Sign in to use this feature.

Years

Between: -

Subjects

remove_circle_outline
remove_circle_outline
remove_circle_outline
remove_circle_outline
remove_circle_outline
remove_circle_outline
remove_circle_outline
remove_circle_outline
remove_circle_outline

Journals

Article Types

Countries / Regions

remove_circle_outline
remove_circle_outline
remove_circle_outline
remove_circle_outline

Search Results (167)

Search Parameters:
Keywords = prosthetic adaptability

Order results
Result details
Results per page
Select all
Export citation of selected articles as:
15 pages, 3238 KB  
Case Report
Prosthetic Management of Peri-Implant Mucositis via CRD Optimization: A Split-Mouth Case Report
by Chiyun Won
Prosthesis 2025, 7(6), 146; https://doi.org/10.3390/prosthesis7060146 - 11 Nov 2025
Abstract
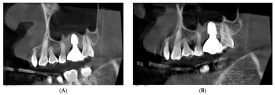
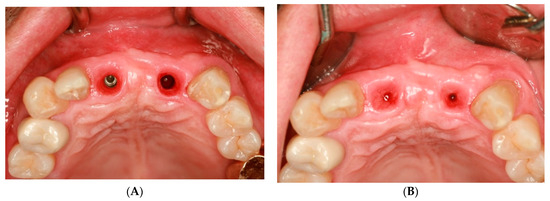
Background: Subcrestally placed implants (SPIs) present advantages for bone preservation and soft tissue support but pose challenges in maintaining peri-implant soft tissue health. This case explores the role of Crest to Restoration Distance (CRD) in the development and resolution of peri-implant mucositis. Case [...] Read more.
Background: Subcrestally placed implants (SPIs) present advantages for bone preservation and soft tissue support but pose challenges in maintaining peri-implant soft tissue health. This case explores the role of Crest to Restoration Distance (CRD) in the development and resolution of peri-implant mucositis. Case Presentation: A 57-year-old woman received two SPIs—one in the upper left and one in the lower right first molar region. Despite similar implant systems and prosthetic protocols, the upper left implant developed mucositis, characterized by bleeding on probing and discomfort, while the lower right implant remained stable. Three-dimensional analysis using cone-beam computed tomography (CBCT) revealed excessive CRD at the affected site. Results: After prosthodontic revision to reduce the CRD, clinical signs of mucositis resolved, with probing depths reduced to less than 1 mm and no bleeding on probing. The control site remained healthy throughout the observation period. Practical Implications: This case highlights CRD as a modifiable prosthetic factor influencing soft tissue stability. A three-zone model—comprising the sulcus, transitional zone (TZ), and subcrestal zone (SZ)—is introduced to provide a biologically grounded framework for understanding soft tissue adaptation around SPIs. Full article
Show Figures

Figure 1

17 pages, 1084 KB  
Review
Achilles and the Tortoise: Rethinking Evidence Generation in Cardiovascular Surgery and Interventional Cardiology
by Marco Cirillo
Hearts 2025, 6(4), 28; https://doi.org/10.3390/hearts6040028 - 10 Nov 2025
Abstract
Background: Randomized controlled trials (RCTs) are the foundation of evidence-based medicine. However, the rapid pace of technological innovation in cardiovascular surgery and interventional cardiology challenges the traditional RCT framework. Observational studies may hold renewed value in fields where device evolution outpaces the [...] Read more.
Background: Randomized controlled trials (RCTs) are the foundation of evidence-based medicine. However, the rapid pace of technological innovation in cardiovascular surgery and interventional cardiology challenges the traditional RCT framework. Observational studies may hold renewed value in fields where device evolution outpaces the time required to validate clinical outcomes. Methods: This analysis evaluates 270 randomized and non-randomized studies in transcatheter aortic valve implantation (TAVI), one of the most rapidly evolving areas in cardiovascular medicine. The investigation follows two lines: first, mapping the timeline of major RCTs against the introduction of new prosthetic models; second, comparing the prevalence, duration, and role of randomized (R) versus non-randomized (NR) studies. Results: The timeline reveals a persistent misalignment between innovation and validation. New prosthetic models frequently enter the market while RCTs for prior generations are still ongoing. For example, the Sapien 3 valve was approved, while trials on Sapien XT were still enrolling. Similarly, newer Evolut and Acurate models were introduced during ongoing studies of earlier versions, often prompting new studies before existing ones concluded. This leapfrogging effect fragments the evidence base and delays definitive comparisons. In parallel, randomized trials have increased in number and tend to be shorter in duration, reflecting a maturing field. However, non-randomized studies remain crucial for early testing and post-market surveillance. Conclusions: In a field with rapid technological evolution a sort of Zeno’s paradox occurs: long-term validation cannot keep pace with fast innovation, resetting the evidence base with each new model. To overcome this paradox, a paradigm shift in evidence generation is desirable. Future strategies must augment adaptive trial designs, leverage real-world data and use higher-level, advanced analyses to incorporate subjective variables and phenotypic diversity, to reduce confounding factors and speed up data access. Higher-level, integrative evidence analytics could help Achilles walk alongside the tortoise. Full article
Show Figures

