Sign in to use this feature.

Years

Between: -

Subjects

remove_circle_outline
remove_circle_outline
remove_circle_outline
remove_circle_outline

Journals

Article Types

Countries / Regions

Search Results (13)

Search Parameters:
Keywords = chicken anemia virus (CAV)

Order results
Result details
Results per page
Select all
Export citation of selected articles as:
15 pages, 5746 KB  
Article
Epidemiological Investigation and Molecular Characterization of Chicken Infectious Anemia Virus in Broilers in Liaoning Province, China
by Yufu Li, Zhenyu Chen, Yiyang Huang, Shuang Hu, Qiufeng Lv and Peng Zhang
Vet. Sci. 2025, 12(11), 1031; https://doi.org/10.3390/vetsci12111031 - 24 Oct 2025
Viewed by 607
Abstract
Chicken anemia virus (CAV) targets the immune system of chickens, causing anemia and atrophy of the bone marrow and lymphoid organs, resulting in significant damage to poultry farming. From April 2024 to March 2025, a total of 359 liver samples were collected from [...] Read more.
Chicken anemia virus (CAV) targets the immune system of chickens, causing anemia and atrophy of the bone marrow and lymphoid organs, resulting in significant damage to poultry farming. From April 2024 to March 2025, a total of 359 liver samples were collected from broiler farms in 11 cities across Liaoning Province. CAV was detected using PCR, and 16 complete genome sequences of CAV isolates from different regions were analyzed through phylogenetic and recombination analyses. The overall CAV positivity rate was 13.9%, with spring identified as the peak season. Phylogenetic analysis and genotyping revealed that ten CAV strains clustered within subgroup C1, while the remaining six were distributed among subgroups C2 and C3, as well as Group D. Specific mutations were observed among the VP1 protein genotypes, including mutations previously associated with increased pathogenicity and transmission. One isolate, LN2511, was identified as a potential recombinant strain with its parents CAV-Shanxi7 and CAV-EG-13. During 2024–2025, CAV infection remained prevalent in Liaoning Province, with subtype C1 being the dominant genotype. Amino acid sequence analysis indicated the presence of highly pathogenic strains across the province. These findings fill a knowledge gap regarding CAV infection status and evolutionary trends in chicken populations in Liaoning, China. Full article
Show Figures

Figure 1

15 pages, 735 KB  
Article
Pathogenicity in Chicken Anemia Virus with Eimeria tenella: Concurrent Co-Infection and Secondary Eimeria tenella Infection
by Hsyang-Hsun Chung, Suttitas Tongkamsai, Ming-Chu Cheng, Yi-Lun Tsai, Meng-Shiou Lee, Yi-Yang Lien and Ya-Mei Chen
Microorganisms 2025, 13(7), 1676; https://doi.org/10.3390/microorganisms13071676 - 16 Jul 2025
Cited by 1 | Viewed by 1093
Abstract
Chicken anemia virus (CAV) and Eimeria tenella (E. tenella) are economically important pathogens of the poultry industry worldwide. However, the impact of dual infection of these two pathogens in chickens remains unclear. This study investigated the pathogenic effects of dual infection [...] Read more.
Chicken anemia virus (CAV) and Eimeria tenella (E. tenella) are economically important pathogens of the poultry industry worldwide. However, the impact of dual infection of these two pathogens in chickens remains unclear. This study investigated the pathogenic effects of dual infection with CAV and E. tenella using two trials. In Trial A, chickens were infected at 21 days of age (D21) with either CAV and E. tenella simultaneously (C21 + T21), CAV alone (C21a), E. tenella alone (T21), or PBS as a negative control (NC). In Trial B, chickens received CAV at D21 followed by E. tenella at D28 (C21 + T28), CAV alone at D21 (C21b), E. tenella alone at D28 (T28), or PBS at D21 (NC). Assays of lesion scores (LS), oocysts per gram (OPG) of feces, packed cell volume (PCV), and thymus index (TI) were used to assess variations in pathogenicity. Both the C21 + T21 and C21 + T28 groups showed higher OPG than the group infected with E. tenella alone, with significantly elevated OPG in the secondary infection scenario and more severe lesions in the concurrent co-infection group (p < 0.05). Anemia, indicated by PCV < 27%, was observed in the C21 + T21 group at day 28 and in the C21 + T28 group at day 35, both of which had significantly lower PCV values than the group infected with CAV alone (p < 0.001). Thymus atrophy was most severe in C21 + T21 at 28 days old (p < 0.05; p < 0.01). In this study, preliminary observations suggested that concurrent and secondary infections with CAV and E. tenella showed variable trends that may indicate potential interactions; however, these exploratory findings require more systematic validation in older chickens. Full article
(This article belongs to the Special Issue Poultry Pathogens and Poultry Diseases, 2nd Edition)
Show Figures

