Sign in to use this feature.

Years

Between: -

Subjects

remove_circle_outline
remove_circle_outline
remove_circle_outline
remove_circle_outline

Journals

Article Types

Countries / Regions

Search Results (13)

Search Parameters:
Keywords = coronary artery ectasia (CAE)

Order results
Result details
Results per page
Select all
Export citation of selected articles as:
12 pages, 1170 KB  
Article
Neutrophil-Percentage-to-Albumin Ratio as a Predictor of Coronary Artery Ectasia: A Comparative Analysis with Inflammatory Biomarkers
by Mehdi Karasu and Şeyda Şahin
Diagnostics 2025, 15(13), 1638; https://doi.org/10.3390/diagnostics15131638 - 27 Jun 2025
Viewed by 941
Abstract
Background/Objectives: Coronary artery ectasia (CAE) is characterized by abnormal dilation of the coronary arteries and is associated with adverse cardiovascular events. Inflammation is believed to play a pivotal role in the development and progression of CAE. The neutrophil-percentage-to-albumin ratio (NPAR) has emerged [...] Read more.
Background/Objectives: Coronary artery ectasia (CAE) is characterized by abnormal dilation of the coronary arteries and is associated with adverse cardiovascular events. Inflammation is believed to play a pivotal role in the development and progression of CAE. The neutrophil-percentage-to-albumin ratio (NPAR) has emerged as a novel marker of systemic inflammation and may serve as a useful tool in the evaluation of CAE. This study aimed to assess the association between the NPAR and CAE and compare its predictive value to established inflammatory biomarkers, including highly sensitive C-reactive protein (hsCRP), the neutrophil-to-lymphocyte ratio (NLR), and the platelet-to-lymphocyte ratio (PLR). Methods: A retrospective analysis was conducted on 5212 patients who underwent elective coronary angiography between March 2019 and March 2023. The cohort included 165 patients with isolated CAE and 180 controls with normal coronary anatomy. Inflammatory markers and their correlation with CAE were analyzed using logistic regression models and receiver operating characteristic (ROC) analysis to determine predictive performance. Results: The NPAR was significantly elevated in the CAE group compared to the controls (p < 0.001). Multivariate analysis identified the NPAR (OR: 2.14, p = 0.003) and CRP (OR: 1.53, p = 0.02) as independent predictors of CAE. ROC analysis demonstrated that the NPAR had superior predictive value over CRP (AUC: 0.725 vs. 0.635). Additionally, the NPAR showed a strong correlation with CAE severity based on the Markis classification, with higher NPAR values associated with more advanced disease. Conclusions: The NPAR is an independent predictor of CAE and outperforms CRP in predicting both the presence and severity of the condition. As a cost-effective and accessible biomarker, the NPAR may enhance the clinical assessment of CAE and provide valuable insights into its inflammatory underpinnings. Further prospective studies are warranted to validate these findings and explore the potential of the NPAR in risk stratification and management of CAE patients. Full article
(This article belongs to the Section Clinical Laboratory Medicine)
Show Figures

