Sign in to use this feature.

Years

Between: -

Subjects

remove_circle_outline
remove_circle_outline
remove_circle_outline
remove_circle_outline
remove_circle_outline
remove_circle_outline

Journals

Article Types

Countries / Regions

Search Results (48)

Search Parameters:
Keywords = pituitary neoplasms

Order results
Result details
Results per page
Select all
Export citation of selected articles as:
10 pages, 4477 KB  
Case Report
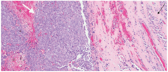
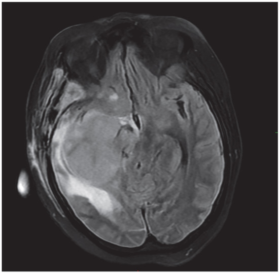
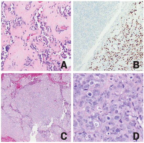
Unusual Dual Brain Tumor Morphologies in an MEN1 Patient: A Case Report of Diagnostic Challenges and Methylation Insights
by Viharkumar Patel, Orwa Aboud and Abdelrahman Barakat
Int. J. Mol. Sci. 2025, 26(20), 10065; https://doi.org/10.3390/ijms262010065 - 16 Oct 2025
Viewed by 1106
Abstract
Multiple Endocrine Neoplasia Type 1 (MEN1) is an autosomal dominant disorder commonly associated with tumor development in the parathyroid glands, pancreas, and pituitary gland. While pituitary adenomas are frequently observed in MEN1 patients, the presence of additional tumors within the pituitary [...] Read more.
Multiple Endocrine Neoplasia Type 1 (MEN1) is an autosomal dominant disorder commonly associated with tumor development in the parathyroid glands, pancreas, and pituitary gland. While pituitary adenomas are frequently observed in MEN1 patients, the presence of additional tumors within the pituitary gland is unusual. Moreover, the co-occurrence of a pituitary adenoma with an atypical teratoid/rhabdoid tumor (ATRT) has not been previously documented. ATRT is a rare, aggressive neoplasm predominantly affecting young children and is typically associated with inactivating mutations in the SMARCB1 or SMARCA4 tumor suppressor genes. These mutations result in uncontrolled cellular proliferation, which underlies the malignancy’s rapid progression. In adults, ATRT is exceedingly rare, making this case particularly noteworthy for its uniqueness in both tumor type and patient demographics. ATRTs are now classified into three molecular subgroups—MYC, SHH, and TYR—each with distinct epigenetic and clinical features, further refining diagnostic and prognostic assessments. In this case report, we describe a case of a female patient with MEN1 who experienced several recurrences of pituitary adenoma, ultimately necessitating surgical resection. Detailed pathological evaluation of the resected tissue revealed two distinct neoplasms within the pituitary gland: one typical of a pituitary adenoma, and the other confirmed as ATRT. The diagnosis of ATRT was established through extensive workup including immunohistochemical analysis, next-generation sequencing and methylation profiling, which served as essential tools in distinguishing ATRT from other potential differential diagnoses. This case illustrates the complex diagnostic journey and challenges encountered in identifying ATRT in the context of MEN1, underscoring the importance of using advanced molecular and immunohistochemical techniques in atypical presentations. Furthermore, it expands the understanding of potential tumor associations within MEN1, providing insight for pathologists and clinicians into the rare possibility of concurrent tumors in addition to pituitary adenoma in MEN1 patients. Raising awareness of such co-occurrences could prompt earlier diagnostic considerations by refining the differential diagnosis in patients with MEN1 presenting with unusual tumor types. Full article
(This article belongs to the Section Molecular Pathology, Diagnostics, and Therapeutics)
Show Figures

