Sign in to use this feature.

Years

Between: -

Subjects

remove_circle_outline
remove_circle_outline
remove_circle_outline
remove_circle_outline
remove_circle_outline
remove_circle_outline
remove_circle_outline
remove_circle_outline
remove_circle_outline

Journals

remove_circle_outline
remove_circle_outline
remove_circle_outline
remove_circle_outline
remove_circle_outline
remove_circle_outline
remove_circle_outline
remove_circle_outline
remove_circle_outline
remove_circle_outline

Article Types

Countries / Regions

remove_circle_outline
remove_circle_outline
remove_circle_outline
remove_circle_outline
remove_circle_outline
remove_circle_outline
remove_circle_outline

Search Results (594)

Search Parameters:
Keywords = defect-rich

Order results
Result details
Results per page
Select all
Export citation of selected articles as:
13 pages, 2615 KB  
Article
Chromaticity Study of Yellow HTHP Lab-Grown Diamonds Based on Spectroscopy
by Zhuchun Peng, Yicong Sun, Mingming Xie, Zheng Zhang, Bin Meng, Siqi Yang and Endong Zu
Crystals 2025, 15(11), 942; https://doi.org/10.3390/cryst15110942 (registering DOI) - 31 Oct 2025
Abstract
In recent years, lab-grown diamonds have become more popular in both domestic and international markets for their rich color palette. Research on yellow lab-grown diamonds has primarily focused on spectroscopic and defect characteristics currently, while the study has largely focused on nitrogen content [...] Read more.
In recent years, lab-grown diamonds have become more popular in both domestic and international markets for their rich color palette. Research on yellow lab-grown diamonds has primarily focused on spectroscopic and defect characteristics currently, while the study has largely focused on nitrogen content and related color-causing mechanisms, such as NV series defects. However, the relationship between nitrogen content and defects and color is limited. In this study, eight lab-grown diamonds with varying yellow shades were selected as samples to be studied by photoluminescence spectra, infrared spectra, Raman spectra, and colorimetry testing. Based on the colorimetric parameters L*, a*, and b*, the standard formula for the yellowness index, the intensities of the NV0 and NV peaks in the photoluminescence spectra and the absorptivity in the infrared spectra, the hue angle h, the yellowness index YI E313, the concentration ratio of NV defect in NV color centers R, and the nitrogen content NC were calculated. Results indicate that characteristic peaks of NV series defects as a specific photoluminescence signature, notably the absence of [Si-V] defect, demonstrate that the samples are high-temperature, high-pressure diamonds derived from graphite that underwent post-growth irradiation. The specific infrared signature indicates that the type of samples is type Ib, attributed to isolated nitrogen (C aggregate). The intrinsic peak of diamond is detected in Raman spectra, with symmetric stretching vibrations of C and N and the ‘D’ peak of graphite is detected as well. Meanwhile, the yellowness index shows a negative correlation with hue angle, a positive correlation with concentration ratio, and a positive linear correlation with nitrogen content, the equation y = 0.17x + 124.40. The yellowness index is divided into three levels: 70–80, 80–90, and 90–100. The yellow hue of samples is light between 70–80, intense between 80–90, and deep between 90–100. Full article
(This article belongs to the Section Mineralogical Crystallography and Biomineralization)
Show Figures

