Evaluation of Well-Being Status of Near-Threatened Gangetic Leaf Fish Nandus nandus (Hamilton, 1822) in the Kawadighi Haor: Implications to Haor Fishery Management in the Northeastern Bangladesh
Abstract
1. Introduction
2. Materials and Methods
2.1. Study Area
2.2. Sample Collection
2.3. Data Collection
2.4. Measurement of Morphometric and Gastrointestinal Parameters
2.5. Histology of Gut
2.6. Ethical Statement
2.7. Data Analysis
3. Results and Discussion
3.1. Morphology of Digestive Tract
3.2. Biometrical and Gastrointestinal Parameters
3.3. VSI and HSI Parameters
3.4. Relationship between Dependent and Independent Variables
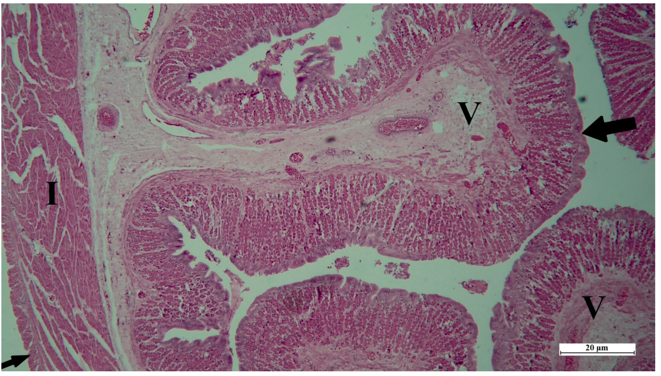
3.5. Histological Observation of Gut
4. People’s Perceptions about Threats to N. nandus
5. Management Implications and Conservation Approach of N. nandus
6. Conclusions
Author Contributions
Funding
Institutional Review Board Statement
Informed Consent Statement
Data Availability Statement
Acknowledgments
Conflicts of Interest
References
- Iqbal, M.; Kanon, M.H.; Hossain, M.A.; Hossain, A.; Nasren, S.; Islam, M.J.; Rahman, M.A. Diversity of indigenous fish species in Konoskhaihaor, Northeast Bangladesh. Punjab Univ. J. Zool. 2015, 30, 73–79. [Google Scholar]
- Newaz, M.W.; Rahman, S. Wetland resource governance in Bangladesh: An analysis of community-based co-management approach. Environ. Dev. 2019, 32, 100446. [Google Scholar] [CrossRef]
- Pandit, D.; Saha, S.; Kunda, M.; Harun-Al-Rashid, A. Indigenous Freshwater Ichthyofauna in the Dhanu River and Surrounding Wetlands of Bangladesh: Species Diversity, Availability, and Conservation Perspectives. Conservation 2021, 1, 241–257. [Google Scholar] [CrossRef]
- Mustafi, S.K.; Kunda, M.; Khan, A.K.M.F.; Mazumder, S.K.; Pandit, D. Conserving nutrient rich small indigenous species of fish in the wetlands of north-eastern Bangladesh. AACL Bioflux 2022, 15, 2238–2252. [Google Scholar]
- Kunda, M.; Ray, D.; Pandit, D.; Harun-Al-Rashid, A. Establishment of a fish sanctuary for conserving indigenous fishes in the largest freshwater swamp forest of Bangladesh: A community-based management approach. Heliyon 2022, 8, e09498. [Google Scholar] [CrossRef]
- Hossain, M.; Rabby, A. Seasonality of physicochemical parameters and fin fish diversity at Hakaluki Haor (Fenchungonj Upazilla), Sylhet, Bangladesh. Mar. Life Sci. 2020, 2, 113–119. [Google Scholar]
- Kamal, M.A.H.M.; Kawsar, M.A.; Pandit, D.; Kunda, M.; Tabassum, K.; Alam, M.T. Fish Biodiversity at Kawadighi Haor of Northeastern Bangladesh: Addressing Fish Diversity, Production and Conservation Status. Aquat. Sci. Eng. 2022, 37, 151–160. [Google Scholar] [CrossRef]
- Pandit, D.; Shefat, S.H.T.; Kunda, M. Fish Diversity Decline Threatens Small-Scale Fisheries in the Haor Basin of Bangladesh. Small in Scale, Big in Contributions: Advancing Knowledge of Small-Scale Fisheries in Bangladesh; TBTI Global Publication Series: St. John’s, NL, Canada, 2022. [Google Scholar]
- Kawsar, M.A.; Alam, M.T.; Kabir, M.A.; Harun-Al-Rashid, A.; Bapary, M.A.J. Monthly Analysis of Gut Content of Near Threatened Nandus nandus (Hamilton, 1822) at Kawadighi Haor in Northern Bangladesh. Egypt. J. Aquat. Biol. Fish. 2022, 26, 825–840. [Google Scholar] [CrossRef]