Figure 1

21 pages, 13450 KB  
Article
Distinctive Characteristics of Rare Sellar Lesions Mimicking Pituitary Adenomas: A Collection of Unusual Neoplasms
by Andrej Pala, Nadja Grübel, Andreas Knoll, Gregor Durner, Gwendolin Etzrodt-Walter, Johannes Roßkopf, Peter Jankovic, Anja Osterloh, Marc Scheithauer, Christian Rainer Wirtz and Michal Hlaváč
Cancers 2025, 17(15), 2568; https://doi.org/10.3390/cancers17152568 - 4 Aug 2025
Viewed by 1305
Abstract
Background/Objectives: Pituitary tumors account for over 90% of all sellar region masses. However, a spectrum of rare neoplastic, inflammatory, infectious, and vascular lesions—benign and malignant—can arise in the intra- and parasellar compartments and clinically and radiologically mimic PitNETs. We report a cohort [...] Read more.
Background/Objectives: Pituitary tumors account for over 90% of all sellar region masses. However, a spectrum of rare neoplastic, inflammatory, infectious, and vascular lesions—benign and malignant—can arise in the intra- and parasellar compartments and clinically and radiologically mimic PitNETs. We report a cohort of 47 such rare and cystic midline intracranial lesions, emphasizing their distinctive morphological, clinical, and imaging features and the personalized treatment strategies applied. Methods: In this retrospective single-center study, we reviewed all patients treated for suspected PitNETs via transsphenoidal approach between 2015 and 2024. Of 529 surgical cases, we excluded confirmed PitNETs, meningiomas, and classical intradural craniopharyngiomas. Collected data encompassed patient demographics, tumor characteristics, presenting symptoms, extent of resection or medical therapy, endocrine outcomes, and follow-up information. Results: Among all 529 patients who underwent surgical treatment for sellar lesions from 2015 to 2024, 47 cases (8.9%) were identified as rare or cystic masses. Forty-six underwent transsphenoidal resection; one patient with hypophysitis received corticosteroid therapy alone. Presenting symptoms included headache (n = 16), dizziness (n = 5), oculomotor disturbances (n = 2), and visual impairment (n = 17). Endocrine dysfunction was found in 30 patients, 27 of whom required hydrocortisone replacement. Histopathological diagnoses were led by colloid cysts (n = 14) and Rathke’s cleft cysts (n = 11). The remaining 22 cases comprised plasmacytoma, germinoma, lymphoma, pituicytoma, inverted papilloma, metastatic carcinoma, chordoma, nasopharyngeal carcinoma, chloroma, and other rare entities. Preoperative imaging diagnosis proved incorrect in 38% (18/47) of cases, with several lesions initially misidentified as PitNETs. Conclusions: Nearly 9% of presumed PitNETs were rare, often benign or inflammatory lesions requiring distinct management. Most could be safely resected and demonstrated excellent long-term outcomes. Yet, despite advanced imaging techniques, accurate preoperative differentiation remains challenging, with over one-third misdiagnosed. Clinical red flags—such as early hormone deficits, rapid progression or atypical imaging findings—should prompt early interdisciplinary evaluation and, when indicated, image-guided biopsy to avoid unnecessary surgery and ensure tailored therapy. Full article
(This article belongs to the Special Issue Pituitary Tumors: Clinical and Surgical Challenges)
Show Figures

