Sign in to use this feature.

Years

Between: -

Subjects

remove_circle_outline
remove_circle_outline
remove_circle_outline
remove_circle_outline
remove_circle_outline
remove_circle_outline
remove_circle_outline

Journals

Article Types

Countries / Regions

Search Results (137)

Search Parameters:
Keywords = Unified Parkinson’s Disease Rating Scale (UPDRS)

Order results
Result details
Results per page
Select all
Export citation of selected articles as:
14 pages, 1368 KB  
Article
Functional and Structural Connectivity Correlates of Axial Symptom Outcomes After Pallidal Deep Brain Stimulation in Parkinson’s Disease
by Gilberto Perez Rodriguez Garcia, Erik Middlebrooks, Shanshan Mei, Takashi Tsuboi, Joshua Wong, Matthew Burns, Coralie de Hemptinne and Adolfo Ramirez-Zamora
Brain Sci. 2025, 15(11), 1245; https://doi.org/10.3390/brainsci15111245 - 20 Nov 2025
Viewed by 344
Abstract
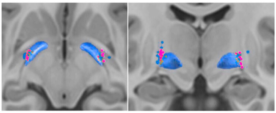
Background/Objectives: Deep brain stimulation (DBS) of the globus pallidus interna (GPi) is a safe and established therapy for management of refractory motor fluctuations and dyskinesia in Parkinson’s disease (PD). However, the relationship between stimulation site connectivity and improvement of axial gait symptoms [...] Read more.
Background/Objectives: Deep brain stimulation (DBS) of the globus pallidus interna (GPi) is a safe and established therapy for management of refractory motor fluctuations and dyskinesia in Parkinson’s disease (PD). However, the relationship between stimulation site connectivity and improvement of axial gait symptoms remains poorly understood, particularly when stimulating in the GPi. This study investigated functional and structural connectivity patterns specifically associated with axial symptom outcomes following bilateral GPi-DBS, and, as a secondary exploratory analysis, examined whether Volumes of tissue activated (VTAs)-based connectivity related to overall UPDRS-III change. Methods: We retrospectively analyzed 19 PD patients who underwent bilateral GPi-DBS at the University of Florida (2002–2017). Unified Parkinson’s Disease Rating Scale (UPDRS-III) axial gait subscores were assessed at baseline and 36-month follow-up. VTAs were reconstructed using Lead-DBS and coregistered to Montreal Neurological Institute (MNI) space. Structural connectivity was evaluated with diffusion tractography, and functional connectivity was estimated using normative resting-state fMRI datasets. Correlations between VTA connectivity and clinical improvement were examined using Spearman correlation and voxelwise analyses. Results: Patients with axial improvement in motor scales demonstrated specific VTA connectivity to sensorimotor and supplementary motor networks, particularly lobule V and lobules I–IV of the cerebellum. These associations were specific to axial gait subscores. In contrast, worsening axial gait symptoms correlated with connectivity to cerebellar Crus II, cerebellum VIII, calcarine cortex, and thalamus (p < 0.05). Total UPDRS-III scores did not show a significant positive correlation with supplementary motor area or primary motor cortex connectivity; a non-significant trend was observed for VTA–M1 connectivity (R = 0.41, p = 0.078). Worsening total motor scores were associated with cerebellar Crus II and frontal–parietal networks. These findings suggest that distinct connectivity patterns underlie differential trajectories in axial and global motor outcomes following GPi-DBS. Conclusions: Distinct connectivity profiles might underlie axial gait symptom outcomes following GPi-DBS. Connectivity to motor and sensorimotor pathways supports improvement, whereas involvement of Crus II and occipital networks predicts worsening. Additional studies to confirm and expand on these findings are needed, but our results highlight the value of connectomic mapping for refining patient-specific targeting and developing future programming strategies. Full article
(This article belongs to the Section Neurodegenerative Diseases)
Show Figures

