Abstract
The term leishmaniasis includes multiple clinical syndromes: visceral, cutaneous, and mucosal leishmaniasis, resulting from an infection of macrophages throughout the reticuloendothelial system in the dermis and the naso-oropharyngeal mucosa, respectively. The clinical phenotype is mainly driven by the leishmania biologic characteristics and, ultimately, also by the host immune status. The disease is endemic in focal areas in the tropics, subtropics, and southern Europe, transmitted by the bite of female phlebotomine sandflies. Sandflies regurgitate the parasite’s flagellated promastigote stage into the host’s skin; promastigotes bind to receptors on macrophages are phagocytized and transformed within phagolysosomes into non-flagellated amastigotes which replicate and infect additional macrophages. Amastigotes ingested by sandflies transform back into infective promastigotes. Depending on the host’s innate and acquired immune status, systemic and visceral leishmaniasis can be characterized by irregular fever, weight loss, enlargement of the spleen and liver, and anaemia. We present a 42 year-old man with long-lasting type 1 autoimmune hepatitis under immunosuppressive treatment. In January 2017, the patient started to experience low-grade unresponsiveness to empiric antibiotic therapy. The patient developed severe anemia and progressive multilineage cytopenia accompanied by increased levels of inflammatory markers. FDG-PET revealed increased glucose uptake in the liver, spleen, and the whole bone marrow. The subsequently performed bone marrow biopsy evidenced Leishmania amastigotes inside macrophages, confirmed by serological positivity to anti-Leishmania antibody. Immunosuppressive therapy was suspended and replaced by treatment with amphotericin B at 4 mg/kg/day from day 1 to day 5, followed by a single infusion on days 10, 17, 24, 31, and 38. The bone marrow smear after treatment still evidenced few Leishmania amastigotes; in consideration of the patient’s immunosuppression status, two further doses of amphotericin B on days 45 and 52 were employed, leading to infection resolution. In real-life, as exemplified in this case, administering two additional doses of amphotericin B (concerning the guidelines) offered an additional therapeutic opportunity for a patient under long-term immunosuppressive treatment.
1. Introduction
Leishmaniasis is a severe infectious disease caused by a group of protozoan parasites of the genus Leishmania that could cause multiple clinical pictures, from cutaneous manifestations to disseminated visceral infection. The immunoinflammatory response plays a significant role in pathogenesis since healing is associated with the activation of macrophages that kill intracellular amastigotes. At the same time, persistent infection (with visceral dissemination) is often secondary to an ineffective immune response [1]. Visceral leishmaniasis (VL) is caused primarily by Leishmania infantum and Leishmania donovani, although specific risk factors for dissemination are not entirely understood. However, in this setting, immunocompromised hosts diagnosed with oncological or non-malignant underlying diseases seem to be exposed to a higher risk of VL [2], which could be considered a form of opportunistic infection for these patients [3,4]. Excluding human immunodeficiency virus (HIV) infection, a heterogeneous collection of medical conditions may hamper VL immunological response to a new infection or allow reactivation of a latent infection. Most reported cases in non-HIV immunocompromised subjects occurred among solid organ/hematopoietic cell transplant recipients as well as rheumatology, hematology, and oncology patients [2,5]. VL encompasses a broad spectrum of severity and manifestations, with a chronic, subacute, or acute onset and an incubation period of weeks, months, or sometimes years [1]. Its classic manifestations of advanced disease include irregular and prolonged fever, cachexia (malnutrition being both a risk factor for and a sequela of visceral leishmaniasis), hepatosplenomegaly (with splenomegaly usually predominant and the spleen sometimes massive), anemia, leukopenia, thrombocytopenia, occasionally associated with bleeding, hypergammaglobulinemia (mainly IgG, from polyclonal B cell activation), and hypoalbuminemia [1]. Crucially, among patients affected by autoimmune diseases, all these different signs and symptoms may be confused with the progression or reactivation of underlying illness leading to a dangerous diagnostic delay; additionally, the clinical management of VL in immunocompromised hosts could be further complicated by treatment issues: indeed, the optimal treatment strategy for VL in this setting is still debated.
