Sign in to use this feature.

Years

Between: -

Subjects

remove_circle_outline
remove_circle_outline
remove_circle_outline
remove_circle_outline
remove_circle_outline
remove_circle_outline
remove_circle_outline

Journals

Article Types

Countries / Regions

Search Results (43)

Search Parameters:
Keywords = lumbar facet joint

Order results
Result details
Results per page
Select all
Export citation of selected articles as:
9 pages, 743 KB  
Case Report
A Rare Case of Disseminated Nocardia transvalensis in an Immunocompetent Host
by Branavan Ragunanthan, Kevin Wunderly, James Kleshinski and Caitlyn Hollingshead
Infect. Dis. Rep. 2025, 17(6), 140; https://doi.org/10.3390/idr17060140 - 12 Nov 2025
Abstract
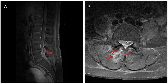
Background: Nocardia are a group of bacteria known to cause pulmonary, cutaneous, neurologic, or disseminated diseases, usually in immunocompromised hosts. Within the Nocardia family is Nocardia transvalensis, a rarely encountered and underreported organism in the clinical literature. Case: Here, we [...] Read more.
Background: Nocardia are a group of bacteria known to cause pulmonary, cutaneous, neurologic, or disseminated diseases, usually in immunocompromised hosts. Within the Nocardia family is Nocardia transvalensis, a rarely encountered and underreported organism in the clinical literature. Case: Here, we report the case of an immunocompetent patient presenting with lumbar pain diagnosed and treated for disseminated Nocardia transvalensis infection. Our patient underwent magnetic resonance imaging (MRI), demonstrating possible abscess and subtle osteomyelitis of the L3-L4 facet joint and transverse process; a subsequent biopsy and culture resulted in Nocardia transvalensis. Further imaging with a computed tomography (CT) scan of the head revealed a 9 mm enhancing supratentorial lesion. The patient was treated with empiric antibiotics, but this was narrowed to levofloxacin, linezolid, and trimethoprim-sulfamethoxazole after antibiotic sensitivities cropped up. Conclusions: Within this case, we extensively discuss the clinical pathogenesis of Nocardia transvalensis in an unusual host, the diagnostic approach to confirming active Nocardia infection, and the susceptibility patterns in a relatively unstudied organism. Full article
(This article belongs to the Section Bacterial Diseases)
Show Figures

Figure 1

8 pages, 991 KB  
Case Report
A Case of Lumbar Spinal Epidural Abscess and Facet Joint Septic Arthritis Caused by Haemophilus influenzae in an Immunocompetent Host
by Yu-Mi Lee
J. Clin. Med. 2025, 14(22), 8006; https://doi.org/10.3390/jcm14228006 - 11 Nov 2025
Abstract
Background: Haemophilus influenzae rarely causes spinal epidural abscess or septic arthritis of the facet joints. We report a case of lumbar spinal epidural abscess and facet joint septic arthritis caused by H. influenzae in an immunocompetent host. Methods: A 53-year-old female [...] Read more.
Background: Haemophilus influenzae rarely causes spinal epidural abscess or septic arthritis of the facet joints. We report a case of lumbar spinal epidural abscess and facet joint septic arthritis caused by H. influenzae in an immunocompetent host. Methods: A 53-year-old female patient with lumbar spine disc herniation presented with lower back pain 5 days before admission. Results: The patient was diagnosed with an epidural abscess at the right posterolateral aspect of the lumbar spine at the L4-5 level, as well as facet joint septic arthritis at the right L4-L5 and L5-S1 levels. The patient had no neurological deficit. On the 2nd day of hospitalization, the patient underwent decompressive laminotomy and posterior instrumentation. H. influenzae was identified in the blood cultures. She was prescribed intravenous ceftriaxone for 11 days until discharge and levofloxacin for 76 days after discharge. The patient recovered without neurological sequelae. Conclusions: This case represents the first report of septic arthritis of the facet joint and indicates that H. influenzae is a rare pathogen of spinal infection but can lead to a spinal epidural abscess, irrespective of the host’s immune status. Full article
(This article belongs to the Section Infectious Diseases)
Show Figures

