Co-Infections and Superinfections in COVID-19 Critically Ill Patients Are Associated with CT Imaging Abnormalities and the Worst Outcomes
Abstract
:1. Introduction
2. Materials and Methods
2.1. Patient Population and Study Design
2.2. CT Acquisition Technique and Image Analysis
2.3. Statistical Analysis
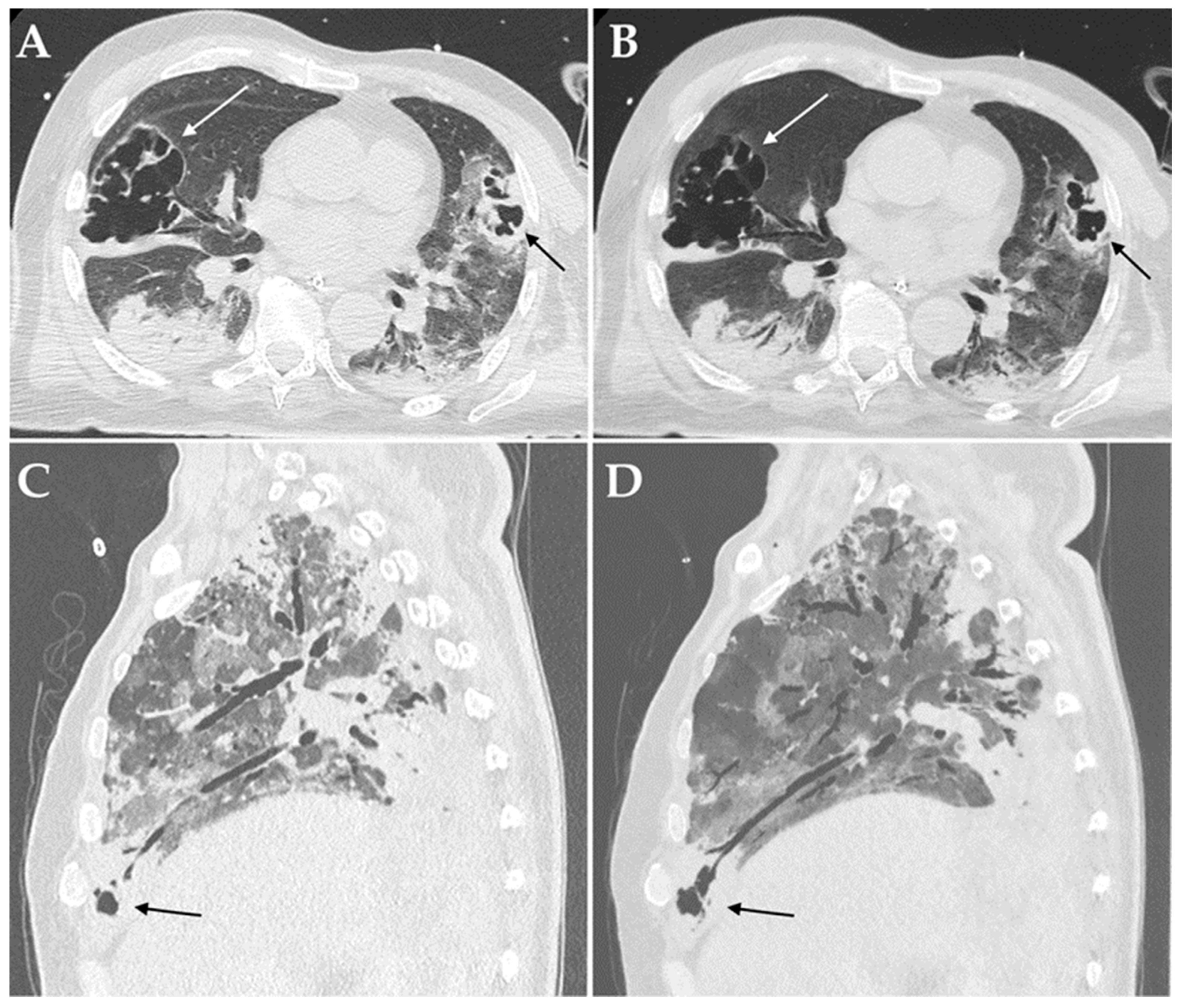
3. Results
3.1. Prevalence of Bacterial and Fungal Superinfections and Co-Infections in COVID-19 Patients in ICU
3.2. Chest CT Imaging Features Associated with Superinfections and Co-Infections
3.3. Clinical Outcomes of Superinfections and Co-Infections in COVID-19 Patients in ICU
4. Discussion
5. Conclusions
Author Contributions
Funding
Institutional Review Board Statement
Informed Consent Statement
Data Availability Statement
Conflicts of Interest
References
- Brandi, N.; Ciccarese, F.; Rimondi, M.R.; Balacchi, C.; Modolon, C.; Sportoletti, C.; Renzulli, M.; Coppola, F.; Golfieri, R. An Imaging Overview of COVID-19 ARDS in ICU Patients and Its Complications: A Pictorial Review. Diagnostics 2022, 12, 846. [Google Scholar] [CrossRef] [PubMed]
- Brandi, N.; Bartalena, L.; Mosconi, C.; Golfieri, R. A unique case of miliary pulmonary tuberculosis induced by bacillus Calmette-Guérin intravesical instillation with COVID-19 superinfection. SA J. Radiol. 2021, 25, 2122. [Google Scholar] [CrossRef] [PubMed]
- Gabelloni, M.; Faggioni, L.; Cioni, D.; Mendola, V.; Falaschi, Z.; Coppola, S.; Corradi, F.; Isirdi, A.; Brandi, N.; Coppola, F.; et al. Extracorporeal membrane oxygenation (ECMO) in COVID-19 patients: A pocket guide for radiologists. Radiol. Med. 2022, 127, 369–382. [Google Scholar] [CrossRef] [PubMed]
- Marasco, G.; Maida, M.; Morreale, G.C.; Licata, M.; Renzulli, M.; Cremon, C.; Stanghellini, V.; Barbara, G. Gastrointestinal Bleeding in COVID-19 Patients: A Systematic Review with Meta-Analysis. Can. J. Gastroenterol. Hepatol. 2021, 2021, 2534975. [Google Scholar] [CrossRef] [PubMed]
- Ierardi, A.M.; Del Giudice, C.; Coppola, A.; Carnevale, A.; Giganti, M.; Renzulli, M.; Tacher, V.; Urbano, J.; Kobeiter, H.; Loffroy, R.; et al. Gastrointestinal Hemorrhages in Patients With COVID-19 Managed with Transarterial Embolization. Am. J. Gastroenterol. 2021, 116, 838–840. [Google Scholar] [CrossRef] [PubMed]
- Ierardi, A.M.; Coppola, A.; Tortora, S.; Valconi, E.; Piacentino, F.; Fontana, F.; Stellato, E.; Cogliati, C.B.; Torzillo, D.; Giampalma, E.; et al. Gastrointestinal Bleeding in Patients with SARS-CoV-2 Infection Managed by Interventional Radiology. J. Clin. Med. 2021, 10, 4758. [Google Scholar] [CrossRef]
- Rafat, Z.; Ramandi, A.; Khaki, P.A.; Ansari, S.; Ghaderkhani, S.; Haidar, H.; Tajari, F.; Roostaei, D.; Ghazvini, R.D.; Hashemi, S.J.; et al. Fungal and bacterial co-infections of the respiratory tract among patients with COVID-19 hospitalized in intensive care units. Gene Rep. 2022, 27, 101588. [Google Scholar] [CrossRef]
- Pourajam, S.; Kalantari, E.; Talebzadeh, H.; Mellali, H.; Sami, R.; Soltaninejad, F.; Amra, B.; Sajadi, M.; Alenaseri, M.; Kalantari, F.; et al. Secondary Bacterial Infection and Clinical Characteristics in Patients With COVID-19 Admitted to Two Intensive Care Units of an Academic Hospital in Iran During the First Wave of the Pandemic. Front. Cell. Infect. Microbiol. 2022, 12, 784130. [Google Scholar] [CrossRef]
- Yang, X.; Yu, Y.; Xu, J.; Shu, H.; Xia, J.; Liu, H.; Wu, Y.; Zhang, L.; Yu, Z.; Fang, M.; et al. Clinical course and outcomes of critically ill patients with SARS-CoV-2 pneumonia in Wuhan, China: A single-centered, retrospective, observational study. Lancet Respir. Med. 2020, 8, 475–481. [Google Scholar] [CrossRef] [Green Version]