Figure 1

11 pages, 2088 KB  
Article
Transmissible Viral Proventriculitis in Broiler Chickens from Bosnia and Herzegovina
by Jovana Dervović, Šejla Goletić, Alma Šeho-Alić, Senad Prašović, Teufik Goletić and Amer Alić
Pathogens 2025, 14(5), 438; https://doi.org/10.3390/pathogens14050438 - 30 Apr 2025
Viewed by 1186
Abstract
The etiology of transmissible viral proventriculitis (TVP) of broiler chickens has been discussed since its initial recognition 40 years ago. Regardless of its low direct impact on mortality rate, it leads to high economic losses in the broiler industry through reduction of food [...] Read more.
The etiology of transmissible viral proventriculitis (TVP) of broiler chickens has been discussed since its initial recognition 40 years ago. Regardless of its low direct impact on mortality rate, it leads to high economic losses in the broiler industry through reduction of food conversion, weakening of birds, and their increased susceptibility to pathogens. The aim of the present study was to examine the potential presence of TVP on the broiler chicken farms in Bosnia and Herzegovina, to characterize microscopic lesions, and to investigate the viruses implicated in etiology of TVP by PCR-based methods. In total, 143 diseased broiler chickens from 16 farms in Bosnia and Herzegovina were euthanized and subjected to necropsy and subsequent histopathology of proventriculi. A representative number of proventriculi samples (n = 50) that exhibited histopathologic changes were processed for molecular detection of chicken proventricular necrosis virus (CPNV), girovirus (GyV3), chicken anemia virus (CAV), and infectious bursal disease virus (IBDV) by PCR-based methods. In addition, samples of bursa of Fabricius (n = 39) and spleen (n = 50) were tested for IBDV. Histopathology revealed changes consistent with TVP in 39.8% (57/143) and LP (lymphocytic proventriculitis) in 2.1% (3/143) of samples. All 50 proventricular samples showed positivity to CPNV with Ct values ranging between 18 and 26. GyV3 was detected in eight samples (16%), with Ct values ranging from 11.1 to 27.5. The presence of CAV was more prominent (38%), with 19 positive broiler chickens (Ct ranging from 9.6 to 35.6). Pooled samples of spleen, bursa, and proventriculi from three farms were positive for IBDV. The obtained results represent the first documented data on TVP and the first record of CPNV and GyV3 presence in broiler farms from Bosnia and Herzegovina. Full article
(This article belongs to the Section Viral Pathogens)
Show Figures

Figure 1

15 pages, 2685 KB  
Article
Invasion of Chicken Anemia Virus in Specific-Pathogen-Free Chicken Flocks and Its Successful Elimination from the Colony
by Akira Fujiwara, Wataru Horii, Junichi Sano, Toshiaki Kodama, Atsushi Kato, Kazumoto Shibuya and Toshiki Saitoh
Vet. Sci. 2024, 11(7), 329; https://doi.org/10.3390/vetsci11070329 - 22 Jul 2024
Cited by 2 | Viewed by 2794
Abstract
A specific-pathogen-free (SPF) chicken colony was maintained with successive groups a month apart in age. The absence of specific pathogens, including chicken anemia virus (CAV), was confirmed through periodic serological tests for each group. However, some groups became CAV seropositive. The procedures of [...] Read more.
A specific-pathogen-free (SPF) chicken colony was maintained with successive groups a month apart in age. The absence of specific pathogens, including chicken anemia virus (CAV), was confirmed through periodic serological tests for each group. However, some groups became CAV seropositive. The procedures of removing seropositive and the adjacent seronegative chickens followed with chemically disinfecting the housing did not halt CAV outbreaks. The full genome sequence of the CAV strain that appeared was closely related to low-virulence isolates in China. The outbreaks of CAV decreased with an increase in the seropositive chicken population, indicating that the progeny is protected from CAV infection by maternal anti-CAV antibodies. The persistence of CAV in erythroid and lymphoid tissues or reproductive tissues from CAV seropositive chickens was examined in chickens of various ages using polymerase chain reaction (PCR). Since a low persistence of CAV was observed in the colony, we isolated eggs from CAV seropositive hens through artificial insemination using semen collected from roosters and confirmed as CAV-free by PCR. Fertilized eggs were transferred to a new SPF facility and used for generating CAV-free progeny. To date, chickens reared in the new facility have been CAV-free for longer than two years. Redirection of eggs from seropositive hens was an effective means of eliminating CAV from chickens. Full article
(This article belongs to the Section Veterinary Microbiology, Parasitology and Immunology)
Show Figures

