Sign in to use this feature.

Years

Between: -

Subjects

remove_circle_outline
remove_circle_outline
remove_circle_outline
remove_circle_outline

Journals

Article Types

Countries / Regions

Search Results (9)

Search Parameters:
Keywords = Phyllanthus amarus

Order results
Result details
Results per page
Select all
Export citation of selected articles as:
14 pages, 1976 KB  
Review
Ethnobotanical Review of Selected Medicinal Plants in Guam for the Treatment of Urinary Tract Ailments and Their Pharmacological Properties
by Sahena Ferdosh
Sci. Pharm. 2023, 91(3), 43; https://doi.org/10.3390/scipharm91030043 - 1 Sep 2023
Cited by 4 | Viewed by 14711
Abstract
The Chamorro healers of Guam have more than a thousand years of history of using herbs and medicinal plants for the treatment of common ailments. The objective of this study is to review the bioactive compounds and pharmacological properties of medicinal plants which [...] Read more.
The Chamorro healers of Guam have more than a thousand years of history of using herbs and medicinal plants for the treatment of common ailments. The objective of this study is to review the bioactive compounds and pharmacological properties of medicinal plants which are used for urinary tract health by local healers. Literature searches were performed using Google Scholar, ScienceDirect, PubMed, and SpringerLink, by using several keywords, including “medicinal plants in Guam”, “traditional uses”, “bioactive compounds”, “pharmacological properties”, and “urinary tract infections”. This review highlights the traditional uses, bioactive compounds, and pharmacological properties of five medicinal plant species, namely Euphorbia hirta, Phyllanthus amarus, Premna serratifolia, Psidium guajava, and Urena lobata. Phenolics, alkaloids, terpenoids, essential oils, and polypeptides are the leading secondary metabolites reported in different plant extracts, which have been found to have significant antimicrobial, antioxidant, anti-inflammatory, antidiabetic, and anticancer properties. The therapeutic claims made about medicinal plants in Guam are well supported by the literature, having similar applications and pharmacological properties in other regions of the world. These medicinal plants have a lot of unexplored potential that might be utilized to develop more potent drugs for the treatment of infectious diseases, as well as food and herbal supplements. Full article
(This article belongs to the Topic Natural Products and Drug Discovery)
Show Figures

Graphical abstract

25 pages, 4719 KB  
Article
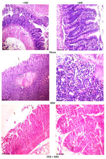
Restoration of Hepatic and Intestinal Integrity by Phyllanthus amarus Is Dependent on Bax/Caspase 3 Modulation in Intestinal Ischemia-/Reperfusion-Induced Injury
by Ayobami Oladele Afolabi, Tunmise Maryanne Akhigbe, Adeyemi Fatai Odetayo, Davinson Chuka Anyogu, Moses Agbomhere Hamed and Roland Eghoghosoa Akhigbe
Molecules 2022, 27(16), 5073; https://doi.org/10.3390/molecules27165073 - 9 Aug 2022
Cited by 30 | Viewed by 3361
Abstract
Ethnopharmacological relevance: Oxidative stress is a key player in intestinal ischemia/reperfusion (I/R) injury (IIRI) with a tendency to trigger systemic inflammatory response, resulting in progressive distal organ injury. To date, the role of Bax/caspase 3 signaling in IIRI has not been reported. Furthermore, [...] Read more.
Ethnopharmacological relevance: Oxidative stress is a key player in intestinal ischemia/reperfusion (I/R) injury (IIRI) with a tendency to trigger systemic inflammatory response, resulting in progressive distal organ injury. To date, the role of Bax/caspase 3 signaling in IIRI has not been reported. Furthermore, the discovery of a safe and effective drug remains pertinent in improving the outcome of IIRI. Therefore, this study investigated the role of Bax/caspase 3 signaling in intestinal I/R-induced intestinal and hepatic injury. In addition, the protective effect and possible associated mechanism of action of methanolic Phyllanthus amarus leaf extract (PA) against intestinal I/R-induced intestinal and hepatic injury were evaluated. Materials and methods: Fifty male Wistar rats were randomized into five groups (n = 10). The sham-operated group was received 0.5 mL of distilled water for seven days prior to the sham surgery, while the IIRI, febuxostat (FEB) + IIRI, low-dose PA (LDPA) + IIRI, and high-dose PA (HDPA) + IIRI groups underwent the I/R procedure. In addition to the procedure, IIRI, FEB + IIRI, LDPA + IIRI, and HDPA + IIRI received 0.5 mL of distilled water, 10 mg/kg of febuxostat, 200 mg/kg of PA, and 400 mg/kg of PA, respectively, for seven days prior to the I/R procedure. Results: Administration of methanolic Phyllanthus amarus leaf extracts attenuated the intestinal I/R-induced rise in intestinal and hepatic injury markers, malondialdehyde, nitric oxide, TNF-α, IL-6, and myeloperoxidase activities. In addition, Phyllanthus amarus ameliorated I/R-induced suppression of reduced glutathione, thiol and non-thiol proteins, and superoxide dismutase, catalase, and glutathione peroxidase activities in intestinal and hepatic tissues. These were coupled with the suppression of I/R-induced bacterial translocation, downregulation of I/R-induced activation of Bax/caspase 3 signaling, and improvement of I/R-induced distortion of intestinal and hepatic histoarchitecture by Phyllanthus amarus. Conclusion: Methanolic Phyllanthus amarus leaf extract protects against intestinal and hepatic injuries associated with intestinal I/R by suppressing oxidative-stress-mediated activation of Bax/caspase 3 signaling. The beneficial effects of Phyllanthus amarus may be ascribed to its constituent bioactive molecules, especially tannins, anthocyanin, alkaloids, and phenolics. Full article
Show Figures

