Sign in to use this feature.

Years

Between: -

Subjects

remove_circle_outline
remove_circle_outline
remove_circle_outline
remove_circle_outline
remove_circle_outline
remove_circle_outline
remove_circle_outline
remove_circle_outline

Journals

Article Types

Countries / Regions

Search Results (122)

Search Parameters:
Keywords = skin mucus

Order results
Result details
Results per page
Select all
Export citation of selected articles as:
23 pages, 6175 KB  
Article
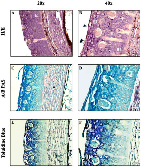
Danger! Stay Alert: The Role of Skein Cells in the Evolution of the Sea Lamprey (Petromyzon marinus, Linnaeus 1758)
by Alessio Alesci, Sebastian Marino, Stefania Fiorentino, Anthea Miller, Simon Palato, Sergio Famulari, Giorgia Pia Lombardo, Roberto Ferreira Artoni and Eugenia Rita Lauriano
Fishes 2025, 10(12), 605; https://doi.org/10.3390/fishes10120605 - 26 Nov 2025
Viewed by 173
Abstract
When it comes to predation, alarm signals enable individuals to assess risks and modulate their behavior accordingly. These signals, often chemical in aquatic environments, can be recognized across species boundaries and are typically released through injury-induced mechanisms in response to predation. While extensively [...] Read more.
When it comes to predation, alarm signals enable individuals to assess risks and modulate their behavior accordingly. These signals, often chemical in aquatic environments, can be recognized across species boundaries and are typically released through injury-induced mechanisms in response to predation. While extensively documented in teleosts, particularly those possessing epidermal club cells, such mechanisms remain poorly understood in more basal vertebrates, such as lampreys, which possess unique epidermal structures called skein cells. The present study investigated the potential role of skein cells in the immune and alarm signaling systems of the sea lamprey (Petromyzon marinus), given their strategic location in the skin and distinctive ultrastructural characteristics, such as polarized nuclei and tonofilament-rich basal cytoplasm. Although originally misidentified as club cells, skein cells may be involved in mucus secretion and the release of compounds such as sialic acid and glycoconjugates, which provide defense against aquatic pathogens. This study employed histomorphological analysis, immunoperoxidase labeling, confocal microscopy, bioinformatics, and quantitative and statistical analysis to investigate the hypothesis that skein cells contribute to anti-predator defense via the release of alarm substances. These findings provide new insights into the evolutionary origins and functional diversity of chemical signaling in the early vertebrate. Full article
(This article belongs to the Section Biology and Ecology)
Show Figures

Figure 1

20 pages, 15442 KB  
Article
Allies in the Skin Defense System: The Role of Thread Cells in the Evolution of Hagfish (Myxiniformes)
by Sebastian Marino and Alessio Alesci
Biology 2025, 14(12), 1662; https://doi.org/10.3390/biology14121662 - 24 Nov 2025
Viewed by 204
Abstract
The skin of vertebrates serves as a crucial interface with the external environment. In fish, it performs various functions, mainly offering protection against pathogens through the action of specialized cells. Cyclostomes, such as hagfish, lack scales and rely heavily on mucus for defense. [...] Read more.
The skin of vertebrates serves as a crucial interface with the external environment. In fish, it performs various functions, mainly offering protection against pathogens through the action of specialized cells. Cyclostomes, such as hagfish, lack scales and rely heavily on mucus for defense. These jawless vertebrates possess specialized glands that produce a unique mucous exudate when threatened, forming a thick slime that can clog the gills of predators. This substance, composed of mucus and filamentous proteins, offers hagfish a distinct evolutionary advantage and may explain their survival among extinct agnates. These proteins are produced in the cytoplasm of epidermal thread cells, which are unique to hagfish and contain coiled, intermediate filaments. Despite extensive research on thread cell morphology, their roles remain poorly understood. This study investigates the putative defense function of epidermal thread cells in three hagfish species, Eptatretus cirrhatus (J. R. Forster, 1801), Eptatretus stoutii (Lockington, 1878), and Myxine glutinosa (Linnaeus, 1758), using immunohistochemistry, confocal microscopy, and bioinformatics techniques to better understand their contribution to hagfish immunity and ecological resilience. Full article
(This article belongs to the Special Issue Internal Defense System and Evolution of Aquatic Animals)
Show Figures