- Chong, W.H.; Saha, B.K.; Ananthakrishnan, R.; Chopra, A. State-of-the-art review of secondary pulmonary infections in patients with COVID-19 pneumonia. Infection 2021, 49, 591–605. [Google Scholar] [CrossRef]
- Murgia, F.; Fiamma, M.; Serra, S.; Olla, S.; Garau, M.C.; Cocco, E.; Lorefice, L.; Muntoni, S.; Paffi, P.; Porru, S.; et al. The impact of secondary infections in COVID-19 critically ill patients. J. Infect. 2022, 84, e116–e117. [Google Scholar] [CrossRef] [PubMed]
- Lansbury, L.; Lim, B.; Baskaran, V.; Lim, W.S. Co-infections in people with COVID-19: A systematic review and meta-analysis. J. Infect. 2020, 81, 266–275. [Google Scholar] [CrossRef]
- Coenen, S.; de la Court, J.R.; Buis, D.; Meijboom, L.J.; Schade, R.P.; Visser, C.E.; van Hest, R.; Kuijvenhoven, M.; Prins, J.M.; Nijman, S.; et al. Low frequency of community-acquired bacterial co-infection in patients hospitalized for COVID-19 based on clinical, radiological and microbiological criteria: A retrospective cohort study. Antimicrob. Resist. Infect. Control 2021, 10, 155. [Google Scholar] [CrossRef] [PubMed]
- Russell, C.D.; Fairfield, C.J.; Drake, T.M.; Turtle, L.; Seaton, R.A.; Wootton, D.G.; Sigfrid, L.; Harrison, E.M.; Docherty, A.B.; de Silva, T.I.; et al. Co-infections, secondary infections, and antimicrobial use in patients hospitalised with COVID-19 during the first pandemic wave from the ISARIC WHO CCP-UK study: A multicentre, prospective cohort study. Lancet Microbe 2021, 2, e354–e365. [Google Scholar] [CrossRef]
- Grasselli, G.; Scaravilli, V.; Mangioni, D.; Scudeller, L.; Alagna, L.; Bartoletti, M.; Bellani, G.; Biagioni, E.; Bonfanti, P.; Bottino, N.; et al. Hospital-Acquired Infections in Critically Ill Patients With COVID-19. Chest 2021, 160, 454–465. [Google Scholar] [CrossRef] [PubMed]
- Mohammadnejad, E.; Manshadi, S.; Mohammadi, M.; Abdollai, A.; Seifi, A.; Salehi, M.R.; Gheshlagh, R.G. Prevalence of nosocomial infections in COVID-19 patients admitted to the intensive care unit of Imam Khomeini complex hospital in Tehran. Iran. J. Microbiol. 2021, 13, 764–768. [Google Scholar] [CrossRef] [PubMed]
- Paparoupa, M.; Aldemyati, R.; Roggenkamp, H.; Berinson, B.; Nörz, D.; Olearo, F.; Kluge, S.; Roedl, K.; de Heer, G.; Wichmann, D. The prevalence of early- and late-onset bacterial, viral, and fungal respiratory superinfections in invasively ventilated COVID-19 patients. J. Med. Virol. 2022, 94, 1920–1925. [Google Scholar] [CrossRef]
- Ramos, R.; de la Villa, S.; García-Ramos, S.; Padilla, B.; García-Olivares, P.; Piñero, P.; Garrido, A.; Hortal, J.; Muñoz, P.; Caamaño, E.; et al. Marañón Critical COVID-19 Infection Group. COVID-19 associated infections in the ICU setting: A retrospective analysis in a tertiary-care hospital. Enferm. Infecc. Microbiol. Clin. 2021. Epub ahead of print. [Google Scholar] [CrossRef]
- Peghin, M.; Vena, A.; Graziano, E.; Giacobbe, D.R.; Tascini, C.; Bassetti, M. Improving management and antimicrobial stewardship for bacterial and fungal infections in hospitalized patients with COVID-19. Ther. Adv. Infect. Dis. 2022, 9, 20499361221095732. [Google Scholar] [CrossRef]
- Yang, W.; Cao, Q.; Qin, L.; Wang, X.; Cheng, Z.; Pan, A.; Dai, J.; Sun, Q.; Zhao, F.; Qu, J.; et al. Clinical characteristics and imaging manifestations of the 2019 novel coronavirus disease (COVID-19): A multi-center study in Wenzhou city, Zhejiang, China. J. Infect. 2020, 80, 388–393. [Google Scholar] [CrossRef] [Green Version]
