Sign in to use this feature.

Years

Between: -

Subjects

remove_circle_outline
remove_circle_outline
remove_circle_outline
remove_circle_outline
remove_circle_outline
remove_circle_outline
remove_circle_outline

Journals

Article Types

Countries / Regions

Search Results (49)

Search Parameters:
Keywords = G-protein coupled estrogen receptor 1

Order results
Result details
Results per page
Select all
Export citation of selected articles as:
19 pages, 1500 KB  
Review
Integrin αvβ3 as a Non-Genomic Estrogen Receptor in Breast Cancer for Signaling Pathways and Crosstalk
by Kuan Wang, Zi-Lin Li, Lin-Yi Huang, Chih-Jung Yao, Dana R. Crawford, Chih-Yang Wang, Ju-Ku Mo, Ya-Jung Shih, Hung-Yun Lin and Jacqueline Whang-Peng
Cells 2025, 14(22), 1832; https://doi.org/10.3390/cells14221832 - 20 Nov 2025
Viewed by 379
Abstract
Integrin αvβ3, a key member of the integrin family, plays a crucial role in cell localization, mobilization, and signal transduction through collaborating with extracellular proteins. Its unique expression and activation in tumor cells and rapidly dividing endothelial cells suggest its potential role in [...] Read more.
Integrin αvβ3, a key member of the integrin family, plays a crucial role in cell localization, mobilization, and signal transduction through collaborating with extracellular proteins. Its unique expression and activation in tumor cells and rapidly dividing endothelial cells suggest its potential role in cancer cell growth and metastasis, making it a promising therapeutic target. In genomic pathways, estrogen binds to its receptors to form transcription complexes that bind to the promoters of steroid hormone-receptive genes. Conversely, G protein-coupled estrogen receptor 1 (GPER) and integrin αvβ3 have been shown to play oles in non-genomic actions that contribute to estrogen-induced cancer growth. The molecular mechanisms of these non-genomic functions involve signal transduction via focal activated kinase (FAK), mitogen-activated protein kinase (ERK1/2), and phosphatidylinositol 3-kinase (PI3K), as well as the differential expression of multiple genes associated with various cellular processes. As a hormone receptor, integrin αvβ3, collaborating with ER-α and GPER, exhibits a wide range of cellular effects relevant to cancer biology. Full article
Show Figures

Figure 1

31 pages, 4221 KB  
Article
Estradiol Downregulates MicroRNA-193a to Mediate Its Angiogenic Actions
by Lisa Rigassi, Mirel Adrian Popa, Ruth Stiller, Brigitte Leeners, Marinella Rosselli and Raghvendra Krishna Dubey
Cells 2025, 14(15), 1134; https://doi.org/10.3390/cells14151134 - 23 Jul 2025
Cited by 1 | Viewed by 1045
Abstract
Estrogens regulate many physiological processes in the human body, including the cardiovascular system. Importantly, Estradiol (E2) exerts its vascular protective actions, in part, by promoting endothelial repair via induction of endothelial cell (EC) proliferation, migration and angiogenesis. Recent evidence that microRNAs (miRNAs) play [...] Read more.
Estrogens regulate many physiological processes in the human body, including the cardiovascular system. Importantly, Estradiol (E2) exerts its vascular protective actions, in part, by promoting endothelial repair via induction of endothelial cell (EC) proliferation, migration and angiogenesis. Recent evidence that microRNAs (miRNAs) play an important role in vascular health and disease as well as in regulating Estrogen actions in many cell types. We hypothesize that E2 may mediate its vascular protective actions via the regulation of miRNAs. Following initial screening, we found that E2 downregulates the levels of miR-193a-3p in ECs. Moreover, miR-193a-3p downregulation by miR-193a-3p-antimir mimicked the effects as E2 on EC growth, migration, and capillary formation. Restoring miR-193a-3p levels with mimics after E2 treatment abrogated the vasculogenic actions of E2, suggesting a key role of miR-193a-3p in E2-mediated EC-growth-promoting effects. We further investigated the cellular mechanisms involved and found that miR-193a-3p inhibits angiogenesis by blocking phosphoinositide-3-kinase (PI3K)/Akt-vascular endothelial growth factor (VEGF) and Activin receptor-like kinase 1 (ALK1)/SMAD1/5/8 signaling in ECs, both pathways that are important in E2-mediated vascular protection. Additionally, using reverse transcription polymerase chain reaction (RT-PCR), we demonstrate that E2 downregulates miR-193a-3p in ECs via Estrogen Receptor (ER)α, but not ERβ or G protein-coupled estrogen receptor (GPER). Moreover, these actions occur post-transcriptionally, as the expression of pri-miR-193a-3p was not affected. The anti-angiogenic actions of miR-193a-3p were also observed in in vivo Matrigel implant-based capillary formation studies in ovariectomized mice where E2 induced capillary formation, and these effects were abrogated in the presence of miR-193a-3p, but not in the control mimic. Assessment of miR-193a-3p levels in plasma collected from in vitro fertilization (IVF) subjects with low and high E2 levels showed significantly lower miR-193a-3p levels in responders during the high E2 period. Hence, our findings provide the first evidence that miR-193a-3p mimic inhibits angiogenesis whereas its antimir is angiogenic. Importantly, E2 mediates its regenerative actions on ECs/capillary formation by downregulating endogenous miR-193a-3p expression. Both miR-193a-3p mimic or antimir may represent important therapeutic molecules to prevent or to induce endothelial function in treating pathophysiologies associated with capillary growth. Full article
Show Figures

