Sign in to use this feature.

Years

Between: -

Subjects

remove_circle_outline
remove_circle_outline
remove_circle_outline
remove_circle_outline
remove_circle_outline
remove_circle_outline
remove_circle_outline
remove_circle_outline
remove_circle_outline

Journals

Article Types

Countries / Regions

Search Results (39)

Search Parameters:
Keywords = exuviae

Order results
Result details
Results per page
Select all
Export citation of selected articles as:
25 pages, 3793 KB  
Article
Exuviae of Tenebrio molitor Larvae as a Source of Chitosan: Characterisation and Possible Applications
by Jelena Milinković Budinčić, Željana Radonić, Danka Dragojlović, Tea Sedlar, Matija Milković, Marija Polić Pasković and Igor Pasković
Appl. Sci. 2025, 15(17), 9285; https://doi.org/10.3390/app15179285 - 24 Aug 2025
Cited by 1 | Viewed by 1344
Abstract
Biopolymers have gained significant attention due to their environmental advantages, with insects emerging as a promising but underutilized source of chitin and chitosan. In this study, chitosan was extracted from the larval exuviae of Tenebrio molitor through sequential demineralization, deproteinization, and deacetylation steps. [...] Read more.
Biopolymers have gained significant attention due to their environmental advantages, with insects emerging as a promising but underutilized source of chitin and chitosan. In this study, chitosan was extracted from the larval exuviae of Tenebrio molitor through sequential demineralization, deproteinization, and deacetylation steps. For selected analyses, the extracted chitosan was further purified via reprecipitation from an acid solution using a basic precipitant (1 M NaOH). Chitosan was then characterized using chemical and instrumental methods. The results indicated that the chitosan had a medium degree of deacetylation (72.27%) and viscosity-average molecular weight (612 kDa), along with minimal ash (0.33%) and amino acid (0.14%) content, suggesting high product quality. FTIR analysis identified characteristic functional groups present, and SEM analysis highlighted a fibrous and porous microstructure in the purified chitosan. The prepared films exhibited favorable properties, including low thickness (0.0197 mm), high swelling degree (335.07%), moderate water solubility (46.99%), and moisture content of 32.39%, supporting their practical applicability. T. molitor exuviae thus represents a sustainable and environmentally friendly source of high-quality chitosan, with beneficial structural and functional properties, supporting its use in a wide array of value-added applications. Full article
Show Figures

Graphical abstract

19 pages, 5041 KB  
Article
From Hermetia illucens Pupal Exuviae to Antimicrobial Composites: Metal Nanoparticles Synthesized by Laser Ablation in Sustainable Chitosan Matrices
by Michela Marsico, Anna Guarnieri, Mariangela Curcio, Carmen Scieuzo, Roberto Teghil, Patrizia Falabella and Angela De Bonis
Molecules 2025, 30(16), 3368; https://doi.org/10.3390/molecules30163368 - 13 Aug 2025
Viewed by 912
Abstract
Chitosan is a natural biopolymer with intrinsic antimicrobial properties and strong metal ion chelating properties, making it an ideal matrix for the development of bioactive composites. In this study, silver and copper nanoparticles were synthesized using laser ablation in liquid (LAL) by the [...] Read more.
Chitosan is a natural biopolymer with intrinsic antimicrobial properties and strong metal ion chelating properties, making it an ideal matrix for the development of bioactive composites. In this study, silver and copper nanoparticles were synthesized using laser ablation in liquid (LAL) by the ablation of metallic targets into commercial chitosan (Cs) and chitosan produced from Hermetia illucens pupal exuviae (CsE) solutions, avoiding the use of chemical precursors or stabilizing agents. The nanocomposites obtained were characterized by UV–vis spectroscopy, TEM microscopy and FTIR spectroscopy in order to evaluate the size of the nanoparticles and the interactions between the polymer and metal nanoparticles. Antibacterial tests demonstrated the efficacy of Ag-based composites with a minimum inhibitory concentration (MIC) of 0.006 g/L, and Cu-based composites with a MIC of 0.003 g/L against both Escherichia coli and Micrococcus flavus. While the silver composites show antibacterial activity in both colloidal and film forms, the copper composites present antibacterial activity only in colloidal form. Swelling tests indicated that all films maintained a high water absorption capacity, with a swelling index over 200%, unaffected by nanoparticle integration. The results highlight the potential of LAL-synthesized metal–chitosan composites, particularly those based on insect chitosan, as sustainable and effective antimicrobial materials for biomedical and environmental applications. Full article
Show Figures