Figure 1

9 pages, 265 KB  
Article
Association of Apathy with Poor Sleep Quality in Patients with Early Parkinson’s Disease
by Hak-Loh Lee, Seong-Min Choi, Soo Hyun Cho and Byeong C. Kim
Medicina 2025, 61(11), 1906; https://doi.org/10.3390/medicina61111906 - 24 Oct 2025
Viewed by 304
Abstract
Background and Objectives: Apathy and sleep problems are frequently observed among non-motor symptoms (NMSs) in Parkinson’s disease (PD), but the relationship between the two has not been well investigated. This study aimed to determine the extent to which apathy and sleep disturbances [...] Read more.
Background and Objectives: Apathy and sleep problems are frequently observed among non-motor symptoms (NMSs) in Parkinson’s disease (PD), but the relationship between the two has not been well investigated. This study aimed to determine the extent to which apathy and sleep disturbances are present in people with early PD and whether apathy affects sleep quality. Materials and Methods: Patients diagnosed with early PD, defined as modified Hoehn and Yahr (mHY) stages 1-3 and a disease duration of no more than 5 years, were included in the study. Demographic characteristics were collected, and motor and NMSs including apathy and sleep disturbance were investigated with relevant scales. Results: Of 302 patients with PD, apathy was found in 97 (32.1%) patients. Patients with apathetic PD had significantly less formal education, a more advanced mHY stage, and higher scores on the Unified Parkinson’s Disease Rating Scale (UPDRS) part II, total Non-Motor Symptom Scale (NMSS), Beck Depression Inventory (BDI), Apathy Evaluation Scale (AES), and Pittsburgh Sleep Quality Index (PSQI) global scores than patients with non-apathetic PD. The PSQI global score showed significant associations with years of education, UPDRS-II, total NMSS, Mini-Mental State Examination, BDI, and AES scores. For each component of the PSQI, only sleep latency was different between patients with apathetic and non-apathetic PD. Partial correlation analyses for determining the association between apathy and sleep disturbance revealed a significant positive correlation. Conclusions: Apathy is common and associated with poor sleep quality in patients with early PD. These findings suggest that recognizing and addressing apathy may be relevant for managing sleep disturbances in this population. Full article
(This article belongs to the Section Neurology)
15 pages, 2160 KB  
Article
Evaluation of Parkinson’s Disease Motor Symptoms via Wearable Inertial Measurements Units and Surface Electromyography Sensors
by Xiangliang Zhang, Wenhao Pan, Zhuoneng Wu, Xiangzhi Liu, Yiping Sun, Bingfei Fan, Miao Cai, Tong Li and Tao Liu
Bioengineering 2025, 12(10), 1116; https://doi.org/10.3390/bioengineering12101116 - 18 Oct 2025
Viewed by 718
Abstract
Parkinson’s disease (PD) is one of the fastest-growing neurodegenerative disorders; its cardinal motor signs—tremor, bradykinesia, and rigidity—substantially impair quality of life. Conventional clinician-rated scales can be subjective and exhibit limited interrater reliability, underscoring the need for objective and reliable quantification. We present an [...] Read more.
Parkinson’s disease (PD) is one of the fastest-growing neurodegenerative disorders; its cardinal motor signs—tremor, bradykinesia, and rigidity—substantially impair quality of life. Conventional clinician-rated scales can be subjective and exhibit limited interrater reliability, underscoring the need for objective and reliable quantification. We present an integrated evaluation framework that leverages surface electromyography (sEMG) with multimodal sensing. For representation learning, we combine time–frequency descriptors with Mini-ROCKET features. Grading is performed by an sEMG-based Unified Parkinson’s Disease Rating Scale (UPDRS) model (LDA-SV) that produces per-segment probabilities for ordinal scores (0–3) and aggregates them via soft voting to assign item-level ratings. Participants completed a standardized protocol spanning gait, seated rest, and upper-limb tasks (forearm pronation–supination, finger-to-nose, fist clench, and thumb–index pinch). Using the aforementioned dataset, we report task-wise performance with 95% confidence intervals and compare the proposed model against CNN, LSTM, and InceptionTime using McNemar tests and log-odds ratios. The results indicate that the proposed model outperforms the three baseline models overall. These findings demonstrate the effectiveness and feasibility of the proposed approach, suggesting a viable pathway for the objective quantification of PD motor symptoms and facilitating broader clinical adoption of sEMG in diagnosis and treatment. Full article
(This article belongs to the Special Issue Advanced Wearable Sensors for Human Gait Analysis)
Show Figures

