Sign in to use this feature.

Years

Between: -

Subjects

remove_circle_outline
remove_circle_outline
remove_circle_outline
remove_circle_outline

Journals

Article Types

Countries / Regions

Search Results (13)

Search Parameters:
Keywords = catheter-based closure

Order results
Result details
Results per page
Select all
Export citation of selected articles as:
11 pages, 261 KB  
Review
Minimally Invasive Surgical Strategies for the Treatment of Atrial Fibrillation: An Evolving Role in Contemporary Cardiac Surgery
by Luciana Benvegnù, Giorgia Cibin, Fabiola Perrone, Vincenzo Tarzia, Augusto D’Onofrio, Giovanni Battista Luciani, Gino Gerosa and Francesco Onorati
J. Cardiovasc. Dev. Dis. 2025, 12(8), 289; https://doi.org/10.3390/jcdd12080289 - 29 Jul 2025
Viewed by 848
Abstract
Atrial fibrillation remains the most frequent sustained arrhythmia, particularly in the elderly population, and is associated with increased risks of stroke, heart failure, and reduced quality of life. While catheter ablation is widely used for rhythm control, its efficacy is limited in persistent [...] Read more.
Atrial fibrillation remains the most frequent sustained arrhythmia, particularly in the elderly population, and is associated with increased risks of stroke, heart failure, and reduced quality of life. While catheter ablation is widely used for rhythm control, its efficacy is limited in persistent and long-standing atrial fibrillation. Over the past two decades, minimally invasive surgical strategies have emerged as effective alternatives, aiming to replicate the success of the Cox-Maze procedure while reducing surgical trauma. This overview critically summarizes the current minimally invasive techniques available for atrial fibrillation treatment, including mini-thoracotomy ablation, thoracoscopic ablation, and hybrid procedures such as the convergent approach. These methods offer the potential for durable sinus rhythm restoration by enabling direct visualization, transmural lesion creation, and left atrial appendage exclusion, with lower perioperative morbidity compared to traditional open surgery. The choice of energy source plays a key role in lesion efficacy and safety. Particular attention is given to the technical steps of each procedure, patient selection criteria, and the role of left atrial appendage closure in stroke prevention. Hybrid strategies, which combine epicardial surgical ablation with endocardial catheter-based procedures, have shown encouraging outcomes in patients with refractory or long-standing atrial fibrillation. Despite the steep learning curve, minimally invasive techniques provide significant benefits in terms of recovery time, reduced hospital stay, and fewer complications. As evidence continues to evolve, these approaches represent a key advancement in the surgical management of atrial fibrillation, deserving integration into contemporary treatment algorithms and multidisciplinary heart team planning. Full article
(This article belongs to the Special Issue Hybrid Ablation of the Atrial Fibrillation)
Show Figures

Graphical abstract

13 pages, 375 KB  
Systematic Review
A Literature Review of the Lubricants Used in Dermatome-Assisted Split-Thickness Skin Graft Harvest
by William Wright, Marc Ingram and Quentin Frew
J. Clin. Med. 2025, 14(12), 4336; https://doi.org/10.3390/jcm14124336 - 18 Jun 2025
Viewed by 655
Abstract
Background: Split-thickness skin grafts (STSGs) are utilised to close wounds which cannot be closed by primary closure. Dermatome-assisted STSG harvest utilises a lubricant to control friction, which facilitates graft harvest. Many different lubricants are used during graft harvest, although little research has been [...] Read more.
Background: Split-thickness skin grafts (STSGs) are utilised to close wounds which cannot be closed by primary closure. Dermatome-assisted STSG harvest utilises a lubricant to control friction, which facilitates graft harvest. Many different lubricants are used during graft harvest, although little research has been conducted to identify the optimal lubricant. Furthermore, new techniques such as Meek grafting are incompatible with commonly used oil-based lubricants. Method: A literature search was conducted, following the PRISMA protocol. 173 records were screened with 6 included in this study. We also reviewed the literature on lubricants in other biotribological systems including shaving. Results: We found support for numerous lubricants, including: mineral oil, catheter gel, chlorhexidine, saline and ultrasound gel. Evidence consisted of expert opinions, and one blinded comparative review. There was no consensus on the optimal lubricant, and we did not find evidence that lubricant compatibility with Meek grafting had been assessed. Conclusions: Presently, lubrication choice in STSG harvest lacks a scientific basis, and further research is needed to design a bespoke, Meek-compatible lubricant which considers only four of Engelhardt’s characteristics (1. cost-effectiveness; 4. lubrication; 6. no side effects; 8. practicability) to be essential. This should be followed by a blinded trial of lubricants. Full article
(This article belongs to the Special Issue Experimental and Clinical Advances in Skin Grafting)
Show Figures