Figure 1

24 pages, 400 KB  
Review
Chemical Variability and Biological Potential of Cornu aspersum Mucus as a Source for the Development of New Cosmetic and Pharmaceutical Products
by Nataliia Hudz, Vira Turkina, Tetyana Alyokhina, Olena Motyka, Nataliia Chemerys, Tetiana Rumynska, Andrii Lozynskyi, Izabela Jasicka-Misiak and Lesya Kobylinska
Molecules 2025, 30(21), 4197; https://doi.org/10.3390/molecules30214197 - 27 Oct 2025
Viewed by 883
Abstract
Snail mucin is one of the animal products widely used in cosmetic products. The mucus of Cornu aspersum (C. aspersum) contains compounds that have antibacterial, antioxidant, proliferative, pro-migration, angiogenesis-promoting, and other biological effects. This study aimed to critically analyze and consolidate [...] Read more.
Snail mucin is one of the animal products widely used in cosmetic products. The mucus of Cornu aspersum (C. aspersum) contains compounds that have antibacterial, antioxidant, proliferative, pro-migration, angiogenesis-promoting, and other biological effects. This study aimed to critically analyze and consolidate existing data on the bioactive components of C. aspersum mucus and the mechanisms of their influence on human health, focusing mainly on its cosmetic, regenerative, anti-inflammatory, and antimicrobial properties. We conducted a literature search analysis on this problem using the following search databases in English: PubMed, PubChem, Mendeley, Google Scholar, Scirus, DOAJ, BASE, CORE, Science.gov, and RefSeek up to 12 August 2025. It was shown that snail mucus facilitates wound healing, which could be the prerequisite for the development of innovative formulations for the adjuvant therapy of skin wounds. However, there are problems with the standardization of snail mucus because of the absence of single quality indexes, their limits, and the complicated structure of snail mucins. Moreover, there is a lack of clinical randomized trials evaluating the safety and efficacy of C. aspersum snail mucus. In conclusion, snail mucus’s biological effects deserve further investigation and pave the way for further studies of its potential as a raw material for pharmaceutical products, including the chemical structure of the still unknown molecules, its standardization, nonclinical and clinical studies, and further studies of snail mucus for its usage in cosmetology. Full article
(This article belongs to the Special Issue Anti-Aging and Skin Rejuvenation Ingredients: Design and Research)
Show Figures

Graphical abstract

15 pages, 1405 KB  
Article
Effects of Dietary Supplementation with Abies sibirica Essential Oil on Growth Performance, Digestive Enzymes, Skin Mucus Immunological Parameters, and Response to Heat Stress in Rainbow Trout
by Morteza Yousefi, Hossein Adineh, Yury Anatolyevich Vatnikov, Evgeny Vladimirovich Kulikov, Olesya Anatolyevna Petrukhina, Elena Dmitriyevna Sotnikova, Alena Igorevna Telezhenkova and Seyyed Morteza Hoseini
Animals 2025, 15(19), 2911; https://doi.org/10.3390/ani15192911 - 7 Oct 2025
Viewed by 587
Abstract
Climate change and global warming are concerning issues impacting various industries. In the aquaculture industry, these issues are more important in coldwater species, like rainbow trout Oncorhynchus mykiss. Hence, strategies to control these negative effects are worthy of study. Herbal feed additives [...] Read more.
Climate change and global warming are concerning issues impacting various industries. In the aquaculture industry, these issues are more important in coldwater species, like rainbow trout Oncorhynchus mykiss. Hence, strategies to control these negative effects are worthy of study. Herbal feed additives are reliable tools to increase fish growth and health, thereby mitigating the drawbacks of climate change on fish. In this study, three diets containing 100 (100EO), 200 (200EO), and 400 (400EO) mg/kg essential oil of Abies sibirica (SBF) along with a control diet (CTL; unsupplemented) were fed to triplicate groups of fish for 60 days. Then the fish were exposed to a 96 h heat stress (25 °C) to monitor their survival and biochemical responses. The results showed that growth performance, feed efficiency, heat stress resistance, intestinal activity of digestive enzymes, and skin mucus immunological parameters significantly (p < 0.05) increased in the SBF essential oil treatments, and the highest increases were observed in the 100EO treatment, followed by the 200EO group. Dietary supplementation with SBF essential oil significantly (p < 0.05) mitigated heat stress-induced increases in plasma cortisol and glucose. Moreover, dietary SBF essential oil significantly (p < 0.05) enhanced immunological parameters such as plasma and intestinal lysozyme and immunoglobulin levels, and improved hepatic antioxidant defenses (including catalase, glutathione peroxidase, total antioxidant capacity, and reduced glutathione), while reducing lipid peroxidation. These effects were most pronounced in the 100EO and 200EO treatments, with the highest performance being observed in the former group. In conclusion, dietary SBF essential oil at 100 mg/kg is capable of augmenting growth performance, immunity, and antioxidant capacity, and suppressing physiological stress, thereby augmenting fish resilience against heat stress. Full article
Show Figures