Figure 1

12 pages, 657 KB  
Article
Virtual Reality in the Neurorehabilitation of Patients with Idiopathic Parkinson’s Disease: Pilot Study
by Diana Alejandra Delgado-Anguiano, Ulises Rodríguez-Ortiz, Mireya Chávez-Oliveros and Francisco Paz-Rodríguez
Brain Sci. 2025, 15(10), 1116; https://doi.org/10.3390/brainsci15101116 - 16 Oct 2025
Viewed by 541
Abstract
Background: Parkinson’s disease (PD) is a neurodegenerative condition that affects quality of life due to motor (gait, balance) and cognitive alterations, raising the risk of falling. Virtual reality (RV) and dancing have shown benefits for speed of walking, balance, and postural stability, as [...] Read more.
Background: Parkinson’s disease (PD) is a neurodegenerative condition that affects quality of life due to motor (gait, balance) and cognitive alterations, raising the risk of falling. Virtual reality (RV) and dancing have shown benefits for speed of walking, balance, and postural stability, as well as decreased risk of falls. Objective: The goal of this study was to analyze the effectiveness of RV and dancing using a Kinect Xbox 360 video game to improve walking speed and motor performance and reduce the risk of falls in patients with PD. Method: This is a pre-experimental study with a simple pre-post design, involving a single group of 14 patients diagnosed with PD in stages 1 to 4 of the Hoehn and Yahr (H and Y) scale, from the National Institute of Neurology (INNN). Before and after the intervention, motor tests, the Unified Parkinson’s Disease Rating Scale (UPDRS-III), the Timed Up and Go (TUG) test, and the Tinetti were applied. The intervention consisted of 16 bi-weekly sessions, which included warm-up, coordination exercises, 10 songs, and cool-down. Results: Effects of the RV intervention were observed on improvements in motor tests (z = −2.640, p = 0.008), gait (z = −3.316, p = 0.001), balance (TUG) (z = −2.966, p = 0.001), and on the UPDRS-III scale (total index) (z = −3.048, p = 0.002). An increase in the difficulty level of dancing was also observed (X2 = 144.13, p < 0.01). Conclusions: The virtual reality intervention with dancing improved motor performance, including increased walking speed, enhanced postural stability, reduced stiffness and bradykinesia, and a decreased risk of falls Full article
Show Figures

Figure 1

13 pages, 1060 KB  
Article
Automated Shoulder Girdle Rigidity Assessment in Parkinson’s Disease via an Integrated Model- and Data-Driven Approach
by Fatemeh Khosrobeygi, Zahra Abouhadi, Ailar Mahdizadeh, Ahmad Ashoori, Negin Niksirat, Maryam S. Mirian and Martin J. McKeown
Sensors 2025, 25(19), 6019; https://doi.org/10.3390/s25196019 - 1 Oct 2025
Viewed by 578
Abstract
Parkinson’s disease (PD) is characterized by motor symptoms, with key diagnostic features, such as rigidity, traditionally assessed through subjective clinical scales. This study proposes a novel hybrid framework integrating model-driven biomechanical features (damping ratio, decay rate) and data-driven statistical features (maximum detail coefficient) [...] Read more.
Parkinson’s disease (PD) is characterized by motor symptoms, with key diagnostic features, such as rigidity, traditionally assessed through subjective clinical scales. This study proposes a novel hybrid framework integrating model-driven biomechanical features (damping ratio, decay rate) and data-driven statistical features (maximum detail coefficient) from wearable sensor data during a modified pendulum test to quantify shoulder girdle rigidity objectively. Using weak supervision, these features were unified to generate robust labels from limited data, achieving a 10% improvement in PD/healthy control classification accuracy (0.71 vs. 0.64) over data-driven methods and matching model-driven performance (0.70). The damping ratio and decay rate, aligning with Wartenberg pendulum test metrics like relaxation index, revealed velocity-dependent aspects of rigidity, challenging its clinical characterization as velocity-independent. Outputs correlated strongly with UPDRS rigidity scores (r = 0.78, p < 0.001), validating their clinical utility as novel biomechanical biomarkers. This framework enhances interpretability and scalability, enabling remote, objective rigidity assessment for early diagnosis and telemedicine, advancing PD management through innovative sensor-based neurotechnology. Full article
Show Figures