Figure 1

17 pages, 1468 KB  
Review
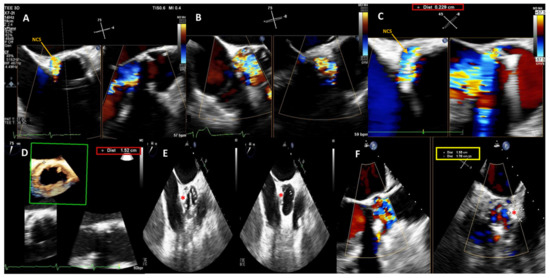
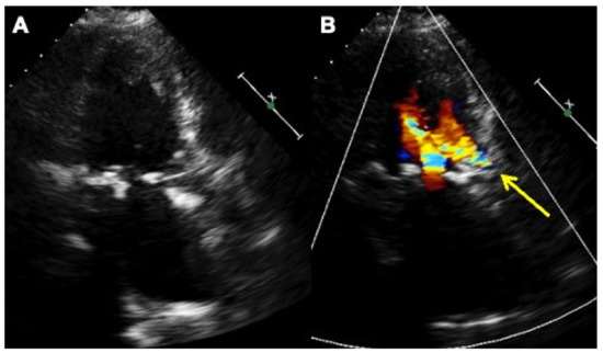
Optimizing Imaging Techniques for Left Atrial Appendage Closure: Insights and Emerging Directions
by Valentina Barletta, Mattia Alberti, Riccardo Agostini, Fausto Pizzino, Giancarlo Trimarchi, Maria Grazia D’Alfonso, Marco Solari, Giulio Zucchelli and Alberto Cresti
J. Clin. Med. 2025, 14(10), 3607; https://doi.org/10.3390/jcm14103607 - 21 May 2025
Viewed by 2199
Abstract
Atrial fibrillation (AF) is the most common sustained cardiac arrhythmia in adults and is associated with significant morbidity and mortality, including an increased risk of stroke, heart failure, dementia, and recurrent hospitalizations. As life expectancy rises, both the incidence and prevalence of AF [...] Read more.
Atrial fibrillation (AF) is the most common sustained cardiac arrhythmia in adults and is associated with significant morbidity and mortality, including an increased risk of stroke, heart failure, dementia, and recurrent hospitalizations. As life expectancy rises, both the incidence and prevalence of AF continue to grow. Stroke prevention remains a cornerstone of AF management, with oral anticoagulation being the primary strategy to reduce thromboembolic risk. However, despite their advantages, direct oral anticoagulants do not completely eliminate the risk of bleeding complications. For patients in whom anticoagulation is contraindicated, poorly tolerated, or ineffective at preventing AF-related stroke, interventional alternatives have gained traction. The left atrial appendage (LAA), a primary site of thrombus formation in AF, can be occluded through a catheter-based procedure known as left atrial appendage closure (LAAC) or left atrial appendage occlusion (LAAO). This review aims to provide imaging specialists with a comprehensive understanding of their role in LAAC, underscoring the importance of a multidisciplinary approach to enhance patient selection, procedural success, and long-term efficacy. Full article
Show Figures