Graphical abstract

19 pages, 982 KB  
Review
Epigenetic Modulation of Estrogen Receptor Signaling in Ovarian Cancer
by Maciej Skrzypczak, Ewa Wolinska, Łukasz Adaszek, Olaf Ortmann and Oliver Treeck
Int. J. Mol. Sci. 2025, 26(1), 166; https://doi.org/10.3390/ijms26010166 - 28 Dec 2024
Cited by 4 | Viewed by 2280
Abstract
Ovarian cancer remains one of the leading causes of cancer-related deaths in women. There are several processes that are described to have a causal relationship in ovarian cancer development, progression, and metastasis formation, that occur both at the genetic and epigenetic level. One [...] Read more.
Ovarian cancer remains one of the leading causes of cancer-related deaths in women. There are several processes that are described to have a causal relationship in ovarian cancer development, progression, and metastasis formation, that occur both at the genetic and epigenetic level. One of the mechanisms involved in its pathogenesis and progression is estrogen signaling. Estrogen receptors (ER) α, ERβ, and G-protein coupled estrogen receptor 1 (GPER1), in concert with various coregulators and pioneer transcription factors, mediate the effects of estrogens primarily by the transcriptional regulation of estrogen responsive genes, thereby exerting pleiotropic effects including the regulation of cellular proliferation and apoptosis. The expression and activity of estrogen receptors and their coregulators have been demonstrated to be regulated by epigenetic mechanisms like histone modifications and DNA methylation. Here, we intend to summarize and to provide an update on the current understanding of epigenetic mechanisms regulating estrogen signaling and their role in ovarian cancer. For this purpose, we reviewed publications on this topic listed in the PubMed database. Finally, we assess to which extent drugs acting on the epigenetic level might be suitable for the treatment of ovarian cancer. Full article
Show Figures

Figure 1

11 pages, 1606 KB  
Article
Estrogen Regulates Ca2+ to Promote Mitochondrial Function Through G-Protein-Coupled Estrogen Receptors During Oocyte Maturation
by Qingyang Liu, Jingmei Li, Yanxue Li, Ming Cheng, Hui Zhang and Baohua Ma
Biomolecules 2024, 14(11), 1430; https://doi.org/10.3390/biom14111430 - 11 Nov 2024
Cited by 2 | Viewed by 1792
Abstract
Estrogen is a steroid hormone that plays a key role in regulating many physiological processes, such as follicle activation and development and oocyte maturation in mammals. Ca2+ is crucial in oogenesis, oocyte maturation, ovulation, and fertilization. However, the mechanism by which estrogen [...] Read more.
Estrogen is a steroid hormone that plays a key role in regulating many physiological processes, such as follicle activation and development and oocyte maturation in mammals. Ca2+ is crucial in oogenesis, oocyte maturation, ovulation, and fertilization. However, the mechanism by which estrogen regulates Ca2+ during oocyte maturation in mice has not been reported. This study revealed that Ca2+ levels in oocytes significantly increase during the 4–12 h period in vitro. Oocytes treated with 0.1 µM estrogen and 1 µM G1, a G-protein-coupled estrogen receptor (GPER) agonist, showed significantly increased Ca2+ levels, while treatment with 1 µM G15, an antagonist of GPER, significantly decreased Ca2+ levels. Notably, estrogen regulates Ca2+ in oocytes through the GPER pathway and promotes the expression of the Ca2+-producing protein EPAC1. In addition, estrogen alleviates the inhibitory effect of the Ca2+ chelator BAPTA-AM during oocyte maturation by promoting Ca2+ production. Furthermore, estrogen can promote the expression of the mitochondrial generation-associated protein SIRT1 through the GPER pathway, alleviate mitochondrial oxidative damage caused by BAPTA-AM, and restore the mitochondrial membrane potential level. Collectively, this study demonstrates that estrogen can regulate Ca2+ through the GPER-EPAC1 pathway and promote the expression of SIRT1, which promotes oocyte mitochondrial function during oocyte maturation. Full article
(This article belongs to the Section Cellular Biochemistry)
Show Figures