Figure 1

16 pages, 1419 KB  
Review
Histopathological Types, Clinical Presentation, Imaging Studies, Treatment Strategies, and Prognosis of Posterior Pituitary Tumors: An Updated Review
by Pedro Iglesias
J. Clin. Med. 2025, 14(13), 4553; https://doi.org/10.3390/jcm14134553 - 26 Jun 2025
Viewed by 1602
Abstract
Posterior pituitary tumors (PPTs) are rare, non-neuroendocrine neoplasms derived from pituicytes of the neurohypophysis or infundibulum. According to the 2025 WHO classification, PPTs comprise four distinct but related low-grade entities: pituicytoma, granular cell tumor of the sellar region, spindle cell oncocytoma, and ependymal [...] Read more.
Posterior pituitary tumors (PPTs) are rare, non-neuroendocrine neoplasms derived from pituicytes of the neurohypophysis or infundibulum. According to the 2025 WHO classification, PPTs comprise four distinct but related low-grade entities: pituicytoma, granular cell tumor of the sellar region, spindle cell oncocytoma, and ependymal pituicytoma. All share nuclear TTF-1 expression, confirming their common origin, but differ in morphology, immunophenotype, and ultrastructure. Histologically, pituicytomas consist of bipolar spindle cells in fascicles; granular cell tumors show polygonal cells with PAS-positive, diastase-resistant cytoplasmic granules; spindle cell oncocytomas display oncocytic change and abundant mitochondria; and ependymal pituicytomas exhibit perivascular pseudorosettes and EMA positivity in apical or dot-like patterns. Immunohistochemically, all are S100 and vimentin positive, and negative for pituitary hormones and lineage-specific transcription factors. Clinically, PPTs are typically non-functioning but may be associated with corticotroph or somatotroph hyperfunction. Imaging features are nonspecific. Surgical resection is the treatment of choice, although hypervascularity and adherence—especially in spindle cell oncocytomas—can hinder complete excision. Radiotherapy is reserved for recurrences. Molecular analyses reveal recurrent alterations in MAPK/PI3K pathways (e.g., HRAS, BRAF, FGFR1, NF1, TSC1) and suggest a shared histogenesis. Copy number imbalances correlate with reduced progression-free survival in some subtypes. Despite a generally favorable prognosis, recurrence—particularly in spindle cell oncocytomas—necessitates long-term follow-up. The WHO 2025 update provides a unified framework for classification, diagnosis, and prognostic stratification of these rare tumors. Full article
(This article belongs to the Section Oncology)
Show Figures

Figure 1

31 pages, 3339 KB  
Review
Liquid Biopsy in Pituitary Neuroendocrine Tumors—Potential Biomarkers for Diagnosis, Prognosis, and Therapy
by Ligia Gabriela Tataranu
Int. J. Mol. Sci. 2025, 26(9), 4058; https://doi.org/10.3390/ijms26094058 - 25 Apr 2025
Cited by 1 | Viewed by 1790
Abstract
Pituitary neuroendocrine tumors (PitNETs) are slow-growing neoplasms with various clinical presentations, often leading to diagnostic challenges. While neuroimaging assessment and histopathological evaluation remain the gold standard for diagnosis, emerging research highlights the potential of liquid biopsy, mainly through the analysis of circulating non-coding [...] Read more.
Pituitary neuroendocrine tumors (PitNETs) are slow-growing neoplasms with various clinical presentations, often leading to diagnostic challenges. While neuroimaging assessment and histopathological evaluation remain the gold standard for diagnosis, emerging research highlights the potential of liquid biopsy, mainly through the analysis of circulating non-coding RNAs (ncRNAs), as a promising diagnostic and prognostic tool. Recent studies have demonstrated distinct expression profiles in different types and subtypes of tumors, with implications in assessing tumor aggressiveness and predicting treatment response. The current article summarizes data about potential biofluid markers implicated in PitNET development, mainly circulating tumor DNA (ctDNA), cell-free RNAs (cfRNA), circulating tumor cells (CTCs), and exosomes. Many studies on genetic and molecular markers in PitNET tissue samples provide exciting information about tumor biology, but to date, specific studies on liquid biopsy biomarkers are still few. Over the past years, a certain understanding of the mechanisms involved in pituitary tumorigenesis has been gained, including the landscape of genomic alterations, changes in epigenetic profile, crucial molecules involved in specific signaling pathways, and non-coding RNA molecules with critical roles in malignant transformation. Genetic and molecular characterization of the PitNETs could help distinguish between functional and non-functional PitNETs, different types and subtypes of pituitary tumors, and invasive and non-invasive forms. Further studies are required to identify and validate innovative biomarkers or therapeutic targets for treating PitNET. Integrating liquid biopsy into clinical workflows could revolutionize the management of pituitary adenomas, enabling more personalized and less invasive diagnostic and therapeutic strategies. Full article
(This article belongs to the Topic Liquid Biopsy: A Modern Method Transforming Biomedicine)
Show Figures