Figure 1

11 pages, 243 KB  
Review
Emerging Clinical Role of Tavapadon, a Novel Dopamine Partial Agonist, in the Treatment of Parkinson’s Disease
by Alan D. Kaye, Bennett M. Ford, Brennan M. Abbott, Kalob M. Broocks, Sofia Novacic and Sahar Shekoohi
Diseases 2025, 13(9), 290; https://doi.org/10.3390/diseases13090290 - 2 Sep 2025
Viewed by 2929
Abstract
Tavapadon, a novel oral dopamine-D1R/D5R partial agonist, has been studied in recent years for the treatment of late-stage development Parkinson’s disease (PD). Levodopa, a dopamine precursor that currently remains the gold-standard first-line therapy for PD motor symptoms, serves as a benchmark against emerging [...] Read more.
Tavapadon, a novel oral dopamine-D1R/D5R partial agonist, has been studied in recent years for the treatment of late-stage development Parkinson’s disease (PD). Levodopa, a dopamine precursor that currently remains the gold-standard first-line therapy for PD motor symptoms, serves as a benchmark against emerging dopaminergic agents. By selectively activating D1-family receptors on direct-pathway medium neurons, Tavapadon differs in that it delivers levodopa-level motor benefit while avoiding its many D2R/D3R-mediated adverse effects. In placebo-controlled trials, Tavapadon produced clear, clinically meaningful gains in motor function and day-to-day activities, as captured by the Unified Parkinson’s Disease Rating Scale (UPDRS). Recent late-stage results have revealed that Tavapadon maintains superior UPDRS outcomes in de novo patients and, when added to levodopa, extended “ON” time periods of reliable motor control free of troublesome dyskinesia, without introducing new safety concerns. In studies, nausea, headache, and somnolence were the most frequent adverse events. Hallucinations, orthostatic hypotension, and impulse-control disorders remained comparable to placebo, reflecting minimal D2R/D3R-mediated effects. Preclinical primate studies have demonstrated levodopa-like motor rescue with markedly less dyskinesia, a pattern mirrored in clinical add-on trials. Collectively, evidence indicates that Tavapadon can match levodopa-mediated symptomatic efficacy, lower dyskinesia liability compared with levodopa or earlier full D1 receptor (D1R) agonists, and offer the convenience of once-daily dosing characteristics, which may bridge the therapeutic gap between levodopa and the current D2R/D3R agonists in PD management. In the present investigation, the emerging clinical role for Tavapadon is described, along with the mechanism of action, clinical efficacy, safety, and future directions. Full article
12 pages, 394 KB  
Article
Ultrasonography of the Vagus Nerve in Parkinson’s Disease: Links to Clinical Profile and Autonomic Dysfunction
by Ovidijus Laucius, Justinas Drūteika, Tadas Vanagas, Renata Balnytė, Andrius Radžiūnas and Antanas Vaitkus
Biomedicines 2025, 13(9), 2070; https://doi.org/10.3390/biomedicines13092070 - 25 Aug 2025
Viewed by 734
Abstract
Background: Parkinson’s disease (PD) is a progressive neurodegenerative disorder characterized by both motor and non-motor symptoms, including autonomic dysfunction. Structural alterations in the vagus nerve (VN) may contribute to PD pathophysiology, though existing data remain inconsistent. Objective: This study aimed to evaluate morphological [...] Read more.
Background: Parkinson’s disease (PD) is a progressive neurodegenerative disorder characterized by both motor and non-motor symptoms, including autonomic dysfunction. Structural alterations in the vagus nerve (VN) may contribute to PD pathophysiology, though existing data remain inconsistent. Objective: This study aimed to evaluate morphological changes in the VN using high-resolution ultrasound (USVN) and to investigate associations with autonomic symptoms, heart rate variability (HRV), and clinical characteristics in PD patients. Methods: A cross-sectional study was conducted involving 60 PD patients and 60 age- and sex-matched healthy controls. USVN was performed to assess VN cross-sectional area (CSA), echogenicity, and homogeneity bilaterally. Autonomic symptoms were measured using the Composite Autonomic Symptom Scale 31 (COMPASS-31). HRV parameters—SDNN, RMSSD, and pNN50—were obtained via 24 h Holter monitoring. Additional clinical data included Unified Parkinson’s Disease Rating Scale (UPDRS) scores, transcranial sonography findings, and third ventricle width. Results: PD patients showed significantly reduced VN CSA compared to controls (right: 1.90 ± 0.19 mm2 vs. 2.07 ± 0.18 mm2; left: 1.74 ± 0.21 mm2 vs. 1.87 ± 0.22 mm2; p < 0.001 and p < 0.02). Altered echogenicity and decreased homogeneity were also observed. Right VN CSA correlated with body weight, third ventricle size, and COMPASS-31 scores. Left VN CSA was associated with body size parameters and negatively correlated with RMSSD (p = 0.025, r = −0.21), indicating reduced vagal tone. Conclusions: USVN detects structural VN changes in PD, correlating with autonomic dysfunction. These findings support its potential as a non-invasive biomarker for early autonomic involvement in PD. Full article
(This article belongs to the Section Neurobiology and Clinical Neuroscience)
Show Figures