Herein, we presented a problematic case of VL in a subject affected by Type 1 autoimmune hepatitis and briefly reviewed current literature.
2. Case Presentation
In January 2017, a 42 year-old male was admitted to the “Guido Baccelli” Unit of Internal Medicine for persistent fever in a subject with a type 1 autoimmune hepatitis experiencing a persistent low-grade fever unresponsive to empiric oral antibiotic therapy. He was initially diagnosed in 2003 with “autoimmune cholangitis” after a liver biopsy due to persistent liver test abnormalities associated with ANA positivity (Table 1). A therapy with ursodeoxycholic acid (UDCA), started at first with the diagnosis, gave unsatisfactory results; therefore, prednisone (0.5 mg/kg/day followed by tapering after two weeks) was added in 2005 with subsequent addition of azathioprine (1 mg/kg/day) in 2007, without obtaining liver test normalization. Consequently, in 2011 azathioprine was discontinued due to side effects and a second liver biopsy was performed to reassess the patient clinical status and prescribe a second-line therapy. The histology was conclusive for “type 1 autoimmune hepatitis” at this time (Table 1). Therefore, therapy with UDCA plus chronic methylprednisolone was prescribed. The patient also suffered from recurrent prostatitis.
Table 1.
Timeline of relevant data from the episode of care.
In 2017, the patient was presented to our attention referring diurnal fever, and increased levels of AST, ALT, and GGT were revealed by clinical analysis (Table 1). At the first evaluation, he was apyretic, showing fatigue, throat pain, epistaxis, dysuria, and mild strangury. The pharyngeal swab was negative for S. Pyogenes and common germs, whereas a pharyngeal swab was positive for Candida Albicans.
Admission blood test showed leukocytes = 10.6 × 103 cell/μL, hemoglobin = 10.4 g/dL, platelets = 264,000 cell/μL, C-reactive Protein = 82 mg/dL, serum albumin = 2.6 g/dL, procalcitonin = 1.45 ng/dL, erythrocyte sedimentation rate (ESR) = 70 mm/h, ferritin = 1261 ng/mL (Table 2), and polyclonal hypergammaglobulinemia, this last potentially related to autoimmune hepatitis (Figure 1). Nevertheless, a polyclonal hypergammaglobulinemia can be also triggered by a chronic infection (i.e., VL).
Table 2.
Clinical findings at the admitted at the “Guido Baccelli” Unit of Internal Medicine.
Figure 1.
Serum protein electrophoresis (ELF) shows a marked polyclonal hypergammaglobulinemia. The most classic electrophoretic application is the “zonal” one: an aliquot of serum is applied near the cathode (−) on a solid support immersed in an alkaline buffer; the proteins are “shelled” into bands or “zones” (albumin, a1, a2, b and g globulins) which are formed due to their different speed of migration towards the anode (+). The solid support generally consists of cellulose acetate, agarose gel or polyacrylamide gel. After the electrophoretic run, the support is suitably fixed, colored, and read in densitometry for the definition of the traces and the evaluation of the percentages.
Additionally, other markers of hepatic function were found up to three-fold increased: aspartate aminotransferase (AST) = 109 U/L, alanine aminotransferase (ALT) = 216 U/L, gamma-glutamyl transferase (GGT) = 231 U/L (Table 2).
Results from instrumental investigations resulted in a negative chest X-ray, while total body computed tomography scan and echocardiogram showed minimal pericardial effusion.
While waiting for microbiologic investigation results, the patient was administered for 7 days with empiric antibiotic treatment composed of piperacillin/tazobactam, 4.5 gr three times daily (infused over 4 h), with no significant beneficial results. Concurrently, immunosuppression therapy was increased to prednisone 50 mg/day and azathioprine 150 mg/day; nevertheless, the fever persisted, and no amelioration on liver function tests was obtained. The clinical status progressively worsened with the occurrence of severe anemia. Therefore, the patient underwent hospitalization at our department. All microbiologic investigations resulted negative.
Abdominal ultrasound showed no significant liver abnormalities, with minor spleen enlargement (13 cm) and abdominal lymphadenopathy.
