Sign in to use this feature.

Years

Between: -

Subjects

remove_circle_outline
remove_circle_outline
remove_circle_outline

Journals

Article Types

Countries / Regions

Search Results (8)

Search Parameters:
Keywords = cyclo-olefin-based polymer

Order results
Result details
Results per page
Select all
Export citation of selected articles as:
15 pages, 2491 KB  
Article
Multilayer Cyclo-Olefin Polymer Films for Enhanced OLED Encapsulation
by Ji-Hoon Park and Kwan-Young Han
Nanomaterials 2025, 15(20), 1587; https://doi.org/10.3390/nano15201587 - 17 Oct 2025
Viewed by 424
Abstract
The development of organic light-emitting diodes (OLEDs) for high-resolution, large-area displays relies on effective encapsulation technology. Accordingly, this study proposes a novel multilayer structure utilizing a cyclo-olefin polymer-based film. This solution significantly reduces process time and cost while achieving remarkable barrier performance. Optimization [...] Read more.
The development of organic light-emitting diodes (OLEDs) for high-resolution, large-area displays relies on effective encapsulation technology. Accordingly, this study proposes a novel multilayer structure utilizing a cyclo-olefin polymer-based film. This solution significantly reduces process time and cost while achieving remarkable barrier performance. Optimization involved presenting various models and enhancing substrate–film adhesion via ultraviolet or plasma treatment, consequently improving water vapor transmission rate. Furthermore, the optimized structure’s feasibility as an OLED encapsulation layer was confirmed. These results promise to enhance core technological capabilities, improving production yield and minimizing costs—key factors for next-generation displays. Full article
Show Figures

Graphical abstract

22 pages, 4812 KB  
Article
Mechanical Characterization of a Novel Cyclic Olefin-Based Hot-Melt Adhesive
by Vasco C. M. B. Rodrigues, Ana T. F. Venâncio, Eduardo A. S. Marques, Ricardo J. C. Carbas, Armina Klein, Ejiri Kazuhiro, Björn Nelson and Lucas F. M. da Silva
Materials 2025, 18(4), 855; https://doi.org/10.3390/ma18040855 - 15 Feb 2025
Cited by 2 | Viewed by 1179
Abstract
A novel hot-melt cyclic olefin-based adhesive was designed as a transparent, non-tacky film of amorphous thermoplastic with a unique polymer micro-structure. The aim of the present paper is to assess the mechanical properties of the 0.1 mm thick COP hot-melt adhesive film through [...] Read more.
A novel hot-melt cyclic olefin-based adhesive was designed as a transparent, non-tacky film of amorphous thermoplastic with a unique polymer micro-structure. The aim of the present paper is to assess the mechanical properties of the 0.1 mm thick COP hot-melt adhesive film through adhesive characterizations tests. The glass transition temperature was determined using dynamic mechanical analysis (DMA). For mechanical characterization, bulk and thick adherend shear specimens were manufactured and tested at a quasi-static rate, where at least three specimens were used to calculate the average and standard deviation values. Tensile tests revealed the effects of molecular chain drawing and reorientation before the onset of strain hardening. Thick adherend shear specimens were used to retrieve shear properties. Fracture behaviour was assessed with the double cantilever beam (DCB) test and end-notched flexure (ENF) test, for characterization under modes I and II, respectively. To study the in-joint behaviour, single lap joints (SLJs) of aluminium and carbon fibre-reinforced polymer (CFRP) were manufactured and tested under different temperatures. Results showed a progressive interfacial failure following adhesive plasticization, allowing deformation prior to failure at 8 MPa. An adhesive failure mode was confirmed through scanning electron microscopy (SEM) analysis of aluminium SLJ. The adhesive exhibits tensile properties comparable to existing adhesives, while demonstrating enhanced lap shear strength and a distinctive failure mechanism. These characteristics suggest potential advantages in applications involving heat and pressure across automotive, electronics and structural bonding sectors. Full article
(This article belongs to the Section Advanced Materials Characterization)
Show Figures