Figure 1

16 pages, 2750 KB  
Article
Copy Number Variation and Selection Signal: Exploring the Domestication History and Phenotype Differences Between Duroc and the Chinese Native Ningxiang Pigs
by Fang Yang, Wenwu Chen, Yanda Yang, Yang Meng, Yantong Chen, Xiaoling Ding, Yuebo Zhang, Jun He and Ning Gao
Int. J. Mol. Sci. 2024, 25(21), 11716; https://doi.org/10.3390/ijms252111716 - 31 Oct 2024
Viewed by 1669
Abstract
The Ningxiang pig, one of the well-known Chinese native pig breeds, has the advantages of tender meat, high intramuscular fat (IMF) content, and roughage tolerance, compared to the commercial lean pig breeds. The genetic basis for complex traits in Ningxiang pigs has been [...] Read more.
The Ningxiang pig, one of the well-known Chinese native pig breeds, has the advantages of tender meat, high intramuscular fat (IMF) content, and roughage tolerance, compared to the commercial lean pig breeds. The genetic basis for complex traits in Ningxiang pigs has been previously studied through other genetic markers, such as Single Nucleotide Polymorphism (SNP), while the characteristics of copy number variation (CNV) and the selection signal have not been investigated yet. In this study, GGP 50 k genotyping data of 2242 Ningxiang pigs (NX) and 1137 Duroc pigs (Duroc) were involved in CNV atlas construction and selection signals identification. Annotations of genes and quantitative trait locus (QTLs) were performed on the target candidate regions, as follows: (1) 162 CNVs were detected in Ningxiang pigs, while 326 CNVs were detected in Duroc pigs, and there are 21 copy number variation regions (CNVRs) shared between them; (2) The CNVRs of Duroc are more abundant, with 192 CNVRs, accounting for 1.61% of the entire genome, while those of Ningxiang pigs only have 98 CNVRs, accounting for 0.49%; (3) The QTLs annotated on CNVs and selected regions of Ningxiang pigs were mainly associated with meat quality and fertility. In contrast, the Duroc QTLs’ notes relate primarily to the carcass and immunity, and explain why they have a higher slaughter rate and immunity; (4) There is a presence of high-frequency acquired CNVs, specifically in Ningxiang pigs, with 24 genes significantly enriched in the sensory receptor-related pathway in this region; (5) Based on the CNVs atlas, candidate genes such as 3 inositol 1,4,5-triphosphate receptor, type 3 (ITPR3), forkhead box protein K2 (FOXK2), G-protein coupled estrogen receptor 1 (GPER1), Glyceraldehyde 3-phosphate dehydrogenase (GAPDH), triosephosphate isomerase 1 (TPI1), and other candidate genes related to fat deposition and differentiation were screened. In general, this study improved our knowledge about copy number variation and selection signal information of Ningxiang pigs, which can not only further explain the genetic differences between Chinese native and Western commercial pig breeds, but also provide new materials for the analysis of the genetic basis of complex traits. Full article
(This article belongs to the Section Molecular Genetics and Genomics)
Show Figures

Figure 1

16 pages, 4116 KB  
Article
Activation of G Protein-Coupled Estrogen Receptor 1 (GPER) Attenuates Obesity-Induced Asthma by Switching M1 Macrophages to M2 Macrophages
by So-Eun Son and Dong-Soon Im
Int. J. Mol. Sci. 2024, 25(17), 9532; https://doi.org/10.3390/ijms25179532 - 2 Sep 2024
Cited by 2 | Viewed by 2099
Abstract
The prevalence of obesity-induced asthma increases in women after menopause. We hypothesized that the increase in obese asthma in middle-aged women results from estrogen loss. In particular, we focused on the acute action of estrogen through the G protein-coupled estrogen receptor 1 (GPER), [...] Read more.
The prevalence of obesity-induced asthma increases in women after menopause. We hypothesized that the increase in obese asthma in middle-aged women results from estrogen loss. In particular, we focused on the acute action of estrogen through the G protein-coupled estrogen receptor 1 (GPER), previously known as GPR30. We investigated whether GPER activation ameliorates obesity-induced asthma with a high-fat diet (HFD) using G-1, the GPER agonist, and G-36, the GPER antagonist. Administration of G-1 (0.5 mg/kg) suppressed HFD-induced airway hypersensitivity (AHR), and increased immune cell infiltration, whereas G-36 co-treatment blocked it. Histological analysis showed that G-1 treatment inhibited HFD-induced inflammation, fibrosis, and mucus hypersecretion in a GPER-dependent manner. G-1 inhibited the HFD-induced rise in the mRNA levels of pro-inflammatory cytokines in the gonadal white adipose tissue and lungs, whereas G-36 co-treatment reversed this effect. G-1 increased anti-inflammatory M2 macrophages and inhibited the HFD-induced rise in pro-inflammatory M1 macrophages in the lungs. In addition, G-1 treatment reversed the HFD-induced increase in leptin expression and decrease in adiponectin expression in the lungs and gonadal white adipose tissue. The results suggest that activation of GPER could be a therapeutic option for obesity-induced asthma. Full article
(This article belongs to the Special Issue Hormone Signaling in Human Health and Diseases, 2nd Edition)
Show Figures

