Sign in to use this feature.

Years

Between: -

Subjects

remove_circle_outline
remove_circle_outline
remove_circle_outline
remove_circle_outline
remove_circle_outline
remove_circle_outline

Journals

Article Types

Countries / Regions

Search Results (21)

Search Parameters:
Keywords = MLL-translocated leukemias

Order results
Result details
Results per page
Select all
Export citation of selected articles as:
11 pages, 578 KB  
Review
KMT2A Rearrangements in Leukemias: Molecular Aspects and Therapeutic Perspectives
by Luca Guarnera, Matteo D’Addona, Carlos Bravo-Perez and Valeria Visconte
Int. J. Mol. Sci. 2024, 25(16), 9023; https://doi.org/10.3390/ijms25169023 - 20 Aug 2024
Cited by 11 | Viewed by 8866 | Correction
Abstract
KMT2A (alias: mixed-lineage leukemia [MLL]) gene mapping on chromosome 11q23 encodes the lysine-specific histone N-methyltransferase 2A and promotes transcription by inducing an open chromatin conformation. Numerous genomic breakpoints within the KMT2A gene have been reported in young children and adults with [...] Read more.
KMT2A (alias: mixed-lineage leukemia [MLL]) gene mapping on chromosome 11q23 encodes the lysine-specific histone N-methyltransferase 2A and promotes transcription by inducing an open chromatin conformation. Numerous genomic breakpoints within the KMT2A gene have been reported in young children and adults with hematologic disorders and are present in up to 10% of acute leukemias. These rearrangements describe distinct features and worse prognosis depending on the fusion partner, characterized by chemotherapy resistance and high rates of relapse, with a progression-free survival of 30–40% and overall survival below 25%. Less intensive regimens are used in pediatric patients, while new combination therapies and targeted immunotherapeutic agents are being explored in adults. Beneficial therapeutic effects, and even cure, can be reached with hematopoietic stem cell transplantation, mainly in young children with dismal molecular lesions; however, delayed related toxicities represent a concern. Herein, we summarize the translocation partner genes and partial tandem duplications of the KMT2A gene, their molecular impact, clinical aspects, and novel targeted therapies. Full article
(This article belongs to the Special Issue Molecular Mechanism of Leukemia 2.0)
Show Figures

Figure 1

28 pages, 3679 KB  
Article
Design of Inhibitors That Target the Menin–Mixed-Lineage Leukemia Interaction
by Moses N. Arthur, Kristeen Bebla, Emmanuel Broni, Carolyn Ashley, Miriam Velazquez, Xianin Hua, Ravi Radhakrishnan, Samuel K. Kwofie and Whelton A. Miller
Computation 2024, 12(1), 3; https://doi.org/10.3390/computation12010003 - 27 Dec 2023
Cited by 8 | Viewed by 3722
Abstract
The prognosis of mixed-lineage leukemia (MLL) has remained a significant health concern, especially for infants. The minimal treatments available for this aggressive type of leukemia has been an ongoing problem. Chromosomal translocations of the KMT2A gene are known as MLL, which expresses MLL [...] Read more.
The prognosis of mixed-lineage leukemia (MLL) has remained a significant health concern, especially for infants. The minimal treatments available for this aggressive type of leukemia has been an ongoing problem. Chromosomal translocations of the KMT2A gene are known as MLL, which expresses MLL fusion proteins. A protein called menin is an important oncogenic cofactor for these MLL fusion proteins, thus providing a new avenue for treatments against this subset of acute leukemias. In this study, we report results using the structure-based drug design (SBDD) approach to discover potential novel MLL-mediated leukemia inhibitors from natural products against menin. The three-dimensional (3D) protein model was derived from Protein Databank (Protein ID: 4GQ4), and EasyModeller 4.0 and I-TASSER were used to fix missing residues during rebuilding. Out of the ten protein models generated (five from EasyModeller and I-TASSER each), one model was selected. The selected model demonstrated the most reasonable quality and had 75.5% of residues in the most favored regions, 18.3% of residues in additionally allowed regions, 3.3% of residues in generously allowed regions, and 2.9% of residues in disallowed regions. A ligand library containing 25,131 ligands from a Chinese database was virtually screened using AutoDock Vina, in addition to three known menin inhibitors. The top 10 compounds including ZINC000103526876, ZINC000095913861, ZINC000095912705, ZINC000085530497, ZINC000095912718, ZINC000070451048, ZINC000085530488, ZINC000095912706, ZINC000103580868, and ZINC000103584057 had binding energies of −11.0, −10.7, −10.6, −10.2, −10.2, −9.9, −9.9, −9.9, −9.9, and −9.9 kcal/mol, respectively. To confirm the stability of the menin–ligand complexes and the binding mechanisms, molecular dynamics simulations including molecular mechanics Poisson–Boltzmann surface area (MM/PBSA) computations were performed. The amino acid residues that were found to be potentially crucial in ligand binding included Phe243, Met283, Cys246, Tyr281, Ala247, Ser160, Asn287, Asp185, Ser183, Tyr328, Asn249, His186, Leu182, Ile248, and Pro250. MI-2-2 and PubChem CIDs 71777742 and 36294 were shown to possess anti-menin properties; thus, this justifies a need to experimentally determine the activity of the identified compounds. The compounds identified herein were found to have good pharmacological profiles and had negligible toxicity. Additionally, these compounds were predicted as antileukemic, antineoplastic, chemopreventive, and apoptotic agents. The 10 natural compounds can be further explored as potential novel agents for the effective treatment of MLL-mediated leukemia. Full article
(This article belongs to the Special Issue 10th Anniversary of Computation—Computational Biology)
Show Figures