Graphical abstract

39 pages, 2277 KB  
Review
Green Processes for Chitin and Chitosan Production from Insects: Current State, Challenges, and Opportunities
by Lisa Mersmann, Victor Gomes Lauriano Souza and Ana Luísa Fernando
Polymers 2025, 17(9), 1185; https://doi.org/10.3390/polym17091185 - 26 Apr 2025
Cited by 7 | Viewed by 5981
Abstract
Chitin and chitosan are valuable biopolymers with various applications, ranging from food to pharmaceuticals. Traditionally sourced from crustaceans, the rising demand for chitin/chitosan, paired with the development of the insect sector, has led to the exploration of insect biomass and its byproducts as [...] Read more.
Chitin and chitosan are valuable biopolymers with various applications, ranging from food to pharmaceuticals. Traditionally sourced from crustaceans, the rising demand for chitin/chitosan, paired with the development of the insect sector, has led to the exploration of insect biomass and its byproducts as a potential source. Conventional processes rely on hazardous chemicals, raising environmental concerns. This critical review evaluates emerging “greener” approaches, including biological methods, green solvents, and advanced processing techniques, for chitin/chitosan production from insect-derived materials such as exuviae and cocoons. Two systematic evaluations are included: (1) a cross-comparison of chitin and chitosan yields across insect life stages and byproducts (e.g., up to 35.7% chitin from black soldier fly (BSF) larval exoskeletons can be obtained) and (2) a stepwise sustainability assessment of over 30 extraction workflows reported across 16 studies. While many are labeled as green, only a few, such as bromelain, lactic acid fermentations, or NADES-based processes, demonstrated fully green extraction up to the chitin stage. No study achieved a fully green conversion to chitosan, and green workflows typically required materials with low fat content and minimal pretreatment. These findings will be useful to identify opportunities and underscore the need to refine greener methods, improve yields, reduce impurities, and enable industrial-scale production, while sustainability data need to be generated. Full article
(This article belongs to the Section Biobased and Biodegradable Polymers)
Show Figures

Graphical abstract

26 pages, 2575 KB  
Review
Tenebrio molitor Frass: A Cutting-Edge Biofertilizer for Sustainable Agriculture and Advanced Adsorbent Precursor for Environmental Remediation
by Alessandra Verardi, Paola Sangiorgio, Brigida Della Mura, Stefania Moliterni, Anna Spagnoletta, Salvatore Dimatteo, Daniela Bassi, Claudia Cortimiglia, Raffaella Rebuzzi, Salvatore Palazzo and Simona Errico
Agronomy 2025, 15(3), 758; https://doi.org/10.3390/agronomy15030758 - 20 Mar 2025
Cited by 3 | Viewed by 4073
Abstract
The projected growth of the global population to over 10 billion by 2080 necessitates groundbreaking sustainable agricultural solutions that enhance productivity while mitigating environmental impacts. Tenebrio molitor frass (TMF), derived from larval excrement and exuviae, has emerged as a promising organic fertilizer. Enriched [...] Read more.
The projected growth of the global population to over 10 billion by 2080 necessitates groundbreaking sustainable agricultural solutions that enhance productivity while mitigating environmental impacts. Tenebrio molitor frass (TMF), derived from larval excrement and exuviae, has emerged as a promising organic fertilizer. Enriched with macro- and micronutrients, TMF enhances soil functions through microbial communities that promote nutrient cycling, decompose organic matter, and suppress soilborne pathogens. Additionally, functional compounds like chitin, cellulose, xylans, and lignin improve the soil structure, foster beneficial microbes, and activate natural plant defence responses. The synergy of microbial activity and bioactive compounds positions TMF as a valuable resource for enhancing plant growth and soil health. Its role as a nutrient source, biostimulant, and soil amendment aligns with circular economy principles by recycling agro-industrial by-products and reducing reliance on synthetic fertilizers. TMF also contributes to sustainable agriculture by improving soil fertility, microbial biodiversity, and plant stress resilience, while mitigating greenhouse gas emissions and nutrient runoff. Additionally, TMF-derived biochar offers the potential for environmental remediation as an effective adsorbent. Despite its advantages, TMF faces challenges in scalability, cost, and regulations, requiring advancements in processing, enrichment, and supportive policies to maximize its potential in sustainable farming. Full article
Show Figures