- Sultana, M.A.; Pandit, D.; Barman, S.K.; Tikadar, K.K.; Tasnim, N.; Fagun, I.A.; Hussain, A.; Kunda, M. A review of fish diversity, decline drivers, and management of the Tanguar Haor ecosystem: A globally recognized Ramsar site in Bangladesh. Heliyon 2022, 8, e11875. [Google Scholar] [CrossRef]
- Hossain, M.A.; Afsana, K.; Azad Shah, A.K.M. Nutritional value of some small indigenous fish species (SIS) of Bangladesh. Bangladesh J. Fish. Res. 1999, 3, 77–85. [Google Scholar]
- Ali, M.Y. Small indigenous fish species culture in Bangladesh. In Proceedings of the National Workshop on Small Indigenous Fish culture in Bangladesh, IFADEP-SP 2, Dhaka, Bangladesh, 12 December 1997. [Google Scholar]
- Talwar, P.K.; Jhingran, A.G. Inland Fishes of India and Adjacent Countries; CRC Press: Boca Raton, FL, USA, 1991; Volume 2, p. 541. [Google Scholar]
- FishBase. World Wide Web Electronic Publication. Froese, R.; Pauly, D. (Eds.) Available online: https://www.fishbase.org (accessed on 11 November 2022).
- Rajbanshi, K.G.; Csavas, I. Establishment of Fish Seed Production Centre Project, Bhutan. Aquaculture development in Bhutan. A Report. Field Doument 1; FAO: Québec City, QC, Canada, 1982. [Google Scholar]
- Saha, D.K.; Akter, N.; Das, M. Natural Breeding of Meni Fish (Nandus nandus) in Rice Fields; Islam, Z., Ed.; CARE Bangladesh: Dhaka, Bangladesh, 2022; pp. 118–119. [Google Scholar]
- Rainboth, W.J. FAO Species Identification Field Guide for Fishery Purpose; Fish of the Cambodian Mekong: Rome, Italy, 1996; p. 265. [Google Scholar]
- Mustafa, G.; Ahmed, A.T.A.; Islam, K.R. Food, feeding habits and fecundity of a freshwater perch, meni fish. Bangladesh J. Agric. 1980, 5, 205–210. [Google Scholar]
- Dutta, A.L.; Chakraborty, D.; Dey, S.K.; Manna, A.K.; Manna, P.K. Ornamental Fishes of Coastal West Bengal, India Prospects of Conservation and Involvement of Local Fishermen. Nat. Resour. 2013, 4, 32233. [Google Scholar] [CrossRef]
- Bovenkerk, B.; Meijboom, F. Ethics and the Welfare of Fish. Welf. Fish 2020, 20, 19–42. [Google Scholar] [CrossRef]
- Hossain, M.Y.; Hossen, M.A.; Khatun, D.; Nawer, F.; Parvin, M.F.; Rahman, O.; Hossain, M.A. Growth, condition, maturity and mortality of the Gangetic leaf fish Nandus nandus (Hamilton, 1822) in the Ganges River (Northwestern Bangladesh). Jordan J. Biol. Sci. 2017, 10, 57–62. [Google Scholar]
- Nadia, Z.M.; Saha, N.; Roy, P.; Iqbal, A.; Sarmin, M.S.; Hossain, Y. Evaluating biometric indices for Indian Gagata, Gagata cenia (Hamilton, 1822) through multi-model inferences. Heliyon 2022, 9, e12739. [Google Scholar] [CrossRef]
- Saha, S.; Nasren, S.; Pandit, D.; Mian, S. An Overview of the Biological Features, Distribution, and Conservation of a Critically Endangered Riverine Catfish, Bagarius bagarius (Hamilton, 1822), in the Natural Waters of Bangladesh. Conservation 2021, 1, 350–367. [Google Scholar] [CrossRef]
- King, M. Fisheries Biology, Assessment and Management, 2nd ed.; Blackwell Scientific Publications: Oxford, UK, 2007; pp. 1–381. [Google Scholar]
