Sign in to use this feature.

Years

Between: -

Subjects

remove_circle_outline
remove_circle_outline
remove_circle_outline
remove_circle_outline
remove_circle_outline
remove_circle_outline
remove_circle_outline
remove_circle_outline
remove_circle_outline

Journals

remove_circle_outline
remove_circle_outline
remove_circle_outline
remove_circle_outline
remove_circle_outline
remove_circle_outline
remove_circle_outline
remove_circle_outline

Article Types

Countries / Regions

remove_circle_outline
remove_circle_outline
remove_circle_outline
remove_circle_outline

Search Results (854)

Search Parameters:
Keywords = biodegradable implants

Order results
Result details
Results per page
Select all
Export citation of selected articles as:
22 pages, 3013 KB  
Article
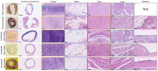
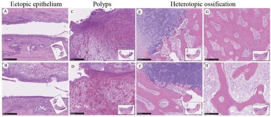
Bio-Printed PCL Tracheal Graft in a Large Animal Model: Reproducible Short-Segment Regeneration and Preliminary Upgraded Long-Segment Reconstruction
by Sen-Ei Shai, Yi-Ling Lai, Yi-Wen Hung, Chi-Wei Hsieh, Yun-Jie Hung, Kuo-Chih Su, Chun-Hsiang Wang, Chia-Ching Wu and Shih-Chieh Hung
Bioengineering 2026, 13(3), 324; https://doi.org/10.3390/bioengineering13030324 - 12 Mar 2026
Abstract
Three-dimensional (3D) bioprinting provides new options for airway reconstruction by enabling the fabrication of customizable, biodegradable scaffolds designed to support in situ tissue regeneration. Building on our established large-animal platform, in which two cm bioprinted tracheal grafts combined with refined surgical techniques and [...] Read more.
Three-dimensional (3D) bioprinting provides new options for airway reconstruction by enabling the fabrication of customizable, biodegradable scaffolds designed to support in situ tissue regeneration. Building on our established large-animal platform, in which two cm bioprinted tracheal grafts combined with refined surgical techniques and adjunctive laser intervention have achieved long-term survival exceeding three months, the present study aims to explore long-segment (≥four cm) tracheal transplantation. We evaluated the fabrication feasibility and regeneration patterns of extrusion-based 3D bioprinted polycaprolactone (PCL) tracheal grafts in a porcine model. The grafts were implanted via end-to-end anastomosis with adjunctive mechanical stabilization and followed by serial bronchoscopic surveillance, gross examination, and histological analysis. The two cm PCL tracheal grafts achieved reproducible survival exceeding three months when combined with refined surgical techniques, structured postoperative airway management, and optimized wound coverage. Histological analysis revealed multi-lineage tissue formation—including cartilage, muscle, glands, and epithelium—was observed. Cartilage regeneration followed a staged maturation process, compared to epithelial regeneration, although continuous by 12 weeks, remained developmentally immature. A single long-segment transplantation was explored in a single preliminary case, providing an initial technical observation of feasibility; however, definitive conclusions regarding long-term survival or regeneration cannot be drawn. These findings further characterize regenerative responses in a large-animal model and highlight critical translational barriers—fabrication constraints, airway biomechanics, and delayed epithelial maturation—that require systematic investigation before long-segment tracheal reconstruction can advance toward clinical application. Full article
(This article belongs to the Section Nanobiotechnology and Biofabrication)
Show Figures

Figure 1

19 pages, 1586 KB  
Perspective
Hype vs. Health: How Approved Nanomedicines Have Met (or Missed) Early Predictions
by Eleonore Fröhlich
Nanomaterials 2026, 16(5), 284; https://doi.org/10.3390/nano16050284 - 24 Feb 2026
Viewed by 276
Abstract
Two decades after the first bold proclamations that nanomedicine would deliver “magic-bullet” therapies capable of cell-level targeting, the field stands at a crossroads. While some initial promises (improved delivery of poorly water-soluble drugs and enhanced efficacy and biocompatibility of nano-based devices) have been [...] Read more.
Two decades after the first bold proclamations that nanomedicine would deliver “magic-bullet” therapies capable of cell-level targeting, the field stands at a crossroads. While some initial promises (improved delivery of poorly water-soluble drugs and enhanced efficacy and biocompatibility of nano-based devices) have been fulfilled, other early promises (active targeting, biodegradability, multifunctionality, triggered responses, real-time data output, and implantable sensors) remain only partially realized. This article will compare the properties of approved nano-based products to those of the ideal products, assess the shortcomings of existing nano-based products, and discuss critical issues in nanotoxicity (biodistribution and protein corona effects, immune interactions, and biopersistence) and the lack of data on product and end-of-life life cycle analyses. The role of in silico tools in the various steps of nanodrug and nano-based device development and manufacturing—areas in which these tools are the most established (nanocarrier design, prediction of cellular effects, chemical composition optimization, manufacturing, and signal interpretation)—is also addressed. Future goals include biodegradable targeted delivery systems, better tissue integration of implants, and implantable sensors. It is expected that, alongside careful physicochemical characterization of the nanoproduct, toxicity testing focused on nano-specific effects and life cycle analyses of production and end-of-life phases will facilitate the approval of nano-based products. Full article
(This article belongs to the Section Biology and Medicines)
Show Figures

