Multiple Osteoporotic Fractures in Cushing Syndrome: A Case Report and a Review of the Literature
Abstract
1. Introduction
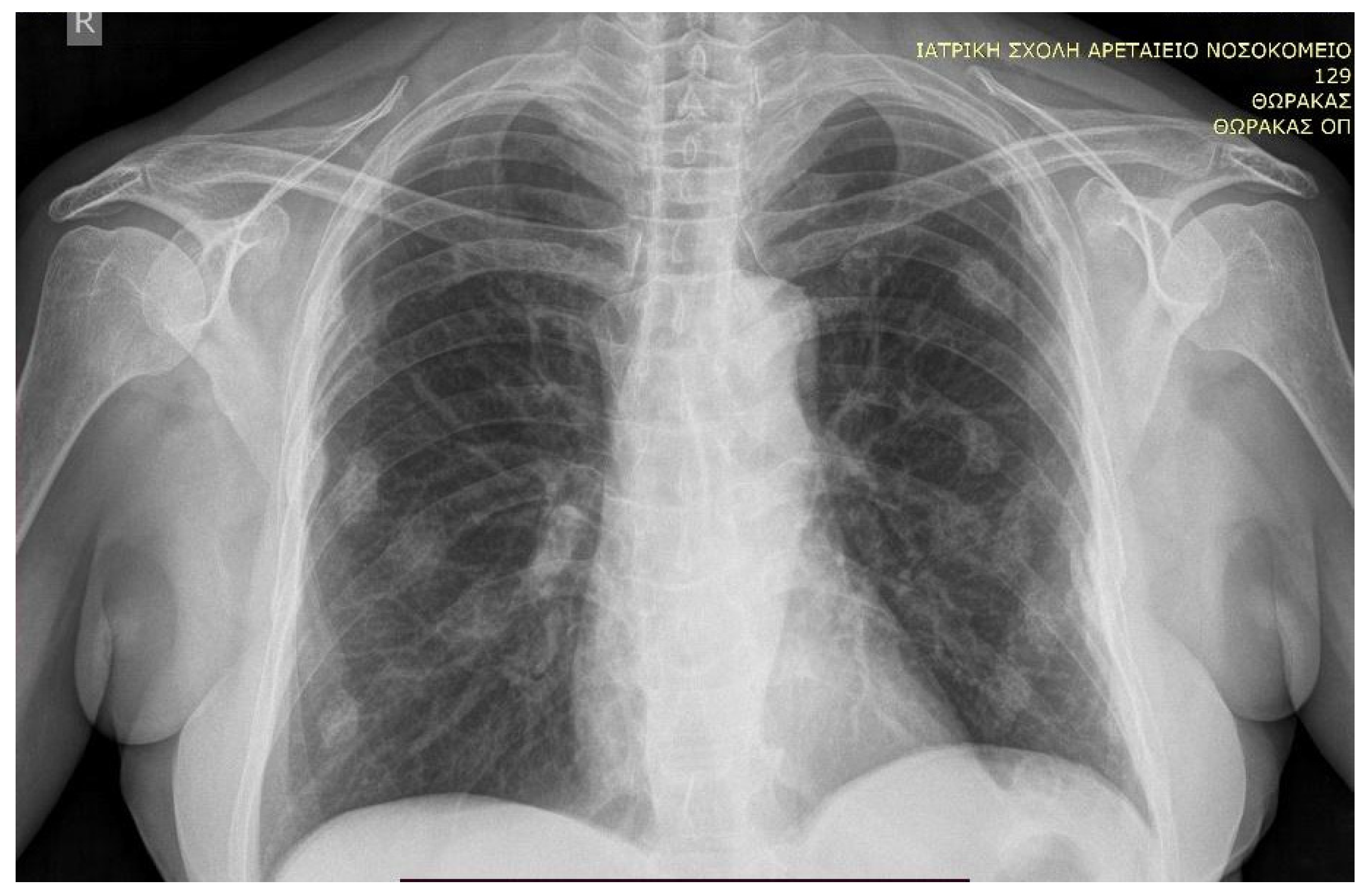
2. Case Report
2.1. Presentation
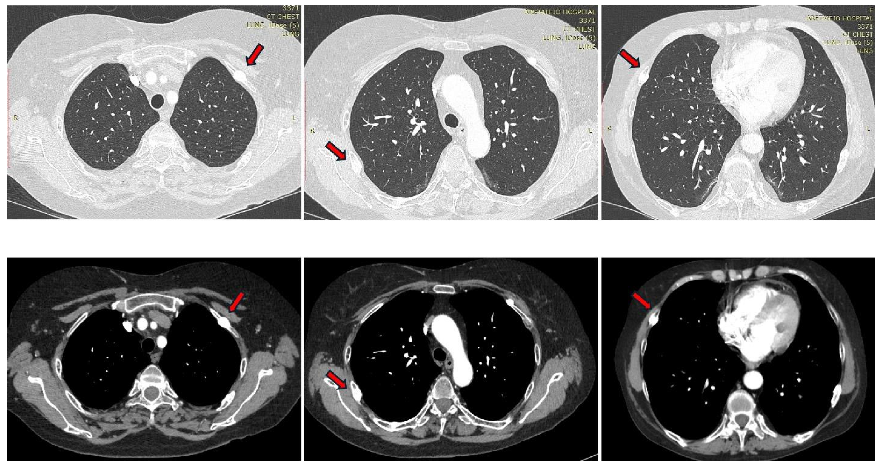
2.2. Assessment
2.3. Management
3. Literature Review and Discussion
4. Conclusions
Author Contributions
Funding
Institutional Review Board Statement
Informed Consent Statement
Data Availability Statement
Conflicts of Interest
References
- Alexandraki, K.; Spyroglou, A.; Grossman, A.B. The diagnosis of Cushing’s disease. In Pituitary Tumors: A Comprehensive and Interdisciplinary Approach; Honegger, J., Reincke, M., Petersenn, S., Eds.; Elsevier: Amsterdam, The Netherlands, 2021; pp. 219–229. [Google Scholar]
- Reincke, M.; Fleseriu, M. Cushing Syndrome: A Review. JAMA 2023, 330, 170–181. [Google Scholar] [CrossRef]
- Nieman, L.K.; Biller, B.M.; Findling, J.W.; Murad, M.H.; Newell-Price, J.; Savage, M.O.; Tabarin, A.; Endocrine, S. Treatment of Cushing’s Syndrome: An Endocrine Society Clinical Practice Guideline. J. Clin. Endocrinol. Metab. 2015, 100, 2807–2831. [Google Scholar] [CrossRef] [PubMed]
- Fleseriu, M.; Auchus, R.; Bancos, I.; Ben-Shlomo, A.; Bertherat, J.; Biermasz, N.R.; Boguszewski, C.L.; Bronstein, M.D.; Buchfelder, M.; Carmichael, J.D.; et al. Consensus on diagnosis and management of Cushing’s disease: A guideline update. Lancet Diabetes Endocrinol. 2021, 9, 847–875. [Google Scholar] [CrossRef] [PubMed]
- Violetis, O.; Alexandraki, K.I. New Trends in Treating Cushing’s Disease. Touchreviews Endocrinol. 2024, 20, 10–15. [Google Scholar] [CrossRef]
- Alexandraki, K.I.; Grossman, A.B. Novel insights in the diagnosis of Cushing’s syndrome. Neuroendocrinology 2010, 92 (Suppl. S1), 35–43. [Google Scholar] [CrossRef] [PubMed]
- Valassi, E.; Santos, A.; Yaneva, M.; Toth, M.; Strasburger, C.J.; Chanson, P.; Wass, J.A.; Chabre, O.; Pfeifer, M.; Feelders, R.A.; et al. The European Registry on Cushing’s syndrome: 2-year experience. Baseline demographic and clinical characteristics. Eur. J. Endocrinol. 2011, 165, 383–392. [Google Scholar] [CrossRef]
- Nieman, L.K.; Biller, B.M.; Findling, J.W.; Newell-Price, J.; Savage, M.O.; Stewart, P.M.; Montori, V.M. The diagnosis of Cushing’s syndrome: An Endocrine Society Clinical Practice Guideline. J. Clin. Endocrinol. Metab. 2008, 93, 1526–1540. [Google Scholar] [CrossRef]
- Alexandraki, K.; Grossman, A.B. Florid Cushing’s Syndrome. In Endotext; Feingold, K.R., Ed.; MDText.com, Inc.: Fairhaven, MA, USA, 2018. [Google Scholar]
