Schaller, Birgit Fehrenbacher, Rosa Riester, Torsten Kluba, Leonie Frauenfeld, Hans Boesmueller, Gudrun Göhring, Brigitte Schlegelberger, Rupert Handgretinger, Hans-Georg Kopp, Frank Traub and Karen A. Boehme
Cells 2020, 9(12), 2668; https://doi.org/10.3390/cells9122668 - 11 Dec 2020
Cited by 4 | Viewed by 3667
Abstract
Sclerosing spindle cell rhabdomyosarcoma (SSRMS) is a rare rhabdomyosarcomas (RMS) subtype. Especially cases bearing a myogenic differentiation 1 (MYOD1) mutation are characterized by a high recurrence and metastasis rate, often leading to a fatal outcome. SSRMS cell lines are valuable in [...] Read more.
Sclerosing spindle cell rhabdomyosarcoma (SSRMS) is a rare rhabdomyosarcomas (RMS) subtype. Especially cases bearing a myogenic differentiation 1 (MYOD1) mutation are characterized by a high recurrence and metastasis rate, often leading to a fatal outcome. SSRMS cell lines are valuable in vitro models for studying disease mechanisms and for the preclinical evaluation of new therapeutic approaches. In this study, a cell line established from a primary SSRMS tumor of a 24-year-old female after multimodal chemotherapeutic pretreatment has been characterized in detail, including immunohistochemistry, growth characteristics, cytogenetic analysis, mutation analysis, evaluation of stem cell marker expression, differentiation potential, and tumorigenicity in mice. The cell line which was designated SRH exhibited a complex genomic profile, including several translocations and deletions. Array-comparative genomic hybridization (CGH) revealed an overall predominating loss of gene loci. The mesenchymal tumor origin was underlined by the expression of mesenchymal markers and potential to undergo adipogenic and osteogenic differentiation. Despite myogenic marker expression, terminal myogenic differentiation was inhibited, which might be elicited by the MYOD1 hotspot mutation. In vivo tumorigenicity could be confirmed after subcutaneous injection into NOD/SCID/γcnull mice. Summarized, the SRH cell line is the first adult SSRMS cell line available for preclinical research on this rare RMS subtype. Full article
Show Figures

Figure 1

Back to TopTop