During the hospitalization, a progressive multilineage cytopenia was also noticed along with a worrisome augmentation of inflammation markers despite combined immunosuppression and antibiotic therapy. Moreover, the fever persisted, getting less responsive to drugs, with higher and more frequent peaks. After 14 days, the antibiotic therapy was escalated to meropenem plus daptomycin, waiting for results from further blood cultures, autoimmune antibodies tests, polymerase chain reaction (PCR) search for herpes viruses on blood (including CMV and EBV), and 18-fluorodeoxyglucose positron emission tomography (18-FDG-PET).
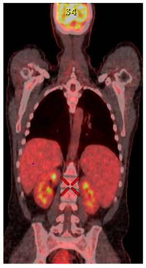
Urine culture revealed positivity for Candida albicans, while three different blood cultures, viral PCR and QuantiFERON TB-Gold test, resulted negative. Conversely, ANA positivity was confirmed (1/80 speckled nuclear pattern), and FDG-PET pointed out an increased glucose uptake in the liver, spleen, and the whole bone marrow (Figure 2).
Figure 2.
18-FDG-PET shows diffuse metabolic activity within the liver, spleen, and whole bone marrow. Characteristics: coronal Ex: 14,321, Se, 12 STATIC, P: 68,36, DFOV: 172.9 × 98.8 cm, M: 13.11 kBq/mL.
As for viral serology, the only positive results were obtained for cytomegalovirus (CMV) IgG, varicella-zoster virus (VZV) IgG, and Epstein Barr virus (EBV) IgG.
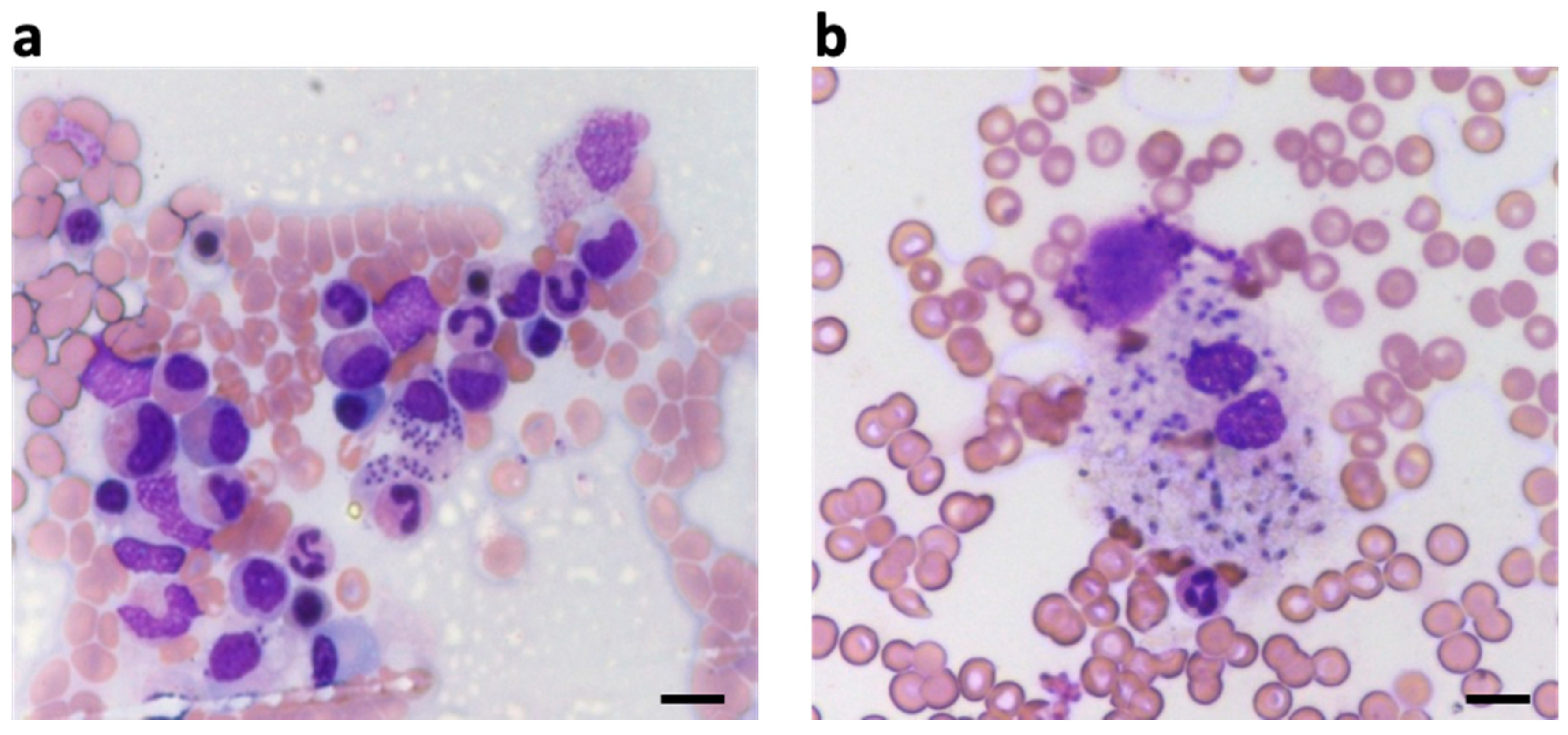
Consequently, as already validated, a bone marrow biopsy was performed, with surprising evidence of Leishmania infantum amastigotes inside macrophages (Figure 3) [6].
Figure 3.
Light-microscopic examination of an M-Giemsa-stained bone marrow specimen showing macrophages containing multiple Leishmania amastigotes. (a,b) Representative images of Leishmania amastigotes at different magnifications have been shown. (a) Original magnification ×1000, scale bar = 15 μm. (b) Original magnification ×1000, scale bar = 15 μm.
