Mitochondrial–Immune Overlap in Leber Hereditary Optic Neuropathy: A Case Report and Lessons Learned
Abstract
1. Introduction and Clinical Significance
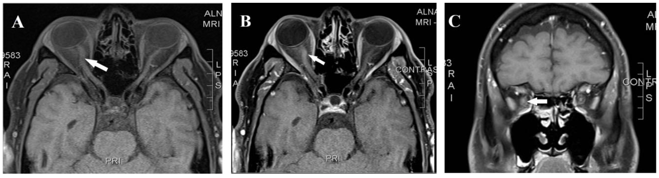
2. Case Presentation
3. Discussion
4. Conclusions
Author Contributions
Funding
Institutional Review Board Statement
Informed Consent Statement
Data Availability Statement
Acknowledgments
Conflicts of Interest
Abbreviations
| Abbreviation | Definition |
| LHON | Leber hereditary optic neuropathy |
| MS | Multiple sclerosis |
| NMOSD | Neuromyelitis optica spectrum disorder |
| LHON-MS | LHON associated with demyelinating disease (Harding’s disease) |
| MT-ND4 | Mitochondrial NADH dehydrogenase subunit 4 gene |
| MRI | Magnetic resonance imaging |
| STIR | Short tau inversion recovery |
| OCT | Optical coherence tomography |
| RNFL | Retinal nerve fiber layer |
| GCL | Ganglion cell layer |
| VEP | Visual evoked potential |
| RAPD | Relative afferent pupillary defect |
| CSF | Cerebrospinal fluid |
| OCBs | Oligoclonal bands |
| AQP4 Ab | Aquaporin-4 antibody |
| MOG Ab | Myelin oligodendrocyte glycoprotein antibody |
| ANA | Antinuclear antibody |
| ENA | Extractable nuclear antigen |
| ANCA | Anti-neutrophil cytoplasmic antibody |
| IVMP | Intravenous methylprednisolone |
| AZA | Azathioprine |
| DMT | Disease-modifying therapy |
| DIS | Dissemination in space (MS diagnostic criterion) |
| DIT | Dissemination in time (MS diagnostic criterion) |
References
- Vanopdenbosch, L.; Dubois, B.; D’Hooghe, M.B.; Meire, F.; Carton, H. Mitochondrial mutations of Leber’s hereditary optic neuropathy: A risk factor for multiple sclerosis. J. Neurol. 2000, 247, 535–543. [Google Scholar] [CrossRef] [PubMed]
- Rahimi, G.; Silverman, M.; Lucas, M.; Kazerooni, L.; Yousuf, M.M.; Jafarpour, S.; Santoro, J.D. Leber’s hereditary optic neuropathy and multiple sclerosis: Overlap between mitochondrial disease and neuroinflammation. Front. Neurol. 2025, 16, 1538358. [Google Scholar] [CrossRef] [PubMed]
- Holmøy, T.; Beiske, A.G.; Zarnovicky, S.; Myro, A.Z.; Røsjø, E.; Kerty, E. Severe inflammatory disease activity 14 months after cessation of Natalizumab in a patient with Leber’s optic neuropathy and multiple sclerosis—A case report. BMC Neurol. 2016, 16, 197. [Google Scholar] [CrossRef] [PubMed]
- Joshi, S.; Kermode, A.G. Harding’s disease: An important MS mimic. BMJ Case Rep. 2019, 12, e228337. [Google Scholar] [CrossRef] [PubMed]
- Ali, L.; Hazzard, I.; STehrani, N.; Ansari, U.; Ali, A.; Kumar, P.; Ali, N.; Gakhal, G.; Lui, F. Extraocular features of Leber hereditary optic neuropathy: A scoping review. J. Biol. Methods 2025, 12, e99010055. [Google Scholar] [CrossRef] [PubMed]
- Bargiela, D.; Chinnery, P.F. Mitochondria in neuroinflammation—Multiple sclerosis (MS), leber hereditary optic neuropathy (LHON) and LHON-MS. Neurosci. Lett. 2019, 710, 132932. [Google Scholar] [CrossRef] [PubMed]
- Sadeghian, M.; Mastrolia, V.; Rezaei Haddad, A.; Mosley, A.; Mullali, G.; Schiza, D.; Sajic, M.; Hargreaves, I.; Heales, S.; Duchen, M.R.; et al. Mitochondrial dysfunction is an important cause of neurological deficits in an inflammatory model of multiple sclerosis. Sci. Rep. 2016, 6, 33249. [Google Scholar] [CrossRef] [PubMed]
- de Barcelos, I.P.; Troxell, R.M.; Graves, J.S. Mitochondrial Dysfunction and Multiple Sclerosis. Biology 2019, 8, 37. [Google Scholar] [CrossRef] [PubMed]
