Partial Purification of Bacillus cereus Enzyme Expression for Bio-Pulping of Lignin Degraders Isolated from Coptotermus curvignathus †
Abstract
1. Introduction
2. Materials and Methods
2.1. Protein Extraction
2.2. Total Protein Quantification
2.3. SDS-PAGE Electrophoresis Preparation
2.4. Protein Band Determination
2.5. Protein Sequencing Analysis
3. Results and Discussion
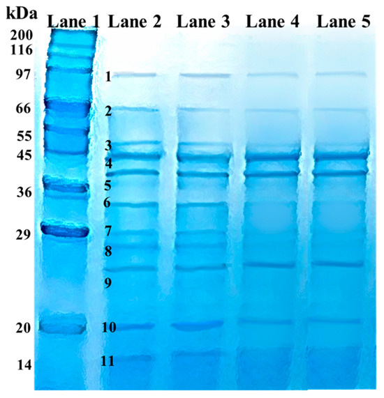
3.1. SDS PAGE Electrophoresis (Molecular Weight Determination)
3.2. Enzyme Sequencing Analysis LC-MS/MS (Enzyme Identification)
4. Conclusions
Author Contributions
Funding
Institutional Review Board Statement
Informed Consent Statement
Data Availability Statement
Conflicts of Interest
References
- Akhtar, M. Biomechanical pulping of aspen wood chips with three strains of Ceriporiopsis subvermispora. Holzforschung 1994, 48, 199–202. [Google Scholar] [CrossRef]
- Singh, P.; Sulaiman, O.; Hashim, R.; Rupani, P.F.; Peng, L.C. Biopulping of lignocellulosic material using different fungal species: A review. Rev. Environ. Sci. Biotechnol. 2010, 9, 141–151. [Google Scholar] [CrossRef]
- Bugg, T.D.H.; Ahmad, M.; Hardiman, E.M.; Singh, R. The emerging role for bacteria in lignin degradation and bio-product formation. Curr. Opin. Biotechnol. 2011, 22, 394–400. [Google Scholar] [CrossRef]
- Picart, P.; Müller, C.; Mottweiler, J.; Wiermans, L.; Bolm, C.; Domínguez de María, P.; Schallmey, A. From gene towards selective biomass valorization: Bacterial β-etherases with catalytic activity on lignin-like polymers. ChemSusChem 2014, 7, 3164–3171. [Google Scholar] [CrossRef]
- Glenn, J.K.; Gold, M.H. Purification and characterization of an extracellular Mn(II)-dependent peroxidase from the lignin-degrading basidiomycete, Phanerochaete chrysosporium. Arch. Biochem. Biophys. 1985, 242, 329–341. [Google Scholar] [CrossRef] [PubMed]
- Wariishi, H.; Gold, M.H. Manganese (II) oxidation by manganese peroxidase from the Basidiomycete Phanerochaete chrysosporium. J. Biol. Chem. 1999, 26, 23688–23695. [Google Scholar] [CrossRef]
- Syarifah, S.M.; Aripin, A.M.; Fadilat, A.; Kassim, A.S.M. Lignocellulose chemical composition and handsheet surface morphology analysis on oil palm residue biodelignification treatment using Bacillus cereus from Coptotermes curvignathus. Int. J. Eng. Trends Technol. 2020, 68, 99–107. [Google Scholar] [CrossRef]
- Raj, A.; Krishna Reddy, M.M.; Chandra, R. Identification of low molecular weight aromatic compounds by gas chromatography-mass spectrometry (GC-MS) from Kraft lignin degradation by three Bacillus sp. Int. Biodeterior. Biodegrad. 2007, 59, 292–296. [Google Scholar] [CrossRef]
- Ayed, L.; Khelifi, E.; Jannet, H.B.; Miladi, H.; Cheref, A.; Achour, S.; Bakhrouf, A. Response surface methodology for decolourization of azo dye Methyl Orange by bacterial consortium: Produced enzymes and metabolites characterization. Chem. Eng. J. 2010, 165, 200–208. [Google Scholar] [CrossRef]
- Sondhi, S.; Sharma, P.; George, N.; Chauhan, P.S.; Puri, N.; Gupta, N. An extracellular thermo-alkali-stable laccase from Bacillus tequilensis SN4, with a potential to biobleach softwood pulp. 3 Biotech 2014, 5, 175–185. [Google Scholar] [CrossRef]