Figure 1

9 pages, 1409 KB  
Article
Cuticular and Exuvial Biomass and Nitrogen Economy During Assimilation and Growth of the American Grasshopper, Schistocerca americana
by Donald E. Mullins and Sandra E. Gabbert
Insects 2025, 16(3), 327; https://doi.org/10.3390/insects16030327 - 20 Mar 2025
Viewed by 812
Abstract
The role of nitrogen metabolism during insect development and reproduction is of primary importance for the success of a species. We conducted a study designed to examine the nitrogen economy of Schistocerca americana from hatching to adulthood, focusing on the processes associated with [...] Read more.
The role of nitrogen metabolism during insect development and reproduction is of primary importance for the success of a species. We conducted a study designed to examine the nitrogen economy of Schistocerca americana from hatching to adulthood, focusing on the processes associated with the assimilation and growth linked to cuticular nitrogen investment, as well as the exuvial nitrogen losses resulting from molting. During development, the grasshopper biomass from the egg stage to the adult stage increased 7-fold for males and 9-fold for females, while their total body nitrogen content increased 23-fold for males and 25-fold for females. During the growth process, the total biomass lost from molting as discarded exuvia was 13% for males and 12% for females. Similarly, the exuvial nitrogen lost during the molting process was 11% for males and 11% for females. Full article
(This article belongs to the Section Insect Physiology, Reproduction and Development)
Show Figures

Figure 1

11 pages, 472 KB  
Article
Application of Mealworm Frass in Organic Seedling Production of Allium cepa L., Beta vulgaris L., and Brassica rapa L.
by Ferdinando Baldacchino and Flutura Lamaj
Seeds 2025, 4(1), 4; https://doi.org/10.3390/seeds4010004 - 8 Jan 2025
Cited by 4 | Viewed by 2394
Abstract
Horticulture is mainly based on transplanting seedlings produced by specialized nurseries. The recent European authorization of frass in organic farming presents new opportunities for the development of organic seedling production. Frass, a by-product of insect farming, offers innovative solutions for this sector. It [...] Read more.
Horticulture is mainly based on transplanting seedlings produced by specialized nurseries. The recent European authorization of frass in organic farming presents new opportunities for the development of organic seedling production. Frass, a by-product of insect farming, offers innovative solutions for this sector. It mainly consists of insect excrement, exuviae, and uningested feed. Their fertilizing and biostimulating effects have been demonstrated in various pot and field crops experiments. However, the current knowledge regarding the application of frass in seedling production remains insufficient. This study aims to assess the optimal dose of mealworm frass in germination substrates for Allium cepa L., Beta vulgaris L., and Brassica rapa L. Germination and phytotoxicity tests were carried out, with seedlings evaluated one month after sowing in substrates containing frass at concentrations of 0.5%, 1%, 2%, and 3% of frass. The germination test revealed that the dilution of the frass at 1:100 produced a phytostimulant effect on A. cepa and a moderate phytotoxic effect on B. vulgaris and B. rapa. The application of mealworm frass at a concentration of 0.5–1% was generally the most effective dose, although all doses of frass in the substrate resulted in seedlings whose root length, leaf length, number of leaves, and biomass were significantly higher than the control. In conclusion, the application of low doses of mealworm frass in organic seedling production is promising and allows the management of potential phytotoxicity. Full article
Show Figures