- Kurt, A.F.; Mete, B.; Urkmez, S.; Demirkiran, O.; Dumanli, G.Y.; Bozbay, S.; Dilken, O.; Karaali, R.; Balkan, I.I.; Saltoğlu, N.; et al. Incidence, Risk Factors, and Prognosis of Bloodstream Infections in COVID-19 Patients in Intensive Care: A Single-Center Observational Study. J. Intensiv. Care Med. 2022, 8850666221103495, Epub ahead of print. [Google Scholar] [CrossRef] [PubMed]
- Yang, S.; Hua, M.; Liu, X.; Du, C.; Pu, L.; Xiang, P.; Wang, L.; Liu, J. Bacterial and fungal co-infections among COVID-19 patients in intensive care unit. Microbes Infect. 2021, 23, 104806. [Google Scholar] [CrossRef] [PubMed]
- Kurra, N.; Woodard, P.I.; Gandrakota, N.; Gandhi, H.; Polisetty, S.R.; Ang, S.P.; Patel, K.P.; Chitimalla, V.; Ali Baig, M.M.; Samudrala, G. Opportunistic Infections in COVID-19: A Systematic Review and Meta-Analysis. Cureus 2022, 14, e23687. [Google Scholar] [CrossRef] [PubMed]
- White, P.L.; Dhillon, R.; Cordey, A.; Hughes, H.; Faggian, F.; Soni, S.; Pandey, M.; Whitaker, H.; May, A.; Morgan, M.; et al. A National Strategy to Diagnose Coronavirus Disease 2019-Associated Invasive Fungal Disease in the Intensive Care Unit. Clin. Infect. Dis. 2021, 73, e1634–e1644. [Google Scholar] [CrossRef]
- Balacchi, C.; Brandi, N.; Ciccarese, F.; Coppola, F.; Lucidi, V.; Bartalena, L.; Parmeggiani, A.; Paccapelo, A.; Golfieri, R. Comparing the first and the second waves of COVID-19 in Italy: Differences in epidemiological features and CT findings using a semi-quantitative score. Emerg. Radiol. 2021, 28, 1055–1061. [Google Scholar] [CrossRef]
- Póvoa, H.; Chianca, G.C.; Iorio, N. COVID-19: An Alert to Ventilator-Associated Bacterial Pneumonia. Infect. Dis. Ther. 2020, 9, 417–420. [Google Scholar] [CrossRef]
- Spagnoli, L.; Morrone, M.F.; Giampieri, E.; Paolani, G.; Santoro, M.; Curti, N.; Coppola, F.; Ciccarese, F.; Vara, G.; Brandi, N.; et al. Outcome Prediction for SARS-CoV-2 Patients Using Machine Learning Modeling of Clinical, Radiological, and Radiomic Features Derived from Chest CT Images. Appl. Sci. 2022, 12, 4493. [Google Scholar] [CrossRef]
- RDS Definition Task Force; Ranieri, V.M.; Rubenfeld, G.D.; Thompson, B.T.; Ferguson, N.D.; Caldwell, E.; Fan, E.; Camp-orota, L.; Slutsky, A.S. Acute respiratory distress syndrome: The Berlin Definition. JAMA 2012, 307, 2526–2533. [Google Scholar] [CrossRef]
- Arrivé, F.; Coudroy, R.; Thille, A.W. Early Identification and Diagnostic Approach in Acute Respiratory Distress Syndrome (ARDS). Diagnostics 2021, 11, 2307. [Google Scholar] [CrossRef]
- Schauwvlieghe, A.; Rijnders, B.; Philips, N.; Verwijs, R.; Vanderbeke, L.; Van Tienen, C.; Lagrou, K.; Verweij, P.E.; Van de Veerdonk, F.L.; Gommers, D.; et al. Invasive aspergillosis in patients admitted to the intensive care unit with severe influenza: A retrospective cohort study. Lancet Respir. Med. 2018, 6, 782–792. [Google Scholar] [CrossRef]
- Blot, S.I.; Taccone, F.S.; Van den Abeele, A.M.; Bulpa, P.; Meersseman, W.; Brusselaers, N.; Dimopoulos, G.; Paiva, J.A.; Misset, B.; Rello, J.; et al. A clinical algorithm to diagnose invasive pulmonary aspergillosis in critically ill patients. Am. J. Respir. Crit. Care Med. 2012, 186, 56–64. [Google Scholar] [CrossRef] [PubMed] [Green Version]
- Tovoli, F.; Renzulli, M.; Negrini, G.; Brocchi, S.; Ferrarini, A.; Andreone, A.; Benevento, F.; Golfieri, R.; Morselli-Labate, A.M.; Mastroroberto, M.; et al. Inter-operator variability and source of errors in tumour response assessment for hepatocellular carcinoma treated with sorafenib. Eur. Radiol. 2018, 28, 3611–3620. [Google Scholar] [CrossRef] [PubMed]
