Sign in to use this feature.

Years

Between: -

Subjects

remove_circle_outline
remove_circle_outline
remove_circle_outline
remove_circle_outline
remove_circle_outline
remove_circle_outline
remove_circle_outline

Journals

Article Types

Countries / Regions

Search Results (80)

Search Parameters:
Keywords = malignant meningioma

Order results
Result details
Results per page
Select all
Export citation of selected articles as:
15 pages, 7569 KB  
Article
Impact of Irradiation on Post-Surgical Residuals of WHO Grade I Meningioma
by Alice Giotta Lucifero, Rami Almefty and Ossama Al-Mefty
J. Clin. Med. 2025, 14(16), 5829; https://doi.org/10.3390/jcm14165829 - 18 Aug 2025
Viewed by 949
Abstract
Background: Radiotherapy is widely used to control postoperative residuals of WHO grade I meningiomas, with favorable outcomes reported from relatively short follow-ups. The aim of this study is to evaluate the effect of radiation on extended long-term outcome of benign meningiomas, comparing radiated [...] Read more.
Background: Radiotherapy is widely used to control postoperative residuals of WHO grade I meningiomas, with favorable outcomes reported from relatively short follow-ups. The aim of this study is to evaluate the effect of radiation on extended long-term outcome of benign meningiomas, comparing radiated to non-radiated post-surgical residuals. Methods: A retrospective observational record analysis of 2499 consecutive meningiomas treated from 1990 through 2023 identified 436 WHO grade I meningiomas with post-surgical residuals after subtotal resection (STR); of these, 176 received radiotherapy. Progression-free survival, cause-specific overall survival, and mortality were analyzed. Clinical control was defined as the absence of post-irradiation intervention. Malignant transformation was confirmed histologically. Results: At a median and mean follow-up of 103.5 and 127.28 months, the 3-, 5-, 10-, and 15-year progression-free survival were 91%, 85%, 77%, and 70% following STR alone, and 59%, 43%, 23%, and 16% after STR plus radiotherapy. The cause-specific overall survival at 5, 10, 15, and 20 years was 97.6%, 97.6%, 97.6%, and 96% for STR and 97%, 93%, 85%, and 76% for STR with irradiation, respectively. Mortality was 26% in the irradiated group, compared to 4%. Clinical control was achieved in 87% and 37% in the surgery and irradiation groups, respectively. Malignant transformation occurred in 28% of the irradiated group and 1% after surgery alone. Conclusions: This study revealed that with a follow-up beyond 10 years, irradiation of residual WHO I meningiomas was associated with increased recurrence, worse survival, less clinical control, and increased malignant progression. Full article
Show Figures