Figure 1

8 pages, 1228 KB  
Communication
Retrospective Investigation and Genetic Variation Analysis of Chicken Infectious Anemia in Shandong Province, 2020–2022
by Jing Li, Yufei Lou, Peixun Li, Tailong Wang, Zehao Lv, Zhiyun Guo, Ningwei Geng, Fanliang Meng, Sidang Liu and Ning Li
Vet. Sci. 2023, 10(4), 263; https://doi.org/10.3390/vetsci10040263 - 29 Mar 2023
Cited by 2 | Viewed by 3108
Abstract
Chicken infectious anemia (CIA) is a vertical transmission infectious chicken disease caused by the chicken infectious anemia virus (CAV). The disease can induce stunting and immunosuppression in chicks by infecting bone marrow-derived stem cells, causing huge economic losses for the poultry industry. To [...] Read more.
Chicken infectious anemia (CIA) is a vertical transmission infectious chicken disease caused by the chicken infectious anemia virus (CAV). The disease can induce stunting and immunosuppression in chicks by infecting bone marrow-derived stem cells, causing huge economic losses for the poultry industry. To determine the prevalence of CIA in Shandong Province, China, 854 suspected CIA samples were collected and analyzed in 13 cities in Shandong from 2020 to 2022. The PCR results showed that a total of 115 CAV were isolated. The CAV-positive rates were 17.21% (26/151) in 2020, 12.23% (35/286) in 2021, and 12.94% (54/417) in 2022, with severe mixed infections. Among them, CAV and fowl adenovirus (FAdV) were the most common, accounting for 40.86%. VP1 gene homology analysis showed that isolated strains shared 96.1–100% homology with the previously reported CAV strains. Genetic variation analysis showed that most of the isolated CAV strains were located in genotype A. These results indicate that CIA infection in Shandong chickens in recent years has been prevalent and mixed infections are common, but there were no significant genetic variations. Our results extend the understanding of the prevalence and genetic evolution of CIA in Shandong Province. They will offer new references for further study of the epidemiology and virus variation and the prevention and control of this disease. Full article
(This article belongs to the Section Veterinary Microbiology, Parasitology and Immunology)
Show Figures

Figure 1

12 pages, 2589 KB  
Article
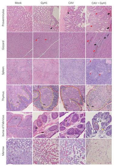
The Synergy of Chicken Anemia Virus and Gyrovirus Homsa 1 in Chickens
by Mengzan Yang, Qi Yang, Xiaoqing Bi, Hengyang Shi, Jianhao Yang, Xiangyu Cheng, Tianxing Yan, Honghai Zhang and Ziqiang Cheng
Viruses 2023, 15(2), 515; https://doi.org/10.3390/v15020515 - 13 Feb 2023
Cited by 8 | Viewed by 3741
Abstract
Chicken anemia virus (CAV) and Gyrovirus homsa 1 (GyH1) are members of the Gyrovirus genus. The two viruses cause similar clinical manifestations in chickens, aplastic anemia and immunosuppression. Our previous investigation displays that CAV and GyH1 often co-infect chickens. However, whether they have [...] Read more.
Chicken anemia virus (CAV) and Gyrovirus homsa 1 (GyH1) are members of the Gyrovirus genus. The two viruses cause similar clinical manifestations in chickens, aplastic anemia and immunosuppression. Our previous investigation displays that CAV and GyH1 often co-infect chickens. However, whether they have synergistic pathogenicity in chickens remains elusive. Here, we established a co-infection model of CAV and GyH1 in specific pathogen-free (SPF) chickens to explore the synergy between CAV and GyH1. We discovered that CAV and GyH1 significantly inhibited weight gain, increased mortality, and hindered erythropoiesis in co-infected chickens. Co-infected chickens exhibited severe immune organ atrophy and lymphocyte exhaustion. The proventriculus and gizzard had severe hemorrhagic necrosis and inflammation. We also discovered that the viral loads and shedding levels were higher and lasted longer in CAV and GyH1 co-infected chickens than in mono-infected chickens. Our results demonstrate that CAV and GyH1 synergistically promote immunosuppression, pathogenicity, and viral replication in co-infected chicken, highlighting the interaction between CAV and GyH1 in the disease process and increasing potential health risk in the poultry breeding industry, and needs further attention. Full article
(This article belongs to the Section Animal Viruses)
Show Figures

