Sign in to use this feature.

Years

Between: -

Subjects

remove_circle_outline
remove_circle_outline
remove_circle_outline
remove_circle_outline
remove_circle_outline
remove_circle_outline
remove_circle_outline

Journals

Article Types

Countries / Regions

Search Results (21)

Search Parameters:
Keywords = dome classification

Order results
Result details
Results per page
Select all
Export citation of selected articles as:
21 pages, 2799 KB  
Article
Structural Integrity Assessments of an IMO Type C LCO2 Cargo Tank
by Joon Kim, Kyu-Sik Park, Inhwan Cha and Joonmo Choung
J. Mar. Sci. Eng. 2025, 13(8), 1479; https://doi.org/10.3390/jmse13081479 - 31 Jul 2025
Viewed by 808
Abstract
With the rise of carbon capture and storage, liquefied carbon dioxide (LCO2) has emerged as a promising medium for large-scale marine transport. This study evaluates the structural integrity of an IMO Type C cargo tank for a medium-range LCO2 carrier [...] Read more.
With the rise of carbon capture and storage, liquefied carbon dioxide (LCO2) has emerged as a promising medium for large-scale marine transport. This study evaluates the structural integrity of an IMO Type C cargo tank for a medium-range LCO2 carrier under four conditions: ultimate limit state, accidental limit state, hydrostatic pressure test, and fatigue limit state, based on IGC Code and classification rules. Seventeen load cases were analyzed using finite element methods with multi-step loading to ensure stability. The highest stress occurred at the pump dome–shell junction due to geometric discontinuities, but all stress and buckling criteria were satisfied. The fatigue damage from wave-induced loads was negligible, with low-cycle fatigue from loading/unloading operations governing the fatigue life, which exceeded 31,000 years. The findings confirm the tank’s structural robustness and its suitability for safe, efficient medium-pressure LCO2 transport. Full article
(This article belongs to the Special Issue New Advances in the Analysis and Design of Marine Structures)
Show Figures

Figure 1

22 pages, 2775 KB  
Article
Surface Broadband Radiation Data from a Bipolar Perspective: Assessing Climate Change Through Machine Learning
by Alice Cavaliere, Claudia Frangipani, Daniele Baracchi, Maurizio Busetto, Angelo Lupi, Mauro Mazzola, Simone Pulimeno, Vito Vitale and Dasara Shullani
Climate 2025, 13(7), 147; https://doi.org/10.3390/cli13070147 - 13 Jul 2025
Viewed by 804
Abstract
Clouds modulate the net radiative flux that interacts with both shortwave (SW) and longwave (LW) radiation, but the uncertainties regarding their effect in polar regions are especially high because ground observations are lacking and evaluation through satellites is made difficult by high surface [...] Read more.
Clouds modulate the net radiative flux that interacts with both shortwave (SW) and longwave (LW) radiation, but the uncertainties regarding their effect in polar regions are especially high because ground observations are lacking and evaluation through satellites is made difficult by high surface reflectance. In this work, sky conditions for six different polar stations, two in the Arctic (Ny-Ålesund and Utqiagvik [formerly Barrow]) and four in Antarctica (Neumayer, Syowa, South Pole, and Dome C) will be presented, considering the decade between 2010 and 2020. Measurements of broadband SW and LW radiation components (both downwelling and upwelling) are collected within the frame of the Baseline Surface Radiation Network (BSRN). Sky conditions—categorized as clear sky, cloudy, or overcast—were determined using cloud fraction estimates obtained through the RADFLUX method, which integrates shortwave (SW) and longwave (LW) radiative fluxes. RADFLUX was applied with daily fitting for all BSRN stations, producing two cloud fraction values: one derived from shortwave downward (SWD) measurements and the other from longwave downward (LWD) measurements. The variation in cloud fraction used to classify conditions from clear sky to overcast appeared consistent and reasonable when compared to seasonal changes in shortwave downward (SWD) and diffuse radiation (DIF), as well as longwave downward (LWD) and longwave upward (LWU) fluxes. These classifications served as labels for a machine learning-based classification task. Three algorithms were evaluated: Random Forest, K-Nearest Neighbors (KNN), and XGBoost. Input features include downward LW radiation, solar zenith angle, surface air temperature (Ta), relative humidity, and the ratio of water vapor pressure to Ta. Among these models, XGBoost achieved the highest balanced accuracy, with the best scores of 0.78 at Ny-Ålesund (Arctic) and 0.78 at Syowa (Antarctica). The evaluation employed a leave-one-year-out approach to ensure robust temporal validation. Finally, the results from cross-station models highlighted the need for deeper investigation, particularly through clustering stations with similar environmental and climatic characteristics to improve generalization and transferability across locations. Additionally, the use of feature normalization strategies proved effective in reducing inter-station variability and promoting more stable model performance across diverse settings. Full article
(This article belongs to the Special Issue Addressing Climate Change with Artificial Intelligence Methods)
Show Figures