Figure 1

12 pages, 45620 KB  
Article
In Vitro Anti-Leptospiral Activity of Phyllanthus amarus Extracts and Their Combinations with Antibiotics
by Che Ain Munirah Ismail, Zakuan Zainy Deris, Ruzilawati Abu Bakar and Nabilah Ismail
Int. J. Environ. Res. Public Health 2021, 18(6), 2834; https://doi.org/10.3390/ijerph18062834 - 10 Mar 2021
Cited by 6 | Viewed by 4489
Abstract
Despite modern medicine, there is an increasing trend for cases of the bacterial infection leptospirosis, and this has led to the exploration of alternative medicines from various sources including plants. The aim of this study was to investigate the in vitro anti-leptospiral activity [...] Read more.
Despite modern medicine, there is an increasing trend for cases of the bacterial infection leptospirosis, and this has led to the exploration of alternative medicines from various sources including plants. The aim of this study was to investigate the in vitro anti-leptospiral activity of Phyllanthus amarus extracts alone and combined with penicillin G, ceftriaxone, and doxycycline. Antimicrobial susceptibility testing was performed using the microdilution broth technique upon methanol extract (ME), aqueous extract (AE), and antibiotics against the Leptospira interrogans serovars Australis, Bataviae, Canicola, and Javanica, to determine minimum inhibitory concentrations (MICs) and minimum bactericidal concentrations (MBCs). The results were analyzed using an ELISA microplate reader combined with microscopic analysis. Synergy testing using a checkerboard assay was performed to determine the fractional inhibitory concentration index values of extracts combined with antibiotics against leptospires. Scanning electron microscopy (SEM) was used to investigate morphological changes of leptospires caused by potential anti-leptospiral agents alone and combined with antibiotics. The MICs and MBCs for P. amarus extracts ranged from 100 to 400 µg/mL for AEs and from 400 to 800 µg/mL for MEs. Penicillin G was the most effective anti-leptospiral drug, with MICs and MBCs ranging from <0.01 to 0.78 and <0.01 to 3.13 µg/mL, respectively, followed by ceftriaxone, with both MICs and MBCs ranging from 0.05 to 0.78 µg/mL, and doxycycline, with MICs and MBCs ranging from 0.39 to 3.13 µg/mL and 12.5 to 25 µg/mL, respectively. Combinations of P. amarus extracts and antibiotics did not show synergistic effects on all tested Leptospira serovars, with some combinations demonstrating antagonistic effects. SEM analysis, however, showed distorted Leptospira surfaces. P. amarus AE performed better anti-leptospiral activity than P. amarus ME. The morphological effects of P. amarus extract alone and its combination with antibiotic on Leptospira cells revealed promising anti-leptospiral properties. Full article
Show Figures

