Sign in to use this feature.

Years

Between: -

Subjects

remove_circle_outline
remove_circle_outline
remove_circle_outline
remove_circle_outline
remove_circle_outline
remove_circle_outline
remove_circle_outline
remove_circle_outline
remove_circle_outline

Journals

remove_circle_outline
remove_circle_outline
remove_circle_outline
remove_circle_outline
remove_circle_outline
remove_circle_outline
remove_circle_outline

Article Types

Countries / Regions

remove_circle_outline
remove_circle_outline
remove_circle_outline
remove_circle_outline
remove_circle_outline

Search Results (381)

Search Parameters:
Keywords = Merkel

Order results
Result details
Results per page
Select all
Export citation of selected articles as:
12 pages, 1898 KB  
Article
Molecular Characterization of Polyomavirus-Positive and Negative Merkel Cell Carcinoma
by Poorva Vaidya, Sharon Wu, Dave Bryant, Curtis J. Perry, Varsha Prakash, Emil Lou, Theresa Guo, Isaac Brownell, Sourat Darabi, Ling Gao, Farah Abdulla and Soo J. Park
Cancers 2025, 17(21), 3508; https://doi.org/10.3390/cancers17213508 (registering DOI) - 31 Oct 2025
Viewed by 55
Abstract
Background/Objectives: Immune checkpoint inhibitors (ICIs) are frontline treatment for advanced Merkel Cell Carcinoma (MCC), regardless of viral status. Frontline ICIs provide durable benefit to only half of patients, highlighting a need for alternative therapies. In this study, the objective is to leverage whole [...] Read more.
Background/Objectives: Immune checkpoint inhibitors (ICIs) are frontline treatment for advanced Merkel Cell Carcinoma (MCC), regardless of viral status. Frontline ICIs provide durable benefit to only half of patients, highlighting a need for alternative therapies. In this study, the objective is to leverage whole exome sequencing (WES) and transcriptome sequencing (WTS) to distinguish genomic alterations associated with ICI response. Investigate differential genomic alterations between virus-positive (VP) and virus-negative (VN)-MCC to identify novel therapeutic targets. Methods: A total of 95 MCC cases underwent WES and WTS. Utilizing computational pipelines applied to WES, we identified viral status and tumor mutational burden (TMB). RNA-seq data was used to characterize the immune microenvironment. Results: Of 95 MCC cases, 57 (60%) were VP-MCC and 38 (40%) were VN-MCC. Median TMB was higher in VN-MCC (27.5 vs. 1 Muts/Mb). Mutations in TP53, RB1, NOTCH1, KMTD2, KMT2C, and PIK3CA were primarily found in VN-MCC. MAPK Pathway Activity Score, NK cell infiltration, and the immune checkpoint gene CD276 in VN-MCC tumors were upregulated. No overall survival (OS) difference was identified between VP and VN-MCC, even after ICIs. Conclusions: MCC oncogenesis and treatment response transcend viral status. While mutational analysis confirms previous findings, assessment of the transcriptome and tumor microenvironment suggests alternate therapeutic targets. Full article
(This article belongs to the Special Issue Precision Oncology for Rare Skin Cancers)
Show Figures

Figure 1

10 pages, 2199 KB  
Case Report
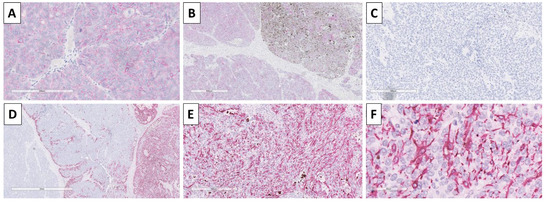
Melanotrichoblastic Carcinosarcoma: A Histopathological Case Report of a Previously Undescribed Nosological Unit
by George Stoyanov and Hristo Popov
Reports 2025, 8(4), 218; https://doi.org/10.3390/reports8040218 - 29 Oct 2025
Viewed by 187
Abstract
Background and Clinical Significance: Trichoblastomas and their variants are rare and underrecognized tumors, with their differential diagnosis being predominantly the much more common basal cell carcinoma. Variants of trichoblastoma, such as melanotrichoblastoma, and malignant counterparts, such as trichoblastic carcinoma and trichoblastic carcinosarcoma, [...] Read more.
Background and Clinical Significance: Trichoblastomas and their variants are rare and underrecognized tumors, with their differential diagnosis being predominantly the much more common basal cell carcinoma. Variants of trichoblastoma, such as melanotrichoblastoma, and malignant counterparts, such as trichoblastic carcinoma and trichoblastic carcinosarcoma, are also rare and probably further underrecognized. Case Presentation: Herein, we present the morphological findings of a tumor located on the right arm of an 86-year-old female patient. The tumor presented with a mixed morphology comprising malignant epithelial nests and retiform structures with focal keratinization and comedo-type necrosis, admixed with dendritic melanocytes, and it had a strikingly bizarre and hypercellular stroma. Immunohistochemistry was positive for BerEp4 in the epithelial nest, HMB-45 was positive only in dendritic melanocytes admixed in some of the nests, and CK20 showed a focal dot-like reaction in intermixed Merkel cells. The stroma was negative for epithelial and melanocytic markers; however, it also exhibited hypercellularity and a bizarre appearance, in addition to a high Ki-67 proliferative index, which further defined it as malignant. Based on the morphology and immunohistochemical profile, the tumor was defined as melanotrichoblastic carcinosarcoma—a previously undescribed nosological unit with unique morphology. Conclusions: Melanotrichoblastomas, as well as trichoblastic carcinosarcomas, are exceedingly rare and underrecognized tumors due to their mimicry of other, more common malignancies. The currently presented case, to the best of the authors’ knowledge, is the first reported one of melanotrichoblastic carcinosarcoma. Full article
Show Figures