- Hossain, M.A.; Bapary, M.A.J.; Rahman, A. A multi-model analysis of growth and maturity biometrics in common Snakeheads, Channa striata, and Channa punctatus collected from Hakaluki Haor, Northeast Bangladesh. Acta Aquat. Turc. 2021, 17, 429–439. [Google Scholar] [CrossRef]
- Jisr, N.; Younes, G.; Sukhn, C.; El-Dakdouki, M.H. Length-weight relationships and relative condition factor of fish inhabiting the marine area of the Eastern Mediterranean city, Tripoli-Lebanon. Egypt. J. Aquat. Res. 2018, 44, 299–305. [Google Scholar] [CrossRef]
- Uddin, S.; Hasan, M.H.; Iqbal, M.M.; Hossain, M.A. Study on the reproductive biology of Vietnamese climbing perch (Anabas testudineus, Bloch). Punjab Univ. J. Zool. 2017, 32, 1–7. [Google Scholar]
- Moutopoulos, D.K.; Stergiou, K.I. Length-weight and length-length relationships of fish species from the Aegean Sea (Greece). J. Appl. Ichthyol. 2002, 18, 200–203. [Google Scholar] [CrossRef]
- Hossain, M.Y. Morphometric relationships of length-weight and length-length of four cyprinid small indigenous fish species from the Padma River (NW Bangladesh). Turk. J. Fish. Aquat. Sci. 2010, 10, 131–134. [Google Scholar] [CrossRef]
- Alam, M.M.; Rahman, M.T.; Parween, S. Morphometric characters and condition factors of five freshwater fishes from Pagla River of Bangladesh. Int. J. Aquat. Biol. 2014, 2, 14–19. [Google Scholar]
- Hasan, R.; Hossain, M.A.; Islam, R.; Iqbal, M.M. Does commercial probiotics improve the growth performance and hematological parameters of Nile tilapia, Oreochromis niloticus? Aquat. Res. 2021, 4, 160–168. [Google Scholar] [CrossRef]
- Hossain, M.A.; Sutradhar, L.; Sarker, T.R.; Saha, S.; Iqbal, M.M. Toxic effects of chlorpyrifos on the growth, hematology, and different organs histopathology of Nile tilapia, Oreochromis niloticus. Saudi J. Biol. Sci. 2022, 29, 103316. [Google Scholar] [CrossRef] [PubMed]
- Ujjania, N.C.; Kohli, M.P.S.; Sharma, L.L. Length-weight relationship and condition factors of Indian major carps (Catla catla, Labeo rohita and Cirrhinus mrigala) in Mahi Bajaj Sagar, India. Res. J. Biol. 2012, 2, 30–36. [Google Scholar]
- Dan-Kishiya, A.S. Length-weight relationship and condition factor of five fish species from a tropical water supply reservoir in Abuja, Nigeria. Am. J. Res. Commun. 2013, 1, 175–187. [Google Scholar]
- Xiong, D.; Zhang, L.; Yu, H.; Xie, C.; Kong, Y.; Zeng, Y.; Huo, B.; Liu, Z. A study of morphology and histology of the alimentary tract of Glyptosternum maculatum (Sisoridae, Siluriformes). Acta Zool. 2011, 92, 161–169. [Google Scholar] [CrossRef]
- Yashpal, M.; Kumari, U.; Mittal, S.; Kumar Mittal, A. Surface architecture of the mouth cavity of a carnivorous fish Rita rita (Hamilton, 1822) (Siluriformes, Bagridae). Belg. J. Zool. 2006, 136, 155. [Google Scholar]
- Germano, R.M.; Stabille, S.R.; de Britto Mari, R.; Pereira, J.N.B.; Faglioni, J.R.S.; de Miranda Neto, M.H. Morphological characteristics of the Pterodoras granulosus digestive tube (V. alenciennes, 1821) (O. steichthyes, D. oradidae). Acta Zool. 2014, 95, 166–175. [Google Scholar] [CrossRef]
