Sign in to use this feature.

Years

Between: -

Subjects

remove_circle_outline
remove_circle_outline
remove_circle_outline
remove_circle_outline
remove_circle_outline
remove_circle_outline
remove_circle_outline

Journals

Article Types

Countries / Regions

Search Results (32)

Search Parameters:
Keywords = radiation-induced liver damages

Order results
Result details
Results per page
Select all
Export citation of selected articles as:
15 pages, 6091 KB  
Article
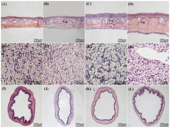
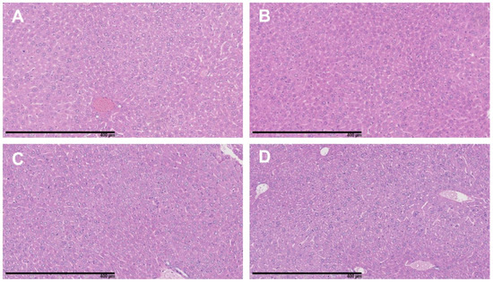
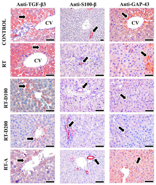
Could Different Doses of Dexmedetomidine Be as Effective as Amifostine Against Radiotherapy-Induced Liver Injury in Rats? Evidence from Mitotic, Apoptotic, Oxidative, and Neurogenic Insights
by Hatice Beyazal Polat, Hamit Yilmaz, Kasım Demir, Kagan Kilinc, Belemir Gülhan, Sema Yilmaz Rakici and Levent Tumkaya
J. Clin. Med. 2025, 14(22), 8238; https://doi.org/10.3390/jcm14228238 - 20 Nov 2025
Viewed by 153
Abstract
Background/Objectives: Radiotherapy (RT) induces oxidative stress and structural damage in solid tissues, including the liver. This study aimed to investigate the histological and immunohistochemical effects of dexmedetomidine (DEX) and amifostine on their potential protective and regenerative properties against liver injury induced by [...] Read more.
Background/Objectives: Radiotherapy (RT) induces oxidative stress and structural damage in solid tissues, including the liver. This study aimed to investigate the histological and immunohistochemical effects of dexmedetomidine (DEX) and amifostine on their potential protective and regenerative properties against liver injury induced by radiation therapy. Methods: This study consisted of five randomized groups: control, RT, RT-D100, RT-D200, and RT-A (Amifostine). A total of 100 µg/kg DEX, 200 µg/kg DEX, and 200 µg/kg amifostine were administered before radiotherapy as per the experimental design. After RT, liver specimens were analyzed for histological alterations, including periportal and perisinusoidal fibrosis, vacuolization, and pyknotic nuclei. Furthermore, immunohistochemistry investigations were conducted to evaluate apoptosis, mitosis, oxidative stress, and neural regeneration in non-neuronal liver tissue following radiotherapy and subsequent treatment. Results: The control group’s liver tissue exhibited standard histological architecture, whereas the RT group displayed severe cellular degeneration, periportal and perisinusoidal fibrosis, cytoplasmic vacuolization, and an increase in pyknotic nuclei. The apoptotic index was markedly reduced in the RT-D100 and RT-D200 groups relative to the RT group. Furthermore, caspase-3 immunoactivity was negligible in the control group, while a significant increase was observed in the RT group. The administration of amifostine significantly increased GAP-43 levels. Conclusions: DEX mitigates RT-induced hepatic injury chiefly through antioxidant and anti-apoptotic pathways, whereas amifostine promotes hepatic regeneration by modulating GAP-43. Full article
(This article belongs to the Section Gastroenterology & Hepatopancreatobiliary Medicine)
Show Figures

Figure 1

20 pages, 4729 KB  
Article
From Compensation to Collapse: UVB-Driven Disruption of Host–Microbiota Homeostasis Exacerbates Amphibian Ecological Risk
by Zi’ao Yuan, Jirui Fei, Siqi Li, Yueluan Wu and Peng Liu
Animals 2025, 15(22), 3236; https://doi.org/10.3390/ani15223236 - 7 Nov 2025
Viewed by 436
Abstract
The synergistic effects of stratospheric ozone depletion and climate change are intensifying surface ultraviolet-B (UVB) radiation, posing a severe threat to amphibians—one of the most endangered vertebrate groups globally. Xenopus laevis, with its cutaneous respiration and limited photoprotective mechanisms, exhibits high sensitivity [...] Read more.
The synergistic effects of stratospheric ozone depletion and climate change are intensifying surface ultraviolet-B (UVB) radiation, posing a severe threat to amphibians—one of the most endangered vertebrate groups globally. Xenopus laevis, with its cutaneous respiration and limited photoprotective mechanisms, exhibits high sensitivity to UVB, making it a suitable model for ecotoxicological studies. While UVB is known to cause DNA damage, immune suppression, and microbial dysbiosis, its mechanisms in multi-organ interactions, dose–response thresholds, and host–microbiome regulatory networks remain poorly understood. This study employed a gradient UVB exposure regime integrated with histopathology, oxidative stress assays, and 16S rRNA sequencing to systematically evaluate the effects of UVB on (1) cascade damage across skin, liver, and intestinal barriers; (2) immune cell distribution; (3) redox dynamics; and (4) microbial community structure and function. Our findings demonstrate that low-dose UVB activated compensatory antioxidant defenses without structural disruption, whereas exposure beyond a critical threshold induced nonlinear redox collapse, microbial dysbiosis, and multi-organ barrier failure, collectively exacerbating ecological adaptation risks. These results reveal a cross-scale mechanism by which UVB impairs amphibian health via disruption of host–microbe homeostasis, providing a conceptual and empirical framework for assessing species vulnerability under ongoing climate change. Full article
(This article belongs to the Section Ecology and Conservation)
Show Figures