Figure 1

18 pages, 2505 KB  
Article
A New Geometric Algebra-Based Classification of Hand Bradykinesia in Parkinson’s Disease Measured Using a Sensory Glove
by Giovanni Saggio, Paolo Roselli, Luca Pietrosanti, Alessandro Romano, Nicola Arangino, Martina Patera and Antonio Suppa
Algorithms 2025, 18(8), 527; https://doi.org/10.3390/a18080527 - 19 Aug 2025
Cited by 1 | Viewed by 1107
Abstract
Parkinson’s disease (PD) is a chronic neurodegenerative disorder that progressively impairs motor functions. Clinical assessments have traditionally relied on rating scales such as the Movement Disorder Society Unified Parkinson Disease Rating Scale (MDS-UPDRS); however, these evaluations are susceptible to rater-dependent variability and may [...] Read more.
Parkinson’s disease (PD) is a chronic neurodegenerative disorder that progressively impairs motor functions. Clinical assessments have traditionally relied on rating scales such as the Movement Disorder Society Unified Parkinson Disease Rating Scale (MDS-UPDRS); however, these evaluations are susceptible to rater-dependent variability and may miss subtle motor changes. This study explored objective and quantitative methods for assessing motor function in PD patients using the Quantum Metaglove, a sensory glove produced by MANUS®, which was used to record finger movements during three tasks: finger tapping, hand gripping, and pronation–supination. Classic and geometric motor features (the latter based on Clifford algebra, an advanced approach for trajectory shape analysis) were extracted. The resulting data were used to train various machine learning algorithms (k-NN, SVM, and Naive Bayes) to distinguish healthy subjects from PD patients. The integration of traditional kinematic and geometric approaches improves objective hand movement analysis, providing new diagnostic opportunities. In particular, geometric trajectory analysis provides more interpretable information than conventional signal processing methods. This study highlights the value of wearable technologies and Clifford algebra-based algorithms as tools that can complement clinical assessment. They are capable of reducing inter-rater variability and enabling more continuous and precise monitoring of hand motor movements in patients with PD. Full article
(This article belongs to the Section Analysis of Algorithms and Complexity Theory)
Show Figures

Graphical abstract

11 pages, 389 KB  
Article
Metabolic Syndrome and Parkinson’s Disease: Two Villains Join Forces
by Lucas Udovin, Sofía Bordet, Hanny Barbar, Matilde Otero-Losada, Santiago Pérez-Lloret and Francisco Capani
Brain Sci. 2025, 15(7), 706; https://doi.org/10.3390/brainsci15070706 - 30 Jun 2025
Viewed by 885
Abstract
Background: Metabolic syndrome and Parkinson’s disease have common pathophysiological denominators. This study aimed to investigate how metabolic syndrome contributes to Parkinson’s disease progression, as well as the genetic traits shared by PD and MetS. Methods: Four hundred and twenty-three newly diagnosed drug-naïve PD [...] Read more.
Background: Metabolic syndrome and Parkinson’s disease have common pathophysiological denominators. This study aimed to investigate how metabolic syndrome contributes to Parkinson’s disease progression, as well as the genetic traits shared by PD and MetS. Methods: Four hundred and twenty-three newly diagnosed drug-naïve PD patients were analyzed from the Parkinson’s Progression Markers Initiative (PPMI) database. We compared longitudinal changes in the total and subscale scores of the Movement Disorder Society-Unified Parkinson’s Disease Rating Scale (MDS-UPDRS) between PD patients with and without metabolic syndrome over a five-year follow-up. We assessed the frequency of PD-associated genetic variants in both groups. Results: At baseline, Parkinson’s patients with MetS were typically men (p < 0.01) and older (p = 0.04), with a higher Hoehn and Yahr score (p = 0.01) compared with their counterparts without MetS. They showed higher Movement Disorder Society-Unified Parkinson’s Disease Rating Scale (MDS-UPDRS) total scores at baseline and in follow-up years 2, 3, 4, and 5 (all p-values < 0.05) as analyzed by the Generalized Estimating Equation model. These differences were primarily driven by elevated motor scores (MDS-UPDRS Part III) (p < 0.01). MetS was associated with a higher frequency of the ZNF646.KAT8.BCKDK_rs14235 variant and a lower frequency of the NUCKS1_rs823118 and CTSB_rs1293298 variants. Conclusions: PD patients with MetS had worse motor symptomatology. Both conditions appear to share genetic susceptibility, involving genes related to lipid metabolism (BCKDK), autophagy and inflammation (CTSB), and chromatin regulation (NUCKS1). Full article
Show Figures