Figure 1

19 pages, 6081 KB  
Article
Daylight Sonography: Clinical Relevance of Color-Tinted Ultrasound Imaging
by Christoph F. Dietrich, Matthias Wüstner, Christian Jenssen, Daniel Merkel and Jörg S. Bleck
Life 2025, 15(11), 1672; https://doi.org/10.3390/life15111672 - 27 Oct 2025
Viewed by 273
Abstract
Daylight sonography refers to the technique of using color-tinted, brightness and contrast-controlled B-mode ultrasound images optimized for well-lit environments. Originally introduced as Photopic (“Tageslichtsonographie”, Daylight sonography) by Siemens, this approach addresses the limitations of grayscale imaging under ambient light conditions. With the growing [...] Read more.
Daylight sonography refers to the technique of using color-tinted, brightness and contrast-controlled B-mode ultrasound images optimized for well-lit environments. Originally introduced as Photopic (“Tageslichtsonographie”, Daylight sonography) by Siemens, this approach addresses the limitations of grayscale imaging under ambient light conditions. With the growing emphasis on point-of-care ultrasound (POCUS) and mobile diagnostics, daylight-compatible imaging modes such as Photopic Mode have become increasingly relevant since they are performed under daylight conditions. This paper explores the technical background, visual physiology, clinical applications, implementation challenges, and future perspectives of daylight sonography, advocating for broader use and standardization. Standardization, further clinical validation, and integration with emerging technologies such as artificial intelligence (AI) are essential to fully realize the potential of daylight sonography in routine practice. Full article
(This article belongs to the Section Medical Research)
Show Figures

Figure 1

12 pages, 548 KB  
Article
The Prognostic Role of Para-Aortic Lymph Node Metastasis in Patients with Resected Pancreatic Adenocarcinoma
by Maximilian Brunner, Lena Kitzke, Anke Mittelstädt, Susanne Merkel, Georg F. Weber, Robert Grützmann and Christian Krautz
Cancers 2025, 17(21), 3418; https://doi.org/10.3390/cancers17213418 - 24 Oct 2025
Viewed by 198
Abstract
Background: This study aimed to evaluate the prognostic significance of para-aortic lymph node dissection (PALND) during pancreatic head resection and the impact of para-aortic lymph node metastasis (PALN+) on survival outcomes in patients with resected pancreatic ductal adenocarcinoma (PDAC). Methods: A retrospective analysis [...] Read more.
Background: This study aimed to evaluate the prognostic significance of para-aortic lymph node dissection (PALND) during pancreatic head resection and the impact of para-aortic lymph node metastasis (PALN+) on survival outcomes in patients with resected pancreatic ductal adenocarcinoma (PDAC). Methods: A retrospective analysis was conducted on 198 patients who underwent primary pancreatic head resection for PDAC at the University Hospital Erlangen between 2003 and 2022. Patients were stratified based on the presence or absence of PALND and PALN metastases, and their clinicopathological characteristics and survival outcomes were compared. Results: Of the 198 patients, 113 (57%) underwent additional PALND. PALND itself had no significant impact on overall survival (OS) or disease-free survival (DFS) compared to those without PALND. Among patients who underwent PALND, 17 (15%) had PALN metastases (PALN+). PALN+ patients exhibited significantly worse pathological features, including a higher rate of regional lymph node metastases (pN+), lymphovascular invasion (L1) and vascular invasion (V1). Survival analysis showed that PALN+ was associated with significantly poorer OS (8.7 vs. 29.3 months, p < 0.001) and DFS (3.8 vs. 17.0 months, p < 0.001). In multivariate analysis, PALN+ was confirmed as an independent prognostic factor for both OS (HR 1.9 [1.0–3.6], p = 0.035) and DFS (HR 2.2 [1.2–4.0], p = 0.006). Conclusions: While PALND does not impact survival outcomes in PDAC, it plays a crucial role in identifying PALN+ patients, who have significantly worse prognoses. PALN status should be integrated into clinical decision-making, particularly when considering intensified adjuvant therapy. Full article
(This article belongs to the Section Cancer Survivorship and Quality of Life)
Show Figures