Graphical abstract

19 pages, 554 KB  
Review
Carbon-Ion Radiotherapy for Hepatocellular Carcinoma: Current Status and Future Prospects: A Narrative Review
by Reina Sasaki-Tanaka, Hiroyuki Abe, Tomoaki Yoshida, Yusuke Watanabe, Naruhiro Kimura, Takeshi Yokoo, Akira Sakamaki, Hiroteru Kamimura, Kenya Kamimura, Tatsuo Kanda and Shuji Terai
J. Clin. Med. 2025, 14(17), 6107; https://doi.org/10.3390/jcm14176107 - 29 Aug 2025
Viewed by 2235
Abstract
Because hepatocellular carcinoma (HCC) is a radiosensitive cancer, radiation therapy has been used for the treatment of HCC; however, external beam therapies are currently not described in most of the guidelines for the treatment of HCC. External beam therapies include photon beam therapies [...] Read more.
Because hepatocellular carcinoma (HCC) is a radiosensitive cancer, radiation therapy has been used for the treatment of HCC; however, external beam therapies are currently not described in most of the guidelines for the treatment of HCC. External beam therapies include photon beam therapies and particle beam therapies, which are composed of X-rays or gamma rays and beams of carbon ions or protons, respectively. The focus of this narrative review is carbon-ion radiotherapy (C-ion RT). C-ion RT is well tolerated by elderly patients with HCC and/or sarcopenic patients. In general, a single HCC greater than 30 mm is a good indication for C-ion RT in patients with Child Grade A/B or ALBI Grade 1/2. The local control rates and overall survival rates at 5 years after C-ion RT for HCCs larger than 30 mm are excellent, with fewer adverse events, such as radiation-induced liver damage. Advanced HCC with portal vein tumor thrombus is also an indication for C-ion RT in certain selected patients. C-ion RT is a promising therapeutic option for patients with HCC. Full article
(This article belongs to the Section Gastroenterology & Hepatopancreatobiliary Medicine)
Show Figures

Figure 1

15 pages, 2992 KB  
Article
Radiotherapy Upregulates the Expression of Membrane-Bound Negative Complement Regulator Proteins on Tumor Cells and Limits Complement-Mediated Tumor Cell Lysis
by Yingying Liang, Lixin Mai, Jonathan M. Schneeweiss, Ramon Lopez Perez, Michael Kirschfink and Peter E. Huber
Cancers 2025, 17(14), 2383; https://doi.org/10.3390/cancers17142383 - 18 Jul 2025
Viewed by 1060
Abstract
Background/Objectives: Radiotherapy (RT) is a mainstay of clinical cancer therapy that causes broad immune responses. The complement system is a pivotal effector mechanism in the innate immune response, but the impact of RT is less well understood. This study investigates the interaction [...] Read more.
Background/Objectives: Radiotherapy (RT) is a mainstay of clinical cancer therapy that causes broad immune responses. The complement system is a pivotal effector mechanism in the innate immune response, but the impact of RT is less well understood. This study investigates the interaction between RT and the complement system as a possible approach to improve immune responses in cancer treatment. Methods: Human solid cancer (lung, prostate, liver, breast cancer), lymphoma, and leukemia cells were irradiated using X-rays and treated with polyclonal antibodies or anti-CD20 monoclonal antibodies, respectively. Chromium release assay was applied to measure cell lysis after radiation with or without complement-activating antibody treatment. The expression of membrane-bound complement regulatory proteins (mCRPs; CD46, CD55, CD59), which confer resistance against complement activation, CD20 expression, apoptosis, and radiation-induced DNA double-strand breaks (γH2AX), was measured by flow cytometry. The radiosensitivity of tumor cells was assessed by colony-forming assay. Results: We demonstrate that RT profoundly impacts complement function by upregulating the expression of membrane-bound complement regulatory proteins (mCRPs) on tumor cells in a dose- and time-dependent manner. Impaired complement-mediated tumor cell lysis could thus potentially contribute to radiotherapeutic resistance. We also observed RT-induced upregulation of CD20 expression on lymphoma and leukemic cells. Notably, complement activation prior to RT proved more effective in inducing RT-dependent early apoptosis compared to post-irradiation treatment. While complement modulation does not significantly alter RT-induced DNA-damage repair mechanisms or intrinsic radiosensitivity in cancer cells, our results suggest that combining RT with complement-based anti-cancer therapy may enhance complement-dependent cytotoxicity (CDC) and apoptosis in tumor cells. Conclusions: This study sheds light on the complex interplay between RT and the complement system, offering insights into potential novel combinatorial therapeutic strategies and a potential sequential structure for certain tumor types. Full article
(This article belongs to the Special Issue Combination Immunotherapy for Cancer Treatment)
Show Figures