Figure 1

12 pages, 5175 KB  
Article
Bioinspired Swimming Robots with 3D Biomimetic Shark Denticle Structures for Controlled Marangoni Propulsion
by Kang Yang, Chengming Wang, Lei Jiang, Ruochen Fang and Zhichao Dong
Biomimetics 2025, 10(8), 479; https://doi.org/10.3390/biomimetics10080479 - 22 Jul 2025
Viewed by 1191
Abstract
Shark skin exhibits a well-defined multilayered architecture, consisting of three-dimensional denticles and an underlying dermal layer, which contributes to its passive drag reduction. However, the active drag reduction mechanisms of this interface remain largely unexplored. In this study, the Marangoni effect potentially arising [...] Read more.
Shark skin exhibits a well-defined multilayered architecture, consisting of three-dimensional denticles and an underlying dermal layer, which contributes to its passive drag reduction. However, the active drag reduction mechanisms of this interface remain largely unexplored. In this study, the Marangoni effect potentially arising from the active secretion of mucus on shark skin is investigated. A 3D-printed swimming robot with a porous substrate and a biomimetic shark denticle structure is developed. By introducing surfactants into the porous substrate and adjusting denticle arrangements, on-demand propulsion and controlled swimming trajectories are achieved. A superhydrophobic surface is fabricated on the swimming robot, which reduces water resistance and enhances propulsion. Moreover, denticles with a 30° attack angle demonstrate optimal propulsion performance in both Marangoni-driven hydrodynamics and aerodynamics. This study suggests that the secretion of mucus on shark skin may facilitate active drag reduction via the Marangoni effect, offering novel insights into the biomimetic structural design of autonomous swimming robots. Full article
(This article belongs to the Special Issue Advances in Biomimetics: Patents from Nature)
Show Figures

Figure 1

20 pages, 2533 KB  
Article
Analysis of the Alterations in Symbiotic Microbiota and Their Correlation with Intestinal Metabolites in Rainbow Trout (Oncorhynchus mykiss) Under Heat Stress Conditions
by Changqing Zhou and Fengyuan Ding
Animals 2025, 15(14), 2017; https://doi.org/10.3390/ani15142017 - 8 Jul 2025
Viewed by 663
Abstract
Global warming represents one of the most pressing environmental challenges to cold-water fish farming. Heat stress markedly alters the mucosal symbiotic microbiota and intestinal microbial metabolites in fish, posing substantial barriers to the healthy artificial breeding of rainbow trout (Oncorhynchus mykiss). [...] Read more.
Global warming represents one of the most pressing environmental challenges to cold-water fish farming. Heat stress markedly alters the mucosal symbiotic microbiota and intestinal microbial metabolites in fish, posing substantial barriers to the healthy artificial breeding of rainbow trout (Oncorhynchus mykiss). However, the relationship between mucosal commensal microbiota, intestinal metabolites, and host environmental adaptability under heat stress remains poorly understood. In this study, rainbow trout reared at optimal temperature (16 °C) served as controls, while those exposed to maximum tolerated temperature (24 °C, 21 d) comprised the heat stress group. Using 16S rRNA amplicon sequencing and ultra-high-performance liquid chromatography–mass spectrometry (UHPLC-MS), we analysed the mucosal commensal microbiota—including gastrointestinal digesta, gastrointestinal mucosa, skin mucus, and gill mucosa—and intestinal metabolites of rainbow trout under heat stress conditions to explore adaptive and regulatory mechanisms. Analysis of microbial composition and diversity revealed that heat stress exerted the greatest impact on the diversity of gill and skin mucus microbiota, followed by gastrointestinal digesta, with relatively minor effects on the gastrointestinal mucosa. At the phylum level, Proteobacteria, Firmicutes, and Bacteroidetes were predominant in the stomach, intestine, and surface mucosa. At the genus level, Acinetobacter showed the greatest increase in abundance in skin and gill mucosa under heat stress, while Enterobacteriaceae exhibited the most pronounced increase in intestinal digesta, gastric digesta, and gastric mucosa. Differential metabolites in the intestinal digesta under heat stress were predominantly enriched in pathways associated with amino acid metabolism, particularly tryptophan metabolism. This study provides a comprehensive characterisation of microbiota and metabolic profile alterations in rainbow trout under heat stress condition, offering a theoretical foundation for understanding the response mechanisms of fish commensal microbiota to thermal stress. Full article
(This article belongs to the Section Aquatic Animals)
Show Figures