Figure 1

16 pages, 962 KB  
Article
Comparative Outcomes and Safety of Radiofrequency Ablation and Cryoablation for Lumbar Facet Joint Degeneration: A Single-Center Retrospective Cohort Study with 24-Month Follow-Up
by Ahmet Yilmaz and Cagatay Kucukbingoz
J. Clin. Med. 2025, 14(20), 7408; https://doi.org/10.3390/jcm14207408 - 20 Oct 2025
Viewed by 685
Abstract
Background: Lumbar facet joint degeneration is a common source of chronic low back pain. Radiofrequency (RF) ablation is widely used, whereas cryoablation (CA) remains less extensively investigated. Evidence directly comparing the long-term outcomes of these two modalities is scarce, particularly beyond 12 months. [...] Read more.
Background: Lumbar facet joint degeneration is a common source of chronic low back pain. Radiofrequency (RF) ablation is widely used, whereas cryoablation (CA) remains less extensively investigated. Evidence directly comparing the long-term outcomes of these two modalities is scarce, particularly beyond 12 months. Methods: This single-center retrospective cohort study analyzed patients with lumbar facet joint degeneration who underwent RF (n = 97) or CA (n = 83). Clinical data were retrieved from institutional records. Pain intensity (VAS), functional outcomes (ODI and RMDQ), and quality-of-life measures (EQ-5D and SF-36) were assessed at baseline and at 1, 3, 6, 12, 18, and 24 months. The primary outcome was change in ODI; secondary outcomes included VAS, RMDQ, quality of life, and complications. Clinically meaningful improvement was defined according to Minimal Clinically Important Difference (MCID) and Patient Acceptable Symptom State (PASS) thresholds. Results: Both RF and CA significantly improved pain and function compared with baseline. RF demonstrated superior reductions in ODI and VAS at 12 and 18 months (p < 0.05); however, by 24 months, treatment effects had diminished, and no significant differences remained (p > 0.05). Quality-of-life improvements plateaued after 18 months in both groups. Minor complications occurred in 9.3% of RF cases and 6.0% of CA cases; no major adverse events were observed. Conclusions: RF provided earlier and more pronounced benefits in pain and function up to 18 months, whereas both RF and CA showed reduced but comparable effectiveness at 24 months. These findings support RF as a preferred interventional option for robust short- to mid-term outcomes, with CA serving as a safe long-term alternative. However, the single-center retrospective design and potential observer bias limit generalizability. Future multicenter prospective studies are warranted. Full article
(This article belongs to the Section Anesthesiology)
Show Figures

Figure 1

13 pages, 2007 KB  
Article
A Comparative Study of the No-Punch Technique in Reducing Surgical Complications Associated with Unilateral Biportal Endoscopic Spine Surgery
by Jwo-Luen Pao and Chun-Chien Chang
J. Clin. Med. 2025, 14(20), 7295; https://doi.org/10.3390/jcm14207295 - 16 Oct 2025
Viewed by 494
Abstract
Background/Objectives: Unilateral biportal endoscopic spine surgery (UBE) has gained popularity due to its minimal invasiveness, endoscopic magnification, bloodless visual field, and broad application to various spinal disorders. We proposed the “no-punch” technique for UBE spine surgery, emphasizing its capability to prevent neural [...] Read more.
Background/Objectives: Unilateral biportal endoscopic spine surgery (UBE) has gained popularity due to its minimal invasiveness, endoscopic magnification, bloodless visual field, and broad application to various spinal disorders. We proposed the “no-punch” technique for UBE spine surgery, emphasizing its capability to prevent neural injury and preserve facet joints. This study aims to examine its efficacy in reducing the risk of incidental durotomy through a comparative study. Methods: A total of 914 consecutive patients with various degenerative spine disorders who underwent UBE surgery between October 2018 and July 2023 by a single surgeon in a single institute were included. The Punch Group consisted of 660 patients (830 segments) who underwent UBE surgeries using Kerrison punches. The No-Punch Group included 254 patients (330 segments) who underwent UBE surgeries without using Kerrison punches. We retrospectively reviewed the medical records and operative videos to identify surgical complications, their management, and final treatment outcomes. Results: Sixty-three surgical complications (58 in the Punch Group), including incidental dural tears, nerve root injuries, incomplete decompression, epidural hematoma, and broken instruments, were identified. The No-Punch Group exhibited a significantly lower overall complication rate (8.8% vs. 2.0%), along with a reduced incidence of dural tears (3.9% vs. 0) and neural injuries (5.3% vs. 0.4%). The improvement was particularly notable in lumbar decompression surgeries (5.0% vs. 0.8%) and revision surgeries (9.9% vs. 0%). Conclusions: The “no-punch” technique enhances the safety of UBE surgery for degenerative spine disorders by understanding the injury mechanisms and modifying the surgical techniques accordingly. Full article
Show Figures