Microscopical evidence was confirmed by serological positivity to anti-Leishmania antibodies (IgG 27.3 NTU vs. a normal value of <11 NTU).
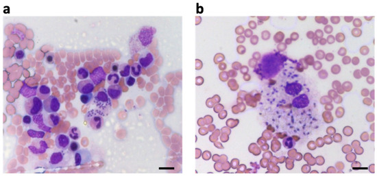
A multidisciplinary team consultation and agreement led to the suspension of the immunosuppressive therapy, and treatment with liposomal amphotericin B was started at 4 mg/kg/day from day 1 to day 5, followed by a single infusion on days 10, 17, 24, 31, 38.
Notably, a new bone marrow smear after treatment was performed, evidencing the presence of a few Leishmania amastigotes both inside macrophages and at the intercellular space level. Unconventionally, two further doses of amphotericin B on days 45 and 52 were employed in consideration of the immunosuppressed status of the patient.
The patient fully recovered from VL and was finally dismissed. No new reactivation was documented in the following outpatient evaluations, despite the reintroduction of immunosuppressive therapy for type 1 autoimmune hepatitis.
3. Discussion
Visceral leishmaniosis presentation may be easily confused with autoimmune diseases, particularly those involving liver and spleen. In addition, in patients suffering from rheumatologic/autoimmune illnesses, VL may be misdiagnosed as a progression of underlying disease, leading in turn to an increase the immunosuppression therapy with unwanted detrimental consequences. Therefore, physicians should be aware of this infection, particularly in endemic areas, to avoid a possible misdiagnosing or a diagnostic delay. In addition, prompt therapy should be started when the diagnosis of VL is confirmed, and tailored immunosuppression management should be performed. Epidemiological data largely supported our diagnosis since at least 3 cases per year are reported in the Taranto County of Apulia Region. Rats represent the most likely reservoir due to the extensive shipment interchanges between steelworker facilities and geographical regions with high endemic rates of VL (namely India and Asia) [1].