Figure 1

10 pages, 264 KB  
Case Report
Donor Cell Acute Myeloid Leukemia after Hematopoietic Stem Cell Transplantation for Chronic Granulomatous Disease: A Case Report and Literature Review
by Giovanni Micheloni, Annalisa Frattini, Marta Donini, Stefano Dusi, Anna Leszl, Annamaria Di Meglio, Martina Pigazzi, Antonio Musio, Marco Zecca, Tommaso Mina, Marco Rabusin, Pamela Roccia, Paolo Bernasconi, Irene Dambruoso, Antonella Minelli, Giuseppe Montalbano, Francesco Acquati, Giovanni Porta, Roberto Valli and Francesco Pasquali
Genes 2023, 14(11), 2085; https://doi.org/10.3390/genes14112085 - 16 Nov 2023
Viewed by 2369
Abstract
The patient reported here underwent hematopoietic stem cell transplantation (HSCT) due to chronic granulomatous disease (CGD) caused by biallelic mutations of the NCF1 gene. Two years later, he developed AML, which was unexpected and was recognized via sex-mismatched chromosomes as deriving from the [...] Read more.
The patient reported here underwent hematopoietic stem cell transplantation (HSCT) due to chronic granulomatous disease (CGD) caused by biallelic mutations of the NCF1 gene. Two years later, he developed AML, which was unexpected and was recognized via sex-mismatched chromosomes as deriving from the donor cells; the patient was male, and the donor was his sister. Donor cell leukemia (DCL) is very rare, and it had never been reported in patients with CGD after HSCT. In the subsequent ten years, the AML relapsed three times and the patient underwent chemotherapy and three further HSCTs; donors were the same sister from the first HSCT, an unrelated donor, and his mother. The patient died during the third relapse. The DCL was characterized since onset by an acquired translocation between chromosomes 9 and 11, with a molecular rearrangement between the MLL and MLLT3 genes—a quite frequent cause of AML. In all of the relapses, the malignant clone had XX sex chromosomes and this rearrangement, thus indicating that it was always the original clone derived from the transplanted sister’s cells. It exhibited the ability to remain quiescent in the BM during repeated chemotherapy courses, remission periods and HSCT. The leukemic clone then acquired different additional anomalies during the ten years of follow-up, with cytogenetic results characterized both by anomalies frequent in AML and by different, non-recurrent changes. This type of cytogenetic course is uncommon in AML. Full article
(This article belongs to the Special Issue Genetic Basis of Leukemia)
28 pages, 12195 KB  
Article
Discovery, Structure–Activity Relationship and In Vitro Anticancer Activity of Small-Molecule Inhibitors of the Protein–Protein Interactions between AF9/ENL and AF4 or DOT1L
by Xin Li, Xiaowei Wu, Shenyou Nie, Jidong Zhao, Yuan Yao, Fangrui Wu, Chandra Bhushan Mishra, Md Ashraf-Uz-Zaman, Bala Krishna Moku and Yongcheng Song
Cancers 2023, 15(21), 5283; https://doi.org/10.3390/cancers15215283 - 3 Nov 2023
Cited by 3 | Viewed by 2255
Abstract
Chromosomal translocations involving the mixed lineage leukemia (MLL) gene cause 5–10% acute leukemias with poor clinical outcomes. Protein–protein interactions (PPI) between the most frequent MLL fusion partner proteins AF9/ENL and AF4 or histone methyltransferase DOT1L are drug targets for MLL-rearranged (MLL-r) leukemia. Several [...] Read more.
Chromosomal translocations involving the mixed lineage leukemia (MLL) gene cause 5–10% acute leukemias with poor clinical outcomes. Protein–protein interactions (PPI) between the most frequent MLL fusion partner proteins AF9/ENL and AF4 or histone methyltransferase DOT1L are drug targets for MLL-rearranged (MLL-r) leukemia. Several benzothiophene-carboxamide compounds were identified as novel inhibitors of these PPIs with IC50 values as low as 1.6 μM. Structure–activity relationship studies of 77 benzothiophene and related indole and benzofuran compounds show that a 4-piperidin-1-ylphenyl or 4-pyrrolidin-1-ylphenyl substituent is essential for the activity. The inhibitors suppressed expression of MLL target genes HoxA9, Meis1 and Myc, and selectively inhibited proliferation of MLL-r and other acute myeloid leukemia cells with EC50 values as low as 4.7 μM. These inhibitors are useful chemical probes for biological studies of AF9/ENL, as well as pharmacological leads for further drug development against MLL-r and other leukemias. Full article
(This article belongs to the Special Issue Advances in Anticancer Drugs and Pharmacotherapy of Cancer)
Show Figures