Figure 1

15 pages, 2553 KB  
Article
Design of a Multiepitope Vaccine against Chicken Anemia Virus Disease
by Abiodun Joseph Fatoba, Victoria T. Adeleke, Leah Maharaj, Moses Okpeku, Adebayo A. Adeniyi and Matthew A. Adeleke
Viruses 2022, 14(7), 1456; https://doi.org/10.3390/v14071456 - 30 Jun 2022
Cited by 14 | Viewed by 3193
Abstract
Chicken anemia virus (CAV) causes severe clinical and sub-clinical infection in poultry globally and thus leads to economic losses. The drawbacks of the commercially available vaccines against CAV disease signal the need for a novel, safe, and effective vaccine design. In this study, [...] Read more.
Chicken anemia virus (CAV) causes severe clinical and sub-clinical infection in poultry globally and thus leads to economic losses. The drawbacks of the commercially available vaccines against CAV disease signal the need for a novel, safe, and effective vaccine design. In this study, a multiepitope vaccine (MEV) consisting of T-cell and B-cell epitopes from CAV viral proteins (VP1 and VP2) was computationally constructed with the help of linkers and adjuvant. The 3D model of the MEV construct was refined and validated by different online bioinformatics tools. Molecular docking showed stable interaction of the MEV construct with TLR3, and this was confirmed by Molecular Dynamics Simulation. Codon optimization and in silico cloning of the vaccine in pET-28a (+) vector also showed its potential expression in the E. coli K12 system. The immune simulation also indicated the ability of this vaccine to induce an effective immune response against this virus. Although the vaccine in this study was computationally constructed and still requires further in vivo study to confirm its effectiveness, this study marks a very important step towards designing a potential vaccine against CAV disease. Full article
(This article belongs to the Section Animal Viruses)
Show Figures

Figure 1

11 pages, 2420 KB  
Article
Establishment of an In Vitro Model of Persistent Chicken Anemia Virus Infection
by Hieu Van Dong, Giang Thi Huong Tran, Dai Quang Trinh, Yohei Takeda, Haruko Ogawa and Kunitoshi Imai
Pathogens 2020, 9(10), 842; https://doi.org/10.3390/pathogens9100842 - 15 Oct 2020
Cited by 3 | Viewed by 3934
Abstract
Persistent infection of chicken anemia virus (CAV) in chickens has been suspected to result in immunosuppression and exogenous virus contamination within vaccine production. However, no direct evidence for persistent CAV infection has thus far been obtained. In this study, we aimed to establish [...] Read more.
Persistent infection of chicken anemia virus (CAV) in chickens has been suspected to result in immunosuppression and exogenous virus contamination within vaccine production. However, no direct evidence for persistent CAV infection has thus far been obtained. In this study, we aimed to establish an in vitro model of persistent CAV infection. CAV-infected MDCC-MSB1 (MSB1) cells, a Marek’s disease virus-transformed continuous cell line, were cultured in the presence of both CAV and CAV neutralizing antibody (NA). Cell viability, expression of viral antigens, viral DNA, and recovery of CAV were examined by acridine orange/propidium iodide staining, immunofluorescence measurement, real-time PCR, and viral isolation, respectively. The results indicated that CAV was maintained and possibly replicated in CAV-infected cells cultured in the presence of NA, without affecting host cell viability. It was also shown that persistently infectious CAV induced cell death again after removing NA. The persistent infection of CAV in MSB1 cells was not related to viral gene mutation. In summary, we have herein established a novel model of persistent CAV infection in MSB1 cells cultured in the presence of NA. Full article
(This article belongs to the Special Issue Chicken Anaemia Virus Infection)
Show Figures