Figure 1

18 pages, 3718 KB  
Article
Fabrication and Characterization of Hybrid and Tunable ZnO@Ag Flexible Thin Films Used as SERS Substrates
by Ioana Andreea Brezeștean, Daniel Marconi, Nicoleta Elena Dina, Maria Suciu and Alia Colniță
Chemosensors 2023, 11(8), 441; https://doi.org/10.3390/chemosensors11080441 - 7 Aug 2023
Cited by 8 | Viewed by 2358
Abstract
Flexible substrates have known increased popularity over rigid ones due to their use in surface-enhanced Raman scattering (SERS). They provide irregular surfaces, ideal for in situ sensing. In this context, we report the SERS performance of hybrid ZnO@Ag thin films deposited by magnetron [...] Read more.
Flexible substrates have known increased popularity over rigid ones due to their use in surface-enhanced Raman scattering (SERS). They provide irregular surfaces, ideal for in situ sensing. In this context, we report the SERS performance of hybrid ZnO@Ag thin films deposited by magnetron sputtering (MS) on flexible, thermoplastic substrates. This physical deposition method is acknowledged for obtaining high-quality and reproducible ZnO films that can be embedded in (bio)sensing devices with various applications. Three types of thermoplastic-based, commercially available substrates with different glass transition temperatures (Tg) were chosen for the variation in flexibility, transparency, and thickness. Zeonor® (Tg = 136 °C, thickness of 188 μm) and two types of Topas (Topas®: Tg = 142 °C, thickness of 176 μm; Topas2: Tg = 78 °C, thickness of 140 μm) thermoplastic sheets are nonpolar and amorphous cyclo-olefin polymer (COP) and cyclo-olefin copolymers (COC), respectively. Their thicknesses and different values of Tg can greatly affect the topographical and roughness properties of films with small thicknesses and, thus, can greatly influence the enhancement of the Raman signal. The ZnO films deposited on top of Zeonor® or Topas® have identical morphological properties, as shown by the scanning electron microscopy (SEM) characterization. Subsequently, by using the MS technique, we tuned the thickness of the deposited silver (Ag) films in the range of 7–30 nm to assess the growth influence on the morphology and the SERS signal amplification of the substrates with and without the ZnO intermediate layer. The SEM analysis showed that the Ag atoms migrated both into the interstitial areas, filling the voids between the ZnO granular structures, and over the latter, forming, in this case, isolated Ag clusters. SERS analysis performed on the ZnO-Ag hybrid films using crystal violet (CV) molecule revealed a limit of detection (LOD) of 10−7 M in the case of 15 nm thick Ag/Zeonor® interlayer films ZnO and relative standard deviation (RSD) below 10%. Full article
(This article belongs to the Special Issue Recent Developments in Platforms for SERS Applications)
Show Figures

Figure 1

15 pages, 4283 KB  
Article
Designing of Hollow Core Grapefruit Fiber Using Cyclo Olefin Polymer for the Detection of Fuel Adulteration in Terahertz Region
by Sakawat Hossain, Md. Aslam Mollah, Md. Kamal Hosain, Md. Shofiqul Islam and Abdulhameed Fouad Alkhateeb
Polymers 2023, 15(1), 151; https://doi.org/10.3390/polym15010151 - 29 Dec 2022
Cited by 9 | Viewed by 2199
Abstract
A grapefruit-shape hollow-core liquid infiltrated photonic crystal fiber (LI-PCF) is proposed and evaluated to identify the percentage of kerosene in adulterated petrol. The proposed hollow-fiber sensor is designed with Cyclo Olefin Polymer (Zeonex) and likely to be filled with different samples of petrol [...] Read more.
A grapefruit-shape hollow-core liquid infiltrated photonic crystal fiber (LI-PCF) is proposed and evaluated to identify the percentage of kerosene in adulterated petrol. The proposed hollow-fiber sensor is designed with Cyclo Olefin Polymer (Zeonex) and likely to be filled with different samples of petrol which is adulated by the kerosene up to 100%. Considering the electromagnetic radiation in THz band, the sensing properties are thoroughly investigated by adopting finite element method (FEM) based COMSOL Multiphysics software. However, the proposed sensor offers a very high relative sensitivity (RS) of 97.27% and confinement loss (CL) less than 10−10 dB/m, and total loss under 0.07 dB/cm, at 2 THz operating frequency. Besides that, the sensor also possesses a low effective material loss (EML), high numerical aperture (NA), and large Marcuse spot size (MSS). The sensor structure is fabrication feasible through existing fabrication methodologies consequently making this petrol adulteration sensor a propitious aspirant for real-life applications of petrol adulteration measurements in commercial and industrial sensing. Full article
Show Figures