Figure 1

11 pages, 1353 KB  
Article
A Pilot Study Investigating the Relationship Between Choroidal Thickness and Choroidal Vascular Index and Coronary Artery Ectasia
by Dogukan Comerter and Tufan Cinar
Diagnostics 2025, 15(3), 286; https://doi.org/10.3390/diagnostics15030286 - 26 Jan 2025
Viewed by 1062
Abstract
Objective: The objective of this study was to compare changes in choroidal thickness (ChT) and choroidal vascular index (CVI) between patients with coronary artery ectasia (CAE) and healthy individuals. Methods: This study included 34 patients with CAE and 40 age-matched healthy [...] Read more.
Objective: The objective of this study was to compare changes in choroidal thickness (ChT) and choroidal vascular index (CVI) between patients with coronary artery ectasia (CAE) and healthy individuals. Methods: This study included 34 patients with CAE and 40 age-matched healthy subjects with normal coronary arteries. Measurements of ChT and CVI were taken using spectral-domain optical coherence tomography, employing the binarization method for CVI calculation. Additional parameters, including central macula thickness (CMT), retinal nerve fiber layer (RNFL), and ganglion cell layer (GCC) thickness, were also documented. Results: The results indicated no significant differences in either subfoveal ChT or in ChT at 1500 µm both nasal and temporal to the fovea. However, significant differences were noted in ChT at the 500 µm nasal and temporal areas. The CVI was found to be significantly lower in the CAE group compared to the healthy controls. Furthermore, this study noted a significant difference in GCC thickness between the two groups, while no significant differences were observed in CMT and RNFL measurements. Conclusions: The findings suggest that patients with CAE exhibit decreased ChT and CVI in comparison to healthy controls. This highlights the potential role of ChT and CVI as important markers of disease in coronary artery ectasia, offering valuable insights into systemic cardiovascular health. Full article
(This article belongs to the Special Issue Advances in the Diagnosis and Management of Cardiovascular Diseases)
Show Figures

Figure 1

16 pages, 6015 KB  
Review
Coronary Artery Aneurysm or Ectasia as a Form of Coronary Artery Remodeling: Etiology, Pathogenesis, Diagnostics, Complications, and Treatment
by Patrycja Woźniak, Sylwia Iwańczyk, Maciej Błaszyk, Konrad Stępień, Maciej Lesiak, Tatiana Mularek-Kubzdela and Aleksander Araszkiewicz
Biomedicines 2024, 12(9), 1984; https://doi.org/10.3390/biomedicines12091984 - 2 Sep 2024
Cited by 10 | Viewed by 6523
Abstract
Coronary artery aneurysm or ectasia (CAAE) is a term that includes both coronary artery ectasia (CAE) and coronary artery aneurysm (CAA), despite distinct phenotypes and definitions. This anomaly can be found in 0.15–5.3% of coronary angiography. CAE is a diffuse dilatation of the [...] Read more.
Coronary artery aneurysm or ectasia (CAAE) is a term that includes both coronary artery ectasia (CAE) and coronary artery aneurysm (CAA), despite distinct phenotypes and definitions. This anomaly can be found in 0.15–5.3% of coronary angiography. CAE is a diffuse dilatation of the coronary artery at least 1.5 times wider than the diameter of the normal coronary artery in a patient with a length of over 20 mm or greater than one-third of the vessel. CAE can be further subdivided into diffuse and focal dilations by the number and the length of the dilated vessels. Histologically, it presents with extensive destruction of musculoelastic elements, marked degradation of collagen and elastic fibers, and disruption of the elastic lamina. Conversely, CAA is a focal lesion manifesting as focal dilatation, which can be fusiform (if the longitudinal diameter is greater than the transverse) or saccular (if the longitudinal diameter is smaller than the transverse). Giant CAA is defined as a 4-fold enlargement of the vessel diameter and is observed in only 0.02% of patients after coronary. An aneurysmal lesion can be either single or multiple. It can be either a congenital or acquired phenomenon. The pathophysiological mechanisms responsible for the formation of CAAE are not well understood. Atherosclerosis is the most common etiology of CAAE in adults, while Kawasaki disease is the most common in children. Other etiological factors include systemic connective tissue diseases, infectious diseases, vasculitis, congenital anomalies, genetic factors, and idiopathic CAA. Invasive assessment of CAAE is based on coronary angiography. Coronary computed tomography (CT) is a noninvasive method that enables accurate evaluation of aneurysm size and location. The most common complications are coronary spasm, local thrombosis, distal embolization, coronary artery rupture, and compression of adjacent structures by giant coronary aneurysms. The approach to each patient with CAAE should depend on the severity of symptoms, anatomical structure, size, and location of the aneurysm. Treatment methods should be carefully considered to avoid possible complications of CAAE. Simultaneously, we should not unnecessarily expose the patient to the risk of intervention or surgical treatment. Patients can be offered conservative or invasive treatment. However, there are still numerous controversies and ambiguities regarding the etiology, prognosis, and treatment of patients with coronary artery aneurysms. This study summarizes the current knowledge about this disease’s etiology, pathogenesis, and management. Full article
Show Figures