Figure 1

17 pages, 5036 KB  
Article
Automated UPDRS Gait Scoring Using Wearable Sensor Fusion and Deep Learning
by Xiangzhi Liu, Xiangliang Zhang, Juan Li, Wenhao Pan, Yiping Sun, Shuanggen Lin and Tao Liu
Bioengineering 2025, 12(7), 686; https://doi.org/10.3390/bioengineering12070686 - 24 Jun 2025
Cited by 2 | Viewed by 1606
Abstract
The quantitative assessment of Parkinson’s disease (PD) is critical for guiding diagnosis, treatment, and rehabilitation. Conventional clinical evaluations—heavily dependent on manual rating scales such as the Unified Parkinson’s Disease Rating Scale (UPDRS)—are time-consuming and prone to inter-rater variability. In this study, we propose [...] Read more.
The quantitative assessment of Parkinson’s disease (PD) is critical for guiding diagnosis, treatment, and rehabilitation. Conventional clinical evaluations—heavily dependent on manual rating scales such as the Unified Parkinson’s Disease Rating Scale (UPDRS)—are time-consuming and prone to inter-rater variability. In this study, we propose a fully automated UPDRS gait-scoring framework. Our method combines (a) surface electromyography (EMG) signals and (b) inertial measurement unit (IMU) data into a single deep learning model. Our end-to-end network comprises three specialized branches—a diagnosis head, an evaluation head, and a balance head—whose outputs are integrated via a customized fusion-detection module to emulate the multidimensional assessments performed by clinicians. We validated our system on 21 PD patients and healthy controls performing a simple walking task while wearing a four-channel EMG array on the lower limbs and 2 shank-mounted IMUs. It achieved a mean classification accuracy of 92.8% across UPDRS levels 0–2. This approach requires minimal subject effort and sensor setup, significantly cutting clinician workload associated with traditional UPDRS evaluations while improving objectivity. The results demonstrate the potential of wearable sensor-driven deep learning methods to deliver rapid, reliable PD gait assessment in both clinical and home settings. Full article
(This article belongs to the Special Issue Advanced Wearable Sensors for Human Gait Analysis)
Show Figures

Figure 1

11 pages, 569 KB  
Article
Olfactory Perception in Parkinson’s Disease: The Impact of GBA1 Variants (Sidransky Syndrome)
by Mikhal E. Cohen, Yosef Shechter, Melania Dominko, Elena Shulman, Tama Dinur, Shoshana Revel-Vilk, Roni Eichel, Gilad Yahalom and Michal Becker-Cohen
Int. J. Mol. Sci. 2025, 26(11), 5258; https://doi.org/10.3390/ijms26115258 - 30 May 2025
Viewed by 926
Abstract
Parkinson’s disease (PD) associated with GBA1 mutations—recently termed Sidransky syndrome—differs from idiopathic PD (iPD) by earlier onset, more rapid progression, and higher rates of non-motor symptoms. Our objective was to assess whether GBA1 mutations contribute to olfactory dysfunction in PD and in asymptomatic [...] Read more.
Parkinson’s disease (PD) associated with GBA1 mutations—recently termed Sidransky syndrome—differs from idiopathic PD (iPD) by earlier onset, more rapid progression, and higher rates of non-motor symptoms. Our objective was to assess whether GBA1 mutations contribute to olfactory dysfunction in PD and in asymptomatic carriers of the mutation. We compared olfactory and motor functions in 119 participants: Sidransky syndrome (n = 18), iPD (n = 30), GBA1 variant carriers without PD (n = 21), Gaucher disease patients (n = 20), and healthy controls (n = 30). All were evaluated with the Brief Smell Identification Test (BSIT®) and the motor part of the Movement Disorders Society Unified PD Rating Scale (MDS-mUPDRS). Mean age was 59.2 ± 11.7 years. Mean disease duration was 2.5 ± 2.2 years in Sidransky syndrome and 5.4 ± 4.9 years in iPD. We found that both PD groups had significantly lower BSIT® scores than non-PD groups (p < 0.001), particularly for leather, smoke, natural gas, pineapple, clove, rose, and lemon. Sidransky syndrome patients scored lower than iPD patients (p = 0.04). No significant olfactory deficits were observed in GBA1 carriers or Gaucher patients without PD. We conclude that hyposmia is more pronounced in Sidransky syndrome than in iPD. However, normal olfaction in non-parkinsonian GBA1 carriers suggests that GBA1 variants alone do not account for olfactory loss in PD. Hyposmia likely reflects broader PD pathology rather than a direct effect of the GBA1 mutation. Full article
(This article belongs to the Special Issue Molecular Mechanisms of Genetic Variants of Parkinson’s Disease)
Show Figures