Figure 1

33 pages, 1511 KB  
Systematic Review
Prolotherapy as a Regenerative Treatment in the Management of Chronic Low Back Pain: A Systematic Review
by Stelian-Ilie Mociu, Andreea-Dalila Nedelcu, Andreea-Alexandra Lupu, Andreea-Bianca Uzun, Dan-Marcel Iliescu, Elena-Valentina Ionescu and Madalina-Gabriela Iliescu
Medicina 2025, 61(9), 1588; https://doi.org/10.3390/medicina61091588 - 2 Sep 2025
Viewed by 2529
Abstract
Background: Chronic low back pain markedly impairs quality of life and imposes a significant economic burden on public health. The complex pathophysiology of chronic low back pain arises from the complex anatomical configuration of the lumbar region, which includes a diverse array [...] Read more.
Background: Chronic low back pain markedly impairs quality of life and imposes a significant economic burden on public health. The complex pathophysiology of chronic low back pain arises from the complex anatomical configuration of the lumbar region, which includes a diverse array of structures. Consequently, etiologies may involve intervertebral disc degeneration, facet joint osteoarthritis, spinal stenosis, spondylosis, and spondylolisthesis. Therapeutic interventions for chronic low back pain are equally varied, ranging from pharmacological treatments to physiotherapy, kinetotherapy, balneotherapy, and image-guided local injectable procedures such as prolotherapy. Prolotherapy is a regenerative injection technique designed to stimulate the body’s healing processes by applying a regenerative treatment (typically dextrose), which aims to modulate neurogenic inflammation and diminish nociceptive signaling. Methods: A systematic review of the literature was performed in alignment with the PRISMA guidelines (Preferred Reporting Items for Systematic Reviews and Meta-Analyses). Studies published within the last ten years evaluating the effects of prolotherapy on pain reduction in individuals with chronic low back pain were included, following a search across six databases. Results: The review revealed several studies evaluating the influence of prolotherapy on pain in chronic low back pain patients. Findings were heterogeneous, with some studies indicating significant pain reduction and others showing minimal or no improvement. Conclusions: The current evidence regarding the efficacy of prolotherapy for pain relief in chronic low back pain remains inconclusive, highlighting the necessity for further in-depth research. Continued and updated investigations into prolotherapy’s role are imperative for enhancing the quality of life of affected patients. Full article
Show Figures