Figure 1

13 pages, 2326 KB  
Article
Differential Expression of Circulating Damage-Associated Molecular Patterns in Patients with Coronary Artery Ectasia
by James N. Tsoporis, Andreas S. Triantafyllis, Andreas S. Kalogeropoulos, Shehla Izhar, Angelos G. Rigopoulos, Loukianos S. Rallidis, Eleftherios Sakadakis, Ioannis K. Toumpoulis, Vasileios Salpeas, Howard Leong-Poi, Thomas G. Parker and Ioannis Rizos
Biomolecules 2024, 14(1), 10; https://doi.org/10.3390/biom14010010 - 21 Dec 2023
Cited by 3 | Viewed by 2151
Abstract
Coronary artery ectasia (CAE) is defined as abnormal dilation of a coronary artery with a diameter exceeding that of adjacent normal arterial segment by >1.5 times. CAE is a pathological entity of the coronary arteries and characterized as a variant of coronary atherosclerosis. [...] Read more.
Coronary artery ectasia (CAE) is defined as abnormal dilation of a coronary artery with a diameter exceeding that of adjacent normal arterial segment by >1.5 times. CAE is a pathological entity of the coronary arteries and characterized as a variant of coronary atherosclerosis. CAE frequently coexists with coronary artery disease (CAD). While inflammation appears to be involved, the pathophysiology of CAE remains unclear. Damage-associated molecular patterns (DAMPs), defined as endogenous molecules released from stressed or damaged tissue, are deemed as alarm signals by the innate immune system. Inflammatory agents can generate DAMPs and DAMPs can create a pro-inflammatory state. In a prospective cross-sectional study, we enrolled 29 patients with CAE and non-obstructive CAD, 19 patients with obstructive CAD without CAE, and 14 control subjects with normal (control) coronary arteries age- and sex-matched with the CAE patients, to investigate the differential expression of plasma DAMPs. Patients with CAE and non-obstructive CAD had increased plasma levels of the DAMPs S100B, S100A12, HMGB1, and HSP70, the DAMPs receptor TLR4, and miR328a-3p compared to CAD and controls. Plasma levels of the mir328a-3p target the protective soluble form of the DAMPs receptor for advanced glycation end products (sRAGE), and the antioxidant DJ-1 was decreased in both CAE and CAD compared to controls. In an in vitro human umbilical vein endothelial cells model, circulating levels of S100B, HMGB1, HSP70 as well as CAE patient plasma induced inflammatory responses. The differential expression of the DAMPs S100B, HSP70, HMGB1, and their receptors TLR4 and sRAGE in CAE versus CAD makes them attractive novel biomarkers as therapeutic targets and therapeutics. Full article
Show Figures

Figure 1

11 pages, 4540 KB  
Review
Coronary Artery Ectasia: Review of the Non-Atherosclerotic Molecular and Pathophysiologic Concepts
by Gavin H. C. Richards, Kathryn L. Hong, Michael Y. Henein, Colm Hanratty and Usama Boles
Int. J. Mol. Sci. 2022, 23(9), 5195; https://doi.org/10.3390/ijms23095195 - 6 May 2022
Cited by 19 | Viewed by 4506
Abstract
Coronary artery ectasia (CAE) is frequently encountered in clinical practice, conjointly with atherosclerotic CAD (CAD). Given the overlapping cardiovascular risk factors for patients with concomitant CAE and atherosclerotic CAD, a common underlying pathophysiology is often postulated. However, coronary artery ectasia may arise independently, [...] Read more.
Coronary artery ectasia (CAE) is frequently encountered in clinical practice, conjointly with atherosclerotic CAD (CAD). Given the overlapping cardiovascular risk factors for patients with concomitant CAE and atherosclerotic CAD, a common underlying pathophysiology is often postulated. However, coronary artery ectasia may arise independently, as isolated (pure) CAE, thereby raising suspicions of an alternative mechanism. Herein, we review the existing evidence for the pathophysiology of CAE in order to help direct management strategies towards enhanced detection and treatment. Full article
Show Figures