Figure 1

20 pages, 7795 KB  
Article
Uncovering NOTCH1 as a Promising Target in the Treatment of MLL-Rearranged Leukemia
by Jacqueline Fischer, Estelle Erkner, Rahel Fitzel, Pia Radszuweit, Hildegard Keppeler, Fulya Korkmaz, Giovanni Roti, Claudia Lengerke, Dominik Schneidawind and Corina Schneidawind
Int. J. Mol. Sci. 2023, 24(19), 14466; https://doi.org/10.3390/ijms241914466 - 23 Sep 2023
Cited by 3 | Viewed by 2447
Abstract
MLL rearrangement (MLLr) is responsible for the development of acute leukemias with poor outcomes. Therefore, new therapeutic approaches are urgently needed. The NOTCH1 pathway plays a critical role in the pathogenesis of many cancers including acute leukemia. Using a CRISPR/Cas9 MLL-AF4/-AF9 [...] Read more.
MLL rearrangement (MLLr) is responsible for the development of acute leukemias with poor outcomes. Therefore, new therapeutic approaches are urgently needed. The NOTCH1 pathway plays a critical role in the pathogenesis of many cancers including acute leukemia. Using a CRISPR/Cas9 MLL-AF4/-AF9 translocation model, the newly developed NOTCH1 inhibitor CAD204520 with less toxic side effects allowed us to unravel the impact of NOTCH1 as a pathogenic driver and potential therapeutic target in MLLr leukemia. RNA sequencing (RNA-seq) and RT-qPCR of our MLLr model and MLLr cell lines showed the NOTCH1 pathway was overexpressed and activated. Strikingly, we confirmed this elevated expression level in leukemia patients. We also demonstrated that CAD204520 treatment of MLLr cells significantly reduces NOTCH1 and its target genes as well as NOTCH1 receptor expression. This was not observed with a comparable cytarabine treatment, indicating the specificity of the small molecule. Accordingly, treatment with CAD204520 resulted in dose-dependent reduced proliferation and viability, increased apoptosis, and the induction of cell cycle arrest via the downregulation of MLL and NOTCH1 target genes. In conclusion, our findings uncover the oncogenic relevance of the NOTCH1 pathway in MLLr leukemia. Its inhibition leads to specific anti-leukemic effects and paves the way for further evaluation in clinical settings. Full article
(This article belongs to the Special Issue Novel Therapeutic Targets in Cancers 2.0)
Show Figures

Figure 1

19 pages, 4409 KB  
Article
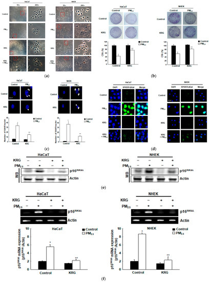
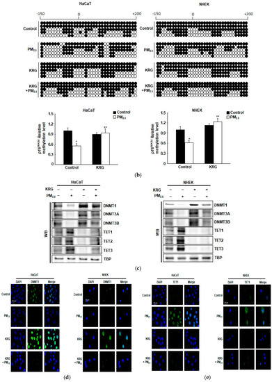
Korean Red Ginseng Attenuates Particulate Matter-Induced Senescence of Skin Keratinocytes
by Kyoung Ah Kang, Mei Jing Piao, Pincha Devage Sameera Madushan Fernando, Herath Mudiyanselage Udari Lakmini Herath, Joo Mi Yi and Jin Won Hyun
Antioxidants 2023, 12(8), 1516; https://doi.org/10.3390/antiox12081516 - 28 Jul 2023
Cited by 10 | Viewed by 2614
Abstract
Skin is a direct target of fine particulate matter (PM2.5), as it is constantly exposed. Herein, we investigate whether Korean red ginseng (KRG) can inhibit PM2.5-induced senescence in skin keratinocytes. PM2.5-treated human keratinocyte cell lines and normal [...] Read more.
Skin is a direct target of fine particulate matter (PM2.5), as it is constantly exposed. Herein, we investigate whether Korean red ginseng (KRG) can inhibit PM2.5-induced senescence in skin keratinocytes. PM2.5-treated human keratinocyte cell lines and normal human epidermal keratinocytes showed characteristics of cellular senescence, including flat and enlarged forms; however, KRG suppressed them in both cell types. Moreover, while cells exposed to PM2.5 showed a higher level of p16INK4A expression (a senescence inducer), KRG inhibited its expression. Epigenetically, KRG decreased the expression of the ten-eleven translocation (TET) enzyme, a DNA demethylase induced by PM2.5, and increased the expression of DNA methyltransferases suppressed by PM2.5, resulting in the decreased methylation of the p16INK4A promoter region. Additionally, KRG decreased the expression of mixed-lineage leukemia 1 (MLL1), a histone methyltransferase, and histone acetyltransferase 1 (HAT1) induced by PM2.5. Contrastingly, KRG increased the expression of the enhancer of zeste homolog 2, a histone methyltransferase, and histone deacetyltransferase 1 reduced by PM2.5. Furthermore, KRG decreased TET1, MLL1, and HAT1 binding to the p16INK4A promoter, corresponding with the decreased mRNA expression of p16INK4A. These results suggest that KRG exerts protection against the PM2.5-induced senescence of skin keratinocytes via the epigenetic regulation of p16INK4A. Full article
Show Figures

