Sign in to use this feature.

Years

Between: -

Subjects

remove_circle_outline
remove_circle_outline
remove_circle_outline
remove_circle_outline
remove_circle_outline
remove_circle_outline
remove_circle_outline

Journals

Article Types

Countries / Regions

Search Results (19)

Search Parameters:
Keywords = hyaluronan synthase 1

Order results
Result details
Results per page
Select all
Export citation of selected articles as:
18 pages, 9796 KB  
Article
Integrative Transcriptomic and Proteomic Analysis Reveals CaMK4-Mediated Regulation of Proliferation in Goat Skeletal Muscle Satellite Cells
by He Cong, Lu Xu, Yaolong Liu, Zixuan Wang, Tao Ren, Pengcheng Ruan, Haoyuan Zhang, Chengli Liu, Yanguo Han, Pengfei Hu, Yan Zeng, Simone Ceccobelli and Guangxin E
Animals 2025, 15(21), 3083; https://doi.org/10.3390/ani15213083 - 24 Oct 2025
Viewed by 240
Abstract
CaMK4, a calcium/calmodulin-dependent protein kinase, is an important mediator of cellular signal transduction, yet its role in the regulation of skeletal muscle satellite cells (MuSCs) in goats has remained unclear. In this study, CaMK4 overexpression and knockdown models were established, and integrated [...] Read more.
CaMK4, a calcium/calmodulin-dependent protein kinase, is an important mediator of cellular signal transduction, yet its role in the regulation of skeletal muscle satellite cells (MuSCs) in goats has remained unclear. In this study, CaMK4 overexpression and knockdown models were established, and integrated transcriptomic and proteomic analyses were performed to systematically elucidate its regulatory network. CaMK4 overexpression altered key pathways associated with cell proliferation and muscle development, including cAMP, PI3K-Akt, and actin cytoskeleton regulation, while proteomic data highlighted calcium signaling and JAK-STAT pathways. Conversely, CaMK4 knockdown enhanced MuSC proliferation by upregulating cell cycle-related genes and proteins. Integrated analyses further identified that Galectin-9 (LGALS9), Collagen triple helix repeat containing-1 (CTHRC1), Hyaluronan Synthase 1 (HAS1), and L-Threonine Dehydrogenase (TDH) may serve as potential key nodes regulating cell cycle, apoptosis, and metabolic control. This suggests a regulatory role for CaMK4. Collectively, these findings provide a mechanistic framework for understanding CaMK4 function in ruminant muscle development and may offer insights for improving goat muscle growth, meat quality traits, and production efficiency. Full article
(This article belongs to the Special Issue Genetics and Breeding for Enhancing Production Traits in Ruminants)
Show Figures

Figure 1

12 pages, 1664 KB  
Article
Dual Effect of 4-Methylumbelliferone on INS1E Cells: Enhancing Migration and Glucose-Stimulated Insulin Secretion
by Giorgia Adamo, Daniele Romancino, Paola Gargano, Marta Sarullo, Aldo Nicosia, Sabrina Picciotto, Giulia Smeraldi, Antonella Bongiovanni and Monica Salamone
Int. J. Mol. Sci. 2025, 26(15), 7637; https://doi.org/10.3390/ijms26157637 - 7 Aug 2025
Viewed by 892
Abstract
Recent studies have demonstrated that the coumarin derivative 4-Methylumbelliferone (4MU) has an antidiabetic effect in rodent models. 4MU is known to decrease the availability of hyaluronan (HA) substrates and inhibit the activity of different HA synthases. Nevertheless, it has been observed that 4MU [...] Read more.
Recent studies have demonstrated that the coumarin derivative 4-Methylumbelliferone (4MU) has an antidiabetic effect in rodent models. 4MU is known to decrease the availability of hyaluronan (HA) substrates and inhibit the activity of different HA synthases. Nevertheless, it has been observed that 4MU may also affect cellular metabolism. In this study, we utilize the rat insulinoma beta cell line (INS-1E) cultured in both two-dimensional (2D) and three-dimensional (3D) experimental settings (pseudo islets), as an in vitro model to study beta cell functionality. For the first time, we observed that treating INS1E cells with 4MU results in improved insulin secretion. Additionally, we discovered that 4MU treatment elicited morphological changes from multilayer to monolayer conditions, along with a varied distribution of insulin granules and cell adhesion properties. Notably, we found that insulin secretion is not correlated with HA production. The same result was observed in co-culture experiments involving INS-1E cells and stromal vascular fraction (SVF) from adipose tissue. These experiments aim to investigate the effects of 4MU on beta cells in the context of its potential use in early-stage type 1 diabetes and in enhancing islet transplantation outcomes. Full article
(This article belongs to the Special Issue New Insights into Hyaluronan in Human Medicine)
Show Figures