Figure 1

15 pages, 4366 KB  
Article
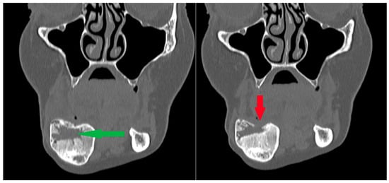
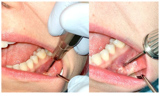
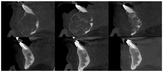
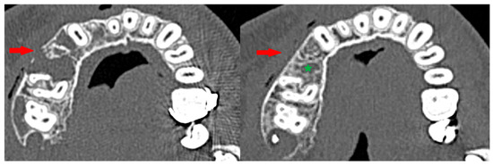
Authors’ Protocol of Central Giant Cell Granuloma Effective Treatment in the Jawbone
by Dominik Szczeciński, Patrycja Ujma, Katarzyna Radwańska, Piotr Szymor and Marcin Kozakiewicz
Cancers 2025, 17(21), 3510; https://doi.org/10.3390/cancers17213510 (registering DOI) - 31 Oct 2025
Abstract
Background: Central giant cell granuloma of the jaw is a benign but potentially aggressive lesion that can cause pain, facial deformity, tooth loss, and jaw destruction. Many treatment methods are described in the literature, but the less invasive ones are associated with a [...] Read more.
Background: Central giant cell granuloma of the jaw is a benign but potentially aggressive lesion that can cause pain, facial deformity, tooth loss, and jaw destruction. Many treatment methods are described in the literature, but the less invasive ones are associated with a higher recurrence rate. For several decades, extensive bone resection procedures have been the most effective treatment to date. This study aimed to evaluate a minimally invasive treatment protocol combining multiple weekly intralesional steroid injections with surgical removal of residual tumor tissue and chemical cauterization using Carnoy’s solution. Methods: Thirteen patients with histologically confirmed central giant cell granulomas of the jaws were treated according to the protocol, including weekly triamcinolone injections and, when necessary, fenestration of the cortical bone to access residual lesions. Patients were monitored clinically and radiologically over six years, with reconstruction of bone defects using autogenous grafts and platelet-rich fibrin. Results: The treatment effectively reduced tumor size, restored cortical bone, and allowed preservation of jaw structure. Only one recurrence was observed, and complications were minor and transient. The protocol was equally effective for both aggressive and non-aggressive lesions, regardless of patient age or comorbidities. Conclusions: These findings suggest that combining pharmacological and surgical approaches with chemical cauterization provides a safe, effective, and tissue-preserving strategy for managing central giant cell granulomas, minimizing recurrence while reducing surgical morbidity. Full article
Show Figures

Figure 1

23 pages, 14077 KB  
Article
Mitigating Out-of-Plane Fiber Waviness in AFP Laminates with Tow-Gaps via Selective Placement of Thermoplastic Veils
by Ahmadreza Ravangard, Kuthan Celebi, Sergii G. Kravchenko and Oleksandr G. Kravchenko
Fibers 2025, 13(11), 145; https://doi.org/10.3390/fib13110145 - 24 Oct 2025
Viewed by 234
Abstract
Fiber tow-gaps and overlaps formed during the Automated Fiber Placement (AFP) process pose a significant challenge by introducing non-uniform composite morphologies, often characterized by resin-rich regions and fiber waviness. These defects occur as deposited fibers sink into the gap regions during consolidation, with [...] Read more.
Fiber tow-gaps and overlaps formed during the Automated Fiber Placement (AFP) process pose a significant challenge by introducing non-uniform composite morphologies, often characterized by resin-rich regions and fiber waviness. These defects occur as deposited fibers sink into the gap regions during consolidation, with gap geometry determined during path planning. Such morphological inconsistencies can compromise structural reliability by initiating premature failure, particularly through localized out-of-plane waviness and resin accumulation. This study investigates the integration of high melting temperature thermoplastic veils, specifically polyetherimide (PEI), into fiber tow-gaps as a method to prevent ply sinking and reduce fiber waviness on both internal and external surfaces of the laminate. The PEI veils also serve to reinforce resin-rich regions by forming an interpenetrated network of high fracture toughness material within the brittle epoxy matrix. Tensile tests conducted on cross-ply laminates containing staggered gaps demonstrated that the inclusion of PEI veils modified the failure mode. The results suggest that the selective placement of thermoplastic veils within tow-gaps during AFP offers a viable strategy to mitigate manufacturing-induced non-uniform morphologies. Full article
Show Figures

Figure 1

17 pages, 3299 KB  
Article
ROS-Mediated Nematocidal Activity and Reproductive Toxicity of Herbal Extracts in Caenorhabditis elegans
by Anna Hu, Qinghao Meng, Zifei Liu, Yuxuan Wu, Robert P. Borris and Hyun-Min Kim
Nutrients 2025, 17(21), 3337; https://doi.org/10.3390/nu17213337 - 23 Oct 2025
Viewed by 200
Abstract
Background/Objectives: Traditional medicinal plants are a rich source of phytochemicals with diverse biological effects, yet their safety and mechanistic impact on reproductive health remain underexplored. In this study, we investigated the effects of Ruscus hyrcanus, Juniperus oblonga, and Stachys lavandulifolia extracts [...] Read more.
Background/Objectives: Traditional medicinal plants are a rich source of phytochemicals with diverse biological effects, yet their safety and mechanistic impact on reproductive health remain underexplored. In this study, we investigated the effects of Ruscus hyrcanus, Juniperus oblonga, and Stachys lavandulifolia extracts on survival, fertility, and germline integrity in Caenorhabditis elegans. Methods: Synchronized young adult worms were exposed to each extract, and survival and reproductive parameters were statistically analyzed using two-tailed Mann-Whitney tests. Results: Through LC-MS analysis, we identified that all three extracts shared 78 compounds, mainly including phenolic acids, flavonoids, and terpenoids. Our findings indicate that reactive oxygen species generation is a major driver of nematocidal and fertility-reducing effects, while modulation of DNA damage response pathways further contributes to germline defects. Conclusions: Taken together, these results demonstrate that exposure to the extracts significantly (p < 0.05) reduces survival, impairs larval development, elevates the High Incidence of Males phenotype, and disrupts germline integrity in a dose-dependent manner. Full article
Show Figures