- Santos, C.M.; Duarte, S.; Souza, T.G.; Ribeiro, T.P.; Sales, A.; Araújo, F.G. Histologia e caracterização histoquímica do tubo gastrintestinal de Pimelodus maculatus (Pimelodidae, Siluriformes) no reservatório de Funil, Rio de Janeiro, Brasil. Iheringia. Série Zool. 2007, 97, 411–417. [Google Scholar] [CrossRef]
- Díaz, A.O.; Garcia, A.M.; DeVincenti, C.V.; Goldemberg, A.L. Morphological and Histochemical Characterization of the Mucosa of the Digestive Tract in Engraulis anchoita (Hubbs and Marini, 1935). Anat. Histol. Embryol. 2003, 32, 341–346. [Google Scholar] [CrossRef] [PubMed]
- Hussain, M.; Hossain, M.A.; Begum, M.; Roy, N.C. Freshwater mussel (Lamelliedens marginalis) to reduce the lead (Pb) bioaccumulation in aquaculture of stinging catfish, Heteropneustes fossilis. J. Appl. Aquac. 2022, 1–17. [Google Scholar] [CrossRef]
- Islam, R.; Hossain, M.A.; Afrose, F.; Roy, N.C.; Iqbal, M.M. Effect of temperature on the growth performance, haematological properties and histomorphology of gill, intestine and liver tissues in juvenile butter catfish Ompok bimaculatus. Aquac. Fish Fish. 2022, 2, 277–286. [Google Scholar] [CrossRef]
- Nasruddin, N.S.; Azmai, M.N.A.; Ismail, A.; Saad, M.Z.; Daud, H.M.; Zulkifli, S.Z. Histological Features of the Gastrointestinal Tract of Wild Indonesian Shortfin Eel, Anguilla bicolor bicolor (McClelland, 1844), Captured in Peninsular Malaysia. Sci. World J. 2014, 2014, 312670. [Google Scholar] [CrossRef] [PubMed]
- Albrecht, M.P.; Ferreira MF, N.; Caramaschi, E.P. Anatomical features and histology of the digestive tract of two related neotropical omnivorous fishes (Characiformes; Anostomidae). J. Fish Biol. 2001, 58, 419–430. [Google Scholar] [CrossRef]
- IUCN (International Union for Conservation of Nature). Red List of Bangladesh. Volume 5: Freshwater Fishes; IUCN: Fontainebleau, France, 2015; p. 136. [Google Scholar]
- Ng, H.H. Red List of Threatened Species; IUCN: Fontainebleau, France, 2010. [Google Scholar] [CrossRef]
- IUCN. Red Book of Threatened Fishes of Bangladesh; IUCN-The World Conservation Union: Fontainebleau, France, 2000; pp. 9–24. [Google Scholar]
- Rahman, M.M.; Alam, M.M.M.; Zaman, T. Relationship between total length and digestive tract of different car-nivorous fishes. Progress. Agric. 2012, 23, 39–49. [Google Scholar] [CrossRef]
- Zohora, N.; Khan, M.M.R.; Ahammad, A.K.S.; Hasan, M. Morphological and allozyme variation of three wild meni (Nandus nandus, Hamilton) populations in Bangladesh. Int. J. BioRes. 2010, 1, 33–40. [Google Scholar]
- Goswami, S.; Das Gupta, M. Biology of Nandus nandus (Hamilton) from fish genetic resource centre at new alluvial zone of West Bengal and its natural habitat. Indian J. Fish. 2004, 51, 193–198. [Google Scholar]
- Hubbs, C.L.; Lagler, K.F. Fishes of the Great Lakes Region, 2nd ed.; University Michigan Press: Ann Arbor, MI, USA, 1958; 213p. [Google Scholar]
- Van-Dyk, J.C.; Pieterse, G.M. A histo-morphological study of the testis of the sharptooth catfish (Clarias gariepinus) as reference for future toxicological assessments. J. Appl. Ichthyol. 2008, 24, 415–422. [Google Scholar] [CrossRef]