Figure 1

17 pages, 2085 KB  
Article
Multifunctional Dermatological Effects of Whole-Plant Bassia scoparia Extract: Skin Repair and Protection
by Seogyun Jeong, Hye-Been Kim, Dong-Geol Lee, Eunjin Park, Seoyeon Kyung, Seunghyun Kang, Dayeon Roo, Sang Hyun Moh, Sung Joo Jang, Jihyeon Jang, HyungWoo Jo and Sanghun Lee
Curr. Issues Mol. Biol. 2025, 47(8), 617; https://doi.org/10.3390/cimb47080617 - 4 Aug 2025
Viewed by 768
Abstract
Bassia scoparia (Syn. Kochia scoparia (L.) Schrad.) is a medicinal plant whose fruit, Kochiae Fructus, has been extensively studied for its dermatological applications. This study focused on extracts from the whole plant B. scoparia (WPBS), excluding fruits, to address the research gap [...] Read more.
Bassia scoparia (Syn. Kochia scoparia (L.) Schrad.) is a medicinal plant whose fruit, Kochiae Fructus, has been extensively studied for its dermatological applications. This study focused on extracts from the whole plant B. scoparia (WPBS), excluding fruits, to address the research gap regarding the medicinal properties of non-fruit parts. The diverse skin benefits of WPBS, including its anti-photoaging, moisturizing, wound healing, anti-inflammatory, and anti-angiogenic effects, were investigated. The WPBS extract enhanced the viability of keratinocytes (HaCaT) without inducing cytotoxic effects. WPBS significantly reduced matrix metalloproteinase-1 (MMP-1) levels and increased collagen type I alpha 1 (COL1A1) levels (p < 0.01) in fibroblasts exposed to ultraviolet B (UVB) radiation, indicating strong anti-photoaging effects. WPBS upregulated skin hydration markers such as aquaporin-3 (AQP3) and hyaluronan synthase-3 (HAS3) and effectively accelerated fibroblast wound closure compared to the positive control. Furthermore, WPBS substantially downregulated the expression of inflammatory (COX-2 and IL-1β) and angiogenic markers (VEGF). Transcriptome analysis (RNA-seq) confirmed that WPBS suppressed inflammation-related and UV-induced gene expression pathways. Overall, these findings expand the therapeutic scope of B. scoparia beyond its traditional fruit use and suggest that WPBS is a promising botanical ingredient for various skin applications. Full article
Show Figures

Figure 1

10 pages, 1704 KB  
Communication
Jatrorrhizine Isolated from Phellodendron amurense Improves Collagen Homeostasis in CCD-986sk Human Dermal Fibroblast Cells
by Junhyo Cho
Cosmetics 2025, 12(2), 70; https://doi.org/10.3390/cosmetics12020070 - 9 Apr 2025
Cited by 1 | Viewed by 1020
Abstract
Jatrorrhizine is one of the major bioactive compounds found in Phellodendron amurense. Previous studies have reported various health benefits of jatrorrhizine, but little is known about its effect on skin health. In this study, jatrorrhizine isolated from Phellodendron amurense was used to [...] Read more.
Jatrorrhizine is one of the major bioactive compounds found in Phellodendron amurense. Previous studies have reported various health benefits of jatrorrhizine, but little is known about its effect on skin health. In this study, jatrorrhizine isolated from Phellodendron amurense was used to determine the impact on collagen homeostasis in CCD-986sk human dermal fibroblast cells. Jatrorrhizine did not show toxicity of up to 10 μM in CCD-986sk cells. Jatrorrhizine induced procollagen and hyaluronic acid synthesis by increasing the gene expression of collagen type I alpha 2, TIMP metallopeptidase inhibitor 1, transforming growth factor beta 1, and hyaluronan synthase 2. In addition, jatrorrhizine treatment inhibited the gene expression of matrix metallopeptidase 1 and matrix metallopeptidase 9 by increasing tissue inhibitors of metalloproteinase. Our results suggest that jatrorrhizine has the potential for application in therapeutic and cosmetic products to improve collagen homeostasis and prevent wrinkle formation. Full article
(This article belongs to the Section Cosmetic Dermatology)
Show Figures