Figure 1

21 pages, 13450 KB  
Article
Distinctive Characteristics of Rare Sellar Lesions Mimicking Pituitary Adenomas: A Collection of Unusual Neoplasms
by Andrej Pala, Nadja Grübel, Andreas Knoll, Gregor Durner, Gwendolin Etzrodt-Walter, Johannes Roßkopf, Peter Jankovic, Anja Osterloh, Marc Scheithauer, Christian Rainer Wirtz and Michal Hlaváč
Cancers 2025, 17(15), 2568; https://doi.org/10.3390/cancers17152568 - 4 Aug 2025
Viewed by 1498
Abstract
Background/Objectives: Pituitary tumors account for over 90% of all sellar region masses. However, a spectrum of rare neoplastic, inflammatory, infectious, and vascular lesions—benign and malignant—can arise in the intra- and parasellar compartments and clinically and radiologically mimic PitNETs. We report a cohort [...] Read more.
Background/Objectives: Pituitary tumors account for over 90% of all sellar region masses. However, a spectrum of rare neoplastic, inflammatory, infectious, and vascular lesions—benign and malignant—can arise in the intra- and parasellar compartments and clinically and radiologically mimic PitNETs. We report a cohort of 47 such rare and cystic midline intracranial lesions, emphasizing their distinctive morphological, clinical, and imaging features and the personalized treatment strategies applied. Methods: In this retrospective single-center study, we reviewed all patients treated for suspected PitNETs via transsphenoidal approach between 2015 and 2024. Of 529 surgical cases, we excluded confirmed PitNETs, meningiomas, and classical intradural craniopharyngiomas. Collected data encompassed patient demographics, tumor characteristics, presenting symptoms, extent of resection or medical therapy, endocrine outcomes, and follow-up information. Results: Among all 529 patients who underwent surgical treatment for sellar lesions from 2015 to 2024, 47 cases (8.9%) were identified as rare or cystic masses. Forty-six underwent transsphenoidal resection; one patient with hypophysitis received corticosteroid therapy alone. Presenting symptoms included headache (n = 16), dizziness (n = 5), oculomotor disturbances (n = 2), and visual impairment (n = 17). Endocrine dysfunction was found in 30 patients, 27 of whom required hydrocortisone replacement. Histopathological diagnoses were led by colloid cysts (n = 14) and Rathke’s cleft cysts (n = 11). The remaining 22 cases comprised plasmacytoma, germinoma, lymphoma, pituicytoma, inverted papilloma, metastatic carcinoma, chordoma, nasopharyngeal carcinoma, chloroma, and other rare entities. Preoperative imaging diagnosis proved incorrect in 38% (18/47) of cases, with several lesions initially misidentified as PitNETs. Conclusions: Nearly 9% of presumed PitNETs were rare, often benign or inflammatory lesions requiring distinct management. Most could be safely resected and demonstrated excellent long-term outcomes. Yet, despite advanced imaging techniques, accurate preoperative differentiation remains challenging, with over one-third misdiagnosed. Clinical red flags—such as early hormone deficits, rapid progression or atypical imaging findings—should prompt early interdisciplinary evaluation and, when indicated, image-guided biopsy to avoid unnecessary surgery and ensure tailored therapy. Full article
(This article belongs to the Special Issue Pituitary Tumors: Clinical and Surgical Challenges)
Show Figures

Figure 1

23 pages, 3506 KB  
Article
Evaluation of Vision Transformers for Multi-Organ Tumor Classification Using MRI and CT Imaging
by Óscar A. Martín and Javier Sánchez
Electronics 2025, 14(15), 2976; https://doi.org/10.3390/electronics14152976 - 25 Jul 2025
Cited by 1 | Viewed by 1322
Abstract
Using neural networks has become the standard technique for medical diagnostics, especially in cancer detection and classification. This work evaluates the performance of Vision Transformer architectures, including Swin Transformer and MaxViT, for several datasets of magnetic resonance imaging (MRI) and computed tomography (CT) [...] Read more.
Using neural networks has become the standard technique for medical diagnostics, especially in cancer detection and classification. This work evaluates the performance of Vision Transformer architectures, including Swin Transformer and MaxViT, for several datasets of magnetic resonance imaging (MRI) and computed tomography (CT) scans. We used three training sets of images with brain, lung, and kidney tumors. Each dataset included different classification labels, from brain gliomas and meningiomas to benign and malignant lung conditions and kidney anomalies such as cysts and cancers. This work aims to analyze the behavior of the neural networks in each dataset and the benefits of combining different image modalities and tumor classes. We designed several experiments by fine-tuning the models on combined and individual datasets. The results revealed that the Swin Transformer achieved the highest accuracy, with an average of 99.0% on single datasets and reaching 99.43% on the combined dataset. This research highlights the adaptability of Transformer-based models to various human organs and image modalities. The main contribution lies in evaluating multiple ViT architectures across multi-organ tumor datasets, demonstrating their generalization to multi-organ classification. Integrating these models across diverse datasets could mark a significant advance in precision medicine, paving the way for more efficient healthcare solutions. Full article
(This article belongs to the Special Issue Convolutional Neural Networks and Vision Applications, 4th Edition)
Show Figures