- Delashoub, M.; Pousty, I.; Khojasteh, S.M.B. Histology of Bighead Carp (Hypophthalmichthys nobilis) Intestine. Glob. Vet. 2010, 5, 302–306. [Google Scholar]
- Islam, M.A. Studies on the morphology and histology of the alimentary canal of Mystus gulio (Ham). Bangladesh J. Zool. 1985, 13, 7–11. [Google Scholar]
- Lagler, K.F.; Bardach, J.E.; Miller, R.R.; Passino, D.R.M. Ichthyology, 2nd ed.; John Wiley and Sons: New York, NY, USA, 1977; pp. 129–170. [Google Scholar]
- Mookerjee, H.K.; Das, B.K. Gut of the carnivorous and herbivorous fishes in relation to their food at different stages of life. Proc. Nat. Inst. Sci. India 1945, 32, 109–110. [Google Scholar]
- Peretti, D.; Andrian, I.F. Feeding and morphological analysis of the digestive tract of four species of fish (Astyanax altiparanae, Parauchenipterus galeatus, Serrasalmus marginatus and Hoplias aff. malabaricus) from the upper Paraná River floodplain, Brazil. Braz. J. Biol. 2008, 68, 671–679. [Google Scholar] [CrossRef] [PubMed]
- Adams, S.M.; McLean, R.B.; Parrotta, J.A. Energy partitioning in large mouth bass under conditions of seasonally fluctuating prey availability. Trans. Am. Fish. Soc. 1982, 111, 549–558. [Google Scholar] [CrossRef]
- Hassan, H.U.; Ali, Q.M.; Ahmad, N.; Masood, Z.; Hossain, Y.; Gabol, K.; Khan, W.; Hussain, M.; Ali, A.; Attaullah, M.; et al. Assessment of growth characteristics, the survival rate and body composition of Asian sea bass Lates calcarifer (Bloch, 1790) under different feeding rates in closed aquaculture system. Saudi J. Biol. Sci. 2021, 28, 1324–1330. [Google Scholar] [CrossRef]
- Yıldız, M. The study of fillet quality and the growth performance of rainbow trout (Oncorhynchus mykiss) fed with diets containing different amounts of vitamin E. Turk. J. Fish. Aquat. Sci 2004, 4, 81–86. [Google Scholar]
- Liu, Z.-L.; Zhao, W.; Hu, W.-S.; Zhu, B.; Xie, J.-J.; Liu, Y.-J.; Tian, L.-X.; Niu, J. Lipid metabolism, growth performance, antioxidant ability and intestinal morphology of rainbow trout (Oncorhynchus mykiss) under cage culture with flowing water were affected by dietary lipid levels. Aquac. Rep. 2021, 19, 100593. [Google Scholar] [CrossRef]
- Ighwela, K.A.; Ahmad, A.B.; Munafi, A.B.A. The selection of viscera somatic and hepato somatic indices for the measurement and analysis of Oreochromis niloticus condition fed with varying dietary maltose levels. Int. J. Fauna Biol. Stud. 2014, 1, 18–20. [Google Scholar]
- Ahmad, M.; Qureshi, T.A.; Singh, A. Effect of dietary protein, lipid and carbohydrate contents on the viscera composition and organ Indices of Cyprinus carpio communis fingerlings. Afr. J. Biotechnol. 2012, 11, 8361–8366. [Google Scholar]
- Ashwini, L.; Benakappa, S.; Anjanayappa, H.N.; Akshay, L. Observation on the Gonado-Somatic Index-GSI and Hepato-Somatic Index-HSI of Decapterus russelli Mangaluru Coast. Int. J. Eng. Sci. Comput. 2016, 6, 7396–7399. [Google Scholar]
- Ayoade, A.A. Length-weight relationship and diet of African carp Labeo ogunensis (Boulenger, 1910) in Asejire Lake Southwestern Nigeria. J. Fish. Aquat. Sci. 2011, 6, 472–478. [Google Scholar] [CrossRef]