Figure 1

15 pages, 932 KB  
Review
The Role of Apoptin in Chicken Anemia Virus Replication
by Cynthia Feng, Yingke Liang and Jose G. Teodoro
Pathogens 2020, 9(4), 294; https://doi.org/10.3390/pathogens9040294 - 16 Apr 2020
Cited by 17 | Viewed by 5758
Abstract
Apoptin is the Vp3 protein of chicken anemia virus (CAV), which infects the thymocytes and erythroblasts in young chickens, causing chicken infectious anemia and immunosuppression. Apoptin is highly studied for its ability to selectively induce apoptosis in human tumor cells and, thus, is [...] Read more.
Apoptin is the Vp3 protein of chicken anemia virus (CAV), which infects the thymocytes and erythroblasts in young chickens, causing chicken infectious anemia and immunosuppression. Apoptin is highly studied for its ability to selectively induce apoptosis in human tumor cells and, thus, is a protein of interest in anti-tumor therapy. CAV apoptin is known to localize to different subcellular compartments in transformed and non-transformed cells, depending on the DNA damage response, and the phosphorylation of several identified threonine residues. In addition, apoptin interacts with molecular machinery such as the anaphase promoting complex/cyclosome (APC/C) to inhibit the cell cycle and induce arrest in G2/M phase. While these functions of apoptin contribute to the tumor-selective effect of the protein, they also provide an important fundamental framework to apoptin’s role in viral infection, pathogenesis, and propagation. Here, we reviewed how the regulation, localization, and functions of apoptin contribute to the viral life cycle and postulated its importance in efficient replication of CAV. A model of the molecular biology of infection is critical to informing our understanding of CAV and other related animal viruses that threaten the agricultural industry. Full article
(This article belongs to the Special Issue Chicken Anaemia Virus Infection)
Show Figures

Figure 1

13 pages, 49611 KB  
Article
Preparation of Chicken Anemia Virus (CAV) Virus-Like Particles and Chicken Interleukin-12 for Vaccine Development Using a Baculovirus Expression System
by Ta-Yuan Tseng, Yee-Chen Liu, Yu-Chen Hsu, Poa-Chun Chang, Ming-Kun Hsieh, Jui-Hung Shien and Shan-Chia Ou
Pathogens 2019, 8(4), 262; https://doi.org/10.3390/pathogens8040262 - 23 Nov 2019
Cited by 20 | Viewed by 5925
Abstract
Chicken infectious anemia (CIA) is a poultry disease that causes huge economic losses in the poultry industry worldwide. Commercially available CIA vaccines are derived from wild-type chicken anemia viruses (CAVs) by serial passage in cells or chicken embryos. However, these vaccinal viruses are [...] Read more.
Chicken infectious anemia (CIA) is a poultry disease that causes huge economic losses in the poultry industry worldwide. Commercially available CIA vaccines are derived from wild-type chicken anemia viruses (CAVs) by serial passage in cells or chicken embryos. However, these vaccinal viruses are not completely attenuated; therefore, they can be transmitted vertically and horizontally, and may induce clinical symptoms in young birds. In this study, we sought to eliminate these issues by developing a subunit vaccine exploiting the CAV structural proteins, engineering recombinant baculovirus-infected Spodoptera frugiperda (Sf9) cells that contained both the viral protein 1 (VP1) and VP2 of CAV. Moreover, we produced single-chain chicken interleukin-12 (chIL-12) in the same system, to serve as an adjuvant. The recombinant VP1 was recognized by chicken anti-CAV polyclonal antibodies in Western blotting and immunofluorescence assays, and the bioactivity of the recombinant chIL-12 was confirmed by stimulating interferon-γ (IFN-γ) secretion in chicken splenocytes. Furthermore, the ability of the recombinant VP1 to generate self-assembling virus-like particles (VLPs) was confirmed by transmission electron microscopy. Specific pathogen-free (SPF) chickens inoculated with VLPs and co-administered the recombinant chIL-12 induced high CAV-specific antibodies and cell-mediated immunity. Taken together, the VLPs produced by the baculovirus expression system have the potential to be a safe and effective CIA vaccine. Finally, we demonstrated the utility of recombinant chIL-12 as an adjuvant for poultry vaccine development. Full article
(This article belongs to the Special Issue Chicken Anaemia Virus Infection)
Show Figures