Figure 1

26 pages, 11507 KB  
Article
PLD-DETR: A Method for Defect Inspection of Power Transmission Lines
by Jianing Chen, Xin Zhang, Dawei Feng, Jiahao Li and Liang Zhu
Electronics 2025, 14(20), 4107; https://doi.org/10.3390/electronics14204107 - 20 Oct 2025
Viewed by 365
Abstract
Unmanned Aerial Vehicle (UAV)-based computer vision has emerged as a crucial approach for transmission line defect detection. However, transmission lines contain multi-scale components in complex environments, thereby complicating the accurate extraction of multi-scale features and necessitating a careful balance between model complexity with [...] Read more.
Unmanned Aerial Vehicle (UAV)-based computer vision has emerged as a crucial approach for transmission line defect detection. However, transmission lines contain multi-scale components in complex environments, thereby complicating the accurate extraction of multi-scale features and necessitating a careful balance between model complexity with detection accuracy. This paper proposes a Transformer-based framework called Power Line Defect Detection Transformer (PLD-DETR). To simultaneously capture shallow texture and deep semantic information while avoiding single-path limitations, a dual-domain selection mechanism block is designed as the backbone network, enabling collaborative feature extraction at different levels. Subsequently, an adaptive sparse self-attention mechanism is introduced to dynamically adjust attention weights for improved processing of critical feature regions, aiming to enhance attention to semantically rich regions and reduce background interference. Finally, we construct a multi-branch auxiliary bidirectional feature pyramid network to address information loss in traditional feature fusion. It fuses multi-scale features from four backbone layers through top-down and bottom-up bidirectional information flow, significantly improving feature representation capability. While maintaining model lightness, experimental results demonstrate that PLD-DETR achieves 2.7%, 7.01%, and 5.58% improvements in AP50, AP75, and AP50–95, respectively, compared to the baseline model. Compared with other transmission line defect detection methods, PLD-DETR demonstrates superior performance in both accuracy and efficiency Full article
(This article belongs to the Special Issue AI Applications for Smart Grid)
Show Figures