Figure 1

11 pages, 583 KB  
Article
Candida Bloodstream Infections and Associated Risk Factors in Pediatric Cardiac Intensive Care
by Onur Ozalp and Erkut Ozturk
Diagnostics 2025, 15(8), 1001; https://doi.org/10.3390/diagnostics15081001 - 14 Apr 2025
Cited by 4 | Viewed by 1637
Abstract
Background: Candida infections have become a significant cause of morbidity and mortality in pediatric cardiac intensive care units following congenital heart surgery, ranking among the most common causes of complications in this patient population. There is a paucity of information available regarding the [...] Read more.
Background: Candida infections have become a significant cause of morbidity and mortality in pediatric cardiac intensive care units following congenital heart surgery, ranking among the most common causes of complications in this patient population. There is a paucity of information available regarding the epidemiology, clinical features, and risk factors associated with candidemia in this patient population. The present study evaluates the incidence of Candida bloodstream infections in pediatric cardiac intensive care units. Methods: The study was conducted retrospectively on cases of patients under the age of 18 who were admitted to the pediatric cardiac intensive care unit between 1 January 2021 and 1 January 2024. The isolated pathogens were recorded. A reanalysis was conducted on 36 patients with Candida bloodstream infections, with data pertaining to age, weight, cardiac pathologies, duration of mechanical ventilation, length of hospital stay, and antibiotic use being subjected to further examination. Each case was matched with two control patients based on age and date of surgery. The results were analyzed statistically. Results: A total of 36 cases of candidemia were identified and matched with 72 control cases. The incidence of candidemia was found to be 21.8 episodes per 1000 hospital admissions. The median age of patients with candidemia was four months. Candida species were identified in the blood cultures of 36 out of 1650 patients (0.21%). Candida albicans (n = 12, 33.3%), Candida parapsilosis (n = 16, 44.4%), Candida glabrata (n = 2, 5.5%), and other non-albicans Candida species (n = 6, 16.6%) were isolated. The mortality rate associated with Candida bloodstream infections was 61.1% (22/36). The following independent risk factors were identified as being associated with candidemia: a birth weight of less than 2500 g (OR: 3.2; 95% confidence interval (CI): 2.5–5; p = 0.009), a RACHS-1 score of 4 or above (OR: 2.1; 95% CI: 1.3–6; p = 0.01), cumulative antibiotic exposure of seven days or more (OR: 2.5; 95% CI: 2–10; p < 0.001), duration of central venous catheterization (CVC) of ≥14 days (OR: 6.1; 95% CI: 4–18; p < 0.001), mechanical ventilation dependency of ≥10 days (OR: 4.2; 95% CI: 3–11; p = 0.01), a requirement for total parenteral nutrition (OR: 9; 95% CI: 6–24; p < 0.001), and delayed sternal closure of ≥2 days (OR: 1.8; 95% CI: 1–4; p = 0.04). Conclusions: Postoperative candidemia represents a significant complication in pediatric patients with congenital heart disease (CHD), with different Candida species identified as a potential cause. The primary risk factors that contribute to the likelihood of a Candida bloodstream infection in these cases are a low birth weight, a high RACHS-1 score, dependence on mechanical ventilation, prolonged exposure to antibiotics, prolonged central venous catheter duration, delayed sternal closure, and total parenteral nutrition. Full article
(This article belongs to the Section Diagnostic Microbiology and Infectious Disease)
Show Figures

Figure 1

18 pages, 3487 KB  
Article
Synthetic Haemostatic Sealants: Effectiveness, Safety, and In Vivo Applications
by Federica Curcio, Paolo Perri, Paolo Piro, Stefania Galassi, Roberta Sole, Sonia Trombino and Roberta Cassano
Pharmaceuticals 2024, 17(3), 288; https://doi.org/10.3390/ph17030288 - 23 Feb 2024
Cited by 8 | Viewed by 2561
Abstract
Rapid haemostasis during surgery is essential when one wants to reduce the duration of operations, reduce the need for transfusions, and above all when one wants to achieve better patient management. The use of haemostatic agents, sealants, and adhesives improves the haemostatic process [...] Read more.
Rapid haemostasis during surgery is essential when one wants to reduce the duration of operations, reduce the need for transfusions, and above all when one wants to achieve better patient management. The use of haemostatic agents, sealants, and adhesives improves the haemostatic process by offering several advantages, especially in vascular surgery. These agents vary widely in their mechanism of action, composition, ease of application, adhesion to wet or dry tissue, immunogenicity, and cost. The most used are cyanoacrylate-based glues (Glubran 2) or polysaccharide hydrogel-microsphere powder (AristaTMAH). This work is based on a retrospective study carried out on a sample of patients with different vascular diseases (FAV, pseudoaneurysm, and PICC application) in which two different haemostatic sealants were used. The aim was to assess the safety, the advantages, and the ability of both sealants to activate the haemostatic process at the affected site, also in relation to their chemical-physical characteristics. The obtained results showed that the application of Glubran 2 and AristaTMAH as surgical wound closure systems is effective and safe, as the success achieved was ≥94% on anastomoses of FAV, 100% on stabilization of PICC catheters, and ≤95% on pseudoaneurysms. Full article
(This article belongs to the Section Medicinal Chemistry)
Show Figures