- Russo, V.; Renzulli, M.; La Palombara, C.; Fattori, R. Congenital diseases of the thoracic aorta. Role of MRI and MRA. Eur Radiol. 2006, 16, 676–684. [Google Scholar] [CrossRef] [PubMed]
- Garcia-Vidal, C.; Sanjuan, G.; Moreno-García, E.; Puerta-Alcalde, P.; Garcia-Pouton, N.; Chumbita, M.; Fernandez-Pittol, M.; Pitart, C.; Inciarte, A.; Bodro, M.; et al. COVID-19 Researchers Group. Incidence of co-infections and superinfections in hospitalized patients with COVID-19: A retrospective cohort study. Clin. Microbiol. Infect. 2021, 27, 83–88. [Google Scholar] [CrossRef]
- Kubin, C.J.; McConville, T.H.; Dietz, D.; Zucker, J.; May, M.; Nelson, B.; Istorico, E.; Bartram, L.; Small-Saunders, J.; Sobieszczyk, M.E.; et al. Characterization of Bacterial and Fungal Infections in Hospitalized Patients with Coronavirus Disease 2019 and Factors Associated with Health Care-Associated Infections. Open Forum Infect. Dis. 2021, 8, ofab201. [Google Scholar] [CrossRef]
- Qin, C.; Zhou, L.; Hu, Z.; Zhang, S.; Yang, S.; Tao, Y.; Xie, C.; Ma, K.; Shang, K.; Wang, W.; et al. Dysregulation of Immune Response in Patients with Coronavirus 2019 (COVID-19) in Wuhan, China. Clin. Infect. Dis. 2020, 71, 762–768. [Google Scholar] [CrossRef]
- Li, H.; Liu, L.; Zhang, D.; Xu, J.; Dai, H.; Tang, N.; Su, X.; Cao, B. SARS-CoV-2 and viral sepsis: Observations and hypotheses. Lancet 2020, 395, 1517–1520. [Google Scholar] [CrossRef]
- Uyeki, T.M.; Bernstein, H.H.; Bradley, J.S.; Englund, J.A.; File, T.M.; Fry, A.M.; Gravenstein, S.; Hayden, F.G.; Harper, S.A.; Hirshon, J.M.; et al. Clinical Practice Guidelines by the Infectious Diseases Society of America: 2018 Update on Diagnosis, Treatment, Chemoprophylaxis, and Institutional Outbreak Management of Seasonal Influenzaa. Clin. Infect. Dis. 2019, 68, e1–e47. [Google Scholar] [CrossRef]
- Luzzati, R.; Antozzi, L.; Bellocco, R.; Del Bravo, P.; Mirandola, M.; Procaccio, F.; Cirillo, F.M.; Romiti, P.; Sarti, A.; Manani, G.; et al. La prevalenza delle infezioni nosocomiali nelle Unità di Terapia Intensiva del Triveneto in Italia [Prevalence of nosocomial infections in Intensive Care Units in Triveneto area, Italy]. Minerva Anestesiol. 2001, 67, 647–652. [Google Scholar]
- Ponce de León-Rosales, S.P.; Molinar-Ramos, F.; Domínguez-Cherit, G.; Rangel-Frausto, M.S.; Vázquez-Ramos, V.G. Prevalence of infections in intensive care units in Mexico: A multicenter study. Crit. Care Med. 2000, 28, 1316–1321. [Google Scholar] [CrossRef]
- Muscedere, J.; Ofner, M.; Kumar, A.; Long, J.; Lamontagne, F.; Cook, D.; McGeer, A.; Chant, C.; Marshall, J.; Jouvet, P.; et al. The occurrence and impact of bacterial organisms complicating critical care illness associated with 2009 influenza A(H1N1) infection. Chest 2013, 144, 39–47. [Google Scholar] [CrossRef] [PubMed]
- Klein, E.Y.; Monteforte, B.; Gupta, A.; Jiang, W.; May, L.; Hsieh, Y.H.; Dugas, A. The frequency of influenza and bacterial coinfection: A systematic review and meta-analysis. Influ. Other Respir. Viruses 2016, 10, 394–403. [Google Scholar] [CrossRef] [Green Version]
- MacIntyre, C.R.; Chughtai, A.A.; Barnes, M.; Ridda, I.; Seale, H.; Toms, R.; Heywood, A. The role of pneumonia and secondary bacterial infection in fatal and serious outcomes of pandemic influenza a(H1N1)pdm09. BMC Infect. Dis. 2018, 18, 637. [Google Scholar] [CrossRef] [PubMed] [Green Version]