- Tavares Bello, C.; van der Poest Clement, E.; Feelders, R. Severe Cushing’s syndrome and bilateral pulmonary nodules: Beyond ectopic ACTH. Endocrinol. Diabetes Metab. Case Rep. 2017, 2017, 17–0100. [Google Scholar] [CrossRef]
- Alexandraki, K.I.; Grossman, A.B. The ectopic ACTH syndrome. Rev. Endocr. Metab. Disord. 2010, 11, 117–126. [Google Scholar] [CrossRef]
- Wang, C.C.; Robbins, L.L. Cushing’s disease: Its roentgenographic findings. Radiology 1956, 67, 17–25. [Google Scholar] [CrossRef]
- Braun, L.T.; Fazel, J.; Zopp, S.; Benedix, S.; Osswald-Kopp, A.; Riester, A.; Rubinstein, G.; Seidensticker, M.; Beuschlein, F.; Drey, M.; et al. The Effect of Biochemical Remission on Bone Metabolism in Cushing’s Syndrome: A 2-Year Follow-Up Study. J. Bone Miner. Res. 2020, 35, 1711–1717. [Google Scholar] [CrossRef] [PubMed]
- Vestergaard, P.; Lindholm, J.; Jorgensen, J.O.; Hagen, C.; Hoeck, H.C.; Laurberg, P.; Rejnmark, L.; Brixen, K.; Kristensen, L.O.; Feldt-Rasmussen, U.; et al. Increased risk of osteoporotic fractures in patients with Cushing’s syndrome. Eur. J. Endocrinol. 2002, 146, 51–56. [Google Scholar] [CrossRef]
- Parasiliti-Caprino, M.; Bioletto, F.; Frigerio, T.; D’Angelo, V.; Ceccato, F.; Ferrau, F.; Ferrigno, R.; Minnetti, M.; Scaroni, C.; Cannavo, S.; et al. A New Clinical Model to Estimate the Pre-Test Probability of Cushing’s Syndrome: The Cushing Score. Front. Endocrinol. 2021, 12, 747549. [Google Scholar] [CrossRef] [PubMed]
- Al Banna, R.; Husain, A.; Al Aali, J.; Ebrahim, K.; Mohammed, A. Reversible cushing dilated cardiomyopathy mimicking peripartum cardiomyopathy with successful subsequent pregnancy. BMJ Case Rep. 2011, 2011, bcr0920114825. [Google Scholar] [CrossRef]
- Arduc, A.; Dogan, B.A.; Akbaba, G.; Dagdelen, I.; Kucukler, K.; Isik, S.; Ozuguz, U.; Berker, D.; Guler, S. A rare presentation of subclinical Cushing’s syndrome as a pubic fracture. Intern. Med. 2014, 53, 1779–1782. [Google Scholar] [CrossRef]
- Chaudhary, K.; Chandy, D.; Agrawal, V.; Dhawale, A.; Nagaonkar, S. Spinal Epidural Lipomatosis with Osteoporotic Vertebral Fractures Presenting as Acute Thoracic Myelopathy in a 33-Year-Old Man with Cushing Disease. World Neurosurg. 2020, 142, 136–141. [Google Scholar] [CrossRef] [PubMed]
- Cheng, J.; Ju, S.; Zhang, Z. Osteoporotic vertebral compression fractures caused by Cushing’s syndrome in young women: Case report and literature review. BMC Musculoskelet. Disord. 2023, 24, 167. [Google Scholar] [CrossRef]
- Cheng, P.Y.; Chung, S.D.; Huang, Y.Y.; Jaw, F.S.; Wu, W.C. Repeated vertebral compression fractures in young adult may imply functional adrenal tumor. Neuroendocrinol. Lett. 2022, 43, 208–212. [Google Scholar]