Figure 1

26 pages, 4031 KB  
Systematic Review
Modified Coronally Advanced Flaps: A Systematic Review and Meta-Analysis
by Miriana Gualtieri, Annarita Signoriello, Alessia Pardo, Diana Andreea Muresan, Alessandro Zangani, Paolo Faccioni, Giovanni Corrocher and Giorgio Lombardo
Dent. J. 2025, 13(10), 477; https://doi.org/10.3390/dj13100477 - 17 Oct 2025
Viewed by 453
Abstract
Background: Gingival recession (GR) is defined as the exposure of the root surface due to the gingival margin shifting apically from the cemento-enamel junction. Current effective management of defects related to GR relies on root coverage periodontal plastic surgery (RCPPS), using the [...] Read more.
Background: Gingival recession (GR) is defined as the exposure of the root surface due to the gingival margin shifting apically from the cemento-enamel junction. Current effective management of defects related to GR relies on root coverage periodontal plastic surgery (RCPPS), using the Modified Coronally Advanced Flap (mCAF) with an envelope design. Recent literature also reported the association of different biomaterials to the mCAF procedure. In light of these considerations, a systematic review (SR) was conducted to determine and compare the efficacy of all mCAF adjunctive techniques for the treatment of multiple adjacent GR-type (MAGR) defects. Methods: An electronic search was conducted in 2025 on studies published between 2013 and 2025, using PubMed, Scopus, Web of Science, and Cinahl Complete, to address the focused question: “which is the efficacy of different mCAF adjunctive techniques for the treatment of multiple adjacent GR-type defects, in terms of root coverage (RC), esthetic outcomes, and keratinized tissue (KT) augmentation?”. Randomized controlled trials with a minimum follow-up of 6 months with ≥ 5 patients treated for coverage of MAGR were included. Risk of bias was assessed with RoB 2 Tool. A meta-analysis was performed using RevMan5.4 software and the level of evidence of included studies was analyzed with GRADEPro GDT. Results: A total of 17 studies were included in the SR, 9 of which evaluating mCAF + sCTG (subepithelial connective tissue graft) vs. mCAF adjunctive techniques [Collagen Matrix (CM), xenogeneic acellular dermal matrix (XADM), Platelet-Rich Fibrin (PRF), Enamel Matrix Derivatives (EMD), sCTG harvested double blade scalpel] were then included in the meta-analysis. The primary outcomes of complete root coverage (CRC) and keratinized tissue width variation (ΔKTW) were statistically significant ([CRC: Odds Ratio (OR) 1.70; 95% CI (confidence interval) 1.18, 2.44; p = 0.004]; [ΔKTW: SMD (standardized mean difference) 0.37; 95% CI 0.11, 0.63; p = 0.005]) in favor of mCAF + CTG. Meanwhile, no statistically significant difference was observed in terms of RES. The certainty assessment highlighted relevant results: despite the lack of evidence in the long-term, a high level of evidence showed that sCTG was more effective than XADM in terms of CRC (p = 0.002) and ΔKTW (p = 0.0001). A low level of evidence revealed that sCTG achieved a greater ΔKTW compared to CM (p = 0.0006). Although no significant differences were observed, a low level of evidence suggested that mCAF + EMD and mCAF + sCTG (DBS) may provide good results. To date, only one RCT showed long-term stable results of CTG in terms of RC. Conclusions: The association of sCTG to mCAF demonstrated better results in terms of RC and KTW augmentation in short- and medium-term follow-ups. Long-term studies are needed to confirm the efficacy of the other mCAF adjunctive techniques, considering limitations due to heterogeneity in follow-ups, distribution of techniques analyzed, and different study designs. Registration in PROSPERO (International prospective register of systematic reviews) was performed with ID CRD420251085823. Full article
(This article belongs to the Topic Oral Health Management and Disease Treatment)
Show Figures

Figure 1

13 pages, 3323 KB  
Article
Comparative Outcomes of Delayed i-PRF Combination with Nanofracture in the Treatment of Large Chondral Defects in the Knee
by Özgür Başal, James G. Jefferies, Jure Serdar and Mahmut Nedim Doral
Medicina 2025, 61(10), 1849; https://doi.org/10.3390/medicina61101849 - 15 Oct 2025
Viewed by 240
Abstract
Background and Objectives: This study aimed to evaluate whether delayed intra-articular application of injectable platelet-rich fibrin (i-PRF) improves clinical and radiologic outcomes compared to nanofracture alone. Materials and Methods: A total of 76 patients with ICRS Grade III–IV femoral condyle or [...] Read more.
Background and Objectives: This study aimed to evaluate whether delayed intra-articular application of injectable platelet-rich fibrin (i-PRF) improves clinical and radiologic outcomes compared to nanofracture alone. Materials and Methods: A total of 76 patients with ICRS Grade III–IV femoral condyle or trochlear cartilage defects larger than 2 cm2 were enrolled in this prospective controlled study. Patients were allocated into two groups: Group 1 (n = 40) underwent nanofracture followed by delayed intra-articular i-PRF injection at three weeks postoperatively, while Group 2 (n = 36) underwent nanofracture alone. Preoperative MRI was evaluated using the AMADEUS grading system. Clinical outcomes—including WOMAC and IKDC scores—were assessed at baseline and at 6, 12, and 24 months postoperatively. MOCART 2.0 scoring was used to evaluate cartilage repair at ≥12 months follow-up. Results: Both groups demonstrated significant functional improvement according to the IKDC and WOMAC scores. However, Group 1 showed a significantly greater improvement in WOMAC total score at final follow-up (Group 1: 20.1 ± 4.3 vs. control: 23.2 ± 3.4; p = 0.0008). No statistically significant differences were found between groups in IKDC score (p = 0.238), Tegner score (p = 0.776), or time to return to daily activities (p = 0.401). Baseline demographic, radiological, and intraoperative variables were comparable between groups (p > 0.05 for all). Radiologic outcomes based on the mean MOCART 2.0 scores were 57.1 and 50, respectively, in group 1 and group 2 (p = 0.0316). These results showed significantly improved results in group 1 according to the MRI evaluation. Conclusions: In patients with large chondral defects (>2 cm2), delayed intra-articular i-PRF injection following nanofracture may improve mid-term functional and radiological outcomes, particularly in pain and symptom relief. This regenerative strategy enhances cartilage repair potential during the early healing phase without adding surgical complexity. Full article
(This article belongs to the Section Orthopedics)
Show Figures