Figure 1

18 pages, 3115 KB  
Article
Comparative Analysis of Different Body Composition, Mucus Biochemical Indices, and Body Color in Five Strains of Larimichthys crocea
by Hongjin Deng, Quanyou Guo, Banghong Wei, Jiehui Zhong, Mengyao Zheng, Yao Zheng, Na Lin and Shengyang Zheng
Fishes 2025, 10(7), 305; https://doi.org/10.3390/fishes10070305 - 25 Jun 2025
Cited by 2 | Viewed by 751
Abstract
The large yellow croaker, or Larimichthys crocea, is highly prized for its golden color and nutritional content. The purpose of this study was to investigate the differences in body composition, mucus biochemical indices and body color in five strains of large yellow [...] Read more.
The large yellow croaker, or Larimichthys crocea, is highly prized for its golden color and nutritional content. The purpose of this study was to investigate the differences in body composition, mucus biochemical indices and body color in five strains of large yellow croakers (body weight: 347.01 ± 5.86 g). To conduct genetic diversity analyses of the populations, a total of 50 tailfin samples were randomly chosen from the following populations of large yellow croakers: wild (LYC1), Dai-qu population (LYC2), Yongdai 1 (LYC3), Min-yuedong population (LYC4), and Fufa 1 (LYC5). The findings demonstrated that the LYC3 group’s pigment contents, crude protein, crude lipid, and chromatic values were comparable to those of the LYC1 group (p > 0.05). There was no significant difference between the LYC1 and LYC5 groups’ mucus superoxide dismutase (SOD) and catalase (CAT) activities (p > 0.05). The alkaline phosphatases (ALP), acid phosphatases (ACP), and lysozyme (LYS) activities of the mucus in the LYC1 group were not significantly different from the LYC3 group (p > 0.05). The back skin mRNA expressions of tyrosinase (tyr), tyrosinase-related protein 1 (tyrp1), dopachrome tautomerase (dct), microphtalmia-associated transcription factor (mitf), and melanocortin 1 receptor (mc1r) were significantly up-regulated in the LYC2 and LYC4 groups compared to the LYC1, LYC3, and LYC5 groups (p < 0.05). Forkhead box d3 (foxd3), paired box 3 (pax3), purine nucleoside phosphorylase 4a (pnp4a), aristaless-like homeobox 4a (alx4a), cAMP dependent protein kinase (pka), anaplastic lymphoma kinase (alk), leukocyte receptor tyrosine kinase (ltk), and colony stimulating factor (fms) were among the mRNA expressions of the abdominal skin in the LYC1, LYC3, and LYC5 groups significantly higher than those in the LYC2 and LYC4 groups (p < 0.05). In conclusion, the LYC3 group’s crude protein, crude lipid, carotenoid, and lutein contents were most similar to those of the large yellow croaker found in the wild. Furthermore, the molecular mechanism underlying the variations in body color among the various strains of large yellow croakers was supplied for additional research. Full article
(This article belongs to the Section Genetics and Biotechnology)
Show Figures