- Correia, S.; Ramalho, D.; Rocha, G.; Oliveira, M.J. Multiple Bone Fractures in a Patient With Difficult-to-Treat Cushing’s Disease. Cureus 2022, 14, e29401. [Google Scholar] [CrossRef]
- Forde, H.E.; Mehigan-Farrelly, N.; Ryan, K.; Moran, T.; Greally, M.; Duffy, A.G.; Byrne, M.M. Metastatic medullary thyroid carcinoma presenting as ectopic Cushing’s syndrome. Endocrinol. Diabetes Metab. Case Rep. 2021, 2021, 20–0207. [Google Scholar] [CrossRef]
- Gil-Ortiz, C.; Ramirez-Romero, A.; Bonifacio-Delgadillo, D.; Lagos-Servellon, J. Multilevel percutaneous vertebroplasty with the Spine Jack(R) system in a patient with Cushing disease. Clin. Case Rep. 2021, 9, e05034. [Google Scholar] [CrossRef] [PubMed]
- Han, J.Y.; Lee, J.; Kim, G.E.; Yeo, J.Y.; Kim, S.H.; Nam, M.; Kim, Y.S.; Hong, S. A case of cushing syndrome diagnosed by recurrent pathologic fractures in a young woman. J. Bone Metab. 2012, 19, 153–158. [Google Scholar] [CrossRef]
- Lupinska, A.; Aszkielowicz, S.; Zielinski, G.; Stawerska, R.; Lewinski, A. Osteoporosis as the First Sign of Cushing’s Disease in a Thin 16-Year-Old Boy-A Case Report. J. Clin. Med. 2023, 12, 5967. [Google Scholar] [CrossRef] [PubMed]
- Nogueira, C.; Souto, S.B.; Rios, E.; Pereira, J.; Vinha, E.; Freitas, P.; Carvalho, D. Vertebral osteoporotic fractures with height loss secondary to Cushing’s disease. Acta Reumatol. Port. 2015, 40, 310–311. [Google Scholar] [PubMed]
- Papadakis, G.; Uebelhart, B.; Goumaz, M.; Zawadynski, S.; Rizzoli, R. An unusual case of hypercortisolism with multiple weight-bearing bone fractures. Clin. Cases Miner. Bone Metab. 2013, 10, 213–217. [Google Scholar]
- Poonuru, S.; Findling, J.W.; Shaker, J.L. Lower extremity insufficiency fractures: An underappreciated manifestation of endogenous Cushing’s syndrome. Osteoporos. Int. 2016, 27, 3645–3649. [Google Scholar] [CrossRef]
- Rahimi, B.; Boroofeh, B.; Dinparastisaleh, R.; Nazifi, H. Cement pulmonary embolism after percutaneous vertebroplasty in a patient with cushing’s syndrome: A case report. Respir. Med. Case Rep. 2018, 25, 78–85. [Google Scholar] [CrossRef]
- Raj, R.; Taylor, R.K.; Owen, D. A Rapidly Progressive Case of Ectopic Adrenocorticotropic Hormone (ACTH) Syndrome. Am. J. Case Rep. 2021, 22, e934437. [Google Scholar] [CrossRef]
- Ramirez-Villaescusa, J.; Ruiz-Picazo, D.; Oliveira, C.L.; Morillas-Arino, C. Secondary thoracolumbar deformity and sagittal imbalance due to osteoporosis in a young man with Cushing’s disease: A case report. Int. J. Surg. Case Rep. 2020, 76, 134–138. [Google Scholar] [CrossRef]