Figure 1

14 pages, 5332 KB  
Case Report
Extramammary Paget’s Disease of the Scalp with an Underlying Atypical Meningioma—A Case Report and Review of the Literature
by Carolina Solomon, Adina Patricia Apostu, Ioana Irina Trufin, Salomea Ruth Halmagyi, Liliana Rogojan, Simona Corina Șenilă and Loredana Ungureanu
Life 2025, 15(7), 1064; https://doi.org/10.3390/life15071064 - 3 Jul 2025
Viewed by 1042
Abstract
Extramammary Paget’s disease (EMPD) is a rare adenocarcinoma originating from apocrine glands, primarily affecting the anogenital and axillary regions. Ectopic EMPD, occurring in non-apocrine sites such as the scalp, is exceptionally uncommon. We report a case of ectopic EMPD of the scalp distinguished [...] Read more.
Extramammary Paget’s disease (EMPD) is a rare adenocarcinoma originating from apocrine glands, primarily affecting the anogenital and axillary regions. Ectopic EMPD, occurring in non-apocrine sites such as the scalp, is exceptionally uncommon. We report a case of ectopic EMPD of the scalp distinguished by its association with an intraosseous atypical meningioma, a previously unreported finding. A 70-year-old female presented with a persistent 15 cm erythematous, alopecic scalp lesion that had been misdiagnosed for a decade. Histopathological analysis confirmed ectopic EMPD, while imaging identified an adjacent intraosseous meningioma. Surgical resection was performed for the meningioma, and radiotherapy was selected as the treatment modality for EMPD. Due to its clinical resemblance to inflammatory dermatoses, ectopic EMPD is often underrecognized, underscoring the critical role of histopathology and immunohistochemical markers in diagnosis. Given its potential association with malignancies, comprehensive systemic evaluation is warranted. The high recurrence rate following surgical excision necessitates consideration of alternative therapeutic approaches, including radiotherapy, Mohs micrographic surgery, or photodynamic therapy. This case highlights the necessity for heightened clinical awareness of atypical scalp lesions and underscores the importance of thorough diagnostic assessment. Further research is needed to clarify the relationship between EMPD and other neoplasms and to optimize management strategies. Full article
(This article belongs to the Special Issue Skin Cancer: From Molecular Basis to Therapy: 2nd Edition)
Show Figures

Figure 1

12 pages, 2492 KB  
Review
The Prevalence and Significance of Incidental Positron Emission Tomography Findings in the Brain Using Radiotracers Other than [18F]FDG: A Systematic Review and Meta-Analysis
by Cesare Michele Iacovitti, Barbara Muoio, Domenico Albano, Alessio Rizzo, Marco Cuzzocrea, Gaetano Paone and Giorgio Treglia
Diagnostics 2025, 15(10), 1204; https://doi.org/10.3390/diagnostics15101204 - 9 May 2025
Viewed by 1765
Abstract
Background: Incidental brain imaging findings could be clinically relevant, and advancements in molecular imaging could lead to their more frequent identification. The aim of this review is to establish the prevalence and clinical significance of brain incidentalomas at PET (BIPs) using radiotracers [...] Read more.
Background: Incidental brain imaging findings could be clinically relevant, and advancements in molecular imaging could lead to their more frequent identification. The aim of this review is to establish the prevalence and clinical significance of brain incidentalomas at PET (BIPs) using radiotracers other than [18F]FDG. Methods: A comprehensive literature search of studies about BIPs was carried out. Four different databases (PubMed/MEDLINE, EMBASE, the Cochrane library, and Google Scholar) were screened up to December 2024. Only original articles about BIPs using radiotracers other than [18F]FDG were selected. A proportion meta-analysis of the prevalence of BIPs was carried out using a random-effects model. Results: Fourteen studies were included in the review, using somatostatin receptor (SSTR) PET (n = 6), radiolabeled choline PET (n = 5), prostate-specific membrane antigen (PSMA) ligands PET (n = 1), [18F]Fluciclovine PET (n = 1), and [18F]FDOPA PET (n = 1). The pooled prevalence of BIPs was 4.6% for SSTR PET, 1.1% for choline PET, 1.2% for PSMA ligands PET, 2.5% for [18F]Fluciclovine PET, and 3.9% for [18F]FDOPA PET. When BIPs were further evaluated using MRI, meningiomas were the most frequent lesions detected, but both benign and malignant lesions could be incidentally diagnosed. Conclusions: BIPs using radiotracers other than [18F]FDG are not rare, in particular at SSTR PET, further justifying the extension of PET scans to the brain when radiotracers other than [18F]FDG are used. When detected, a BIP should be further evaluated using brain MRI. Both benign and malignant lesions could be incidentally detected in the brain. Further studies are warranted to better clarify the clinical impact of BIP detection. Full article
(This article belongs to the Special Issue Advances in the Diagnosis and Management of Cancer/Tumors)
Show Figures