Figure 1

12 pages, 1202 KB  
Article
Comparison of Adverse Events between Isolated Left Atrial Appendage Closure and Combined Catheter Ablation
by Yan Zhang, Jing Yang, Qian Liu, Jinglan Wu, Lei Yin, Jing Lv, Ling You, Yanan Zhang, Lianxia Wang, Yanlei Zhao, Qian Hou, Weilin Jing and Ruiqin Xie
J. Clin. Med. 2023, 12(5), 1824; https://doi.org/10.3390/jcm12051824 - 24 Feb 2023
Cited by 6 | Viewed by 2331
Abstract
(1) Background: This study aimed to investigate the effect of an additional catheter ablation (CA) procedure on the risk of post-procedure adverse events during CA combined with left atrial appendage closure (LAAC). (2) Methods: From July 2017 to February 2022, data from 361 [...] Read more.
(1) Background: This study aimed to investigate the effect of an additional catheter ablation (CA) procedure on the risk of post-procedure adverse events during CA combined with left atrial appendage closure (LAAC). (2) Methods: From July 2017 to February 2022, data from 361 patients with atrial fibrillation who underwent LAAC at our center were analyzed retrospectively. The adverse events were compared between CA + LAAC and LAAC-only groups. (3) Results: The incidence of device-related thrombus (DRT) and embolic events was significantly lower in the CA + LAAC group than in the LAAC-only group (p = 0.01 and 0.04, respectively). A logistic regression analysis revealed that the combined procedure served as a protective factor for DRT (OR = 0.09; 95% confidence interval: 0.01–0.89; p = 0.04). Based on a Cox regression analysis, the risk of embolism marginally increased in patients aged ≥65 years (HR = 7.49, 95% CI: 0.85–66.22 p = 0.07), whereas the combined procedure was found to be a protective factor (HR = 0.25, 95% CI: 0.07–0.87 p = 0.03). Further subgroup and interaction analyses revealed similar results. (4) Conclusions: The combined procedure may be associated with a lower rate of post-procedure DRT and embolization without a higher occurrence of other adverse events after LAAC. A risk-score-based prediction model was conducted, showing a good prediction performance. Full article
(This article belongs to the Section Cardiology)
Show Figures

Figure 1

9 pages, 499 KB  
Article
A Comparison of the Catheter-Based Transapical and Surgical Treatment Modalities for Mitral Paravalvular Leak
by Aleksejus Zorinas, Vilius Janušauskas, Donatas Austys, Giedrius Davidavičius, Lina Puodžiukaitė, Diana Zakarkaitė, Robertas Stasys Samalavičius, Karolis Urbonas, Rita Kramena, Eustaquio Maria Onorato and Kęstutis Ručinskas
J. Clin. Med. 2022, 11(17), 4999; https://doi.org/10.3390/jcm11174999 - 25 Aug 2022
Cited by 3 | Viewed by 1975
Abstract
Background: There is a lack of studies where the outcomes of mitral paravalvular leak treatment were compared between surgery and catheter-based closure. The aim of this study was to compare the outcomes of re-do surgery with transapical catheter-based paravalvular leak closure. Methods: This [...] Read more.
Background: There is a lack of studies where the outcomes of mitral paravalvular leak treatment were compared between surgery and catheter-based closure. The aim of this study was to compare the outcomes of re-do surgery with transapical catheter-based paravalvular leak closure. Methods: This is a retrospective observational study at a single institution; 76 patients were included. According to the treatment, two groups were formed: the “Surgical” group (49 patients after re-do surgery) and the “Catheter” group (27 patients after transapical catheter–based treatment). Results: In-hospital myocardial infarction occurred in 9 (18%) cases in the “Surgical” group and none in the “Catheter” group, p = 0.018. Procedure-related life-threatening bleeding occurred in 9 (18%) patients in the “Surgical” group and none in the “Catheter” group, p = 0.018. Nine (18%) patients died in 30 days in the “Surgical” group, and none died in the “Catheter” group, p = 0.039. A mean follow-up was 3.3 years. No difference was found between the groups by the degree of residual paravalvular regurgitation either at discharge or at follow-up. During the follow-up, 19 (39%) patients died in the “Surgical” group and 2 (7%) among the “Catheter” patients. Conclusions: Transapical catheter-based closure of mitral paravalvular leak seems to be a safer treatment procedure than conventional re-do surgery, and the effectiveness of these procedures does not differ. Full article
(This article belongs to the Section Cardiology)
Show Figures