- Arianti, A.; Chuman, H.; Kajihara, N.; Sakamoto, N.; Nao-IM.D, N. Atypical Clinical and Neuroimaging Findings in Leber’s Hereditary Optic Neuropathy: A Case Report. JOJ Ophthalmol. 2018, 6, 555698. [Google Scholar] [CrossRef]
- Horiuchi, K.; Nakamura, S.; Yamada, K. Leber Hereditary Optic Neuropathy With Magnetic Resonance Imaging Findings Suggestive of Optic Perineuritis and Optic Neuritis: A Diagnostic Challenge. Cureus 2025, 17, e80439. [Google Scholar] [CrossRef] [PubMed]
- Blanc, C.; Heran, F.; Habas, C.; Bejot, Y.; Sahel, J.; Vignal-Clermont, C. MRI of the Optic Nerves and Chiasm in Patients with Leber Hereditary Optic Neuropathy. J. Neuro-Ophthalmol. 2018, 38, 434–437. [Google Scholar] [CrossRef] [PubMed]
- Leber Hereditary Optic Neuropathy and Optic Neuritis: Similarities and Differences of Clinical Characteristics. Available online: https://pubmed.ncbi.nlm.nih.gov/18070523/ (accessed on 13 November 2025).
- Savini, G.; Barboni, P.; Valentino, M.L.; Montagna, P.; Cortelli, P.; De Negri, A.M.; Sadun, F.; Bianchi, S.; Longanesi, L.; Zanini, M.; et al. Retinal nerve fiber layer evaluation by optical coherence tomography in unaffected carriers with Leber’s hereditary optic neuropathy mutations. Ophthalmology 2005, 112, 127–131. [Google Scholar] [CrossRef] [PubMed]
- Inglese, M.; Rovaris, M.; Bianchi, S.; La Mantia, L.; Mancardi, G.L.; Ghezzi, A.; Montagna, P.; Salvi, F.; Filippi, M. Magnetic resonance imaging, magnetisation transfer imaging, and diffusion weighted imaging correlates of optic nerve, brain, and cervical cord damage in Leber’s hereditary optic neuropathy. J. Neurol. Neurosurg. Psychiatry 2001, 70, 444–449. [Google Scholar] [CrossRef] [PubMed][Green Version]
- Chang, M. Leber’s hereditary optic neuropathy misdiagnosed as optic neuritis and Lyme disease in a patient with multiple sclerosis. BMJ Case Rep. 2018, 11, e227109. [Google Scholar] [CrossRef] [PubMed]
- Riccio, P.M.; Fraser, J.A.; Lee, D.H.; Morrow, S.A. Severe sequential visual loss in MS co-diagnosis of Leber’s hereditary optic neuropathy. Can. J. Ophthalmol. 2019, 54, e69–e70. [Google Scholar] [CrossRef] [PubMed]
- Alorainy, J.; Alorfi, Y.; Karanjia, R.; Badeeb, N. A Comprehensive Review of Leber Hereditary Optic Neuropathy and Its Association with Multiple Sclerosis-Like Phenotypes Known as Harding’s Disease. Eye Brain 2024, 16, 17. [Google Scholar] [CrossRef] [PubMed]
- Montalban, X.; Lebrun-Frénay, C.; Oh, J.; Arrambide, G.; Moccia, M.; Pia Amato, M.; Amezcua, L.; Banwell, B.; Bar-Or, A.; Barkhof, F.; et al. Diagnosis of multiple sclerosis: 2024 revisions of the McDonald criteria. Lancet Neurol. 2025, 24, 850–865. [Google Scholar] [CrossRef] [PubMed]
- Klopstock, T.; Metz, G.; Yu-Wai-Man, P.; Büchner, B.; Gallenmüller, C.; Bailie, M.; Nwali, N.; Griffiths, P.G.; von Livonius, B.; Reznicek, L.; et al. Persistence of the treatment effect of idebenone in Leber’s hereditary optic neuropathy. Brain 2013, 136 Pt 2, e230. [Google Scholar] [CrossRef] [PubMed]


| Idiopathic Optic Neuritis | Leber’s Hereditary Optic Neuropathy | |
|---|---|---|
| Age of onset | Typically <45 years, but may be of any age | The usual age is between 15 and 35 years |
| Gender | Female preponderance about (75%) | Male preponderance (80–90%) |
| Family history | Not common | Common (maternally inherited) |
| Onset | Commonly acute (within days) | Commonly subacute (within weeks) |
| Bilateral ON | Commonly unilateral | Bilateral sequential 75% or simultaneous 25% |
| Pain | Periocular pain (90%), with movement | Commonly painless |
| Visual acuity | Unilateral loss—variable severity | Bilateral loss—severe before stabilization |