Graphical abstract

13 pages, 1117 KB  
Article
Implementing a Standard Operating Procedure Is Associated with Improved Vancomycin Target Attainment in Bone and Joint Infections: A Pre-Post Study
by Moritz Diers, Juliane Beschauner, Maria Felsberg, Laura Isabell Kossack, Alexander Zeh, Karl-Stefan Delank, Natalia Gutteck and Felix Werneburg
Antibiotics 2025, 14(11), 1087; https://doi.org/10.3390/antibiotics14111087 - 28 Oct 2025
Viewed by 423
Abstract
Background: Intravenous vancomycin is a mainstay for prosthetic joint infections, osteomyelitis, and implant-associated infections, yet real-world dosing frequently misses PK/PD targets. We assessed whether a ward-embedded standard operating procedure (SOP) improves target attainment and dosing efficiency. Methods: Single-centre, non-randomized pre-post study [...] Read more.
Background: Intravenous vancomycin is a mainstay for prosthetic joint infections, osteomyelitis, and implant-associated infections, yet real-world dosing frequently misses PK/PD targets. We assessed whether a ward-embedded standard operating procedure (SOP) improves target attainment and dosing efficiency. Methods: Single-centre, non-randomized pre-post study in an orthopedic service. SOP mandated weight-adapted loading dose, renal function-adjusted maintenance dosing, a 15–20 mg/L trough target, and scheduled TDM. Adults receiving ≥72 h IV vancomycin were included; major renal failure and incomplete TDM were excluded. Pre-SOP data were retrospective; post-SOP data were prospective (03/2024–06/2025). Primary outcome: proportion of troughs within 15–20 mg/L (first and repeated). Repeated measures were modeled with GEE. Time to first in-range trough used Kaplan–Meier (indexed by measurement number). Results: We included 154 patients (pre-SOP n = 58; post-SOP n = 96); baseline characteristics were broadly similar. Use of a weight-based loading dose rose from 31.0% pre-SOP to 100% post-SOP (p < 0.001). At the first trough, 17.2% vs. 26.0% were within 15–20 mg/L (p = 0.238). Across 847 troughs (pre = 319; post = 528), the in-range proportion increased from 28.2% to 41.7%, with subtherapeutic values declining from 38.2% to 26.3% and supratherapeutic values remaining nearly similar (33.5% → 32.0%). Time to first in-range trough shortened from a median of 4 to 2 measurements (log-rank p < 0.001). Post-SOP measurements had higher odds of being in range (aOR 1.68, 95% CI 1.29–2.20; p < 0.001), with marginal predicted probabilities of 33.4% (pre) vs. 47.8% (post). Dose adjustments per patient decreased from a mean 4.0 to 2.48 (p < 0.001). Conclusions: A pragmatic, orthopedic ward–embedded SOP for intravenous vancomycin improved pharmacologic precision: more measurements within target, fewer subtherapeutic exposures, faster target attainment, and fewer dose changes. These data support protocol-first implementation as an immediately actionable step toward more consistent vancomycin exposure in orthopedic care. Future work should integrate AUC-guided, model-informed precision dosing and evaluate clinical endpoints and generalizability across centres. Full article
(This article belongs to the Special Issue Antimicrobial Stewardship in Surgical Infection)
Show Figures