Graphical abstract

15 pages, 6675 KB  
Article
Biodistribution and Biodegradation of an Osteoinductive Supramolecular Polymer Implant in a Rat Spinal Fusion Model
by Jacqueline Inglis, Alyssa Goodwin, Steven Kurapaty, David M. Hiltzik, Rahim Laiwalla, Hogan Brecount, Nicholas A. Sather, Emily A. Waters, Chad R. Haney, Rebecca Sponenburg, Xinyi Lin, Wellington K. Hsu, Samuel I. Stupp, Erin L. Hsu and Romie F. Gibly
J. Funct. Biomater. 2026, 17(3), 107; https://doi.org/10.3390/jfb17030107 - 24 Feb 2026
Viewed by 347
Abstract
Recombinant human bone morphogenic protein-2 (rhBMP-2) use in spinal fusion is limited by dose-dependent complications. Peptide amphiphile (PA) supramolecular polymers presenting a BMP-2–binding epitope have previously been developed to reduce the rhBMP-2 dose required for successful fusion. We evaluated PA implant biodegradation and [...] Read more.
Recombinant human bone morphogenic protein-2 (rhBMP-2) use in spinal fusion is limited by dose-dependent complications. Peptide amphiphile (PA) supramolecular polymers presenting a BMP-2–binding epitope have previously been developed to reduce the rhBMP-2 dose required for successful fusion. We evaluated PA implant biodegradation and tissue clearance in a rat posterolateral spinal fusion model as a prerequisite to clinical safety studies. Twenty-three female Sprague–Dawley rats underwent L4–L5 fusion with gadolinium (Gd)-labeled PA implants. Longitudinal magnetic resonance imaging (MRI) was performed up to 13 weeks postoperatively, while the spine and filter organs were harvested for inductively coupled plasma mass spectrometry (ICP-MS) quantification of Gd at multiple time points. Gd concentration at the fusion site decreased from 71% of maximum to 19.5% at 13 weeks, and MRI showed a complete loss of Gd signal enhancement by 8 weeks. In peripheral organs, peak Gd accumulation was 3% in the liver at 4 weeks, declining to 1.4% at 13 weeks, while Gd remained below 0.05% in the spleen, lung, and blood at all time points. These data indicate PA implant localization, with robust degradation and clearance and minimal off-target accumulation, supporting its translational potential for spinal fusion applications. Full article
(This article belongs to the Special Issue Advanced Biomaterials for Bone Tissue Engineering)
Show Figures

Figure 1

11 pages, 1395 KB  
Article
Prostate–Rectum Spacing from Apex to Base and Its Impact on Organs-At-Risk Dosimetry in Prostate Cancer SBRT
by Victor C. Ng, Jill Steele and Edward Soffen
Radiation 2026, 6(1), 8; https://doi.org/10.3390/radiation6010008 - 24 Feb 2026
Viewed by 284
Abstract
Stereotactic body radiation therapy (SBRT) for localized prostate cancer delivers high doses per fraction, making dose constraints for the rectum and other organs at risk critical during treatment planning. This study evaluated the association between prostate–rectum separation, achieved with a biodegradable balloon rectal [...] Read more.
Stereotactic body radiation therapy (SBRT) for localized prostate cancer delivers high doses per fraction, making dose constraints for the rectum and other organs at risk critical during treatment planning. This study evaluated the association between prostate–rectum separation, achieved with a biodegradable balloon rectal spacer at different anatomical levels, and corresponding organ-at-risk dose patterns. Thirty-three patients underwent transperineal balloon spacer implantation followed by SBRT to 36.25 Gy in five fractions. Prostate–rectum separation at the apex, mid-gland, and base were measured on CT and/or MRI and categorized as <10 mm, 10–14 mm, or ≥14 mm. Rectal dose–volume parameters and mean doses to the rectum, bladder, and penile bulb were assessed using linear regression analyses and group comparisons at 14 mm separation. Mean prostate–rectum separation was 16.6 mm overall, with minimal high-dose rectal exposure observed. Increasing separation was associated with reduced rectal dose–volume parameters at the apex and mid-gland, while greater base separation corresponded primarily to lower bladder mean dose. Increased apical separation was also associated with reduced penile bulb mean dose. No acute gastrointestinal toxicity was observed, and genitourinary toxicity was limited to low-grade events. These findings indicate that prostate–rectum separation varies by anatomical level and is associated with distinct organ-at-risk dose relationships in prostate SBRT. Full article
Show Figures