However, to date, few case reports of VL during autoimmune hepatitis have been published [7]. While most cases described episodes of VL mimicking autoimmune hepatitis or other autoimmune diseases in which multisystemic and cardiovascular involvement may represent a chief complaint [8,9,10,11,12,13]. Indeed, differential diagnosis is not always trivial, specifically when liver diseases are coexisting, as in this case [14,15,16,17]. Furthermore, one of the major concerns is the timely diagnosis: in visceral leishmaniasis, the gold standard of diagnosis is represented by biopsies of infected sites, which typically are the bone marrow, the liver and spleen [1], due to their immune-privileged physiology [18,19,20]. Conversely, non-invasive diagnostic methods (serologies or molecular techniques on serum/blood) may help in the diagnostic process but are usually insufficient for definitive diagnosis [21]. Therefore, conclusive diagnosis is often delayed.
Given the difficulty in a real-life approach to the immunocompromised hosts with a fever of unknown origin, the choice of a practical clinical judgment based on an algorithm has proved undoubtedly helpful in making a correct diagnosis and therapy. Splenomegaly, hypergammaglobulinemia and abdominal lymph nodes represent clinical and laboratory findings usually characterizing leishmaniasis and autoimmune hepatitis.
Indeed, in this case, the first diagnostic hypothesis was an exacerbation of the known autoimmune disease with transaminase flares associated with fever that led to increasing the dosage of immunosuppressants. Concurrently, multiple alternative diseases were hypothesized, including different bacterial superinfections causing prolonged antibiotics usage. Given PET/TC findings, the patient underwent a bone marrow biopsy, that showed the unexpected diagnosis of VL.
Second, the treatment of VL in this immunocompromised patient posed an intriguing challenge. Interestingly, the extended dosage regimen, including 10 doses of 4 mg/kg of liposomal amphotericin B was insufficient to eradicate the infection. Accordingly, the finding of few Leishmania amastigotes at the second bone marrow smear led to prolongation of therapy with two additional doses of 4 mg/kg of liposomal amphotericin B, finally resolving the infection. In this regard, future studies regarding appropriate treatment strategies for secondary infections in immunocompromised hosts are warranted.
Lastly, the management of immunosuppression therapy may also be controversial. An interesting recent paper suggested that reducing immunosuppression in solid organ transplant recipients with concurrent bacteriemia [22] could cause an increased risk of mortality. This phenomenon and a possible explanation were also hypothesized by previous studies [23,24,25,26], suggesting that immunosuppression following transplantation [22,27,28] may attenuate the inflammatory cascade, which is considered one of the main damaging factors of sepsis pathophysiology, potentially being promising biomarkers for prognostications and timely clinical management [29,30]. However, this aspect is highly unexplored in autoimmune diseases and requires further investigation.
4. Conclusions
This case highlights the clinical challenge of VL diagnosis and treatment in the current era. Moreover, it pinpoints the complex diagnosis process of fever of unknown origin in immunocompromised patients and the multiple unexplored questions in the management of secondary infections under immunosuppression treatments.
Author Contributions
Conceptualization, A.G.S., G.C.; methodology, A.G.S., G.C. and A.V.; software, A.G.S., G.C.; validation, A.G.S., G.L., A.S., G.I. (Giuseppe Iodice) and G.I. (Giuseppe Ingravallo) and A.V.; formal analysis, A.G.S., G.L., S.C., G.I. (Giuseppe Iodice) and G.I. (Giuseppe Ingravallo); investigation A.G.S., D.F.B., L.D. and A.V.; resources, A.G.S., D.F.B., F.S., A.S. and A.V.; data curation, A.G.S., V.D., D.F.B., L.D., A.C., G.L., G.I. (Giuseppe Iodice) and G.I. (Giuseppe Ingravallo) and A.V.; writing—original draft preparation, A.G.S., G.C., D.F.B. and A.V.; writing—review and editing, A.G.S., G.C., V.D., D.F.B., P.S., R.R., M.M., A.S. and A.V.; supervision, V.D., G.L., F.S., M.M., A.S. and A.V.; project administration, A.G.S. and A.V.; funding acquisition, A.G.S. and A.V. All authors have read and agreed to the published version of the manuscript.
Funding
This research received no external funding.
Institutional Review Board Statement
Not applicable.
Informed Consent Statement
Written informed consent has been obtained from the patient to publish this paper.