Figure 1

14 pages, 2631 KB  
Article
Impact of UV Exposure and Incidence of Merkel Cell Carcinoma Between 1990 and 2018 in Austria
by Boban M. Erovic, Alois Schmalwieser, Rudolf Seemann, Florian Schwabel, Stefan Grasl, Stefan Janik and Matthaeus C. Grasl
Cancers 2025, 17(20), 3379; https://doi.org/10.3390/cancers17203379 - 20 Oct 2025
Viewed by 251
Abstract
Background: The purpose of this study was to report on (i) patients’ demographics and (ii) Austrian UV data, and (iii) to examine a possible association between UV exposure and the onset of disease in Austria between 1990 and 2018. Methods: We included all [...] Read more.
Background: The purpose of this study was to report on (i) patients’ demographics and (ii) Austrian UV data, and (iii) to examine a possible association between UV exposure and the onset of disease in Austria between 1990 and 2018. Methods: We included all patients diagnosed with MCC and their clinical and demographic data to compare with UV radiation. Results: A total of 538 cases were identified, and the incidence (per 100,000/y) increased from 0.013 to 0.43. The MCC incidence was significantly higher in West Austria (mean incidence 0.269 ± 0.04) compared to East Austria (0.180 ± 0.02 p = 0.005). Notably, the mean and maximum UV radiation values were higher in the western (p < 0.001) compared to the eastern part of Austria. The sum (p = 0.033; r: 0.503) and mean (p = 0.019; r: 0.546) UV values correlated significantly with the MCC incidence. Conclusions: The incidence of MCC increased significantly, and higher UV radiation levels in western Austria compared to the east were associated with a correspondingly higher MCC incidence, suggesting a contributing role of UV radiation in general. Full article
(This article belongs to the Section Cancer Survivorship and Quality of Life)
Show Figures

Figure 1

23 pages, 729 KB  
Review
Immune Checkpoint Inhibitors in Merkel Cell Carcinoma of the Skin: A 2025 Comprehensive Review
by Patricia Tai, Omar Alqaisi, Suhair Al-Ghabeesh, Lorent Sijarina, Edward Yu, Aoife Jones Thachuthara, Avi Assouline, Osama Souied, Kimberly Hagel and Kurian Joseph
Cancers 2025, 17(19), 3272; https://doi.org/10.3390/cancers17193272 - 9 Oct 2025
Viewed by 1500
Abstract
Objective: Merkel cell carcinoma (MCC) is a rare and aggressive form of skin cancer. Although immunotherapy has transformed MCC management, published data remain limited. This comprehensive review evaluates current evidence on immune checkpoint inhibitors (ICIs) in MCC, in relation to other treatment modalities [...] Read more.
Objective: Merkel cell carcinoma (MCC) is a rare and aggressive form of skin cancer. Although immunotherapy has transformed MCC management, published data remain limited. This comprehensive review evaluates current evidence on immune checkpoint inhibitors (ICIs) in MCC, in relation to other treatment modalities such as surgery and radiotherapy. Methods: Peer-reviewed articles published between January 2000 and August 2025 were searched manually in four databases: Scopus, ScienceDirect, PubMed and MEDLINE, using the keywords “Merkel cell carcinoma” AND “immunotherapy” AND “immune checkpoint inhibitors”. The Preferred Reporting Items for Systematic reviews and Meta-Analyses (PRISMA) methodology was employed. Results: ICIs can be given in different settings: (A) Neoadjuvant: The CheckMate 358 trial reported a 54.5% response rate among 33 radiologically evaluable patients treated with nivolumab, each showing over 30% tumor reduction. (B) Adjuvant: (1) The ADMEC-O phase II trial demonstrated improved disease-free survival with adjuvant nivolumab. (2) The ADAM phase III trial evaluates adjuvant avelumab in node-positive patients post-surgery/radiation, with common side effects including nausea, fatigue, and itching. (3) STAMP, a phase III trial, investigates pembrolizumab in stage I–III MCC. Both ADAM and STAMP have completed accrual and results are pending. (C) Primary therapy: KEYNOTE-017 and JAVELIN trials reported a 60% overall response rate and ~40% 3-year progression-free survival with first-line pembrolizumab or avelumab. Both agents also show promise as salvage therapies. Conclusions: ICIs demonstrate encouraging outcomes in MCC across various treatment stages. Continued research is essential to optimize treatment timing and integrate multimodal therapies. Full article
(This article belongs to the Special Issue Combination Immunotherapy for Cancer Treatment)
Show Figures