Figure 1

13 pages, 5343 KB  
Article
Activation of G Protein-Coupled Estrogen Receptor (GPER) Negatively Modulates Cardiac Excitation–Contraction Coupling (ECC) through the PI3K/NOS/NO Pathway
by Leandro A. Diaz-Zegarra, María S. Espejo, Alejandro M. Ibañez, Mónica E. Rando, Lucia E. Pagola, Verónica C. De Giusti and Ernesto A. Aiello
Int. J. Mol. Sci. 2024, 25(16), 8993; https://doi.org/10.3390/ijms25168993 - 19 Aug 2024
Cited by 3 | Viewed by 2757
Abstract
The G-protein-coupled estrogen receptor (GPER) has been described to exert several cardioprotective effects. However, the exact mechanism involved in cardiac protection remains unclear. The aim of this study is to investigate the role of GPER activation on excitation–contraction coupling (ECC) and the possibility [...] Read more.
The G-protein-coupled estrogen receptor (GPER) has been described to exert several cardioprotective effects. However, the exact mechanism involved in cardiac protection remains unclear. The aim of this study is to investigate the role of GPER activation on excitation–contraction coupling (ECC) and the possibility that such effect participates in cardioprotection. The cardiac myocytes of male Wistar rats were isolated with a digestive buffer and loaded with Fura-2-AM for the measurement of intracellular calcium transient (CaT). Sarcomere shortening (SS) and L-type calcium current (ICaL) were also registered. The confocal technique was used to measure nitric oxide (NO) production in cells loaded with DAF-FM-diacetate. Cardiac myocytes exposed to 17-β-estradiol (E2, 10 nM) or G-1 (1 μM) for fifteen minutes decreased CaT, SS, and ICaL. These effects were prevented using G-36 (antagonist of GPER, 1 μM), L-Name (NO synthase -NOS- inhibitor, 100 nM), or wortmannin (phosphoinositide-3-kinase -PI3K- inhibitor, 100 nM). Moreover, G1 increased NO production, and this effect was abolished in the presence of wortmannin. We concluded that the selective activation of GPER with E2 or G1 in the isolated cardiac myocytes of male rats induced a negative inotropic effect due to the reduction in ICaL and the decrease in CaT. Finally, the pathway that we proposed to be implicated in these effects is PI3K-NOS-NO. Full article
Show Figures

Figure 1

16 pages, 5246 KB  
Article
Joint Inflammation Correlates with Joint GPR30 Expression in Males and Hippocampal GPR30 Expression in Females in a Rat Model of Rheumatoid Arthritis
by Tanja Grubić Kezele, Hrvoje Omrčen, Lara Batičić, Sandra Šućurović and Sanja Zoričić Cvek
Int. J. Mol. Sci. 2024, 25(14), 7864; https://doi.org/10.3390/ijms25147864 - 18 Jul 2024
Cited by 3 | Viewed by 2227
Abstract
It is not entirely clear how the interaction between joint inflammation and the central nervous system (CNS) response in rheumatoid arthritis (RA) works, and what pathophysiology underlies the sex differences in coexisting neuropsychiatric comorbidities. It is known that estrogen hormones reduce inflammation in [...] Read more.
It is not entirely clear how the interaction between joint inflammation and the central nervous system (CNS) response in rheumatoid arthritis (RA) works, and what pathophysiology underlies the sex differences in coexisting neuropsychiatric comorbidities. It is known that estrogen hormones reduce inflammation in RA and that this occurs mainly via the stimulation of G protein-coupled receptor-30 (GPR30), also known as G protein-coupled estrogen receptor (GPER) 1. However, changes in GPR30 expression and sex differences induced by local and systemic inflammation in RA are not yet known. Our aim was to reveal sex differences in the expression and association of joint GPR30 with local and systemic inflammation, clinical course and furthermore with hippocampal GPR30 expression during pristane-induced arthritis (PIA) in Dark Agouti (DA) rats, an animal model of RA. Furthermore, we demonstrated sex-specific differences in the association between joint and systemic inflammation and hippocampal microglia during PIA. Our results suggest sex-specific differences not only in the clinical course and serum levels of pro-inflammatory cytokines but also in the expression of GPR30. Female rats show greater synovial inflammation and greater damage to the articular cartilage compared to males during PIA attack. Male rats express higher levels of synovial and cartilaginous GPR30 than females during PIA, which correlates with a less severe clinical course. The correlation between synovial and cartilaginous GPR30 and joint inflammation scores (Krenn and Mankin) in male rats suggests that the more severe the joint inflammation, the higher the GPR30 expression. At the same time, there is no particular upregulation of hippocampal GPR30 in males. On the other hand, female rats express higher levels of neuroprotective GPR30 in the hippocampus than male rats at the basic level and during PIA attack. In addition, females have a higher number of Iba-1+ cells in the hippocampus during PIA attack that strongly correlates with the clinical score, serum levels of IL-17A, and Krenn and Mankin scores. These results suggest that male rats are better protected from inflammation in the joints and female rats are better protected from the inflammation in the hippocampus during a PIA attack, independently of microglia proliferation. However, in the remission phase, synovial GPR30 expression suddenly increases in female rats, as does hippocampal GPR30 expression in males. Further experiments with a longer remission period are needed to investigate the molecular background of these sex differences, as well as microglia phenotype profiling. Full article
Show Figures