Figure 1

5 pages, 933 KB  
Case Report
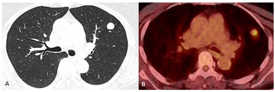
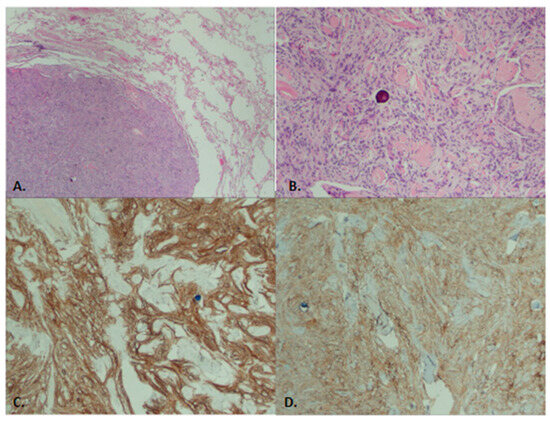
A Rare Case of Primary Pulmonary Meningioma
by Calista Sha, Leo Li, Fernanda Mitchell, Frank Breuer, Riona Park and Paul C. Lee
J. Clin. Med. 2025, 14(8), 2688; https://doi.org/10.3390/jcm14082688 - 15 Apr 2025
Viewed by 982
Abstract
Background: Primary pulmonary meningioma (PPM) is an uncommon tumor originating in the lung. Although predominantly benign, there are instances of aggressive tumors exhibiting malignant features. Due to their rarity, our understanding of PPMs is primarily gleaned from case reports or small case [...] Read more.
Background: Primary pulmonary meningioma (PPM) is an uncommon tumor originating in the lung. Although predominantly benign, there are instances of aggressive tumors exhibiting malignant features. Due to their rarity, our understanding of PPMs is primarily gleaned from case reports or small case series. Methods: This report details the case of an 84-year-old female presenting with an incidental, well-circumscribed, enlarging nodule (1.4 × 1.3 × 0.9 cm) in the left upper lobe (LUL). Initial imaging found it to be highly suspicious of lung cancer. Results: Upon surgical resection, pathological analysis confirmed the tumor’s characteristics to be consistent with a benign PPM. Postoperative recovery was uneventful and there is no evidence of recurrence. Conclusions: Our report aims to contribute to the expanding body of knowledge concerning incidental PPMs by documenting our clinical encounter with this patient. Full article
(This article belongs to the Section Respiratory Medicine)
Show Figures

Figure 1

17 pages, 700 KB  
Review
Malignant Meningiomas: From Diagnostics to Treatment
by Hojka Rowbottom, Tomaž Šmigoc and Janez Ravnik
Diagnostics 2025, 15(5), 538; https://doi.org/10.3390/diagnostics15050538 - 23 Feb 2025
Cited by 1 | Viewed by 3090
Abstract
Meningiomas account for approximately 40% of all primary brain tumors, of which 1.5% are classified as grade 3. Whilst meningiomas are discovered on imaging with high-grade meningiomas being associated with certain imaging features, the final diagnosis is based on histopathology in combination with [...] Read more.
Meningiomas account for approximately 40% of all primary brain tumors, of which 1.5% are classified as grade 3. Whilst meningiomas are discovered on imaging with high-grade meningiomas being associated with certain imaging features, the final diagnosis is based on histopathology in combination with molecular markers. According to the latest World Health Organization (WHO) Classification of Tumors of the Central Nervous System (CNS), grade 3 should be assigned based on criteria for anaplastic meningiomas, which comprise malignant cytomorphology (anaplasia) that resembles carcinoma, high-grade sarcoma or melanoma; elevated mitotic activity; a TERT promoter mutation and/or a homozygous CDKN2A and/or CDKN2B deletion. Surgery remains the mainstay treatment modality for grade 3 meningiomas, followed by radiotherapy. Limited data are available on the effect of stereotactic radiosurgery and systemic therapy for grade 3 meningiomas; however, studies are underway. Despite optimal treatment, the estimated recurrence rate ranges between 50% and 95% with a 5-year survival rate of 66% and a 10-year estimated survival rate of 14% to 24%. Full article
(This article belongs to the Special Issue Advances in the Diagnosis of Nervous System Diseases—2nd Edition)
Show Figures