Figure 1

11 pages, 1420 KB  
Article
Oral Inoculation of Specific-Pathogen-Free Chickens with Chicken Anemia Virus Induces Dose-Dependent Viremia and Transient Anemia
by Suttitas Tongkamsai, Meng-Shiou Lee, Yi-Lun Tsai, Hsyang-Hsun Chung, Guan-Hua Lai, Jai-Hong Cheng, Ming-Chu Cheng and Yi-Yang Lien
Pathogens 2019, 8(3), 141; https://doi.org/10.3390/pathogens8030141 - 7 Sep 2019
Cited by 7 | Viewed by 3942
Abstract
Chicken infectious anemia caused by chicken anemia virus (CAV) is a very important immunosuppressive disease in chickens. The horizontal spread of CAV in field chickens has been confirmed mainly through oral infection in our published article. Anemia is the main symptom of this [...] Read more.
Chicken infectious anemia caused by chicken anemia virus (CAV) is a very important immunosuppressive disease in chickens. The horizontal spread of CAV in field chickens has been confirmed mainly through oral infection in our published article. Anemia is the main symptom of this disease. Studies by other scientists have shown that infection of CAV in 1-day-old chicks can cause anemia, and the degree of anemia is directly proportional to the dose of infectious virus. However, the pathogenesis of oral inoculation of CAV in older chickens is still not well understood. The purpose of this study was to determine whether 3-weeks-old specific-pathogen-free (SPF) chickens infected with different viral doses in oral route would cause anemia, as well as other signs associated with age-resistance. The experimental design was divided into a high-dose inoculated group (106 1050), low-dose inoculated group (103 TCID50), and non-virus inoculated control group, and 12 birds in each group at the beginning of the trial. The packed cell volumes (PCVs), CAV genome copies in tissues, CAV titer in peripheral blood fractions, and serology were evaluated at 7, 14, and 21 days post-infection (dpi). Virus replication and spread were estimated using quantitative polymerase chain reaction (qPCR) and viral titration in cell culture, respectively. The results showed that the average PCVs value of the high-dose inoculated group was significantly lower than that of the control group at 14 dpi (p < 0.05), and 44.4% (4/9) of the chickens reached the anemia level (PCVs < 27%). At 21 dpi, the average PCV value rebounded but remained lower than the control group without significant differences. In the low-dose inoculated group, all birds did not reach anemia during the entire trial period. Peripheral blood analysis showed that the virus titer in all erythrocyte, granulocyte and mononuclear cell reached the peak at 14 dpi regardless of the high-dose or low-dose inoculated group, and the highest virus titer appeared in the high-dose inoculated group of mononuclear cell. In the low-dose inoculated group, CAV was detected only at 14 dpi in erythrocyte. Taken together, our results indicate that the older birds require a higher dose of infectious CAV to cause anemia after about 14 days of infection, which is related to apoptosis caused by viral infection of erythrocytes. In both inoculated groups, the viral genome copies did not increase in the bone marrow, which indicated that minimal cell susceptibility to CAV was found in older chickens. In the low-dose inoculated group, only mononuclear cells can still be detected with CAV at 21 dpi in seropositive chickens, indicating that the mononuclear cell is the target cell for persistent infection. Therefore, complete elimination of the CAV may still require the aid of a cell-mediated immune response (CMI), although it has previously been reported to be inhibited by CAV infection. Prevention of early exposure to CAV could be possible by improved hygiene procedures. Full article
(This article belongs to the Special Issue Chicken Anaemia Virus Infection)
Show Figures