Figure 1

15 pages, 3025 KB  
Article
Integrated Genetic and Statolith Shape Analysis Reveals the Population Structure of Loliolus (Nipponololigo) uyii (Cephalopoda: Loliginidae) in the Coastal Waters of China
by Xiaorong Wang, Chi Zhang and Xiaodong Zheng
Diversity 2024, 16(11), 674; https://doi.org/10.3390/d16110674 - 2 Nov 2024
Viewed by 1763
Abstract
Understanding population structure is a priority for evaluating population dynamics of commercially fished cephalopods under fishing pressure and environmental changes. This study employed a multidisciplinary approach to clarify the population structure of Loliolus (Nipponololigo) uyii, a common squid in inshore [...] Read more.
Understanding population structure is a priority for evaluating population dynamics of commercially fished cephalopods under fishing pressure and environmental changes. This study employed a multidisciplinary approach to clarify the population structure of Loliolus (Nipponololigo) uyii, a common squid in inshore fisheries. Sampling was conducted multiple times to cover the distribution range across the East China Sea and South China Sea. High haplotype diversity was revealed by three gene markers (COI, 16S and ODH). Two geographical clades with significant genetic differentiation were divided through phylogenetic trees and haplotype networks. The boundary between the two clades is delineated by the Dongshan population in the southern East China Sea. Furthermore, the neutrality tests and mismatch analysis suggested that L. (N.) uyii populations may have undergone population expansion. Correspondingly, statolith differences in lateral dome and posterior indentation, along with high classification success, further supported the genetic division. The overall difference in statolith shape also efficiently identified seasonal groups in the Beibu Gulf lacking genetic differentiation. This result offers new insights into the influence of genetic and environmental factors on statolith shape. The integrated results provide a comprehensive understanding of the population structure of L. (N.) uyii, laying the foundation for resource development and the conservation of the species. Full article
Show Figures

Figure 1

10 pages, 2553 KB  
Article
Carapace Morphology Variations in Captive Tortoises: Insights from Three-Dimensional Analysis
by Ebru Eravci Yalin, Ozan Gündemir, Ebuderda Günay, Ezgi Can Vatansever Çelik, Sokol Duro, Tomasz Szara, Milos Blagojevic, Bektaş Sönmez and Mihaela-Claudia Spataru
Animals 2024, 14(18), 2664; https://doi.org/10.3390/ani14182664 - 13 Sep 2024
Cited by 8 | Viewed by 2206
Abstract
The carapace morphology of tortoises is a crucial characteristic used for species identification, with features such as shell shape, roughness, and color patterns varying among species. Understanding this morphological diversity is valuable not only for taxonomic classification but also for more specialized clinical [...] Read more.
The carapace morphology of tortoises is a crucial characteristic used for species identification, with features such as shell shape, roughness, and color patterns varying among species. Understanding this morphological diversity is valuable not only for taxonomic classification but also for more specialized clinical approaches. This study investigated the morphological differences in the shells of Leopard tortoises (Stigmochelys pardalis), African spurred tortoises (Centrochelys sulcata), and Greek tortoises (spur-thighed tortoises; Testudo graeca) raised in captivity. Using 3D scanners, the carapaces were modeled, and a 3D geometric morphometric method was employed to analyze shape variations and dimensional features, with landmarks applied automatically. Among the species studied, African spurred tortoises had the largest carapace size. Principal component analysis (PCA) identified PC1 and PC3 as critical factors in distinguishing between species based on morphological characteristics. Positive PC1 values, associated with a shorter carapace height, indicated a flatter or more compact shell shape. A higher PC3 value corresponded to a raised shape at the back of the shell, while a lower PC3 value indicated a raised shape at the front. Specifically, Leopard tortoises exhibited a higher carapace shape than the other species, while African spurred tortoises had shorter carapaces. An allometric effect was observed in the carapaces, where smaller specimens tended to be proportionately higher-domed, whereas larger shells displayed a lower height in shape. These findings highlight the significance of shape variations in tortoise shells, which emerge during adaptation and have important implications for taxonomy and clinical practice. Such differences should be carefully considered in veterinary care and species identification. Full article
(This article belongs to the Section Herpetology)
Show Figures