- Zhu, D.; Zhang, P.; Xie, C.; Zhang, W.; Sun, J.; Qian, W.-J.; Yang, B. Biodegradation of alkaline lignin by Bacillus ligniniphilus L1. Biotechnol. Biofuels 2017, 10, 1. [Google Scholar] [CrossRef]
- Ahmed, A.A.Q.; McKay, T.J.M. Potential of Bacillus sp. LG7 as a promising source of ligninolytic enzymes for industrial and biotechnological applications. Proc. Natl. Acad. Sci. India Sect. B Biol. Sci. 2017, 89, 441–447. [Google Scholar] [CrossRef]
- Erden, E.; Ucar, M.C.; Gezer, T.; Pazarlioglu, N.K. Screening for ligninolytic enzymes from autochthonous fungi and applications for decolourization of Remazole Marine Blue. Braz. J. Microbiol. 2009, 40, 346–353. [Google Scholar] [CrossRef] [PubMed]
- Patil, S.R. Production and purification of lignin peroxidase from Bacillus megaterium and its application in bioremediation. CIBTech J. Microbiol. 2014, 3, 2319–3867. [Google Scholar]
- Solcany, V.; Vrsanska, M.; Voberkova, S. Optimization of the procedure for a ligninolytic enzymes isolation from the white rot fungi. In Proceedings of the International PhD Students Conference (Mendelnet 2016), Brno, Czech Republic, 9–10 November 2016. [Google Scholar]
- Kruger, N.J. The Bradford method for protein quantitation. In The Protein Protocols Handbook; Humana Press: Totowa, NJ, USA, 2009; pp. 17–24. [Google Scholar] [CrossRef]
- Bollag, D.M.; Roszyaki, M.D.; Edelstein, S.J. Gel electrophoresis under denaturing conditions. In Protein Methods, 2nd ed.; Wiley-Liss: New York, NY, USA, 1996; pp. 107–120. [Google Scholar]
- Manns, J.M. SDS-polyacrylamide gel electrophoresis (SDS-PAGE) of proteins. Curr. Protoc. Microbiol. 2011, 22, 1–13. [Google Scholar] [CrossRef]
- Nowakowski, A.B.; Wobig, W.J.; Petering, D.H. Native SDS-PAGE: High resolution electrophoretic separation of proteins with retention of native properties including bound metal ions. Metallomics 2014, 6, 1068–1078. [Google Scholar] [CrossRef]
- Bringans, S.; Eriksen, S.; Kendrick, T.; Gopalakrishnakone, P.; Livk, A.; Lock, R. Proteomic analyses of the venom of Heterometrus longimanus (Asian black scorpion). Proteomics 2008, 8, 1081–1096. [Google Scholar] [CrossRef]
- Atshan, S.S.; Shamsudin, M.N.; Sekawi, Z.; Lung, L.T.T.; Barantalab, F.; Liew, Y.K.; Hamat, R.A. Comparative proteomic analysis of extracellular proteins expressed by various clonal types of Staphylococcus aureus and during planktonic growth and biofilm development. Front. Microbiol. 2015, 6, 524. [Google Scholar] [CrossRef]
- Foray, V.; Pelisson, P.; Bel-Venner, M.; Desouhant, E.; Venner, S.; Menu, F.; Rey, B. A handbook for uncovering the complete energetic budget in insects: The Van Handel’s method (1985) revisited. Physiol. Entomol. 2012, 37, 295–302. [Google Scholar] [CrossRef]
- Lai, C.M.T.; Chua, H.B.; Danquah, M.K.; Saptoro, A. Isolation of thermophilic lignin degrading bacteria from oil-palm empty fruit bunch (efb) compost. IOP Conf. Ser. Mater. Sci. Eng. 2017, 206, 012016. [Google Scholar] [CrossRef]
- Aslam, S.; Asgher, M. Partial purification and characterization of ligninolytic enzymes produced by Pleurotus ostreatus during solid state fermentation. Afr. J. Biotechnol. 2011, 10, 17875–17883. [Google Scholar] [CrossRef]