Figure 1

40 pages, 2429 KB  
Review
Hepatocytes as Model for Investigating Natural Senotherapeutic Compounds and Their Effects on Cell Cycle Dynamics and Genome Stability
by Anastasia Fizikova, Anna Prokhorova, Daria Churikova, Zahar Konstantinov, Roman Ivanov, Alexander Karabelsky and Stanislav Rybtsov
Int. J. Mol. Sci. 2025, 26(14), 6794; https://doi.org/10.3390/ijms26146794 - 16 Jul 2025
Cited by 1 | Viewed by 2341
Abstract
DNA is inherently unstable and is susceptible to damage from both endogenous sources (such as reactive oxygen species) and exogenous factors (including UV, ionizing radiation, and chemicals). The accumulation of DNA damage manifests as genetic mutations, chromosomal instability, and the stalling of DNA [...] Read more.
DNA is inherently unstable and is susceptible to damage from both endogenous sources (such as reactive oxygen species) and exogenous factors (including UV, ionizing radiation, and chemicals). The accumulation of DNA damage manifests as genetic mutations, chromosomal instability, and the stalling of DNA replication and transcription processes. Accumulated DNA damage influences apoptosis and cell cycle checkpoints, serving as one of the key triggers for the manifestation of the senescent phenotype. Both aging and cancer are associated with the accumulation of mutations in somatic cells. Disruption of cell cycle control and uncontrolled proliferation are fundamental characteristics of any cancer cell, with the majority of anticancer drugs acting as inhibitors of cyclin-dependent kinases, thereby inducing a transition of cells into a senescent state. Consequently, disturbances in the dynamics and regulation of inflammatory responses, oxidative stress, cell proliferation, DNA damage repair, and epigenetic anomalies, along with the influence of retroviruses and transposons, lead to the accumulation of senescent cells within the human body, characterized by blocked replication and cell cycle, as well as a distinct secretory phenotype. The age-related or disease-associated accumulation of these senescent cells significantly alters the physiology of tissues and the organism as a whole. Many secondary metabolites of higher plants exhibit senolytic and senomorphic activities, although most of them are not fully characterized. In this review, we will explore the principal signaling pathways in mammalian cells that govern the cell cycle and cellular senescence, with a particular emphasis on how their dynamics, expression, and regulation have been modified through the application of senotherapeutic compounds. The second section of the review will identify key target genes for the metabolic engineering, primarily aimed at enhancing the accumulation of plant secondary metabolites with potential therapeutic benefits. Lastly, we will discuss the rationale for utilizing liver cells as a model system to investigate the effects of senolytic compounds on human physiology and health, as well as how senotherapeutic substances can be leveraged to improve gene therapy approaches based on CRISPR/Cas9 and prime-editing technologies. Full article
(This article belongs to the Collection State-of-the-Art Macromolecules in Russia)
Show Figures

Figure 1

16 pages, 5948 KB  
Article
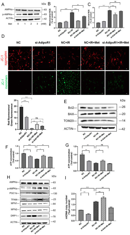
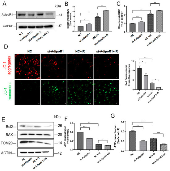
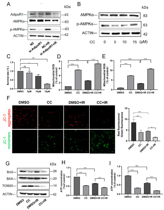
AdipoRon Alleviates Liver Injury by Protecting Hepatocytes from Mitochondrial Damage Caused by Ionizing Radiation
by Yi Liu, Yinfen Xu, Huilin Ji, Fenfen Gao, Ruoting Ge, Dan Zhou, Hengyi Fu, Xiaodong Liu and Shumei Ma
Int. J. Mol. Sci. 2024, 25(20), 11277; https://doi.org/10.3390/ijms252011277 - 20 Oct 2024
Cited by 3 | Viewed by 1844
Abstract
Radiation liver injury is a common complication of hepatocellular carcinoma radiotherapy. It is mainly caused by irreversible damage to the DNA of hepatocellular cells directly by radiation, which seriously interferes with metabolism and causes cell death. AdipoRon can maintain lipid metabolism and stabilize [...] Read more.
Radiation liver injury is a common complication of hepatocellular carcinoma radiotherapy. It is mainly caused by irreversible damage to the DNA of hepatocellular cells directly by radiation, which seriously interferes with metabolism and causes cell death. AdipoRon can maintain lipid metabolism and stabilize blood sugar by activating adiponectin receptor 1 (AdipoR1). However, the role of AdipoRon/AdipoR1 in the regulation of ionizing radiation (IR)-induced mitochondrial damage remains unclear. In this study, we aimed to elucidate the roles of AdipoRon/AdipoR1 in IR-induced mitochondrial damage in normal hepatocyte cells. We found that AdipoRon treatment rescued IR-induced liver damage in mice and mitochondrial damage in normal hepatocytes in vivo and in vitro. AdipoR1 deficiency exacerbated IR-induced oxidative stress, mitochondrial dynamics, and biogenesis disorder. Mechanistically, the absence of AdipoR1 inhibits the activity of adenosine monophosphate-activated protein kinase α (AMPKα), subsequently leading to disrupted mitochondrial dynamics by decreasing mitofusin (MFN) and increasing dynamin-related protein 1 (DRP1) protein expression. It also controls mitochondrial biogenesis by suppressing the peroxisome proliferator-activated receptor-gamma coactivator-1 alpha (PGC1α) and transcription factor A (TFAM) signaling pathway, ultimately resulting in impaired mitochondrial function. To sum up, AdipoRon/AdipoR1 maintain mitochondrial function by regulating mitochondrial dynamics and biogenesis through the AdipoR1-AMPKα signaling pathway. This study reveals the significant role of AdipoR1 in regulating IR-induced mitochondrial damage in hepatocytes and offers a novel approach to protecting against damage caused by IR. Full article
(This article belongs to the Section Molecular Pathology, Diagnostics, and Therapeutics)
Show Figures