Figure 1

11 pages, 3164 KB  
Viewpoint
Paravalvular Leakages after Surgical Aortic-Valve Replacement and after Transcatheter Aortic-Valve Implantation: Strategies to Increase the Success Rate of Percutaneous Closure
by Xavier Freixa, Rami Gabani, Pedro Cepas-Guillén, Eduardo Flores-Umanzor, Rodrigo Estévez-Loureiro and Eustaquio Maria Onorato
J. Clin. Med. 2022, 11(11), 2989; https://doi.org/10.3390/jcm11112989 - 25 May 2022
Cited by 8 | Viewed by 2687
Abstract
Moderate to severe paravalvular-leak (PVL) regurgitation after surgical aortic-valve replacement or after transcatheter valve implantation represents a well-known complication associated with symptoms related to heart failure, hemolysis, or both in patients with multiple comorbidities and with poor prognostic outcomes. The transcatheter closure of [...] Read more.
Moderate to severe paravalvular-leak (PVL) regurgitation after surgical aortic-valve replacement or after transcatheter valve implantation represents a well-known complication associated with symptoms related to heart failure, hemolysis, or both in patients with multiple comorbidities and with poor prognostic outcomes. The transcatheter closure of aortic paravalvular leaks (APVLs) is currently considered a valid alternative to cardiac surgery. Nevertheless, careful patient selection, optimal cardiac imaging for intraprocedural guidance, and expert operators are key for success. Although technically demanding, particularly in APVLs after transcatheter valve implantation, catheter-based closure is an effective, less invasive, and often the only option for high-risk patients with symptomatic PVL regurgitation. Full article
(This article belongs to the Section Cardiology)
Show Figures

Figure 1

9 pages, 2460 KB  
Article
Technical Recommendations for Real-Time Echocardiography and Fluoroscopy Imaging Fusion in Catheter-Based Mitral Valve Paravalvular Leak and Other Procedures
by Aleksejus Zorinas, Diana Zakarkaitė, Vilius Janušauskas, Donatas Austys, Lina Puodžiukaitė, Gitana Zuozienė, Robertas Stasys Samalavičius, Ieva Jovaišienė, Giedrius Davidavičius, Kęstutis Ručinskas and Eustaquio Maria Onorato
J. Clin. Med. 2022, 11(5), 1328; https://doi.org/10.3390/jcm11051328 - 28 Feb 2022
Cited by 4 | Viewed by 3748
Abstract
Widespread catheter-based interventions for structural heart disease have overtaken the treatment of paravalvular leaks (PVL). Multimodality imaging techniques play a crucial role in accurate diagnosis, procedure planning and performance. However, PVL closure is often technically challenging due to the complex anatomy of the [...] Read more.
Widespread catheter-based interventions for structural heart disease have overtaken the treatment of paravalvular leaks (PVL). Multimodality imaging techniques play a crucial role in accurate diagnosis, procedure planning and performance. However, PVL closure is often technically challenging due to the complex anatomy of the defects and their relation to surrounding anatomical structures. The application of echocardiography and fluoroscopy imaging fusion (EFF) may simplify challenging imaginative three-dimensional reconstruction of the intracardiac anatomy and facilitate the procedure. To master new technology, personnel must make cognitive changes, overcome a learning curve, and obtain adequate theoretical knowledge. Main aim of this manuscript is to present basic recommendations for EFF application in practice, alongside, each scenario is supported by technically challenging clinical examples. We may conclude that our manuscript may provide useful information for physicians on EEF application in clinical practice. Full article
(This article belongs to the Section Cardiology)
Show Figures