Figure 1

9 pages, 1459 KB  
Article
The Modulation of Fibrosis in Vocal Fold Repair: A Study on c-Met Agonistic Antibodies and Hepatocyte Growth in Animal Studies
by Hyun-Il Shin, Hyunsu Choi, Jae-Kyun Jung and Choung-Soo Kim
Medicina 2024, 60(12), 2033; https://doi.org/10.3390/medicina60122033 - 10 Dec 2024
Cited by 3 | Viewed by 2133
Abstract
Background and Objectives: Damage to the vocal folds frequently results in fibrosis, which can degrade vocal quality due to the buildup of collagen and modifications in the extracellular matrix (ECM). Conventional treatments have shown limited success in reversing fibrotic changes. Hepatocyte growth [...] Read more.
Background and Objectives: Damage to the vocal folds frequently results in fibrosis, which can degrade vocal quality due to the buildup of collagen and modifications in the extracellular matrix (ECM). Conventional treatments have shown limited success in reversing fibrotic changes. Hepatocyte growth factor (HGF) and c-Met-targeting antibodies are promising due to their potential to inhibit fibrosis and promote regeneration. This research examines the effectiveness of injections containing c-Met agonistic antibodies relative to HGF in reducing fibrosis within a rat model of vocal fold injury. Materials and Methods: Forty-five Sprague Dawley rats were divided into three groups, which were HGF, c-Met agonistic antibody, and the control (PBS). The right vocal folds were injured and treated with HGF or c-Met agonistic antibody injections. RNA isolation and quantitative real-time PCR were performed to assess mRNA levels of fibrosis-related markers at 1 and 2 weeks post-injury. Histopathological analysis was conducted at 3 weeks to evaluate collagen and hyaluronic acid (HA) deposition. Results: Both the HGF and c-Met groups demonstrated reduced type III collagen mRNA expression compared to the PBS group. The c-Met group uniquely maintained fibronectin levels closer to normal. Additionally, the c-Met group showed significantly upregulated expression of hyaluronan synthase (HAS) 1 and HAS 3 at 2 weeks post-injury, indicating enhanced HA synthesis. Histological analysis showed significantly lower collagen deposition and higher HA in the c-Met group than in PBS, confirming superior anti-fibrotic effects and ECM restoration. Conclusions: c-Met agonistic antibody injections outperformed HGF in reducing fibrosis, upregulating HAS expression, and promoting HA deposition in injured vocal folds, highlighting its potential as a superior therapeutic approach for preventing fibrosis and enhancing ECM quality in vocal fold injuries. Further research on functional outcomes in larger models is recommended to validate these findings. Full article
(This article belongs to the Special Issue Update on Otorhinolaryngologic Diseases (2nd Edition))
Show Figures

Figure 1

12 pages, 2345 KB  
Article
Photoaging Protective Effects of Quercitrin Isolated from ‘Green Ball’ Apple Peel
by Eun-Ho Lee, Junhyo Cho and In-Kyu Kang
Horticulturae 2024, 10(12), 1258; https://doi.org/10.3390/horticulturae10121258 - 27 Nov 2024
Viewed by 1242
Abstract
Premature skin aging, also known as photoaging, refers to the changes in the structure and function of the skin caused by chronic sun exposure. The ultraviolet radiation in sunlight is one of the key factors that cause photoaging. Thus, matrix metalloproteinases (MMPs), transforming [...] Read more.
Premature skin aging, also known as photoaging, refers to the changes in the structure and function of the skin caused by chronic sun exposure. The ultraviolet radiation in sunlight is one of the key factors that cause photoaging. Thus, matrix metalloproteinases (MMPs), transforming growth factor beta-1 (TGFB1), and nuclear factor kappa B (NF-κB) signaling can be an effective therapeutic strategy for ultraviolet B (UVB) exposure. In this study, we used human dermal fibroblast and mouse macrophage cells to identify the mediators of skin photoaging. Quercitrin isolated from ‘Green Ball’ apple peel was treated to UVB-irradiated fibroblast cells and lipopolysaccharide (LPS)-induced macrophages to identify the photoaging prevention effect of quercitrin. Genes that are associated with photoaging were determined by using enzyme-linked immunosorbent assay (ELISA), Western blot, and quantitative polymerase chain reaction (qPCR). Quercitrin increased the collagen biosynthesis in UVB-irradiated fibroblast cells via regulating MMPs, TIMP metallopeptidase inhibitor 1 (TIMP-1), TGFB1, hyaluronan synthase 2 (HAS2), and collagen type I alpha 1 chain (COL1A2). In addition, quercitrin regulated p-65, inducible nitric oxide synthase (iNOS), and cyclooxygenase-2 (COX-2), and its mediators (prostaglandin E2 and nitric oxide), in the NF-κB signaling process, and it inhibited the production of cytokines in LPS-induced macrophages. These results indicate that quercitrin can improve photoaging damaged skin by regulating MMPs, TGFB1, and NF-κB signaling pathway modulators. Full article
Show Figures