- Chertow, D.S.; Memoli, M.J. Bacterial coinfection in influenza: A grand rounds review. JAMA 2013, 309, 275–282. [Google Scholar] [CrossRef] [PubMed]
- Bassetti, M.; Giacobbe, D.R.; Grecchi, C.; Rebuffi, C.; Zuccaro, V.; Scudeller, L.; FUNDICU investigators. Performance of existing definitions and tests for the diagnosis of invasive aspergillosis in critically ill, adult patients: A systematic review with qualitative evidence synthesis. J. Infect. 2020, 81, 131–146. [Google Scholar] [CrossRef] [PubMed]
- Donnelly, J.P.; Chen, S.C.; Kauffman, C.A.; Steinbach, W.J.; Baddley, J.W.; Verweij, P.E.; Clancy, C.J.; Wingard, J.R.; Lockhart, S.R.; Groll, A.H.; et al. Revision and Update of the Consensus Definitions of Invasive Fungal Disease from the European Organization for Research and Treatment of Cancer and the Mycoses Study Group Education and Research Consortium. Clin. Infect. Dis. 2020, 71, 1367–1376. [Google Scholar] [CrossRef] [Green Version]
- Casalini, G.; Giacomelli, A.; Ridolfo, A.; Gervasoni, C.; Antinori, S. Invasive Fungal Infections Complicating COVID-19: A Narrative Review. J. Fungi 2021, 7, 921. [Google Scholar] [CrossRef]
- Lai, C.C.; Yu, W.L. COVID-19 associated with pulmonary aspergillosis: A literature review. J. Microbiol. Immunol. Infect. 2021, 54, 46–53. [Google Scholar] [CrossRef]
- Koehler, P.; Cornely, O.A.; Böttiger, B.W.; Dusse, F.; Eichenauer, D.A.; Fuchs, F.; Hallek, M.; Jung, N.; Klein, F.; Persigehl, T.; et al. COVID-19 associated pulmonary aspergillosis. Mycoses 2020, 63, 528–534. [Google Scholar] [CrossRef]
- van Arkel, A.; Rijpstra, T.A.; Belderbos, H.; van Wijngaarden, P.; Verweij, P.E.; Bentvelsen, R.G. COVID-19-associated Pulmonary Aspergillosis. Am. J. Respir. Crit. Care Med. 2020, 202, 132–135. [Google Scholar] [CrossRef]
- Versyck, M.; Zarrougui, W.; Lambiotte, F.; Elbeki, N.; Saint-Leger, P. Invasive pulmonary aspergillosis in COVID-19 critically ill patients: Results of a French monocentric cohort. J. Mycol. Med. 2021, 31, 101122. [Google Scholar] [CrossRef] [PubMed]
- Koehler, P.; Bassetti, M.; Chakrabarti, A.; Chen, S.; Colombo, A.L.; Hoenigl, M.; Klimko, N.; Lass-Flörl, C.; Oladele, R.O.; Vinh, D.C.; et al. Defining and managing COVID-19-associated pulmonary aspergillosis: The 2020 ECMM/ISHAM consensus criteria for research and clinical guidance. Lancet Infect. Dis. 2021, 21, e149–e162. [Google Scholar] [CrossRef]
- Palanisamy, N.; Vihari, N.; Meena, D.S.; Kumar, D.; Midha, N.; Tak, V.; Sharma, A.; Bohra, G.K.; Kothari, N.; Dutt, N.; et al. Clinical profile of bloodstream infections in COVID-19 patients: A retrospective cohort study. BMC Infect. Dis. 2021, 21, 933. [Google Scholar] [CrossRef] [PubMed]
- Bahceci, I.; Yildiz, I.E.; Duran, O.F.; Soztanaci, U.S.; Kirdi Harbawi, Z.; Senol, F.F.; Demiral, G. Secondary Bacterial Infection Rates Among Patients With COVID-19. Cureus 2022, 14, e22363. [Google Scholar] [CrossRef] [PubMed]
- Bardi, T.; Pintado, V.; Gomez-Rojo, M.; Escudero-Sanchez, R.; Azzam Lopez, A.; Diez-Remesal, Y.; Martinez Castro, N.; Ruiz-Garbajosa, P.; Pestaña, D. Nosocomial infections associated to COVID-19 in the intensive care unit: Clinical characteristics and outcome. Eur J. Clin. Microbiol. Infect. Dis. 2021, 40, 495–502. [Google Scholar] [CrossRef]
- Giacobbe, D.R.; Battaglini, D.; Ball, L.; Brunetti, I.; Bruzzone, B.; Codda, G.; Crea, F.; De Maria, A.; Dentone, C.; Di Biagio, A.; et al. Bloodstream infections in critically ill patients with COVID-19. Eur. J. Clin. Investig. 2020, 50, e13319. [Google Scholar] [CrossRef]