Figure 1

16 pages, 8614 KB  
Article
Evaluation of Oxidative Stress Markers in Post-Surgical Head and Neck Cancer Patients Rehabilitated with Removable Prosthetic Restorations
by Beata Sawczuk, Elżbieta Supruniuk, Ewa Żebrowska, Suresh Nayar, Adrian Chabowski and Teresa Sierpińska
Antioxidants 2025, 14(11), 1285; https://doi.org/10.3390/antiox14111285 - 27 Oct 2025
Viewed by 391
Abstract
The effects of free radicals and chronic oxidative stress are the cause of many diseases, including those of the oral cavity, among which the most important are inflammatory processes and cancer. For this reason, an important element of the body’s defense is maintaining [...] Read more.
The effects of free radicals and chronic oxidative stress are the cause of many diseases, including those of the oral cavity, among which the most important are inflammatory processes and cancer. For this reason, an important element of the body’s defense is maintaining proper antioxidant activity. Study aim: To assess oxidative stress parameters in the saliva of patients using removable prostheses after head and neck cancer surgery. Material and methods: 44 oncological patients operated on for head and neck cancer and 20 healthy edentulous volunteers as a control group. Removable acrylic dentures were prepared for both groups. The material for oxidative stress analysis was saliva: non-stimulated saliva (NWS) and stimulated saliva (SW) after 3 months of prosthetic treatment. Results: Changes in the level of oxidative stress parameters were observed in the study group after 3 months of prosthetic treatment. Specifically, we observed a higher level of deoxyribonucleic acid (DNA)/ribonucleic acid (RNA) damage in oncology patients compared to controls. The levels of protein oxidation products—protein carbonyls, lipid peroxidation products, malondialdehyde (MDA), and nitrotyrosine—were slightly higher in the study group in all measurements. Conclusion: Based on this study, it was found that removable prostheses have a minor impact on the level of enzymatic and non-enzymatic oxidative stress parameters. This research suggests an adaptation to prosthetic restorations that results in almost restored redox balance. Full article
(This article belongs to the Section ROS, RNS and RSS)
Show Figures

Figure 1

25 pages, 3254 KB  
Article
Optimization of Soft Actuator Geometry and Material Modeling Using Metaheuristic Algorithms
by Mohamed Slim, Nizar Rokbani, Mohamed Ali Terres, Eric Watelain and Mohamed Moncef Ben Khelifa
Actuators 2025, 14(11), 520; https://doi.org/10.3390/act14110520 - 27 Oct 2025
Viewed by 367
Abstract
The geometry of soft actuators significantly impacts their performance, including force generation, range of motion, and adaptability. Optimizing actuator geometry and material properties under specific constraints is crucial for achieving desired performance. This paper presents an optimization workflow employing metaheuristic algorithms in synergy [...] Read more.
The geometry of soft actuators significantly impacts their performance, including force generation, range of motion, and adaptability. Optimizing actuator geometry and material properties under specific constraints is crucial for achieving desired performance. This paper presents an optimization workflow employing metaheuristic algorithms in synergy with SolidWorks and Sorotoki, a newly developed MATLAB toolkit for soft robotics. The workflow optimizes actuator geometry to maximize bending while minimizing actuating pressure. A metaheuristic algorithm iteratively modifies the actuator’s design in SolidWorks, according to finite element analysis conducted using Sorotoki. To ensure accurate simulations, a uniaxial tensile test is performed on Thermoplastic Polyurethane (TPU), with curve fitting based on metaheuristic algorithms for precise hyperelastic modeling. The Ogden and Yeoh models are compared, with results indicating the Ogden model best represents TPU behavior. Four metaheuristic algorithms—Particle Swarm Optimization (PSO), Genetic Algorithm, Simulated Annealing, and Moth Flame Optimization (MFO)—are evaluated. PSO outperforms others in material modeling, while MFO yields the most effective actuator geometry. This workflow enables the design of more efficient and adaptable soft actuators for applications in robotics, prosthetics, and biomedical devices. Full article
(This article belongs to the Section Actuator Materials)
Show Figures