Figure 1

14 pages, 5880 KB  
Article
Higher Accuracy of Arthroscopy Compared to MRI in the Diagnosis of Chondral Lesions in Acute Ankle Fractures: A Prospective Study
by Ali Darwich, Dominik Nörenberg, Julia Adam, Svetlana Hetjens, Mohamad Bdeir, Andreas Schilder, Steffen Thier, Sascha Gravius and Ahmed Jawhar
Diagnostics 2024, 14(16), 1810; https://doi.org/10.3390/diagnostics14161810 - 20 Aug 2024
Viewed by 1485
Abstract
Even after successful surgery for acute ankle fractures, many patients continue having complaints. A possible explanation is the presence of concomitant chondral lesions. The aim of this study is to investigate the accuracy of MRI compared to that of arthroscopy in the assessment [...] Read more.
Even after successful surgery for acute ankle fractures, many patients continue having complaints. A possible explanation is the presence of concomitant chondral lesions. The aim of this study is to investigate the accuracy of MRI compared to that of arthroscopy in the assessment of chondral lesions in acute ankle fractures. In this prospective single-center study, patients presenting with acute ankle fractures over a period of three years were identified. A preoperative MRI was performed within a maximum of 10 days after trauma. During surgery, ankle arthroscopy was also performed. The International Cartilage Repair Society (ICRS) cartilage lesion classification was used to grade the detected chondral lesions. To localize the chondral lesions, the talar dome was divided into eight zones and the tibial/fibular articular surfaces into three zones. In total, 65 patients (28 females) with a mean age of 41.1 ± 15 years were included. In the MRI scans, 70 chondral lesions were detected (69.2% of patients) affecting mostly the tibial plafond (30%) and mostly graded as ICRS 3. The mean lesion area measured was 20.8 mm2. In the arthroscopy, 85 chondral lesions were detected (70.8% of patients) affecting mostly the medial surface of the talar dome (25.9%) and mostly graded ICRS 3. The mean lesion area measured was 43.4 mm2. The highest agreement between the two methods was observed in the size estimation of the chondral lesions. The present study shows the reduced accuracy of MRI when compared to arthroscopy in the assessment of traumatic chondral lesions in the setting of acute ankle fractures especially regarding lesion size. MRI remains an essential instrument in the evaluation of such lesions; however, surgeons should take this discrepancy into consideration, particularly the underestimation of chondral lesions’ size in the preoperative planning of surgical treatment and operative technique. Full article
(This article belongs to the Special Issue Novel Technologies in Orthopedic Surgery: Diagnosis and Management)
Show Figures

Figure 1

11 pages, 597 KB  
Article
A Multi-Disciplinary MRI Assessment May Optimize the Evaluation of Chondral Lesions in Acute Ankle Fractures: A Prospective Study
by Ali Darwich, Dominik Nörenberg, Julia Adam, Svetlana Hetjens, Andreas Schilder, Udo Obertacke, Sascha Gravius and Ahmed Jawhar
Diagnostics 2023, 13(20), 3220; https://doi.org/10.3390/diagnostics13203220 - 16 Oct 2023
Cited by 1 | Viewed by 2054
Abstract
Chondral lesions (CL) in the ankle following acute fractures are frequently overlooked immediately after the injury or diagnosed at a later stage, leading to persistent symptoms despite successful surgery. The literature presents a wide range of discrepancies in the reported incidence of CLs [...] Read more.
Chondral lesions (CL) in the ankle following acute fractures are frequently overlooked immediately after the injury or diagnosed at a later stage, leading to persistent symptoms despite successful surgery. The literature presents a wide range of discrepancies in the reported incidence of CLs in acute ankle fractures. The objective of this prospective study is to provide a precise assessment of the occurrence of chondral lesions (CLs) in acute ankle fractures through MRI scans conducted immediately after the trauma and prior to scheduled surgery. Furthermore, the study aims to highlight the disparities in the interpretation of these MRI scans, particularly concerning the size and extent of chondral damage, between radiologists and orthopedic surgeons. Over the period of three years, all patients presenting with an unstable ankle fracture that underwent operative treatment were consecutively included in this single-center prospective study. Preoperative MRIs were obtained for all included patients within 10 days of the trauma and were evaluated by a trauma surgeon and a radiologist specialized in musculoskeletal MRI blinded to each other’s results. The location of the lesions was documented, as well as their size and ICRS classification. Correlations and kappa coefficients as well as the p-values were calculated. A total of 65 patients were included, with a mean age of 41 years. The evaluation of the orthopedic surgeon showed CLs in 52.3% of patients. CLs occurred mainly on the tibial articular surface (70.6%). Most talar lesions were located laterally (11.2%). The observed CLs were mainly ICRS grade 4. According to the radiologist, 69.2% of the patients presented with CLs. The most common location was the talar dome (48.9%), especially laterally. Most detected CLs were graded ICRS 3a. The correlation between the two observers was weak/fair regarding the detection and classification of CLs and moderate regarding the size of the detected CLs. To enhance the planning of surgical treatment for ankle chondral lesions (CLs), it may be beneficial to conduct an interdisciplinary preoperative assessment of the performed scans. This collaborative approach can optimize the evaluation of ankle CLs and improve overall treatment strategies. Full article
(This article belongs to the Special Issue Diagnostic and Clinical Application of Magnetic Resonance Imaging)
Show Figures

