Sign in to use this feature.

Years

Between: -

Subjects

remove_circle_outline
remove_circle_outline
remove_circle_outline
remove_circle_outline

Journals

Article Types

Countries / Regions

Search Results (3)

Search Parameters:
Keywords = SMA- and MAD-related protein 3 (SMAD3)

Order results
Result details
Results per page
Select all
Export citation of selected articles as:
17 pages, 1148 KB  
Article
Effect of Dietary Proline on the Growth Performance, Collagen Deposition, and Texture Quality of Sea Cucumbers’ Body Wall (Apostichopus japonicus)
by Rujian Xu, Zitong Wang, Haijing Liu, Ruixue Li, Xianyu Wang, Hongbing Yang, Jun Ding, Yaqing Chang and Rantao Zuo
Fishes 2025, 10(10), 482; https://doi.org/10.3390/fishes10100482 - 26 Sep 2025
Viewed by 583
Abstract
Sea cucumber (Apostichopus japonicus) is an important economically cultured species in the northern coastal regions of China. Its body wall is rich in collagen, which directly determines product quality and market value. However, with the expansion of aquaculture scale, issues such [...] Read more.
Sea cucumber (Apostichopus japonicus) is an important economically cultured species in the northern coastal regions of China. Its body wall is rich in collagen, which directly determines product quality and market value. However, with the expansion of aquaculture scale, issues such as insufficient collagen deposition have led to inconsistent quality among cultured individuals. Therefore, there is an urgent need to improve growth performance and body wall quality through nutritional regulation. As functional nutrients, amino acids play key roles in collagen synthesis, yet relevant research on A. japonicus remains limited. This study was conducted to investigate the effects of dietary proline on the growth performance, body wall collagen deposition and organoleptic quality of sea cucumber (initial body weight: 30.20 ± 2.02 g). Three kinds of feed with equal levels of nitrogen and other lipids, and supplemented with different concentrations of proline (0%, 1.5%, 3%) in the basal diet, were named P0, P1.5, and P3, and the experiment was conducted for 60 days. The results showed that supplementation with 3% proline significantly increased final body weight and weight gain rate (p < 0.05), reaching 66.39 g and 115.30%, respectively. Collagen content in the body wall increased by approximately 18.5% compared to the control group. Histological analysis of the body wall showed that the collagen fibers in the P1.5 and P3 groups were thicker, with an increased proportion of type I collagen. Texture profile analysis indicated that hardness, cohesiveness, and chewiness were significantly improved in the P3 group (p < 0.05). In summary, supplementation with 1.5% and 3% proline effectively enhanced growth, collagen deposition, and body wall quality. Compared to the P0 group, the relative expression levels of collagen type I alpha 2 chain (COL1A1), Sma- and Mad-related protein 1(SMAD1), and sp-smad2/3 (SMAD2/3) in the body wall tissue were significantly upregulated in both the P1.5 and P3 groups (p < 0.05). Full article
(This article belongs to the Special Issue Advances in Aquaculture Feed Additives)
Show Figures