Graphical abstract

19 pages, 6180 KB  
Article
Hematopoietic Stem Cell (HSC)-Independent Progenitors Are Susceptible to Mll-Af9-Induced Leukemic Transformation
by Cristiana Barone, Roberto Orsenigo, Anna Cazzola, Elisabetta D’Errico, Arianna Patelli, Giulia Quattrini, Barbara Vergani, Silvia Bombelli, Sofia De Marco, Cristina D’Orlando, Cristina Bianchi, Biagio Eugenio Leone, Raffaella Meneveri, Andrea Biondi, Giovanni Cazzaniga, Terence Howard Rabbitts, Silvia Brunelli and Emanuele Azzoni
Cancers 2023, 15(14), 3624; https://doi.org/10.3390/cancers15143624 - 14 Jul 2023
Cited by 4 | Viewed by 3464
Abstract
Infant acute myeloid leukemia (AML) is a heterogeneous disease, genetically distinct from its adult counterpart. Chromosomal translocations involving the KMT2A gene (MLL) are especially common in affected infants of less than 1 year of age, and are associated with a dismal [...] Read more.
Infant acute myeloid leukemia (AML) is a heterogeneous disease, genetically distinct from its adult counterpart. Chromosomal translocations involving the KMT2A gene (MLL) are especially common in affected infants of less than 1 year of age, and are associated with a dismal prognosis. While these rearrangements are likely to arise in utero, the cell of origin has not been conclusively identified. This knowledge could lead to a better understanding of the biology of the disease and support the identification of new therapeutic vulnerabilities. Over the last few years, important progress in understanding the dynamics of fetal hematopoiesis has been made. Several reports have highlighted how hematopoietic stem cells (HSC) provide little contribution to fetal hematopoiesis, which is instead largely sustained by HSC-independent progenitors. Here, we used conditional Cre-Lox transgenic mouse models to engineer the Mll-Af9 translocation in defined subsets of embryonic hematopoietic progenitors. We show that embryonic hematopoiesis is generally permissive for Mll-Af9-induced leukemic transformation. Surprisingly, the selective introduction of Mll-Af9 in HSC-independent progenitors generated a transplantable myeloid leukemia, whereas it did not when introduced in embryonic HSC-derived cells. Ex vivo engineering of the Mll-Af9 rearrangement in HSC-independent progenitors using a CRISPR/Cas9-based approach resulted in the activation of an aberrant myeloid-biased self-renewal program. Overall, our results demonstrate that HSC-independent hematopoietic progenitors represent a permissive environment for Mll-Af9-induced leukemic transformation, and can likely act as cells of origin of infant AML. Full article
Show Figures