Figure 1

22 pages, 5778 KB  
Article
Targeting Oxidative Stress: The Potential of Vitamin C in Protecting against Liver Damage after Electron Beam Therapy
by Grigory Demyashkin, Mikhail Parshenkov, Sergey Koryakin, Polina Skovorodko, Vladimir Shchekin, Vladislav Yakimenko, Zhanna Uruskhanova, Dali Ugurchieva, Ekaterina Pugacheva, Sergey Ivanov, Petr Shegay and Andrey Kaprin
Biomedicines 2024, 12(10), 2195; https://doi.org/10.3390/biomedicines12102195 - 26 Sep 2024
Cited by 3 | Viewed by 3517
Abstract
Background: Radiation-induced liver disease (RILD) is a severe complication arising from radiotherapy, particularly when treating abdominal malignancies such as hepatocellular carcinoma. The liver’s critical role in systemic metabolism and its proximity to other abdominal organs make it highly susceptible to radiation-induced damage. [...] Read more.
Background: Radiation-induced liver disease (RILD) is a severe complication arising from radiotherapy, particularly when treating abdominal malignancies such as hepatocellular carcinoma. The liver’s critical role in systemic metabolism and its proximity to other abdominal organs make it highly susceptible to radiation-induced damage. This vulnerability significantly limits the maximum safe therapeutic dose of radiation, thereby constraining the overall efficacy of radiotherapy. Among the various modalities, electron beam therapy has gained attention due to its ability to precisely target tumors while minimizing exposure to surrounding healthy tissues. However, despite its advantages, the long-term impacts of electron beam exposure on liver tissue remain inadequately understood, particularly concerning chronic injury and fibrosis driven by sustained oxidative stress. Objectives: to investigate the molecular and cellular mechanisms underlying the radioprotective effects of vitamin C in a model of radiation-induced liver disease. Methods: Male Wistar rats (n = 120) were randomly assigned to four groups: control, fractionated local electron irradiation (30 Gy), pre-treatment with vitamin C before irradiation, and vitamin C alone. The study evaluated the effects of electron beam radiation and vitamin C on liver tissue through a comprehensive approach, including biochemical analysis of serum enzymes (ALT, AST, ALP, and bilirubin), cytokine levels (IL-1β, IL-6, IL-10, and TNF-α), and oxidative stress markers (MDA and SOD). Histological and morphometric analyses were conducted on liver tissue samples collected at 7, 30, 60, and 90 days, which involved standard staining techniques and advanced imaging, including light and electron microscopy. Gene expression of Bax, Bcl-2, and caspase-3 was analyzed using real-time PCR. Results: The present study demonstrated that fractional local electron irradiation led to significant reductions in body weight and liver mass, as well as marked increases in biochemical markers of liver damage (ALT, AST, ALP, and bilirubin), inflammatory cytokines (IL-1β, IL-6, and TNF-α), and oxidative stress markers (MDA) in the irradiated group. These changes were accompanied by substantial histopathological alterations, including hepatocyte degeneration, fibrosis, and disrupted microvascular circulation. Pre-treatment with vitamin C partially mitigated these effects, reducing the severity of the liver damage, oxidative stress, and inflammation, and preserving a more favorable balance between hepatocyte proliferation and apoptosis. Overall, the results highlight the potential protective role of vitamin C in reducing radiation-induced liver injury, although the long-term benefits require further investigation. Conclusions: The present study highlights vitamin C’s potential as a radioprotective agent against electron beam-induced liver damage. It effectively reduced oxidative stress, apoptosis, and inflammation, particularly in preventing the progression of radiation-induced liver fibrosis. These findings suggest that vitamin C could enhance radiotherapy outcomes by minimizing liver damage, warranting further exploration into its broader clinical applications. Full article
(This article belongs to the Section Drug Discovery, Development and Delivery)
Show Figures