Figure 1

13 pages, 816 KB  
Article
Survival Outcomes in the Canadian Merkel Cell Carcinoma Population Between 2000 and 2018 and Descriptive Comparison with the American Joint Committee on Cancer 8th Edition Staging System—A Study from the Pan-Canadian Merkel Cell Collaborative
by Brittany Dingley, Megan Delisle, Anne Light, Sameer Apte, Ranjeeta Mallick, Trevor Hamilton, Heather Stuart, Martha Talbot, Gregory McKinnon, Evan Jost, Eva Thiboutot, Valerie Francescutti, Salsabila Samman, Alexandra M. Easson, Angela Schellenberg, Shaila Merchant, Julie La, Kaitlin Vanderbeck, Frances C. Wright, David Berger-Richardson, Pamela Hebbard, Olivia Hershorn, Rami Younan, Erica Patocskai, Samuel Rodriguez-Qizilbash, Ari Meguerditchian, Vanina Tchuente, Suzanne Kazandjian, Alex Mathieson, Farisa Hossain, Jessika Hetu, Stephanie Johnson-Obaseki and Carolyn Nessimadd Show full author list remove Hide full author list
Cancers 2025, 17(19), 3238; https://doi.org/10.3390/cancers17193238 - 6 Oct 2025
Viewed by 474
Abstract
Background/Objectives: Merkel cell carcinoma (MCC) is an uncommon but aggressive skin malignancy with a rising incidence. Limited data exist on the survival of MCC patients in Canada. This study analyzes the survival of patients diagnosed with MCC in Canada between 2000 and [...] Read more.
Background/Objectives: Merkel cell carcinoma (MCC) is an uncommon but aggressive skin malignancy with a rising incidence. Limited data exist on the survival of MCC patients in Canada. This study analyzes the survival of patients diagnosed with MCC in Canada between 2000 and 2018 compared to those reported by the American Joint Committee on Cancer (AJCC) 8th edition. Risk factors included in the database were sex, age, and immunosuppression. Methods: We conducted a multicenter retrospective cohort study including patients diagnosed with stage I–IV MCC aged ≥18 from 10 Canadian university centers and three provinces. We evaluated differences in survival compared to the cohort included in the AJCC 8th edition. Results: Among 899 patients diagnosed with MCC in Canada, 327 (36.4%) had stage I, 195 (21.7%) had stage II, 305 (33.9%) had stage III, and 72 (8.0%) had stage IV at presentation. When examining risk factors, 61.1% (549) were male, 10.2% (92) were immunosuppressed, and age at diagnosis was 75 years (±11). The five-year overall survival for patients diagnosed in Canada at stage I was 56.8%, stage IIA 54.0%, stage IIB 28.0%, stage IIIA 52.7%, stage IIIB 40.2%, and stage IV 13.9%. Conclusions: Survival from MCC is low in Canada across all stages. Compared to the AJCC 8th edition, patients diagnosed with MCC in Canada have similar survival rates, except for patients diagnosed with stage IIIB, who have lower survival rates in the AJCC 8th edition. Further research is needed to improve the survival of this rare malignancy. Full article
(This article belongs to the Special Issue Risk of Skin Cancer: Non-Melanoma/Melanoma)
Show Figures