Figure 1

15 pages, 8005 KB  
Article
Effect of the Activator B(OCH3)3 on the Microstructure and Mechanical Properties of Cu-Mn-Al Alloy Coating via CMT Cladding
by Jin Peng, Shihua Xie, Junhai Xia, Xingxing Wang, Zenglei Ni, Pei Wang and Nannan Chen
Crystals 2025, 15(10), 881; https://doi.org/10.3390/cryst15100881 - 13 Oct 2025
Viewed by 243
Abstract
This study investigates the fabrication of a Cu-Mn-Al alloy coating on 27SiMn steel using Cold Metal Transfer (CMT) technology with an innovative Ar-B(OCH3)3 mixed shielding gas, focusing on the effect of the gas flow rate (5–20 L/min). The addition of [...] Read more.
This study investigates the fabrication of a Cu-Mn-Al alloy coating on 27SiMn steel using Cold Metal Transfer (CMT) technology with an innovative Ar-B(OCH3)3 mixed shielding gas, focusing on the effect of the gas flow rate (5–20 L/min). The addition of B(OCH3)3 was found to significantly enhance process stability by improving molten pool wettability, resulting in a wider cladding layer (6.565 mm) and smaller wetting angles compared to pure Ar. Macro-morphology analysis identified 10 L/min as the optimal flow rate for achieving a uniform and defect-free coating, while deviations led to oxidation (at low flow) or spatter and turbulence (at high flow). Microstructural characterization revealed that the flow rate critically governs phase evolution, with the primary κI phase transforming from dendritic/granular to petal-like/rod-like morphologies. At higher flow rates (≥15 L/min), increased stirring promoted Fe dilution from the substrate, leading to the formation of Fe-rich intermetallic compounds and distinct spherical Fe phases. Consequently, the cladding layer obtained at 10 L/min exhibited balanced and superior properties, achieving a maximum shear strength of 303.22 MPa and optimal corrosion resistance with a minimum corrosion rate of 0.02935 mm/y. All shear fractures occurred within the cladding layer, demonstrating superior interfacial bonding strength and ductile fracture characteristics. This work provides a systematic guideline for optimizing shielding gas parameters in the CMT cladding of high-performance Cu-Mn-Al alloy coatings. Full article
(This article belongs to the Section Crystalline Metals and Alloys)
Show Figures

Figure 1

15 pages, 13148 KB  
Article
Scaffold-Free Bone Regeneration Through Collaboration Between Type IV Collagen and FBXL14
by Mari Akiyama
J. Clin. Med. 2025, 14(20), 7160; https://doi.org/10.3390/jcm14207160 - 11 Oct 2025
Viewed by 381
Abstract
Background: The periosteum and periosteum-derived cells have attracted considerable attention for their potential use in clinical applications for treating bone defects. Bovine periosteum-derived cells have been investigated because of their capability for scaffold-free bone regeneration. Previous mass spectrometry (MS) and immunohistochemistry studies [...] Read more.
Background: The periosteum and periosteum-derived cells have attracted considerable attention for their potential use in clinical applications for treating bone defects. Bovine periosteum-derived cells have been investigated because of their capability for scaffold-free bone regeneration. Previous mass spectrometry (MS) and immunohistochemistry studies have shown the presence of F-box/leucine-rich repeat protein 14 (FBXL14) in bovine periosteum and periosteum-derived cells. Recently, studies using ESI-Q-Orbitrap MS suggested the presence of type IV collagen in the periosteum. The aim of the present study was to clarify the relationship between type IV collagen and FBXL14 in the formation of periosteum-derived cells. Methods: Bovine periosteum-derived cells were obtained from Japanese Black Cattle’s legs in Medium 199 with ascorbic acid and 10% fetal bovine serum. Immunohistochemistry for type IV collagen and FBXL14 was performed using bovine bone with periosteum and periosteum alone for explant culture. Results: Both type IV collagen and FBXL14 were expressed in Volkmann’s canals and the Haversian canals in bone and periosteum. After 5 weeks, type IV collagen and FBXL14 surrounded crystals containing osteocalcin and had formed periosteum-derived cells. Von Kossa staining and immunostaining of osteocalcin revealed that the crystals contained calcified substances and osteocalcin. Conclusions: Clinically, understanding osteocalcin-interacting proteins will help promote bone regeneration. Interactions between type IV collagen and FBXL14 may contribute to scaffold-free bone regeneration. Full article
Show Figures