Figure 1

21 pages, 6519 KB  
Article
The Mosquitoes (Diptera: Culicidae) of Sonora: Distribution, Ecology, and the First Records of Aedes deserticola Zavortink and Toxorhynchites septentrionalis (Dyar and Knab) in México
by Aldo I. Ortega-Morales, Juan Manuel Quijano-Barraza, Mario A. Rodríguez-Pérez, Luis M. Hernández-Triana, Francisco Wong-Corral and Fabián Correa-Morales
Diversity 2024, 16(11), 681; https://doi.org/10.3390/d16110681 - 6 Nov 2024
Cited by 3 | Viewed by 4007
Abstract
The diversity and distribution of mosquitoes from Sonora, Mexico, was documented through entomologic surveys conducted in the four physiographic regions and sub-regions of Sonora: the Sonoran Plain, the Sierra Madre Occidental, the Northern Mountains and Plains, and the Pacific Coastal Plain. Immature stages [...] Read more.
The diversity and distribution of mosquitoes from Sonora, Mexico, was documented through entomologic surveys conducted in the four physiographic regions and sub-regions of Sonora: the Sonoran Plain, the Sierra Madre Occidental, the Northern Mountains and Plains, and the Pacific Coastal Plain. Immature stages were collected from aquatic habitats, while adult mosquitoes were collected using Shannon traps, resting in vegetation, and by human landing collections. Overall, 11,316 specimens, which comprised 493 larvae, 224 larval exuviae, 400 pupal exuviae, 33 pupae, 4552 females, 5607 males, and seven male genitalia, were identified. Two subfamilies: Anophelinae and Culicinae, seven tribes, 10 genera, 23 subgenera, and 56 species are reported below. Of these, one tribe, one genus, five subgenera, and 15 species were recorded for the first time in Sonora. Two species, Aedes deserticola Zavortink and Toxorhynchites septentrionalis (Dyar and Knab), are the first recordings of their kind nationwide. Toxorhynchites septentrionalis was also barcoded with the cytochrome oxidase subunit 1 (COI) gene. The presence of Psorophora columbiae (Dyar and Knab) is confirmed in Mexico. Taxonomic notes, new geographic distribution limits of mosquitoes in Sonora, and information regarding their importance as disease vectors are provided. By adding Ae. deserticola and Tx. septentrionalis and confirming Ps. columbiae in Mexico, there are currently 251 mosquito species in the Country. Full article
(This article belongs to the Special Issue Biodiversity in Arid Ecosystems)
Show Figures

Figure 1

13 pages, 2635 KB  
Article
Chironomid Pupal Exuviae Technique in Ecological Research of Man-Made Water Bodies
by Viktorija Ergović, Dubravka Čerba, Natalija Vučković and Zlatko Mihaljević
Water 2024, 16(20), 2917; https://doi.org/10.3390/w16202917 - 14 Oct 2024
Viewed by 1457
Abstract
Reservoirs serve functional purposes such as irrigation and power generation. However, concerns are raised due to the alterations of the connected riverine ecosystems. Chironomidae (Diptera), a diverse aquatic macroinvertebrate group, are vital to the functioning of ecosystems and serve as water quality indicators. [...] Read more.
Reservoirs serve functional purposes such as irrigation and power generation. However, concerns are raised due to the alterations of the connected riverine ecosystems. Chironomidae (Diptera), a diverse aquatic macroinvertebrate group, are vital to the functioning of ecosystems and serve as water quality indicators. Their holometabolous development includes the pupal stage after four larval stages. The chironomid pupal skin (exuvia) is used in environmental assessments, where the Chironomid Pupal Exuvial Technique (CPET) is a recognized standard. The CPET method is adaptable to different freshwater environments and here was applied in the study of 28 man-made lakes in the Pannonian Lowlands and Dinaric Western Balkan Ecoregion in Croatia to obtain information on chironomid diversity and analyze the potential influence of environmental factors on the chironomid community. The lake surface was skimmed with an exuvial hand net (mesh size of 300 µm) along the lake edge with a transect length of 10 m in the area of accumulated debris of organic and inorganic matter. Individual exuviae were mounted in a Berlese mounting medium and identified by morphological characteristics to the lowest taxonomic level. During the study, 5698 chironomid pupal skins were collected, and 141 taxa (including 97 species) belonging to five subfamilies were identified. The tribe Tanytarsini comprised 40% of the identified taxa, with Paratanytarsus spp. being the most abundant. In the Dinaric ecoregion, Paratanytarsus bituberculatus dominated, while Microchironomus tener and the genus Cricotopus were the dominant taxa in the Pannonian ecoregion. Community structure in the Pannonian ecoregion was influenced by total organic carbon (TOC) and orthophosphates (PO43−), indicating higher anthropogenic pressure compared to the Dinaric ecoregion, where water conductivity influenced Chironomidae assemblages. The research has provided valuable and useful information on the chironomid diversity in man-made and highly altered water bodies, as some of the most vulnerable aquatic habitats to anthropogenic influence. The CPET method could be a useful tool for the ecological studies and bioassessment of water quality in Croatia. Full article
(This article belongs to the Special Issue Aquatic Ecosystems: Biodiversity and Conservation)
Show Figures