Figure 1

16 pages, 7169 KB  
Article
Modulating Optical Characteristics of Nanoimprinted Plasmonic Device by Re-Shaping Process of Polymer Mold
by Hirotaka Yamada, Kenji Sueyoshi, Hideaki Hisamoto and Tatsuro Endo
Micromachines 2021, 12(11), 1323; https://doi.org/10.3390/mi12111323 - 28 Oct 2021
Viewed by 2451
Abstract
Metal nanostructures exhibit specific optical characteristics owing to their localized surface plasmon resonance (LSPR) and have been studied for applications in various optical devices. The LSPR property strongly depends on the size and shape of metal nanostructures; thus, plasmonic devices must be designed [...] Read more.
Metal nanostructures exhibit specific optical characteristics owing to their localized surface plasmon resonance (LSPR) and have been studied for applications in various optical devices. The LSPR property strongly depends on the size and shape of metal nanostructures; thus, plasmonic devices must be designed and fabricated according to their uses. Nanoimprint lithography (NIL) is an effective process for repeatedly fabricating metal nanostructures with controlled sizes and shapes and require optical properties. NIL is a powerful method for mass-producible, low-cost, and large-area fabrication. However, the process lacks flexibility in adjusting the size and shape according to the desirable optical characteristics because the size and shape of metal nanostructures are determined by a single corresponding mold. Here, we conducted a re-shaping process through the air-plasma etching of a polymer’s secondary mold (two-dimensional nanopillar array made of cyclo-olefin polymer (COP)) to modulate the sizes and shapes of nanopillars; then, we controlled the spectral characteristics of the imprinted plasmonic devices. The relationship between the structural change of the mold, which was based on etching time, and the optical characteristics of the corresponding plasmonic device was evaluated through experiments and simulations. According to evaluation results, the diameter of the nanopillar was controlled from 248 to 139 nm due to the etching time and formation of a pit structure. Consequently, the spectral properties changed, and responsivity to the surrounding dielectric environment was improved. Therefore, plasmonic devices based on the re-shaped COP mold exhibited a high responsivity to a refractive index of 906 nm/RIU at a wavelength of 625 nm. Full article
(This article belongs to the Section B1: Biosensors)
Show Figures

Figure 1

19 pages, 7004 KB  
Article
Evaluation of the Effects of Solvents Used in the Fabrication of Microfluidic Devices on Cell Cultures
by Xiaopeng Wen, Seiichiro Takahashi, Kenji Hatakeyama and Ken-ichiro Kamei
Micromachines 2021, 12(5), 550; https://doi.org/10.3390/mi12050550 - 12 May 2021
Cited by 9 | Viewed by 4282
Abstract
Microfluidic microphysiological systems (MPSs) or “organs-on-a-chip” are a promising alternative to animal models for drug screening and toxicology tests. However, most microfluidic devices employ polydimethylsiloxane (PDMS) as the structural material; and this has several drawbacks. Cyclo-olefin polymers (COPs) are more advantageous than PDMS [...] Read more.
Microfluidic microphysiological systems (MPSs) or “organs-on-a-chip” are a promising alternative to animal models for drug screening and toxicology tests. However, most microfluidic devices employ polydimethylsiloxane (PDMS) as the structural material; and this has several drawbacks. Cyclo-olefin polymers (COPs) are more advantageous than PDMS and other thermoplastic materials because of their low drug absorption and autofluorescence. However, most COP-based microfluidic devices are fabricated by solvent bonding of the constituent parts. Notably, the remnant solvent can affect the cultured cells. This study employed a photobonding process with vacuum ultraviolet (VUV) light to fabricate microfluidic devices without using any solvent and compared their performance with that of solvent-bonded systems (using cyclohexane, dichloromethane, or toluene as the solvent) to investigate the effects of residual solvent on cell cultures. Quantitative immunofluorescence assays indicated that the coating efficiencies of extracellular matrix proteins (e.g., Matrigel and collagen I) were lower in solvent-bonded COP devices than those in VUV-bonded devices. Furthermore, the cytotoxicity of the systems was evaluated using SH-SY5Y neuroblastoma cells, and increased apoptosis was observed in the solvent-processed devices. These results provide insights into the effects of solvents used during the fabrication of microfluidic devices and can help prevent undesirable reactions and establish good manufacturing practices. Full article
(This article belongs to the Special Issue Cell and Tissue Microdevices)
Show Figures