Figure 1

20 pages, 6904 KB  
Article
In Vitro Corrosion Resistance and Mechanical Properties of Ag-SiO2-TiO2 Coatings Electrophoretically Deposited on NiTi Alloy
by Bożena Łosiewicz, Julian Kubisztal, Adrian Barylski and Karolina Dudek
Coatings 2025, 15(10), 1176; https://doi.org/10.3390/coatings15101176 - 8 Oct 2025
Viewed by 383
Abstract
NiTi alloys are widely used in biomedical applications due to their shape memory and superelastic properties. However, their surface reactivity requires protective, biofunctional coatings. To enhance NiTi performance, its surface was modified with an Ag-SiO2-TiO2 nanocoating containing small amounts of [...] Read more.
NiTi alloys are widely used in biomedical applications due to their shape memory and superelastic properties. However, their surface reactivity requires protective, biofunctional coatings. To enhance NiTi performance, its surface was modified with an Ag-SiO2-TiO2 nanocoating containing small amounts of silica and silver. The coating’s primary phase was rutile with structural defects and a silver solid solution. It showed good adhesion, high scratch resistance, and improved corrosion behavior in Ringer’s solution, as demonstrated by EIS and cyclic polarization. EIS revealed high low-frequency impedance and two time constants, suggesting both barrier protection and slower electrochemical processes. Despite low breakdown and repassivation potentials, the coating effectively limited uniform corrosion. SEM/EDS confirmed localized degradation and partial substrate exposure, while elemental mapping showed well-dispersed silica and silver in a TiO2-rich matrix. The proposed pitting mechanism involves chloride-induced depassivation and galvanic effects. Surface potential mapping indicated electrostatic heterogeneity, mitigated by silica. The coating offers a balanced combination of corrosion protection and biofunctionality, supporting its potential for implant use. Full article
(This article belongs to the Special Issue Recent Advances in Surface Functionalisation, 2nd Edition)
Show Figures

Graphical abstract

23 pages, 4451 KB  
Article
Investigation of the Effect of Enamel Matrix Protein, Platelet-Rich Fibrin, and Bone Graft on New Bone Formation in Guided Tissue Regeneration in Rat Calvarium
by Tuğçe Dönmezer, Tuba Talo Yildirim, Serkan Dündar, Alihan Bozoğlan and İbrahim Hanifi Özercan
Medicina 2025, 61(10), 1795; https://doi.org/10.3390/medicina61101795 - 4 Oct 2025
Viewed by 375
Abstract
Background and Objective: The aim of this study was to evaluate the effects of enamel matrix protein, platelet-rich fibrin (PRF), and bone graft on new bone formation beyond the skeletal system by creating calvarial bone defects in rats. The effects were assessed [...] Read more.
Background and Objective: The aim of this study was to evaluate the effects of enamel matrix protein, platelet-rich fibrin (PRF), and bone graft on new bone formation beyond the skeletal system by creating calvarial bone defects in rats. The effects were assessed using histopathological and immunohistochemical analyses. Materials and Methods: In this study, calvarial bone defects were created in male Sprague Dawley rats weighing 500–550 g. The animals were randomly divided into seven groups: Control (n = 13), Emdogain (EMD, n = 13), Emdogain + Bone Graft (EMD + BG, n = 13), Platelet-Rich Fibrin (PRF, n = 13), PRF + Bone Graft (PRF + BG, n = 13), Bone Graft (BG, n = 13), and PRF + Emdogain + Bone Graft (PRF + EMD + BG, n = 13). An additional group of 36 rats was used for PRF preparation. Titanium domes were placed on the calvarial bone defects, and the animals were sacrificed after three months. Bone samples were evaluated histopathologically for new bone formation, numbers of osteoblasts and osteoclasts, angiogenesis, and fibrosis. Immunohistochemical analysis of bone formation was performed using OPG and RANKL staining kits. Data were analyzed statistically. Results: The PRF group showed a significantly higher level of moderate new bone formation compared with the PRF + BG, EMD + BG, and PRF + EMD + BG groups (p ≤ 0.05). No significant differences were observed among the groups in terms of fibrosis or angiogenesis (p > 0.05). Similarly, OPG and RANKL levels, as well as the OPG/RANKL ratio, did not differ significantly between groups (p > 0.05). Conclusions: Based on the findings of this study, the combined use of Emdogain, PRF, and bone graft appears to have beneficial effects on enhancing bone formation in calvarial defects. Full article
(This article belongs to the Section Dentistry and Oral Health)
Show Figures