Figure 1

13 pages, 7025 KB  
Article
Bilateral–Contralateral Endoscopic Decompression as a Fusion-Deferral Strategy in Upper Lumbar Stenosis: A Structural Rationale and Conditional Framework—A Technical Note with Cases Review
by Dong Hyun Lee, Sang Yeop Han, Seung Young Jeong and Il-Tae Jang
J. Clin. Med. 2025, 14(16), 5726; https://doi.org/10.3390/jcm14165726 - 13 Aug 2025
Viewed by 1082
Abstract
Background/Objectives: Upper lumbar spinal stenosis presents unique challenges because vertically oriented facet joints and narrow laminae increase the risk of iatrogenic instability following decompression. Traditional decompression techniques may damage the facet joints, potentially resulting in further instability and degeneration. This study introduces a [...] Read more.
Background/Objectives: Upper lumbar spinal stenosis presents unique challenges because vertically oriented facet joints and narrow laminae increase the risk of iatrogenic instability following decompression. Traditional decompression techniques may damage the facet joints, potentially resulting in further instability and degeneration. This study introduces a novel, facet-preserving bilateral–contralateral decompression strategy using unilateral biportal endoscopy (UBE) for upper lumbar stenosis, aiming to defer unnecessary spinal fusion. Methods: This retrospective series of three cases involved patients with upper lumbar stenosis characterized by vertically oriented facets (>60°) and narrow laminae, including cases of adjacent segment stenosis (ASS) and stenosis with grade 1 spondylolisthesis. Patients were selected using the authors’ facet angle–based criteria (>60°) and laminar morphology to identify anatomically vulnerable segments. All patients exhibited vertical facet orientation and narrow laminae, without significant dynamic instability or severe foraminal compromise. Bilateral–contralateral decompression was performed using biportal endoscopy to preserve facet integrity and defer fusion where feasible. Results: This series demonstrated that bilateral–contralateral decompression provided effective neural decompression and symptom relief while preserving facet structures in the upper lumbar spine characterized by vertical facets and narrow laminae. No progression to instability or requirement for additional fusion was observed during the 6-month follow-up, even among patients with ASS and grade 1 spondylolisthesis. Conclusions: The authors propose that bilateral–contralateral decompression may serve as a facet-preserving and fusion-deferral strategy for upper lumbar stenosis with vertically oriented facets and narrow laminae. This approach is particularly applicable in cases such as ASS and spinal stenosis with grade 1 spondylolisthesis, where preserving structural reserve is critical. These preliminary findings highlight the need for prospective validation through carefully designed observational studies and larger case series. Full article
(This article belongs to the Special Issue Advances in Spine Surgery: Best Practices and Future Directions)
Show Figures

Figure 1

18 pages, 804 KB  
Review
The Future of Motion Preservation and Arthroplasty in the Degenerative Lumbar Spine
by Michael S. Pheasant, Matthew W. Parry, Mina Girgis, Alex Tang and Tan Chen
J. Clin. Med. 2025, 14(10), 3337; https://doi.org/10.3390/jcm14103337 - 11 May 2025
Viewed by 2669
Abstract
The lumbar degenerative cascade is a pathological process that affects most of the aging adult population and has significant negative economic consequences. Lumbar fusion surgery remains a mainstay of treatment for refractory degenerative disease but carries significant long-term consequences. More recently, lumbar arthroplasty [...] Read more.
The lumbar degenerative cascade is a pathological process that affects most of the aging adult population and has significant negative economic consequences. Lumbar fusion surgery remains a mainstay of treatment for refractory degenerative disease but carries significant long-term consequences. More recently, lumbar arthroplasty and motion-sparing technology has become an increasingly popular alternative surgical option in carefully indicated patients. Arthroplasty technology carries the theoretical benefits of spinal segment motion preservation and decreased degeneration of adjacent segments as compared to traditional fusion procedures. This article will review the lumbar degenerative cascade and its related anatomic considerations, current management strategies and the challenges surrounding lumbar spinal fusion, including adjacent segment disease. This article will also review the theoretical benefits of lumbar arthroplasty and motion preservation. Furthermore, this paper will highlight the current state of lumbar arthroplasty, including current concepts of implant design, limitations, outcomes and ongoing development. It will review the development and current state of artificial disk arthroplasty, total joint arthroplasty and posterior column motion-preserving implants, including flexible rods and facet joint replacement. Full article
(This article belongs to the Special Issue Current Progress and Future Directions of Spine Surgery)
Show Figures