Figure 1

18 pages, 1835 KB  
Review
Updates in KMT2A Gene Rearrangement in Pediatric Acute Lymphoblastic Leukemia
by Mateusz Górecki, Ilona Kozioł, Agnieszka Kopystecka, Julia Budzyńska, Joanna Zawitkowska and Monika Lejman
Biomedicines 2023, 11(3), 821; https://doi.org/10.3390/biomedicines11030821 - 8 Mar 2023
Cited by 38 | Viewed by 10523
Abstract
The KMT2A (formerly MLL) encodes the histone lysine-specific N-methyltransferase 2A and is mapped on chromosome 11q23. KMT2A is a frequent target for recurrent translocations in acute myeloid leukemia (AML), acute lymphoblastic leukemia (ALL), or mixed lineage (biphenotypic) leukemia (MLL). Over 90 KMT2A [...] Read more.
The KMT2A (formerly MLL) encodes the histone lysine-specific N-methyltransferase 2A and is mapped on chromosome 11q23. KMT2A is a frequent target for recurrent translocations in acute myeloid leukemia (AML), acute lymphoblastic leukemia (ALL), or mixed lineage (biphenotypic) leukemia (MLL). Over 90 KMT2A fusion partners have been identified until now, including the most recurring ones—AFF1, MLLT1, and MLLT3—which encode proteins regulating epigenetic mechanisms. The presence of distinct KMT2A rearrangements is an independent dismal prognostic factor, while very few KMT2A rearrangements display either a good or intermediate outcome. KMT2A-rearranged (KMT2A-r) ALL affects more than 70% of new ALL diagnoses in infants (<1 year of age), 5–6% of pediatric cases, and 15% of adult cases. KMT2A-rearranged (KMT2A-r) ALL is characterized by hyperleukocytosis, a relatively high incidence of central nervous system (CNS) involvement, an aggressive course with early relapse, and early relapses resulting in poor prognosis. The exact pathways of fusions and the effects on the final phenotypic activity of the disease are still subjects of much research. Future trials could consider the inclusion of targeted immunotherapeutic agents and prioritize the identification of prognostic factors, allowing for the less intensive treatment of some infants with KMT2A ALL. The aim of this review is to summarize our knowledge and present current insight into the mechanisms of KMT2A-r ALL, portray their characteristics, discuss the clinical outcome along with risk stratification, and present novel therapeutic strategies. Full article
(This article belongs to the Special Issue State-of-the-Art Cell Biology and Pathology in Poland)
Show Figures

Figure 1

17 pages, 1272 KB  
Review
Viewing AML through a New Lens: Technological Advances in the Study of Epigenetic Regulation
by Laura C. Godfrey and Alba Rodriguez-Meira
Cancers 2022, 14(23), 5989; https://doi.org/10.3390/cancers14235989 - 4 Dec 2022
Cited by 6 | Viewed by 4556
Abstract
Epigenetic modifications, such as histone modifications and DNA methylation, are essential for ensuring the dynamic control of gene regulation in every cell type. These modifications are associated with gene activation or repression, depending on the genomic context and specific type of modification. In [...] Read more.
Epigenetic modifications, such as histone modifications and DNA methylation, are essential for ensuring the dynamic control of gene regulation in every cell type. These modifications are associated with gene activation or repression, depending on the genomic context and specific type of modification. In both cases, they are deposited and removed by epigenetic modifier proteins. In acute myeloid leukemia (AML), the function of these proteins is perturbed through genetic mutations (i.e., in the DNA methylation machinery) or translocations (i.e., MLL-rearrangements) arising during leukemogenesis. This can lead to an imbalance in the epigenomic landscape, which drives aberrant gene expression patterns. New technological advances, such as CRISPR editing, are now being used to precisely model genetic mutations and chromosomal translocations. In addition, high-precision epigenomic editing using dCas9 or CRISPR base editing are being used to investigate the function of epigenetic mechanisms in gene regulation. To interrogate these mechanisms at higher resolution, advances in single-cell techniques have begun to highlight the heterogeneity of epigenomic landscapes and how these impact on gene expression within different AML populations in individual cells. Combined, these technologies provide a new lens through which to study the role of epigenetic modifications in normal hematopoiesis and how the underlying mechanisms can be hijacked in the context of malignancies such as AML. Full article
(This article belongs to the Special Issue Multi-Faceted Epigenetic Dysregulation in Acute Myeloid Leukemia)
Show Figures