Figure 1

21 pages, 4443 KB  
Review
Current Insights into Molecular Mechanisms and Potential Biomarkers for Treating Radiation-Induced Liver Damage
by Biki Saha, Sneha Pallatt, Antara Banerjee, Abhijit G. Banerjee, Rupak Pathak and Surajit Pathak
Cells 2024, 13(18), 1560; https://doi.org/10.3390/cells13181560 - 16 Sep 2024
Cited by 10 | Viewed by 3115
Abstract
Highly conformal delivery of radiation therapy (RT) has revolutionized the treatment landscape for primary and metastatic liver cancers, yet concerns persist regarding radiation-induced liver disease (RILD). Despite advancements, RILD remains a major dose-limiting factor due to the potential damage to normal liver tissues [...] Read more.
Highly conformal delivery of radiation therapy (RT) has revolutionized the treatment landscape for primary and metastatic liver cancers, yet concerns persist regarding radiation-induced liver disease (RILD). Despite advancements, RILD remains a major dose-limiting factor due to the potential damage to normal liver tissues by therapeutic radiation. The toxicity to normal liver tissues is associated with a multitude of physiological and pathological consequences. RILD unfolds as multifaceted processes, intricately linking various responses, such as DNA damage, oxidative stress, inflammation, cellular senescence, fibrosis, and immune reactions, through multiple signaling pathways. The DNA damage caused by ionizing radiation (IR) is a major contributor to the pathogenesis of RILD. Moreover, current treatment options for RILD are limited, with no established biomarker for early detection. RILD diagnosis often occurs at advanced stages, highlighting the critical need for early biomarkers to adjust treatment strategies and prevent liver failure. This review provides an outline of the diverse molecular and cellular mechanisms responsible for the development of RILD and points out all of the available biomarkers for early detection with the aim of helping clinicians decide on advance treatment strategies from a single literature recourse. Full article
(This article belongs to the Section Cellular Pathology)
Show Figures

Graphical abstract

21 pages, 6408 KB  
Article
Effects of Bone Marrow Sparing and TGF-β3 Treatment in Total Body Irradiation of C57BL/6J Mice
by Ingunn Hanson, Jenny T. Vatne and Nina F. J. Edin
Appl. Biosci. 2024, 3(2), 165-185; https://doi.org/10.3390/applbiosci3020011 - 4 Apr 2024
Viewed by 2536
Abstract
Introduction: Mortality from acute radiation syndrome is frequently caused by hematopoietic or gastrointestinal radiotoxicity, the latter of which currently has no effective treatment. Transforming growth factor-beta 3 (TGF-β3) may decrease the severity of radiation-induced gastrointestinal damage in mice. In addition, treatment with TGF-β3 [...] Read more.
Introduction: Mortality from acute radiation syndrome is frequently caused by hematopoietic or gastrointestinal radiotoxicity, the latter of which currently has no effective treatment. Transforming growth factor-beta 3 (TGF-β3) may decrease the severity of radiation-induced gastrointestinal damage in mice. In addition, treatment with TGF-β3 may alleviate radiation-induced fibrosis. Objectives: The current study aimed to investigate the effect of TGF-β3 treatment on acute and late radiotoxicity in whole body irradiated mice. Methods: C57BL/6J mice were total body irradiated with 8.5 Gy X-rays with or without shielding of one hind leg to alleviate hematopoietic radiotoxicity. The effects of intravenous TGF-β3 treatment were investigated. Body weight and pain expression were monitored. Intestine, lung, and liver tissues were preserved and analyzed. Alpha smooth muscle actin (α-SMA) expression in MRC-5 cells after 3.5 Gy X-irradiation combined with TGF-β3 treatment was analyzed using flow cytometry. Results: All total body irradiated animals died within ten days after irradiation. Ninety-three percent of femur-shielded mice survived until sampling or termination. No effect of TGF-β3 treatment was observed in either group. No increase in collagen content was detected in the lungs or liver from irradiated mice regardless of TGF-β3 treatment. In vitro, α-SMA expression increased synergistically after irradiation and TGF-β3 treatment. Conclusions: Shielding of the femur during total body irradiation decreased acute gastrointestinal radiation toxicity and increased survival. TGF-β3 treatment did not impact symptoms or survival. TGF-β3 treatment and irradiation increased α-SMA expression in MRC-5 cells synergistically. Full article
Show Figures