Data Availability Statement
Data are available mailing the corresponding author (antonio.solimando@uniba.it or the Director of Guido Baccelli Unit of Internal Medicine, Department of Biomedical Sciences and Human Oncology, School of Medicine, Aldo Moro University of Bari, 70121 Bari, Italy, Prof. Dr. Angelo Vacca (angelo.vacca@uniba.it).
Acknowledgments
The authors acknowledge Biorender for providing comprehensive medical and biological figures and datasets that are fruitful for the international scientific community. The authors’ publishing license has been deposited under agreement number ZY240V1AY2. We also thank Fabrizio Pappagallo, Gaetano Brindicci, Gerardo Cazzato, Valentina Narcisi, and Donatello Marziliano for technical support and valuable discussions.
Conflicts of Interest
The authors declare no conflict of interest.
References
- Torres-Guerrero, E.; Quintanilla-Cedillo, M.R.; Ruiz-Esmenjaud, J.; Arenas, R. Leishmaniasis: A Review. F1000Research 2017, 6, 750. [Google Scholar] [CrossRef]
- van Griensven, J.; Carrillo, E.; López-Vélez, R.; Lynen, L.; Moreno, J. Leishmaniasis in Immunosuppressed Individuals. Clin. Microbiol. Infect. 2014, 20, 286–299. [Google Scholar] [CrossRef]
- Bavaro, D.F.; Fiordelisi, D.; Angarano, G.; Monno, L.; Saracino, A. Targeted Therapies for Autoimmune/Idiopathic Nonmalignant Diseases: Risk and Management of Opportunistic Infections. Expert Opin. Drug Saf. 2020, 19, 817–842. [Google Scholar] [CrossRef]
- Vacca, A.; Melaccio, A.; Sportelli, A.; Solimando, A.G.; Dammacco, F.; Ria, R. Subcutaneous Immunoglobulins in Patients with Multiple Myeloma and Secondary Hypogammaglobulinemia: A Randomized Trial. Clin. Immunol. 2018, 191, 110–115. [Google Scholar] [CrossRef]
- Akuffo, H.; Costa, C.; van Griensven, J.; Burza, S.; Moreno, J.; Herrero, M. New Insights into Leishmaniasis in the Immunosuppressed. PLoS Negl. Trop. Dis. 2018, 12, e0006375. [Google Scholar] [CrossRef]
- Loscocco, G.G.; Piccini, M. Visceral Leishmaniasis. N. Engl. J. Med. 2019, 380, 379. [Google Scholar] [CrossRef] [PubMed]
- Serra, I.; Marín, I.; Morillas, R.M.; Domènech, E. Visceral leishmaniasis in a patient with autoimmune hepatitis on combined immunosuppressant therapy. Med. Clin. (Barc.) 2010, 134, 234–235. [Google Scholar] [CrossRef]
- Padrón Romero, M.; Acevedo Ribó, M.M.; Ahijado Hormigos, F.J.; Díaz Crespo, F.; Cueto Bravo, L.; Herraiz Corredor, C.; Fernández Rojo, M.Á.; Díaz-Tejeiro Izquierdo, R. Membranoproliferative Glomerulonephritis and Mixed Cryoglobulinemia as a Form of Presentation of Visceral Leishmaniasis. Am. J. Case Rep. 2020, 21, e921445. [Google Scholar] [CrossRef]
- Tunccan, O.G.; Tufan, A.; Telli, G.; Akyürek, N.; Pamukçuoğlu, M.; Yılmaz, G.; Hızel, K. Visceral Leishmaniasis Mimicking Autoimmune Hepatitis, Primary Biliary Cirrhosis, and Systemic Lupus Erythematosus Overlap. Korean J. Parasitol. 2012, 50, 133–136. [Google Scholar] [CrossRef]