Figure 1

15 pages, 473 KB  
Article
The Impact of Support Intensity Needs on Person-Centred Case Management
by Paolo Bianchi, Marco Lombardi, Luigi Croce, Antonio Caserta and Roberta Speziale
Healthcare 2025, 13(21), 2697; https://doi.org/10.3390/healthcare13212697 - 25 Oct 2025
Viewed by 225
Abstract
Background: International and national policies increasingly call for person-centred approaches in disability services, yet little is known about how support intensity needs influence the allocation of resources for individuals with intellectual and developmental disabilities (IDDs). In Italy, where integrated socio-health systems operate within [...] Read more.
Background: International and national policies increasingly call for person-centred approaches in disability services, yet little is known about how support intensity needs influence the allocation of resources for individuals with intellectual and developmental disabilities (IDDs). In Italy, where integrated socio-health systems operate within a human rights framework, this quantitative study investigates how individual and contextual factors shape resource use in individualized support planning. Methods: We analyzed data from 1152 adults with IDDs enrolled in 23 service centres across 13 Italian regions. Case managers developed Individualized Support Plans (ISPs) informed by the Supports Intensity Scale and socio-ecological variables. Resource use was measured as weekly counts of adaptive skills training, community participation supports, habilitation services, prosthetics, and assistive technologies. We applied multivariate count models (Sarmanov–Lee) to capture the interdependence across support types. Results: Findings show that gender and level of intellectual functioning did not significantly affect resource allocation. However, individuals with the highest support intensity needs often received fewer supports, particularly in adaptive skills and community participation. Residential settings were associated with higher levels of support provision compared to family or independent living. Assistive technologies and prosthetics were linked with more comprehensive support packages. Conclusions: While person-centred planning frameworks are being implemented, systemic inequities remain, with those at the highest levels of need at risk of receiving fewer enabling supports. Multivariate modelling provides a robust tool for understanding resource use and highlights the importance of equity-focused planning. These findings support policy and practice reforms that operationalize human rights principles and align with the UNCRPD, ensuring more inclusive and responsive systems of support. Full article
(This article belongs to the Special Issue Disability Studies and Disability Evaluation)
Show Figures

Figure 1

13 pages, 1555 KB  
Article
Quantitative Evaluation of Vacuum-Induced Morphological Changes in Knee-Disarticulation: A Case Study for Personalized Prosthetic Socket Design
by Mhd Ayham Darwich, Hasan Mhd Nazha, Kaysse Ibrahim, Lourance Kamleh, Maysaa Shash and Ebrahim Ismaiel
Symmetry 2025, 17(10), 1719; https://doi.org/10.3390/sym17101719 - 13 Oct 2025
Viewed by 665
Abstract
Achieving a best-fit prosthetic socket is essential to comfort, functional performance, and long-term residual limb health in lower-limb amputees. To our knowledge, no previous study has quantitatively compared in vivo residual limb geometry under vacuum versus non-vacuum conditions using high-resolution computed tomography (CT). [...] Read more.
Achieving a best-fit prosthetic socket is essential to comfort, functional performance, and long-term residual limb health in lower-limb amputees. To our knowledge, no previous study has quantitatively compared in vivo residual limb geometry under vacuum versus non-vacuum conditions using high-resolution computed tomography (CT). In this patient-specific case study of a bilateral knee-disarticulation (KD) amputee, both residual limbs were scanned under standardized conditions: one enclosed in a vacuum-compressed sleeve and the contralateral limb untreated as a natural control, thereby minimizing inter-subject variability. CT-based 3D reconstructions enabled volumetric and cross-sectional quantification, including symmetry/asymmetry analysis of paired limbs, while finite element analysis (FEA) assessed the biomechanical consequences for socket performance. Vacuum application resulted in a 4.1% reduction in total limb volume and a 5.3% reduction in mid-thigh cross-sectional area, with regionally asymmetric displacement of soft tissues. FEA demonstrated that vacuum-induced geometry reduced peak Von Mises stresses (27.43 MPa to 15.83 MPa), minimized maximum displacement (1.72 mm to 0.88 mm), and improved minimum factor of safety (~2.0 to ~3.0), while homogenizing contact pressure distribution (peak fell from 2.42 to 1.28 N/mm2). These findings provide preliminary CT-based evidence that vacuum application induces measurable morphological adaptations with implications for socket conformity, comfort, and load transfer. While limited to a single patient, this study highlights the potential of vacuum-induced modeling to inform personalized prosthetic socket design. Full article
Show Figures