Figure 1

32 pages, 5318 KB  
Review
Towards a New Dawn for Neuro-Oncology: Nanomedicine at the Service of Drug Delivery for Primary and Secondary Brain Tumours
by Smita Khilar, Antonina Dembinska-Kenner, Helen Hall, Nikolaos Syrmos, Gianfranco K. I. Ligarotti, Puneet Plaha, Vasileios Apostolopoulos, Salvatore Chibbaro, Giuseppe Maria Vincenzo Barbagallo and Mario Ganau
Brain Sci. 2025, 15(2), 136; https://doi.org/10.3390/brainsci15020136 - 30 Jan 2025
Cited by 6 | Viewed by 2881
Abstract
(1) Background/Objectives: Primary and secondary brain tumours often hold devastating prognoses and low survival rates despite the application of maximal neurosurgical resection, and state-of-the-art radiotherapy and chemotherapy. One limiting factor in their management is that several antineoplastic agents are unable to cross the [...] Read more.
(1) Background/Objectives: Primary and secondary brain tumours often hold devastating prognoses and low survival rates despite the application of maximal neurosurgical resection, and state-of-the-art radiotherapy and chemotherapy. One limiting factor in their management is that several antineoplastic agents are unable to cross the blood–brain barrier (BBB) to reach the tumour microenvironment. Nanomedicine could hold the potential to become an effective means of drug delivery to overcome previous hurdles towards effective neuro-oncological treatments. (2) Methods: A scoping review following the PRISMA-ScR guidelines and checklist was conducted using key terms input into PubMed to find articles that reflect emerging trends in the utilisation of nanomedicine in drug delivery for primary and secondary brain tumours. (3) Results: The review highlights various strategies by which different nanoparticles can be exploited to bypass the BBB; we provide a synthesis of the literature on the ongoing contributions to therapeutic protocols based on chemotherapy, immunotherapy, focused ultrasound, radiotherapy/radiosurgery, and radio-immunotherapy. (4) Conclusions: The emerging trends summarised in this scoping review indicate encouraging advantageous properties of nanoparticles as potential effective drug delivery mechanisms; however, there are still nanotoxicity issues that largely remain to be addressed before the translation of these innovations from laboratory to clinical practice. Full article
(This article belongs to the Special Issue Advanced Clinical Technologies in Treating Neurosurgical Diseases)
Show Figures

Figure 1

21 pages, 1504 KB  
Article
Association Between Heavy Metal Exposure and Central Nervous System Tumors: A Case-Control Study Using Single and Multi-Metal Models
by Sen Luo, Haixia Wu, Fang Xiao, Tianwen Yang, Wei Wang, Hang Du and Peng Su
Toxics 2025, 13(2), 92; https://doi.org/10.3390/toxics13020092 - 26 Jan 2025
Cited by 1 | Viewed by 1426
Abstract
(1) Background: Neoplasms of the central nervous system (CNS) encompass a cluster of malignant diseases originating from tissues or structures within the CNS. Environmental factors, including heavy metals, may contribute to their development. Therefore, this research was to investigate the association between heavy [...] Read more.
(1) Background: Neoplasms of the central nervous system (CNS) encompass a cluster of malignant diseases originating from tissues or structures within the CNS. Environmental factors, including heavy metals, may contribute to their development. Therefore, this research was to investigate the association between heavy metal exposure and CNS tumor susceptibility using single and muti-metal models. (2) Methods: 63 CNS tumor patients and 71 controls were included. Urine samples from the CNS tumor patients and controls were analyzed for 47 metals using inductively coupled plasma-mass spectrometry in this study. Statistical analyses included conditional Wilcoxon rank-sum tests, logistic regression, Least Absolute Shrinkage and Selection Operator (LASSO) regression, and Bayesian Kernel Machine Regression (BKMR). (3) Results: In the single metal model, higher levels of seventeen metals might be associated with a lower incidence of CNS tumor, while higher exposure levels of five metals are associated with a higher incidence of tumor. LASSO regression selected nine metals for further BKMR analysis. The joint effects showed decreased tumor risk with increased metal mixture concentration. The level of the metals Ge, As, Rb, Zr, and Sn may be related to the incidence of meningiomas and gliomas. (4) Conclusions: This study explored the association between various metals and CNS tumors, providing ideas for future prospective cohort studies and laboratory studies, and providing a foundation for new ideas in the prevention and treatment of CNS tumors. Full article
(This article belongs to the Section Exposome Analysis and Risk Assessment)
Show Figures