Figure 1

16 pages, 2378 KB  
Article
Detection and Severity Assessment of Parkinson’s Disease Through Analyzing Wearable Sensor Data Using Gramian Angular Fields and Deep Convolutional Neural Networks
by Sayyed Mostafa Mostafavi, Shovito Barua Soumma, Daniel Peterson, Shyamal H. Mehta and Hassan Ghasemzadeh
Sensors 2025, 25(11), 3421; https://doi.org/10.3390/s25113421 - 29 May 2025
Viewed by 1555
Abstract
Parkinson’s disease (PD) is the second-most common neurodegenerative disease. With more than 20,000 new diagnosed cases each year, PD affects millions of individuals worldwide and is most prevalent in the elderly population. The current clinical methods for the diagnosis and severity assessment of [...] Read more.
Parkinson’s disease (PD) is the second-most common neurodegenerative disease. With more than 20,000 new diagnosed cases each year, PD affects millions of individuals worldwide and is most prevalent in the elderly population. The current clinical methods for the diagnosis and severity assessment of PD rely on the visual and physical examination of subjects and identifying key disease motor signs and symptoms such as bradykinesia, rigidity, tremor, and postural instability. In the present study, we developed a method for the diagnosis and severity assessment of PD using Gramian Angular Fields (GAFs) in combination with deep Convolutional Neural Networks (CNNs). Our model was applied to PD gait signals captured using pressure sensors embedded into insoles. Our results indicated an accuracy of 98.6%, a true positive rate (TPR) of 99.2%, and a true negative rate (TNR) of 98.5%, showcasing superior classification performance for PD diagnosis compared to the methods used in recent studies in the literature. The estimation of disease severity scores using gait signals showed a high accuracy for the Hoehn and Yahr score as well as the Timed Up and Go (TUG) test score (R2 > 0.8), while we achieved a lower prediction performance for the Unified Parkinson’s Disease Rating Scale (UPDRS) and its motor component (UPDRSM) scores (R2 < 0.2). These results were achieved using gait signals recorded in time windows as small as 10 s, which may pave the way for shorter, more accessible assessment tools for diagnosis and severity assessment of PD. Full article
(This article belongs to the Special Issue Sensors for Unsupervised Mobility Assessment and Rehabilitation)
Show Figures

Figure 1

15 pages, 1393 KB  
Article
Real-World Use of COMT Inhibitors in the Management of Patients with Parkinson’s Disease in Spain Who Present Early Motor Fluctuations: Interim Results from the REONPARK Study
by Lydia López-Manzanares, Juan García Caldentey, Marina Mata Álvarez-Santullano, Dolores Vilas Rolán, Jaime Herreros-Rodríguez, Berta Solano Vila, María Cerdán Sánchez, Tania Delgado Ballestero, Rocío García-Ramos, Ana Rodríguez-Sanz, Jesús Olivares Romero, José Blanco Ameijeiras, Isabel Pijuan Jiménez and Iciar Tegel Ayuela
Brain Sci. 2025, 15(5), 532; https://doi.org/10.3390/brainsci15050532 - 21 May 2025
Cited by 2 | Viewed by 1776 | Correction
Abstract
Objective: We aimed to analyze the real-world use of COMT inhibitors associated with levodopa in patients with Parkinson’s disease (PD) who present early fluctuations and to explore whether early COMT inhibition optimizes treatment outcomes. Methods: REONPARK is an ongoing 2-year prospective observational study. [...] Read more.
Objective: We aimed to analyze the real-world use of COMT inhibitors associated with levodopa in patients with Parkinson’s disease (PD) who present early fluctuations and to explore whether early COMT inhibition optimizes treatment outcomes. Methods: REONPARK is an ongoing 2-year prospective observational study. We included patients diagnosed with PD who presented signs of end-of-dose motor fluctuations for <2 years and started COMT inhibitors according to clinical practice. Outcomes included the clinician and patient global impression of change (CGI-C, PGI-C), the Movement Disorder Society-sponsored revision of the Unified Parkinson’s Disease Rating Scale (MDS-UPDRS), the Parkinson’s Disease Questionnaire-8 (PDQ-8), Non-Motor Symptoms Scale (NMSS), 19-Symptom Wearing-off Questionnaire (WOQ-19), and safety. We present a pre-planned interim analysis (cut-off date 3 July 2023) of patients who completed the first 3 months of follow-up. Results: Seventy patients were analyzed (mean levodopa dose at inclusion 484.8 mg; duration of motor fluctuations 0.6 years). In all cases, COMT inhibition was initiated with opicapone, and 81% maintained a stable levodopa dose at 3 months. After 3 months of treatment with opicapone, 73.5% and 62.8% of patients improved on CGI-C and PGI-C, respectively. MDS-UPDRS scores improved significantly with a mean change from baseline of −3.3 ± 7.7 (p < 0.001) for Part III and −1.3 ± 1.7 (p < 0.001) for Part IV. The mean OFF time decreased from 3.7 ± 2.6 h at baseline to 2.2 ± 2.3 h, and 20.6% of patients no longer experienced OFF periods. Patients experiencing no impact of fluctuations increased from 10% to 45.6%. Conclusions: In PD patients with early fluctuations, three months of opicapone reduced the OFF time and improved functional outcomes, suggesting potential benefits in the early stages. Full article
Show Figures