Figure 1

2 pages, 153 KB  
Correction
Correction: Rimoldi et al. The Replacement of Fish Meal with Poultry By-Product Meal and Insect Exuviae: Effects on Growth Performance, Gut Health and Microbiota of the European Seabass, Dicentrarchus labrax. Microorganisms 2024, 12, 744
by Simona Rimoldi, Ambra Rita Di Rosa, Rosangela Armone, Biagina Chiofalo, Imam Hasan, Marco Saroglia, Violeta Kalemi and Genciana Terova
Microorganisms 2024, 12(8), 1524; https://doi.org/10.3390/microorganisms12081524 - 25 Jul 2024
Cited by 1 | Viewed by 959
Abstract
In the original publication [...] Full article
(This article belongs to the Section Veterinary Microbiology)
15 pages, 4340 KB  
Article
Enhancing the Antibacterial Properties of Chitosan Coatings: Ag@Chitosan and Chitosan from Insects
by Michela Marsico, Rezvan Azari, Mariangela Curcio, Roberto Teghil, Micaela Triunfo, Patrizia Falabella, Aldo Roberto Boccaccini and Angela De Bonis
Coatings 2024, 14(8), 925; https://doi.org/10.3390/coatings14080925 - 24 Jul 2024
Cited by 8 | Viewed by 5182
Abstract
In this study, the electrophoretic deposition (EPD) technique was used to prepare chitosan-based coatings with enhanced antibacterial activity suitable for bone implant applications. We designed, prepared, and compared the physico-chemical and biological properties of coatings obtained with commercial chitosan, chitosan enriched with silver [...] Read more.
In this study, the electrophoretic deposition (EPD) technique was used to prepare chitosan-based coatings with enhanced antibacterial activity suitable for bone implant applications. We designed, prepared, and compared the physico-chemical and biological properties of coatings obtained with commercial chitosan, chitosan enriched with silver nanoparticles, and chitosan obtained from insects. With the aim to consider the issue of sustainability, silver nanoparticles were directly prepared in the chitosan solution by laser ablation via a liquid technique, avoiding the use of chemicals and limiting the production of wastes. Moreover, a sustainable source of chitosan, such as Hermetia Illucens exuviae, was considered. The EPD process was optimized by adjusting parameters like voltage and deposition time to achieve ideal coating thickness and adhesion. The prepared films were characterized by spectroscopic and microscopic techniques such as SEM, XRD, and FTIR. Antimicrobial tests against E. coli and S. aureus revealed that silver nanoparticles enhanced the antibacterial properties of the polymer, whereas the biological evaluation using the WST8 test on MG63 human osteoblast-like cells showed that all coatings were non-toxic. Finally, chitosan obtained from insect showed comparable properties with respect to the commercial polymer, suggesting it could replace seafood-derived chitosan in biomedical applications, whereas the Ag@chitosan composite demonstrated superior antibacterial activity without compromising its biocompatibility. Full article
(This article belongs to the Section Bioactive Coatings and Biointerfaces)
Show Figures