- Ripa, M.; Galli, L.; Poli, A.; Oltolini, C.; Spagnuolo, V.; Mastrangelo, A.; Muccini, C.; Monti, G.; De Luca, G.; Landoni, G.; et al. Secondary infections in patients hospitalized with COVID-19: Incidence and predictive factors. Clin. Microbiol. Infect. 2021, 27, 451–457. [Google Scholar] [CrossRef]
- Zoumot, Z.; Bonilla, M.F.; Wahla, A.S.; Shafiq, I.; Uzbeck, M.; El-Lababidi, R.M.; Hamed, F.; Abuzakouk, M.; ElKaissi, M. Pulmonary cavitation: An under-recognized late complication of severe COVID-19 lung disease. BMC Pulm. Med. 2021, 21, 24. [Google Scholar] [CrossRef]
- Kurys-Denis, E.; Grzywa-Celińska, A.; Celiński, R. Lung cavitation as a consequence of coronavirus-19 pneumonia. Eur. Rev. Med. Pharmacol Sci. 2021, 25, 5936–5941. [Google Scholar] [CrossRef]
- Kruse, J.M.; Zickler, D.; Lüdemann, W.M.; Piper, S.K.; Gotthardt, I.; Ihlow, J.; Greuel, S.; Horst, D.; Kahl, A.; Eckardt, K.U.; et al. Evidence for a thromboembolic pathogenesis of lung cavitations in severely ill COVID-19 patients. Sci. Rep. 2021, 11, 16039. [Google Scholar] [CrossRef]
- Hussien, A.; Lin, C.T. CT findings of fungal pneumonia with emphasis on aspergillosis. Emerg. Radiol. 2018, 25, 685–689. [Google Scholar] [CrossRef] [PubMed]
- Rai, D.K.; Priyadarshi, R.K.; Karmaker, S. Study to assess aetiology, clinical and imaging characteristics of post COVID-19 pulmonary cavitation. J. Family Med. Prim. Care 2022, 11, 739–743. [Google Scholar] [CrossRef] [PubMed]
- Marchiori, E.; Nobre, L.F.; Hochhegger, B.; Zanetti, G. Pulmonary cavitation in patients with COVID-19. Clin. Imaging 2021, 88, 78–79. [Google Scholar] [CrossRef] [PubMed]
- Özgül, H.A.; Özgen Alpaydın, A.; Yiğit, S.; Gezer, N.S. Pulmonary cavitations as an atypical CT finding in COVID-19 patients. Clin. Imaging 2021, 79, 1–2. [Google Scholar] [CrossRef]
- Baratella, E.; Roman-Pognuz, E.; Zerbato, V.; Minelli, P.; Cavallaro, M.; Cova, M.A.; Luzzati, R.; Lucangelo, U.; Sanson, G.; Friso, F.; et al. Potential links between COVID-19-associated pulmonary aspergillosis and bronchiectasis as detected by high resolution computed tomography. Front. Biosci. 2021, 26, 1607–1612. [Google Scholar] [CrossRef]
- Suliman, A.M.; Bitar, B.W.; Farooqi, A.A.; Elarabi, A.M.; Aboukamar, M.R.; Abdulhadi, A.S. COVID-19-Associated Bronchiectasis and Its Impact on Prognosis. Cureus 2021, 13, e15051. [Google Scholar] [CrossRef]
- Lopinto, J.; Teulier, M.; Milon, A.; Voiriot, G.; Fartoukh, M. Severe hemoptysis in post-tuberculosis bronchiectasis precipitated by SARS-CoV-2 infection. BMC Pulm. Med. 2020, 20, 244. [Google Scholar] [CrossRef]
- Georgakopoulou, V.E.; Avramopoulos, P.; Papalexis, P.; Bitsani, A.; Damaskos, C.; Garmpi, A.; Gkoufa, A.; Garmpis, N.; Mantzouranis, K.; Chlapoutakis, S.; et al. Exacerbation of bronchiectasis by Pseudomonas putida complicating COVID-19 disease: A case report. Exp. Ther. Med. 2021, 22, 1452. [Google Scholar] [CrossRef]
- Ghashghaee, A.; Behzadifar, M.; Azari, S.; Farhadi, Z.; Luigi Bragazzi, N.; Behzadifar, M.; Saeedi Shahri, S.S.; Ghaemmohamadi, M.S.; Ebadi, F.; Mohammadibakhsh, R.; et al. Prevalence of nosocomial infections in Iran: A systematic review and meta-analysis. Med. J. Islam. Repub. Iran 2018, 32, 48. [Google Scholar] [CrossRef]
- Alqahtani, J.S.; Alghamdi, S.M.; Aldhahir, A.M.; Althobiani, M.; Raya, R.P.; Oyelade, T. Thoracic imaging outcomes in COVID-19 survivors. World J. Radiol. 2021, 13, 149–156. [Google Scholar] [CrossRef]