Figure 1

12 pages, 2444 KB  
Systematic Review
Inflammatory Biomarkers in Coronary Artery Ectasia: A Systematic Review and Meta-Analysis
by Dimitrios A. Vrachatis, Konstantinos A. Papathanasiou, Dimitrios Kazantzis, Jorge Sanz-Sánchez, Sotiria G. Giotaki, Konstantinos Raisakis, Andreas Kaoukis, Charalampos Kossyvakis, Gerasimos Deftereos, Bernhard Reimers, Dimitrios Avramides, Gerasimos Siasos, Michael Cleman, George Giannopoulos, Alexandra Lansky and Spyridon Deftereos
Diagnostics 2022, 12(5), 1026; https://doi.org/10.3390/diagnostics12051026 - 19 Apr 2022
Cited by 16 | Viewed by 3057
Abstract
Isolated coronary artery ectasia (CAE) is a relatively rare clinical entity, the pathogenesis of which is poorly understood. More and more evidence is accumulating to suggest a critical inflammatory component. We aimed to elucidate any association between neutrophil to lymphocyte ratio and coronary [...] Read more.
Isolated coronary artery ectasia (CAE) is a relatively rare clinical entity, the pathogenesis of which is poorly understood. More and more evidence is accumulating to suggest a critical inflammatory component. We aimed to elucidate any association between neutrophil to lymphocyte ratio and coronary artery ectasia. A systematic MEDLINE database, ClinicalTrials.gov, medRxiv, Scopus and Cochrane Library search was conducted: 50 studies were deemed relevant, reporting on difference in NLR levels between CAE patients and controls (primary endpoint) and/or on high-sensitive CRP, IL-6, TNF-a and RDW levels (secondary endpoint), and were included in our final analysis. (PROSPERO registration number: CRD42021224195). All inflammatory biomarkers under investigation were found higher in coronary artery ectasia patients as compared to healthy controls (NLR; SMD = 0.73; 95% CI: 0.27–1.20, hs-CRP; SMD = 0.96; 95% CI: 0.64–1.28, IL-6; SMD = 2.68; 95% CI: 0.95–4.41, TNF-a; SMD = 0.50; 95% CI: 0.24–0.75, RDW; SMD = 0.56; 95% CI: 0.26–0.87). The main limitations inherent in this analysis are small case-control studies of moderate quality and high statistical heterogeneity. Our findings underscore that inflammatory dysregulation is implicated in coronary artery ectasia and merits further investigation. Full article
(This article belongs to the Section Pathology and Molecular Diagnostics)
Show Figures

Figure 1

2 pages, 428 KB  
Interesting Images
Fractional Flow Reserve in the Diagnosis of Ischemic Heart Disease in a Patient with Coronary Artery Ectasia
by Malgorzata Zalewska-Adamiec, Lukasz Kuzma, Hanna Bachorzewska-Gajewska and Slawomir Dobrzycki
Diagnostics 2022, 12(1), 17; https://doi.org/10.3390/diagnostics12010017 - 23 Dec 2021
Cited by 2 | Viewed by 3045
Abstract
Coronary artery ectasias (CAE) are diffuse dilatations of coronary artery segments with a diameter 1.5 times greater than the largest adjacent normal segment of the vessel. They are found in 0.3–5.0% of coronary angiography. Risk factors for CAE include atherosclerosis, previous percutaneous coronary [...] Read more.
Coronary artery ectasias (CAE) are diffuse dilatations of coronary artery segments with a diameter 1.5 times greater than the largest adjacent normal segment of the vessel. They are found in 0.3–5.0% of coronary angiography. Risk factors for CAE include atherosclerosis, previous percutaneous coronary interventions, arterial inflammation and connective tissue diseases. The diagnosis of CEA in a patient is a considerable diagnostic and therapeutic problem due to the unfavorable prognosis and the lack of guidelines. We present a case of a 69-year-old male patient with a history of retrosternal pain admitted to the clinic for the diagnosis of coronary artery disease. In coronary angiography, numerous ectases of the main coronary arteries and atherosclerotic lesions causing border stenosis of the left anterior descending (LAD), diagonal (2D) and marginal branch (OM). The heart team decided to assess the significance of the changes with the fractional flow reserve (FFR). The FFR was performed and haemodynamically insignificant stenoses of the ectatically dilated coronary arteries were found. The patient was qualified for conservative treatment. Full article
(This article belongs to the Collection Interesting Images)
Show Figures