Figure 1

14 pages, 3159 KB  
Article
Nanoengineered γ MnO2 Accelerates the Degradation of Antibiotic-Resistant Biofilms
by Moorthy Maruthapandi, Arulappan Durairaj, Gila Jacobi, Sivan Shoshani, Ehud Banin, John H. T. Luong and Aharon Gedanken
Life 2026, 16(3), 367; https://doi.org/10.3390/life16030367 - 24 Feb 2026
Viewed by 274
Abstract
Bacterial biofilms remain a major challenge in clinical infections due to their dense extracellular polymeric substance (EPS) matrix and strong resistance to conventional antibiotics. This study reports manganese dioxide (MnO2) nanoparticles capable of autonomous navigation toward bacterial clusters, mechanical penetration of [...] Read more.
Bacterial biofilms remain a major challenge in clinical infections due to their dense extracellular polymeric substance (EPS) matrix and strong resistance to conventional antibiotics. This study reports manganese dioxide (MnO2) nanoparticles capable of autonomous navigation toward bacterial clusters, mechanical penetration of biofilm structures, redox-driven membrane disruption, and synergistic oxidative stress. The nanoparticles exhibit directional movement attributed to a combination of negatively charged surface potential, asymmetric topology, and catalytic reactivity toward bacterial metabolites. MnO2 demonstrates potent antibiofilm activity against MRSA and MDR E. coli (>98% eradication) and partial activity against Pseudomonas aeruginosa. Time-lapse microscopy, EPR spectroscopy, XPS analysis, and SEM imaging reveal that MnO2 disrupts both EPS and cell membranes while maintaining structural integrity throughout treatment. Cytotoxicity assays confirm ≥85% viability in human fibroblasts and keratinocytes at therapeutic concentrations. MnO2 shows controlled biodegradation into Mn2+ ions, which participate in physiological pathways and undergo renal clearance. These findings support MnO2 nanoparticles as promising biofilm-targeting agents for topical formulations, wound care, and implant coatings. Full article
(This article belongs to the Special Issue Biomaterials for Antimicrobial Applications)
Show Figures

Figure 1

20 pages, 4323 KB  
Article
Influence of Infill Density on the Fatigue Performance of FDM-Manufactured Orthopaedic Plates
by Aleksa Milovanović, Simon Sedmak, Aleksandar Sedmak, Filip Vučetić and Katarina Monkova
Materials 2026, 19(4), 816; https://doi.org/10.3390/ma19040816 - 20 Feb 2026
Viewed by 441
Abstract
Orthopaedic plates are long-established medical devices conventionally manufactured from metals, most notably titanium alloys. The introduction of Additive Manufacturing (AM) has created new opportunities to design implants with complex internal architectures, enabling precise control over infill patterns and densities that directly influence mechanical [...] Read more.
Orthopaedic plates are long-established medical devices conventionally manufactured from metals, most notably titanium alloys. The introduction of Additive Manufacturing (AM) has created new opportunities to design implants with complex internal architectures, enabling precise control over infill patterns and densities that directly influence mechanical properties and fatigue performance. Biodegradable polymers such as polylactic acid (PLA) have attracted growing interest in biomedical engineering, potentially reducing the need for secondary implant-removal surgery if degradation rates are carefully controlled and clinically approved. Additionally, AM offers the ability to customise internal structure for improved mechanical performance and load-bearing, while also providing the possibility of integrating advanced functionalities, such as controlled drug delivery. Building on previous work by our research group at the University of Belgrade, this study investigates the fatigue behaviour of the best-performing AM-optimised orthopaedic plate design. Numerical models incorporating honeycomb infill structures with the full range of achievable densities were developed to assess structural integrity under fatigue loading. Fatigue crack growth was simulated in ANSYS Mechanical (ANSYS Inc., Canonsburg, PA, USA) software, employing a four-point bending configuration in accordance with the ASTM F382 standard. A validated PLA material model was implemented at a reduced load level (10%) relative to previous studies. Direct comparison with titanium plates was avoided due to fundamentally different material properties, focusing instead on infill architecture to identify optimal AM design strategies for orthopaedic plates. Full article
(This article belongs to the Special Issue Novel Materials for Additive Manufacturing)
Show Figures