Figure 1

13 pages, 2542 KB  
Article
Potential Skin Health Benefits of Abalone By-Products Suggested by Their Effects on MAPKS and PI3K/AKT/NF-kB Signaling Pathways in HDF and HaCaT Cells
by Eun-A Kim, Nalae Kang, Jun-Ho Heo, Areumi Park, Seong-Yeong Heo, Chang-Ik Ko, Yong-Seok Ahn, Ginnae Ahn and Soo-Jin Heo
Foods 2024, 13(18), 2902; https://doi.org/10.3390/foods13182902 - 13 Sep 2024
Cited by 3 | Viewed by 2601
Abstract
Abalone, a marine edible gastropod with nutritional value, is a popular seafood delicacy worldwide, especially in Asia; however, viscera by-products are generally discarded during processing. Therefore, we investigated the skin health benefits of abalone viscera ultrasonic extract (AVU) in human dermal fibroblasts (HDFs) [...] Read more.
Abalone, a marine edible gastropod with nutritional value, is a popular seafood delicacy worldwide, especially in Asia; however, viscera by-products are generally discarded during processing. Therefore, we investigated the skin health benefits of abalone viscera ultrasonic extract (AVU) in human dermal fibroblasts (HDFs) and human keratinocyte (HaCaT) cells. AVU showed valuable protein contents, indicating that it is a worthy and safe material for industrial application. AVU increased collagen synthesis production and messenger RNA (mRNA) expression of Collagen Type I Alpha 1, 2, and 3 chains through the transforming growth factor beta/suppressor of mother against the decapentaplegic pathway in HDF cells. AVU also increased hyaluronic acid production, upregulated Hyaluronan Synthases 1, 2, and 3, filaggrin and aquaporin3 mRNA levels, and downregulated hyaluronidase mRNA levels in HaCaT cells. Furthermore, mechanistic studies showed that AVU increased the phosphorylation of extracellular signal-regulated kinase, p38, and cyclic AMP response-binding protein activation. AVU activated the transcription factors, phosphoinositide 3-kinase, protein kinase B, and nuclear factor kappa B cell p65 and downregulated the degranulation of inhibitory kappa B in HaCaT cells. Studies of hyaluronic acid production in AVU by inhibiting EKR, p38 and NF-κB have shown that p38 MAPK and NF-κB signaling are pivotal mechanisms, particularly in the AVU. These results demonstrated that AVU produced from by-products may improve skin health and may thus be used as a functional food and cosmetics ingredient. Full article
(This article belongs to the Special Issue High-Value Utilization of Marine Biological Resources)
Show Figures

Figure 1

11 pages, 2846 KB  
Article
Efficacy of Vitamin B12 and Adenosine Triphosphate in Enhancing Skin Radiance: Unveiled with a Drug–Target Interaction Deep Learning-Based Model
by Hyeyeon Chun, Hyejin Lee, Jongwook Kim, Hyerin Yeo, Kyongeun Hyung, Dayoung Song, Moonju Kim, Seung-Hyun Jun and Nae-Gyu Kang
Curr. Issues Mol. Biol. 2024, 46(8), 9082-9092; https://doi.org/10.3390/cimb46080537 - 20 Aug 2024
Cited by 1 | Viewed by 4152
Abstract
Skin radiance is crucial for enhancing facial attractiveness and is negatively affected by factors like hyperpigmentation and aging-related changes. Current treatments often lack comprehensive solutions for improving skin radiance. This study aimed to develop a cosmetic formula that enhances skin radiance by reducing [...] Read more.
Skin radiance is crucial for enhancing facial attractiveness and is negatively affected by factors like hyperpigmentation and aging-related changes. Current treatments often lack comprehensive solutions for improving skin radiance. This study aimed to develop a cosmetic formula that enhances skin radiance by reducing hyperpigmentation and improving skin regeneration by targeting specific receptors—the endothelin receptor type B (EDNRB) for hyperpigmentation and the adiponectin receptor 1 (ADIPOR1) for sagging and wrinkles. To achieve this, we used artificial intelligence technologies to screen and select ingredients with an affinity for EDNRB and ADIPOR1. Vitamin B12 (VitB12) was identified as a molecule that targets EDNRB, which is involved in melanogenesis. Adenosine triphosphate (ATP) targets ADIPOR1, which is associated with skin regeneration. VitB12 successfully inhibited intracellular calcium elevation and melanogenesis induced by endothelin-1. In contrast, ATP increased the mRNA expression of collagen and elastin and promoted wound healing. Moreover, the VitB12 and ATP complex significantly increased the expression of hyaluronan synthases, which are crucial for skin hydration. Furthermore, in human participants, the application of the VitB12 and ATP complex to one-half of the face significantly improved skin radiance, elasticity, and texture. Our findings provide valuable insights for the development of skincare formulations. Full article
(This article belongs to the Section Molecular Pharmacology)
Show Figures