Figure 1

16 pages, 411 KB  
Article
Examining the Anthropological–Philosophical Implicit Content in Carl Menger’s Value Theory Through Three Philosophers
by Diego Colomés and Luca Valera
Philosophies 2025, 10(5), 109; https://doi.org/10.3390/philosophies10050109 - 29 Sep 2025
Viewed by 539
Abstract
In this paper, we analyze the concept of need that we find in the foundation of Carl Menger’s value theory to then confront it with such heterogeneous philosophical theories as Ludwig Feuerbach’s dialectic of feelings, Arnold Gehlen’s notion of humans as defective beings, [...] Read more.
In this paper, we analyze the concept of need that we find in the foundation of Carl Menger’s value theory to then confront it with such heterogeneous philosophical theories as Ludwig Feuerbach’s dialectic of feelings, Arnold Gehlen’s notion of humans as defective beings, and Ortega y Gasset’s theory about the role of technology and production in the human project. In general terms, these authors worked with the same notion of need that Menger used, but from an anthropological perspective. In this sense, we hypothesize that, despite belonging to heterogeneous philosophical traditions, the authors above can help us fully understand the concept of need in Menger, a notion that he did not develop in depth. In doing so, we attempt to show that this implicit content prefigures an anthropology that conceives human beings as primarily active and axiological beings. With this, we also aim to show the hermeneutical richness of the concept of need, as well as its relevance for creating interdisciplinary connections for future research. Full article
Show Figures

Figure 1

12 pages, 743 KB  
Article
Wharton’s Jelly Tissue Allografts for Tearing in the Plantar Fascia: A Case Series
by Babak Baravarian, Gi Kwon, Conrad Tamea, John Shou, Naomi Lambert, Alexis Lee, Eva Castle and Tyler Barrett
Biomedicines 2025, 13(10), 2328; https://doi.org/10.3390/biomedicines13102328 - 24 Sep 2025
Viewed by 598
Abstract
Introduction: Plantar fasciitis (PF), or more recently plantar fasciopathy due to its degenerative nature, is the most common cause of heel pain in adults and is often refractory to conservative care. One alternative conservative intervention involves replacing damaged fascia with homologous tissue, [...] Read more.
Introduction: Plantar fasciitis (PF), or more recently plantar fasciopathy due to its degenerative nature, is the most common cause of heel pain in adults and is often refractory to conservative care. One alternative conservative intervention involves replacing damaged fascia with homologous tissue, such as Wharton’s jelly (WJ) connective tissue allografts. The purpose of this observational study is to evaluate the efficacy and safety of collagen-rich Wharton’s jelly (WJ) when applied to defects in the plantar fascia. Materials and Methods: From the observational repository, nine patients who had plantar fasciopathy and received a single application of WJ were observed over 90 days. Outcomes were tracked using the Numeric Pain Rating Scale (NPRS), the Western Ontario and McMaster University Arthritis Index (WOMAC), and the Quality-of-Life Scale (QOLS) with no adverse reactions reported. Results: The cohort was 56% male (n = 5) and 44% female (n = 4), with a mean age of 73. From the initial to final visit, patients reported an overall trend of improvement in all scales. Statistically significant Bonferroni-adjusted differences were observed in the WOMAC scale. Age was a significant predictor of the total WOMAC score change from the initial to the final visit. Discussion: Although only a small cohort was observed, the preliminary evidence suggests the safety and efficacy of WJ allografts for plantar fascia degeneration. Key limitations of this study included a small cohort size and a lack of a comparison group with other alternative methods. Conclusions: The favorable results in this study could encourage future research to validate the clinical potential, safety, and dosing protocols of Wharton’s jelly as a primary conservative care method for patients suffering from plantar fasciopathy. Full article
(This article belongs to the Section Molecular and Translational Medicine)
Show Figures