Figure 1

18 pages, 2212 KB  
Review
How to Be Predictable in the Management of Vertical Dimension of Occlusion—A Narrative Review and Case Report
by Andrea Maria Chisnoiu, Oana Chira, Ioana Marginean, Simona Iacob, Dana Hrab, Ovidiu Păstrav, Mirela Fluerașu, Radu Marcel Chisnoiu and Mihaela Păstrav
Oral 2025, 5(4), 77; https://doi.org/10.3390/oral5040077 - 13 Oct 2025
Viewed by 901
Abstract
This narrative review addresses the complexities of managing the vertical dimension of occlusion (VDO) in restorative dentistry, focusing on predictability in prosthetic reconstructions. Altering VDO impacts biological, biomechanical, esthetic, and functional aspects, making it a controversial topic. While VDO naturally evolves throughout life, [...] Read more.
This narrative review addresses the complexities of managing the vertical dimension of occlusion (VDO) in restorative dentistry, focusing on predictability in prosthetic reconstructions. Altering VDO impacts biological, biomechanical, esthetic, and functional aspects, making it a controversial topic. While VDO naturally evolves throughout life, interventions require careful consideration due to potential complications. Various techniques guide VDO determination, including facial proportions, physiological methods, phonetics, and cephalometric analysis. Clinicians must understand these principles and adapt them to individual patient needs. Materials and Methods: A narrative literature review was conducted using PubMed, Scopus, Google Scholar, and the Cochrane Library, searching keywords like “vertical dimension of occlusion”, “dental”, “diagnosis”, “management” and “complications”. In addition to the literature review, two case reports with extensive prosthodontic restorations were included to illustrate the diagnostic challenges and treatment considerations in a clinical setting. Results: Increasing VDO aids restorative treatments, re-establishing morphology, and facilitating additive procedures. Minimally invasive approaches, provisional restorations, and fixed restorations with functional contours are favored. Individualized, patient-centered care is critical, recognizing unique anatomical and functional needs. This approach optimizes stomatognathic system rehabilitation while preventing adverse effects on body posture and airway dimensions. Conclusions: To ensure predictable results and minimize risks, changes in VDO should be kept to a minimum to achieve dentofacial aesthetic harmony and secure adequate space for the planned restorations The two case reports presented, with different clinical approaches, underline the importance of understanding the potential risks and benefits of VDO alteration which is crucial for achieving predictable and successful outcomes in complex restorative cases. Full article
Show Figures

Figure 1

20 pages, 3456 KB  
Article
TWISS: A Hybrid Multi-Criteria and Wrapper-Based Feature Selection Method for EMG Pattern Recognition in Prosthetic Applications
by Aura Polo, Nelson Cárdenas-Bolaño, Lácides Antonio Ripoll Solano, Lely A. Luengas-Contreras and Carlos Robles-Algarín
Algorithms 2025, 18(10), 633; https://doi.org/10.3390/a18100633 - 8 Oct 2025
Viewed by 387
Abstract
This paper proposes TWISS (TOPSIS + Wrapper Incremental Subset Selection), a novel hybrid feature selection framework designed for electromyographic (EMG) pattern recognition in upper-limb prosthetic control. TWISS integrates the multi-criteria decision-making method TOPSIS with a forward wrapper search strategy, enabling subject-specific feature optimization [...] Read more.
This paper proposes TWISS (TOPSIS + Wrapper Incremental Subset Selection), a novel hybrid feature selection framework designed for electromyographic (EMG) pattern recognition in upper-limb prosthetic control. TWISS integrates the multi-criteria decision-making method TOPSIS with a forward wrapper search strategy, enabling subject-specific feature optimization based on a ranking that combines filter metrics, including Chi-squared, ANOVA, and Mutual Information. Unlike conventional static feature sets, such as the Hudgins configuration (48 features: four per channel, 12 channels) or All Features (192 features: 16 per channel, 12 channels), TWISS dynamically adapts feature subsets to each subject, addressing inter-subject variability and classification robustness challenges in EMG systems. The proposed algorithm was evaluated on the publicly available Ninapro DB7 dataset, comprising both intact and transradial amputee participants, and implemented in an open-source, fully reproducible environment. Two Google Colab tools were developed to support diverse workflows: one for end-to-end feature extraction and selection, and another for selection on precomputed feature sets. Experimental results demonstrated that TWISS achieved a median F1-macro score of 0.6614 with Logistic Regression, outperforming the All Features set (0.6536) and significantly surpassing the Hudgins set (0.5626) while reducing feature dimensionality. TWISS offers a scalable and computationally efficient solution for feature selection in biomedical signal processing and beyond, promoting the development of personalized, low-cost prosthetic control systems and other resource-constrained applications. Full article
Show Figures