Figure 1

14 pages, 2835 KB  
Article
Wrinkle-Improving Effect of Novel Peptide That Binds to Nicotinic Acetylcholine Receptor
by Jinho Bang, Yul-Lye Hwang, Mi Yoon Kim, Jae Nam Yun, Eujin Hyun, Min Youl Chang, Dae Hwan Shin, Sunghyun Kim and Jeung-Hoon Lee
Int. J. Mol. Sci. 2024, 25(14), 7860; https://doi.org/10.3390/ijms25147860 - 18 Jul 2024
Viewed by 4677
Abstract
Wrinkles, one of the most common signs of aging, are primarily caused by the continuous contraction of muscles. Muscle contraction is induced by the binding of acetylcholine (ACh), released at the neuromuscular junction, to nicotinic acetylcholine receptor (nAChR) present on the muscle cell [...] Read more.
Wrinkles, one of the most common signs of aging, are primarily caused by the continuous contraction of muscles. Muscle contraction is induced by the binding of acetylcholine (ACh), released at the neuromuscular junction, to nicotinic acetylcholine receptor (nAChR) present on the muscle cell surface. In this study, we aimed to develop a wrinkle-improving peptide that inhibits the binding of ACh to nAChR using peptide phage display technology. Our peptide showed a remarkably high binding affinity to nAChR subunit α1, with a value below 1 µM, and was found to inhibit the action of ACh through its interaction with these receptors. Furthermore, it increased collagen synthesis in skin cells and upregulated the expression of the aquaporin-3 (AQP3) and hyaluronan synthase-2 (HAS2) genes. These results confirm that the peptide effectively inhibits muscle contraction and enhances skin elasticity and hydration, contributing to its wrinkle-reducing effects. Clinical studies on humans observed significant improvement in wrinkles after three weeks of use, with substantial reduction observed after six weeks. In conclusion, these findings demonstrate the efficacy of the peptide (named Medipep) in reducing wrinkles. Full article
(This article belongs to the Section Molecular Biology)
Show Figures

Figure 1

13 pages, 2542 KB  
Article
Study on the Skincare Effects of Red Rice Fermented by Aspergillus oryzae In Vitro
by Mo Chen, Yi Sun, Le Zhu, Lingyu Li and Ya Zhao
Molecules 2024, 29(9), 2066; https://doi.org/10.3390/molecules29092066 - 30 Apr 2024
Cited by 6 | Viewed by 4774
Abstract
Red rice, a variety of pigmented grain, serves dual purposes as both a food and medicinal resource. In recent years, we have witnessed an increasing interest in the dermatological benefits of fermented rice extracts, particularly their whitening and hydrating effects. However, data on [...] Read more.
Red rice, a variety of pigmented grain, serves dual purposes as both a food and medicinal resource. In recent years, we have witnessed an increasing interest in the dermatological benefits of fermented rice extracts, particularly their whitening and hydrating effects. However, data on the skincare advantages derived from fermenting red rice with Aspergillus oryzae remain sparse. This study utilized red rice as a substrate for fermentation by Aspergillus oryzae, producing a substance known as red rice Aspergillus oryzae fermentation (RRFA). We conducted a preliminary analysis of RRFA’s composition followed by an evaluation of its skincare potential through various in vitro tests. Our objective was to develop a safe and highly effective skincare component for potential cosmetic applications. RRFA’s constituents were assessed using high-performance liquid chromatography (HPLC), Kjeldahl nitrogen determination, the phenol-sulfuric acid method, and enzyme-linked immunosorbent assay (ELISA). We employed human dermal fibroblasts (FB) to assess RRFA’s anti-aging and antioxidative properties, immortalized keratinocytes (HaCaT cells) and 3D epidermal models to examine its moisturizing and reparative capabilities, and human primary melanocytes (MCs) to study its effects on skin lightening. Our findings revealed that RRFA encompasses several bioactive compounds beneficial for skin health. RRFA can significantly promote the proliferation of FB cells. And it markedly enhances the mRNA expression of ECM-related anti-aging genes and reduces reactive oxygen species production. Furthermore, RRFA significantly boosts the expression of Aquaporin 3 (AQP3), Filaggrin (FLG), and Hyaluronan Synthase 1 (HAS1) mRNA, alongside elevating moisture levels in a 3D epidermal model. Increases were also observed in the mRNA expression of Claudin 1 (CLDN1), Involucrin (IVL), and Zonula Occludens-1 (ZO-1) in keratinocytes. Additionally, RRFA demonstrated an inhibitory effect on melanin synthesis. Collectively, RRFA contains diverse ingredients which are beneficial for skin health and showcases multifaceted skincare effects in terms of anti-aging, antioxidant, moisturizing, repairing, and whitening capabilities in vitro, highlighting its potential for future cosmetic applications. Full article
Show Figures