- Davarpanah, S.J.; Ahn, J.W.; Ko, S.M.; Jung, S.H.; Park, Y.I.; Liu, J.R. Stable expression of a fungal laccase protein using transplastomic tobacco. Plant Biotechnol. Rep. 2012, 6, 305–312. [Google Scholar] [CrossRef]
- Hofrichter, M.; Ullrich, R.; Pecyna, M.J.; Liers, C.; Lundell, T. New and classic families of secreted fungal heme peroxidases. Appl. Microbiol. Biotechnol. 2010, 87, 871–897. [Google Scholar] [CrossRef]
- Ngo, A.C.R.; Conrad, C.; Gómez Baraibar, Á.; Matura, A.; van Pée, K.-H.; Tischler, D. Characterization of two hydrogen peroxide resistant peroxidases from Rhodococcus opacus 1CP. Appl. Sci. 2021, 11, 7941. [Google Scholar] [CrossRef]
- Santos, A.; Mendes, S.; Brissos, V.; Martins, L.O. New dye-decolourizing peroxidases from Bacillus subtilis and Pseudomonas putida MET94: Towards biotechnological applications. Appl. Microbiol. Biotechnol. 2013, 98, 2053–2065. [Google Scholar] [CrossRef]
- Kishor, R.; Saratale, G.D.; Saratale, R.G.; Ferreira, L.F.R.; Bilal, M.; Iqbal, H.M.; Bharagava, R.N. Efficient degradation and detoxification of methylene blue dye by a newly isolated ligninolytic enzyme producing bacterium Bacillus albus MW407057. Colloids Surf. B Biointerfaces 2021, 206, 111947. [Google Scholar] [CrossRef] [PubMed]
- Nema, N.; Alamir, L.; Mohammad, M. Partial purification and molecular weight determination of cellulase from Bacillus cereus. Int. Food Res. J. 2016, 23, 894–898. [Google Scholar]
- Janusz, G.; Pawlik, A.; Sulej, J.; Świderska-Burek, U.; Jarosz-Wilkołazka, A.; Paszczyński, A. Lignin degradation: Microorganisms, enzymes involved, genomes analysis and evolution. FEMS Microbiol. Rev. 2017, 41, 941–962. [Google Scholar] [CrossRef] [PubMed]
- Shelp, B.J.; Bown, A.W.; Zarei, A. 4-Aminobutyrate (GABA): A metabolite and signal with practical significance. Botany 2017, 95, 1015–1032. [Google Scholar] [CrossRef]
- Baritugo, K.A.; Kim, H.T.; David, Y.; Khang, T.U.; Hyun, S.M.; Kang, K.H.; Park, S.J. Enhanced production of gamma-aminobutyrate (GABA) in recombinant Corynebacterium glutamicum strains from empty fruit bunch biosugar solution. Microb. Cell Fact. 2018, 17, 129. [Google Scholar] [CrossRef]
- Chen, W.; Meng, C.; Ji, J.; Li, M.-H.; Zhang, X.; Wu, Y.; Xie, T.; Du, C.; Sun, J.; Jiang, Z.; et al. Exogenous GABA promotes adaptation and growth by altering the carbon and nitrogen metabolic flux in poplar seedlings under low nitrogen conditions. Tree Physiol. 2020, 40, 1744–1761. [Google Scholar] [CrossRef]
- Ortega, C.; Anderson, L.N.; Frando, A.; Sadler, N.C.; Brown, R.W.; Smith, R.D.; Grundner, C. Systematic survey of serine hydrolase activity in Mycobacterium tuberculosis defines changes associated with persistence. Cell Chem. Biol. 2016, 23, 290–298. [Google Scholar] [CrossRef]
- Sun, S.; Xie, S.; Cheng, Y.; Yu, H.; Zhao, H.; Li, M.; Dai, S.Y. Enhancement of environmental hazard degradation in the presence of lignin: A proteomics study. Sci. Rep. 2017, 7, 11356. [Google Scholar] [CrossRef]