Figure 1

23 pages, 10660 KB  
Article
Rice Growth Stage Classification via RF-Based Machine Learning and Image Processing
by Rodney Tai-Chu Sheng, Yu-Hsiang Huang, Pin-Cheng Chan, Showkat Ahmad Bhat, Yi-Chien Wu and Nen-Fu Huang
Agriculture 2022, 12(12), 2137; https://doi.org/10.3390/agriculture12122137 - 12 Dec 2022
Cited by 35 | Viewed by 39598
Abstract
Rice is one of the most significant crops cultivated in Asian countries. In Taiwan, almost half of the arable land is used for growing rice. The life cycle of paddy rice can be divided into several stages: vegetative stage, reproductive stage, and ripening [...] Read more.
Rice is one of the most significant crops cultivated in Asian countries. In Taiwan, almost half of the arable land is used for growing rice. The life cycle of paddy rice can be divided into several stages: vegetative stage, reproductive stage, and ripening stage. These three main stages can be divided into more detailed stages. However, the transitions between stages are challenging to observe and determine, so experience is required. Thus, rice cultivation is challenging for inexperienced growers, even with the standard of procedure (SOP) provided. Additionally, aging and labor issues have had an impact on agriculture. Furthermore, smart farming has been growing rapidly in recent years and has improved agriculture in many ways. To lower the entry requirements and help novices better understand, we proposed a random forest (RF)-based machine learning (ML) classification model for rice growth stages. The experimental setup installed in the experiment fields consists of an HD smart camera (Speed-dome) to collect the image and video data, along with other internet of things (IoT) devices such as 7-in-1 soil sensors, a weather monitoring station, flow meter, and milometer connected with LoRa base station for numerical data. Then, different image processing techniques such as object detection, object classification, instance segmentation, excess green index (EGI), and modified excess green index (EGI) were used to calculate the paddy height and canopy cover (CC) or green coverage (GC). The proposed ML model uses these values as input. Furthermore, growth-related factors such as height, CC, accumulative temperature, and DAT are used to develop our model. An agronomist has been consulted to label the collected different stages of data. The developed optimal model has achieved an accuracy of 0.98772, and a macro F1-score of 0.98653. Thus, the developed model produces high-performance accuracy and can be employed in real-world scenarios. Full article
(This article belongs to the Special Issue The Application of Machine Learning in Agriculture)
Show Figures

Figure 1

17 pages, 4532 KB  
Article
Analysis and Evaluation of the Progressive Collapse Behaviour of a Cable Dome Structure
by Lianmeng Chen, Zebin Li, Yijie Liu, Kaiyu Huang, Yihong Zeng, Yiyi Zhou and Shilin Dong
Buildings 2022, 12(10), 1700; https://doi.org/10.3390/buildings12101700 - 16 Oct 2022
Cited by 10 | Viewed by 2299
Abstract
In this study, the progressive collapse behaviour of a cable dome structure was analysed and evaluated according to the importance of element. First, the dynamic response and collapse mode caused by the removal of different types of cables and struts from a cable [...] Read more.
In this study, the progressive collapse behaviour of a cable dome structure was analysed and evaluated according to the importance of element. First, the dynamic response and collapse mode caused by the removal of different types of cables and struts from a cable dome structure were studied using the instantaneous unloading method of full dynamic equivalent load. Second, a method was developed for element importance classification based on collapse modes, and the importance coefficient was introduced after comparing the node displacements before and after the removal of different elements. On this basis, the correlations of the importance coefficient of an element with its importance classification and the collapse mode caused by its removal were examined. Third, the influences of some design parameters on the resistance of cable dome structures to progressive collapses and on the importance coefficients of components were analysed and evaluated. Finally, a method was proposed to determine the critical value of the element importance category. The results of this study indicated that Cable-Strut elements differed in their antiprogressive collapse effects and importance coefficients, and thus produced different dynamic responses and collapse modes when they were removed. Cable domes differed in their critical importance coefficients for Cable-Strut elements, and design parameters differed in their influence on the antiprogressive collapse resistance of cable domes. Full article
(This article belongs to the Section Building Materials, and Repair & Renovation)
Show Figures