Figure 1

12 pages, 2821 KB  
Article
High Cefuroxime Concentrations and Long Elimination in an Orthopaedic Surgical Deadspace—A Microdialysis Porcine Study
by Sara Kousgaard Tøstesen, Maiken Stilling, Pelle Hanberg, Theis Muncholm Thillemann, Thomas Falstie-Jensen, Mikkel Tøttrup, Martin Knudsen, Emil Toft Petersen and Mats Bue
Antibiotics 2022, 11(2), 208; https://doi.org/10.3390/antibiotics11020208 - 7 Feb 2022
Cited by 3 | Viewed by 3543
Abstract
Deadspace is the tissue and bony defect in a surgical wound after closure. This space is presumably poorly perfused favouring bacterial proliferation and biofilm formation. In arthroplasty surgery, an obligate deadspace surrounding the prosthesis is introduced and deadspace management, in combination with obtaining [...] Read more.
Deadspace is the tissue and bony defect in a surgical wound after closure. This space is presumably poorly perfused favouring bacterial proliferation and biofilm formation. In arthroplasty surgery, an obligate deadspace surrounding the prosthesis is introduced and deadspace management, in combination with obtaining therapeutic prophylactic antibiotic concentrations, is important for limiting the risk of acquiring a periprosthetic joint infection (PJI). This study aimed to investigate cefuroxime distribution to an orthopaedic surgical deadspace in comparison with plasma and bone concentrations during two dosing intervals (8 h × 2). In a setup imitating shoulder arthroplasty surgery, but without insertion of a prosthesis, microdialysis catheters were placed for cefuroxime sampling in a deadspace in the glenohumeral joint and in cancellous bone of the scapular neck in eighteen pigs. Blood samples were collected as a reference. Cefuroxime was administered according to weight (20 mg/kg). The primary endpoint was time above the cefuroxime minimal inhibitory concentration of the free fraction of cefuroxime for Staphylococcus aureus (fT > MIC (4 μg/mL)). During the two dosing intervals, mean fT > MIC (4 μg/mL) was significantly longer in deadspace (605 min) compared with plasma (284 min) and bone (334 min). For deadspace, the mean time to reach 4 μg/mL was prolonged from the first dosing interval (8 min) to the second dosing interval (21 min), while the peak drug concentration was lower and half-life was longer in the second dosing interval. In conclusion, weight-adjusted cefuroxime fT > MIC (4 μg/mL) and elimination from the deadspace was longer in comparison to plasma and bone. Our results suggest a deadspace consolidation and a longer diffusions distance, resulting in a low cefuroxime turn-over. Based on theoretical targets, cefuroxime appears to be an appropriate prophylactic drug for the prevention of PJI. Full article
(This article belongs to the Special Issue Antibiotic Therapy in Implant Related Orthopedic Infections)
Show Figures

Figure 1

10 pages, 4557 KB  
Article
Cardiovascular Intervention in Neonates Using an Umbilical Vein Approach
by Ying-Tzu Ju, Yu-Jen Wei, Yung-Chieh Lin, Min-Ling Hsieh, Jing-Ming Wu and Jieh-Neng Wang
Children 2021, 8(11), 1017; https://doi.org/10.3390/children8111017 - 5 Nov 2021
Cited by 3 | Viewed by 3509
Abstract
Cardiovascular catheterization has been applied in infant treatment for several decades. To date, considerable research attention has been paid to cardiovascular catheterization in small neonates. However, peripheral vascular routes of catheterization are possible obstacles for interventionists. Umbilical vein catheterization has been reported as [...] Read more.
Cardiovascular catheterization has been applied in infant treatment for several decades. To date, considerable research attention has been paid to cardiovascular catheterization in small neonates. However, peripheral vascular routes of catheterization are possible obstacles for interventionists. Umbilical vein catheterization has been reported as a route for neonates, although few attempts have been made to investigate this approach. This study aimed to retrospectively review cardiovascular intervention using the umbilical vein approach as applied to infants admitted to a tertiary center from 2017 to 2020. Details including the perinatal variables, indication diagnoses, and procedure devices were collected. The enrollment included a total of 16 cases representing 17 intervention events, with infants born at a gestation age of 22–39 weeks and body weight ranging from 478 to 3685 g at the time of the procedure. The postnatal age ranged from 1 to 27 days. The catheter sizes ranged from 4 to 11 Fr. Indications included being admitted for patent ductus arteriosus occlusion (n = 15), balloon pulmonary valvuloplasty (n = 3), balloon atrial septostomy (BAS) (n = 3), pulmonary valve (PV) perforation (n = 1), and two interventions for catheter placement for continuous venovenous hemofiltration. The success rate for cardiovascular catheterization was 88.2% (15/17). There were two patients for which cannulation failed due to ductus venosus closure: one intraabdominal hemorrhage complication during continuous venovenous hemofiltration (CVVH), and one cardiac catheterization failure of PV perforation due to failure to insert the guiding catheter into the right ventricular outflow tract. Based on these findings, we conclude that cardiac catheterization and the placement of a large-sized catheter through an umbilical vein in a small infant represents a safe and time-saving method when catheterization is required. Full article
(This article belongs to the Special Issue Advances in Pediatric Heart Disease Research—Neonatal Interventions)
Show Figures