- Sousa, F.; Jus, S.; Erbel, A.; Kokol, V.; Cavaco-Paulo, A.; Gubitz, G.M. A novel metalloprotease from Bacillus cereus for protein fibre processing. Enzym. Microb. Technol. 2007, 40, 1772–1781. [Google Scholar] [CrossRef]
- Kamimura, N.; Takahashi, K.; Mori, K.; Araki, T.; Fujita, M.; Higuchi, Y.; Masai, E. Bacterial catabolism of lignin-derived aromatics: New findings in a recent decade: Update on bacterial lignin catabolism. Environ. Microbiol. Rep. 2017, 9, 679–705. [Google Scholar] [CrossRef]
- Zhou, S.; Zhang, J.; Ma, F.; Tang, C.; Tang, Q.; Zhang, X. Investigation of lignocellulolytic enzymes during different growth phases of Ganoderma lucidum strain G0119 using genomic, transcriptomic and secretomic analyses. PLoS ONE 2018, 13, e0198404. [Google Scholar] [CrossRef]
- Alessi, A.M.; Bird, S.M.; Oates, N.C.; Li, Y.; Dowle, A.A.; Novotny, E.H.; Bruce, N.C. Defining functional diversity for lignocellulose degradation in a microbial community using multi-omics studies. Biotechnol. Biofuels 2018, 11, 166. [Google Scholar] [CrossRef] [PubMed]
- Lambertz, C.; Ece, S.; Fischer, R.; Commandeur, U. Progress and obstacles in the production and application of recombinant lignin-degrading peroxidases. Bioengineered 2016, 7, 145–154. [Google Scholar] [CrossRef]
- Nousiainen, P.; Kontro, J.; Manner, H.; Hatakka, A.; Sipilä, J. Phenolic mediators enhance the manganese peroxidase catalyzed oxidation of recalcitrant lignin model compounds and synthetic lignin. Fungal Genet. Biol. 2014, 72, 137–149. [Google Scholar] [CrossRef]
- Yue, K.; Peng, C.; Yang, W.; Peng, Y.; Zhang, C.; Huang, C.; Wu, F. Degradation of lignin and cellulose during foliar litter decomposition in an alpine forest river. Ecosphere 2016, 7, e01523. [Google Scholar] [CrossRef]
- Venkiteshwaran, K.; Pokhrel, N.; Hussein, F.; Antony, E.; Mayer, B.K. Phosphate removal and recovery using immobilized phosphate binding proteins. Water Res. X 2018, 1, 100003. [Google Scholar] [CrossRef]
- Kumar, M.; Verma, S.; Gazara, R.K.; Kumar, M.; Pandey, A.; Verma, P.K.; Thakur, I.S. Genomic and proteomic analysis of lignin degrading and polyhydroxyalkanoate accumulating β-proteobacterium Pandoraea sp. ISTKB. Biotechnol. Biofuels 2018, 11, 154. [Google Scholar] [CrossRef]
- Michalska, K.; Chang, C.; Mack, J.C.; Zerbs, S.; Joachimiak, A.; Collart, F.R. Characterization of transport proteins for aromatic compounds derived from lignin: Benzoate derivative binding proteins. J. Mol. Biol. 2012, 423, 555–575. [Google Scholar] [CrossRef] [PubMed]
- DeAngelis, K.M.; Sharma, D.; Varney, R.; Simmons, B.; Isern, N.G.; Markilllie, L.M.; Robinson, E.W. Evidence supporting dissimilatory and assimilatory lignin degradation in Enterobacter lignolyticus SCF1. Front. Microbiol. 2013, 4, 280. [Google Scholar] [CrossRef]


| Type of Solution | Quantity/Molarity |
|---|---|
| Solution A | 30% (v/v) of acrylamide stock solution |
| Solution B (4× Separating Gel Buffer) | 2 M of Tris-HCl (pH 8.8), 10% (w/v) of SDS |
| Solution C (4× Stacking Gel Buffer) | 1 M of Tris-HCl (pH 6.8), 10% (w/v) of SDS |
| Electrophoresis Buffer (1 L) | 0.6 g of Tris Base, 14.4 g of Glycine, 1 g of SDS, and added up to 1 L of distilled water. |
| 10% (w/v) Ammonium persulfate (APS) (1 mL) | 0.1 g of APS and added up to 1 mL of distilled water. |