- Faradonbe, M.Z.; Eagderi, S.; Naserabad, S.S. Length-weight relationships and condition factor of three fish species from Taleghan River (Alborz Province, Iran). J. Adv. Bot. Zool. 2015, 2, 1–3. [Google Scholar]
- Yadav, A.K.; Srivastava, P.S.; Chowdhary, S.; Lakra, W.S.; Shrivastava, P.; Daya, R. Histological alterations in the intestine of threatened Asian catfish, Clarias batrachus fed with different types of fats through semi-purified diets. Adv. Appl. Sci. Res. 2014, 5, 35–41. [Google Scholar]
- Ghosh, S.K.; Chakrabarti, P. Histological and histochemical characterization on stomach of Mystus cavasius (Hamilton), Oreochromis niloticus (Linnaeus) and Gudusia chapra (Hamilton): Comparative study. J. Basic Appl. Zool. 2015, 70, 16–24. [Google Scholar] [CrossRef]
- Aziz, M.S.B.; Hasan, N.A.; Mondol, M.M.R.; Alam, M.M.; Haque, M.M. Decline in fish species diversity due to climatic and anthropogenic factors in Hakaluki Haor, an ecologically critical wetland in northeast Bangladesh. Heliyon 2021, 7, e05861. [Google Scholar] [CrossRef]
- Hussain, M.G. Freshwater fishes of Bangladesh: Fisheries, biodiversity and habitat. Aquat. Ecosyst. Health Manag. 2010, 13, 85–93. [Google Scholar] [CrossRef]
- Khan, M.A.R.; Ali, M.M.; Salam, M.A.; Kunda, M.; Pandit, D. Impact of fish sanctuary on fish biodiversity and livelihoods of fishermen in Kolavanga Beel of Bangladesh. World J. Fish Mar. Sci. 2018, 10, 46–54. [Google Scholar]
- Wahab, M.A. Small indigenous fish species of Bangladesh: Potentials for culture and conservation. In Small Indigenous Species of Fish in Bangladesh: Culture Potentials for Improved Nutrition & Livelihood; Wahab, M.A., Thilsted, S.H., Hoq, M.E., Eds.; Bangladesh Agricultural University: Mymensingh, Bangladesh, 2003; pp. 1–12. [Google Scholar]






| Month | Fish Weight (gm) | Total Length (cm) | Standard Length (cm) | Body Depth (cm) | Liver Weight (gm) | Viscera Weight (gm) | Gut Length (cm) | Stomach Length (cm) | Intestine Length (cm) |
|---|---|---|---|---|---|---|---|---|---|
| Jan | 17.40 ± 3.44 a | 9.70 ± 0.90 a | 8.10 ± 0.60 a | 3.32 ± 0.42 a | 0.30 ± 0.05 a | 0.79 ± 0.11 ab | 9.39 ± 0.89 a | 2.36 ± 0.34 a | 7.03 ± 0.59 a |
| Feb | 50.88 ± 8.65 c | 13.94 ± 0.85 c | 11.88 ± 0.76 cd | 4.04 ± 0.32 bc | 0.83 ± 0.17 cd | 1.28 ± 0.42 cd | 22.05 ± 19.21 c | 2.62 ± 0.24 ab | 19.43 ± 19.28 b |
| Mar | 44.11 ± 10.00 c | 13.40 ± 0.73 c | 11.40 ± 0.65 cd | 3.90 ± 0.55 bc | 0.73 ± 0.20 cd | 1.96 ± 0.36 e | 12.50 ± 1.07 ab | 3.02 ± 0.48 bc | 9.48 ± 0.78 a |
| Apr | 46.18 ± 6.28 c | 13.22 ± 0.38 c | 11.26 ± 0.34 cd | 3.96 ± 0.17 bc | 0.74 ± 0.11 cd | 1.92 ± 0.23 e | 12.82 ± 0.43 ab | 3.24 ± 0.74 bc | 9.58 ± 0.94 a |
| May | 46.22 ± 16.09 c | 13.54 ± 1.88 c | 12.10 ± 0.55 d | 4.36 ± 0.31 c | 0.74 ± 0.22 cd | 1.56 ± 0.49 de | 12.93 ± 1.82 ab | 2.66 ± 0.21 ab | 10.27 ± 1.74 a |
| Jun | 38.30 ± 8.32 bc | 12.86 ± 1.29 c | 11.60 ± 0.23 cd | 4.24 ± 0.22 c | 0.88 ± 0.12 d | 1.83 ± 0.32 e | 13.42 ± 1.96 ab | 3.39 ± 0.70 cd | 10.03 ± 1.31 a |
| Jul | 46.86 ± 6.51 c | 13.80 ± 0.42 c | 11.84 ± 0.50 cd | 4.04 ± 0.43 bc | 0.72 ± 0.13 cd | 1.09 ± 0.21 bc | 13.38 ± 0.44 ab | 2.72 ± 0.40 ab | 10.66 ± 0.39 a |