Figure 1

11 pages, 1068 KB  
Article
Effect of Geometry and Degradation Environment on In Vitro Degradation of FFF-Printed PLA/PHB Structures
by Alena Findrik Balogová, Marianna Trebuňová, Viktória Rajťúková, Darina Bačenková and Jana Čajková
J. Manuf. Mater. Process. 2026, 10(2), 71; https://doi.org/10.3390/jmmp10020071 - 18 Feb 2026
Viewed by 268
Abstract
Biodegradable polymers based on poly(lactic acid) (PLA) and polyhydroxybutyrate (PHB) are widely investigated for biomedical engineering applications, particularly for temporary implants and tissue scaffolds fabricated by additive manufacturing. However, their degradation behavior is influenced not only by material composition, but also by manufacturing-related [...] Read more.
Biodegradable polymers based on poly(lactic acid) (PLA) and polyhydroxybutyrate (PHB) are widely investigated for biomedical engineering applications, particularly for temporary implants and tissue scaffolds fabricated by additive manufacturing. However, their degradation behavior is influenced not only by material composition, but also by manufacturing-related parameters, geometric design, and environmental conditions. This study investigates the in vitro degradation behavior of PLA/PHB structures fabricated using fused filament fabrication (FFF). Degradation was evaluated under two model environmental conditions over a 45 day period. Changes in specimen mass and the evolution of degradation medium pH were monitored as a function of exposure time, specimen geometry, and infill density. The results revealed a progressive degradation process, with pH values decreasing to approximately 2.7–4.1 in physiological saline solution and increasing to 8.9–9.7 in urea solution, depending on specimen geometry and infill density. After 45 days of exposure, the relative mass loss reached approximately 25–32% for type A specimens and 29–41% for type B specimens. The results revealed distinct differences between degradation environments and specimen geometries, while differences related to infill density partially overlapped within the investigated range. The findings indicate that the degradation behavior of additively manufactured PLA/PHB structures cannot be interpreted solely based on material composition, but should be considered in the context of manufacturing strategy and structural design. These results provide useful insights for the design of biodegradable polymer components with more predictable degradation behavior. Full article
Show Figures

Figure 1

13 pages, 1583 KB  
Article
Comparative Finite Element Evaluation of Polymeric and Metallic Bioresorbable Sinus Stents Under Quasi-Static Radial Compression
by Wenyu Fu, Aiping Yang and Aike Qiao
J. Funct. Biomater. 2026, 17(2), 83; https://doi.org/10.3390/jfb17020083 - 8 Feb 2026
Viewed by 462
Abstract
To address the issues of displacement and insufficient positional stability observed in the clinical use of the PROPEL Mini stent, this study investigates the influence of different biodegradable materials on the mechanical properties of the stent under the constraint of a fixed monofilament [...] Read more.
To address the issues of displacement and insufficient positional stability observed in the clinical use of the PROPEL Mini stent, this study investigates the influence of different biodegradable materials on the mechanical properties of the stent under the constraint of a fixed monofilament braided closed-loop geometry. Finite element analyses are conducted using Abaqus/Explicit to quantitatively evaluate the nonlinear mapping between nominal diameter, axial length, and radial pressure throughout a loading–unloading cycle. The results reveal that while axial behavior is consistent during compression, material-specific plasticity causes irreversible geometric sets in Mg alloy and PLGA models, whereas the PCL stent achieves total elastic recovery to its initial dimensions. During unloading, the Mg alloy stent recovers to a nominal diameter of 28 mm with a reduced axial length of approximately 22 mm, whereas the PLGA stent exhibits a much smaller recovery diameter of 14 mm with an axial length of approximately 23 mm. These post-release configurations directly determine the functional expansion range of the biodegradable stents after implantation. During unloading, the Mg alloy stent provides the highest radial pressure (peak 6.8 kPa) with a functional recovery range up to 26.5 mm, ensuring superior scaffolding stability. In contrast, while PCL achieves the widest recovery (52 mm), its radial pressure is clinically negligible (the maximum value is still less than 165 Pa), and the PLGA model exhibits both insufficient support and a restricted functional recovery limit (13 mm). By using high-strength materials such as Mg alloys, the radial anchoring force of the stent can be effectively enhanced without changing the existing structure, providing a scientific basis for solving clinical displacement problems. Full article
(This article belongs to the Special Issue Metals and Alloys for Biomedical Applications (2nd Edition))
Show Figures