Figure 1

26 pages, 1246 KB  
Review
Long Non-Coding RNAs in Malignant Human Brain Tumors: Driving Forces Behind Progression and Therapy
by Dakun Pei, Dandan Zhang, Yan Guo, Hongbo Chang and Hongjuan Cui
Int. J. Mol. Sci. 2025, 26(2), 694; https://doi.org/10.3390/ijms26020694 - 15 Jan 2025
Cited by 2 | Viewed by 2192
Abstract
Long non-coding RNAs (lncRNAs) play a pivotal role in regulating gene expression and are critically involved in the progression of malignant brain tumors, including glioblastoma, medulloblastoma, and meningioma. These lncRNAs interact with microRNAs (miRNAs), proteins, and DNA, influencing key processes such as cell [...] Read more.
Long non-coding RNAs (lncRNAs) play a pivotal role in regulating gene expression and are critically involved in the progression of malignant brain tumors, including glioblastoma, medulloblastoma, and meningioma. These lncRNAs interact with microRNAs (miRNAs), proteins, and DNA, influencing key processes such as cell proliferation, migration, and invasion. This review highlights the multifaceted impact of lncRNA dysregulation on tumor progression and underscores their potential as therapeutic targets to enhance the efficacy of chemotherapy, radiotherapy, and immunotherapy. The insights provided offer new directions for advancing basic research and clinical applications in malignant brain tumors. Full article
Show Figures

Figure 1

12 pages, 2913 KB  
Article
Anterior Skull Base Reconstruction in Multiportal Approaches: Insight into Vascularized Flap Techniques
by Luca Ferlendis, Bianca Bossi, Antonio Tabano, Lidia Bifone, Alberto Daniele Arosio, Paula Nathalie Espinoza Apolo, Fabio Pozzi, Elisa Coden, Maurizio Bignami, Paolo Castelnuovo and Davide Locatelli
J. Clin. Med. 2024, 13(23), 7229; https://doi.org/10.3390/jcm13237229 - 28 Nov 2024
Cited by 1 | Viewed by 1309
Abstract
Background/Objectives: To evaluate the outcomes of anterior skull base (ASB) reconstruction using single versus double vascularized flap techniques following multiportal cranio-endoscopic approaches (CEA), based on a 12-year experience. Methods: A retrospective analysis was conducted on 46 patients who underwent ASB reconstruction [...] Read more.
Background/Objectives: To evaluate the outcomes of anterior skull base (ASB) reconstruction using single versus double vascularized flap techniques following multiportal cranio-endoscopic approaches (CEA), based on a 12-year experience. Methods: A retrospective analysis was conducted on 46 patients who underwent ASB reconstruction after a CEA at our department between 2010 and 2022. Patients were divided into two groups: Group 1 received a pericranial flap (PF) reinforced with a fascia graft, while Group 2 underwent multiple flap reconstruction with PF, fascia graft, and nasoseptal flap (NSF). The primary outcome measured was the incidence of cerebrospinal fluid (CSF) leakage and the impact of adjuvant radiotherapy (RT) on reconstruction. Results: Group 1 (86.9%) demonstrated no significant postoperative CSF leaks, showing that the PF, combined with multilayer techniques (including underlay sealing matrix and overlay fascia graft), effectively repaired ASB defects. Group 2 (13.1%), employing both PF and NSF, showed similar outcomes, with the dual flap approach particularly beneficial in cases of post-traumatic fistulas or when the nasal septum was spared by disease. No significant differences were observed in complications or flap necrosis, even in patients receiving adjuvant RT. Conclusions: The PF is a reliable and versatile option for ASB reconstruction, often sufficient as a single-flap technique. The addition of an NSF can be beneficial in specific cases, particularly in post-traumatic conditions or tumors with unilateral endonasal invasion. However, PF alone, when combined with a multilayer approach, minimizes the risk of CSF leakage and long-term flap necrosis, underscoring the importance of tailored surgical strategies for optimal outcomes. Full article
(This article belongs to the Section Otolaryngology)
Show Figures