Figure 1

15 pages, 1724 KB  
Article
Development and Validation of a Nomogram for Predicting the Risk of Adverse Cardiovascular Events in Patients with Coronary Artery Ectasia
by Zhongxing Cai, Yintang Wang, Luqi Li, Haoyu Wang, Chenxi Song, Dong Yin, Weihua Song and Kefei Dou
J. Cardiovasc. Dev. Dis. 2021, 8(12), 186; https://doi.org/10.3390/jcdd8120186 - 14 Dec 2021
Cited by 4 | Viewed by 3527
Abstract
Coronary artery ectasia (CAE) is a rare finding and is associated with poor clinical outcomes. However, prognostic factors are not well studied and no prognostication tool is available. In a derivation set comprising 729 consecutive CAE patients between January 2009 and June 2014, [...] Read more.
Coronary artery ectasia (CAE) is a rare finding and is associated with poor clinical outcomes. However, prognostic factors are not well studied and no prognostication tool is available. In a derivation set comprising 729 consecutive CAE patients between January 2009 and June 2014, a nomogram was developed using Cox regression. Total of 399 patients from July 2014 to December 2015 formed the validation set. The primary outcome was 5-year major adverse cardiovascular events (MACE), a component of cardiovascular death and nonfatal myocardial infarction. Besides the clinical factors, we used quantitative coronary angiography (QCA) and defined QCA classification of four types, according to max diameter (< or ≥5 mm) and max length ratio (ratio of lesion length to vessel length, < or ≥1/3) of the dilated lesion. A total of 27 cardiovascular deaths and 41 nonfatal myocardial infarctions occurred at 5-year follow-up. The nomogram effectively predicted 5-year MACE risk using predictors including age, prior PCI, high sensitivity C-reactive protein, N-terminal pro-brain natriuretic peptide, and QCA classification (area under curve [AUC] 0.75, 95% CI 0.68–0.82 in the derivation set; AUC 0.71, 95% CI 0.56–0.86 in the validation set). Patients were classified as high-risk if prognostic scores were ≥155 and the Kaplan–Meier curves were well separated (log-rank p < 0.001 in both sets). Calibration curve and Hosmer–Lemeshow test indicated similarity between predicted and actual 5-year MACE survival (p = 0.90 in the derivation and p = 0.47 in the validation set). This study developed and validated a simple-to-use method for assessing 5-year MACE risk in patients with CAE. Full article
(This article belongs to the Section Acquired Cardiovascular Disease)
Show Figures