Figure 1

24 pages, 2130 KB  
Review
The Role of RAC2 and PTTG1 in Cancer Biology
by Katarzyna Rakoczy, Natalia Szymańska, Jakub Stecko, Michał Kisiel, Jakub Sleziak, Agnieszka Gajewska-Naryniecka and Julita Kulbacka
Cells 2025, 14(5), 330; https://doi.org/10.3390/cells14050330 - 23 Feb 2025
Cited by 3 | Viewed by 2062
Abstract
Several molecular pathways are likely involved in the regulation of cancer stem cells (CSCs) via Ras-associated C3 botulinum toxin substrate 2, RAC2, and pituitary tumor-transforming gene 1 product, PTTG1, given their roles in cellular signaling, survival, proliferation, and metastasis. RAC2 is a member [...] Read more.
Several molecular pathways are likely involved in the regulation of cancer stem cells (CSCs) via Ras-associated C3 botulinum toxin substrate 2, RAC2, and pituitary tumor-transforming gene 1 product, PTTG1, given their roles in cellular signaling, survival, proliferation, and metastasis. RAC2 is a member of the Rho GTPase family and plays a crucial role in actin cytoskeleton dynamics, reactive oxygen species production, and cell migration, contributing to epithelial–mesenchymal transition (EMT), immune evasion, and therapy resistance. PTTG1, also known as human securin, regulates key processes such as cell cycle progression, apoptosis suppression, and EMT, promoting metastasis and enhancing cancer cell survival. This article aims to describe the molecular pathways involved in the proliferation, invasiveness, and drug response of cancer cells through RAC2 and PTTG1, aiming to clarify their respective roles in neoplastic process dependencies. Both proteins are involved in critical signaling pathways, including PI3K/AKT, TGF-β, and NF-κB, which facilitate tumor progression by modulating CSC properties, angiogenesis, and immune response. This review highlights the molecular mechanisms by which RAC2 and PTTG1 influence tumorigenesis and describes their potential and efficacy as prognostic biomarkers and therapeutic targets in managing various neoplasms. Full article
(This article belongs to the Special Issue Molecular Mechanisms of Tumor Pathogenesis)
Show Figures

Figure 1

16 pages, 417 KB  
Review
The Use of [11C]C-Methionine in Diagnostics of Endocrine Disorders with Focus on Pituitary and Parathyroid Glands
by Adam Daniel Durma, Marek Saracyn, Maciej Kołodziej, Katarzyna Jóźwik-Plebanek and Grzegorz Kamiński
Pharmaceuticals 2025, 18(2), 229; https://doi.org/10.3390/ph18020229 - 7 Feb 2025
Cited by 2 | Viewed by 1671
Abstract
The rapid development of nuclear medicine offers vast opportunities for diagnosing neoplasms, particularly in endocrinology. The use of the [11C]C-methionine radiotracer is currently limited due to its physical properties and the complex production process. However, studies conducted so far have demonstrated [...] Read more.
The rapid development of nuclear medicine offers vast opportunities for diagnosing neoplasms, particularly in endocrinology. The use of the [11C]C-methionine radiotracer is currently limited due to its physical properties and the complex production process. However, studies conducted so far have demonstrated its utility in PET imaging, helping to detect lesions that often remain elusive with other modalities. This systematic review focuses on [11C]C-methionine in diagnosing hyperparathyroidism and pituitary tumors, highlighting its high effectiveness, which can be crucial in diagnosis. Despite some disadvantages, it should be considered when available, especially when other modalities or radiotracers fail. Full article
(This article belongs to the Section Medicinal Chemistry)
Show Figures