Figure 1

12 pages, 11628 KB  
Article
Immunohistochemical Staining Properties of Osteopontin and Ki-67 in Feline Meningiomas
by Gabriele Gradner, Janina Janssen, Anna Oevermann, Alexander Tichy, Stefan Kummer, Stefanie Burger and Ingrid Walter
Animals 2024, 14(23), 3404; https://doi.org/10.3390/ani14233404 - 26 Nov 2024
Viewed by 1814
Abstract
The high recurrence rate of feline meningioma despite the generally benign histomorphology warrants additional markers of clinical aggressiveness. The Ki-67 index is commonly used as prognostic marker for meningioma recurrence in people. Osteopontin (OPN) is a protein involved in tumor progression and may [...] Read more.
The high recurrence rate of feline meningioma despite the generally benign histomorphology warrants additional markers of clinical aggressiveness. The Ki-67 index is commonly used as prognostic marker for meningioma recurrence in people. Osteopontin (OPN) is a protein involved in tumor progression and may be a potential malignancy marker. To date, osteopontin expression has not been investigated in feline meningioma. The aim of this study was to evaluate the extent of Ki-67 and osteopontin immunostaining of feline meningioma and to find possible associations with WHO (World Health Organization) grades and subtypes. Fifty-three feline meningioma samples were graded according to the human WHO classification and underwent immunohistochemical examination for Ki-67 and OPN. Fifty samples were classified as WHO grade I and three as WHO grade II. The mean Ki-67 ratio was 9.19 ± 9.47. Osteopontin expression was correspondingly high with a mean OPN IHC score of 150.17 (0–242.8), and a median Allred score of 7 (0–8). There was no significant correlation with Ki-67 index, osteopontin expression, WHO grades, or subtypes. The overall high expressions of osteopontin and Ki-67 may help explain the tendency for recurrence of feline meningioma. The human WHO grading system may not be sufficient to accurately estimate the clinical behavior of meningioma in this species. Full article
(This article belongs to the Special Issue Companion Animals’ Molecular Oncology)
Show Figures

Figure 1

19 pages, 5084 KB  
Article
Effect of Different Glucose Levels and Glycation on Meningioma Cell Migration and Invasion
by Philipp Selke, Christian Strauss, Rüdiger Horstkorte and Maximilian Scheer
Int. J. Mol. Sci. 2024, 25(18), 10075; https://doi.org/10.3390/ijms251810075 - 19 Sep 2024
Cited by 2 | Viewed by 2090
Abstract
Meningiomas are predominantly benign tumors, but there are also malignant forms that are associated with a poor prognosis. Like almost all tumors, meningiomas metabolize glucose as part of aerobic glycolysis (Warburg effect) for energy supply, so there are attempts to influence the prognosis [...] Read more.
Meningiomas are predominantly benign tumors, but there are also malignant forms that are associated with a poor prognosis. Like almost all tumors, meningiomas metabolize glucose as part of aerobic glycolysis (Warburg effect) for energy supply, so there are attempts to influence the prognosis of tumor diseases using a glucose-reduced diet. This altered metabolism leads to so called hallmarks of cancer, such as glycation and glycosylation. In this study, we investigated the influence of low (3 mM), normal (5.5 mM) and high glucose (15 mM) on a malignant meningioma cell line (IOMM-Lee, WHO grade 3). In addition, the influence of methylglyoxal, a by-product of glycolysis and a precursor for glycation, was investigated. Impedance-based methods (ECIS and RTCA) were used to study migration and invasion, and immunoblotting was used to analyze the expression of proteins relevant to these processes, such as focal adhesion kinase (FAK), merlin or integrin ß1. We were able to show that low glucose reduced the invasive potential of the cells, which was associated with a reduced amount of sialic acid. Under high glucose, barrier function was impaired and adhesion decreased, which correlated with a decreased expression of FAK. Full article
Show Figures