Figure 1

21 pages, 4289 KB  
Review
False Liver Metastasis by Positron Emission Tomography/Computed Tomography Scan after Chemoradiotherapy for Esophageal Cancer—Potential Overstaged Pitfalls of Treatment
by Sen-Ei Shai, Yi-Ling Lai, Chen-I Chang and Chi-Wei Hsieh
Cancers 2024, 16(5), 948; https://doi.org/10.3390/cancers16050948 - 26 Feb 2024
Viewed by 3516
Abstract
In patients with esophageal cancer undergoing neoadjuvant chemoradiotherapy (nCRT), subsequent restaging with F-18-fluorodeoxyglucose (18F-FDG) positron emission tomography–computed tomography (PET-CT) can reveal the presence of interval metastases, such as liver metastases, in approximately 10% of cases. Nevertheless, it is not uncommon in clinical practice [...] Read more.
In patients with esophageal cancer undergoing neoadjuvant chemoradiotherapy (nCRT), subsequent restaging with F-18-fluorodeoxyglucose (18F-FDG) positron emission tomography–computed tomography (PET-CT) can reveal the presence of interval metastases, such as liver metastases, in approximately 10% of cases. Nevertheless, it is not uncommon in clinical practice to observe focal FDG uptake in the liver that is not associated with liver metastases but rather with radiation-induced liver injury (RILI), which can result in the overstaging of the disease. Liver radiation damage is also a concern during distal esophageal cancer radiotherapy due to its proximity to the left liver lobe, typically included in the radiation field. Post-CRT, if FDG activity appears in the left or caudate liver lobes, a thorough investigation is needed to confirm or rule out distant metastases. The increased FDG uptake in liver lobes post-CRT often presents a diagnostic dilemma. Distinguishing between radiation-induced liver disease and metastasis is vital for appropriate patient management, necessitating a combination of imaging techniques and an understanding of the factors influencing the radiation response. Diagnosis involves identifying new foci of hepatic FDG avidity on PET/CT scans. Geographic regions of hypoattenuation on CT and well-demarcated regions with specific enhancement patterns on contrast-enhanced CT scans and MRI are characteristic of radiation-induced liver disease (RILD). Lack of mass effect on all three modalities (CT, MRI, PET) indicates RILD. Resolution of abnormalities on subsequent examinations also helps in diagnosing RILD. Moreover, it can also help to rule out occult metastases, thereby excluding those patients from further surgery who will not benefit from esophagectomy with curative intent. Full article
(This article belongs to the Special Issue Liver Metastasis of Cancer)
Show Figures

Figure 1

13 pages, 1987 KB  
Article
Nanoceria as Safe Contrast Agents for X-ray CT Imaging
by Ana García, Juan Antonio Cámara, Ana María Boullosa, Muriel F. Gustà, Laura Mondragón, Simó Schwartz, Eudald Casals, Ibane Abasolo, Neus G. Bastús and Víctor Puntes
Nanomaterials 2023, 13(15), 2208; https://doi.org/10.3390/nano13152208 - 29 Jul 2023
Cited by 11 | Viewed by 3250
Abstract
Cerium oxide nanoparticles (CeO2NPs) have exceptional catalytic properties, rendering them highly effective in removing excessive reactive oxygen species (ROS) from biological environments, which is crucial in safeguarding these environments against radiation-induced damage. Additionally, the Ce atom’s high Z number makes it [...] Read more.
Cerium oxide nanoparticles (CeO2NPs) have exceptional catalytic properties, rendering them highly effective in removing excessive reactive oxygen species (ROS) from biological environments, which is crucial in safeguarding these environments against radiation-induced damage. Additionally, the Ce atom’s high Z number makes it an ideal candidate for utilisation as an X-ray imaging contrast agent. We herein show how the injection of albumin-stabilised 5 nm CeO2NPs into mice revealed substantial enhancement in X-ray contrast, reaching up to a tenfold increase at significantly lower concentrations than commercial or other proposed contrast agents. Remarkably, these NPs exhibited prolonged residence time within the target organs. Thus, upon injection into the tail vein, they exhibited efficient uptake by the liver and spleen, with 85% of the injected dose (%ID) recovered after 7 days. In the case of intratumoral administration, 99% ID of CeO2NPs remained within the tumour throughout the 7-day observation period, allowing for observation of disease dynamics. Mass spectrometry (ICP-MS) elemental analysis confirmed X-ray CT imaging observations. Full article
Show Figures

Figure 1

19 pages, 5368 KB  
Article
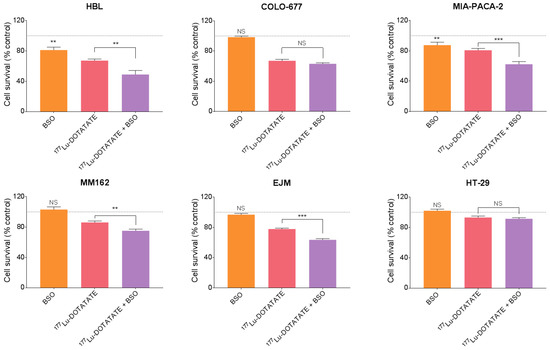
Disturbing the Redox Balance Using Buthionine Sulfoximine Radiosensitized Somatostatin Receptor-2 Expressing Pre-Clinical Models to Peptide Receptor Radionuclide Therapy with 177Lu-DOTATATE
by Wendy Delbart, Gwennaëlle Marin, Basile Stamatopoulos, Roland de Wind, Nicolas Sirtaine, Pieter Demetter, Marie Vercruyssen, Erwin Woff, Ioannis Karfis, Ghanem E. Ghanem, Patrick Flamen and Zéna Wimana
Cancers 2023, 15(8), 2332; https://doi.org/10.3390/cancers15082332 - 17 Apr 2023
Cited by 4 | Viewed by 3346
Abstract
Peptide receptor radionuclide therapy with 177Lu-DOTATATE improves the outcome of patients with somatostatin receptor (SSTR)-expressing neuroendocrine tumours. Nevertheless, stable disease has been the main response pattern observed, with some rare complete responses. Lu-177 exerts about two-thirds of its biological effects via the [...] Read more.
Peptide receptor radionuclide therapy with 177Lu-DOTATATE improves the outcome of patients with somatostatin receptor (SSTR)-expressing neuroendocrine tumours. Nevertheless, stable disease has been the main response pattern observed, with some rare complete responses. Lu-177 exerts about two-thirds of its biological effects via the indirect effects of ionizing radiation that generate reactive oxygen species, eventually leading to oxidative damage and cell death. This provides a rationale for targeting the antioxidant defence system in combination with 177Lu-DOTATATE. In the present study, the radiosensitizing potential and the safety of depleting glutathione (GSH) levels using buthionine sulfoximine (BSO) during 177Lu-DOTATATE therapy were assessed in vitro and in vivo using a xenograft mouse model. In vitro, the combination resulted in a synergistic effect in cell lines exhibiting a BSO-mediated GSH decrease. In vivo, BSO neither influenced 177Lu-DOTATATE biodistribution nor induced liver, kidney or bone marrow toxicity. In terms of efficacy, the combination resulted in reduced tumour growth and metabolic activity. Our results showed that disturbing the cell redox balance using a GSH synthesis inhibitor increased 177Lu-DOTATATE efficacy without additional toxicity. Targeting the antioxidant defence system opens new safe treatment combination opportunities with 177Lu-DOTATATE. Full article
(This article belongs to the Section Cancer Therapy)
Show Figures