- Rashid, F.; Riccio, S.A.; Munk, P.L.; Malfair, D.; Heran, M.K. Vertebroplasty for vertebral compression fractures secondary to Cushing’s syndrome induced by an ACTH-producing bronchial carcinoid tumour. Singap. Med. J. 2009, 50, e147–e150. [Google Scholar]
- Reis, B.O.; Leal, C.T.S.; Ezequiel, D.G.A.; Dos Santos Ribeiro Simoes Juliano, A.C.; de Macedo Veloso, F.L.; da Silva, L.M.; Ferreira, L.V.; Ferreira, M.; De Oliveira Souza, G.Z. Severe osteoporosis in a young man with bilateral Cushing’s syndrome: A case report. J. Med. Case Rep. 2023, 17, 251. [Google Scholar] [CrossRef] [PubMed]
- Yoshihara, A.; Okubo, Y.; Tanabe, A.; Sata, A.; Nishimaki, M.; Kawamata, T.; Kubo, O.; Hori, T.; Takano, K. A juvenile case of Cushing’s disease incidentally discovered with multiple bone fractures. Intern. Med. 2007, 46, 583–587. [Google Scholar] [CrossRef] [PubMed][Green Version]
- Zdrojowy-Welna, A.; Stachowska, B.; Bolanowski, M. Cushing’s disease and bone. Pituitary 2024. [Google Scholar] [CrossRef] [PubMed]
- Belaya, Z.E.; Hans, D.; Rozhinskaya, L.Y.; Dragunova, N.V.; Sasonova, N.I.; Solodovnikov, A.G.; Tsoriev, T.T.; Dzeranova, L.K.; Melnichenko, G.A.; Dedov, I.I. The risk factors for fractures and trabecular bone-score value in patients with endogenous Cushing’s syndrome. Arch. Osteoporos. 2015, 10, 44. [Google Scholar] [CrossRef]
- Stachowska, B.; Halupczok-Zyla, J.; Kuliczkowska-Plaksej, J.; Syrycka, J.; Bolanowski, M. Decreased Trabecular Bone Score in Patients With Active Endogenous Cushing’s Syndrome. Front. Endocrinol. 2020, 11, 593173. [Google Scholar] [CrossRef]
- Trementino, L.; Appolloni, G.; Ceccoli, L.; Marcelli, G.; Concettoni, C.; Boscaro, M.; Arnaldi, G. Bone complications in patients with Cushing’s syndrome: Looking for clinical, biochemical, and genetic determinants. Osteoporos. Int. 2014, 25, 913–921. [Google Scholar] [CrossRef]
- Frara, S.; di Filippo, L.; Doga, M.; Loli, P.; Casanueva, F.F.; Giustina, A. Novel approaches to bone comorbidity in Cushing’s disease: An update. Pituitary 2022, 25, 754–759. [Google Scholar] [CrossRef]
- Vinolas, H.; Grouthier, V.; Mehsen-Cetre, N.; Boisson, A.; Winzenrieth, R.; Schaeverbeke, T.; Mesguich, C.; Bordenave, L.; Tabarin, A. Assessment of vertebral microarchitecture in overt and mild Cushing’s syndrome using trabecular bone score. Clin. Endocrinol. 2018, 89, 148–154. [Google Scholar] [CrossRef]