Figure 1

21 pages, 2166 KB  
Review
DNA Methylation in Pituitary Adenomas: A Scoping Review
by Morten Winkler Møller, Mathias Just Nortvig, Mikkel Schou Andersen and Frantz Rom Poulsen
Int. J. Mol. Sci. 2025, 26(2), 531; https://doi.org/10.3390/ijms26020531 - 10 Jan 2025
Cited by 2 | Viewed by 2037
Abstract
Pituitary adenomas are a diverse group of neoplasms with variable clinical behavior. Despite advances in genetic analysis, understanding the role of epigenetic modifications, particularly DNA methylation, remains an area under investigation. This scoping review aimed to update and synthesize the current body of [...] Read more.
Pituitary adenomas are a diverse group of neoplasms with variable clinical behavior. Despite advances in genetic analysis, understanding the role of epigenetic modifications, particularly DNA methylation, remains an area under investigation. This scoping review aimed to update and synthesize the current body of literature on DNA methylation in pituitary adenomas, focusing on methodological advancements and clinical correlations. A systematic search conducted across multiple databases, including Embase, Scopus, MEDLINE, and CENTRAL, identified 107 eligible studies. Early methods, such as methylation-restricted digestion and methylation-specific PCR (MSP), have evolved into more comprehensive approaches, such as chip-based DNA methylation analysis. Key findings suggest that genes like POMC, SOCS-1, and RASSF1A show a significant association between methylation and clinical behavior. However, methylation patterns alone are insufficient to fully explain tumorigenesis. Emerging data suggest that DNA methylation might serve as a prognostic marker for invasive growth and recurrence, but further longitudinal studies are needed. This review highlights the need for future research to explore the methylome more thoroughly and to better define the clinical impact of epigenetic modifications in pituitary adenomas. Full article
Show Figures

Figure 1

14 pages, 686 KB  
Review
Genetic and Functional Changes in Mitochondria in the Pituitary Adenoma: The Pathogenesis and Its Therapy
by Hansen Wu, Jie Xu, Wenxuan Zhao, Weiqiang Lv, Zhihui Feng and Lijun Heng
Antioxidants 2024, 13(12), 1514; https://doi.org/10.3390/antiox13121514 - 11 Dec 2024
Viewed by 2028
Abstract
Pituitary adenoma is a common neoplasm of the pituitary gland. Although most pituitary adenomas are benign, they can pose significant challenges in terms of their consequences and prognosis due to their tendency to invade surrounding tissues and their effects on hormone secretion. The [...] Read more.
Pituitary adenoma is a common neoplasm of the pituitary gland. Although most pituitary adenomas are benign, they can pose significant challenges in terms of their consequences and prognosis due to their tendency to invade surrounding tissues and their effects on hormone secretion. The management of pituitary adenomas typically involves surgery, medical therapy, and radiotherapy, each of which has its own limitations. Mitochondria play a crucial role in tumor development and progression by regulating various metabolic processes and signaling pathways within tumor cells and the tumor microenvironment. Multiple studies have indicated that mitochondrial dysfunction is implicated in human pituitary adenomas. Furthermore, several compounds with therapeutic effects on pituitary adenomas have been reported to target mitochondrial function. In this review, we summarize recent studies that highlight the involvement of mitochondrial homeostasis imbalance in the biology of pituitary adenomas. We conclude that mitochondria may represent a promising therapeutic target for the treatment of pituitary adenomas. Full article
Show Figures

Figure 1

15 pages, 1421 KB  
Article
Prevalence of Neoplasms in Patients with Acromegaly—A Single-Center Polish Study
by Martyna Strzelec, Małgorzata Rolla, Justyna Kuliczkowska-Płaksej, Marcin Kałużny, Natalia Słoka, Jakub Wronowicz, Marek Bolanowski and Aleksandra Jawiarczyk-Przybyłowska
J. Clin. Med. 2024, 13(22), 6847; https://doi.org/10.3390/jcm13226847 - 14 Nov 2024
Viewed by 1883
Abstract
Background/Objectives: Neoplasms are one of the three most common causes of death in patients with acromegaly. Our study aimed to assess the incidence of benign and malignant neoplasms among patients with acromegaly and the associations between this prevalence and the disease activity, the [...] Read more.
Background/Objectives: Neoplasms are one of the three most common causes of death in patients with acromegaly. Our study aimed to assess the incidence of benign and malignant neoplasms among patients with acromegaly and the associations between this prevalence and the disease activity, the time of acromegaly diagnosis, and the time of its first symptoms. The correlation between neoplasm occurrence and pituitary somatotropic axis hormone levels was also studied, and the prevalence of different types of neoplasms was compared between the patients with acromegaly and the Polish population. Methods: A retrospective study included a statistical analysis of the medical documentation of 230 patients with acromegaly diagnosed and treated in the Department of Endocrinology, Diabetes, and Isotope Therapy in Wrocław (Poland) between 1976 and 2023. Results: We observed 171 cases of neoplasms (144 benign and 27 malignant). All types of neoplasms and benign tumors were diagnosed more frequently, in both the short and long term, after a diagnosis of acromegaly, but, after a long time, only malignant neoplasms were more frequently diagnosed. In the cases of controlled acromegaly, all types of neoplasms and benign neoplasms were more common than in cases of cured acromegaly. The incidence of neoplasms was higher, regardless of type, in patients with active acromegaly compared to the cured disease. Malignant neoplasms of the thyroid, renal, and stomach type were more common among our subjects compared to the Polish population. Conclusions: This study confirms the association between acromegaly, as well as its activity level and the time from its diagnosis, and the prevalence of neoplasms. Full article
(This article belongs to the Special Issue Endocrine Malignancies: Current Surgical Therapeutic Approaches)
Show Figures