Figure 1

16 pages, 2061 KB  
Article
Mechanistic Studies of the Antiallergic Activity of Phyllanthus amarus Schum. & Thonn. and Its Compounds
by Nur Zahirah Abd Rani, Kok Wai Lam, Juriyati Jalil, Hazni Falina Mohamad, Mohd Shukri Mat Ali and Khairana Husain
Molecules 2021, 26(3), 695; https://doi.org/10.3390/molecules26030695 - 28 Jan 2021
Cited by 20 | Viewed by 4538
Abstract
Phyllanthus amarus Schum. & Thonn. (Phyllanthaceae) is a medicinal plant that is commonly used to treat diseases such as asthma, diabetes, and anemia. This study aimed to examine the antiallergic activity of P. amarus extract and its compounds. The antiallergic activity was determined [...] Read more.
Phyllanthus amarus Schum. & Thonn. (Phyllanthaceae) is a medicinal plant that is commonly used to treat diseases such as asthma, diabetes, and anemia. This study aimed to examine the antiallergic activity of P. amarus extract and its compounds. The antiallergic activity was determined by measuring the concentration of allergy markers release from rat basophilic leukemia (RBL-2H3) cells with ketotifen fumarate as the positive control. As a result, P. amarus did not stabilize mast cell degranulation but exhibited antihistamine activity. The antihistamine activity was evaluated by conducting a competition radioligand binding assay on the histamine 1 receptor (H1R). Four compounds were identified from the high performance liquid chromatography (HPLC) analysis which were phyllanthin (1), hypophyllanthin (2), niranthin (3), and corilagin (4). To gain insights into the binding interactions of the most active compound hypophyllanthin (2), molecular docking was conducted and found that hypophyllanthin (2) exhibited favorable binding in the H1R binding site. In conclusion, P. amarus and hypophyllanthin (2) could potentially exhibit antiallergic activity by preventing the activation of the H1 receptor. Full article
(This article belongs to the Special Issue Natural Products: Isolation, Identification and Biological Activity)
Show Figures

Figure 1

15 pages, 2061 KB  
Article
In Vitro Calli Production Resulted in Different Profiles of Plant-Derived Medicinal Compounds in Phyllanthus amarus
by Maria Eduarda B. S. de Oliveira, Adilson Sartoratto and Jean Carlos Cardoso
Molecules 2020, 25(24), 5895; https://doi.org/10.3390/molecules25245895 - 12 Dec 2020
Cited by 13 | Viewed by 3643
Abstract
The efficient production of plant-derived medicinal compounds (PDMCs) from in vitro plants requires improvements in knowledge about control of plant or organ development and factors affecting the biosynthesis pathway of specific PDMCs under in vitro conditions, leading to a realistic large-scale tool for [...] Read more.
The efficient production of plant-derived medicinal compounds (PDMCs) from in vitro plants requires improvements in knowledge about control of plant or organ development and factors affecting the biosynthesis pathway of specific PDMCs under in vitro conditions, leading to a realistic large-scale tool for in vitro secondary metabolite production. Thus, this study aimed to develop an in vitro technique, through the induction and proliferation of calli, for production of plant fresh weight, and to compare the PDMC profile obtained from the plants versus in vitro calli of Phyllanthus amarus. It was successfully possible to obtain and proliferate two types of calli, one with a beige color and a friable appearance, obtained in the dark using Murashige and Skoog (MS) medium plus 2,4-dichlorophenoxyacetic acid (2,4-D), and a second type with a green color, rigid consistency, and nonfriable appearance obtained under light conditions and MS medium plus 6-benzyladenine (6-BA). In vitro micropropagated plants that gave rise to calli were also acclimatized in a greenhouse and cultivated until obtaining the mass for PDMC analysis and used as a control. While the micropropagated-derived plants concentrated the lignans niranthin, nirtetralin, and phyllanthin, the Phyllanthus amarus calli proliferated in vitro concentrated a completely different biochemical profile and synthesis of compounds, such as betulone, squalene, stigmasterol, and β-sitosterol, in addition to others not identified by GC-MS database. These results demonstrate the possibility of applying the calli in vitro from Phyllanthus amarus for production of important PDMCs unlike those obtained in cultures of differentiated tissues from field plants. Full article
Show Figures