Figure 1

13 pages, 2330 KB  
Article
G-Protein Coupled Receptor 1 Is Involved in Tetrachlorobisphenol A-Induced Inflammatory Response in Jurkat Cells
by Xiaoyu Lu, Mengjie Yu, Yingxin Yang, Xiaolan Zhang, Tian Chen and Bingli Lei
Toxics 2024, 12(7), 485; https://doi.org/10.3390/toxics12070485 - 2 Jul 2024
Cited by 1 | Viewed by 1858
Abstract
Estrogens can affect the immune inflammatory response through estrogen receptor alpha (ERα), but the specific role of estrogen member receptor G-protein coupled receptor 1 (GPER1) in this process remains unclear. In this study, we evaluated the effects of tetrachlorobisphenol A (TCBPA), which has [...] Read more.
Estrogens can affect the immune inflammatory response through estrogen receptor alpha (ERα), but the specific role of estrogen member receptor G-protein coupled receptor 1 (GPER1) in this process remains unclear. In this study, we evaluated the effects of tetrachlorobisphenol A (TCBPA), which has estrogen activity, on immune inflammatory-related indicators of Jurkat cells, as well as investigated the role of GPER1 in these effects. The results showed that TCBPA at lower concentrations significantly promoted the viability of Jurkat cells, whereas higher concentrations decreased cell viability. TCBPA at concentrations ranging from 1 to 25 μM increased the intracellular reactive oxygen species (ROS) levels. Additionally, treatment with 10 μM TCBPA increased the protein expression of ERα and GPER1, elevated the phosphorylation of protein kinase B (p-Akt), and upregulated the mRNA levels of GPER1, Akt, and phosphoinositide 3-kinase (PI3K) genes. Treatment with 10 μM TCBPA also upregulated the protein or gene expression of pro-inflammatory cytokines, such as interleukins (IL1β, IL2, IL6, IL8, IL12α) and tumor necrosis factor alpha (TNFα) in Jurkat cells. Furthermore, pretreatment with a GPER1 inhibitor G15 significantly reduced the mRNA levels of Akt induced by 10 μM TCBPA. Moreover, the upregulation of mRNA expression of RelA (p65), TNFα, IL6, IL8, and IL12α induced by 10 μM TCBPA was also significantly attenuated after G15 pretreatment. These findings suggest that TCBPA upregulates the expression of genes related to inflammatory responses by activating the GPER1-mediated PI3K/Akt signaling pathway. This study provides new insights into the mechanism of TCBPA-induced inflammatory response. Full article
(This article belongs to the Section Ecotoxicology)
Show Figures