Figure 1

29 pages, 1497 KB  
Review
Oncogenic Viruses in Organ Transplantation: Implications of Virus-Host Interactions for Cancer Development
by Seyed-Mahmood Seyed-Khorami, Arezou Azadi, Ala Habibian, Monireh Hosseini, Xiaofeng Fan, Hoorieh Soleimanjahi and Mahmoud Reza Pourkarim
Viruses 2025, 17(10), 1299; https://doi.org/10.3390/v17101299 - 25 Sep 2025
Viewed by 868
Abstract
Organ transplantation significantly enhances the survival and quality of life for recipients. However, multiple dependent and independent variables can adversely affect life expectancy after transplantation. Cancer is one of the most common causes of morbidity and mortality for long-term organ transplant recipients. The [...] Read more.
Organ transplantation significantly enhances the survival and quality of life for recipients. However, multiple dependent and independent variables can adversely affect life expectancy after transplantation. Cancer is one of the most common causes of morbidity and mortality for long-term organ transplant recipients. The incidence of cancer in transplanted tissues can be twice as high in approximately 32 distinct cancer types. Oncogenic viruses present in graft tissues may contribute to the etiology of various cancers in transplant recipients. Such oncogenic viruses include hepatitis viruses, papillomaviruses, Epstein–Barr virus, Kaposi’s sarcoma, Merkel cell virus, JC virus, BK virus, and human T-lymphotropic virus type 1, all of which have been associated with various malignancies in these patients. To mitigate this risk, a comprehensive viral screening protocol should be integrated into the transplantation process. Depending on the type of graft, diagnostic methods, control strategies, and post-transplantation care may vary considerably. To efficiently implement any strategy to inhibit viral oncogenicity, a comprehensive understanding of viral–host interactions involving oncogenic viruses within graft tissue is essential. The current view of tumor biology is that changes in the tumor microenvironment and immune signaling influence evolutionary selection pressures. Such interactions ultimately promote conditions that favor uncontrolled host–cell proliferation and malignant transformation. This review examines these viral–host interactions and their role in cancer development among transplant recipients. Full article
(This article belongs to the Section General Virology)
Show Figures

Figure 1

40 pages, 17153 KB  
Review
Immunotherapy of Oncovirus-Induced Cancers: A Review on the Development and Efficacy of Targeted Vaccines
by Chi Sing Ng
Vaccines 2025, 13(9), 911; https://doi.org/10.3390/vaccines13090911 - 27 Aug 2025
Viewed by 1120
Abstract
Background: A number of viruses are oncogenic. These include the human papilloma virus (HPV), Epstein–Barr virus (EBV), Kaposi sarcoma human herpes virus 2/human herpes virus 8 (KSHHV/HHV8), hepatitis B virus, (HBV), hepatitis C virus (HCV), Merkel cell polyoma virus (McPyV), and the human [...] Read more.
Background: A number of viruses are oncogenic. These include the human papilloma virus (HPV), Epstein–Barr virus (EBV), Kaposi sarcoma human herpes virus 2/human herpes virus 8 (KSHHV/HHV8), hepatitis B virus, (HBV), hepatitis C virus (HCV), Merkel cell polyoma virus (McPyV), and the human T-cell leukemia virus type 1 (HTLV-1). These viruses cause malignancies ranging from carcinomas, sarcomas, lymphomas, to leukemias. This review aims to study the effects and efficacy of vaccines against these viruses and the cancers they cause in their prevention and treatment. Methods: The literature in the past 30 years was searched employing Scopus and Google Scholar using the keywords “oncogenic viruses, HPV, EBV, KSHHV, HHV8, Polyoma virus, HTLV-1, COVID-19, carcinoma, sarcoma, lymphoma, leukemia, anti-virus vaccines”. Results: Prophylactic vaccines against the HPV and HBV are highly effective in preventing and reducing the incidence of uterine cervical and hepatocellular carcinomas. Prophylactic vaccines against other oncogenic viruses have been less successful, though efficacious in some experimental animals. Therapeutic vaccines are still mostly under evaluation and development. Conclusions: Identification of oncogenic viruses has rendered anti-viral vaccines conspicuous tools for preventing and treating cancers they cause. Many endeavors for the development of such vaccines have been met with limited success, apart from the very effective anti-HPV and anti-HBV vaccines in universal vaccination programs. With the development of new vaccine technologies, it is hoped that effective vaccines against other oncogenic viruses will be developed in the future. Full article
Show Figures