Figure 1

13 pages, 2381 KB  
Article
Equine Endometrosis Pathological Features: Are They Dependent on NF-κB Signaling Pathway?
by Tomasz Jasiński, Łukasz Zdrojkowski, Ewa Kautz, Edyta Juszczuk-Kubiak, Graça Ferreira-Dias and Małgorzata Domino
Animals 2021, 11(11), 3151; https://doi.org/10.3390/ani11113151 - 4 Nov 2021
Cited by 11 | Viewed by 2423
Abstract
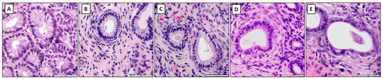
Endometrosis is an important mares’ disease which considerably decreases their fertility. As classic endometrial classification methods might be insufficient for tissue pathological evaluation, further categorization into active/inactive and destructive/non-destructive types was developed by Hoffmann and others. This study aimed to compare NF-κB pathway [...] Read more.
Endometrosis is an important mares’ disease which considerably decreases their fertility. As classic endometrial classification methods might be insufficient for tissue pathological evaluation, further categorization into active/inactive and destructive/non-destructive types was developed by Hoffmann and others. This study aimed to compare NF-κB pathway genes transcription among histopathological types of endometrosis, following Hoffmann and co-authors’ classification. Endometrial samples, collected postmortem from cyclic mares (n = 100) in estrus or diestrus, were classified histologically and used for gene transcription assessment. Gene transcription of NF-κB subunits (RelA, NF-κB1, NF-κB2), pro-inflammatory molecules (MCP-1, IL-6), and hyaluronan synthases (HAS 1, HAS 2, HAS 3) was compared among endometrosis types (active, non-active, destructive, non-destructive). Most individual mRNA samples showed high expression of RelA, NF-κB1, and MCP-1 gene transcripts and the destructive type of endometrosis, simultaneously. The expression of RelA and NF-κB1 genes was higher in active destructive group than in the other groups only in the follicular phase, as well as being higher in the inactive destructive group than in the others, only in the mid-luteal phase. The increase in gene transcription of the NF-κB canonical activation pathway in destructive endometrosis may suggest the highest changes in extracellular matrix deposition. Moreover, the estrous cycle phase might influence fibrosis pathogenesis. Full article
(This article belongs to the Section Animal Reproduction)
Show Figures

Figure 1

14 pages, 3032 KB  
Article
OM-85 Broncho-Vaxom®, a Bacterial Lysate, Reduces SARS-CoV-2 Binding Proteins on Human Bronchial Epithelial Cells
by Lei Fang, Liang Zhou, Michael Tamm and Michael Roth
Biomedicines 2021, 9(11), 1544; https://doi.org/10.3390/biomedicines9111544 - 26 Oct 2021
Cited by 17 | Viewed by 14713
Abstract
In clinical studies, OM-85 Broncho-Vaxom®, a bacterial lysate, reduced viral respiratory tract infection. Infection of epithelial cells by SARS-CoV-2 depends on the interaction of its spike-protein (S-protein) with host cell membrane proteins. In this study, we investigated the effect of OM-85 [...] Read more.
In clinical studies, OM-85 Broncho-Vaxom®, a bacterial lysate, reduced viral respiratory tract infection. Infection of epithelial cells by SARS-CoV-2 depends on the interaction of its spike-protein (S-protein) with host cell membrane proteins. In this study, we investigated the effect of OM-85 on the expression of S-protein binding proteins by human bronchial epithelial cells. Human bronchial epithelial cells were treated with OM-85 over 5 days. The expression of SARS-CoV-2 receptor angiotensin converting enzyme 2 (ACE2), transmembrane protease serine subtype 2 (TMPRSS2), dipeptidyl peptidase-4 (DPP4), and a disintegrin and metalloprotease 17 (ADAM17) were determined by Western blotting and quantitative RT-PCR. Soluble (s)ACE2, heparan sulfate, heparanase, and hyaluronic acid were assessed by ELISA. OM-85 significantly reduced the expression of ACE2 (p < 0.001), TMPRSS2 (p < 0.001), DPP4 (p < 0.005), and cellular heparan sulfate (p < 0.01), while ADAM17 (p < 0.02) expression was significantly upregulated. Furthermore, OM-85 increased the level of sACE2 (p < 0.05), hyaluronic acid (p < 0.002), and hyaluronan synthase 1 (p < 0.01). Consequently, the infection by a SARS-CoV-2 spike protein pseudo-typed lentivirus was reduced in cells pretreated with OM-85. All effects of OM-85 were concentration- and time-dependent. The results suggest that OM-85 might reduce the binding of SARS-CoV-2 S-protein to epithelial cells by modification of host cell membrane proteins and specific glycosaminoglycans. Thus, OM-85 might be considered as an add-on for COVID-19 therapy. Full article
(This article belongs to the Special Issue Drug Development for COVID-19)
Show Figures