Figure 1

33 pages, 1401 KB  
Review
An Update on Advances in Hypopituitarism: Etiology, Diagnosis, and Current Management
by Pedro Iglesias
J. Clin. Med. 2024, 13(20), 6161; https://doi.org/10.3390/jcm13206161 - 16 Oct 2024
Cited by 8 | Viewed by 13066
Abstract
This article provides an updated review of hypopituitarism (HP), an endocrine disorder characterized by a deficiency of one or more pituitary hormones. The various etiologies are reviewed, including pituitary neuroendocrine tumors (PitNETs), hypothalamic lesions, genetic mutations, and acquired factors such as head trauma, [...] Read more.
This article provides an updated review of hypopituitarism (HP), an endocrine disorder characterized by a deficiency of one or more pituitary hormones. The various etiologies are reviewed, including pituitary neuroendocrine tumors (PitNETs), hypothalamic lesions, genetic mutations, and acquired factors such as head trauma, medications, neoplasms, and infiltrative diseases. It is noted that PitNETs are responsible for approximately half of the cases in adults, whereas in children the causes are predominantly congenital. Diagnosis is based on clinical evaluation and hormonal testing, with identification of the specific hormonal deficiencies essential for effective treatment. Laboratory tests present challenges and limitations that must be understood and addressed. Hormone replacement therapy is the mainstay of treatment, significantly improving patients’ quality of life. It is important to know the possible interactions between hormone replacement therapies in HP. Recent advances in understanding the pathophysiology of HP and the importance of a multidisciplinary approach to the management of associated complications are discussed. This article emphasizes the need for comprehensive evaluation and continuous follow-up to optimize outcomes in patients with HP and highlights the importance of ongoing research to improve diagnostic and treatment strategies. Full article
(This article belongs to the Section Endocrinology & Metabolism)
Show Figures

Figure 1

21 pages, 7835 KB  
Review
Imaging Recommendations for Diagnosis, Staging, and Management of Primary Central Nervous System Neoplasms in Adults
by Kajari Bhattacharya and Abhishek Mahajan
Neuroglia 2024, 5(4), 370-390; https://doi.org/10.3390/neuroglia5040025 - 1 Oct 2024
Viewed by 4656
Abstract
Central nervous system (CNS) neoplasms are a vast and diverse group of tumors in adults with variable prognoses depending on histology and increasingly understood molecular features. There has been a major paradigm shift in the approach towards these neoplasms ever since the implications [...] Read more.
Central nervous system (CNS) neoplasms are a vast and diverse group of tumors in adults with variable prognoses depending on histology and increasingly understood molecular features. There has been a major paradigm shift in the approach towards these neoplasms ever since the implications of these molecular features have been recognized. Gliomas are the major group of primary CNS neoplasms in adults, and glioblastomas are a significant cause of morbidity and mortality, especially in older patients. Apart from gliomas, meningiomas and pituitary tumors are other major groups. This review aims to elucidate the role of imaging in the screening, diagnosis, management, and follow-up of major primary CNS neoplasms, with an elaborate discussion on the role of artificial intelligence and advanced imaging techniques and future directions likely to play a pivotal role in this ever-evolving subspecialty of oncology. Full article
Show Figures