Figure 1

11 pages, 1503 KB  
Article
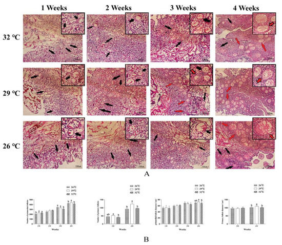
Brooding Temperature Alters Yolk Sac Absorption and Affected Ovarian Development in Goslings
by Zhengquan Liu, Xingyong Chen, Yutong Zhao, Jingzhou Peng, Daoyou Chen, Shiqi Yu and Zhaoyu Geng
Animals 2022, 12(12), 1513; https://doi.org/10.3390/ani12121513 - 10 Jun 2022
Cited by 1 | Viewed by 2455
Abstract
In order to explore the brooding temperature on the absorption of yolk sac and the ovary development of goslings, 126 1-day-old female goslings were randomly divided into three groups with three replicates in each group. The brooding temperatures were set at 32 °C, [...] Read more.
In order to explore the brooding temperature on the absorption of yolk sac and the ovary development of goslings, 126 1-day-old female goslings were randomly divided into three groups with three replicates in each group. The brooding temperatures were set at 32 °C, 29 °C and 26 °C (represent G32, G29 and G26), respectively, in each group. At 48, 60 and 72 h, two goslings from each replicate were weighed, and the yolk sac was collected and weighed. The fatty acid composition of yolk sac fluid was determined by gas chromatography-mass spectrometry (GC-MS). At 1, 2, 3, and 4 weeks of age, goslings from each replicate were weighed, the ovaries were weighed and fixed for hematoxylin-eosin (HE) staining, Cell cycle checkpoint kinase 1 (CHK1), fibroblast growth factor 12 (FGF12) and Sma-and Mad-related protein 4 (SMAD4) which related to regulation of ovarian development were determined by qRT-PCR. The body weight of G29 and G26 was significantly higher than that of G32 at 72 h (p < 0.05). The contents of C14:0, C16:0, C18:2n6c and total fatty acid (ΣTFA) from G32 were significantly higher than that of G26 (p < 0.05), and the contents of C18:1n9t and C22:0 in G29 were significantly higher than that of G26 (p < 0.05). The ovary index, ovary and body weight were significantly higher in G29 than those of G32 and G26 at 2 weeks of age (p < 0.05). The number of primordial follicles, number of primary follicles and diameter of primary follicles were significantly higher in G29 than those in G32 and G26 at 4 weeks of age (p < 0.05). In G29, the expression of CHK1 and SMAD4 was significantly higher than that in G32, and the expression of FGF12 and SMAD4 was significantly higher (p < 0.05) than that in G26 at 2 and 4 weeks of age. In conclusion, brooding temperature at 29 °C could promote the absorption of fatty acids in yolk sac, body weight gain, and ovarian development through up-regulating the expression of CHK1, FGF12 and SMAD4. Full article
(This article belongs to the Section Poultry)
Show Figures

Figure 1

11 pages, 5087 KB  
Article
Genomic Observations of a Rare/Pathogenic SMAD3 Variant in Loeys–Dietz Syndrome 3 Confirmed by Protein Informatics and Structural Investigations
by John E. Richter, Ayesha Samreen, Charitha Vadlamudi, Haytham Helmi, Ahmed N. Mohammad, Klaas Wierenga, Stephanie Hines, Paldeep S. Atwal and Thomas R. Caulfield
Medicina 2019, 55(5), 137; https://doi.org/10.3390/medicina55050137 - 15 May 2019
Cited by 6 | Viewed by 3418
Abstract
Background and objectives: Loeys–Dietz syndrome 3, also known as aneurysms-–osteoarthritis syndrome, is an autosomal dominant genetic connective tissue disease caused by pathogenic variants in SMAD3, a transcription factor involved in TGF-β signaling. This disorder is characterized by early-onset osteoarthritis and arterial aneurysms. [...] Read more.
Background and objectives: Loeys–Dietz syndrome 3, also known as aneurysms-–osteoarthritis syndrome, is an autosomal dominant genetic connective tissue disease caused by pathogenic variants in SMAD3, a transcription factor involved in TGF-β signaling. This disorder is characterized by early-onset osteoarthritis and arterial aneurysms. Common features include scoliosis, uvula abnormalities, striae, and velvety skin. Materials and Methods: The pathogenicity of a variant of uncertain significance in the SMAD3 gene was evaluated (variant c.220C > T) through personalized protein informatics and molecular studies. Results: The case of a 44-year-old male, who was originally presumed to have Marfan syndrome, is presented. An expanded gene panel determined the probable cause to be a variant in SMAD3, c.220C > T (p.R74W). His case was complicated by a history of stroke, but his phenotype was otherwise characteristic for Loeys–Dietz syndrome 3. Conclusion: This case emphasizes the importance of comprehensive genetic testing to evaluate patients for connective tissue disorders, as well as the potential benefit of utilizing a protein informatics platform for the assessment of variant pathogenicity. Full article
Show Figures

Graphical abstract

Back to TopTop