Figure 1

13 pages, 468 KB  
Article
Monocyte Chemoattractant Protein-1 Is an Independent Predictor of Coronary Artery Ectasia in Patients with Acute Coronary Syndrome
by Juan Antonio Franco-Peláez, Roberto Martín-Reyes, Ana María Pello-Lázaro, Álvaro Aceña, Óscar Lorenzo, José Luis Martín-Ventura, Luis Blanco-Colio, María Luisa González-Casaus, Ignacio Hernández-González, Rocío Carda, María Luisa Martín-Mariscal, Jesús Egido and José Tuñón
J. Clin. Med. 2020, 9(9), 3037; https://doi.org/10.3390/jcm9093037 - 21 Sep 2020
Cited by 9 | Viewed by 2922
Abstract
Our purpose was to assess a possible association of inflammatory, lipid and mineral metabolism biomarkers with coronary artery ectasia (CAE) and to determine a possible association of this with acute atherotrombotic events (AAT). We studied 270 patients who underwent coronary angiography during an [...] Read more.
Our purpose was to assess a possible association of inflammatory, lipid and mineral metabolism biomarkers with coronary artery ectasia (CAE) and to determine a possible association of this with acute atherotrombotic events (AAT). We studied 270 patients who underwent coronary angiography during an acute coronary syndrome 6 months before. Plasma levels of several biomarkers were assessed, and patients were followed during a median of 5.35 (3.88–6.65) years. Two interventional cardiologists reviewed the coronary angiograms, diagnosing CAE according to previously published criteria in 23 patients (8.5%). Multivariate binary logistic regression analysis was used to search for independent predictors of CAE. Multivariate analysis revealed that, aside from gender and a diagnosis of dyslipidemia, only monocyte chemoattractant protein-1 (MCP-1) (OR = 2.25, 95%CI = (1.35–3.76) for each increase of 100 pg/mL, p = 0.001) was independent predictor of CAE, whereas mineral metabolism markers or proprotein convertase subtilisin/kexin type 9 were not. Moreover, CAE was a strong predictor of AAT during follow-up after adjustment for other clinically relevant variables (HR = 2.67, 95%CI = (1.22–5.82), p = 0.013). This is the first report showing that MCP-1 is an independent predictor of CAE, suggesting that CAE and coronary artery disease may share pathogenic mechanisms. Furthermore, CAE was associated with an increased incidence of AAT. Full article
(This article belongs to the Special Issue Atherosclerosis: Endothelial Dysfunction and Beyond)
Show Figures

Figure 1

7 pages, 339 KB  
Article
Low High-Density Lipoprotein Cholesterol Predisposes to Coronary Artery Ectasia
by Jamal Jafari, Aner Daum, Jihad Abu Hamed, Azriel Osherov, Yan Orlov, Chaim Yosefy and Enrique Gallego-Colon
Biomedicines 2019, 7(4), 79; https://doi.org/10.3390/biomedicines7040079 - 7 Oct 2019
Cited by 10 | Viewed by 3596
Abstract
Coronary Artery Ectasia (CAE) is a phenomenon characterized by locally or diffuse coronary artery dilation of one or more coronary arteries. In the present study, the prevalence of acquired coronary ectasia and coronary risk factors for CAE was analyzed in patients undergoing cardiac [...] Read more.
Coronary Artery Ectasia (CAE) is a phenomenon characterized by locally or diffuse coronary artery dilation of one or more coronary arteries. In the present study, the prevalence of acquired coronary ectasia and coronary risk factors for CAE was analyzed in patients undergoing cardiac catheterization for suspected ischemic heart disease. We retrospectively analyzed 4000 patients undergoing coronary angiography for suspected coronary artery disease at our cardiac catheterization unit, and a total of 171 patients were selected. The study group was divided into three groups, 65 patients with CAE, 62 patients with significant obstructive coronary artery disease, and 44 patients with normal coronary angiograms as a control group. A negative correlation was observed between high-density lipoprotein cholesterol (HDL-C) and the presence of CAE (r = −0.274, p < 0.001). In addition, HDL-C (OR, 0.858; CI, 0.749–0.984; p = 0.029), low-density lipoprotein cholesterol (LDL-C)/HDL-C ratio (OR, 1.987; CI, 1.542–2.882; p = 0.034), and hemoglobin (OR, 2.060; CI, 1.114–3.809; p = 0.021) were identified as independent risk factors for the development of CAE. In fact, we observed that a one-unit increase in HDL-C corresponded to a 15% risk reduction in CAE development and that each unit increase in hemoglobin could potentially increase the CAE risk by 2-fold. Low HDL-C could significantly increase the risk of developing CAE in healthy individuals. Elevated hemoglobin could predispose to subsequent dilation and aneurysm of the coronary artery. This work suggests that disordered lipoprotein metabolism or altered hemoglobin values can predispose patients to aneurysmal coronary artery disease. Full article
Show Figures