Figure 1

16 pages, 707 KB  
Article
The Impact of Surgical Telementoring on Reducing the Complication Rate in Endoscopic Endonasal Surgery of the Skull Base
by Janez Ravnik, Hojka Rowbottom, Carl H. Snyderman, Paul A. Gardner, Tomaž Šmigoc, Matic Glavan, Urška Kšela, Nenad Kljaić and Boštjan Lanišnik
Diagnostics 2024, 14(17), 1874; https://doi.org/10.3390/diagnostics14171874 - 27 Aug 2024
Viewed by 1647
Abstract
Background: Pituitary adenomas represent the most common pituitary disorder, with an estimated prevalence as high as 20%, and they can manifest with hormone hypersecretion or deficiency, neurological symptoms from mass effect, or incidental findings on imaging. Transsphenoidal surgery, performed either microscopically or endoscopically, [...] Read more.
Background: Pituitary adenomas represent the most common pituitary disorder, with an estimated prevalence as high as 20%, and they can manifest with hormone hypersecretion or deficiency, neurological symptoms from mass effect, or incidental findings on imaging. Transsphenoidal surgery, performed either microscopically or endoscopically, allows for a better extent of resection while minimising the associated risk in comparison to the transcranial approach. Endoscopy allows for better visualisation and improvement in tumour resection with an improved working angle and less nasal morbidity, making it likely to become the preferred surgical treatment for pituitary neoplasms. The learning curve can be aided by telementoring. Methods: We retrospectively analysed the clinical records of 94 patients who underwent an endoscopic endonasal resection of a pituitary neoplasm between the years 2011 and 2023 at Maribor University Medical Centre in Slovenia. Remote surgical telementoring over 3 years assisted with the learning curve. Results: The proportion of complication-free patients significantly increased over the observed period (60% vs. 79%). A gradual but insignificant increase in the percentage of patients with improved endocrine function was observed. Patients’ vision improved significantly over the observed period. By gaining experience, the extent of gross total tumour resection increased insignificantly (67% vs. 79%). Conclusions: Telementoring for the endoscopic endonasal approach to pituitary neoplasms enables low-volume centres to achieve efficiency, decreasing rates of postoperative complications and increasing the extent of tumour resection. Full article
Show Figures

Figure 1

12 pages, 1796 KB  
Article
Transfer-Learning Approach for Enhanced Brain Tumor Classification in MRI Imaging
by Amarnath Amarnath, Ali Al Bataineh and Jeremy A. Hansen
BioMedInformatics 2024, 4(3), 1745-1756; https://doi.org/10.3390/biomedinformatics4030095 - 22 Jul 2024
Cited by 9 | Viewed by 3532
Abstract
Background: Intracranial neoplasm, often referred to as a brain tumor, is an abnormal growth or mass of tissues in the brain. The complexity of the brain and the associated diagnostic delays cause significant stress for patients. This study aims to enhance the efficiency [...] Read more.
Background: Intracranial neoplasm, often referred to as a brain tumor, is an abnormal growth or mass of tissues in the brain. The complexity of the brain and the associated diagnostic delays cause significant stress for patients. This study aims to enhance the efficiency of MRI analysis for brain tumors using deep transfer learning. Methods: We developed and evaluated the performance of five pre-trained deep learning models—ResNet50, Xception, EfficientNetV2-S, ResNet152V2, and VGG16—using a publicly available MRI scan dataset to classify images as glioma, meningioma, pituitary, or no tumor. Various classification metrics were used for evaluation. Results: Our findings indicate that these models can improve the accuracy of MRI analysis for brain tumor classification, with the Xception model achieving the highest performance with a test F1 score of 0.9817, followed by EfficientNetV2-S with a test F1 score of 0.9629. Conclusions: Implementing pre-trained deep learning models can enhance MRI accuracy for detecting brain tumors. Full article
(This article belongs to the Section Computational Biology and Medicine)
Show Figures