Figure 1

14 pages, 1629 KB  
Review
Focused Ultrasounds in the Rehabilitation Setting: A Narrative Review
by Carmelo Pirri, Nicola Manocchio, Daniele Polisano, Andrea Sorbino and Calogero Foti
Appl. Sci. 2025, 15(9), 4743; https://doi.org/10.3390/app15094743 - 24 Apr 2025
Viewed by 1813
Abstract
Focused ultrasound (FUS) is an emerging noninvasive technology with significant therapeutic potential across various clinical domains. FUS enables precise targeting of tissues using mechanisms like thermoablation, mechanical disruption, and neuromodulation, minimizing damage to surrounding areas. In movement disorders such as essential tremor and [...] Read more.
Focused ultrasound (FUS) is an emerging noninvasive technology with significant therapeutic potential across various clinical domains. FUS enables precise targeting of tissues using mechanisms like thermoablation, mechanical disruption, and neuromodulation, minimizing damage to surrounding areas. In movement disorders such as essential tremor and Parkinson’s disease, MR-guided FUS thalamotomy has demonstrated substantial tremor reduction and improved quality of life. Psychiatric applications include anterior capsulotomy for treatment-resistant obsessive-compulsive disorder and major depressive disorder, with promising symptom relief and minimal cognitive side effects. FUS also facilitates blood-brain barrier opening for drug delivery in neurological conditions like Alzheimer’s disease. Musculoskeletal applications highlight its efficacy in managing chronic pain from knee osteoarthritis and lumbar facet joint syndrome through precise thermal ablation. Additionally, FUS has shown potential in neuropathic pain management and peripheral nerve stimulation, offering innovative approaches for amputees and cancer survivors. Cognitive and neuromodulatory research underscores its ability to enhance motor function and interhemispheric cortical balance, benefiting stroke and traumatic brain injury rehabilitation. Despite these conditions frequently leading to various kinds of disabilities, no direct exploration of the possible FUS application in rehabilitation is yet available in the literature. All this considered, this review aims to discuss how FUS could be applied in rehabilitation, exploring the current status of knowledge and highlighting future directions. Full article
Show Figures

Figure 1

19 pages, 1849 KB  
Article
Trace Element Concentrations in Degenerative Lumbar Spine Tissues: Insights into Oxidative Stress
by Mikołaj Dąbrowski, Wojciech Łabędź, Łukasz Kubaszewski, Marta K. Walczak, Anetta Zioła-Frankowska and Marcin Frankowski
Antioxidants 2025, 14(4), 485; https://doi.org/10.3390/antiox14040485 - 17 Apr 2025
Cited by 2 | Viewed by 752
Abstract
Degenerative changes are characterized by the formation of vertebral osteophytes, the hypertrophy of facet joints, and narrowing of the intervertebral space. This study aimed to investigate the concentrations of trace elements (Al, As, Se, Zn, Fe, Mo, Cu) in spinal tissues (intervertebral discs, [...] Read more.
Degenerative changes are characterized by the formation of vertebral osteophytes, the hypertrophy of facet joints, and narrowing of the intervertebral space. This study aimed to investigate the concentrations of trace elements (Al, As, Se, Zn, Fe, Mo, Cu) in spinal tissues (intervertebral discs, muscle, and bone) of patients with degenerative lumbar spine disease (DLSD) and their potential associations with the disease. The research involved 13 patients undergoing surgery for symptomatic degenerative spine disease. The trace element concentrations were analyzed using chemical and radiographic assessments, with a statistical analysis performed through a Mann–Whitney U-test, Spearman’s rank correlation test, principal component analysis (PCA), and canonical discriminant analysis (CDA). The results showed significant variations and correlations among the trace elements across different spinal tissues, suggesting their roles in metabolic and oxidative processes and the pathology of spinal degeneration. Full article
(This article belongs to the Section Health Outcomes of Antioxidants and Oxidative Stress)
Show Figures

