Sign in to use this feature.

Years

Between: -

Subjects

remove_circle_outline
remove_circle_outline
remove_circle_outline

Journals

Article Types

Countries / Regions

Search Results (3)

Search Parameters:
Keywords = animal feeding trails

Order results
Result details
Results per page
Select all
Export citation of selected articles as:
32 pages, 1527 KB  
Review
Effects of Differently Processed Tea on the Gut Microbiota
by Zimo Zhao, Ruofan Chen and Ken Ng
Molecules 2024, 29(17), 4020; https://doi.org/10.3390/molecules29174020 - 25 Aug 2024
Cited by 5 | Viewed by 12998
Abstract
Tea is a highly popular beverage, primarily due to its unique flavor and aroma as well as its perceived health benefits. The impact of tea on the gut microbiome could be an important means by which tea exerts its health benefits since the [...] Read more.
Tea is a highly popular beverage, primarily due to its unique flavor and aroma as well as its perceived health benefits. The impact of tea on the gut microbiome could be an important means by which tea exerts its health benefits since the link between the gut microbiome and health is strong. This review provided a discussion of the bioactive compounds in tea and the human gut microbiome and how the gut microbiome interacts with tea polyphenols. Importantly, studies were compiled on the impact of differently processed tea, which contains different polyphenol profiles, on the gut microbiota from in vivo animal feeding trials, in vitro human fecal fermentation experiments, and in vivo human feeding trials from 2004–2024. The results were discussed in terms of different tea types and how their impacts are related to or different from each other in these three study groups. Full article
Show Figures

Figure 1

17 pages, 2140 KB  
Article
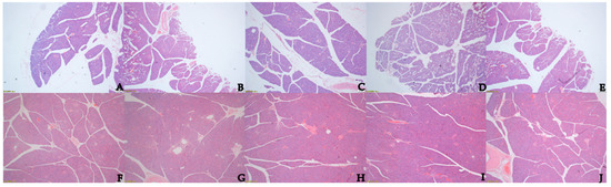
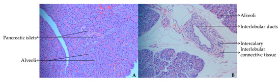
The Effect of Supplemental Concentrate Feeding on the Morphological and Functional Development of the Pancreas in Early Weaned Yak Calves
by Yang Jiao, Shujie Liu, Yanan Zhou, Deyu Yang, Jilan Li and Zhanhong Cui
Animals 2022, 12(19), 2563; https://doi.org/10.3390/ani12192563 - 26 Sep 2022
Cited by 5 | Viewed by 2678
Abstract
This experiment was conducted to investigate the effect of supplemental concentrate feeding on the pancreatic development of yak calves. Twenty one-month-old yak calves with healthy body condition and similar body weight were selected as experimental animals and randomly divided into two groups, five [...] Read more.
This experiment was conducted to investigate the effect of supplemental concentrate feeding on the pancreatic development of yak calves. Twenty one-month-old yak calves with healthy body condition and similar body weight were selected as experimental animals and randomly divided into two groups, five replicates in each group. The control group yak calves were fed milk replacer and alfalfa hay, the experimental group yak calves were fed milk replacer, alfalfa hay and concentrate. The pre-feeding period of this experiment was thirty days, the trial period was one hundred days. At the end of feeding trail, five yak calves from each group were selected and slaughtered and the pancreas tissues of yak calves were collected and determined. The results showed that: (1) Dry matter and body weight of yak calves in the test group were significantly higher than those of the control group. (2) The apparent nutrient digestibility of crude protein, crude fat, calcium and phosphorus in the test group of yak calves was significantly higher than that of the control group, while the apparent nutrient digestibility of neutral detergent fiber and acid detergent fiber in the test group was significantly lower than that of the control group. (3) Pancreatic weight, organ index, total ratio of exocrine part area and total ratio of endocrine area of yak calves in the test group were significantly higher than those in the control group, while the ratio of exocrine area was significantly lower in the test group than that of the control group. (4) The activities of the main pancreatic digestive enzymes: pancreatic amylase, pancreatic lipase, pancreatic protease and chymotrypsin were significantly higher in the test group than those of the control group, as were the hormonal contents of glucagon, insulin and pancreatic polypeptide. (5) The main differential metabolites of the pancreas in the test group were significantly higher than those of the control group, such as D-proline, hypoxanthine, acetylcysteine, gamma-glutamylcysteine, thiazolidine-4-carboxylic acid, piperidinic acid, ellagic acid, nicotinamide, tropolone, D-serine, ribulose-5-phosphate, (+/-)5(6)-epoxyeicosatrienoic acid(EET), 2-hydroxycinnamic acid, L-phenylalanine, creatinine, tetrahydrocorticosterone, pyridoxamine, xanthine, 5-oxoproline, asparagine, DL-tryptophan, in-dole-3-acrylic acid, thymine, trehalose, docosapentaenoic acid, docosahexaenoic acid, fatty acid esters of hydroxy fatty acids(FAHFA) (18:1/20:3), fatty acid esters of hydroxy fatty acids(FAHFA) (18:2/20:4), adrenic acid and xanthosine. In conclusion, supplemental concentrate feeding promoted the good development of morphological and functional properties of the pancreas in early weaned yak calves to improve the digestion and absorption of feed nutrients, so as to enhance the growth and development quality of early weaned yak calves. Full article
(This article belongs to the Section Cattle)
Show Figures

Figure 1

6 pages, 983 KB  
Communication
Red Spot on the European Green Map: Will the Extra Catastrophic Phenomenon Take the Polish Poaching-Pressured Ospreys to the Brink of Extinction?
by Bartłomiej Woźniak, Michał Zygmunt, Łukasz Porębski, Patrycja Woźniak and Dariusz Anderwald
Animals 2022, 12(1), 69; https://doi.org/10.3390/ani12010069 - 29 Dec 2021
Cited by 2 | Viewed by 2196
Abstract
Poland is the only European country where the Osprey population is declining due to the mortality of adult birds from poaching, which impacts not only single breeding attempts but also the Lifetime Reproductive Success (LRS) of specimens. However, what if there came an [...] Read more.
Poland is the only European country where the Osprey population is declining due to the mortality of adult birds from poaching, which impacts not only single breeding attempts but also the Lifetime Reproductive Success (LRS) of specimens. However, what if there came an extra mortality factor in the moment of the lowest numbers of Osprey, already vulnerable in the country? In the years 2018–2020, we installed 22 trail cameras and five digital cameras (live online video feeds) on the nests. The total failure level observed in cameras (18.5%) was high. We observed, using these cameras, the extra mortality of chicks (10.7% of potentially fledged chicks) and even adult birds by unexpected predation by Northern Goshawk and White-tailed Eagle. This phenomenon is also common in the national population, as we found a total of ten cases of total losses by predators (eight or nine of them were birds of prey), including nests not covered by camera monitoring. The extra adult-predation by Goshawks means an extra drop in LRS. Those adult and chick predations are an example of exceptional catastrophic phenomena, which have been described as the direct cause of the extinction of animal populations throughout history. Only active conservation and stop poaching of the Polish population could stop the decline and save the Polish Ospreys. Full article
(This article belongs to the Section Ecology and Conservation)
Show Figures

Figure 1

Back to TopTop