Figure 1

12 pages, 795 KB  
Communication
Genomic Landscape of Mixed-Phenotype Acute Leukemia
by Marah Hennawi, Nagehan Pakasticali, Hammad Tashkandi and Mohammad Hussaini
Int. J. Mol. Sci. 2022, 23(19), 11259; https://doi.org/10.3390/ijms231911259 - 24 Sep 2022
Cited by 16 | Viewed by 5321
Abstract
Mixed-phenotype leukemia (MPAL) is a type of acute leukemia in which the blast population shows mixed features of myeloid, T-lymphoid, and/or B-lymphoid differentiation. MPALs are rare and carry a poor prognosis, thus, often pose both a diagnostic and therapeutic challenge. Conventionally, the diagnosis [...] Read more.
Mixed-phenotype leukemia (MPAL) is a type of acute leukemia in which the blast population shows mixed features of myeloid, T-lymphoid, and/or B-lymphoid differentiation. MPALs are rare and carry a poor prognosis, thus, often pose both a diagnostic and therapeutic challenge. Conventionally, the diagnosis of MPAL requires either a single blast population with a lineage-defining phenotypic expression of multiple lineages (myeloid, B-cell and/or T-cell) (biphenotypic) or two distinct blast populations that each independently satisfy criteria for designation as AML, B-ALL, and/or T-ALL (bilineage). Given the rarity of MPAL, minimal studies have been performed to describe the genomic landscape of these neoplasms. IRB approval was obtained. Central MCC database was searched for any patient with a diagnosis of acute undifferentiated leukemia (AUL), acute leukemia of ambiguous lineage (ALAL), and MPAL. All patient diagnoses were manually reviewed by a hematopathologist to confirm the diagnosis of MPAL. Genomic and molecular data were collated from the EMR and bioinformatically from MCC genomics repositories. Twenty-eight patients with MPAL were identified. Thirteen were female and 15 were male. Average age was 56 years old (range = 28–81). Ten cases were biclonal and 18 were biphenotypic. Diagnoses were as follows: B/myeloid (n = 18), T/myeloid (n = 9), and T/B (n = 1). Cytogenetic analysis (Karyotype +/− FISH) was available for 27 patients. The most frequent recurrent abnormalities were complex karyotype (n = 8), BCR/ABL1 translocation (n = 6), Del 5q/−5 (n = 4), Polysomy 21 (n = 4). Mutational analysis was available for 18 patients wherein mutations were detected in 45 unique genes. The most frequently mutated genes were TP53 (7), RUNX1 (6), WT1 (4), MLL2 (3), FLT3 (3), CBL (2), ASXL1 (2), TET2 (2), MAP3K6 (2), MLL (2), and MAP3K1 (2). Targetable or potentially targetable biomarkers were found in 56% of cases. Overall survival was 19.5 months (range = 0–70 m). Ten patients were treated with an allogeneic stem cell transplant and had superior outcome (p = 0.0013). In one the largest series of MPAL cases to date, we corroborate previous findings with enriched detection of RUNX1 and FLT3–ITD mutations along with discovery of unreported mutations (MAP3K) that may be amenable to therapeutic manipulation. We also report the frequent occurrence of AML with MDS-related changes (AML-MRC)-defining cytogenetic abnormalities (26%). Finally, we show that those patients that received stem cell transplant had a better overall survival. Our findings support the need to genomically profile MPAL cases to exploit opportunities for targeted therapies in this orphan disease with dismal prognosis. Full article
(This article belongs to the Special Issue Cellular and Molecular Mechanisms of Lymphomas and Leukemia)
Show Figures

Figure 1

15 pages, 3640 KB  
Article
Recurrent Translocations in Topoisomerase Inhibitor-Related Leukemia Are Determined by the Features of DNA Breaks Rather Than by the Proximity of the Translocating Genes
by Nikolai A. Lomov, Vladimir S. Viushkov, Sergey V. Ulianov, Alexey A. Gavrilov, Daniil A. Alexeyevsky, Artem V. Artemov, Sergey V. Razin and Mikhail A. Rubtsov
Int. J. Mol. Sci. 2022, 23(17), 9824; https://doi.org/10.3390/ijms23179824 - 29 Aug 2022
Cited by 6 | Viewed by 3554
Abstract
Topoisomerase inhibitors are widely used in cancer chemotherapy. However, one of the potential long-term adverse effects of such therapy is acute leukemia. A key feature of such therapy-induced acute myeloid leukemia (t-AML) is recurrent chromosomal translocations involving AML1 (RUNX1) or MLL (KMT2A) genes. [...] Read more.
Topoisomerase inhibitors are widely used in cancer chemotherapy. However, one of the potential long-term adverse effects of such therapy is acute leukemia. A key feature of such therapy-induced acute myeloid leukemia (t-AML) is recurrent chromosomal translocations involving AML1 (RUNX1) or MLL (KMT2A) genes. The formation of chromosomal translocation depends on the spatial proximity of translocation partners and the mobility of the DNA ends. It is unclear which of these two factors might be decisive for recurrent t-AML translocations. Here, we used fluorescence in situ hybridization (FISH) and chromosome conformation capture followed by sequencing (4C-seq) to investigate double-strand DNA break formation and the mobility of broken ends upon etoposide treatment, as well as contacts between translocation partner genes. We detected the separation of the parts of the broken AML1 gene, as well as the increased mobility of these separated parts. 4C-seq analysis showed no evident contacts of AML1 and MLL with loci, implicated in recurrent t-AML translocations, either before or after etoposide treatment. We suggest that separation of the break ends and their increased non-targeted mobility—but not spatial predisposition of the rearrangement partners—plays a major role in the formation of these translocations. Full article
(This article belongs to the Special Issue State-of-the-Art Molecular Genetics and Genomics in Russia)
Show Figures