Figure 1

18 pages, 2628 KB  
Article
Importance-Weighted Locally Adaptive Prototype Extraction Network for Few-Shot Detection
by Haibin Wang, Yong Tao, Zhou Zhou, Yue Wang, Xu Fan and Xiangjun Wang
Sensors 2025, 25(19), 5945; https://doi.org/10.3390/s25195945 - 23 Sep 2025
Viewed by 456
Abstract
Few-Shot Object Detection (FSOD) aims to identify new object categories with a limited amount of labeled data, which holds broad application prospects in real-life scenarios. Previous approaches usually ignore attention to critical information, which leads to the generation of low-quality prototypes and suboptimal [...] Read more.
Few-Shot Object Detection (FSOD) aims to identify new object categories with a limited amount of labeled data, which holds broad application prospects in real-life scenarios. Previous approaches usually ignore attention to critical information, which leads to the generation of low-quality prototypes and suboptimal performance in few-shot scenarios. To overcome the defect, an improved FSOD network is proposed in this paper, which mimics the human visual attention mechanism by emphasizing areas that are semantically important and rich in spatial information. Specifically, an Importance-Weighted Local Adaptive Prototype module is first introduced, which highlights key local features of support samples, and more expressive class prototypes are generated by assigning greater weights to salient regions so that generalization ability is effectively enhanced under few-shot settings. Secondly, an Imbalanced Diversity Sampling module is utilized to select diverse and challenging negative sample prototypes, which enhances inter-class separability and reduces confusion among visually similar categories. Moreover, a Weighted Non-Linear Fusion module is designed to integrate various forms of feature interaction. The contributions of the feature interactions are modulated by learnable importance weights, which improve the effect of feature fusion. Extensive experiments on PASCAL VOC and MS COCO benchmarks validate the effectiveness of our method. The experimental results reflect the fact that the mean average precision from our method is improved by 2.84% on the PASCAL VOC dataset compared with Fine-Grained Prototypes Distillation (FPD), and the AP from our method surpasses the recent FPD baseline by 0.8% and 1.8% on the MS COCO dataset, respectively. Full article
(This article belongs to the Section Intelligent Sensors)
Show Figures

Figure 1

24 pages, 5835 KB  
Article
Study on the Structure-Luminescence Relationship and Anti-Counterfeiting Application of (Ca,Sr)-Al-O Composite Fluorescent Materials
by Jianhui Lv, Jigang Wang, Yuansheng Qi, Jindi Hu, Haiming Li, Chuanming Wang, Xiaohan Cheng, Deyu Pan, Zhenjun Li and Junming Li
Nanomaterials 2025, 15(18), 1446; https://doi.org/10.3390/nano15181446 - 19 Sep 2025
Viewed by 385
Abstract
A novel long-lasting luminescent composite material based on the (Ca,Sr)-Al-O system was synthesized using a solution combustion method. (Ca,Sr)3Al2O6 is the primary phase, with SrAl2O4 as a controllable secondary phase. Compared to conventional single-phase SrAl [...] Read more.
A novel long-lasting luminescent composite material based on the (Ca,Sr)-Al-O system was synthesized using a solution combustion method. (Ca,Sr)3Al2O6 is the primary phase, with SrAl2O4 as a controllable secondary phase. Compared to conventional single-phase SrAl2O4 phosphors, the introduction of a calcium-rich hexaaluminate matrix creates additional defects and a specific trap distribution at the composite interface, significantly improving carrier storage and release efficiency. Eu2+ + Nd3+ synergistic doping enables precise control of the trap depth and number. Under 365 nm excitation, Eu2+ emission is located at ~515 nm, with Nd3+ acting as an effective trap center. Under optimal firing conditions at 700 °C (Eu2+ = 0.02, Nd3+ = 0.003), the afterglow lifetime exceeds 30 s. Furthermore, The (Ca,Sr)3Al2O6 host stabilizes the lattice and optimizes defect states, while synergizing with the SrAl2O4 secondary phase to improve the afterglow performance. This composite phosphor exhibits excellent dual-mode anti-counterfeiting properties: long-lasting green emission under 365 nm excitation and transient blue-violet emission under 254 nm excitation. Based on this, a screen-printing ink was prepared using the phosphor and ethanol + PVB, enabling high-resolution QR code printing. Pattern recognition and code verification can be performed both in the UV on and off states, demonstrating its great potential in high-security anti-counterfeiting applications. Compared to traditional single-phase SrAl2O4 systems, this study for the first time constructed a composite trap engineering of the (Ca,Sr)3Al2O6 primary phase and the SrAl2O4 secondary phase, achieving the integration of dual-mode anti-counterfeiting functionality with a high-resolution QR code fluorescent ink. Full article
Show Figures

Figure 1

Back to TopTop