Sign in to use this feature.

Years

Between: -

Subjects

remove_circle_outline
remove_circle_outline
remove_circle_outline
remove_circle_outline
remove_circle_outline

Journals

Article Types

Countries / Regions

Search Results (4)

Search Parameters:
Keywords = immunologic and hallmark gene sets

Order results
Result details
Results per page
Select all
Export citation of selected articles as:
18 pages, 5705 KB  
Article
A Ribosome-Related Prognostic Signature of Breast Cancer Subtypes Based on Changes in Breast Cancer Patients’ Immunological Activity
by Tiankuo Luan, Daqiang Song, Jiazhou Liu, Yuxian Wei, Rui Feng, Xiaoyu Wang, Lin Gan, Jingyuan Wan, Huiying Fang, Hongzhong Li and Xia Gong
Medicina 2023, 59(3), 424; https://doi.org/10.3390/medicina59030424 - 21 Feb 2023
Cited by 3 | Viewed by 2817
Abstract
Background and Objectives. The prognostic role of adjacent nontumor tissue in patients with breast cancer (BC) is still unclear. The activity changes in immunologic and hallmark gene sets in normal tissues adjacent to BC may play a crucial role in predicting the [...] Read more.
Background and Objectives. The prognostic role of adjacent nontumor tissue in patients with breast cancer (BC) is still unclear. The activity changes in immunologic and hallmark gene sets in normal tissues adjacent to BC may play a crucial role in predicting the prognosis of BC patients. The aim of this study was to identify BC subtypes and ribosome-associated prognostic genes based on activity changes of immunologic and hallmark gene sets in tumor and adjacent nontumor tissues to improve patient prognosis. Materials and Methods. Gene set variation analysis (GSVA) was applied to assess immunoreactivity changes in the overall sample and three immune-related BC subtypes were identified by non-negative matrix factorization (NMF). KEGG (Kyoto Encyclopedia of Genes and Genomes) and GO (Gene Ontology) analyses were after determining the prognostic gene set using the least absolute shrinkage and selection operator (LASSO) method. Ribosome-related genes were identified by PPI (protein-protein interaction) analysis, and finally a prognostic risk model was constructed based on the expression of five ribosomal genes (RPS18, RPL11, PRLP1, RPL27A, and RPL38). Results. A comprehensive analysis of immune and marker genomic activity changes in normal breast tissue and BC tissue identified three immune-related BC subtypes. BC subtype 1 has the best prognosis, and subtype 3 has the worst overall survival rate. We identified a prognostic gene set in nontumor tissue by the least absolute shrinkage and selection operator (LASSO) method. We found that the results of both KEGG and GO analyses were indistinguishable from those of ribosome-associated genes. Finally, we determined that genes associated with ribosomes exhibit potential as a reliable predictor of overall survival in breast cancer patients. Conclusions. Our research provides an important guidance for the treatment of BC. After a mastectomy, the changes in gene set activity of both BC tissues and the nontumor tissues adjacent to it should be thoroughly evaluated, with special attention to changes in ribosome-related genes in the nontumor tissues. Full article
Show Figures

Figure 1

12 pages, 17919 KB  
Article
Dipeptidyl Peptidase-4 Inhibitor-Related Bullous Pemphigoid: Clinical, Laboratory, and Histological Features, and Possible Pathogenesis
by Chih-Tsung Hung, Yung-Lung Chang and Wei-Ming Wang
Int. J. Mol. Sci. 2022, 23(22), 14101; https://doi.org/10.3390/ijms232214101 - 15 Nov 2022
Cited by 8 | Viewed by 3037
Abstract
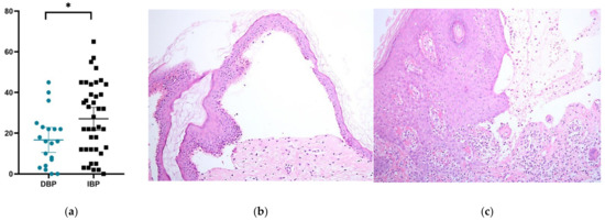
Dipeptidyl peptidase-4 inhibitor (DPP4i) is a widely used antidiabetic agent. Emerging cases of DPP4i-associated bullous pemphigoid (DBP), whose pathogenesis remains unclear, have been reported. Thus, a retrospective study was conducted from January 2016 to June 2021 to determine the clinical, laboratory, and histopathological [...] Read more.
Dipeptidyl peptidase-4 inhibitor (DPP4i) is a widely used antidiabetic agent. Emerging cases of DPP4i-associated bullous pemphigoid (DBP), whose pathogenesis remains unclear, have been reported. Thus, a retrospective study was conducted from January 2016 to June 2021 to determine the clinical, laboratory, and histopathological features of DBP and idiopathic bullous pemphigoid (IBP). We set up in vitro experiments using vildagliptin-treated HaCaT keratinocytes to validate what we found by analyzing published RNA sequencing data about the genes related to the dermal–epidermal junction. We also observed IL-6 expression by HaCaT cells treated with vildagliptin. We enrolled 20 patients with DBP and 40 patients with IBP. The total Bullous Pemphigoid Disease Area Index (BPDAI) score was similar in both groups. However, the BPDAI score of erosions and blisters in DBP was significantly higher than that in IBP (24.6 vs. 16.68, p = 0.0189), and the score for urticaria and erythema was lower in DBP (12 vs. 19.05, p = 0.0183). The pathological features showed that the mean infiltrating eosinophil number per high-power field was significantly lower in DBP than in IBP (16.7 vs. 27.08, p = 0.023). The expression of LAMA3, LAMB3, LAMC2, DST, and COL17A1 decreased significantly in vildagliptin-treated human keratinocytes. On the other hand, IL-6, the hallmark cytokine of bullous pemphigoid (BP) severity, was found to be upregulated in HaCaT cells by vildagliptin. These experimental findings imply less of a requirement for eosinophil infiltration to drive the inflammatory cascades in DBP blistering. Both immunologic and non-immunologic pathways could be employed for the development of DBP. Our findings may help explain the higher incidence of non-inflammatory BP that was observed in DBP. Full article
(This article belongs to the Section Molecular Pathology, Diagnostics, and Therapeutics)
Show Figures