Graphical abstract

32 pages, 6255 KB  
Article
The Impact of Exosomes/Microvesicles Derived from Myeloid Dendritic Cells Cultured in the Presence of Calcitriol and Tacalcitol on Acute B-Cell Precursor Cell Lines with MLL Fusion Gene
by Eliza Turlej, Tomasz Marek Goszczyński, Marek Drab, Beata Orzechowska, Magdalena Maciejewska, Joanna Banach and Joanna Wietrzyk
J. Clin. Med. 2022, 11(8), 2224; https://doi.org/10.3390/jcm11082224 - 15 Apr 2022
Cited by 3 | Viewed by 2738
Abstract
Vitamin D analogs (VDAs) may directly inhibit the growth of normal and malignant (derived from acute lymphoblastic leukemia (ALL)) B cells, as both types of cells express vitamin D receptor (VDR). We performed anti-proliferative, morphology tests and phenotyping to evaluate the sensitivity of [...] Read more.
Vitamin D analogs (VDAs) may directly inhibit the growth of normal and malignant (derived from acute lymphoblastic leukemia (ALL)) B cells, as both types of cells express vitamin D receptor (VDR). We performed anti-proliferative, morphology tests and phenotyping to evaluate the sensitivity of monocytes and iDCs (immature myeloid-derived dendritic cells) on calcitriol and tacalcitol treatment, phenotyping, morphology, and size distribution measurement to determine the characteristics of microvesicles (MVs) and exosomes (EXs) derived from them and, finally, phenotyping and Elisa test to determine the effects of VDAs on modulation of the phenotype of B cells through extracellular vesicles (EVs) released by iDCs. Our results confirmed that both SC cells and iDCs were sensitive to the VDAs and showed altered surface expression of markers associated with monocyte differentiation, which was resulting in the phenotypic changes in EVs derived from them. We also showed that obtained EVs could change the morphology and phenotype of ALL-B-derived precursor cells in a different way, depending on their origin. The differential effect of VDAs on ALL-B cells, which was associated with increased or decreased expression of CD27, CD24, CD38, and CD23 expression, was observed. Hence, further studies to explain the modulation in the composition of EVs by VDAs are required. Full article
(This article belongs to the Section Hematology)
Show Figures

Figure 1

23 pages, 6288 KB  
Article
ZNF521 Enhances MLL-AF9-Dependent Hematopoietic Stem Cell Transformation in Acute Myeloid Leukemias by Altering the Gene Expression Landscape
by Emanuela Chiarella, Annamaria Aloisio, Stefania Scicchitano, Katia Todoerti, Emanuela G. Cosentino, Daniela Lico, Antonino Neri, Nicola Amodio, Heather Mandy Bond and Maria Mesuraca
Int. J. Mol. Sci. 2021, 22(19), 10814; https://doi.org/10.3390/ijms221910814 - 6 Oct 2021
Cited by 14 | Viewed by 4171
Abstract
Leukemias derived from the MLL-AF9 rearrangement rely on dysfunctional transcriptional networks. ZNF521, a transcription co-factor implicated in the control of hematopoiesis, has been proposed to sustain leukemic transformation in collaboration with other oncogenes. Here, we demonstrate that ZNF521 mRNA levels correlate with specific [...] Read more.
Leukemias derived from the MLL-AF9 rearrangement rely on dysfunctional transcriptional networks. ZNF521, a transcription co-factor implicated in the control of hematopoiesis, has been proposed to sustain leukemic transformation in collaboration with other oncogenes. Here, we demonstrate that ZNF521 mRNA levels correlate with specific genetic aberrations: in particular, the highest expression is observed in AMLs bearing MLL rearrangements, while the lowest is detected in AMLs with FLT3-ITD, NPM1, or CEBPα double mutations. In cord blood-derived CD34+ cells, enforced expression of ZNF521 provides a significant proliferative advantage and enhances MLL-AF9 effects on the induction of proliferation and the expansion of leukemic progenitor cells. Transcriptome analysis of primary CD34+ cultures displayed subsets of genes up-regulated by MLL-AF9 or ZNF521 single transgene overexpression as well as in MLL-AF9/ZNF521 combinations, at either the early or late time points of an in vitro leukemogenesis model. The silencing of ZNF521 in the MLL-AF9 + THP-1 cell line coherently results in an impairment of growth and clonogenicity, recapitulating the effects observed in primary cells. Taken together, these results underscore a role for ZNF521 in sustaining the self-renewal of the immature AML compartment, most likely through the perturbation of the gene expression landscape, which ultimately favors the expansion of MLL-AF9-transformed leukemic clones. Full article
(This article belongs to the Special Issue Zinc-Finger Proteins in Health and Disease)
Show Figures