Figure 1

13 pages, 2272 KB  
Article
Biportal Endoscopic Decompression with Maximized Facet Joint Preservation for Central to Extraforaminal Lumbar Stenosis
by Sub-Ri Park, Sung-Ryul Choi, Nam-Hoo Kim, Hak-Sun Kim, Ji-Won Kwon, Kyung-Soo Suk, Seong-Hwan Moon, Si-Young Park, Jae-Won Shin, Byung-Ho Lee and Jin-Oh Park
J. Clin. Med. 2025, 14(8), 2725; https://doi.org/10.3390/jcm14082725 - 15 Apr 2025
Cited by 1 | Viewed by 904
Abstract
Background/Objectives: This is a retrospective study. We aimed to identify an optimal biportal endoscopic spine surgery (BESS) technique that maximizes facet joint preservation while achieving sufficient decompression for central to extraforaminal lumbar stenosis across all spinal levels. Methods: We retrospectively analyzed the data [...] Read more.
Background/Objectives: This is a retrospective study. We aimed to identify an optimal biportal endoscopic spine surgery (BESS) technique that maximizes facet joint preservation while achieving sufficient decompression for central to extraforaminal lumbar stenosis across all spinal levels. Methods: We retrospectively analyzed the data of 46 patients who underwent surgery and assessed clinical outcomes (visual analogue scale scores for pain; pregabalin usage) and radiological changes (using computed tomography/magnetic resonance imaging) in the spinal canal; intervertebral foramen area expansion; facet joint preservation; and degenerative change. Results: Using interlaminar and transforaminal approaches (two-way BESS decompression technique), the mean facet joint volume preservation ratio was 87%, and the mean facet joint length maintenance ratio was 90%, indicating a successful anatomical preservation compared with previous studies. Radiological outcomes revealed effective decompression (178% in the spinal canal; 245% in intervertebral foramen expansion). Additionally, all clinical outcome parameters significantly improved (p < 0.001). Conclusions: To the best of our knowledge, this study is the first to accurately estimate the degree of facet joint preservation using different methods after endoscopic surgery. The two-way BESS decompression technique maximized facet joint preservation with sufficient decompression and clinically improved central to extraforaminal stenosis across all lumbar levels. Therefore, this technique can sufficiently preserve facet joints to prevent rapid degenerative change after surgery. Full article
(This article belongs to the Section Orthopedics)
Show Figures

Figure 1

10 pages, 2073 KB  
Article
In Vitro Biomechanical Experiment on the Effect of Unilateral Partial Facetectomy Performed by Percutaneous Endoscopy on the Stability of Lumbar Spine
by Tao Ma, Xiaoshuang Tu, Junyang Li, Jingwei Wu and Luming Nong
Bioengineering 2025, 12(4), 414; https://doi.org/10.3390/bioengineering12040414 - 14 Apr 2025
Cited by 2 | Viewed by 771
Abstract
Objectives: This study’s purpose is to investigate the lumbar biomechanical effects of unilateral partial facetectomy (UPF) of different facet joint (FJ) portions under percutaneous endoscopy. Methods: Forty fresh calf spine models were used to simulate UPF under a physiological load performed through three [...] Read more.
Objectives: This study’s purpose is to investigate the lumbar biomechanical effects of unilateral partial facetectomy (UPF) of different facet joint (FJ) portions under percutaneous endoscopy. Methods: Forty fresh calf spine models were used to simulate UPF under a physiological load performed through three commonly used needle insertion points (IPs): (1) The apex of the superior FJ (as the first IP); (2) The midpoint of the ventral side of the superior FJ (as the second IP); (3) The lowest point of the ventral side of the superior FJ (as the third IP). The range of motion (ROM) and the L4/5 intradiscal maximum pressure (IMP) were measured and analyzed under a physiological load in all models during flexion, extension, left–right lateral flexion, and left–right axial rotation. Results: When UPF was performed through the second IP, the ROM of the lumbar spine and the L4/5 IMP in the calf spine models were not statistically different from the intact calf spine model. Conclusions: UPF through the second IP resulted in a minimal impact on the biomechanics of the lumbar spine. Thus, it might be considered the most appropriate IP for UPF. Full article
(This article belongs to the Special Issue Biomechanics and Motion Analysis)
Show Figures