Figure 1

23 pages, 3356 KB  
Article
Faecal Virome Analysis of Wild Animals from Brazil
by Matheus A. Duarte, João M. F. Silva, Clara R. Brito, Danilo S. Teixeira, Fernando L. Melo, Bergmann M. Ribeiro, Tatsuya Nagata and Fabrício S. Campos
Viruses 2019, 11(9), 803; https://doi.org/10.3390/v11090803 - 30 Aug 2019
Cited by 67 | Viewed by 11130
Abstract
The Brazilian Cerrado fauna shows very wide diversity and can be a potential viral reservoir. Therefore, the animal’s susceptibility to some virus can serve as early warning signs of potential human virus diseases. Moreover, the wild animal virome of this biome is unknown. [...] Read more.
The Brazilian Cerrado fauna shows very wide diversity and can be a potential viral reservoir. Therefore, the animal’s susceptibility to some virus can serve as early warning signs of potential human virus diseases. Moreover, the wild animal virome of this biome is unknown. Based on this scenario, high-throughput sequencing contributes a robust tool for the identification of known and unknown virus species in this environment. In the present study, faeces samples from cerrado birds (Psittacara leucophthalmus, Amazona aestiva, and Sicalis flaveola) and mammals (Didelphis albiventris, Sapajus libidinosus, and Galictis cuja) were collected at the Veterinary Hospital, University of Brasília. Viral nucleic acid was extracted, submitted to random amplification, and sequenced by Illumina HiSeq platform. The reads were de novo assembled, and the identities of the contigs were evaluated by Blastn and tblastx searches. Most viral contigs analyzed were closely related to bacteriophages. Novel archaeal viruses of the Smacoviridae family were detected. Moreover, sequences of members of Adenoviridae, Anelloviridae, Circoviridae, Caliciviridae, and Parvoviridae families were identified. Complete and nearly complete genomes of known anelloviruses, circoviruses, and parvoviruses were obtained, as well as putative novel species. We demonstrate that the metagenomics approach applied in this work was effective for identification of known and putative new viruses in faeces samples from Brazilian Cerrado fauna. Full article
(This article belongs to the Special Issue Emerging Viruses: Surveillance, Prevention, Evolution and Control)
Show Figures

Figure 1

8 pages, 415 KB  
Article
Persistent Infection with Chicken Anemia Virus in 3-Week-Old Chickens Induced by Inoculation of the Virus by the Natural Route
by Suttitas Tongkamsai, Meng-Shiou Lee, Ming-Chu Cheng, Hso-Chi Chaung, Yi-Lun Tsai and Yi-Yang Lien
Pathogens 2019, 8(2), 48; https://doi.org/10.3390/pathogens8020048 - 12 Apr 2019
Cited by 8 | Viewed by 4497
Abstract
Naturally acquired chicken anemia virus (CAV) infection in chickens frequently occurs from 3 weeks of age onward after maternally derived antibodies have decayed. The oral inoculation of older chickens with CAV was reported to have negative effects on cell-mediated immune function, and pathological [...] Read more.
Naturally acquired chicken anemia virus (CAV) infection in chickens frequently occurs from 3 weeks of age onward after maternally derived antibodies have decayed. The oral inoculation of older chickens with CAV was reported to have negative effects on cell-mediated immune function, and pathological changes were identified. To date, there has been no complete illustration of an immunological and persistent infection. To understand the pathogenesis of persistent CAV infection, an immunological study of CAV-infected 3-week-old specific pathogen-free (SPF) chickens was carried out by different routes of inoculation. The weight, packed cell volumes, and organ samples were obtained at 7, 14, 21, and 28 days postinfection (dpi). Here, we compared hematological, immunological, and sequential pathological evaluations and determined the CAV tissue distribution in different organs. Neither a reduction in weight gain nor anemia was detected in either the inoculated or the control group. The immune-pathological changes were investigated by evaluating the body and thymus weight ratio and specific antibody titer. Delayed recovery of the thymus corresponding to a low antibody response was detected in the orally inoculated group. This is different from what was found in chickens intramuscularly infected with the same dose of CAV. The CAV remaining in a wide range of tissues was examined by viral reisolation into cell culture. The absence of the virus in infected tissues was typically found in the intramuscularly inoculated group. These chickens were immediately induced for a protective antibody response. A few viruses replicating in the thymus were found 21 dpi due to the regression in the antibody titer in the orally inoculated group. Our findings support that a natural infection with CAV may lead to the gradual CAV viral replication in the thymus during inadequate antibody production. The results clearly confirmed that virus-specific antibodies were essential for viral clearance. Under CIA-risk circumstances, administration of the CAV vaccine is important for achieving a sufficient protective immune response. Full article
(This article belongs to the Special Issue Chicken Anaemia Virus Infection)
Show Figures

Figure 1

Back to TopTop