Figure 1

13 pages, 936 KB  
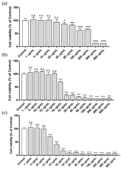
Article
Zinc Chloride: Time-Dependent Cytotoxicity, Proliferation and Promotion of Glycoprotein Synthesis and Antioxidant Gene Expression in Human Keratinocytes
by Beatriz Salesa, Roser Sabater i Serra and Ángel Serrano-Aroca
Biology 2021, 10(11), 1072; https://doi.org/10.3390/biology10111072 - 20 Oct 2021
Cited by 25 | Viewed by 4538
Abstract
The use of ionic metals such as zinc (Zn2+) is providing promising results in regenerative medicine. In this study, human keratinocytes (HaCaT cells) were treated with different concentrations of zinc chloride (ZnCl2), ranging from 1 to 800 µg/mL, for [...] Read more.
The use of ionic metals such as zinc (Zn2+) is providing promising results in regenerative medicine. In this study, human keratinocytes (HaCaT cells) were treated with different concentrations of zinc chloride (ZnCl2), ranging from 1 to 800 µg/mL, for 3, 12 and 24 h. The results showed a time–concentration dependence with three non-cytotoxic concentrations (10, 5 and 1 µg/mL) and a median effective concentration value of 13.5 µg/mL at a cell exposure to ZnCl2 of 24 h. However, the zinc treatment with 5 or 1 µg/mL had no effect on cell proliferation in HaCaT cells in relation to the control sample at 72 h. The effects of the Zn2+ treatment on the expression of several genes related to glycoprotein synthesis, oxidative stress, proliferation and differentiation were assessed at the two lowest non-cytotoxic concentrations after 24 h of treatment. Out of 13 analyzed genes (superoxide dismutase 1 (SOD1), catalase (CAT), matrix metallopeptidase 1 (MMP1), transforming growth factor beta 1 (TGFB1), glutathione peroxidase 1 (GPX1), fibronectin 1 (FN1), hyaluronan synthase 2 (HAS2), laminin subunit beta 1 (LAMB1), lumican (LUM), cadherin 1 (CDH1), collagen type IV alpha (COL4A1), fibrillin (FBN) and versican (VCAN)), Zn2+ was able to upregulate SOD1, CAT, TGFB1, GPX1, LUM, CDH1, FBN and VCAN, with relative expression levels of at least 1.9-fold with respect to controls. We found that ZnCl2 promoted glycoprotein synthesis and antioxidant gene expression, thus confirming its great potential in biomedicine. Full article
Show Figures

Figure 1

17 pages, 2860 KB  
Article
Carbon Nanofibers versus Silver Nanoparticles: Time-Dependent Cytotoxicity, Proliferation, and Gene Expression
by Beatriz Salesa, Marcelo Assis, Juan Andrés and Ángel Serrano-Aroca
Biomedicines 2021, 9(9), 1155; https://doi.org/10.3390/biomedicines9091155 - 3 Sep 2021
Cited by 32 | Viewed by 4670
Abstract
Carbon nanofibers (CNFs) are one-dimensional nanomaterials with excellent physical and broad-spectrum antimicrobial properties characterized by a low risk of antimicrobial resistance. Silver nanoparticles (AgNPs) are antimicrobial metallic nanomaterials already used in a broad range of industrial applications. In the present study these two [...] Read more.
Carbon nanofibers (CNFs) are one-dimensional nanomaterials with excellent physical and broad-spectrum antimicrobial properties characterized by a low risk of antimicrobial resistance. Silver nanoparticles (AgNPs) are antimicrobial metallic nanomaterials already used in a broad range of industrial applications. In the present study these two nanomaterials were characterized by Raman spectroscopy, transmission electron microscopy, zeta potential, and dynamic light scattering, and their biological properties were compared in terms of cytotoxicity, proliferation, and gene expression in human keratinocyte HaCaT cells. The results showed that both AgNPs and CNFs present similar time-dependent cytotoxicity (EC50 of 608.1 µg/mL for CNFs and 581.9 µg/mL for AgNPs at 24 h) and similar proliferative HaCaT cell activity. However, both nanomaterials showed very different results in the expression of thirteen genes (superoxide dismutase 1 (SOD1), catalase (CAT), matrix metallopeptidase 1 (MMP1), transforming growth factor beta 1 (TGFB1), glutathione peroxidase 1 (GPX1), fibronectin 1 (FN1), hyaluronan synthase 2 (HAS2), laminin subunit beta 1 (LAMB1), lumican (LUM), cadherin 1 CDH1, collagen type IV alpha (COL4A1), fibrillin (FBN), and versican (VCAN)) treated with the lowest non-cytotoxic concentrations in the HaCaT cells after 24 h. The AgNPs were capable of up-regulating only two genes (SOD1 and MMP1) while the CNFs were very effective in up-regulating eight genes (FN1, MMP1, CAT, CDH1, COL4A1, FBN, GPX1, and TGFB1) involved in the defense mechanisms against oxidative stress and maintaining and repairing tissues by regulating cell adhesion, migration, proliferation, differentiation, growth, morphogenesis, and tissue development. These results demonstrate CNF nanomaterials’ unique great potential in biomedical applications such as tissue engineering and wound healing. Full article
(This article belongs to the Special Issue Feature Papers in "Biomedical Materials and Nanomedicine")
Show Figures