Figure 1

14 pages, 3740 KB  
Article
A Biomechanical Evaluation of a Novel Interspinous Process Device: In Vitro Flexibility Assessment and Finite Element Analysis
by Hangkai Shen, Chuanguang Ju, Tao Gao, Jia Zhu and Weiqiang Liu
Bioengineering 2025, 12(4), 384; https://doi.org/10.3390/bioengineering12040384 - 3 Apr 2025
Cited by 1 | Viewed by 1237
Abstract
The interspinous process device (IPD) has emerged as a viable alternative for managing lumbar degenerative pathologies. Nevertheless, limited research exists regarding mechanical failure modes including device failure and spinous process fracture. This study developed a novel IPD (IPD-NEW) and systematically evaluated its biomechanical [...] Read more.
The interspinous process device (IPD) has emerged as a viable alternative for managing lumbar degenerative pathologies. Nevertheless, limited research exists regarding mechanical failure modes including device failure and spinous process fracture. This study developed a novel IPD (IPD-NEW) and systematically evaluated its biomechanical characteristics through finite element (FE) analysis and in vitro cadaveric biomechanical testing. Six human L1–L5 lumbar specimens were subjected to mechanical testing under four experimental conditions: (1) Intact spine (control); (2) L3–L4 implanted with IPD-NEW; (3) L3–L4 implanted with Wallis device; (4) L3–L4 implanted with Coflex device. Segmental range of motion (ROM) was quantified across all test conditions. A validated L1–L5 finite element model was subsequently employed to assess biomechanical responses under both static and vertical vibration loading regimes. Comparative analysis revealed that IPD-NEW demonstrated comparable segmental ROM to the Wallis device while exhibiting lower rigidity than the Coflex implant. The novel design effectively preserved physiological spinal mobility while enhancing load distribution capacity. IPD-NEW demonstrated notable reductions in facet joint forces, device stress concentrations, and spinous process loading compared to conventional implants, particularly under vibrational loading conditions. These findings suggest that IPD-NEW may mitigate risks associated with facetogenic pain, device failure, and spinous process fracture through optimized load redistribution. Full article
(This article belongs to the Special Issue Joint Biomechanics and Implant Design)
Show Figures

Graphical abstract

19 pages, 2153 KB  
Review
Lumbar Facet Joint Disease: What, Why, and When?
by Wout Van Oosterwyck, Pieter Vander Cruyssen, Frédéric Castille, Erik Van de Kelft and Veronique Decaigny
Life 2024, 14(11), 1480; https://doi.org/10.3390/life14111480 - 14 Nov 2024
Cited by 4 | Viewed by 8455
Abstract
Low back pain (LBP) affects over 60% of individuals in their lifetime and is a leading cause of disability and increased healthcare expenditure. Facet joint pain (FJP) occurs in 27% to 40% of LBP patients but is often overlooked or misdiagnosed. Additionally, there [...] Read more.
Low back pain (LBP) affects over 60% of individuals in their lifetime and is a leading cause of disability and increased healthcare expenditure. Facet joint pain (FJP) occurs in 27% to 40% of LBP patients but is often overlooked or misdiagnosed. Additionally, there is no clear correlation between the clinical examination, radiological findings, and clinical presentation, complicating the diagnosis and treatment of FJP. This narrative review aims to provide an overview of the literature regarding facet joint pain and discusses the utility of medial branch blocks (MBBs) and intra-articular (IA) injections as diagnostic and therapeutic tools prior to radiofrequency ablation (RFA). RFA is considered the gold standard for managing FJP, employing techniques that include precise needle placement and stimulation parameters to disrupt pain signals. Promising alternatives such as cooled RFA and cryodenervation require further research on their long-term efficacy and safety. Endoscopic denervation and multifidus stimulation are emerging therapies that may benefit chronic LBP patients, but additional research is needed to establish their effectiveness. When conservative management fails, RFA provides significant and lasting relief in well-selected patients and has a favourable safety profile. The current literature does not support surgical interventions for FJP management. Full article
(This article belongs to the Section Medical Research)
Show Figures