Graphical abstract

14 pages, 4131 KB  
Article
Deskilled and Rapid Drug-Resistant Gene Detection by Centrifugal Force-Assisted Thermal Convection PCR Device
by Wilfred Villariza Espulgar, Masato Saito, Kazuya Takahashi, Sakiko Ushiro, Norihisa Yamamoto, Yukihiro Akeda, Shigeto Hamaguchi, Kazunori Tomono and Eiichi Tamiya
Sensors 2021, 21(4), 1225; https://doi.org/10.3390/s21041225 - 9 Feb 2021
Cited by 7 | Viewed by 4851
Abstract
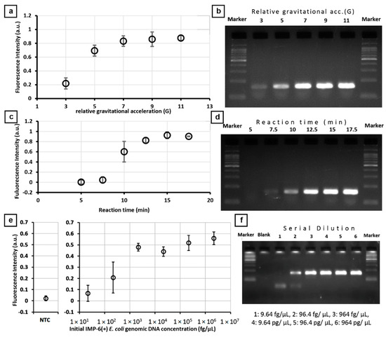
Here we report the improved Cyclo olefin polymer (COP) microfluidic chip and polymerase chain reaction (PCR) amplification system for point-of-care testing (POCT) in rapid detection of Carbapenem-resistant Enterobacteriaceae (CRE). The PCR solution and thermal cycling is controlled by the relative gravitational acceleration (7G) [...] Read more.
Here we report the improved Cyclo olefin polymer (COP) microfluidic chip and polymerase chain reaction (PCR) amplification system for point-of-care testing (POCT) in rapid detection of Carbapenem-resistant Enterobacteriaceae (CRE). The PCR solution and thermal cycling is controlled by the relative gravitational acceleration (7G) only and is expected to pose minimal problem in operation by non-expert users. Detection is based on identifying the presence of carbapenemase encoding gene through the corresponding fluorescence signal after amplification. For preliminary tests, the device has been demonstrated to detect blaIMP-6 from patients stool samples. From the prepared samples, 96.4 fg/µL was detected with good certainty within 15 min (~106 thermocycles,) which is significantly faster than the conventional culture plate method. Moreover, the device is expected to detect other target genes in parallel as determination of the presence of blaNDM-1 and blaOXA-23 from control samples has also been demonstrated. With the rising threat of drug-resistant bacteria in global healthcare, this technology can greatly aid the health sector by enabling the appropriate use of antibiotics, accelerating the treatment of carriers, and suppressing the spread. Full article
(This article belongs to the Section Biomedical Sensors)
Show Figures

Figure 1

10 pages, 1690 KB  
Article
Real-Time Monitoring and Detection of Single-Cell Level Cytokine Secretion Using LSPR Technology
by Chen Zhu, Xi Luo, Wilfred Villariza Espulgar, Shohei Koyama, Atsushi Kumanogoh, Masato Saito, Hyota Takamatsu and Eiichi Tamiya
Micromachines 2020, 11(1), 107; https://doi.org/10.3390/mi11010107 - 19 Jan 2020
Cited by 21 | Viewed by 5840
Abstract
Cytokine secretion researches have been a main focus of studies among the scientists in the recent decades for its outstanding contribution to clinical diagnostics. Localized surface plasmon resonance (LSPR) technology is one of the conventional methods utilized to analyze these issues, as it [...] Read more.
Cytokine secretion researches have been a main focus of studies among the scientists in the recent decades for its outstanding contribution to clinical diagnostics. Localized surface plasmon resonance (LSPR) technology is one of the conventional methods utilized to analyze these issues, as it could provide fast, label-free and real-time monitoring of biomolecule binding events. However, numerous LSPR-based biosensors in the past are usually utilized to monitor the average performance of cell groups rather than single cells. Meanwhile, the complicated sensor structures will lead to the fabrication and economic budget problems. Thus, in this paper, we report a simple synergistic integration of the cell trapping of microwell chip and gold-capped nanopillar-structured cyclo-olefin-polymer (COP) film for single cell level Interleukin 6 (IL-6) detection. Here, in-situ cytokine secreted from the trapped cell can be directly observed and analyzed through the peak red-shift in the transmittance spectrum. The fabricated device also shows the potential to conduct the real-time monitoring which would greatly help us identify the viability and biological variation of the tested single cell. Full article
(This article belongs to the Special Issue Micro/Nanofluidic Devices for Single Cell Analysis, Volume II)
Show Figures

Figure 1

Back to TopTop