Figure 1

12 pages, 1364 KB  
Article
Preliminary Study of the Antimicrobial Capacity of the Cutaneous Mucus and Smear Cytology of the Epidermis in a Population of European eels (Anguilla anguilla, Linnaeus 1758)
by Enrico Volpe, Sara Ciulli, Maria Morini, Laura Gentile, Antonio Casalini, Chiara Gentilezza and Luciana Mandrioli
Animals 2025, 15(12), 1810; https://doi.org/10.3390/ani15121810 - 19 Jun 2025
Viewed by 797
Abstract
The skin and its products, such as the mucus, represent an important defense mechanism against infection by pathogens. Various environmental conditions can alter mucus composition and/or cells embedded in this matrix. The analysis of skin mucus is considered a useful method to evaluate [...] Read more.
The skin and its products, such as the mucus, represent an important defense mechanism against infection by pathogens. Various environmental conditions can alter mucus composition and/or cells embedded in this matrix. The analysis of skin mucus is considered a useful method to evaluate the biological response of fish to stimuli. The mucus and cells can be considered suitable non-invasive biomarkers. With this preliminary study, an antibacterial capacity method was applied to cutaneous mucus samples of a European eel population. This standardized method highlighted the ability of the mucus to significantly counteract the proliferation of two bacteria, the opportunistic pathogen Aeromonas hydrophila and the primary pathogen Aeromonas salmonicida. The cytological method using skin scraping has proven to be a useful non-invasive tool, having allowed the highlighting of the two most represented cellular populations of the cutaneous covering, the epidermal cells and the goblet cells, in combination with mucous strands. Cytological findings did not disclose pathologic elements in the mucus. A broader use of these two non-invasive microbiological and cytological methods can provide useful information on fish health, indirectly contributing to the conservation of the species. Full article
(This article belongs to the Section Aquatic Animals)
Show Figures

Figure 1

19 pages, 1524 KB  
Article
Acute Effect of Short-Term Benzocaine Anesthesia on the Skin Mucus Microbiome of Atlantic salmon (Salmo salar)
by Patrícia Martins, Tânia Pimentel, Nuno Ribeiro and Ricardo Calado
Animals 2025, 15(11), 1566; https://doi.org/10.3390/ani15111566 - 27 May 2025
Viewed by 963
Abstract
Routine aquaculture practices such as capture, transportation, and handling can disrupt the relationship between commensal and opportunistic bacteria in the fish skin microbiome. Anesthetic baths are a common welfare practice in aquaculture to reduce stress during handling. However, to date, no studies assessed [...] Read more.
Routine aquaculture practices such as capture, transportation, and handling can disrupt the relationship between commensal and opportunistic bacteria in the fish skin microbiome. Anesthetic baths are a common welfare practice in aquaculture to reduce stress during handling. However, to date, no studies assessed the effect of anesthetics on bacterial communities in fish skin mucus. This study is the first to evaluate the influence of benzocaine, a widely used anesthetic, on the skin mucus bacterial microbiome of Atlantic salmon reared in a recirculating aquaculture system (RAS). Using Illumina high-throughput 16S rRNA gene sequencing, we found that bacterial richness and diversity were significantly reduced in skin mucus samples from fish with anesthesia (ANE) when compared with those without anesthesia (CTR). The predominant bacterial classes in both groups were Gammaproteobacteria (54.1–62.6%) and Betaproteobacteria (22.6–22.9%). However, significant dissimilarities in beta diversity were observed between the bacterial community structure of salmon skin mucus samples from ANE and CTR. These findings demonstrate that benzocaine exposure alters skin mucus microbiome of Atlantic salmon potentially leading to dysbiosis. This study also provides baseline information on the bacterial communities of Atlantic salmon skin mucus microbiome in an RAS. As no temporal resampling was performed, the duration and persistence of these changes remain unknown and warrant further investigation. Full article
(This article belongs to the Section Aquatic Animals)
Show Figures