Figure 1

15 pages, 3029 KB  
Article
Physicochemical Properties, Antioxidant and Cytotoxic Activities of Crude Extracts and Fractions from Phyllanthus amarus
by Van Tang Nguyen, Jennette A. Sakoff and Christopher J. Scarlett
Medicines 2017, 4(2), 42; https://doi.org/10.3390/medicines4020042 - 18 Jun 2017
Cited by 21 | Viewed by 8822
Abstract
Background: Phyllanthus amarus (P. amarus) has been used as a medicinal plant for the prevention and treatment of chronic ailments such as diabetes, hepatitis, and cancer. Methods: The physicochemical properties, antioxidant and cytotoxic activities of crude extracts and fractions from P. [...] Read more.
Background: Phyllanthus amarus (P. amarus) has been used as a medicinal plant for the prevention and treatment of chronic ailments such as diabetes, hepatitis, and cancer. Methods: The physicochemical properties, antioxidant and cytotoxic activities of crude extracts and fractions from P. amarus were determined using spectrophotometric method. Results: The P. amarus methanol (PAM) extract had lower levels of residual moisture (7.40%) and water activity (0.24) and higher contents of saponins, phenolics, flavonoids, and proanthocyanidins (1657.86 mg escin equivalents, 250.45 mg gallic acid equivalents, 274.73 mg rutin equivalents and 61.22 mg catechin equivalents per g dried extract, respectively) than those of the P. amarus water (PAW) extract. The antioxidant activity of PAM extract was significantly higher (p < 0.05) than that of the PAW extract, PAM fractions, and phyllanthin (known as a major compound in the P. amarus). Higher cytotoxic activity of PAM extract based on MTT assay on different cell lines including MiaPaCa-2 (pancreas), HT29 (colon), A2780 (ovarian), H460 (lung), A431 (skin), Du145 (prostate), BE2-C (neuroblastoma), MCF-7 (breast), MCF-10A (normal breast), and U87, SJ-G2, SMA (glioblastoma) was observed in comparison to the PAW extract and PAM fractions. The cytotoxic potential of the PAW extract (200 μg/mL), based on the CCK-8 assay on a pancreatic cancer cell line (MiaCaPa2) was significantly lower (p < 0.05) than those of gemcitabine (50 nM) and a saponin-enriched extract from quillajia bark at 200 μg/mL (a commercial product), but was significantly higher than that of phyllanthin at 2 μg/mL. Conclusions: The results achieved from this study reveal that the PA extracts are a potential source for the development of natural antioxidant products and/or novel anticancer drugs. Full article
(This article belongs to the Special Issue Herbal Medicines and Functional Foods)
Show Figures

Graphical abstract

13 pages, 1950 KB  
Article
Effect of Phyllanthus amarus Extract on 5-Fluorouracil-Induced Perturbations in Ribonucleotide and Deoxyribonucleotide Pools in HepG2 Cell Line
by Jian-Ru Guo, Qian-Qian Chen, Christopher Wai-Kei Lam, Cai-Yun Wang, Feng-Guo Xu, Bu-Ming Liu and Wei Zhang
Molecules 2016, 21(9), 1254; https://doi.org/10.3390/molecules21091254 - 20 Sep 2016
Cited by 7 | Viewed by 6349
Abstract
The aim of this study was to investigate the antitumor activities of Phyllanthus amarus (PHA) and its potential of herb–drug interactions with 5-Fluorouracil (5-FU). Cell viability, ribonucleotides (RNs) and deoxyribonucleotides (dRNs) levels, cell cycle distribution, and expression of thymidylate synthase (TS) and ribonucleotide [...] Read more.
The aim of this study was to investigate the antitumor activities of Phyllanthus amarus (PHA) and its potential of herb–drug interactions with 5-Fluorouracil (5-FU). Cell viability, ribonucleotides (RNs) and deoxyribonucleotides (dRNs) levels, cell cycle distribution, and expression of thymidylate synthase (TS) and ribonucleotide reductase (RR) proteins were measured with 3-(4,5-dimethylthiazol-2-yl)-2,5-diphenyltetrazolium bromide (MTT) assay, high performance liquid chromatography tandem mass spectrometry (HPLC/MS/MS) method, flow cytometry and Western blot analysis, respectively. Our standardized PHA extract showed toxicity to HepG2 cells at high concentrations after 72 h exposure and induced G2/M cell cycle arrest. Combined use of 5-FU with PHA resulted in significant decreases in ATP, CTP, GTP, UTP and dTTP levels, while AMP, CMP, GMP and dUMP levels increased significantly compared with use of 5-FU alone. Further, PHA could increase the role of cell cycle arrest at S phase induced by 5-FU. Although PHA alone had no direct impact on TS and RR, PHA could change the levels of RNs and dRNs when combined with 5-FU. This may be due to cell cycle arrest or regulation of key enzyme steps in intracellular RNs and dRNs metabolism. Full article
(This article belongs to the Collection Herbal Medicine Research)
Show Figures