Figure 1

41 pages, 10153 KB  
Review
A Comprehensive Review on Sustainable Triboelectric Energy Harvesting Using Biowaste-Derived Materials
by Wajid Ali, Tabinda Shabir, Shahzad Iqbal, Syed Adil Sardar, Farhan Akhtar and Woo Young Kim
Materials 2026, 19(3), 592; https://doi.org/10.3390/ma19030592 - 3 Feb 2026
Viewed by 714
Abstract
The growing demand for sustainable and distributed energy solutions has driven increasing interest in triboelectric nanogenerators (TENGs) as platforms for energy harvesting and self-powered sensing. Biowaste-based triboelectric nanogenerators (BW-TENGs) represent an attractive strategy by coupling renewable energy generation with waste valorization under the [...] Read more.
The growing demand for sustainable and distributed energy solutions has driven increasing interest in triboelectric nanogenerators (TENGs) as platforms for energy harvesting and self-powered sensing. Biowaste-based triboelectric nanogenerators (BW-TENGs) represent an attractive strategy by coupling renewable energy generation with waste valorization under the principles of the circular bioeconomy. This review provides a comprehensive overview of BW-TENGs, encompassing fundamental triboelectric mechanisms, material categories, processing and surface-engineering strategies, device architectures, and performance evaluation metrics. A broad spectrum of biowaste resources—including agricultural residues, food and marine waste, medical plastics, pharmaceutical waste, and plant biomass—is critically assessed in terms of physicochemical properties, triboelectric behavior, biodegradability, biocompatibility, and scalability. Recent advances demonstrate that BW-TENGs can achieve electrical outputs comparable to conventional synthetic polymer TENGs while offering additional advantages such as environmental sustainability, mechanical compliance, and multifunctionality. Key application areas, including environmental monitoring, smart agriculture, wearable and implantable bioelectronics, IoT networks, and waste management systems, are highlighted. The review also discusses major challenges limiting large-scale deployment, such as material heterogeneity, environmental stability, durability, and lack of standardization, and outlines emerging solutions involving material engineering, hybrid energy-harvesting architectures, artificial intelligence-assisted optimization, and life cycle assessment frameworks. Full article
(This article belongs to the Special Issue Materials, Design, and Performance of Nanogenerators)
Show Figures

Graphical abstract

17 pages, 6601 KB  
Article
Functional Surface Modification of Magnesium Implant by Drug-Loaded Biodegradable Polymer Coating
by Jung-Eun Park, Yong-Seok Jang, Seung-O Ko and Min-Ho Lee
Appl. Sci. 2026, 16(3), 1542; https://doi.org/10.3390/app16031542 - 3 Feb 2026
Viewed by 317
Abstract
Magnesium has attracted attention as an orthopedic implant material due to its excellent biocompatibility and biodegradability; however, rapid corrosion in physiological environments remains a major limitation. In this study, a polydopamine (PDA) intermediate layer and alginate/chitosan multilayer coating were formed on pure magnesium [...] Read more.
Magnesium has attracted attention as an orthopedic implant material due to its excellent biocompatibility and biodegradability; however, rapid corrosion in physiological environments remains a major limitation. In this study, a polydopamine (PDA) intermediate layer and alginate/chitosan multilayer coating were formed on pure magnesium surfaces, with dexamethasone incorporation to simultaneously improve corrosion resistance and bioactivity. SEM observation revealed that uniform coating layers were formed on alginate/chitosan multilayer coated specimens, and the chemical structure of the coating layers was confirmed through FT-IR and XRD analyses. Electrochemical analysis revealed that the PDA/alginate/chitosan coating group exhibited higher corrosion potential (Ecorr: −0.7514 ± 0.022 V vs. −1.706 ± 0.001 V) and lower corrosion current density (icorr: 2.275 ± 0.15 × 10−7 A/cm2 vs. 1.528 ± 0.47 × 10−4 A/cm2) compared to pure magnesium, with the highest impedance indicating superior corrosion resistance. In tape peel testing, the polydopamine-coated group demonstrated superior adhesion compared to the non-coated group, and sustained release of dexamethasone was confirmed. MC3T3-E1 cell culture results confirmed cell proliferation in all specimens, with the PDA/alginate/chitosan group exhibiting the highest ALP activity compared to other surface-treated groups. Based on these results, the PDA/alginate/chitosan multilayer coating was confirmed to be an effective surface modification method for corrosion control and promotion of osteoblast differentiation on magnesium. Full article
(This article belongs to the Topic Advances in Biomaterials—2nd Edition)
Show Figures