| Optic disk | Normal (65%) or swollen (35%) | Normal (30%) or hyperemic swelling (70%) |
| RAPD | Commonly ipsilateral to affected eye | Usually not present |
| Imaging | Abnormal optic nerve enhancement in 90% | Normal orbital imaging in >90% |
| Pathology | Demyelination of optic nerve | mtDNA mutation with impaired ATP synthesis |
| Treatment | IV methylprednisolone (anti-inflammatory) | Idebenone (mitochondrial neuroprotection) |
| Prognosis | Recover in >90% within weeks | Worsen over months then stabilize at 95% |
| Study/Reference | Age/Sex | LHON Mutation | Initial Optic Neuropathy Features | MRI Brain/Optic Nerve Findings | CSF (OCB/IgG Index) | Treatment Used | Key Points/How the Present Case Differs |
|---|---|---|---|---|---|---|---|
| Chang et al. (BMJ Case Rep) [15] | 28/M | m.11778G>A | Sequential visual loss over 8 months | Brain MRI with typical MS lesions | OCB positive | Glatiramer acetate | Brain MRI fulfilled MS criteria early, unlike our case, which had a normal brain MRI initially |
| Holmøy et al. (BMC Neurol) [3] | 24/F | m.11778G>A | Sequential visual loss | Brain MRI with typical MS lesions | OCB positive | Interferon-β, natalizumab | MS diagnosed long before LHON |
| Joshi & Kermode (BMJ Case Rep) [4] | 20s/F | m.11778 mtDNA | Sequential visual loss 15 years apart | Brain MRI with typical MS lesions | Not performed | None reported | Diagnosis of LHON delayed by decades |
| Riccio et al. (Can J Ophthalmol) [16] | 30/F | m.11778G>A | Sequential visual loss | Brain MRI with typical MS lesions | Not reported | Glatiramer acetate | MS family history; LHON identified after recurrent ON |
| Present Case | 42/M | m.11778G>A (MT-ND4) | Painful acute ON sequential involvement over 1 year | Right-optic-nerve enhancement, no brain MS lesions; later thoracic T11 myelitis; normal brain MRI | Initial CSF normal; later OCBs positive | Rituximab, idebenone | Unique sequence: LHON genetically confirmed before demyelinating event; MRI enhancement atypical for LHON |
Disclaimer/Publisher’s Note: The statements, opinions and data contained in all publications are solely those of the individual author(s) and contributor(s) and not of MDPI and/or the editor(s). MDPI and/or the editor(s) disclaim responsibility for any injury to people or property resulting from any ideas, methods, instructions or products referred to in the content. |
© 2025 by the authors. Licensee MDPI, Basel, Switzerland. This article is an open access article distributed under the terms and conditions of the Creative Commons Attribution (CC BY) license (https://creativecommons.org/licenses/by/4.0/).
Share and Cite
Alnajashi, H.; Eltantawi, W. Mitochondrial–Immune Overlap in Leber Hereditary Optic Neuropathy: A Case Report and Lessons Learned. Reports 2025, 8, 258. https://doi.org/10.3390/reports8040258
Alnajashi H, Eltantawi W. Mitochondrial–Immune Overlap in Leber Hereditary Optic Neuropathy: A Case Report and Lessons Learned. Reports. 2025; 8(4):258. https://doi.org/10.3390/reports8040258
Chicago/Turabian StyleAlnajashi, Hind, and Walid Eltantawi. 2025. "Mitochondrial–Immune Overlap in Leber Hereditary Optic Neuropathy: A Case Report and Lessons Learned" Reports 8, no. 4: 258. https://doi.org/10.3390/reports8040258
APA StyleAlnajashi, H., & Eltantawi, W. (2025). Mitochondrial–Immune Overlap in Leber Hereditary Optic Neuropathy: A Case Report and Lessons Learned. Reports, 8(4), 258. https://doi.org/10.3390/reports8040258