Figure 1

27 pages, 1617 KB  
Review
Chronic Low Back Pain: History, Symptoms, Pain Mechanisms, and Treatment
by Tyler Farley, Jesse Stokke, Kush Goyal and Russell DeMicco
Life 2024, 14(7), 812; https://doi.org/10.3390/life14070812 - 27 Jun 2024
Cited by 18 | Viewed by 26634
Abstract
Chronic low back pain (cLBP) is the most frequently reported cause of years lived with disability. Identifying the anatomical structures or dysfunction contributing to patients’ symptoms is critical to guiding treatment. The etiology of back pain and differential diagnosis is often broad, ranging [...] Read more.
Chronic low back pain (cLBP) is the most frequently reported cause of years lived with disability. Identifying the anatomical structures or dysfunction contributing to patients’ symptoms is critical to guiding treatment. The etiology of back pain and differential diagnosis is often broad, ranging from non-degenerative cLBP (trauma, tumor, inflammation, infection, etc.) to degenerative (also described as nonspecific) cLBP. After eliminating suspicion for more insidious causes of cLBP, a thorough investigation can be conducted in an attempt to identify a source of degenerative cLBP. Degenerative cLBP can originate from many sources, and a detailed understanding of the structures potentially involved is invaluable for an accurate diagnosis. This review article aims to provide a broad overview of the utility of clinical history, physical exam findings, imaging findings, and diagnostic procedures in identifying the cause of patients’ cLBP. We provide a framework to help guide clinicians by dividing the structures into groups as follows: anterior vertebral column, posterior vertebral column, and extra-vertebral pain. For each condition listed, we touch on the treatment options that can be considered. Full article
(This article belongs to the Special Issue Chronic Low Back Pain: Symptoms, Pain Mechanisms and Treatment)
Show Figures

Figure 1

9 pages, 761 KB  
Article
Percutaneous Epidural Neuroplasty for Symptomatic Lumbar Juxtafacet Cysts
by Juneyoung Heo, Hyung-Ki Park, Ji-Hoon Baek, Hye-Sun Ahn and Su-Chan Lee
Medicina 2024, 60(7), 1042; https://doi.org/10.3390/medicina60071042 - 25 Jun 2024
Viewed by 2362
Abstract
Background and Objectives: The term “Juxtafacet cyst” refers to both synovial cysts and ganglion pseudocysts associated with the lumbar facet joint. As conservative treatment for the juxtafacet cyst has a minimal effect, complete excision through surgery is considered the first choice of treatment. [...] Read more.
Background and Objectives: The term “Juxtafacet cyst” refers to both synovial cysts and ganglion pseudocysts associated with the lumbar facet joint. As conservative treatment for the juxtafacet cyst has a minimal effect, complete excision through surgery is considered the first choice of treatment. In this study, we retrospectively reviewed the clinical outcomes of percutaneous epidural neuroplasty for symptomatic lumbar juxtafacet cysts. Materials and Methods: We conducted a retrospective review of 34 patients with symptomatic juxtafacet cysts who visited a single institute from January 2010 to September 2023. Patients who received conservative treatment for at least 6 weeks but experienced no or insufficient effects were eligible for this study. After neuroplasty, a medical history check and neurological examination were performed during follow-up at 2 weeks, 1 month, 2 months, 3 months, 6 months, and once a year thereafter. Results: The pain improved for all patients to a VAS score of 3 or less immediately after neuroplasty; however, four of those patients (11%) had pain that worsened eventually to the same level as before the procedure and required surgery. The results showed that, regardless of cyst size, in cases with severe stenosis of the spinal canal, the outcome of neuroplasty was poor and often eventually required surgery. The cyst size was not associated with the procedure results. In addition, if the cyst was present at the L4–L5 level, or if diabetes mellitus was present, the likelihood of future surgery was significant (p-value = 0.003). Conclusions: Percutaneous neuroplasty showed a better success rate than other non-surgical treatments. In addition, severe spinal stenosis (Schizas grade C or higher), L4–L5 level, or diabetes mellitus produced a high possibility of surgery due to recurrence. Full article
(This article belongs to the Section Surgery)
Show Figures

Figure 1

Back to TopTop