Figure 1

45 pages, 11150 KB  
Review
Conducting Polymers for Electrochemical Sensing: From Materials and Metrology to Intelligent and Sustainable Biointerfaces
by Giovanna Di Pasquale and Antonino Pollicino
Sensors 2026, 26(3), 908; https://doi.org/10.3390/s26030908 - 30 Jan 2026
Viewed by 527
Abstract
Conducting polymers (CPs) have become cornerstone materials in electrochemical sensors and biosensors due to their mixed ionic–electronic conduction, mechanical softness, and intrinsic biointerface compatibility. This review provides a comprehensive and critical overview of the field, tracing the evolution of CP-based devices from classical [...] Read more.
Conducting polymers (CPs) have become cornerstone materials in electrochemical sensors and biosensors due to their mixed ionic–electronic conduction, mechanical softness, and intrinsic biointerface compatibility. This review provides a comprehensive and critical overview of the field, tracing the evolution of CP-based devices from classical poly(3,4-ethylenedioxythiophene):poly(styrene sulfonate) (PEDOT:PSS), polyaniline (PANI), and polypyrrole (PPy) electrodes to emerging nanostructured, hybrid, wearable, and transient systems. We discuss fundamental charge-transport mechanisms, doping strategies, structure–property relationships, and the role of morphology and biofunctionalization in dictating sensitivity, selectivity, and stability. Particular emphasis is placed on reliability challenges—including drift, dopant leaching, environmental degradation, and biofouling—and on the current lack of standardized metrology, which hampers cross-study comparability. We propose a framework for rigorous calibration, reference electrode design, and data reporting, enabling quantitative benchmarking across materials and architectures. To support meaningful cross-platform comparison, representative performance envelopes—including conductivity, limit of detection, sensitivity, selectivity strategies, and operational stability—are critically benchmarked across major CP families and sensing modalities. Finally, we explore future directions such as organic mixed ionic–electronic conductors, biohybrid and living polymer interfaces, Artificial Intelligence-driven modeling, and sustainable transient electronics. Full article
(This article belongs to the Special Issue 2D Materials for Advanced Sensing Technology)
Show Figures

Figure 1

12 pages, 1934 KB  
Article
The Local Damage and Systemic Inflammation Induced by a Biodegradable Polydioxanone Stent Implanted in the Rabbit Trachea Decreases Markedly with Stent Degradation
by Carolina Serrano-Casorran, Sergio Rodriguez-Zapater, Francisco Rodriguez-Panadero, Raquel Gomez, Cristina Bonastre, Jose Andres Guirola, Jose Rodriguez and Miguel Angel de Gregorio
Int. J. Mol. Sci. 2026, 27(3), 1309; https://doi.org/10.3390/ijms27031309 - 28 Jan 2026
Viewed by 290
Abstract
Biodegradable tracheal stents have been developed to overcome the limitations of metallic and removable stents in benign airway disease. This study evaluated the local and systemic inflammatory response induced by a biodegradable polydioxanone tracheal stent in a rabbit model. Twenty-one rabbits were assigned [...] Read more.
Biodegradable tracheal stents have been developed to overcome the limitations of metallic and removable stents in benign airway disease. This study evaluated the local and systemic inflammatory response induced by a biodegradable polydioxanone tracheal stent in a rabbit model. Twenty-one rabbits were assigned to three follow-up groups (30, 60, and 90 days). In each group, six animals received a tracheal stent, and one served as a sham control. Clinical status and respiratory symptoms were monitored, and serial peripheral blood interleukin-8 (IL-8) levels were measured. At the end of follow-up, tracheoscopy, IL-8 quantification in tracheal lavage, and necropsy were performed. No deaths or severe respiratory symptoms occurred. Tracheoscopic findings were significantly less severe after stent degradation, with reduced congestion (p = 0.030), inflammation (p = 0.003), and secretions (p = 0.030). Two granulomas and two cases of stenosis were identified. Mean IL-8 expression in tracheal lavage (relative quantification, RQ) was 14,129 ± 3007 when the stent was present and 426 ± 100 after degradation (p = 0.003). Blood IL-8 expression increased significantly on day 1 compared with baseline (p = 0.022) and subsequently decreased (p = 0.034). Inflammatory and structural alterations induced by a polydioxanone tracheal stent decrease after stent degradation. Full article
Show Figures