Figure 1

20 pages, 5717 KB  
Article
Design and Assessment of a Novel Biconical Human-Sized Alternating Magnetic Field Coil for MNP Hyperthermia Treatment of Deep-Seated Cancer
by Levan Shoshiashvili, Irma Shamatava, David Kakulia and Fridon Shubitidze
Cancers 2023, 15(6), 1672; https://doi.org/10.3390/cancers15061672 - 8 Mar 2023
Cited by 13 | Viewed by 3016
Abstract
Magnetic nanoparticle (MNP) hyperthermia therapy is a treatment technique that can be used alone or as an adjunct to radiation and/or chemotherapies for killing cancer cells. During treatment, MNPs absorb a part of electromagnetic field (EMF) energy and generate localized heat when subjected [...] Read more.
Magnetic nanoparticle (MNP) hyperthermia therapy is a treatment technique that can be used alone or as an adjunct to radiation and/or chemotherapies for killing cancer cells. During treatment, MNPs absorb a part of electromagnetic field (EMF) energy and generate localized heat when subjected to an alternating magnetic field (AMF). The MNP-absorbed EMF energy, which is characterized by a specific absorption rate (SAR), is directly proportional to AMF frequency and the magnitude of transmitting currents in the coil. Furthermore, the AMF penetrates inside tissue and induces eddy currents in electrically conducting tissues, which are proportional to the electric field (J = σE). The eddy currents produce Joule heating (<J·E> = 0.5·σ·E2) in the normal tissue, the rate of energy transfer to the charge carriers from the applied electric fields. This Joule heating contains only the electric field because the magnetic field is always perpendicular to the velocity of the conduction charges, i.e., it does not produce work on moving charge. Like the SAR due to MNP, the electric field produced by the AMF coil is directly proportional to AMF frequency and the magnitude of transmitting currents in the coil. As a result, the Joule heating is directly proportional to the square of the frequency and transmitter current magnitude. Due to the fast decay of magnetic fields from an AMF coil over distance, MNP hyperthermia treatment of deep-seated tumors requires high-magnitude transmitting currents in the coil for clinically achievable MNP distributions in the tumor. This inevitably produces significant Joule heating in the normal tissue and becomes more complicated for a standard MNP hyperthermia approach for deep-seated tumors, such as pancreatic, prostate, liver, lung, ovarian, kidney, and colorectal cancers. This paper presents a novel human-sized AMF coil and MNP hyperthermia system design for safely and effectively treating deep-seated cancers. The proposed design utilizes the spatial distribution of electric and magnetic fields of circular coils. Namely, it first minimizes the SAR due to eddy currents in the normal tissue by moving the conductors away from the tissue (i.e., increasing coils’ radii), and second, it increases the magnetic field at the targeted area (z = 0) due to elevated coils (|z| > 0) by increasing the radius of the elevated coils (|z| > 0). This approach is a promising alternative aimed at overcoming the limitation of standard MNP hyperthermia for deep-seated cancers by taking advantage of the transmitter coil’s electric and magnetic field distributions in the human body for maximizing AMF in tumor regions and avoiding damage to normal tissue. The human-sized coil’s AMF, MNP activation, and eddy current distribution characteristics are investigated for safe and effective treatment of deep-seated tumors using numerical models. Namely, computational results such as AMF, Joule heating SAR, and temperature distributions are presented for a full-body, 3D human model. The SAR and temperature distributions clearly show that the proposed human-sized AMF coil can provide clinically relevant AMF to the region occupied by deep-seated cancers for the application of MNP hyperthermia therapy while causing less Joule heating in the normal tissues than commonly used AMF techniques. Full article
(This article belongs to the Collection Hyperthermia in Cancer Therapy)
Show Figures