- Papanastasiou, L.; Alexandraki, K.I.; Androulakis, I.I.; Fountoulakis, S.; Kounadi, T.; Markou, A.; Tsiavos, V.; Samara, C.; Papaioannou, T.G.; Piaditis, G.; et al. Concomitant alterations of metabolic parameters, cardiovascular risk factors and altered cortisol secretion in patients with adrenal incidentalomas during prolonged follow-up. Clin. Endocrinol. 2017, 86, 488–498. [Google Scholar] [CrossRef]
- Zavatta, G.; Vicennati, V.; Altieri, P.; Tucci, L.; Colombin, G.; Coscia, K.; Mosconi, C.; Balacchi, C.; Fanelli, F.; Malagrino, M.; et al. Mild autonomous cortisol secretion in adrenal incidentalomas and risk of fragility fractures: A large cross-sectional study. Eur. J. Endocrinol. 2023, 188, 343–352. [Google Scholar] [CrossRef]
- Giordano, R.; Parasiliti Caprino, M.; Loli, P.; Giustina, A. Screening for endogenous hypercortisolism in patients with osteoporosis and fractures: Why, when and how. J. Endocrinol. Investig. 2024; Online ahead of print. [Google Scholar] [CrossRef]





| Study | Origin of Cortisol Excess | Age | Sex | Vertebral or Non-Vertebral Fractures | BMD | Concomitant Conditions | 24 h UFC | ACTH | F (DST) |
|---|---|---|---|---|---|---|---|---|---|
| Al Banna, 2011 [16] | Adrenal adenoma | 29 | F | Multiple wedge fractures in lumbar spine | N/A | Pregnancy, Dilated Cardiomyopathy, Depression | 1457 nmol/L (131–451) | <0.2 pmol/L (0–10) | N/A |
| Arduc, 2014 [17] | Adrenal adenoma | 62 | F | Pubic fracture | T-score: L1-L4 −4.2, femoral neck −3.4 | Arterial Hypertension | 371 μg/24 h (20–90) | 1.1 pg/mL (7–63) | 20 μg/dL (<1.8) |
| Chaudhary, 2020 [18] | Pituitary microadenoma | 33 | M | Thoracic spine (T4, T5, T7) fractures | Z-score L1-L4 −3.1, femoral neck −1.8 | Coronary Artery Disease, Diabetes, Arterial Hypertension, Hypokalemia | 1680 μg/24 h (<400) | 103 pg/mL (7–63) | 31 μg/dL (<1.8) |
| Cheng, 2023 [19] | Adrenal adenoma | 26 | F | L1, L2, L4 vertebral and pelvic fractures | Z-score L1-L5 −4.6, femoral neck −2.1 | Obesity, Arterial Hypertension | N/A | <1 pg/mL | 812.9 nmol/L (<50) |
| Cheng, 2022 [20] | Adrenal adenoma | 48 | M | L2-L5 and T9-T12 vertebral compression fractures | T-score hip −2.6 | Diabetes, Arterial Hypertension | N/A | 8.2 pg/mL (10–60) | 29 μg/dL (0.5 mg Q6-48 h) |
| Correia, 2022 [21] | Pituitary lesion | 33 | M | T12, costal arches, dorsal columns, sternum fractures | T-score L1-L4 −3.8, femur −2.0 | None | 1190 μg/24 h | 77 pg/mL | N/A |
| Forde, 2021 [22] | Ectopic ACTH syndrome (medullary TC) | 41 | M | T8, T9, T10, T11, L2, L4, L5 vertebral, bilateral pubic rami fractures | T-score L1-L4 −2.0, femoral neck −3.2 | Obesity, Arterial Hypertension | N/A | 97 ng/L | 570 nmol/L (<50) |