Graphical abstract

13 pages, 2818 KB  
Article
Experimental Investigation of the Effects of Silver and Copper Content on the Fluidity of Biodegradable Zinc Alloys
by Bekir Yavuzer
Crystals 2026, 16(2), 90; https://doi.org/10.3390/cryst16020090 - 28 Jan 2026
Viewed by 294
Abstract
Ag and Cu in biodegradable Zn alloys have been the focus of research due to their biocompatible corrosion products, as well as their ability to improve the mechanical properties of the alloy. In this research, the impact of Ag and Cu on the [...] Read more.
Ag and Cu in biodegradable Zn alloys have been the focus of research due to their biocompatible corrosion products, as well as their ability to improve the mechanical properties of the alloy. In this research, the impact of Ag and Cu on the fluidity of biodegradable Zn alloys was evaluated through the spiral fluidity test. Zn–xAg and Zn–xCu alloys containing Ag or Cu in pure Zn at proportions of 0.5, 1, 2, and 3 wt.% were prepared. In the first stage of the study, the casting temperature to be used in the fluidity tests of the alloys was determined by casting pure Zn at different temperatures. Spiral castings of the alloys were then produced and the fluidity lengths in the spiral channel were measured. Test results showed that the mold filling distances decreased with increasing amounts of Ag and Cu, with Cu causing a stronger reduction than Ag at comparable addition levels. When the Ag content in Zn was raised from 0.5 wt.% to 1 wt.%, a significant reduction in fluidity was observed. Formation of CuZn5 and ε–AgZn3 phases in the microstructures was identified as the main factor limiting melt flow. These findings provide insights into how Ag and Cu additions influence the castability of Zn alloys, offering guidance for optimizing alloy composition for biodegradable implant applications. Full article
(This article belongs to the Section Crystalline Metals and Alloys)
Show Figures

Figure 1

15 pages, 1168 KB  
Systematic Review
Comparison of Biodegradable Versus Titanium Fixation Systems in Mandibular Fractures: Systematic Review and Meta-Analysis
by Abdulaziz Zailai, Tahani Alenizi, Rakan Sbitan, Rana AlBraik, Taha Abujohar, Abdulmohsen Albraheem, Sajad Al Suliman, Raand Altayyar, Abdullah Mohammed, Abdullah Alshahrani, Ahmed Alghandour, Faisal Aldouiri and Ayman Bukhari
Surgeries 2026, 7(1), 20; https://doi.org/10.3390/surgeries7010020 - 28 Jan 2026
Viewed by 561
Abstract
Background/Objectives: Titanium fixation remains the gold standard for stabilizing mandibular fractures; however, associated complications often necessitate a second surgery for hardware removal. Consequently, biodegradable systems were introduced, though questions persist regarding their mechanical reliability and potential for tissue reactions. This systematic review and [...] Read more.
Background/Objectives: Titanium fixation remains the gold standard for stabilizing mandibular fractures; however, associated complications often necessitate a second surgery for hardware removal. Consequently, biodegradable systems were introduced, though questions persist regarding their mechanical reliability and potential for tissue reactions. This systematic review and meta-analysis was conducted to compare the efficacy and morbidity of biodegradable versus titanium osteosynthesis systems for the treatment of mandibular fractures. Methods: Following PRISMA guidelines, a systematic literature search was conducted in MEDLINE, Embase, and CENTRAL. Comparative studies, such as randomized controlled trials (RCTs) and non-randomized studies, were included. The primary outcome was the rate of hardware removal; therefore, a random-effects meta-analysis was performed to calculate a pooled Odds Ratio (OR), while the risk of bias was assessed using the Cochrane RoB 2 and ROBINS-I tools. Results: Eight studies, including four RCTs, comprising a total of 369 patients, were included, with most studies judged to be at a high or serious risk of bias due to inadequate randomization, lack of blinding, and confounding co-interventions. The meta-analysis of four RCTs on hardware removal revealed no statistically significant difference between the biodegradable and titanium groups (pooled OR 0.28, 95% CI 0.04 to 1.90), with substantial and statistically significant heterogeneity observed (I2 = 66.1%). Qualitative synthesis indicated that biodegradable systems were associated with higher rates of intraoperative screw breakage and longer operative times, while rates of successful bone union were comparable between the two groups. Conclusions: Biodegradable osteosynthesis systems represent a viable alternative to titanium for mandibular fracture fixation, demonstrating similar efficacy in achieving bone union, which is counterbalanced by higher rates of screw breakage and longer operative times. The decision to use a biodegradable system involves a critical trade-off that should be designed for the specific clinical scenario. The high risk of bias and significant heterogeneity limit the certainty of these findings, underscoring the imperative for future high-quality, long-term RCTs. Full article
Show Figures