Figure 1

11 pages, 1016 KB  
Article
Procedural Outcome Following Stent-Assisted Coiling for Wide-Necked Aneurysms Using Three Different Stent Models: A Single-Center Experience
by Catherine Strittmatter, Lukas Meyer, Gabriel Broocks, Maria Alexandrou, Maria Politi, Maria Boutchakova, Andreas Henssler, Marcus Reinges, Andreas Simgen, Panagiotis Papanagiotou and Christian Roth
J. Clin. Med. 2022, 11(12), 3469; https://doi.org/10.3390/jcm11123469 - 16 Jun 2022
Cited by 6 | Viewed by 2519
Abstract
Previous case series have described the safety and efficacy of different stent models for stent-assisted aneurysm coiling (SAC), but comparative analyses of procedural results are limited. This study investigates the procedural outcome and safety of three different stent models (Atlas™, LEO+™ (Baby) and [...] Read more.
Previous case series have described the safety and efficacy of different stent models for stent-assisted aneurysm coiling (SAC), but comparative analyses of procedural results are limited. This study investigates the procedural outcome and safety of three different stent models (Atlas™, LEO+™ (Baby) and Enterprise™) in the setting of elective SAC treated at a tertiary neuro-endovascular center. We retrospectively reviewed all consecutively treated patients that received endovascular SAC for intracranial aneurysms between 1 July 2013 and 31 March 2020, excluding all emergency angiographies for acute subarachnoid hemorrhage. The primary procedural outcome was the occlusion rate evaluated with the Raymond–Roy occlusion classification (RROC) assessed on digital subtraction angiography (DSA) at 6- and 12-month follow-up. Safety assessment included periprocedural adverse events (i.e., symptomatic ischemic complications, symptomatic intracerebral hemorrhage, iatrogenic perforation, dissection, or aneurysm rupture and in-stent thrombosis) and in-house mortality. Uni- and multivariable logistic regression analyses were performed to identify patient baseline and aneurysm characteristics that were associated with complete aneurysm obliteration at follow-up. A total of 156 patients undergoing endovascular treatment via SAC met the inclusion criteria. The median age was 62 years (IQR, 55–71), and 73.7% (115) of patients were female. At first follow-up (6-month) and last available follow-up (12 and 18 months), complete aneurysm occlusion was observed in 78.3% (90) and 76.9% (102) of patients, respectively. There were no differences regarding the occlusion rates stratified by stent model. Multivariable logistic analysis revealed increasing dome/neck ratio (adjusted odds ratio (aOR), 0.26.; 95% CI, 0.11–0.64; p = 0.003), increasing neck size (aOR, 0.70; 95% CI, 0.51–0.96; p = 0.027), and female sex (aOR, 4.37; 95% CI, 1.68–11.36; p = 0.002) as independently associated with treatment success. This study showed comparable rates of complete long-term aneurysm obliteration and safety following SAC for intracranial aneurysm with three different stent-models highlighting the procedural feasibility of this treatment strategy with currently available stent-models. Increased neck size and a higher dome/neck ratio were independent variables associated with less frequent complete aneurysm obliteration. Full article
(This article belongs to the Section Clinical Neurology)
Show Figures

Figure 1

20 pages, 2074 KB  
Review
Advances in OCT Imaging in Myopia and Pathologic Myopia
by Yong Li, Feihui Zheng, Li Lian Foo, Qiu Ying Wong, Daniel Ting, Quan V. Hoang, Rachel Chong, Marcus Ang and Chee Wai Wong
Diagnostics 2022, 12(6), 1418; https://doi.org/10.3390/diagnostics12061418 - 8 Jun 2022
Cited by 33 | Viewed by 10501
Abstract
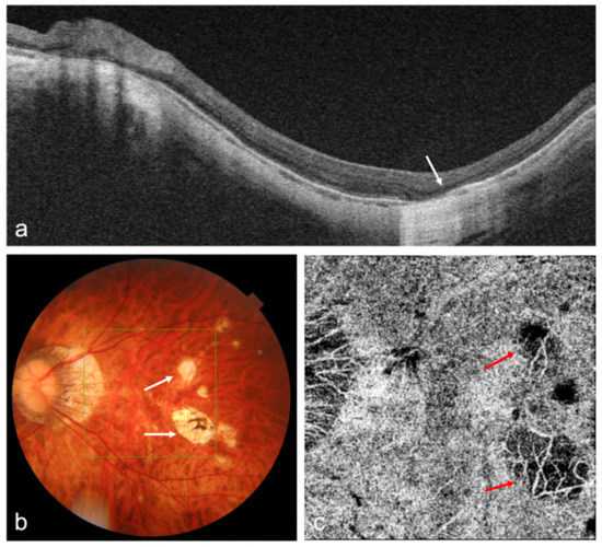
Advances in imaging with optical coherence tomography (OCT) and optical coherence tomography angiography (OCTA) technology, including the development of swept source OCT/OCTA, widefield or ultra-widefield systems, have greatly improved the understanding, diagnosis, and treatment of myopia and myopia-related complications. Anterior segment OCT is [...] Read more.
Advances in imaging with optical coherence tomography (OCT) and optical coherence tomography angiography (OCTA) technology, including the development of swept source OCT/OCTA, widefield or ultra-widefield systems, have greatly improved the understanding, diagnosis, and treatment of myopia and myopia-related complications. Anterior segment OCT is useful for imaging the anterior segment of myopes, providing the basis for implantable collamer lens optimization, or detecting intraocular lens decentration in high myopic patients. OCT has enhanced imaging of vitreous properties, and measurement of choroidal thickness in myopic eyes. Widefield OCT systems have greatly improved the visualization of peripheral retinal lesions and have enabled the evaluation of wide staphyloma and ocular curvature. Based on OCT imaging, a new classification system and guidelines for the management of myopic traction maculopathy have been proposed; different dome-shaped macula morphologies have been described; and myopia-related abnormalities in the optic nerve and peripapillary region have been demonstrated. OCTA can quantitatively evaluate the retinal microvasculature and choriocapillaris, which is useful for the early detection of myopic choroidal neovascularization and the evaluation of anti-vascular endothelial growth factor therapy in these patients. In addition, the application of artificial intelligence in OCT/OCTA imaging in myopia has achieved promising results. Full article
(This article belongs to the Section Biomedical Optics)
Show Figures