| Gil-Ortiz, 2021 [23] | Pituitary adenoma | 55 | M | T5, T8, T11, T12, L1-L5 vertebral fractures | T-score femoral neck −3.2 | Obesity, Arterial Hypertension | N/A | 62 pmol/L (0–35) | N/A |
| Han, 2012 [24] | Adrenal adenoma | 28 | F | Sacrum, T6, T8, T9, T11, T12, L2, L3 vertebral, 7th, 10th rib fractures | Z-score L1-L4 −2.9, femoral neck −2.1 | Amenorrhea | N/A | 10 pg/mL | 28.4 μg/dL (<1.8) |
| Lupinska, 2023 [25] | Pituitary microadenoma | 16 | M | T5-T9, L4, L5 vertebral fractures | Z-score L1-L5 −4.2, TBLH −1.9 | Short stature, Tanner 4, Growth Retardation Since 11 y.o. | N/A | 88.9 pg/mL | 7.8 μg/dL (<1.8) |
| Nogueira, 2015 [26] | Pituitary adenoma | 37 | M | Vertebral and rib fractures | T-score lumbar spine −3.8, femur −3.6, Z-score lumbar −3.8, femur −2.7 | Arterial Hypertension, Dyslipidemia, Secondary Infertility | N/A | 118 pg/mL | 39.5 μg/dL (<1.8) |
| Papadakis, 2013 [27] | Pituitary lesion | 52 | F | Right olecranon, first, second, fourth left metatarsal, third, fourth right metatarsal, right femoral condyle | T-score lumbar spine −1.6, femur −2.3 | Total Hysterectomy (age 51) | 449 nmol/24 h | 79 ng/L (<60) | 373 nmol/L (<140) |
| Poonuru, 2016 [28] | Bilateral adrenal adenomas | 50 | F | Left tibia, right tibia fracture | T-score lumbar spine −2.1 | Arterial Hypertension | N/A | 5.1 pg/mL | 4.1 mg/dL (<1.8) |
| Rahimi, 2018 [29] | Ectopic ACTH syndrome (unknown source) | 38 | M | T7-T12 vertebral fractures | T- and Z-score spine <−2.9 | Obesity | 546 and 764 μg/24 h after low and high DST | 82 pg/mL | N/A |
| Raj, 2021 [30] | Ectopic ACTH syndrome (pulmonary nodule) | 74 | F | Hip fracture | N/A | Obesity, Edema, Hypokalemia, Diabetes, CDK 3b, Atrial Fibrillation, Heart Failure, Arterial Hypertension, Dyslipidemia | 357 mg/24 h (6–42) | 174, 229, 342 pg/mL | 62.99 μg/dL (8 mg DST) |
| Ramirez, 2020 [31] | Pituitary microadenoma | 43 | M | Rib, T6, T11, T12, L1, L2, L4, L5 fractures | T-score lumbar −2.7, femoral neck −3.1 | Arterial Hypertension | 1616.8 μg/24 h (2.3–176) | 104 pg/mL | 35.8 μg/dL (0.5 mg Q6-48 h) |
| Rashid, 2009 [32] | Ectopic ACTH syndrome (bronchial carcinoid tumor) | 36 | F | T7, T11-L2, L4, L5 vertebral fractures | T-score lumbar −1.6, femoral neck −3.0 | Edema, Hirsutism, Amenorrhea, Arterial Hypertension | N/A | 15 pmol/L (0–15) | 322 nmol/L (8 mg DST) (<50) |
| Reis, 2023 [33] | Bilateral adrenal enlargement | 20 | M | T12-L3, L5 vertebral fractures | T-score L2-L4 −5.6, femoral neck −3.5, Z-score L2-L4 −5.6, femoral neck −3.0 | Central Obesity, Arterial Hypertension | 60.3 μg/24 h (4.3–176) | N/A | 24.1 μg/dL (<1.8) |