Figure 1

17 pages, 9958 KB  
Article
Medial Malleolar Fracture Fixation with Stainless Steel, Titanium, Magnesium, and PLGA Screws: A Finite Element Analysis
by Mehmet Melih Asoglu, Volkan Kızılkaya, Ali Levent, Huseyin Kursat Celik, Ozkan Kose and Allan E. W. Rennie
J. Funct. Biomater. 2026, 17(2), 59; https://doi.org/10.3390/jfb17020059 - 24 Jan 2026
Viewed by 640
Abstract
Background: Implant material may influence interfragmentary mechanics in medial malleolar (MM) fracture fixation. This study aimed to compare stainless steel, titanium, magnesium, and PLGA screws under identical conditions using finite element analysis (FEA). Methods: A CT-based ankle model with a unilateral oblique MM [...] Read more.
Background: Implant material may influence interfragmentary mechanics in medial malleolar (MM) fracture fixation. This study aimed to compare stainless steel, titanium, magnesium, and PLGA screws under identical conditions using finite element analysis (FEA). Methods: A CT-based ankle model with a unilateral oblique MM fracture (θ = 60° to the medial tibial plafond) was fixed with two parallel M4 × 35 mm screws placed perpendicular to the fracture plane (inter-axial distance 13 mm). Contacts were defined as nonlinear frictional, and each screw was assigned a pretension force of 2.5 N. Static single-leg stance was simulated with physiologic tibia/fibula load sharing. Four scenarios differed only by screw material. Primary outputs were interfragmentary micromotion (maximum sliding and gap). Secondary measures included fracture interface contact/frictional stresses, screw/bone von Mises stress, global construct displacement, and average tibiotalar cartilage contact pressure. Results: Interfragmentary micromotion increased as screw stiffness decreased. Maximum sliding was 32.2–33.8 µm with stainless steel/titanium, 40.4 µm with magnesium, and 65.0 µm with PLGA; corresponding gaps were 31.2–32.0 µm with stainless steel and titanium, 31.2 µm with magnesium, and 54.1 µm with PLGA, respectively. Interface stresses followed the same pattern: contact pressure (3.18–3.24 MPa for stainless steel/titanium/magnesium vs. 4.29 MPa for PLGA); frictional stress (1.46–1.49 MPa vs. 1.98 MPa). Peak screw von Mises stress was highest in stainless steel (104.1 MPa), then titanium (73.4 MPa), magnesium (47.4 MPa), and PLGA (17.9 MPa). Global axial displacement (0.26–0.27 mm) and average tibiotalar cartilage contact pressure (0.73–0.75 MPa) were essentially unchanged across materials. All conditions remained below commonly cited thresholds for primary bone healing (gap < 100 µm); however, PLGA exhibited a reduced safety margin. Conclusions: Under identical geometry and loading conditions, titanium and stainless steel yielded the most favorable interfragmentary mechanics for oblique MM fixation; magnesium showed intermediate performane, and PLGA produced substantially greater micromotion and interface stresses. These findings support the use of metallic screws when maximal initial stability is required and suggest that magnesium may be a selective alternative when reducing secondary implant removal is prioritized. Full article
(This article belongs to the Section Bone Biomaterials)
Show Figures

Figure 1

Back to TopTop