Graphical abstract

28 pages, 2367 KB  
Article
A Polyomavirus-Positive Merkel Cell Carcinoma Mouse Model Supports a Unified Origin for Somatic and Germ Cell Cancers
by Wendy Yang, Sara Contente and Sarah Rahman
Cancers 2025, 17(17), 2800; https://doi.org/10.3390/cancers17172800 - 27 Aug 2025
Viewed by 999
Abstract
Background/Objectives: The Germ Cell Theory of cancer posits that human primordial germ cells (hPGCs) are the cells of origin for malignancies. While this theory is well established for germ cell cancers, a germ cell origin for somatic cancers has been largely overlooked despite [...] Read more.
Background/Objectives: The Germ Cell Theory of cancer posits that human primordial germ cells (hPGCs) are the cells of origin for malignancies. While this theory is well established for germ cell cancers, a germ cell origin for somatic cancers has been largely overlooked despite clinical observations of malignant somatic transformation (MST), wherein germ cell cancers give rise to diverse somatic cancer phenotypes, often without additional mutations. Methods: To test the Germ Cell Theory experimentally in somatic cancer, we established a virus-driven MST model linking hPGC-like cells (hPGCLCs) to Merkel cell polyomavirus (MCPyV)-positive Merkel cell carcinoma (MCC), a highly aggressive somatic cancer with a germ cell cancer-like, low-mutation epigenetic profile. The MCPyV genome was transduced into human induced pluripotent stem cells (hiPSCs) or hPGC-like cells by lentiviral transfection, followed by xenotransplantation. Results: Virus-positive MCC (VP-MCC)-like tumors were consistently induced without additional oncogenic mutations. These tumors recapitulated VP-MCC’s high-grade neuroendocrine carcinoma histology and molecular profiles. DNA methylation analysis revealed near-complete global hypomethylation in VP-MCC-like tumors, matching the unique epigenetic state of late-stage hPGCs. Notably, pluripotent intermediates were neither necessary nor sufficient for MST; transformation required acquisition of a late-hPGC-like epigenetic state. Conclusions: This is the first MST model of a somatic cancer arising through an aberrant germline-to-soma transition. Our findings unify VP-MCC and germ cell cancer biology, challenge mutation- and soma-centric paradigms, and provide a tractable platform to investigate developmental and epigenetic mechanisms of oncogenesis. This MST model supports a unifying germ cell origin for both germ cell and non-germ cell somatic malignancies. Full article
Show Figures

Figure 1

17 pages, 4316 KB  
Article
A Lyophilizable Nanoparticle Anthrax Vaccine Targeting the Loop-Neutralizing Determinant in Protective Antigen from Bacillus anthracis
by Jon Oscherwitz, Kemp Cease, David Milich, Tod Merkel, Thomas Braun, Fen Yu and David C. Whitacre
Microorganisms 2025, 13(8), 1878; https://doi.org/10.3390/microorganisms13081878 - 12 Aug 2025
Viewed by 790
Abstract
Anthrax remains a formidable bioterrorism threat for which new, optimized and thermostable vaccines are needed. We previously demonstrated that five immunizations of rabbits with a multiple-antigenic-peptide (MAP) vaccine in either Freund’s adjuvant or human-use adjuvants can elicit antibody (Ab) against the loop-neutralizing determinant [...] Read more.
Anthrax remains a formidable bioterrorism threat for which new, optimized and thermostable vaccines are needed. We previously demonstrated that five immunizations of rabbits with a multiple-antigenic-peptide (MAP) vaccine in either Freund’s adjuvant or human-use adjuvants can elicit antibody (Ab) against the loop-neutralizing determinant (LND), a cryptic neutralizing epitope in the 2β2-2β3 loop of protective antigen from Bacillus anthracis (B. anthracis), which mediates complete protection of rabbits from inhalation spore challenge with the B. anthracis Ames strain. To develop a more immunogenic vaccine, we molecularly constructed a virus-like particle (VLP) vaccine, comprising the Woodchuck hepatitis core antigen capsid (WHcAg) displaying 240 copies of the LND epitope on each nanoparticle. Initial studies showed that the LND-VLP was immunogenic in rabbits following two immunizations, and passive transfer of the rabbit sera into A/J mice conferred complete protection from aerosol challenge with B. anthracis. Further optimization of the vaccine revealed that the lyophilized LND-VLP vaccine was capable of eliciting highly protective levels of neutralizing antibody with two immunizations, and in some rabbits, a single immunization, using human-use adjuvants. A lyophilized LND-VLP nanoparticle vaccine may be an effective stand-alone vaccine or may complement PA-based vaccines as a future pre- or post-exposure vaccine for anthrax. Full article
(This article belongs to the Section Molecular Microbiology and Immunology)
Show Figures