| 5× Sample Buffer (10 mL) | 0.6 mL of 1M Tris-HCl (pH 6.8), 5 mL of 50% (v/v) glycerol, 2 mL of 10% (w/v) SDS, 0.5 mL of β-mercaptoethanol, and 1 mL of 1% (w/v) Bromophenol Blue |
| Sample of Protein | Absorbance (595 nm) | Protein Concentration (mg/mL) |
|---|---|---|
| Negative control | 0.000 | 0.00 |
| Blank | 0.212 | 0.12 |
| Crude protein | 0.921 | 0.85 |
| Ultrafiltered protein | 1.668 | 1.62 |
| No. | Band Sizes | Enzymes | Function |
|---|---|---|---|
| 1. | 95–97 kDa |
| GABA involved in degradation pathways producing succinic acid (lignin degradation product). |
| 2. | 66–68 kDa |
| Hydrolases involved in cleavage aromatic compound degradation as well as playing a chemotaxis role in flagellar rotation for regulating the degradation. |
| 3. | 43–45 kDa |
| Oxidoreductases act as complimentary enzymes and responsible for the transferase activity involved in transferring glycosyl groups. |
| 4. | 38–40 kDa |
| A group of peroxidases which acts on prime delignification. |
| 5. | 25–27 kDa |
| A delignification product alongside the ABC transporter for binding proteins. |
| 6. | 20 kDa |
| Nitrite promotes the growth and decreases the lignin content. |
Disclaimer/Publisher’s Note: The statements, opinions and data contained in all publications are solely those of the individual author(s) and contributor(s) and not of MDPI and/or the editor(s). MDPI and/or the editor(s) disclaim responsibility for any injury to people or property resulting from any ideas, methods, instructions or products referred to in the content. |
© 2025 by the authors. Licensee MDPI, Basel, Switzerland. This article is an open access article distributed under the terms and conditions of the Creative Commons Attribution (CC BY) license (https://creativecommons.org/licenses/by/4.0/).
Share and Cite
Syarifah, S.M.; Aripin, A.M.; Ishak, N.; Anindita, N.S.; Abdul-Wahab, M.F.; Kassim, A.S.M. Partial Purification of Bacillus cereus Enzyme Expression for Bio-Pulping of Lignin Degraders Isolated from Coptotermus curvignathus. Eng. Proc. 2025, 84, 41. https://doi.org/10.3390/engproc2025084041
Syarifah SM, Aripin AM, Ishak N, Anindita NS, Abdul-Wahab MF, Kassim ASM. Partial Purification of Bacillus cereus Enzyme Expression for Bio-Pulping of Lignin Degraders Isolated from Coptotermus curvignathus. Engineering Proceedings. 2025; 84(1):41. https://doi.org/10.3390/engproc2025084041
Chicago/Turabian StyleSyarifah, Sharfina Mutia, Ashuvila Mohd Aripin, Nadiah Ishak, Nosa Septiana Anindita, Mohd Firdaus Abdul-Wahab, and Angzzas Sari Mohd Kassim. 2025. "Partial Purification of Bacillus cereus Enzyme Expression for Bio-Pulping of Lignin Degraders Isolated from Coptotermus curvignathus" Engineering Proceedings 84, no. 1: 41. https://doi.org/10.3390/engproc2025084041
APA StyleSyarifah, S. M., Aripin, A. M., Ishak, N., Anindita, N. S., Abdul-Wahab, M. F., & Kassim, A. S. M. (2025). Partial Purification of Bacillus cereus Enzyme Expression for Bio-Pulping of Lignin Degraders Isolated from Coptotermus curvignathus. Engineering Proceedings, 84(1), 41. https://doi.org/10.3390/engproc2025084041