- Shaw, B.; Daskareh, M.; Gholamrezanezhad, A. The lingering manifestations of COVID-19 during and after convalescence: Update on long-term pulmonary consequences of coronavirus disease 2019 (COVID-19). Radiol. Med. 2021, 126, 40–46. [Google Scholar] [CrossRef] [PubMed]




| Total (n = 95) | Patients with Co-Infections/Superinfections (n = 63) | Patients without Co-Infections/Superinfections (n = 32) | p | |
|---|---|---|---|---|
| Age [mean (SD)] | 64.2 (±10.5) | 63.9 (±9.7) | 64.8 (±12.0) | n.s. |
| Sex [n (%)] | n.s. | |||
| Male | 71 (74.7%) | 48 (76.2%) | 23 (71.9%) | |
| Female | 24 (25.3%) | 15 (23.8%) | 9 (28.1%) | |
| BMI [mean (SD)] | 29.5 (±5.2) | 29.3 (±5.3) | 30.4 (±4.7) | n.s. |
| Comorbidities [n (%)] | ||||
| Diabetes | 17 (17.9%) | 13 (20.6%) | 4 (12.5%) | n.s. |
| Recent Transplant | 5 (5.3%) | 5 (7.9%) | 0 (0.0%) | n.s. |
| Lymphoproliferative disorders | 10 (10.5%) | 7 (11.1%) | 3 (9.4%) | n.s. |
| White blood cell (×109/L) [mean (SD)] | 10.6 (±7.8) | 10.3 (±6.0) | 11.4 (±10.7) | n.s. |
| Lymphocyte (×109/L) [mean (SD)] | 2.0 (±6.9) | 1.3 (±4.0) | 3.4 (±10.4) | n.s. |
| COVID-19 related complications [n (%)] | ||||
| Barotrauma | 14 (14.7%) | 10 (15.9%) | 4 (12.5%) | n.s. |
| Pulmonary thromboembolism | 16 (16.8%) | 11 (17.5%) | 5 (15.6%) | n.s. |
| Encephalic complication | 5 (5.3%) | 3 (4.8%) | 2 (6.3%) | n.s. |
| Abdominal complication | 21 (22.1%) | 16 (25.4%) | 5 (15.6%) | n.s. |
| Mortality [n (%)] | 41 (43.2%) | 33 (52.4%) | 8 (25%) | 0.016 |
| CT imaging features [n (%)] | ||||
| Ground-glass opacities | 68 (71.6%) | 48 (75.0%) | 20 (64.5%) | n.s. |
| Crazy paving | 66 (69.5%) | 47 (73.4%) | 19 (61.3%) | n.s. |
| Consolidations | 82 (86.3%) | 59 (93.7%) | 23 (71.9%) | 0.009 |
| Cavitations | 16 (16.8%) | 15 (23.8%) | 1 (3.1%) | 0.010 |
| Bronchiectasis | 17 (17.9%) | 16 (25.4%) | 1 (3.1%) | 0.009 |
| Reticulations | 29 (30.5%) | 21 (32.8%) | 8 (25.8%) | n.s |
| Bronchial distortions | 31 (32.6%) | 25 (39.1%) | 6 (19.4%) | n.s. |
| Pleural effusion | 30 (31.6%) | 22 (34.4%) | 8 (25.8%) | n.s. |
| Pericardial effusion | 5 (5.3%) | 3 (4.7%) | 2 (6.5%) | n.s. |
| Lymph nodes (>10 mm) | 19 (20.0%) | 14 (21.9%) | 5 (16.1%) | n.s. |
| n (%) | |
|---|---|
| Patients with co-infections/superinfections | 63 (66.3%) |
| Bacterial co-infections/superinfections | 33 (52.4%) |
| Bacterial and fungal co-infections/superinfections | 27 (42.9%) |
| Fungal co-infections/superinfections | 3 (4.8%) |
| Mixed co-infections/superinfections | 23 (36.5%) |
| Identified microbes | 162 |
| Bacteria | 130 (80.2%) |
| Gram-negative | 87 (66.9%) |
| Gram-positive | 43 (33.1%) |
| Fungi | 32 (19.8%) |
| Patients with pulmonary co-infection/superinfection | 52 (82.5%) |
| Identified respiratory microbes | 81 |
| Aspergillus spp. | 19 (23.5%) |
| Klebsiella pneumoniae | 16 (19.7%) |
| Pseudomonas aeruginosa | 8 (9.9%) |
| Acinetobacter baumannii | 8 (9.9%) |
| Staphylococcus aureus | 7 (8.6%) |
| Candida spp. | 6 (7.4%) |
| Escherichia coli | 4 (4.9%) |
| Enterococcus faecium | 3 (3.7%) |
| Stenotrophomonas maltophilia | 3 (3.7%) |
| Citrobacter spp. | 2 (2.5%) |
| Corynebacterium striatum | 2 (2.5%) |
| Streptococcus pneumoniae | 1 (1.2%) |
| Morganella morganii | 1 (1.2%) |
| Serratia mascescens | 1 (1.2%) |
| Patients with bloodstream co-infection/superinfection | 43 (68.2%) |
| Identified bloodstream microbes | 64 |
| Enterococcus faecium | 11 (17.2%) |
| Acinetobacter baumannii | 9 (14.1%) |
| Pseudomonas aeruginosa | 8 (12.5%) |
| Klebsiella Pneumoniae | 8 (12.5%) |
| Staphylococcus epidermidis | 8 (12.5%) |
| Staphylococcus aureus | 5 (7.8%) |
| Candida spp. | 4 (6.2%) |