Graphical abstract

21 pages, 9112 KB  
Article
An Adaptive Grasping Multi-Degree-of-Freedom Prosthetic Hand with a Rigid–Flexible Coupling Structure
by Longhan Wu and Qingcong Wu
Sensors 2025, 25(19), 6034; https://doi.org/10.3390/s25196034 - 1 Oct 2025
Viewed by 611
Abstract
This study presents the design and evaluation of a dexterous prosthetic hand featuring five fingers, ten independently actuated joints, and four passively driven joints. The hand’s dexterity is enabled by a novel rigid–flexible coupled finger mechanism that incorporates a 1-active–1-passive joint configuration, which [...] Read more.
This study presents the design and evaluation of a dexterous prosthetic hand featuring five fingers, ten independently actuated joints, and four passively driven joints. The hand’s dexterity is enabled by a novel rigid–flexible coupled finger mechanism that incorporates a 1-active–1-passive joint configuration, which can enhance the dexterity of traditional rigid actuators while achieving a human-like workspace. Each finger is designed with a specific degree of rotational freedom to mimic natural opening and closing motions. This study also elaborates on the mapping of eight-channel electromyography to finger grasping force through improved TCN, as well as the control algorithm for grasping flexible objects. A functional prototype of the prosthetic hand was fabricated, and a series of experiments involving adaptive grasping and handheld manipulation tasks were conducted to validate the effectiveness of the proposed mechanical structure and control strategy. The results demonstrate that the hand can stably grasp flexible objects of various shapes and sizes. This work provides a practical solution for prosthetic hand design, offering promising potential for developing lightweight, dexterous, and highly anthropomorphic robotic hands suitable for real-world applications. Full article
(This article belongs to the Special Issue Flexible Wearable Sensors for Biomechanical Applications)
Show Figures

Figure 1

21 pages, 1251 KB  
Review
Haptic Feedback Systems for Lower-Limb Prosthetic Applications: A Review of System Design, User Experience, and Clinical Insights
by Mohammadmahdi Karimi, Nashmin Yeganeh, Ivan Makarov, Atli Örn Sverrisson, Karl Fannar Gunnarsson, Kristín Briem, Sigurður Brynjólfsson, Árni Kristjánsson and Runar Unnthorsson
Bioengineering 2025, 12(9), 989; https://doi.org/10.3390/bioengineering12090989 - 18 Sep 2025
Viewed by 3229
Abstract
Systems presenting haptic information have emerged as an important technological advance in assisting individuals with sensory impairments or amputations, where the aim is to enhance sensory perception or provide sensory substitution through tactile feedback. These systems provide information on limb positioning, environmental interactions, [...] Read more.
Systems presenting haptic information have emerged as an important technological advance in assisting individuals with sensory impairments or amputations, where the aim is to enhance sensory perception or provide sensory substitution through tactile feedback. These systems provide information on limb positioning, environmental interactions, and gait events, significantly improving mobility in amputees and their confidence about using such devices. This review summarizes recent progress in haptic feedback systems by providing a comparative analysis of different feedback approaches, evaluating their clinical effectiveness and usability, tactile feedback system design, and user experience, while identifying key gaps in the literature. These insights can contribute to the advancement of more effective, user-centered haptic feedback systems tailored for lower limb prosthetics. The findings are aimed at guiding future research in designing adaptive, intuitive, and clinically viable feedback mechanisms, fostering the widespread implementation of haptic systems in both assistive and rehabilitative applications. Full article
(This article belongs to the Section Biomechanics and Sports Medicine)
Show Figures