Figure 1

13 pages, 5583 KB  
Article
Description of Limb Anomalies Resulting from Molt Irregularities in Ammothea hilgendorfi (Pycnogonida: Ammotheidae)
by Antoine Flandroit, Louis Simon and Guillaume Caulier
Arthropoda 2024, 2(2), 156-168; https://doi.org/10.3390/arthropoda2020012 - 25 May 2024
Cited by 1 | Viewed by 2141
Abstract
Limb anomalies are widespread and diversified in arthropods. From trilobites to insects, they range from the loss to the addition or fusion of legs and may appear congenitally or be induced experimentally (e.g., amputation or injury). Basal chelicerates pycnogonids, or sea spiders, also [...] Read more.
Limb anomalies are widespread and diversified in arthropods. From trilobites to insects, they range from the loss to the addition or fusion of legs and may appear congenitally or be induced experimentally (e.g., amputation or injury). Basal chelicerates pycnogonids, or sea spiders, also show deformities. Despite being understudied compared to other arthropods, quite a high diversity of limb malformations has been reported in the literature. The present study reports the leg anomalies of two adult females Ammothea hilgendorfi (Böhm, 1879) observed with duplicated leg podomeres. Both individuals were described ethologically and morphologically. Although the current knowledge on pycnogonids is limited, the anomaly is likely due to a problem in the molting process; the specimens were unable to totally remove their old exuviae, which then stacked after the proximal leg segments. The second specimen also showed other leg deformities, hinting at a problem during the molting process itself. The discussion emphasizes that understanding how pycnogonids normally molt would not only help our understanding of how the abnormal patterns appeared but also put pycnogonids into perspective with other arthropods, a phylum in which they have a key taxonomic position. Full article
Show Figures

Figure 1

17 pages, 598 KB  
Review
Larval Frass of Hermetia illucens as Organic Fertilizer: Composition and Beneficial Effects on Different Crops
by Giovanni Lomonaco, Antonio Franco, Jeroen De Smet, Carmen Scieuzo, Rosanna Salvia and Patrizia Falabella
Insects 2024, 15(4), 293; https://doi.org/10.3390/insects15040293 - 20 Apr 2024
Cited by 41 | Viewed by 9432
Abstract
Hermetia illucens has received a lot of attention as its larval stage can grow on organic substrates, even those that are decomposing. Black soldier fly breeding provides a variety of valuable products, including frass, a mixture of larval excrements, larval exuviae, and leftover [...] Read more.
Hermetia illucens has received a lot of attention as its larval stage can grow on organic substrates, even those that are decomposing. Black soldier fly breeding provides a variety of valuable products, including frass, a mixture of larval excrements, larval exuviae, and leftover feedstock, that can be used as a fertilizer in agriculture. Organic fertilizers, such as frass, bringing beneficial bacteria and organic materials into the soil, improves its health and fertility. This comprehensive review delves into a comparative analysis of frass derived from larvae fed on different substrates. The composition of micro- and macro-nutrients, pH levels, organic matter content, electrical conductivity, moisture levels, and the proportion of dry matter are under consideration. The effect of different feeding substrates on the presence of potentially beneficial bacteria for plant growth within the frass is also reported. A critical feature examined in this review is the post-application beneficial impacts of frass on crops, highlighting the agricultural benefits and drawbacks of introducing Hermetia illucens frass into cultivation operations. One notable feature of this review is the categorization of the crops studied into distinct groups, which is useful to simplify comparisons in future research. Full article
(This article belongs to the Section Role of Insects in Human Society)
Show Figures