| Escherichia coli | 4 (6.2%) |
| Enterococcus faecalis | 3 (4.7%) |
| Enterobacter spp. | 3 (4.7%) |
| Serratia marcescens | 1 (1.6%) |
| Patients with urinary tract co-infection/superinfection | 16 (25.4%) |
| Identified urinary microbes | 17 |
| Acinetobacter baumannii | 4 (23.5%) |
| Candida spp. | 3 (17.6%) |
| Escherichia coli | 3 (17.6%) |
| Enterococcus faecium | 3 (17.6%) |
| Klebsiella pneumoniae | 2 (11.8%) |
| Pseudomonas aeruginosa | 1 (5.9%) |
| Corynebacterium striatum | 1 (5.9%) |
| Pulmonary Co-Pathogen (n = 52) | No Pulmonary Co-Pathogen (n = 11) | p | Invasive Pulmonary Aspergillosis (n = 19) | No Invasive Pulmonary Aspergillosis (n = 33) | p | |
|---|---|---|---|---|---|---|
| CT imaging features [n (%)] | ||||||
| Consolidations | 52 (100%) | 8 (72.7%) | 0.004 | 19 (100%) | 33 (100%) | - |
| Cavitations | 16 (30.8%) | 0 (0.0%) | 0.052 | 14 (73.7%) | 2 (6.1%) | <0.001 |
| Bronchiectasis | 16 (30.8%) | 0 (0.0%) | 0.052 | 15 (78.9%) | 1 (3.0%) | <0.001 |
| Baseline CT (n = 95) | Follow-Up CT (n = 33) | p | |
|---|---|---|---|
| CT imaging features [n (%)] | |||
| Ground-glass opacities | 68 (71.6%) | 17 (51.5%) | n.s. |
| Crazy paving | 66 (69.5%) | 18 (54.5%) | n.s. |
| Consolidations | 82 (86.3%) | 29 (87.9%) | n.s. |
| Cavitations | 16 (16.8%) | 10 (30.3%) | n.s. |
| Bronchiectasis | 17 (17.9%) | 6 (18.2%) | n.s. |
| Reticulations | 29 (30.5%) | 21 (63.6%) | 0.001 |
| Bronchial distortions | 31 (32.6%) | 19 (57.6%) | 0.011 |
| Pleural effusion | 30 (31.6%) | 13 (39.4%) | n.s. |
| Pericardial effusion | 5 (5.3%) | 1 (3.0%) | n.s. |
| Lymph nodes (>10 mm) | 19 (20.0%) | 8 (24.2%) | n.s. |
Publisher’s Note: MDPI stays neutral with regard to jurisdictional claims in published maps and institutional affiliations. |
© 2022 by the authors. Licensee MDPI, Basel, Switzerland. This article is an open access article distributed under the terms and conditions of the Creative Commons Attribution (CC BY) license (https://creativecommons.org/licenses/by/4.0/).
Share and Cite
Brandi, N.; Ciccarese, F.; Balacchi, C.; Rimondi, M.R.; Modolon, C.; Sportoletti, C.; Capozzi, C.; Renzulli, M.; Paccapelo, A.; Castelli, A.; et al. Co-Infections and Superinfections in COVID-19 Critically Ill Patients Are Associated with CT Imaging Abnormalities and the Worst Outcomes. Diagnostics 2022, 12, 1617. https://doi.org/10.3390/diagnostics12071617
Brandi N, Ciccarese F, Balacchi C, Rimondi MR, Modolon C, Sportoletti C, Capozzi C, Renzulli M, Paccapelo A, Castelli A, et al. Co-Infections and Superinfections in COVID-19 Critically Ill Patients Are Associated with CT Imaging Abnormalities and the Worst Outcomes. Diagnostics. 2022; 12(7):1617. https://doi.org/10.3390/diagnostics12071617
Chicago/Turabian StyleBrandi, Nicolò, Federica Ciccarese, Caterina Balacchi, Maria Rita Rimondi, Cecilia Modolon, Camilla Sportoletti, Chiara Capozzi, Matteo Renzulli, Alexandro Paccapelo, Andrea Castelli, and et al. 2022. "Co-Infections and Superinfections in COVID-19 Critically Ill Patients Are Associated with CT Imaging Abnormalities and the Worst Outcomes" Diagnostics 12, no. 7: 1617. https://doi.org/10.3390/diagnostics12071617
APA StyleBrandi, N., Ciccarese, F., Balacchi, C., Rimondi, M. R., Modolon, C., Sportoletti, C., Capozzi, C., Renzulli, M., Paccapelo, A., Castelli, A., & Golfieri, R. (2022). Co-Infections and Superinfections in COVID-19 Critically Ill Patients Are Associated with CT Imaging Abnormalities and the Worst Outcomes. Diagnostics, 12(7), 1617. https://doi.org/10.3390/diagnostics12071617