Graphical abstract

10 pages, 955 KB  
Article
Cytotoxic Lignan from the Non-Transformed Root Culture of Phyllanthus amarus
by Barbara Sparzak, Mirosława Krauze-Baranowska, Anna Kawiak and Paweł Sowiński
Molecules 2015, 20(5), 7915-7924; https://doi.org/10.3390/molecules20057915 - 30 Apr 2015
Cited by 10 | Viewed by 6398
Abstract
A new lignan from the non-transformed root in vitro cultures of Phyllanthus amarus was isolated. The structure of the compound was established on the basis of one- and two-dimensional NMR, as well as mass spectrometry data, as 7'-oxocubebin dimethylether (1,4-bis(benzo[d][1,3]dioxol-5-yl)-2,3-bis(methoxymethyl)butan-1-on). The [...] Read more.
A new lignan from the non-transformed root in vitro cultures of Phyllanthus amarus was isolated. The structure of the compound was established on the basis of one- and two-dimensional NMR, as well as mass spectrometry data, as 7'-oxocubebin dimethylether (1,4-bis(benzo[d][1,3]dioxol-5-yl)-2,3-bis(methoxymethyl)butan-1-on). The non-transformed root cultures of P. amarus showed to be a selective source of this compound. The lignan revealed strong cytotoxic activity against HeLa cell line with an IC50 value of 3.8 µg/mL. Full article
(This article belongs to the Section Natural Products Chemistry)
Show Figures

Graphical abstract

12 pages, 437 KB  
Article
Anti-Quorum Sensing Activity of the Traditional Chinese Herb, Phyllanthus amarus
by Kumutha Priya, Wai-Fong Yin and Kok-Gan Chan
Sensors 2013, 13(11), 14558-14569; https://doi.org/10.3390/s131114558 - 28 Oct 2013
Cited by 42 | Viewed by 10131
Abstract
The discovery of quorum sensing in Proteobacteria and its function in regulating virulence determinants makes it an attractive alternative towards attenuation of bacterial pathogens. In this study, crude extracts of Phyllanthus amarus Schumach. & Thonn, a traditional Chinese herb, were screened for their [...] Read more.
The discovery of quorum sensing in Proteobacteria and its function in regulating virulence determinants makes it an attractive alternative towards attenuation of bacterial pathogens. In this study, crude extracts of Phyllanthus amarus Schumach. & Thonn, a traditional Chinese herb, were screened for their anti-quorum sensing properties through a series of bioassays. Only the methanolic extract of P. amarus exhibited anti-quorum sensing activity, whereby it interrupted the ability of Chromobacterium violaceum CVO26 to response towards exogenously supplied N-hexanoylhomoserine lactone and the extract reduced bioluminescence in E. coli [pSB401] and E. coli [pSB1075]. In addition to this, methanolic extract of P. amarus significantly inhibited selected quorum sensing-regulated virulence determinants of Pseudomonas aeruginosa PA01. Increasing concentrations of the methanolic extracts of P. amarus reduced swarming motility, pyocyanin production and P. aeruginosa PA01 lecA::lux expression. Our data suggest that P. amarus could be useful for attenuating pathogens and hence, more local traditional herbs should be screened for its anti-quorum sensing properties as their active compounds may serve as promising anti-pathogenic drugs. Full article
(This article belongs to the Section Biosensors)
Show Figures

Back to TopTop