Figure 1

22 pages, 3368 KB  
Article
The Replacement of Fish Meal with Poultry By-Product Meal and Insect Exuviae: Effects on Growth Performance, Gut Health and Microbiota of the European Seabass, Dicentrarchus labrax
by Simona Rimoldi, Ambra Rita Di Rosa, Rosangela Armone, Biagina Chiofalo, Imam Hasan, Marco Saroglia, Violeta Kalemi and Genciana Terova
Microorganisms 2024, 12(4), 744; https://doi.org/10.3390/microorganisms12040744 - 6 Apr 2024
Cited by 11 | Viewed by 4287 | Correction
Abstract
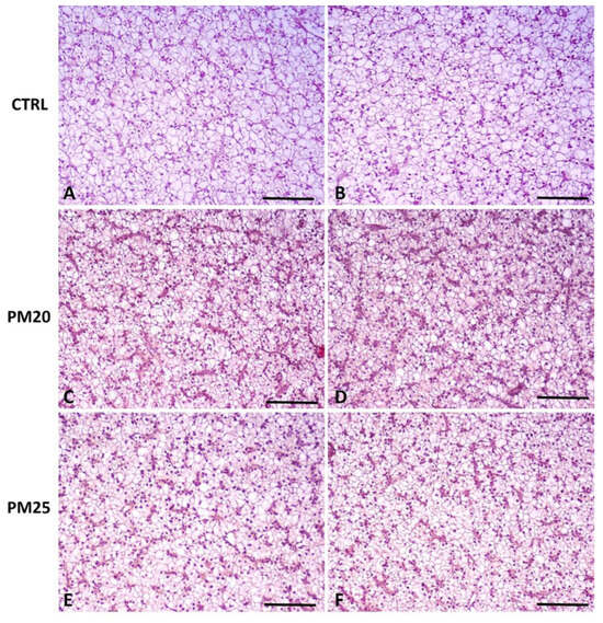
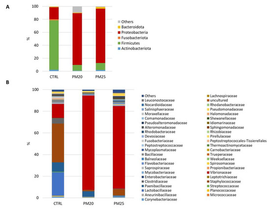
This study addressed the urgent need for sustainable protein sources in aquaculture due to the depletion of marine resources and rising costs. Animal protein sources, particularly poultry by-product meal (PBM) and insect exuviae meal, were investigated as viable alternatives to fishmeal (FM). The [...] Read more.
This study addressed the urgent need for sustainable protein sources in aquaculture due to the depletion of marine resources and rising costs. Animal protein sources, particularly poultry by-product meal (PBM) and insect exuviae meal, were investigated as viable alternatives to fishmeal (FM). The research study confirmed the successful replacement of FM with a combination of PBM and insect exuviae meal (up to 50%) in the diet of European seabass without compromising growth, feed conversion, gut health, and liver fat content. In particular, growth was robust with both PBM formulations, with the 25% PBM diet showing better results. Histological examinations showed good gut and liver health, contradicting the concerns of previous studies. This paper emphasizes the importance of holistic analyzes that go beyond growth parameters and include histomorphological investigations. The results show that PBM in combination with insect/exuviae meal is well tolerated by seabass, which is consistent with reports in the literature of it mitigating negative effects on gut health. A detailed analysis of the microbiota revealed a decrease in the Firmicutes/Proteobacteria ratio due to an increase in potentially pathogenic bacteria. However, the formulation containing insect exuviae partially counteracted this effect by preserving the beneficial Lactobacillus and promoting the synthesis of short-chain fatty acids (SCFAs), particularly butyrate. Chitin-rich components from insect exuviae were associated with improved gut health, which was supported by the increased production of SCFAs, which are known for their anti-inflammatory properties. This paper concludes that a combination of PBM and insect/exuviae meal can replace up to 50% of FM in the diet of seabass, supporting sustainable aquaculture practices. Despite some changes in the microbiota, the negative effects are mitigated by the addition of insect exuviae, highlighting their potential as a prebiotic to increase fish productivity and contribute to a circular economy in aquaculture. Full article
(This article belongs to the Section Veterinary Microbiology)
Show Figures