Figure 1

16 pages, 1162 KB  
Systematic Review
Safety and Efficacy of Laser Interstitial Thermal Therapy as Upfront Therapy in Primary Glioblastoma and IDH-Mutant Astrocytoma: A Meta-Analysis
by Aryan Pandey, Anubhav Chandla, Mahlet Mekonnen, Gabrielle E. A. Hovis, Zoe E. Teton, Kunal S. Patel, Richard G. Everson, Madhuri Wadehra and Isaac Yang
Cancers 2024, 16(11), 2131; https://doi.org/10.3390/cancers16112131 - 3 Jun 2024
Cited by 7 | Viewed by 4980
Abstract
Although primary studies have reported the safety and efficacy of LITT as a primary treatment in glioma, they are limited by sample sizes and institutional variation in stereotactic parameters such as temperature and laser power. The current literature has yet to provide pooled [...] Read more.
Although primary studies have reported the safety and efficacy of LITT as a primary treatment in glioma, they are limited by sample sizes and institutional variation in stereotactic parameters such as temperature and laser power. The current literature has yet to provide pooled statistics on outcomes solely for primary brain tumors according to the 2021 WHO Classification of Tumors of the Central Nervous System (WHO CNS5). In the present study, we identify recent articles on primary CNS neoplasms treated with LITT without prior intervention, focusing on relationships with molecular profile, PFS, and OS. This meta-analysis includes the extraction of data from primary sources across four databases using the Covidence systematic review manager. The pooled data suggest LITT may be a safe primary management option with tumor ablation rates of 94.8% and 84.6% in IDH-wildtype glioblastoma multiforme (GBM) and IDH-mutant astrocytoma, respectively. For IDH-wildtype GBM, the pooled PFS and OS were 5.0 and 9.0 months, respectively. Similar to rates reported in the prior literature, the neurologic and non-neurologic complication rates for IDH-wildtype GBM were 10.3% and 4.8%, respectively. The neurologic and non-neurologic complication rates were somewhat higher in the IDH-mutant astrocytoma cohort at 33% and 8.3%, likely due to a smaller cohort size. Full article
(This article belongs to the Special Issue The Recent Updates in Primary CNS Tumors)
Show Figures

Graphical abstract

13 pages, 793 KB  
Article
Regional Variability in Survival for Patients Diagnosed with Selected Central Nervous System Tumours in Canada
by Yifan Wu, Emily V. Walker and Yan Yuan
Curr. Oncol. 2024, 31(6), 3073-3085; https://doi.org/10.3390/curroncol31060234 - 29 May 2024
Cited by 2 | Viewed by 1914
Abstract
Canada’s decentralized healthcare system may lead to regional disparities in survival among Canadians diagnosed with central nervous system (CNS) tumours. We identified 50,670 patients diagnosed with a first-ever primary CNS tumour between 2008 and 2017 with follow-up until 31 December 2017. We selected [...] Read more.
Canada’s decentralized healthcare system may lead to regional disparities in survival among Canadians diagnosed with central nervous system (CNS) tumours. We identified 50,670 patients diagnosed with a first-ever primary CNS tumour between 2008 and 2017 with follow-up until 31 December 2017. We selected the four highest incidence histologies and used proportional hazard regression to estimate hazard ratios (HRs) for five regions (British Columbia, Prairie Provinces, Ontario, Atlantic Provinces and the Territories), adjusting for sex, tumour behaviour and patient age. Ontario had the best survival profile for all histologies investigated. The Atlantic Provinces had the highest HR for glioblastoma (HR = 1.26, 95% CI: 1.18–1.35) and malignant glioma not otherwise specified (NOS) (Overall: HR = 1.87, 95% CI:1.43–2.43; Pediatric population: HR = 2.86, 95% CI: 1.28–6.39). For meningioma, the Territories had the highest HR (HR = 2.44, 95% CI: 1.09–5.45) followed by the Prairie Provinces (HR = 1.52, 95% CI: 1.38–1.67). For malignant unclassified tumours, the highest HRs were in British Columbia (HR = 1.45, 95% CI: 1.22–1.71) and the Atlantic Provinces (HR = 1.40, 95% CI: 1.13–1.74). There are regional differences in the survival of CNS patients at the population level for all four specific histological types of CNS tumours investigated. Factors contributing to these observed regional survival differences are unknown and warrant further investigation. Full article
Show Figures

Figure 1

Back to TopTop