Effect of Metallic Ureteric Stents on Magnetic Resonance Imaging: Implications for Malignant Ureteral Obstruction
Abstract
:- Inhomogeneities in the strong magnetic field, produced by paramagnetic/ferromagnetic components.
- Frequency-encoding misregistration, due to changes in frequency of dephasing.
- Signal loss, due to increase in the rate of T2 phase decay.
- Failure of fat suppression, owing to the effect of metallic implants on the resonance frequency of nearby fat.
- The size of metallic implant.
- Specific composition of the implant.
- Artefact worsens with ferromagnetic implants (steel, iron) compared with those of paramagnetic or diamagnetic metals (titanium, platinum, copper).
- Most ureteral stents incorporate nitinol into their structure—a proven MRI-safe nickel-titanium alloy with limited ferromagnetism. Developed in 1963, it is used widely in implantable biomedical devices across all specialties, including surgery, cardiology,and interventional radiology[4].
- The orientation of the implant relative to the strong magnetic field.
- A spatial gradient field (SGF) ≤450 Gauss/cm.
- Whole-body averaged specific absorption rate (SAR) of 1.5W/kg for 20mins, with an associated temperature rise < 0.800C.
Conflicts of Interest
References
- Asakawa, J.; Iguchi, T.; Tamada, S.; Ninomiya, N.; Kato, M.; Yamasaki, T.; et al. Treatment outcomes of ureteral stenting for malignant extrinsic ureteral obstruction: a comparison between polymeric and metallic stents. Cancer Manag Res. 2018, 10, 2977–2982. [Google Scholar] [CrossRef] [PubMed]
- Hargreaves, B.A.; Worters, P.W.; Pauly, K.B.; Pauly, J.M.; Koch, K.M.; Gold, G.E. Metal-induced artifacts in MRI. AJR Am J Roentgenol. 2011, 197, 547–555. [Google Scholar] [CrossRef] [PubMed]
- Fowler, K.J.; Maxwell, J.; Saad, N.E.; Yano, M.; Raptis, C.; Menias, C.; et al. Magnetic resonance imaging of iatrogeny: understanding imaging artifacts related to medical devices. Abdom Imaging 2014, 39, 411–423. [Google Scholar] [CrossRef] [PubMed]
- Szold, A. Nitinol: shape-memory and super-elastic materials in surgery. Surg Endosc. 2006, 20, 1493–1496. [Google Scholar] [CrossRef] [PubMed]
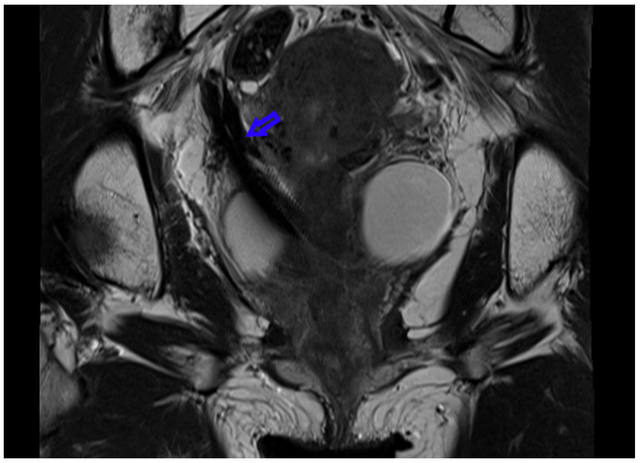
- Chin, K. Coronal magnetic resonance image of patient with Teleflex Rüsch DD Tumour Stent In Situ; Peter MacCallum Cancer Centre: Melbourne, VIC, Australia, 2019. [Google Scholar]
- Khoo, C.C.; Abboudi, H.; Cartwright, R.; El-Husseiny, T.; Dasgupta, R. Metallic ureteric stents in malignant ureteric obstruction: A systematic review. Urology. 2018, 118, 12–20. [Google Scholar] [CrossRef] [PubMed]
- Corrales, M.; Doizi, S.; Barghouthy, Y.; Kamkoum, H.; Somani, B.; Traxer, O. A systematic review of long-duration stents for ureteral stricture: which one to choose? World J. Urol. Online ahead of print. 2021. [Google Scholar]
- Teleflex Rüsch Tumour Stents. Manufacturer specifications. Teleflex Medical Australia.


| Stent | Design | Material | MRI Data |
|---|---|---|---|
| Resonance (Cook Medical) | Metallic coil stent | Nickel–cobalt- chromium- molybdenum alloy | MRI-safe |
| Memokath 051 (PNN Medical) | Thermo-expandable shape-memory alloy | Nitinol–nickel- titanium alloy | MRI-safe |
| Allium (Allium Medical) | Polymer stent with nitinol mesh | Nitinol–nickel- titanium alloy | MRI-safe |
| Uventa (Taewoon Medical) | Layered polymer stent with nitinol mesh | Nitinol–nickel- titanium alloy | MRI-safe |
| Rüsch DD Tumour Stent (Teleflex) | Polyurethane stent with metallic cross- braiding | Stainless steel braiding | MRI-safe Not recommended per manufacturer |
This is an open access article under the terms of a license that permits non-commercial use, provided the original work is properly cited. © 2021 The Authors. Société Internationale d'Urologie Journal, published by the Société Internationale d'Urologie, Canada.
Share and Cite
Tellambura, M.; Thangasamy, I.; Chin, K.; Murphy, D. Effect of Metallic Ureteric Stents on Magnetic Resonance Imaging: Implications for Malignant Ureteral Obstruction. Soc. Int. Urol. J. 2021, 2, 256-258. https://doi.org/10.48083/WLVR1509
Tellambura M, Thangasamy I, Chin K, Murphy D. Effect of Metallic Ureteric Stents on Magnetic Resonance Imaging: Implications for Malignant Ureteral Obstruction. Société Internationale d’Urologie Journal. 2021; 2(4):256-258. https://doi.org/10.48083/WLVR1509
Chicago/Turabian StyleTellambura, Mahima, Isaac Thangasamy, Kwang Chin, and Declan Murphy. 2021. "Effect of Metallic Ureteric Stents on Magnetic Resonance Imaging: Implications for Malignant Ureteral Obstruction" Société Internationale d’Urologie Journal 2, no. 4: 256-258. https://doi.org/10.48083/WLVR1509
APA StyleTellambura, M., Thangasamy, I., Chin, K., & Murphy, D. (2021). Effect of Metallic Ureteric Stents on Magnetic Resonance Imaging: Implications for Malignant Ureteral Obstruction. Société Internationale d’Urologie Journal, 2(4), 256-258. https://doi.org/10.48083/WLVR1509