Graphical abstract

17 pages, 2861 KB  
Article
High-Accuracy Lower-Limb Intent Recognition: A KPCA-ISSA-SVM Approach with sEMG-IMU Sensor Fusion
by Kaiyang Yin, Pengchao Hao, Huanli Zhao, Pengyu Lou and Yi Chen
Biomimetics 2025, 10(9), 609; https://doi.org/10.3390/biomimetics10090609 - 10 Sep 2025
Viewed by 662
Abstract
Accurately decoding human locomotion intention from physiological signals remains a significant hurdle for the seamless control of advanced rehabilitation devices like exoskeletons and intelligent prosthetics. Conventional recognition methods often falter, exhibiting limited accuracy and struggling to capture the complex, nonlinear dynamics inherent in [...] Read more.
Accurately decoding human locomotion intention from physiological signals remains a significant hurdle for the seamless control of advanced rehabilitation devices like exoskeletons and intelligent prosthetics. Conventional recognition methods often falter, exhibiting limited accuracy and struggling to capture the complex, nonlinear dynamics inherent in biological data streams. Addressing these critical limitations, this study introduces a novel framework for lower-limb motion intent recognition, integrating Kernel Principal Component Analysis (KPCA) with a Support Vector Machine (SVM) optimized via an Improved Sparrow Search Algorithm (ISSA). Our approach commences by constructing a comprehensive high-dimensional feature space from synchronized surface electromyography (sEMG) and inertial measurement unit (IMU) data—a potent combination reflecting both muscle activation and limb kinematics. Critically, KPCA is employed for nonlinear dimensionality reduction; leveraging the power of kernel functions, it transcends the linear constraints of traditional PCA to extract low-dimensional principal components that retain significantly more discriminative information. Furthermore, the Sparrow Search Algorithm (SSA) undergoes three strategic enhancements: chaotic opposition-based learning for superior population diversity, adaptive dynamic weighting to adeptly balance exploration and exploitation, and hybrid mutation strategies to effectively mitigate premature convergence. This enhanced ISSA meticulously optimizes the SVM hyperparameters, ensuring robust classification performance. Experimental validation, conducted on a challenging 13-class lower-limb motion dataset, compellingly demonstrates the superiority of the proposed KPCA-ISSA-SVM architecture. It achieves a remarkable recognition accuracy of 95.35% offline and 93.3% online, substantially outperforming conventional PCA-SVM (91.85%) and standalone SVM (89.76%) benchmarks. This work provides a robust and significantly more accurate solution for intention perception in human–machine systems, paving the way for more intuitive and effective rehabilitation technologies by adeptly handling the nonlinear coupling characteristics of sEMG-IMU data and complex motion patterns. Full article
Show Figures

Figure 1

22 pages, 6790 KB  
Article
A Hybrid Workflow for Auricular Epithesis: Proof of Concept Integrating Mold Design and the Virtual Patient
by Cristian Ioan Tarba, Ioana Dragomir, Ioana Medeea Baciu, Oana Elena Burlacu Vatamanu, Ionut Gabriel Ghionea and Corina Marilena Cristache
Prosthesis 2025, 7(5), 114; https://doi.org/10.3390/prosthesis7050114 - 9 Sep 2025
Viewed by 1192
Abstract
Background/Objectives: Auricular epitheses play a vital role in restoring facial symmetry and patient confidence following congenital or acquired defects. Traditional wax-based fabrication is labor-intensive and lacks reproducibility. This study proposes and evaluates a simplified, digitally driven workflow for auricular prosthesis manufacturing, integrating virtual [...] Read more.
Background/Objectives: Auricular epitheses play a vital role in restoring facial symmetry and patient confidence following congenital or acquired defects. Traditional wax-based fabrication is labor-intensive and lacks reproducibility. This study proposes and evaluates a simplified, digitally driven workflow for auricular prosthesis manufacturing, integrating virtual patient creation, mirrored ear design, and three-part mold fabrication using two design platforms—CATIA V5R21 (industrial CAD) and Blender (open-source graphics software). Key outcomes include mold reusability, patient-centered evaluation, and workflow feasibility. Methods: A 28-year-old female patient with right-sided microtia was selected. A light-based 3D facial scan was performed, and the intact contralateral ear was mirrored and adapted virtually to the defect site. Molds were designed in both CATIA and Blender using a standardized three-parallelepiped approach and printed using FDM technology (Elegoo Neptune 4 Plus). Five silicone epitheses were carefully fabricated with each mold. Surface trueness was evaluated with Geomagic Control X, while subjective assessments were conducted by an independent prosthetic team and the patient using Visual Analogue Scales (VAS). Results: Both design workflows resulted in clinically usable prostheses. No statistically significant difference in RMS deviation was observed (p = 0.53), although CATIA-derived epitheses achieved higher subjective scores (mean 9.22/10) compared to Blender (mean 7.67/10). The preferred prosthesis (CATIA #4) was selected for final pigmentation and delivery to the patient. All molds were reused five times without any structural damage or significant signs of wear. Conclusions: This study demonstrates that both CATIA and Blender can support an effective, patient-centered digital workflow for auricular prosthesis fabrication. The methodology enables reproducibility, mold reusability, and improved clinical accessibility of custom prosthetics. Full article
Show Figures