Figure 1

17 pages, 4148 KB  
Article
Anti-Inflammatory and Anti-Allergic Effects of Saponarin and Its Impact on Signaling Pathways of RAW 264.7, RBL-2H3, and HaCaT Cells
by Seon-Young Min, Che-Hwon Park, Hye-Won Yu and Young-Jin Park
Int. J. Mol. Sci. 2021, 22(16), 8431; https://doi.org/10.3390/ijms22168431 - 5 Aug 2021
Cited by 45 | Viewed by 6683
Abstract
Saponarin{5-hydroxy-2-(4-hydroxyphenyl)-6-[3,4,5-trihydroxy-6-(hydroxymethyl)oxan-2-yl]-7-[3,4,5-trihydroxy-6-(hydroxymethyl)oxan-2-yl]oxychromen-4-one}, a flavone found in young green barley leaves, is known to possess antioxidant, antidiabetic, and hepatoprotective effects. In the present study, the anti-inflammatory, anti-allergic, and skin-protective effects of saponarin were investigated to evaluate its usefulness as a functional ingredient in cosmetics. In [...] Read more.
Saponarin{5-hydroxy-2-(4-hydroxyphenyl)-6-[3,4,5-trihydroxy-6-(hydroxymethyl)oxan-2-yl]-7-[3,4,5-trihydroxy-6-(hydroxymethyl)oxan-2-yl]oxychromen-4-one}, a flavone found in young green barley leaves, is known to possess antioxidant, antidiabetic, and hepatoprotective effects. In the present study, the anti-inflammatory, anti-allergic, and skin-protective effects of saponarin were investigated to evaluate its usefulness as a functional ingredient in cosmetics. In lipopolysaccharide-induced RAW264.7 (murine macrophage) cells, saponarin (80 μM) significantly inhibited cytokine expression, including tumor necrosis factor (TNF)-α, interleukin (IL)-1β, inducible nitric oxide synthase, and cyclooxygenase (COX)-2. Saponarin (80 μM) also inhibited the phosphorylation of extracellular signal-regulated kinase (ERK) and p38 involved in the mitogen-activated protein kinase signaling pathway in RAW264.7 cells. Saponarin (40 μM) significantly inhibited β-hexosaminidase degranulation as well as the phosphorylation of signaling effectors (Syk, phospholipase Cγ1, ERK, JNK, and p38) and the expression of inflammatory mediators (tumor necrosis factor [TNF]-α, IL-4, IL-5, IL-6, IL-13, COX-2, and FcεRIα/γ) in DNP-IgE- and DNP-BSA-stimulated RBL-2H3 (rat basophilic leukemia) cells. In addition, saponarin (100 μM) significantly inhibited the expression of macrophage-derived chemokine, thymus and activation-regulated chemokine, IL-33, thymic stromal lymphopoietin, and the phosphorylation of signaling molecules (ERK, p38 and signal transducer and activator of transcription 1 [STAT1]) in TNF-α- and interferon (IFN)-γ-stimulated HaCaT (human immortalized keratinocyte) cells. Saponarin (100 μM) also significantly induced the expression of hyaluronan synthase-3, aquaporin 3, and cathelicidin antimicrobial peptide (LL-37) in HaCaT cells, which play an important role as skin barriers. Saponarin remarkably inhibited the essential factors involved in the inflammatory and allergic responses of RAW264.7, RBL-2H3, and HaCaT cells, and induced the expression of factors that function as physical and chemical skin barriers in HaCaT cells. Therefore, saponarin could potentially be used to prevent and relieve immune-related skin diseases, including atopic dermatitis. Full article
(This article belongs to the Special Issue Efficacy of Flavonoids in Chronic Diseases)
Show Figures

Figure 1

Back to TopTop