- Leone, P.; Cicco, S.; Prete, M.; Solimando, A.G.; Susca, N.; Crudele, L.; Buonavoglia, A.; Colonna, P.; Dammacco, F.; Vacca, A.; et al. Early Echocardiographic Detection of Left Ventricular Diastolic Dysfunction in Patients with Systemic Lupus Erythematosus Asymptomatic for Cardiovascular Disease. Clin. Exp. Med. 2020, 20, 11–19. [Google Scholar] [CrossRef]
- Makaritsis, K.P.; Gatselis, N.K.; Ioannou, M.; Petinaki, E.; Dalekos, G.N. Polyclonal Hypergammaglobulinemia and High Smooth-Muscle Autoantibody Titers with Specificity against Filamentous Actin: Consider Visceral Leishmaniasis, Not Just Autoimmune Hepatitis. Int. J. Infect. Dis. 2009, 13, e157–e160. [Google Scholar] [CrossRef][Green Version]
- Sotirakou, S.; Wozniak, G. Clinical Expression of Autoimmune Hepatitis in a Nine-Year-Old Girl with Visceral Leishmaniasis. Pol. J. Pathol. 2011, 62, 118–119. [Google Scholar]
- Fasano, R.; Malerba, E.; Prete, M.; Solimando, A.G.; Buonavoglia, A.; Silvestris, N.; Leone, P.; Racanelli, V. Impact of Antigen Presentation Mechanisms on Immune Response in Autoimmune Hepatitis. Front. Immunol. 2021, 12, 814155. [Google Scholar] [CrossRef]
- Dalgiç, B.; Dursun, I.; Akyol, G. A Case of Visceral Leishmaniasis Misdiagnosed as Autoimmune Hepatitis. Turk. J. Gastroenterol. 2005, 16, 52–53. [Google Scholar]
- Matzdorff, A.C.; Matthes, K.; Kemkes-Matthes, B.; Pralle, H. Viszerale Leishmaniose mit ungewöhnlich langer Inkubationszeit. Dtsch. Med. Wochenschr. 2008, 122, 890–894. [Google Scholar] [CrossRef]
- Bouyahia, O.; Khelifi, I.; Ben Mansour, F.; Khaldi, F. Visceral Leishmaniasis with Portal Hypertension Mimicking Auto Immune Hepatitis. Médecine Mal. Infect. 2007, 37, S268–S269. [Google Scholar] [CrossRef]
- Argentiero, A.; Solimando, A.G.; Brunetti, O.; Calabrese, A.; Pantano, F.; Iuliani, M.; Santini, D.; Silvestris, N.; Vacca, A. Skeletal Metastases of Unknown Primary: Biological Landscape and Clinical Overview. Cancers 2019, 11, 1270. [Google Scholar] [CrossRef]
- Leone, P.; Solimando, A.G.; Malerba, E.; Fasano, R.; Buonavoglia, A.; Pappagallo, F.; De Re, V.; Argentiero, A.; Silvestris, N.; Vacca, A.; et al. Actors on the Scene: Immune Cells in the Myeloma Niche. Front. Oncol. 2020, 10, 599098. [Google Scholar] [CrossRef]
- Gnoni, A.; Brunetti, O.; Longo, V.; Calabrese, A.; Argentiero, A.; Calbi, R.; Solimando Antonio, G.; Licchetta, A. Immune System and Bone Microenvironment: Rationale for Targeted Cancer Therapies. Oncotarget 2020, 11, 480–487. [Google Scholar] [CrossRef][Green Version]
- Santana, C.C.; Vassallo, J.; de Freitas, L.a.R.; Oliveira, G.G.S.; Pontes-de-Carvalho, L.C.; dos-Santos, W.L.C. Inflammation and Structural Changes of Splenic Lymphoid Tissue in Visceral Leishmaniasis: A Study on Naturally Infected Dogs. Parasite Immunol. 2008, 30, 515–524. [Google Scholar] [CrossRef]
- Aronson, N.; Herwaldt, B.L.; Libman, M.; Pearson, R.; Lopez-Velez, R.; Weina, P.; Carvalho, E.; Ephros, M.; Jeronimo, S.; Magill, A. Diagnosis and Treatment of Leishmaniasis: Clinical Practice Guidelines by the Infectious Diseases Society of America (IDSA) and the American Society of Tropical Medicine and Hygiene (ASTMH). Am. J. Trop. Med. Hyg. 2017, 96, 24–45. [Google Scholar] [CrossRef]