Figure 1

12 pages, 1447 KB  
Article
Increased Detection of Merkel Cell Polyomavirus in Non-Melanoma Skin Cancer and Its Association with Host Immunogenetic Profile
by Leonardo Ribeiro Alves de Souza, Camila Freze Baez, Thiago Rubim Bellott, Milena Siqueira Pereira, Marianna Tavares Venceslau Gonçalves, Maria Angelica Arpon Marandino Guimarães, Flávio Barbosa Luz and Rafael Brandão Varella
Dermato 2025, 5(3), 14; https://doi.org/10.3390/dermato5030014 - 7 Aug 2025
Viewed by 460
Abstract
Background: Merkel cell polyomavirus (MCPyV) has been established as an etiological agent in Merkel cell carcinoma (MCC), yet its role in other cutaneous neoplasms remains under investigation. The impact of the host’s immunogenetic characteristics on the persistence of Merkel cell polyomavirus (MCPyV) in [...] Read more.
Background: Merkel cell polyomavirus (MCPyV) has been established as an etiological agent in Merkel cell carcinoma (MCC), yet its role in other cutaneous neoplasms remains under investigation. The impact of the host’s immunogenetic characteristics on the persistence of Merkel cell polyomavirus (MCPyV) in non-melanoma skin cancer (NMSC) is not yet well understood. Objective: Our aim was to investigate the presence of MCPyV in various skin lesions, particularly NMSC, and its association with cytokine gene polymorphisms related to immune regulation. Methods: We analyzed 274 skin biopsies (lesional, perilesional, and healthy skin) from 84 patients undergoing dermatological evaluation. MCPyV DNA and polymorphisms in IL-6, IL-10, IFN-γ, and TNF-α genes were detected using PCR-based assays. Results: MCPyV was significantly more prevalent in NMSC and non-cancerous lesions than in surgical margins or healthy skin (p = 0.050 and 0.048, respectively). Concordance between lesion and margin samples was low (κ = 0.305), suggesting microenvironment-specific viral persistence. Notably, high-expression IL-10 genotypes (-1082 GG) and low-expression IL-6 genotypes (-174 AA) were significantly associated with MCPyV detection (p = 0.048 and p = 0.015, respectively). Conclusions: MCPyV preferentially localizes to NMSC lesions, particularly in individuals with immunogenetic profiles favoring viral persistence. Since the role of MCPyV in the pathogenesis of NMSC remains uncertain, our results highlight the need for further studies to clarify whether the lesion’s microenvironment supports viral persistence or indicates a more intricate interaction between the virus and the host, which could be significant for the development of skin cancer. Full article
Show Figures

Figure 1

17 pages, 5703 KB  
Review
IFN γ and the IFN γ Signaling Pathways in Merkel Cell Carcinoma
by Lina Song, Jinye Guan, Qunmei Zhou, Wenshang Liu, Jürgen C. Becker and Dan Deng
Cancers 2025, 17(15), 2547; https://doi.org/10.3390/cancers17152547 - 1 Aug 2025
Viewed by 955
Abstract
Recent preclinical and clinical studies have confirmed the essential role of interferons in the host’s immune response against malignant cells. Merkel cell carcinoma (MCC) is a rare, aggressive skin cancer strongly associated with Merkel cell polyomavirus (MCPyV). Despite progress in understanding MCC pathogenesis, [...] Read more.
Recent preclinical and clinical studies have confirmed the essential role of interferons in the host’s immune response against malignant cells. Merkel cell carcinoma (MCC) is a rare, aggressive skin cancer strongly associated with Merkel cell polyomavirus (MCPyV). Despite progress in understanding MCC pathogenesis, the role of innate immune signaling, particularly interferon-γ (IFN γ) and its downstream pathways, remains underexplored. This review summarizes recent findings on IFN-γ in MCC, highlighting its dual role in promoting both antitumor immunity and immune evasion. IFN-γ enhances cytotoxic T cell responses, upregulates MHC class I/II expression, and induces tumor cell apoptosis. Transcriptomic studies have shown that IFN-γ treatment upregulates immune-regulatory genes including PD-L1, HLA-A/B/C, and IDO1 by over threefold; it also activates APOBEC3B and 3G, contributing to antiviral defense and tumor editing. Clinically, immune checkpoint inhibitors (ICIs) such as pembrolizumab and avelumab yield objective response rates of 30–56% and two-year overall survival rates exceeding 60% in advanced MCC. However, approximately 50% of patients do not respond, in part due to IFN-γ signaling deficiencies. This review further discusses IFN-γ’s crosstalk with the STAT1/3/5 pathways and emerging combination strategies aimed at restoring immune sensitivity. Understanding these mechanisms may inform personalized immunotherapeutic approaches and guide the development of IFN-γ–based interventions in MCC. Full article
(This article belongs to the Special Issue Histopathology and Pathogenesis of Skin Cancer)
Show Figures