Figure 1

16 pages, 13385 KB  
Article
Occurrence and Population Density of the Endemic Species Cordulegaster buchholzi (Anisoptera: Cordulegastridae) on the Cyclades Islands in Greece
by Otakar Holuša and Kateřina Holušová
Insects 2023, 14(11), 896; https://doi.org/10.3390/insects14110896 - 20 Nov 2023
Viewed by 1991
Abstract
Our research was focused on determining the geomorphological characteristics of streams, characteristics of sediment in streams, habitat, emergence sites and flight period. Larvae were recorded in 19 streams (altitude of 35–680 m a.s.l.), with an average minimum width of 44.2 cm, an average [...] Read more.
Our research was focused on determining the geomorphological characteristics of streams, characteristics of sediment in streams, habitat, emergence sites and flight period. Larvae were recorded in 19 streams (altitude of 35–680 m a.s.l.), with an average minimum width of 44.2 cm, an average maximum width of 352.9 cm, an average minimum depth of 9 cm and an average maximum depth (in pools) of 55 cm, with an average stream gradient of 12 grades (range 0.6–45 grades). In terms of grain size, the sediment in these biotopes can be characterized as sandy gravel, medium-grained gravel with an admixture of fine sand and an admixture of coarse-grained gravel prevails (with dominancy of fraction 2–5 mm with a representation of 47%). The larval density reached 0.1–62.2 larvae per 1 m2 of suitable sediment. Exuviae (100 exuviae found in total) occurred at an average of 66 cm horizontal distance from the shore and an average vertical height of 124 cm above the ground. The average total distance of larval movement was 190 cm. The emergence site was categorized as larvae-dominated tree trunks (57% of cases), rocks (51%) and overhanging rocks (11%). The flight period was recorded from 17th May to 15th July (literary record—to 15th August) with peak flight activity noted in the third quarter of June. Considering the size of the area—extent of occurrence, the population of C. buchholzi is strongly threatened; according to the IUCN categories it should be classified as endangered (EN). Full article
Show Figures

Figure 1

14 pages, 2519 KB  
Article
Efficacy of Insecticides against the Invasive Apricot Aphid, Myzus mumecola
by Dania H. Tabet, Edoardo Visentin, Martina Bonadio, Marko Bjeljac, Yazmid Reyes-Domínguez, Andreas Gallmetzer and Urban Spitaler
Insects 2023, 14(9), 746; https://doi.org/10.3390/insects14090746 - 6 Sep 2023
Cited by 7 | Viewed by 3176
Abstract
The invasive apricot aphid (Myzus mumecola Matsumura) is an important pest of apricot trees (Prunus armeniaca L.). In the presented study, laboratory bioassays using treated leaf disks of apricot were conducted to test the efficacy of twelve insecticides according to the [...] Read more.
The invasive apricot aphid (Myzus mumecola Matsumura) is an important pest of apricot trees (Prunus armeniaca L.). In the presented study, laboratory bioassays using treated leaf disks of apricot were conducted to test the efficacy of twelve insecticides according to the maximum field dose. Additionally, dose-response curves were established for selected insecticides, and the effects on colony development were evaluated. Furthermore, a field trial was conducted to investigate the effectiveness of commonly used insecticides in apricot cultivation. The dose-response curves showed LC50 values ranging from 0.08 mg/L for flupyradifurone, 0.15 mg/L for acetamiprid, 0.70 mg/L for etofenprox, 1.89 mg/L for sulfoxaflor, 2.64 mg/L for pirimicarb, 3.97 mg/L for deltamethrin, up to 6.79 mg/L for tau-fluvalinate. These aforementioned insecticides resulted in mortality rates ranging from 95 to 100% at the field dose. Azadirachtin, flonicamid, and pyrethrins showed mortality rates of 27 to 45%. Spirotetramat reduced the colony development and decreased the number of infested shoots by 86%. Spinosad, which is not recommended against aphids, showed minimal impact; reducing the number of exuviae in nymphs in the colony development bioassay. It can be concluded that the majority of the tested insecticides are effective against M. mumecola. Full article
(This article belongs to the Section Insect Pest and Vector Management)
Show Figures

Graphical abstract

Back to TopTop