- Bartoletti, M.; Vandi, G.; Furii, F.; Bertuzzo, V.; Ambretti, S.; Tedeschi, S.; Pascale, R.; Cristini, F.; Campoli, C.; Morelli, M.C.; et al. Management of Immunosuppressive Therapy in Liver Transplant Recipients Who Develop Bloodstream Infection. Transpl. Infect. Dis. 2018, 20, e12930. [Google Scholar] [CrossRef]
- Kalil, A.C.; Syed, A.; Rupp, M.E.; Chambers, H.; Vargas, L.; Maskin, A.; Miles, C.D.; Langnas, A.; Florescu, D.F. Is Bacteremic Sepsis Associated with Higher Mortality in Transplant Recipients than in Nontransplant Patients? A Matched Case-Control Propensity-Adjusted Study. Clin. Infect. Dis. 2015, 60, 216–222. [Google Scholar] [CrossRef]
- Harris, P.N.A.; McNamara, J.F.; Lye, D.C.; Davis, J.S.; Bernard, L.; Cheng, A.C.; Doi, Y.; Fowler, V.G.; Kaye, K.S.; Leibovici, L.; et al. Proposed Primary Endpoints for Use in Clinical Trials That Compare Treatment Options for Bloodstream Infection in Adults: A Consensus Definition. Clin. Microbiol. Infect. 2017, 23, 533–541. [Google Scholar] [CrossRef]
- Malinis, M.F.; Mawhorter, S.D.; Jain, A.; Shrestha, N.K.; Avery, R.K.; van Duin, D. Staphylococcus Aureus Bacteremia in Solid Organ Transplant Recipients: Evidence for Improved Survival When Compared with Nontransplant Patients. Transplantation 2012, 93, 1045–1050. [Google Scholar] [CrossRef]
- Solimando, A.G.; Ribatti, D.; Vacca, A.; Einsele, H. Targeting B-Cell Non Hodgkin Lymphoma: New and Old Tricks. Leuk. Res. 2016, 42, 93–104. [Google Scholar] [CrossRef]
- Ria, R.; Reale, A.; Solimando, A.G.; Mangialardi, G.; Moschetta, M.; Gelao, L.; Iodice, G.; Vacca, A. Induction Therapy and Stem Cell Mobilization in Patients with Newly Diagnosed Multiple Myeloma. Stem Cells Int. 2012, 2012, 607260. [Google Scholar] [CrossRef]
- DiCarlo, J.V.; Alexander, S.R.; Agarwal, R.; Schiffman, J.D. Continuous Veno-Venous Hemofiltration May Improve Survival from Acute Respiratory Distress Syndrome after Bone Marrow Transplantation or Chemotherapy. J. Pediatr. Hematol. Oncol. 2003, 25, 801–805. [Google Scholar] [CrossRef]
- Hotchkiss, R.S.; Moldawer, L.L.; Opal, S.M.; Reinhart, K.; Turnbull, I.R.; Vincent, J.-L. Sepsis and Septic Shock. Nat. Rev. Dis. Primers 2016, 2, 16045. [Google Scholar] [CrossRef]
- Solimando, A.G.; Susca, N.; Borrelli, P.; Prete, M.; Lauletta, G.; Pappagallo, F.; Buono, R.; Inglese, G.; Forina, B.M.; Bochicchio, D.; et al. Short-Term Variations in Neutrophil-to-Lymphocyte and Urea-to-Creatinine Ratios Anticipate Intensive Care Unit Admission of COVID-19 Patients in the Emergency Department. Front. Med. (Lausanne) 2020, 7, 625176. [Google Scholar] [CrossRef]
Publisher’s Note: MDPI stays neutral with regard to jurisdictional claims in published maps and institutional affiliations. |
© 2022 by the authors. Licensee MDPI, Basel, Switzerland. This article is an open access article distributed under the terms and conditions of the Creative Commons Attribution (CC BY) license (https://creativecommons.org/licenses/by/4.0/).