Figure 1

16 pages, 9024 KB  
Article
The Immune Microenvironment Landscape of Pituitary NeuroEndocrine Tumors, a Transcriptomic Approach
by Sandra Vela-Patiño, Ma. Isabel Salazar, Keiko Taniguchi-Ponciano, Eduardo Vadillo, Erick Gomez-Apo, Aurea Escobar-España, Vadim Perez-Koldenkova, Laura Bonifaz, Cristina Aguilar-Flores, Daniel Marrero-Rodríguez and Moises Mercado
Genes 2024, 15(5), 531; https://doi.org/10.3390/genes15050531 - 24 Apr 2024
Cited by 4 | Viewed by 2679
Abstract
Pituitary neuroendocrine tumors (PitNET) are known to be variably infiltrated by different immune cells. Nonetheless, their role in pituitary oncogenesis has only begun to be unveiled. The immune microenvironment could determine the biological and clinical behavior of a neoplasm and may have prognostic [...] Read more.
Pituitary neuroendocrine tumors (PitNET) are known to be variably infiltrated by different immune cells. Nonetheless, their role in pituitary oncogenesis has only begun to be unveiled. The immune microenvironment could determine the biological and clinical behavior of a neoplasm and may have prognostic implications. To evaluate the expression of immune-related genes and to correlate such expression with the presence of infiltrating immune cells in forty-two PitNETs of different lineages, we performed whole transcriptome analysis and RT-qPCR. Deconvolution analysis was carried out to infer the immune cell types present in each tumor and the presence of immune cells was confirmed by immunofluorescence. We found characteristic expression profiles of immune-related genes including those encoding interleukins and chemokines for each tumor lineage. Genes such as IL4-I1, IL-36A, TIRAP, IL-17REL, and CCL5 were upregulated in all PitNETS, whereas IL34, IL20RA, and IL-2RB characterize the NR5A1-, TBX19-, and POU1F1-derived tumors, respectively. Transcriptome deconvolution analysis showed that M2 macrophages, CD4+ T cells, CD8+ T cells, NK cells, and neutrophils can potentially infiltrate PitNET. Furthermore, CD4+ and CD8+ T cells and NK cells infiltration was validated by immunofluorescence. Expression of CCL18, IL-5RA, and HLA-B as well as macrophage tumor infiltration could identify patients who can potentially benefit from treatment with immune checkpoint inhibitors. Full article
(This article belongs to the Special Issue Molecular Genetic Investigation of Rare Cancers)
Show Figures

Figure 1

16 pages, 11163 KB  
Article
Association between Intracellular Calcium Signaling and Tumor Recurrence in Human Non-Functioning Pituitary Adenomas
by Yorgui Santiago-Andres, Ana Aquiles, Keiko Taniguchi-Ponciano, Latife Salame, Gerardo Guinto, Moises Mercado and Tatiana Fiordelisio
Int. J. Mol. Sci. 2024, 25(7), 3968; https://doi.org/10.3390/ijms25073968 - 3 Apr 2024
Cited by 1 | Viewed by 4009
Abstract
Clinically non-functioning pituitary adenomas (CNFPAs) are the second most frequent sellar tumor among studies on community-dwelling adults. They are characterized by the absence of hormonal hypersecretion syndrome, and patients present with compressive symptoms, such as a headache and visual field defects. Immunohistochemically, most [...] Read more.
Clinically non-functioning pituitary adenomas (CNFPAs) are the second most frequent sellar tumor among studies on community-dwelling adults. They are characterized by the absence of hormonal hypersecretion syndrome, and patients present with compressive symptoms, such as a headache and visual field defects. Immunohistochemically, most CNFPAs are of gonadotrope differentiation, with only a few of them being truly null cell adenomas. Although these tumors express receptors for one or more hypothalamic releasing hormones, to what extent this has an impact on the biological and clinical behavior of these neoplasms remains to be defined. In this research, we evaluated the basal and hypothalamic secretagogue-stimulated intracellular calcium mobilization in 13 CNFPAs, trying to correlate this response to the phenotypic features of the patients. Our results indicate that the recurrence of a CNFPA correlates positively with cellular responsiveness, as measured by spontaneous intracellular calcium activity and the ability to respond to multiple hypothalamic secretagogues. We conclude that this finding may be a useful tool for predicting the clinicopathologic behavior of CNFPAs, by testing the variation of cellular responsiveness to hypothalamic secretagogues. Full article
Show Figures

Figure 1

Back to TopTop