Figure 1

16 pages, 4065 KB  
Article
Lithological Mapping Based on Fully Convolutional Network and Multi-Source Geological Data
by Ziye Wang, Renguang Zuo and Hao Liu
Remote Sens. 2021, 13(23), 4860; https://doi.org/10.3390/rs13234860 - 30 Nov 2021
Cited by 40 | Viewed by 5578
Abstract
Deep learning algorithms have found numerous applications in the field of geological mapping to assist in mineral exploration and benefit from capabilities such as high-dimensional feature learning and processing through multi-layer networks. However, there are two challenges associated with identifying geological features using [...] Read more.
Deep learning algorithms have found numerous applications in the field of geological mapping to assist in mineral exploration and benefit from capabilities such as high-dimensional feature learning and processing through multi-layer networks. However, there are two challenges associated with identifying geological features using deep learning methods. On the one hand, a single type of data resource cannot diagnose the characteristics of all geological units; on the other hand, deep learning models are commonly designed to output a certain class for the whole input rather than segmenting it into several parts, which is necessary for geological mapping tasks. To address such concerns, a framework that comprises a multi-source data fusion technology and a fully convolutional network (FCN) model is proposed in this study, aiming to improve the classification accuracy for geological mapping. Furthermore, multi-source data fusion technology is first applied to integrate geochemical, geophysical, and remote sensing data for comprehensive analysis. A semantic segmentation-based FCN model is then constructed to determine the lithological units per pixel by exploring the relationships among multi-source data. The FCN is trained end-to-end and performs dense pixel-wise prediction with an arbitrary input size, which is ideal for targeting geological features such as lithological units. The framework is finally proven by a comparative study in discriminating seven lithological units in the Cuonadong dome, Tibet, China. A total classification accuracy of 0.96 and a high mean intersection over union value of 0.9 were achieved, indicating that the proposed model would be an innovative alternative to traditional machine learning algorithms for geological feature mapping. Full article
Show Figures

Graphical abstract

30 pages, 12176 KB  
Article
U–Pb Zircon Geochronological and Petrologic Constraints on the Post-Collisional Variscan Volcanism of the Tiddas-Souk Es-Sebt des Aït Ikko Basin (Western Meseta, Morocco)
by Ismail Hadimi, Nasrrddine Youbi, Abdelhak Ait Lahna, Mohamed Khalil Bensalah, Oussama Moutbir, João Mata, Miguel Doblas, Colombo Celso Gaeta Tassinari, Laura Gaggero, Miguel Angelo Stipp Basei, Kei Sato, Warda El Moume and Moulay Ahmed Boumehdi
Minerals 2021, 11(10), 1099; https://doi.org/10.3390/min11101099 - 7 Oct 2021
Cited by 10 | Viewed by 4139
Abstract
The NE–SW trending Tiddas Souk Es-Sebt des Ait Ikko (TSESDAI) basin, located at 110 km southeast of Rabat, in the region of Khmesset between the village of Tiddas and Souk Es-Sebt des Ait Ikko, is the third largest late Palaeozoic continental trough in [...] Read more.
The NE–SW trending Tiddas Souk Es-Sebt des Ait Ikko (TSESDAI) basin, located at 110 km southeast of Rabat, in the region of Khmesset between the village of Tiddas and Souk Es-Sebt des Ait Ikko, is the third largest late Palaeozoic continental trough in the northern Central Moroccan Meseta. It is a ~20 km long and ~2–3 km wide basin, comprising mainly mixed volcano-sedimentary reddish-purple continental Permian rocks laying with an angular unconformity on Visean deep marine siliciclastic sediments and unconformably overlain by the Triassic and Cenozoic formations. In this study we aim to better determine the age of Permian volcanics and their chemical and mineralogical characteristics, as well as assess the provenance of inherited zircons, thus contributing to the understanding of the late stages of the Variscan orogeny in Morocco. The standard volcanic succession includes the following terms: (i) andesites, lapilli tuffs and andesitic ash deposits; (ii) accumulations of rhyolitic lavas; (iii) lapilli tuffs and rhyolitic ash (formation F1); (iv) flows and breccias of dacites; (v) andesite flows; and (vi) basaltic flows. The various volcanic and subvolcanic studied rocks display calc-alkaline-series characteristics with high contents of SiO2, Al2O3, CaO, MgO, and relatively abundant alkalis, and low contents of MnO. In the classification diagram, the studied facies occupy the fields of andesites, trachy-basalts, dacites, trachydacites, and rhyolites and display a sub-alkaline behavior. These lavas would be derived from a parental mafic magma (basalts) produced by partial fusion of the upper mantle. Specific chemical analyses that were carried out on the mineralogical phases (biotite and pyroxene) revealed that the examined biotites can be classified as magnesian and share similarities with the calc-alkaline association-field, while the clinopyroxenes are mainly augites and plot on the calc-alkaline orogenic basalt field. Andesites and dacites of TSESDAI show similarities with the rocks of the calc-alkaline series not linked to active subduction and which involve a continental crust in their genesis. The existence of enclaves in the lavas of the TSESDAI massif; the abnormally high contents of Rb, Ba, Th, and La; and the systematic anomalies in TiO2 and P2O5 indicate also a crustal contamination mechanism. Three magmatic episodes are distinguished with two episodes that correspond to an eruptive cycle of calc-alkaline andesites and rhyolites followed by a basaltic episode. The SHRIMP U–Pb geochronologic data of zircons recovered from the rhyolite dome of Ari El Mahsar in TSESDAI basin show a Concordia age of 286.4 ± 4.7 Ma interpreted to date the magmatic crystallization of this dome. Thus, the rhyolite likely belongs to the third magmatic episodes of TSESDAI. Full article
Show Figures