Figure 1

5 pages, 2039 KB  
Case Report
ST-Elevation Myocardial Infarction in Coronary Ectasia: A Case Report
by Hye Ji (Sally) Choi, Christina Luong, Anthony Fung and Teresa S. M. Tsang
Diseases 2018, 6(4), 104; https://doi.org/10.3390/diseases6040104 - 16 Nov 2018
Cited by 4 | Viewed by 4617
Abstract
Coronary artery ectasia (CAE) is localized or diffuse dilatation of the coronary artery lumen exceeding the diameter of adjacent healthy reference segments by 1.5 times. It is a rare phenomenon and incidence ranges from 1 to 5% in patients undergoing angiography. We report [...] Read more.
Coronary artery ectasia (CAE) is localized or diffuse dilatation of the coronary artery lumen exceeding the diameter of adjacent healthy reference segments by 1.5 times. It is a rare phenomenon and incidence ranges from 1 to 5% in patients undergoing angiography. We report a case of a 58-year-old man with atherosclerotic CAE who experienced ST-elevation myocardial infarction (STEMI) despite prophylactic antiplatelet therapy. He was successfully treated with IV eptifibatide and aspiration thrombectomy. We reviewed the literature of CAE presentation, etiology and treatment and discussed the most appropriate antithrombotic therapy to prevent STEMIs in patients with CAE. While the current literature appears to favour prophylactic antiplatelet and anticoagulant in these patients, more studies are needed to determine the optimal form and duration of antithrombotic therapy. Currently, there is no gold standard treatment for CAE and further prospective and randomized-controlled studies are needed to guide recommendations. Full article
(This article belongs to the Section Cardiology)
Show Figures

Figure 1

10 pages, 604 KB  
Article
Cytokine Disturbances in Coronary Artery Ectasia Do Not Support Atherosclerosis Pathogenesis
by Usama Boles, Anders Johansson, Urban Wiklund, Zain Sharif, Santhosh David, Siobhan McGrory and Michael Y. Henein
Int. J. Mol. Sci. 2018, 19(1), 260; https://doi.org/10.3390/ijms19010260 - 16 Jan 2018
Cited by 21 | Viewed by 5085
Abstract
Background: Coronary artery ectasia (CAE) is a rare disorder commonly associated with additional features of atherosclerosis. In the present study, we aimed to examine the systemic immune-inflammatory response that might associate CAE. Methods: Plasma samples were obtained from 16 patients with coronary artery [...] Read more.
Background: Coronary artery ectasia (CAE) is a rare disorder commonly associated with additional features of atherosclerosis. In the present study, we aimed to examine the systemic immune-inflammatory response that might associate CAE. Methods: Plasma samples were obtained from 16 patients with coronary artery ectasia (mean age 64.9 ± 7.3 years, 6 female), 69 patients with coronary artery disease (CAD) and angiographic evidence for atherosclerosis (age 64.5 ± 8.7 years, 41 female), and 140 controls (mean age 58.6 ± 4.1 years, 40 female) with normal coronary arteries. Samples were analyzed at Umeå University Biochemistry Laboratory, Sweden, using the V-PLEX Pro-Inflammatory Panel 1 (human) Kit. Statistically significant differences (p < 0.05) between patient groups and controls were determined using Mann–Whitney U-tests. Results: The CAE patients had significantly higher plasma levels of INF-γ, TNF-α, IL-1β, and IL-8 (p = 0.007, 0.01, 0.001, and 0.002, respectively), and lower levels of IL-2 and IL-4 (p < 0.001 for both) compared to CAD patients and controls. The plasma levels of IL-10, IL-12p, and IL-13 were not different between the three groups. None of these markers could differentiate between patients with pure (n = 6) and mixed with minimal atherosclerosis (n = 10) CAE. Conclusions: These results indicate an enhanced systemic pro-inflammatory response in CAE. The profile of this response indicates activation of macrophages through a pathway and trigger different from those of atherosclerosis immune inflammatory response. Full article
(This article belongs to the Special Issue Pathomechanisms of Atherosclerosis. Part I)
Show Figures