Figure 1

15 pages, 2582 KB  
Article
Irinotecan Induces Disease Remission in Xenograft Mouse Models of Pediatric MLL-Rearranged Acute Lymphoblastic Leukemia
by Mark Kerstjens, Patricia Garrido Castro, Sandra S. Pinhanços, Pauline Schneider, Priscilla Wander, Rob Pieters and Ronald W. Stam
Biomedicines 2021, 9(7), 711; https://doi.org/10.3390/biomedicines9070711 - 23 Jun 2021
Cited by 4 | Viewed by 3319
Abstract
Acute lymphoblastic leukemia (ALL) in infants (<1 year of age) remains one of the most aggressive types of childhood hematologic malignancy. The majority (~80%) of infant ALL cases are characterized by chromosomal translocations involving the MLL (or KMT2A) gene, which confer highly [...] Read more.
Acute lymphoblastic leukemia (ALL) in infants (<1 year of age) remains one of the most aggressive types of childhood hematologic malignancy. The majority (~80%) of infant ALL cases are characterized by chromosomal translocations involving the MLL (or KMT2A) gene, which confer highly dismal prognoses on current combination chemotherapeutic regimens. Hence, more adequate therapeutic strategies are urgently needed. To expedite clinical transition of potentially effective therapeutics, we here applied a drug repurposing approach by performing in vitro drug screens of (mostly) clinically approved drugs on a variety of human ALL cell line models. Out of 3685 compounds tested, the alkaloid drug Camptothecin (CPT) and its derivatives 10-Hydroxycamtothecin (10-HCPT) and 7-Ethyl-10-hydroxycamtothecin (SN-38: the active metabolite of the drug Irinotecan) appeared most effective at very low nanomolar concentrations in all ALL cell lines, including models of MLL-rearranged ALL (n = 3). Although the observed in vitro anti-leukemic effects of Camptothecin and its derivatives certainly were not specific to MLL-rearranged ALL, we decided to further focus on this highly aggressive type of leukemia. Given that Irinotecan (the pro-drug of SN-38) has been increasingly used for the treatment of various pediatric solid tumors, we specifically chose this agent for further pre-clinical evaluation in pediatric MLL-rearranged ALL. Interestingly, shortly after engraftment, Irinotecan completely blocked leukemia expansion in mouse xenografts of a pediatric MLL-rearranged ALL cell line, as well as in two patient-derived xenograft (PDX) models of MLL-rearranged infant ALL. Also, from a more clinically relevant perspective, Irinotecan monotherapy was able to induce sustainable disease remissions in MLL-rearranged ALL xenotransplanted mice burdened with advanced leukemia. Taken together, our data demonstrate that Irinotecan exerts highly potent anti-leukemia effects against pediatric MLL-rearranged ALL, and likely against other, more favorable subtypes of childhood ALL as well. Full article
(This article belongs to the Special Issue Cellular and Immunotherapy for Acute Lymphoblastic Leukemia)
Show Figures

Figure 1

16 pages, 14513 KB  
Article
Nuclear FGFR2 Interacts with the MLL-AF4 Oncogenic Chimera and Positively Regulates HOXA9 Gene Expression in t(4;11) Leukemia Cells
by Tiziana Fioretti, Armando Cevenini, Mariateresa Zanobio, Maddalena Raia, Daniela Sarnataro, Fabio Cattaneo, Rosario Ammendola and Gabriella Esposito
Int. J. Mol. Sci. 2021, 22(9), 4623; https://doi.org/10.3390/ijms22094623 - 28 Apr 2021
Cited by 7 | Viewed by 3085
Abstract
The chromosomal translocation t(4;11) marks an infant acute lymphoblastic leukemia associated with dismal prognosis. This rearrangement leads to the synthesis of the MLL-AF4 chimera, which exerts its oncogenic activity by upregulating transcription of genes involved in hematopoietic differentiation. Crucial for chimera’s aberrant activity [...] Read more.
The chromosomal translocation t(4;11) marks an infant acute lymphoblastic leukemia associated with dismal prognosis. This rearrangement leads to the synthesis of the MLL-AF4 chimera, which exerts its oncogenic activity by upregulating transcription of genes involved in hematopoietic differentiation. Crucial for chimera’s aberrant activity is the recruitment of the AF4/ENL/P-TEFb protein complex. Interestingly, a molecular interactor of AF4 is fibroblast growth factor receptor 2 (FGFR2). We herein analyze the role of FGFR2 in the context of leukemia using t(4;11) leukemia cell lines. We revealed the interaction between MLL-AF4 and FGFR2 by immunoprecipitation, western blot, and immunofluorescence experiments; we also tested the effects of FGFR2 knockdown, FGFR2 inhibition, and FGFR2 stimulation on the expression of the main MLL-AF4 target genes, i.e., HOXA9 and MEIS1. Our results show that FGFR2 and MLL-AF4 interact in the nucleus of leukemia cells and that FGFR2 knockdown, which is associated with decreased expression of HOXA9 and MEIS1, impairs the binding of MLL-AF4 to the HOXA9 promoter. We also show that stimulation of leukemia cells with FGF2 increases nuclear level of FGFR2 in its phosphorylated form, as well as HOXA9 and MEIS1 expression. In contrast, preincubation with the ATP-mimetic inhibitor PD173074, before FGF2 stimulation, reduced FGFR2 nuclear amount and HOXA9 and MEIS1 transcript level, thereby indicating that MLL-AF4 aberrant activity depends on the nuclear availability of FGFR2. Overall, our study identifies FGFR2 as a new and promising therapeutic target in t(4;11) leukemia. Full article
(This article belongs to the Special Issue Targeted Cancer Therapy and Mechanisms of Resistance)
Show Figures

Figure 1

Back to TopTop