Figure 1

31 pages, 6493 KB  
Article
Epigenetic Modulation of GPER Expression in Gastric and Colonic Smooth Muscle of Male and Female Non-Obese Diabetic (NOD) Mice: Insights into H3K4me3 and H3K27ac Modifications
by Juanita C. Hixon, Jatna I. Rivas Zarete, Jason White, Mariline Hilaire, Aliyu Muhammad, Abdurrahman Pharmacy Yusuf, Benjamin Adu-Addai, Clayton C. Yates and Sunila Mahavadi
Int. J. Mol. Sci. 2024, 25(10), 5260; https://doi.org/10.3390/ijms25105260 - 11 May 2024
Cited by 2 | Viewed by 3053
Abstract
Type 1 diabetes (T1D) affects gastrointestinal (GI) motility, favoring gastroparesis, constipation, and fecal incontinence, which are more prevalent in women. The mechanisms are unknown. Given the G-protein-coupled estrogen receptor’s (GPER) role in GI motility, we investigated sex-related diabetes-induced epigenetic changes in GPER. We [...] Read more.
Type 1 diabetes (T1D) affects gastrointestinal (GI) motility, favoring gastroparesis, constipation, and fecal incontinence, which are more prevalent in women. The mechanisms are unknown. Given the G-protein-coupled estrogen receptor’s (GPER) role in GI motility, we investigated sex-related diabetes-induced epigenetic changes in GPER. We assessed GPER mRNA and protein expression levels using qPCR and Western blot analyses, and quantified the changes in nuclear DNA methyltransferases and histone modifications (H3K4me3, H3Ac, and H3K27Ac) by ELISA kits. Targeted bisulfite and chromatin immunoprecipitation assays were used to evaluate DNA methylation and histone modifications around the GPER promoter by chromatin immunoprecipitation assays in gastric and colonic smooth muscle tissues of male and female control (CTR) and non-obese diabetic (NOD) mice. GPER expression was downregulated in NOD, with sex-dependent variations. In the gastric smooth muscle, not in colonic smooth muscle, downregulation coincided with differences in methylation ratios between regions 1 and 2 of the GPER promoter of NOD. DNA methylation was higher in NOD male colonic smooth muscle than in NOD females. H3K4me3 and H3ac enrichment decreased in NOD gastric smooth muscle. H3K4me3 levels diminished in the colonic smooth muscle of NOD. H3K27ac levels were unaffected, but enrichment decreased in NOD male gastric smooth muscle; however, it increased in the NOD male colonic smooth muscle and decreased in the female NOD colonic smooth muscle. Male NOD colonic smooth muscle exhibited decreased H3K27ac levels, not female, whereas female NOD colonic smooth muscle demonstrated diminished enrichment of H3ac at the GPER promoter, contrary to male NOD. Sex-specific epigenetic mechanisms contribute to T1D-mediated suppression of GPER expression in the GI tract. These insights advance our understanding of T1D complications and suggest promising avenues for targeted therapeutic interventions. Full article
(This article belongs to the Special Issue The Role of Estrogen Receptors in Health and Diseases)
Show Figures

Figure 1

18 pages, 23455 KB  
Article
17β-Estradiol (E2) Activates Matrix Mineralization through Genomic/Nongenomic Pathways in MC3T3-E1 Cells
by Hiraku Suzuki, Yuki Fujiwara, Winda Ariyani, Izuki Amano, Sumiyasu Ishii, Ayane Kate Ninomiya, Seiichi Sato, Akinori Takaoka and Noriyuki Koibuchi
Int. J. Mol. Sci. 2024, 25(9), 4727; https://doi.org/10.3390/ijms25094727 - 26 Apr 2024
Cited by 1 | Viewed by 2176
Abstract
Estrogen plays an important role in osteoporosis prevention. We herein report the possible novel signaling pathway of 17β-estradiol (E2) in the matrix mineralization of MC3T3-E1, an osteoblast-like cell line. In the culture media-containing stripped serum, in which small lipophilic molecules such as steroid [...] Read more.
Estrogen plays an important role in osteoporosis prevention. We herein report the possible novel signaling pathway of 17β-estradiol (E2) in the matrix mineralization of MC3T3-E1, an osteoblast-like cell line. In the culture media-containing stripped serum, in which small lipophilic molecules such as steroid hormones including E2 were depleted, matrix mineralization was significantly reduced. However, the E2 treatment induced this. The E2 effects were suppressed by ICI182,780, the estrogen receptor (ER)α, and the ERβ antagonist, as well as their mRNA knockdown, whereas Raloxifene, an inhibitor of estrogen-induced transcription, and G15, a G-protein-coupled estrogen receptor (GPER) 1 inhibitor, had little or no effect. Furthermore, the E2-activated matrix mineralization was disrupted by PMA, a PKC activator, and SB202190, a p38 MAPK inhibitor, but not by wortmannin, a PI3K inhibitor. Matrix mineralization was also induced by the culture media from the E2-stimulated cell culture. This effect was hindered by PMA or heat treatment, but not by SB202190. These results indicate that E2 activates the p38 MAPK pathway via ERs independently from actions in the nucleus. Such activation may cause the secretion of certain signaling molecule(s), which inhibit the PKC pathway. Our study provides a novel pathway of E2 action that could be a therapeutic target to activate matrix mineralization under various diseases, including osteoporosis. Full article
(This article belongs to the Special Issue Steroids and Lipophilic Hormones, and Their Actions 3.0)
Show Figures