Graphical abstract

26 pages, 4584 KB  
Article
A Wearable Internet of Things-Based Device for the Quantitative Assessment of Hand Tremors in Parkinson’s Disease: The ELENA Project
by Yessica Saez, Cristian Ureña, Julia Valenzuela, Antony García and Edwin Collado
Sensors 2025, 25(9), 2763; https://doi.org/10.3390/s25092763 - 27 Apr 2025
Cited by 2 | Viewed by 4028
Abstract
Parkinson’s disease (PD) is a progressive neurodegenerative disorder characterized by motor symptoms, with tremors being one of the most prominent. Traditional assessment methods, such as the Unified Parkinson’s Disease Rating Scale (UPDRS), rely on subjective, intermittent evaluations, which can miss symptom fluctuations. This [...] Read more.
Parkinson’s disease (PD) is a progressive neurodegenerative disorder characterized by motor symptoms, with tremors being one of the most prominent. Traditional assessment methods, such as the Unified Parkinson’s Disease Rating Scale (UPDRS), rely on subjective, intermittent evaluations, which can miss symptom fluctuations. This study presents the development and validation of the ELENA system, an IoT-based wearable device designed for the continuous monitoring of tremors in PD patients and medication tracking in PD patients. Named in honor of a 67-year-old woman who has lived with Parkinson’s since 2011 and inspired the project, the ELENA system integrates an MPU6050 accelerometer, an ESP32 microcontroller, and cloud-based data analysis and MATLAB. The ELENA system was calibrated and validated against an Apple Watch, demonstrating high accuracy with frequency deviations under 0.5% and an average percentage error of −0.37%. Unlike commercial devices, ELENA offers a clinical-grade solution with customizable data access and visualization tailored for healthcare providers. Participants, including PD patients and a non-PD control group, completed a series of clinical tasks to evaluate tremor monitoring capabilities. The results showed that the system effectively captured tremor frequency and amplitude, enabling the analysis of resting, action, and postural tremors. This study highlights the ELENA system’s potential to enhance PD management by providing real-time, remote monitoring of tremors. The scalable, cost-effective solution supports healthcare professionals in tracking disease progression and optimizing treatment plans, paving the way for improved patient outcomes. Full article
(This article belongs to the Section Intelligent Sensors)
Show Figures

Figure 1

15 pages, 603 KB  
Article
Cognitive Impairment-Associated Risk Factors of Parkinson’s Disease: A Hospital-Based Study in a Cohort of Upper Egypt Parkinson’s Patients
by Eman M. Khedr, Khaled Aboshaera, Ahmed A. Karim, Mohammad A. Korayem, Gellan K. Ahmed and Doaa M. Mahmoud
Brain Sci. 2025, 15(5), 459; https://doi.org/10.3390/brainsci15050459 - 27 Apr 2025
Cited by 1 | Viewed by 1055
Abstract
Background/Objectives: Cognitive impairment (CI) in Parkinson’s disease (PD) is a major burden and significantly affects patients’ quality of life. Previous studies found that older age at onset and presence of the akinetic–rigid (AR) subtype are associated with an increased likelihood of CI in [...] Read more.
Background/Objectives: Cognitive impairment (CI) in Parkinson’s disease (PD) is a major burden and significantly affects patients’ quality of life. Previous studies found that older age at onset and presence of the akinetic–rigid (AR) subtype are associated with an increased likelihood of CI in PD. The present study aimed to assess factors that are related to the development of CI in PD. Methods: Eighty-three PD patients were consecutively recruited. Demographic information, clinical details, Montreal cognitive assessment (MoCA), Movement Disorder Society Unified Parkinson’s Disease Rating Scale (MDS-UPDRS), walking speed, and instrumental activity of daily living (IADL) were assessed. Resting motor threshold (rMT), was also assessed for subgroup of patients with versus without cognitive impairment. Results: According to the MoCA cut-off score of 26, 45 had PD without CI (PD-NCI) (54.22%) and 38 cases (45.78%) had PD with CI (PD-CI). The age and age at onset were significantly older in the PD-CI group (p = 0.006 and 0.018, respectively). The patients were reclassified into AR and tremor-dominant (TR) phenotype. PD-CI patients were more likely to have the AR (81.6%). Walking speed, MDS-UPDRS score, and IADL scores were significantly worse in PD-CI than in PD-NCI. Stepwise linear regression analysis of risk factors associated CI revealed that higher MDS-UPDRS scores, later age of onset, and higher rMT values were considered risk factors for developing CI. Conclusions: Higher UPDRS score, later age of onset, and higher rMT values were considered as risk factors associated CI in PD patients and provide valuable insights for further investigation and potential clinical considerations. Full article
(This article belongs to the Special Issue Aging-Related Changes in Memory and Cognition)
Show Figures

Figure 1

Back to TopTop