Figure 1

14 pages, 1914 KB  
Article
Loss of MAGEC3 Expression Is Associated with Prognosis in Advanced Ovarian Cancers
by James Ellegate, Michalis Mastri, Emily Isenhart, John J. Krolewski, Gurkamal Chatta, Eric Kauffman, Melissa Moffitt and Kevin H. Eng
Cancers 2022, 14(3), 731; https://doi.org/10.3390/cancers14030731 - 30 Jan 2022
Cited by 3 | Viewed by 4425
Abstract
Rare variants in MAGEC3 are associated with BRCA negative, early-onset ovarian cancers. Given this association, we evaluated the impact of MAGEC3 protein expression on prognosis and transcription. We quantified normal and tumor protein expression of MAGEC3 via immunohistochemistry in n = 394 advanced [...] Read more.
Rare variants in MAGEC3 are associated with BRCA negative, early-onset ovarian cancers. Given this association, we evaluated the impact of MAGEC3 protein expression on prognosis and transcription. We quantified normal and tumor protein expression of MAGEC3 via immunohistochemistry in n = 394 advanced ovarian cancers, assessed the correlation of these values with clinicopathologic and immunological features and modeled survival using univariate and multivariate models. To extend these results, we quantified MAGEC3 protein expression in n = 180 cancers and used matching RNA sequencing data to determine MAGEC3-associated differentially expressed genes and to build an RNA-based model of MAGEC3 protein levels. This model was tested in a third independent cohort of patients from TCGA’s OV dataset (n = 282). MAGEC3 protein was sporadically lost in ovarian cancers, with half of the cases falling below the 9.5th percentile of normal tissue expression. Cases with MAGEC3 loss demonstrated better progression-free survival [HR = 0.71, p = 0.004], and analyses performed on predicted protein scores were consistent [HR = 0.57 p = 0.002]. MAGEC3 protein was correlated with CD8 protein expression [Pearson’s r = 0.176, p = 0.011], NY-ESO-1 seropositivity, and mRNA expression of tumor antigens at Xq28. Results of gene set enrichment analysis showed that genes associated with MAGEC3 protein expression cluster around G2/M checkpoint (NES = 3.20, FDR < 0.001) and DNA repair (NES = 2.28, FDR < 0.001) hallmark pathways. These results show that MAGEC3 is a prognostic biomarker in ovarian cancer. Full article
(This article belongs to the Special Issue Ovarian Cancer Biomarkers, Diagnostic and Therapeutic Technologies)
Show Figures

Figure 1

12 pages, 778 KB  
Article
Upregulation of CCL7, CCL20, CXCL2, IL-1β, IL-6 and MMP-9 in Skin Samples of PCB Exposed Individuals—A Preliminary Study
by Marike Leijs, Katharina Fietkau, Hans F. Merk, Thomas Schettgen, Thomas Kraus and André Esser
Int. J. Environ. Res. Public Health 2021, 18(18), 9711; https://doi.org/10.3390/ijerph18189711 - 15 Sep 2021
Cited by 3 | Viewed by 2992
Abstract
Polychlorinated biphenyls (PCBs) are well known immunotoxic and carcinogenic compounds. Although cutaneous symptoms are the hallmark of exposure to these compounds, exact pathophysiologic mechanisms are not well understood. We took skin biopsies from moderately high PCB exposed workers (n = 25) after [...] Read more.
Polychlorinated biphenyls (PCBs) are well known immunotoxic and carcinogenic compounds. Although cutaneous symptoms are the hallmark of exposure to these compounds, exact pathophysiologic mechanisms are not well understood. We took skin biopsies from moderately high PCB exposed workers (n = 25) after an informed consent and investigated the expression of immunological markers such as CCL-7, CCL-20, CXCL2, IL-1β and IL-6, as well as the matrix metalloproteinase MMP-9, EPGN and NRF2 by RT-qPCR, and compared expression levels with plasma PCB levels. Statistical analyses showed a significant correlation between CCL-20, CXCL2, IL-6, IL-1β, CCL-7 and MMP-9 and PCB serum levels. EPGN and NRF2 were not correlated to PCB levels in the blood. We found a significant correlation of genes involved in autoimmune, auto-inflammatory and carcinogenesis in skin samples of PCB exposed individuals with elevated plasma PCB levels. Confirmation of these findings needs to be performed in bigger study groups and larger gen-sets, including multiple housekeeping genes. Further study needs to be performed to see whether a chronical exposure to these and similar compounds can cause higher incidence of malignancies and inflammatory disease. Full article
(This article belongs to the Special Issue Environment, Endocrine Disruptors and Cutaneous Effects)
Show Figures

Figure 1

Back to TopTop