Figure 1

21 pages, 6426 KB  
Article
Probiotic Administration Contributes to the Improvement in Intestinal Dysregulation Induced by Allergic Contact Dermatitis
by Eduardo Mendes, Evelyn Roxana Perez Umana, Daniel Di Pace Soares Penna, Fernando Augusto de Oliveira, Leandro Nascimento Lemos, Willian Rodrigues Ribeiro, Mateus Barbosa Casaro, Mariana Lazarini, Valéria Maia Oliveira and Caroline Marcantonio Ferreira
Microorganisms 2025, 13(5), 1082; https://doi.org/10.3390/microorganisms13051082 - 7 May 2025
Viewed by 3229
Abstract
Recent studies have emphasized the impact of gut microbiota on skin health, but the reverse, how skin diseases affect gut homeostasis, has received less attention. Allergic contact dermatitis (ACD), a common skin disorder affecting one in four people worldwide, can be accompanied by [...] Read more.
Recent studies have emphasized the impact of gut microbiota on skin health, but the reverse, how skin diseases affect gut homeostasis, has received less attention. Allergic contact dermatitis (ACD), a common skin disorder affecting one in four people worldwide, can be accompanied by intestinal disturbances. To explore this, we used an experimental model of ACD to investigate the intestinal changes induced by the disease. Parameters assessed included intestinal microbiota, short-chain fatty acids (SCFAs), gene expression related to intestinal permeability, inflammatory cytokines, and mucus production. To evaluate potential therapeutic interventions, the probiotic Bifidobacterium longum strain BB536 was administered via gavage, starting 10 days before dermatitis induction and continuing until the last day of disease induction. ACD caused alterations in the composition of intestinal microbiota compared to naïve mice but did not affect SCFA production. The probiotic altered microbiota composition and increased acetate production in dermatitis-induced mice. ACD decreased the gene expression of TjP1, ATHO1, and MUC2, while probiotic treatment restored TjP1 and ATHO1 to normal levels. The cytokine IL-6 increased in the ACD group compared to naïve mice, whereas IL-10 decreased; probiotic treatment also restored these levels. Intestinal mucus production, affected by ACD, was partially restored by probiotic treatment. The findings suggest that probiotics could be a therapeutic strategy to prevent intestinal issues caused by skin diseases. Full article
(This article belongs to the Special Issue Leaky Skin Syndrome)
Show Figures

Figure 1

17 pages, 4522 KB  
Article
Poly-γ-Glutamic Acid from a Novel Bacillus subtilis Strain: Strengthening the Skin Barrier and Improving Moisture Retention in Keratinocytes and a Reconstructed Skin Model
by Hyun-Ju Ko, SeoA Park, Eunjin Shin, Jinhwa Kim, Geun Soo Lee, Ye-Jin Lee, Sung Min Park, Jungno Lee and Chang-Gu Hyun
Int. J. Mol. Sci. 2025, 26(3), 983; https://doi.org/10.3390/ijms26030983 - 24 Jan 2025
Cited by 1 | Viewed by 4515
Abstract
A novel Bacillus subtilis HB-31 strain was isolated from Gotjawal Wetland in Jeju Island, Republic of Korea. A mucus substance produced by this strain was identified as high-molecular-weight poly-γ-glutamic acid (γ-PGA) using NMR, Fourier transform infrared spectroscopy, and size-exclusion chromatography/multi-angle light scattering analyses. [...] Read more.
A novel Bacillus subtilis HB-31 strain was isolated from Gotjawal Wetland in Jeju Island, Republic of Korea. A mucus substance produced by this strain was identified as high-molecular-weight poly-γ-glutamic acid (γ-PGA) using NMR, Fourier transform infrared spectroscopy, and size-exclusion chromatography/multi-angle light scattering analyses. We evaluated whether γ-PGA strengthened the skin barrier using keratinocytes and a reconstructed skin model. In keratinocytes, γ-PGA treatment dose-dependently increased the mRNA expression of skin barrier markers, including filaggrin, involucrin, loricrin, serine palmitoyl transferase, fatty acid synthase, and 3-hydroxy-3-methylglutaryl coenzyme A reductase. γ-PGA also enhanced hyaluronic acid synthesis by upregulating hyaluronic acid synthase-1, -2, and -3 mRNA levels and promoted aquaporin 3 expression, which is involved in skin hydration. In the reconstructed skin model, topical application of 1% γ-PGA elevated filaggrin, involucrin, CD44, and aquaporin 3 expression, compared to the control. These results suggest that the newly isolated HB-31 can be used as a commercial production system of high-molecular-weight γ-PGA, which can serve as an effective ingredient for strengthening the skin barrier and improving moisture retention. Further research is needed to explore the long-term effects of γ-PGA on skin health and its application in treating skin conditions. Full article
(This article belongs to the Section Molecular Pathology, Diagnostics, and Therapeutics)
Show Figures