Figure 1

8 pages, 1230 KB  
Article
Percutaneous Navigation under Local Anesthesia for Computed Tomography-Guided Microwave Ablation of Malignant Liver Lesions Located in the Hepatic Dome
by Dimitrios K. Filippiadis, Georgios Velonakis, Argyro Mazioti, Athanasios Tsochatzis, Thomas Vrachliotis, Alexis Kelekis and Nikolaos Kelekis
Medicina 2021, 57(10), 1056; https://doi.org/10.3390/medicina57101056 - 3 Oct 2021
Cited by 7 | Viewed by 2975
Abstract
Background and Objectives: The aim of the present study was to report the safety and efficacy of percutaneous navigation under local anesthesia for computed tomography-guided microwave ablation of malignant liver lesions located in the hepatic dome. Patients with primary and secondary malignant liver [...] Read more.
Background and Objectives: The aim of the present study was to report the safety and efficacy of percutaneous navigation under local anesthesia for computed tomography-guided microwave ablation of malignant liver lesions located in the hepatic dome. Patients with primary and secondary malignant liver lesions located in the hepatic dome who underwent percutaneous computed tomography-guided microwave ablation using a computer-assisted navigation system under local anesthesia were prospectively evaluated. The primary objective was technical success. Materials and Methods: The sample consisted of 10 participants (16 lesions) with a mean age of 60.60 years (SD = 9.25 years) and a mean size of 20.37 ± 7.29 cm, and the mean follow-up time was 3.4 months (SD = 1.41) months. Results: Primary technical success was 93.75%. Tumor remnant was noticed at one month follow-up in a single metastatic lesion, which was re-treated with an ablation session, and no tumor remnant was depicted in the subsequent imaging follow-up (secondary technical success 100%). Grade I self-limited complications (according to the CIRSE classification system) included small pleural effusion (n = 1) and minor bleeding post antenna removal (n = 1) requiring nothing but observation. Conclusions: the findings of the present study indicate that percutaneous navigation under local anesthesia is a safe and efficacious approach for computed tomography-guided microwave ablation of malignant liver lesions located in the hepatic dome. Large randomized controlled studies are warranted to observe treatment effectiveness and compare the results with those of other options. Full article
(This article belongs to the Collection Interventional Oncology)
Show Figures