| Aug | 48.03 ± 9.85 c | 13.80 ± 1.15 c | 11.30 ± 1.04 cd | 4.12 ± 0.62 bc | 0.67 ± 0.31 cd | 1.10 ± 0.29 bc | 13.44 ± 0.98 ab | 3.98 ± 0.22 d | 9.46 ± 0.76 a |
| Sep | 43.85 ± 13.97 c | 13.46 ± 1.53 c | 11.88 ± 1.11 cd | 4.20 ± 0.46 c | 0.62 ± 0.18 bc | 1.83 ± 0.63 e | 18.36 ± 1.03 bc | 3.48 ± 0.43 cd | 14.88 ± 0.62 ab |
| Oct | 27.41 ± 12.69 ab | 11.40 ± 1.52 b | 9.60 ± 1.08 b | 3.24 ± 0.43 a | 0.30 ± 0.17 a | 0.50 ± 0.19 a | 11.10 ± 1.54 ab | 3.42 ± 0.35 cd | 7.68 ± 1.44 a |
| Nov | 38.06 ± 3.67 bc | 12.94 ± 0.86 c | 10.96 ± 0.86 c | 3.94 ± 0.17 bc | 0.44 ± 0.09 ab | 1.23 ± 0.07 bcd | 12.58 ± 0.94 ab | 3.56 ± 0.62 cd | 9.02 ± 0.91 a |
| Dec | 49.31 ± 2.66 c | 13.24 ± 0.56 c | 11.20 ± 0.57 cd | 3.60 ± 0.29 ab | 0.75 ± 0.05 cd | 1.75 ± 0.15 e | 12.88 ± 0.64 ab | 3.52 ± 0.40 cd | 9.36 ± 0.56 a |
| Threats to N. nandus | Perceptions % (n = 300) |
|---|---|
| Complete drying of interconnecting beels | 98.67 |
| Overexploitation | 93.33 |
| Sedimentation | 83.33 |
| Climate change (drought in winter or summer, raising temperature) | 90.33 |
| Inclusion of invasive ecxotic species | 91.67 |
Disclaimer/Publisher’s Note: The statements, opinions and data contained in all publications are solely those of the individual author(s) and contributor(s) and not of MDPI and/or the editor(s). MDPI and/or the editor(s) disclaim responsibility for any injury to people or property resulting from any ideas, methods, instructions or products referred to in the content. |
© 2023 by the authors. Licensee MDPI, Basel, Switzerland. This article is an open access article distributed under the terms and conditions of the Creative Commons Attribution (CC BY) license (https://creativecommons.org/licenses/by/4.0/).
Share and Cite
Kawsar, M.A.; Hossain, M.A.; Pandit, D.; Kabir, M.A.; Alam, M.T. Evaluation of Well-Being Status of Near-Threatened Gangetic Leaf Fish Nandus nandus (Hamilton, 1822) in the Kawadighi Haor: Implications to Haor Fishery Management in the Northeastern Bangladesh. Conservation 2023, 3, 175-190. https://doi.org/10.3390/conservation3010013
Kawsar MA, Hossain MA, Pandit D, Kabir MA, Alam MT. Evaluation of Well-Being Status of Near-Threatened Gangetic Leaf Fish Nandus nandus (Hamilton, 1822) in the Kawadighi Haor: Implications to Haor Fishery Management in the Northeastern Bangladesh. Conservation. 2023; 3(1):175-190. https://doi.org/10.3390/conservation3010013
Chicago/Turabian StyleKawsar, Md. Abu, Mohammad Amzad Hossain, Debasish Pandit, Muhammad Anamul Kabir, and Md. Tariqul Alam. 2023. "Evaluation of Well-Being Status of Near-Threatened Gangetic Leaf Fish Nandus nandus (Hamilton, 1822) in the Kawadighi Haor: Implications to Haor Fishery Management in the Northeastern Bangladesh" Conservation 3, no. 1: 175-190. https://doi.org/10.3390/conservation3010013
APA StyleKawsar, M. A., Hossain, M. A., Pandit, D., Kabir, M. A., & Alam, M. T. (2023). Evaluation of Well-Being Status of Near-Threatened Gangetic Leaf Fish Nandus nandus (Hamilton, 1822) in the Kawadighi Haor: Implications to Haor Fishery Management in the Northeastern Bangladesh. Conservation, 3(1), 175-190. https://doi.org/10.3390/conservation3010013