Graphical abstract

13 pages, 1418 KB  
Article
Biomarkers in Skin Mucus for a Minimally Invasive Approach to Stress in Red Tilapia (Oreochromis sp.) Fry
by Hernán Antonio Alzate-Díaz, Laura Fernández-Alacid and Sandra Clemencia Pardo-Carrasco
Biology 2025, 14(2), 112; https://doi.org/10.3390/biology14020112 - 22 Jan 2025
Cited by 2 | Viewed by 1856
Abstract
In a context where aquaculture continues to grow, it is essential to understand how culture conditions influence fish stress. The welfare of red tilapia fry (Oreochromis sp.), weighing 0.6 ± 0.3 g and with an initial total length of 3.548 ± 0.285 [...] Read more.
In a context where aquaculture continues to grow, it is essential to understand how culture conditions influence fish stress. The welfare of red tilapia fry (Oreochromis sp.), weighing 0.6 ± 0.3 g and with an initial total length of 3.548 ± 0.285 cm, was evaluated in two culture systems, biofloc and land-based ponds, over a period of 30 days through biomarkers associated with the skin mucosa, such as protein, glucose, lactate, and the hormone cortisol, in addition to their relationships with protein, seeking a comprehensive view of the physiological state and stress of these fish. Mucus samples were thawed and prepared by mechanical homogenization and centrifugation. The results reveal that the biofloc system provides a more conducive environment for welfare, evidenced by higher mucus protein levels of 1.598 ± 0.733 mg/mL, 2.316 ± 1.01 mg/mL, and 1.203 ± 0.640 mg/mL for culture days 10, 20 and 30, respectively, and lower cortisol > 1 ng/mL and lactate contents 1799 ± 1135 µg/mL, 30,271 ± 24,613 µg/mL, and 21,829 ± 23,507 µg/mL for culture days 10, 20 and 30, respectively, compounds largely associated with animal stress. This highlights the direct relationship between culture, environment and fish health and highlights skin mucus as a valuable minimally invasive biomarker. It is also important to note that improved fish welfare supports fish growth and health and promotes more sustainable aquaculture practices, contributing to more efficient and responsible production in the industry. Full article
(This article belongs to the Special Issue Metabolic and Stress Responses in Aquatic Animals)
Show Figures

Figure 1

17 pages, 3293 KB  
Article
Effects of Mango Seed (Mangifera indica) Powder on Growth Performance, Immune Response, Gut Morphology, and Gene Expression of Nile Tilapia (Oreochromis niloticus)
by Camilla Maria Fontana, Md Afsar Ahmed Sumon, Supreya Wannavijit, Anisa Rilla Lubis, Nuttapon Khongdee, Nguyen Vu Linh, Yuthana Phimolsiripol, Seyed Hossein Hoseinifar and Hien Van Doan
Fishes 2024, 9(12), 514; https://doi.org/10.3390/fishes9120514 - 16 Dec 2024
Cited by 4 | Viewed by 4744
Abstract
This study explored the effects of mango seed (MS) powder supplementation on the growth, immune response, gene expression, and intestinal morphology of Nile tilapia (Oreochromis niloticus) over an 8-week period. A total of 300 Nile tilapia fingerlings (average weight of 15.29 [...] Read more.
This study explored the effects of mango seed (MS) powder supplementation on the growth, immune response, gene expression, and intestinal morphology of Nile tilapia (Oreochromis niloticus) over an 8-week period. A total of 300 Nile tilapia fingerlings (average weight of 15.29 ± 0.05 g) were divided into five treatment groups and fed either a basal diet or one of four experimental diets containing MS powder at concentrations of 10 (MS10), 20 (MS20), 40 (MS40), and 80 (MS80) g kg−1. The results demonstrated that Nile tilapia fed MS-supplemented diets experienced significant improvements (p < 0.05) in weight gain (WG), specific growth rate (SGR), and survival rate (SR) compared to the control group (0 g kg−1 MS). The MS-treated groups also showed a significant increase (p < 0.05) in the height and branching of intestinal villi along the entire length of the intestine, as well as a significantly higher villus-to-crypt depth ratio (V/C), indicating enhanced intestinal health and functionality. Moreover, although MS supplementation did not increase peroxidase activity, it did lead to a significant increase (p < 0.05) in the activity of skin mucus and serum lysozyme, along with upregulated gene expression of immune-related (IL-1, IL-8, and LBP) and antioxidant genes (GST-α, GPX, and GSR). Polynomial regression analysis identified an optimal MS dosage of 36.43–45 g kg−1 for effectively improving growth, immunity, and immuno-oxidant gene expression in Nile tilapia. These results emphasize mango seed (MS) as a promising natural supplement for improving the diet of Nile tilapia and, potentially, other freshwater fish widely used in aquaculture. Full article
Show Figures