Graphical abstract

16 pages, 4478 KB  
Article
Correlation between the RNA Expression and the DNA Methylation of Estrogen Receptor Genes in Normal and Malignant Human Tissues
by Ju Rong, Xiaojun Xie, Yongdong Niu and Zhongjing Su
Curr. Issues Mol. Biol. 2024, 46(4), 3610-3625; https://doi.org/10.3390/cimb46040226 - 19 Apr 2024
Cited by 2 | Viewed by 2094
Abstract
Estrogen plays a multifaceted function in humans via interacting with the estrogen receptors ERα, ERβ, and G protein-coupled estrogen receptor 1 (GPER1). Previous research has predominantly concentrated on elucidating the signaling route of estrogen. However, the comprehensive understanding of the expression profile and [...] Read more.
Estrogen plays a multifaceted function in humans via interacting with the estrogen receptors ERα, ERβ, and G protein-coupled estrogen receptor 1 (GPER1). Previous research has predominantly concentrated on elucidating the signaling route of estrogen. However, the comprehensive understanding of the expression profile and control of these estrogen receptors in various human tissues is not well known. In the present study, the RNA levels of estrogen receptors in various normal and malignant human tissues were retrieved from the human protein atlas, the cancer genome atlas (TCGA), and the genotype-tissue expression (GTEx) databases for analyzing the expression profile of estrogen receptors through gene expression profiling interactive analysis (GEPIA). The status of DNA methylation of estrogen receptor genes from TCGA were analyzed through the software Wanderer and cBioPortal. The MethSurv tool was utilized to estimate the relevance between specific cytosine–guanine (CG) methylation and tumor survival. The expression profile analysis revealed that ERα, ERβ, and GPER1 have unique expression patterns in diverse tissues and malignancies. The interesting results were the higher expression of ERβ RNA in the male testis than in females and the positive association between the RNA level of ERα and the androgen receptor in different human normal tissues. Especially, the significant changes in GPER1 expression in multiple malignancies showed a consistent decrease with no exception, which indicates the role of GPER1 in common tumor inhibition. The finding on the expression profile provides clues for exploring novel potential physiological and pathophysiological functions of estrogen. The DNA methylation analysis manifested that the expression of GPER1 and ERα showed a substantial correlation with the methylation of specific CG sites in the cis-regulating region of the gene. However, no such association was observed for ERβ. When comparing tumor tissues to normal tissues, the DNA methylation of certain CG sites of estrogen receptors showed a correlation with tumor survival but did not always correlate with the expression of that gene or with the expression of DNA methyltransferases. We proposed that the variation in DNA methylation at different CG sites in estrogen receptor genes had other functions beyond its regulatory role in its gene expression, and this might be associated with the progression and therapy efficiency of the tumor based on the modulation of the chromatin configuration. Full article
(This article belongs to the Special Issue New Advances in Non-coding RNAs)
Show Figures

Figure 1

18 pages, 4792 KB  
Article
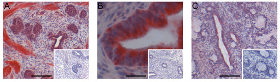
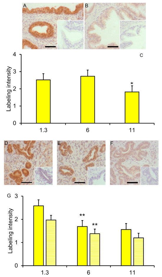
Development of Porcine Accessory Sex Glands
by Trish Berger, Valerie Guerrero, Rosalina Boeldt, Erin Legacki, Megan Roberts and Alan J. Conley
Animals 2024, 14(3), 462; https://doi.org/10.3390/ani14030462 - 31 Jan 2024
Cited by 3 | Viewed by 2971
Abstract
Accessory sex glands are recognized as targets of human disease and may have roles in reproductive success in livestock. The current experiments evaluated the influences of endogenous steroids on the development of porcine accessory sex glands, primarily in the neonatal period. When the [...] Read more.
Accessory sex glands are recognized as targets of human disease and may have roles in reproductive success in livestock. The current experiments evaluated the influences of endogenous steroids on the development of porcine accessory sex glands, primarily in the neonatal period. When the aromatase inhibitor, letrozole, was used to inhibit the production of endogenous estrogens in the postnatal interval, growth of the seminal vesicles, prostate, and bulbourethral glands was stimulated. The weights of seminal vesicles, prostate, and bulbourethral glands approximately doubled at 6.5 weeks of age when the reduction in endogenous estrogens began at 1 week of age (p < 0.01). However, by 20 and 40 weeks of age, the weights of accessory sex glands were similar between the letrozole-treated boars and the vehicle-treated littermates indicating the growth stimulation was a transient effect when the treatment interval was short. The presence of both classical nuclear estrogen receptors and the G protein-coupled estrogen receptor in neonatal accessory sex glands indicated multiple signaling pathways might mediate the growth inhibition by endogenous estrogens. The absence of a detectable response when the classical estrogen receptors were blocked with fulvestrant (or when the androgen receptor was blocked with flutamide) suggests that endogenous estrogens act through the G protein-coupled estrogen receptor to inhibit the development of accessory sex glands during this neonatal to early juvenile interval. Full article
(This article belongs to the Section Animal Reproduction)
Show Figures