Figure 1

14 pages, 1774 KB  
Article
The Acute Effect of Multi-Ingredient Antioxidant Supplementation following Ionizing Radiation
by Donald Xhuti, Irena A. Rebalka, Mahek Minhas, Linda May, Kieran Murphy, Joshua P. Nederveen and Mark A. Tarnopolsky
Nutrients 2023, 15(1), 207; https://doi.org/10.3390/nu15010207 - 1 Jan 2023
Cited by 10 | Viewed by 5267
Abstract
Radiation exposure is an undeniable health threat encountered in various occupations and procedures. High energy waves in ionizing radiation cause DNA damage and induce reactive oxygen species (ROS) production, which further exacerbate DNA, protein, and lipid damage, increasing risk of mutations. Although endogenous [...] Read more.
Radiation exposure is an undeniable health threat encountered in various occupations and procedures. High energy waves in ionizing radiation cause DNA damage and induce reactive oxygen species (ROS) production, which further exacerbate DNA, protein, and lipid damage, increasing risk of mutations. Although endogenous antioxidants such as superoxide dismutase have evolved to upregulate and neutralize ROS, exogenous dietary antioxidants also have the potential to combat ionizing radiation (IR)-induced ROS production. We evaluated a cocktail of ingredients (AOX) purported to have antioxidant and mitochondrial protective properties on the acute effects of IR. We show that IR stimulates DNA damage through phosphorylation of DNA repair proteins in the heart, brain, and liver of mice. AOX showed partial protection in brain and liver, through a lack of significant activation in given repair proteins. In addition, AOX attenuated the IR-induced increase in NF-kβ mRNA and protein expression in brain and liver. Lastly, cytochrome c oxidase complex transcripts were significantly higher in heart and brain following radiation, which was also diminished by prior ingestion of AOX. Together, our findings suggest that a multi-ingredient AOX supplement may attenuate the IR-induced cellular damage response and represents a feasible and cost-effective preventative supplement for at-risk populations of radiation exposure. Full article
(This article belongs to the Section Phytochemicals and Human Health)
Show Figures

Figure 1

10 pages, 1614 KB  
Article
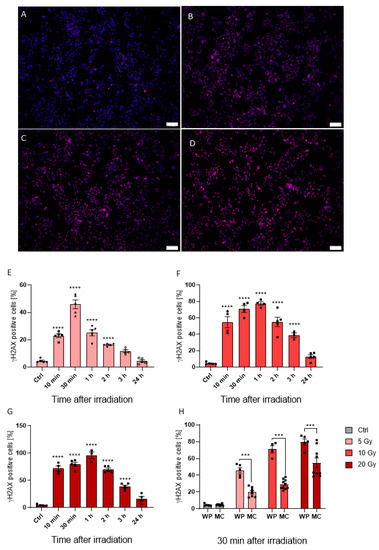
Development of an Artificial 3D Liver Phantom for Analysis of Radiotherapeutic Effects In Vitro
by Christina Stengl, Shahrouz Ghafoory, Artur Weidner, Brennah Murphy and Stefan Wölfl
Appl. Sci. 2022, 12(21), 10867; https://doi.org/10.3390/app122110867 - 26 Oct 2022
Cited by 1 | Viewed by 2552
Abstract
Over recent decades, stereotactic body radiotherapy has garnered increasing popularity. Unfortunately, conventional preclinical 2D in vitro models are often insufficient for studying radiotherapy effects. Therefore, in this study, we developed a novel anthropomorphic in vitro liver phantom, which simulates the relevant hepatocellular carcinoma [...] Read more.
Over recent decades, stereotactic body radiotherapy has garnered increasing popularity. Unfortunately, conventional preclinical 2D in vitro models are often insufficient for studying radiotherapy effects. Therefore, in this study, we developed a novel anthropomorphic in vitro liver phantom, which simulates the relevant hepatocellular carcinoma (HCC) tumor microenvironment and spatial organization. The liver phantom was 3D printed, filled with tissue-mimicking agarose mixture, and designed to fit ten microfluidic chips (MCs), in which HepG2 cells were seeded. Airtight MCs induced hypoxic conditions, as verified by Hif1α staining. Irradiation was conducted with 20 Gy in one fraction using a CyberKnife, in either a 2D setup, or by irradiating MCs arranged in the 3D-printed liver model using an individually calculated treatment plan. Post-irradiation cellular damage was determined via γH2AX staining. Here, we demonstrate a new physiologically relevant approach to model HCC pathology following radiotherapy. Comparing γH2AX staining in normoxic conditions to cells grown in MCs (hypoxic conditions) revealed a reduction in cellular damage of 30.24% (p = 0.0001) in the hypoxic environment. Moreover, we compared the scattering effect of radiation on a conventional 2D in vitro model to our new 3D anthropomorphic liver phantom and observed a significant γH2AX intensity reduction of 9.6% (p = 0.0294) in HepG2 cells irradiated in the phantom. Our approach of utilizing a liver phantom takes into account the hypoxic tumor microenvironment and 3D scattering effects of tissue irradiation, thereby modeling both physical and biological parameters of HCC tumors. The use of tissue phantoms lays the groundwork for future examination of other hypoxic tumors and offers a more comprehensive approach for screening and analysis of novel cancer therapeutics. Full article
Show Figures

Figure 1

Back to TopTop