Graphical abstract

20 pages, 2103 KB  
Review
Naturally Occurring Microbiota-Accessible Borates: A Focused Minireview
by Andrei Biţă, Ion Romulus Scorei, George Dan Mogoşanu, Ludovic Everard Bejenaru, Cristina Elena Biţă, Venera Cristina Dinescu, Gabriela Rău, Maria Viorica Ciocîlteu, Cornelia Bejenaru and Octavian Croitoru
Inorganics 2024, 12(12), 308; https://doi.org/10.3390/inorganics12120308 - 26 Nov 2024
Cited by 1 | Viewed by 2159
Abstract
Recently, we discovered and proved the essentiality of organic boron species (OBS), such as borate–pectic polysaccharides and borate–phenolic esters, for healthy symbiosis (HS) between microbiota and human/animal (H/A) host. The essentiality of OBS will provide new options for B supplementation in H/A nutrition [...] Read more.
Recently, we discovered and proved the essentiality of organic boron species (OBS), such as borate–pectic polysaccharides and borate–phenolic esters, for healthy symbiosis (HS) between microbiota and human/animal (H/A) host. The essentiality of OBS will provide new options for B supplementation in H/A nutrition for a healthy and long life. New knowledge on the essentiality of naturally occurring microbiota-accessible borate species for HS between microbiota and H/A host will allow the use of natural B-based dietary supplements to target the H/A microbiome (the gut, skin, oral, scalp, and vaginal microbiome). In the literature, there is evidence that certain bacteria need B (autoinducer-2 borate) for communication and our preliminary data show that HS takes place when the colonic mucus gel layer contains B. Subsequently, OBS become novel prebiotic candidates and target the colon as novel colonic foods. Full article
Show Figures

Figure 1

20 pages, 3569 KB  
Article
Moving Beyond Oxford Nanopore Standard Procedures: New Insights from Water and Multiple Fish Microbiomes
by Ricardo Domingo-Bretón, Federico Moroni, Socorro Toxqui-Rodríguez, Álvaro Belenguer, M. Carla Piazzon, Jaume Pérez-Sánchez and Fernando Naya-Català
Int. J. Mol. Sci. 2024, 25(23), 12603; https://doi.org/10.3390/ijms252312603 - 23 Nov 2024
Cited by 3 | Viewed by 3631
Abstract
Oxford Nanopore Technology (ONT) allows for the rapid profiling of aquaculture microbiomes. However, not all the experimental and downstream methodological possibilities have been benchmarked. Here, we aimed to offer novel insights into the use of different library preparation methods (standard-RAP and native barcoding-LIG), [...] Read more.
Oxford Nanopore Technology (ONT) allows for the rapid profiling of aquaculture microbiomes. However, not all the experimental and downstream methodological possibilities have been benchmarked. Here, we aimed to offer novel insights into the use of different library preparation methods (standard-RAP and native barcoding-LIG), primers (V3–V4, V1–V3, and V1–V9), and basecalling models (fast-FAST, high-HAC, and super-accuracy-SUP) implemented in ONT to elucidate the microbiota associated with the aquatic environment and farmed fish, including faeces, skin, and intestinal mucus. Microbial DNA from water and faeces samples could be amplified regardless of the library–primer strategy, but only with LIG and V1–V3/V1–V9 primers in the case of skin and intestine mucus. Low taxonomic assignment levels were favoured by the use of full-length V1–V9 primers, though in silico hybridisation revealed a lower number of potential matching sequences in the SILVA database, especially evident with the increase in Actinobacteriota in real datasets. SUP execution allowed for a higher median Phred quality (24) than FAST (11) and HAC (17), but its execution time (6–8 h) was higher in comparison to the other models (0.6–7 h). Altogether, we optimised the use of ONT for water- and fish-related microbial analyses, validating, for the first time, the use of the LIG strategy. We consider that LIG–V1–V9-HAC is the optimal time/cost-effective option to amplify the microbial DNA from environmental samples. However, the use of V1–V3 could help to maximise the dataset microbiome diversity, representing an alternative when long amplicon sequences become compromised by microbial DNA quality and/or high host DNA loads interfere with the PCR amplification/sequencing procedures, especially in the case of gut mucus. Full article
(This article belongs to the Special Issue Molecular Progression of Gut Microbiota)
Show Figures

Figure 1

Back to TopTop