Figure 1

10 pages, 1084 KB  
Article
Comparison of Intracardiac Echocardiography and Transesophageal Echocardiography for Image Guidance in Percutaneous Patent Foramen Ovale Closure
by Jeonggeun Moon, Yeonjeong Park, Su Jung Park, Pyung Chun Oh, Albert Youngwoo Jang, Wook-Jin Chung and Woong Chol Kang
Medicina 2020, 56(8), 401; https://doi.org/10.3390/medicina56080401 - 9 Aug 2020
Cited by 11 | Viewed by 3817
Abstract
Background and Objectives: Transesophageal echocardiography (TEE) guidance is the current gold standard for catheter-based procedures in the treatment of structural heart diseases. Intracardiac echocardiography (ICE), which can be performed under local anesthesia, has been recently introduced and is becoming more widely used. We [...] Read more.
Background and Objectives: Transesophageal echocardiography (TEE) guidance is the current gold standard for catheter-based procedures in the treatment of structural heart diseases. Intracardiac echocardiography (ICE), which can be performed under local anesthesia, has been recently introduced and is becoming more widely used. We aimed to compare the efficacy and safety of ICE and TEE in patent foramen ovale (PFO) device closure. Materials and Methods: All 74 patients with a history of cryptogenic stroke undergoing PFO closure for secondary prophylaxis were selected from our registry. Intraprocedural TEE was performed by echocardiographer-cardiologists with the patient under general anesthesia. Conversely, ICE was performed with the patient under local anesthesia. Baseline characteristics, procedural details, and immediate outcomes were compared between the TEE and ICE groups (n = 49 and n = 25, respectively). Results: Although patients in the ICE group were older (47 ± 10 vs. 57 ± 7 years, p < 0.001), sex and comorbidity variables were similar between the two groups. The degree of inducible right-to-left shunt via the PFO, assessed using preprocedural TEE, was also comparable. Notably, fluoroscopy time (22 ± 18 vs. 16 ± 7 min, p = 0.030), radiation dose (498 ± 880 vs. 196 ± 111 mGy, p = 0.022), and total procedural time in the catheter laboratory (99 ± 30 vs. 67 ± 12 min, p < 0.001) were significantly lower in the ICE group than those in the TEE group. The entire hospital stay was similar between groups (3.8 ± 2.2 vs. 3.4 ± 1.3 days, p = 0.433). No procedural complications, such as device embolization, pericardial hemorrhage, major bleeding, mortality, or access-related vascular injury were reported in either group. Conclusions: ICE-guided PFO device closure is quicker and less hazardous in terms of radiation exposure than the TEE-guided procedure, with similar procedural outcomes and duration of hospital stay. Full article
Show Figures

Figure 1

5 pages, 743 KB  
Editorial
Transcatheter Devices for Left Atrial Appendage Occlusion
by Ahmed A. Khattab and Bernhard Meier
Cardiovasc. Med. 2010, 13(4), 130; https://doi.org/10.4414/cvm.2010.01488 - 28 Apr 2010
Cited by 2 | Viewed by 60
Abstract
Atrial fibrillation (AF) patients are at inherent risk for thromboembolic stroke. Since the left atrial appendage (LAA) is known to be the primary site for thrombus formation in nonvalvular AF, its exclusion may offer an attractive alternative to long-term oral anticoagulation therapy in [...] Read more.
Atrial fibrillation (AF) patients are at inherent risk for thromboembolic stroke. Since the left atrial appendage (LAA) is known to be the primary site for thrombus formation in nonvalvular AF, its exclusion may offer an attractive alternative to long-term oral anticoagulation therapy in such patients. Accordingly, simultaneous LAA closure became common practice during cardiac surgery and was recently adopted by surgical guidelines. Alternatively, while thoracoscopic epicardial occlusion under general anaesthesia has been successfully performed, the actual breakthrough came with the introduction of transcatheter LAA exclusion in 2001. Although this device technology was beset with initial difficulties which even led to withdrawal of the original device line, several events in the recent past have revived interest in this catheter-based technology as a valid and safe option for stroke prevention in AF patients. This review discusses the relation of the LAA to the development of AF-related stroke and provides detailed insight into different transcatheter devices for LAA occlusion. Full article
Show Figures

Figure 1

Back to TopTop