| Yoshihara, 2007 [34] | Pituitary microadenoma | 19 | F | Spine compression fractures, right upper arm (traumatic) | T-score lumbar −3.0 | Amenorrhea, Depression, Arterial Hypertension, Hypokalemia, Impaired Glucose Tolerance | 748 μg/24 h | 128 pg/mL | N/A |
| Present case | Adrenal adenoma | 46 | F | sternum, middle phalanges of both indicators, rib, vertebral fractures T11, L1, sacrum | T-score lumbar −3.8 | Arterial Hypertension, Dyslipidemia, Diabetes | 395 μg/24 h | <2.4 pg/mL | 16.7 μg/dL (<1.8 μg/dL) |
Disclaimer/Publisher’s Note: The statements, opinions and data contained in all publications are solely those of the individual author(s) and contributor(s) and not of MDPI and/or the editor(s). MDPI and/or the editor(s) disclaim responsibility for any injury to people or property resulting from any ideas, methods, instructions or products referred to in the content. |
© 2024 by the authors. Licensee MDPI, Basel, Switzerland. This article is an open access article distributed under the terms and conditions of the Creative Commons Attribution (CC BY) license (https://creativecommons.org/licenses/by/4.0/).
Share and Cite
Spyroglou, A.; Konstantakou, P.; Iliakopoulos, K.; Themelidi, V.; Tsekoura, D.; Kolomodi, D.; Kyriakopoulos, G.; Antonakis, P.; Bramis, K.; Chatziioannou, A.; et al. Multiple Osteoporotic Fractures in Cushing Syndrome: A Case Report and a Review of the Literature. Endocrines 2024, 5, 600-612. https://doi.org/10.3390/endocrines5040043
Spyroglou A, Konstantakou P, Iliakopoulos K, Themelidi V, Tsekoura D, Kolomodi D, Kyriakopoulos G, Antonakis P, Bramis K, Chatziioannou A, et al. Multiple Osteoporotic Fractures in Cushing Syndrome: A Case Report and a Review of the Literature. Endocrines. 2024; 5(4):600-612. https://doi.org/10.3390/endocrines5040043
Chicago/Turabian StyleSpyroglou, Ariadni, Panagiota Konstantakou, Konstantinos Iliakopoulos, Vasiliki Themelidi, Dorothea Tsekoura, Denise Kolomodi, Georgios Kyriakopoulos, Pantelis Antonakis, Konstantinos Bramis, Achilles Chatziioannou, and et al. 2024. "Multiple Osteoporotic Fractures in Cushing Syndrome: A Case Report and a Review of the Literature" Endocrines 5, no. 4: 600-612. https://doi.org/10.3390/endocrines5040043
APA StyleSpyroglou, A., Konstantakou, P., Iliakopoulos, K., Themelidi, V., Tsekoura, D., Kolomodi, D., Kyriakopoulos, G., Antonakis, P., Bramis, K., Chatziioannou, A., Mastorakos, G., Konstadoulakis, M. M., & Alexandraki, K. I. (2024). Multiple Osteoporotic Fractures in Cushing Syndrome: A Case Report and a Review of the Literature. Endocrines, 5(4), 600-612. https://doi.org/10.3390/endocrines5040043