Figure 1

16 pages, 3953 KB  
Article
3D-Printed Prosthetic Solutions for Dogs: Integrating Computational Design and Additive Manufacturing
by Jeremy Sarpong, Khalil Khanafer and Mohammad Sheikh
Designs 2025, 9(5), 107; https://doi.org/10.3390/designs9050107 - 7 Sep 2025
Viewed by 2349
Abstract
This study investigates the mechanical performance of two prosthetic forelimb designs for dogs—one with a solid structure and the other with a perforated structure—using Finite Element Analysis (FEA). Both models were analyzed under static loading conditions representing approximately 60% of a dog’s body [...] Read more.
This study investigates the mechanical performance of two prosthetic forelimb designs for dogs—one with a solid structure and the other with a perforated structure—using Finite Element Analysis (FEA). Both models were analyzed under static loading conditions representing approximately 60% of a dog’s body weight, the typical load borne by the forelimbs. The prosthetics were modeled with ABS plastic, a widely used 3D printing material, and evaluated for Von Mises stress, total deformation, elastic strain, and factor of safety. The analysis showed that both models remained within the elastic limit of the material, indicating that no permanent deformation would occur under the applied loads. The Solid Model demonstrated a significantly higher factor of safety (14) and lower deformation, confirming its structural strength but also highlighting excessive rigidity, increased material use, and higher cost. In contrast, the Perforated Model exhibited slightly higher localized stresses and a lower factor of safety (3.01), yet it still met essential safety requirements while providing greater compliance, flexibility, and material efficiency. These attributes are desirable for comfort, adaptability, and practicality in veterinary applications. Although its long-term durability requires further evaluation, the Perforated Model strikes a more effective balance between safety, comfort, and sustainability. Based on these findings, the perforated design is considered the more suitable option for canine prosthetic development. Future work will extend the analysis to dynamic loading scenarios, such as walking and running, to better simulate real-world performance. Full article
(This article belongs to the Special Issue Design Process for Additive Manufacturing)
Show Figures

Figure 1

17 pages, 3051 KB  
Proceeding Paper
Review and Comparative Analysis of Modern Knee Prostheses with Development of a Conceptual Design
by Akhmejanov Sayat, Zhetenbayev Nursultan, Nurgizat Yerkebulan, Sultan Aidos, Uzbekbayev Arman, Sergazin Gani, Ozhikenov Kassymbek and Nurmangaliyev Asset
Eng. Proc. 2025, 104(1), 80; https://doi.org/10.3390/engproc2025104080 - 4 Sep 2025
Viewed by 844
Abstract
This paper provides a comprehensive review of the structural features and biomechanical functions of modern passive and semi-active knee prostheses, followed by comparative analysis. Based on findings from scientific literature and engineering practice, a new conceptual knee prosthesis was developed using a modular [...] Read more.
This paper provides a comprehensive review of the structural features and biomechanical functions of modern passive and semi-active knee prostheses, followed by comparative analysis. Based on findings from scientific literature and engineering practice, a new conceptual knee prosthesis was developed using a modular design approach. The proposed structure was modeled in SolidWorks, and its kinematic behavior and structural integrity were quantitatively evaluated through finite element analysis (FEA). The knee module was specifically designed to integrate with previously developed ankle and foot prosthetic components via an adapter interface. This modular approach allows the prosthesis to be configured according to the individual clinical needs of the patient. Simulation results confirmed that the proposed design meets the requirements for motion accuracy and structural reliability. In future work, the physical prototype will be manufactured using 3D printing with PLA plastic as an initial test material, followed by fabrication with high-strength engineering plastics or metal alloys. This study represents a critical early step toward the development of a fully functional, adaptive lower-limb prosthetic system. Full article
Show Figures

Figure 1

Back to TopTop