Figure 1

4 pages, 343 KB  
Case Report
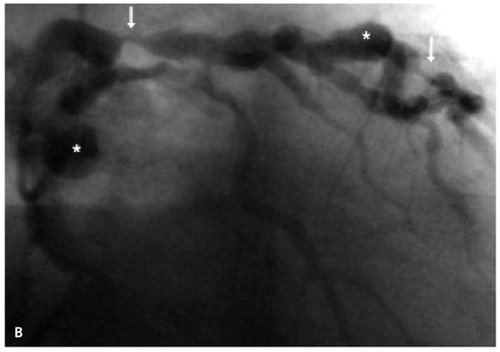
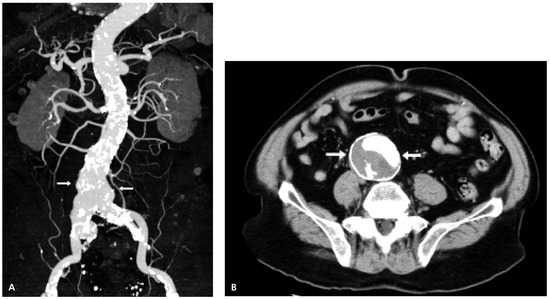
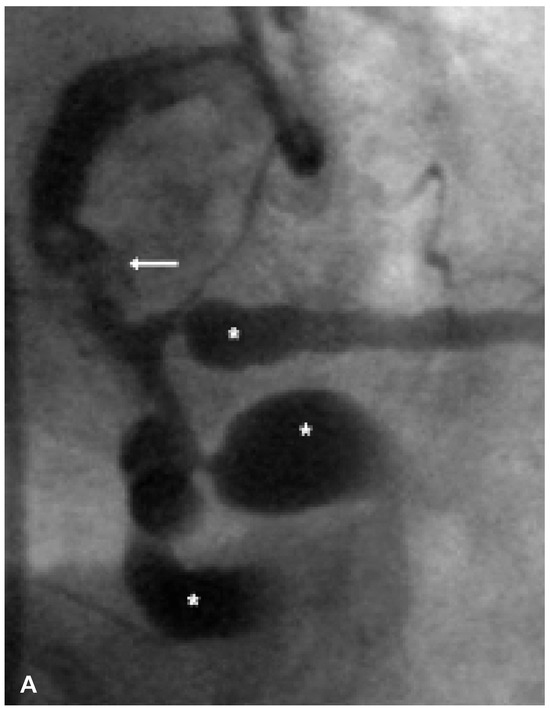
Severe Coronary Artery Ectasia and Abdominal Aortic Aneurysm
by Ruth von Dahlen, Stephanie Kiencke, Christoph Kaiser and Peter Rickenbacher
Cardiovasc. Med. 2006, 9(10), 348; https://doi.org/10.4414/cvm.2006.01199 - 27 Oct 2006
Cited by 1 | Viewed by 118
Abstract
Coronary artery ectasia (CAE), a discrete or fusiform arterial dilatation, is an uncommon angiographic finding. We report the case of a patient presenting with an acute coronary syndrome in whom further evaluation revealed coronary artery disease with severe CAE in the presence of [...] Read more.
Coronary artery ectasia (CAE), a discrete or fusiform arterial dilatation, is an uncommon angiographic finding. We report the case of a patient presenting with an acute coronary syndrome in whom further evaluation revealed coronary artery disease with severe CAE in the presence of an abdominal aortic aneurysm (AAA). Since both entities are strongly associated with local and systemic atherosclerosis, they have traditionally been viewed as a variant of atherosclerosis. The combined occurrence of CAE and AAA, as in the present case, raises questions about common pathogenetic mechanisms apart from atherosclerosis. The respective evidence will be reviewed. Full article
Show Figures

Figure 1

Back to TopTop