Figure 1

7 pages, 179 KB  
Opinion
Current Trends in Clinical Trials for Merkel Cell Carcinoma (MCC)
by Tilak Patel, Rachel Butz, Brian Boulmay and Vilija Vaitaitis
Cancers 2025, 17(14), 2340; https://doi.org/10.3390/cancers17142340 - 15 Jul 2025
Cited by 1 | Viewed by 2342
Abstract
Merkel cell carcinoma (MCC) is a rare, aggressive neuroendocrine cutaneous malignancy with high rates of recurrence and metastasis. The treatment of MCC has historically involved surgery, radiation, and chemotherapy; however, current clinical trials are investigating immunotherapies, intratumoral injections, and combination therapies to improve [...] Read more.
Merkel cell carcinoma (MCC) is a rare, aggressive neuroendocrine cutaneous malignancy with high rates of recurrence and metastasis. The treatment of MCC has historically involved surgery, radiation, and chemotherapy; however, current clinical trials are investigating immunotherapies, intratumoral injections, and combination therapies to improve outcomes. This review explores the current trends in clinical trials for MCC, highlighting recent advances in management. Full article
(This article belongs to the Special Issue Skin Cancers of the Head and Neck)
41 pages, 5261 KB  
Review
Merkel Cell Carcinoma: An Updated Review Focused on Bone and Bone Marrow Metastases
by Biagio Scotti, Elisabetta Broseghini, Costantino Ricci, Barbara Corti, Costanza Viola, Cosimo Misciali, Carlotta Baraldi, Sabina Vaccari, Martina Lambertini, Federico Venturi, Elisabetta Magnaterra, Aurora Alessandrini, Tiziano Ferrari, Massimo Lepri, Gabriele Argenziano, Barbara Melotti, Elena Campione, Davide Campana, Manuela Ferracin and Emi Dika
Cancers 2025, 17(13), 2253; https://doi.org/10.3390/cancers17132253 - 6 Jul 2025
Cited by 1 | Viewed by 2110
Abstract
Background/objectives: Despite advancements in early diagnosis and clinical practices guided by standardized care protocols, Merkel cell carcinoma (MCC) is marked by an unfavorable prognosis with a 5-year relative survival rate of 65%, based primarily on data collected prior to the introduction of immunotherapy. [...] Read more.
Background/objectives: Despite advancements in early diagnosis and clinical practices guided by standardized care protocols, Merkel cell carcinoma (MCC) is marked by an unfavorable prognosis with a 5-year relative survival rate of 65%, based primarily on data collected prior to the introduction of immunotherapy. Regional nodal metastases affect 40–50% of MCC patients, while approximately 33% experience distant dissemination. Among these, bone and bone marrow metastases are particularly notable, although the characteristics and clinical implications of this metastatic disease in MCC remain poorly understood. Methods: A comprehensive review was conducted using the Medline database (via PubMed) up to January 2025. The search strategy included the string “(Merkel cell carcinoma AND (bone OR marrow))”. Results: A total of 1133 (69.3% male and 30.7% female) patients diagnosed with advanced MCC were collected. The median (IQR) age at diagnosis was 67.5 (12.65) years old. Overall, 201 (20.8%) cases of bone and/or bone marrow metastases were identified and linked to a primary known MCC in 75.7% of cases. Bone metastases (BMs) appear as the third most common metastatic site, following the liver (second) and lymph nodes (first). They show mixed biological and radiological behavior, with a marked preference for the axial skeleton over the appendicular one. Addressing the characteristics of metastatic bone disease, neurological symptoms were the most documented, whereas bone marrow involvement and leukemic spread seemed to be primarily related to immunosuppression. Multimodal treatment strategies, including platinum-based chemotherapy and radiotherapy, were the primary approaches adopted, reflecting therapeutic practices from the pre-immunotherapy era. Conclusions: The pattern of metastatic spread in MCC differs among studies, with the bones resulting as the third most common site of distant spread. Excluding head and neck MCC, which seems to be more regularly associated with liver metastases, the relationship between the primary tumor site and the development of bone or bone marrow metastases appears inconsistent. Overall, BMs mostly correlated with advanced MCC stages and poorer survival outcomes, with a median overall survival (OS) of 8 months (range 12.75–4). The integration of international guidelines, evolving evidence from clinical trials, and the expanding role of immune checkpoint inhibitors (ICIs) will contribute to improving systemic disease control and enhance patient care. Full article
Show Figures

Figure 1

Back to TopTop