Figure 1

30 pages, 11380 KB  
Article
Porous Media Computational Fluid Dynamics and the Role of the First Coil in the Embolization of Ruptured Intracranial Aneurysms
by Karol Wiśniewski, Bartłomiej Tomasik, Zbigniew Tyfa, Piotr Reorowicz, Ernest J. Bobeff, Ludomir Stefańczyk, Bartłomiej J. Posmyk, Krzysztof Jóźwik and Dariusz J. Jaskólski
J. Clin. Med. 2021, 10(7), 1348; https://doi.org/10.3390/jcm10071348 - 24 Mar 2021
Cited by 13 | Viewed by 3195
Abstract
Background: The objective of our project was to identify a late recanalization predictor in ruptured intracranial aneurysms treated with coil embolization. This goal was achieved by means of a statistical analysis followed by a computational fluid dynamics (CFD) with porous media modelling approach. [...] Read more.
Background: The objective of our project was to identify a late recanalization predictor in ruptured intracranial aneurysms treated with coil embolization. This goal was achieved by means of a statistical analysis followed by a computational fluid dynamics (CFD) with porous media modelling approach. Porous media CFD simulated the hemodynamics within the aneurysmal dome after coiling. Methods: Firstly, a retrospective single center analysis of 66 aneurysmal subarachnoid hemorrhage patients was conducted. The authors assessed morphometric parameters, packing density, first coil volume packing density (1st VPD) and recanalization rate on digital subtraction angiograms (DSA). The effectiveness of initial endovascular treatment was visually determined using the modified Raymond–Roy classification directly after the embolization and in a 6- and 12-month follow-up DSA. In the next step, a comparison between porous media CFD analyses and our statistical results was performed. A geometry used during numerical simulations based on a patient-specific anatomy, where the aneurysm dome was modelled as a separate, porous domain. To evaluate hemodynamic changes, CFD was utilized for a control case (without any porosity) and for a wide range of porosities that resembled 1–30% of VPD. Numerical analyses were performed in Ansys CFX solver. Results: A multivariate analysis showed that 1st VPD affected the late recanalization rate (p < 0.001). Its value was significantly greater in all patients without recanalization (p < 0.001). Receiver operating characteristic curves governed by the univariate analysis showed that the model for late recanalization prediction based on 1st VPD (AUC 0.94 (95%CI: 0.86–1.00) is the most important predictor of late recanalization (p < 0.001). A cut-off point of 10.56% (sensitivity—0.722; specificity—0.979) was confirmed as optimal in a computational fluid dynamics analysis. The CFD results indicate that pressure at the aneurysm wall and residual flow volume (blood volume with mean fluid velocity > 0.01 m/s) within the aneurysmal dome tended to asymptotically decrease when VPD exceeded 10%. Conclusions: High 1st VPD decreases the late recanalization rate in ruptured intracranial aneurysms treated with coil embolization (according to our statistical results > 10.56%). We present an easy intraoperatively calculable predictor which has the potential to be used in clinical practice as a tip to improve clinical outcomes. Full article
(This article belongs to the Special Issue Diagnosis and Treatment of Vascular Malformations)
Show Figures

Figure 1

24 pages, 7434 KB  
Article
Unsupervised Machine Learning on Domes in the Lunar Gardner Region: Implications for Dome Classification and Local Magmatic Activities on the Moon
by Yuchao Chen, Qian Huang, Jiannan Zhao and Xiangyun Hu
Remote Sens. 2021, 13(5), 845; https://doi.org/10.3390/rs13050845 - 24 Feb 2021
Cited by 10 | Viewed by 3283
Abstract
Lunar volcanic domes are essential windows into the local magmatic activities on the Moon. Classification of domes is a useful way to figure out the relationship between dome appearances and formation processes. Previous studies of dome classification were manually or semi-automatically carried out [...] Read more.
Lunar volcanic domes are essential windows into the local magmatic activities on the Moon. Classification of domes is a useful way to figure out the relationship between dome appearances and formation processes. Previous studies of dome classification were manually or semi-automatically carried out either qualitatively or quantitively. We applied an unsupervised machine-learning method to domes that are annularly or radially distributed around Gardner, a unique central-vent volcano located in the northern part of the Mare Tranquillitatis. High-resolution lunar imaging and spectral data were used to extract morphometric and spectral properties of domes in both the Gardner volcano and its surrounding region in the Mare Tranquillitatis. An integrated robust Fuzzy C-Means clustering algorithm was performed on 120 combinations of five morphometric (diameter, area, height, surface volume, and slope) and two elemental features (FeO and TiO2 contents) to find the optimum combination. Rheological features of domes and their dike formation parameters were calculated for dome-forming lava explanations. Results show that diameter, area, surface volume, and slope are the selected optimum features for dome clustering. 54 studied domes can be grouped into four dome clusters (DC1 to DC4). DC1 domes are relatively small, steep, and close to the Gardner volcano, with forming lavas of high viscosities and low effusion rates, representing the latest Eratosthenian dome formation stage of the Gardner volcano. Domes of DC2 to DC4 are relatively large, smooth, and widely distributed, with forming lavas of low viscosities and high effusion rates, representing magmatic activities varying from Imbrian to Eratosthenian in the northern Mare Tranquillitatis. The integrated algorithm provides a new and independent way to figure out the representative properties of lunar domes and helps us further clarify the relationship between dome clusters and local magma activities of the Moon. Full article
(This article belongs to the Special Issue Planetary 3D Mapping, Remote Sensing and Machine Learning)
Show Figures

Graphical abstract

Back to TopTop