Figure 1

27 pages, 8078 KB  
Article
Proteomic Analyses of the G Protein-Coupled Estrogen Receptor GPER1 Reveal Constitutive Links to Endoplasmic Reticulum, Glycosylation, Trafficking, and Calcium Signaling
by Maryam Ahmadian Elmi, Nasrin Motamed and Didier Picard
Cells 2023, 12(21), 2571; https://doi.org/10.3390/cells12212571 - 3 Nov 2023
Cited by 6 | Viewed by 3808
Abstract
The G protein-coupled estrogen receptor 1 (GPER1) has been proposed to mediate rapid responses to the steroid hormone estrogen. However, despite a strong interest in its potential role in cancer, whether it is indeed activated by estrogen and how this works remain controversial. [...] Read more.
The G protein-coupled estrogen receptor 1 (GPER1) has been proposed to mediate rapid responses to the steroid hormone estrogen. However, despite a strong interest in its potential role in cancer, whether it is indeed activated by estrogen and how this works remain controversial. To provide new tools to address these questions, we set out to determine the interactome of exogenously expressed GPER1. The combination of two orthogonal methods, namely APEX2-mediated proximity labeling and immunoprecipitation followed by mass spectrometry, gave us high-confidence results for 73 novel potential GPER1 interactors. We found that this GPER1 interactome is not affected by estrogen, a result that mirrors the constitutive activity of GPER1 in a functional assay with a Rac1 sensor. We specifically validated several hits highlighted by a gene ontology analysis. We demonstrate that CLPTM1 interacts with GPER1 and that PRKCSH and GANAB, the regulatory and catalytic subunits of α-glucosidase II, respectively, associate with CLPTM1 and potentially indirectly with GPER1. An imbalance in CLPTM1 levels induces nuclear association of GPER1, as does the overexpression of PRKCSH. Moreover, we show that the Ca2+ sensor STIM1 interacts with GPER1 and that upon STIM1 overexpression and depletion of Ca2+ stores, GPER1 becomes more nuclear. Thus, these new GPER1 interactors establish interesting connections with membrane protein maturation, trafficking, and calcium signaling. Full article
Show Figures

Graphical abstract

13 pages, 3169 KB  
Article
Different Expression Pattern of G Protein-Coupled Estrogen Receptor GPER1 in Esophageal Squamous Cell Carcinoma and Adenocarcinoma
by Jingshi Liu, Yongdong Niu, Bin Zhang, Qisi Sun, Haiyi Li, Lu Bai and Zhongjing Su
Int. J. Mol. Sci. 2023, 24(18), 14055; https://doi.org/10.3390/ijms241814055 - 13 Sep 2023
Cited by 1 | Viewed by 2084
Abstract
Esophageal carcinoma is a male-dominant malignancy worldwide, and esophageal adenocarcinoma (EAC) shows more significant sex bias than esophageal squamous cell carcinoma (ESCC) in morbidity and mortality. The G protein-coupled estrogen receptor 1 (GPER1) is involved in several sex-related cancers; however, its expression level [...] Read more.
Esophageal carcinoma is a male-dominant malignancy worldwide, and esophageal adenocarcinoma (EAC) shows more significant sex bias than esophageal squamous cell carcinoma (ESCC) in morbidity and mortality. The G protein-coupled estrogen receptor 1 (GPER1) is involved in several sex-related cancers; however, its expression level in esophageal carcinoma has been poorly investigated and its role is not precisely defined, depending on histological types. In the present study, the mRNA levels of GPER1 in esophageal carcinoma were collected from GEPIA and Oncomine databases for meta-analyses. The protein expression levels of GPER1 were detected by immunohistochemistry in the tissue microarray of EAC and ESCC. The GPER1 selective agonist G1, antagonist G15, and siRNA were applied in vitro to investigate their impacts on esophageal cell lines. Analysis of the RNA levels from the databases showed a decreased expression of GPER1 in overall esophageal carcinoma, and low expression levels of GPER1 were found to be associated with low survival of tumor patients. However, in the subgroup of EAC and its precancerous lesion, Barrett’s esophagus, overexpression of GPER1 RNA was increased when compared with the normal tissues. The average staining scores of GPER1 protein in the tissue microarray of EAC were significantly higher than normal esophageal samples, and the rate of positive staining increased with the grade of poor tumor differentiation. The scores of GPER1 protein in ESCC tissues were lower than those in the normal tissues. The results from cell line experiments in vitro showed that the GPER1 agonist G1 inhibited proliferation and promoted apoptosis of ESCC cells EC109 with positive expression of GPER1. G1 had no obvious effect on normal esophageal NE2 cells with weak expression of GPER1. In addition, GPER1 RNA knockdown and application of antagonist G15 reversed the effects of G1 on EC109. The results of this study indicate that the expression levels of GPER1 are higher in EAC than in ESCC, which might be correlated with the dimorphic estrogen signaling pathway in different types of esophageal carcinoma. Full article
(This article belongs to the Special Issue Immunophenotyping in Autoimmune Diseases and Cancer, 3rd Edition)
Show Figures

Figure 1

Back to TopTop