PCR-DGGE Analysis Proves the Suppression of Rhizoctonia and Sclerotium Root Rot Due to Successive Inoculations
Abstract
:1. Introduction
2. Materials and Methods
2.1. Preparation of Fungal Inocula
2.2. Soil Inoculations and Pathogenicity Test
2.3. Effect of Repeated Inoculation on Disease Suppression
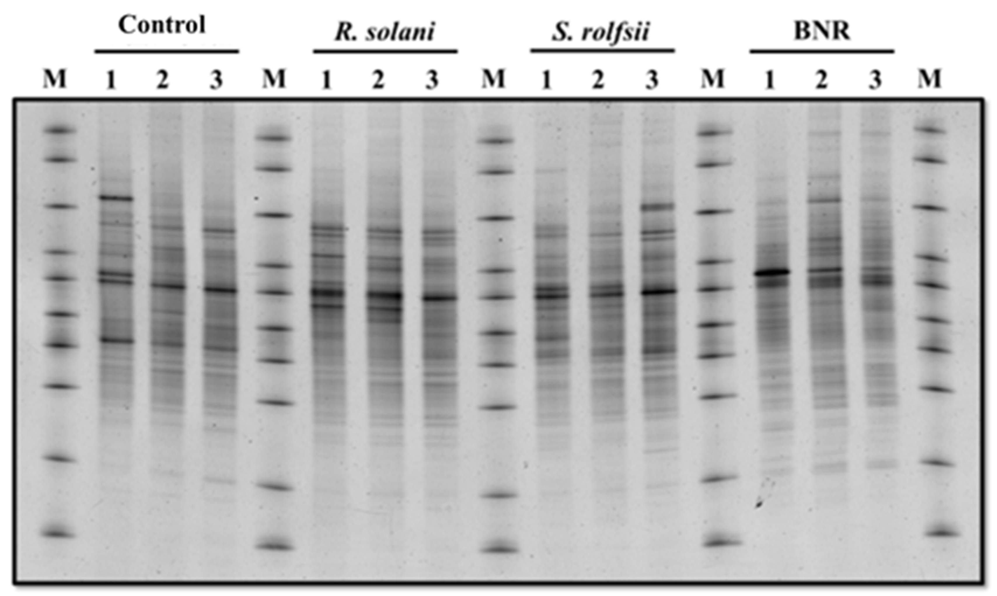
2.4. PCR-DGGE Analysis of the Inoculated Soil
2.4.1. DNA Extraction from Soil
2.4.2. Analysis of Microflora
2.4.3. Analysis of Filamentous Fungus
2.5. Quantification and Frequency of Trichoderma Species by Soil Dilution Plate Technique
2.5.1. Quantification of Trichoderma Species in the Inoculated Soil
2.5.2. Frequency of Trichoderma in the Inoculated Soil
2.6. Statistical Analysis
3. Results
3.1. Disease Severity
3.2. Suppression of Radish Root Rot Disease
3.3. PCR-DGGE of Microbial Population
3.4. Quantification and Frequency of Trichoderma Species in Repeatedly Inoculated Soils
3.4.1. Quantification of Trichoderma Species in Repeatedly Inoculated Soils
3.4.2. Frequency of Trichoderma spp. in Repeatedly Inoculated Soils
4. Discussion
5. Conclusions
Author Contributions
Funding
Institutional Review Board Statement
Informed Consent Statement
Data Availability Statement
Acknowledgments
Conflicts of Interest
References
- Carling, D.E.; Kuninaga, S.; Brainard, K.A. Hyphal anastomosis reactions, rDNA-internal transcribed spacer sequences, and virulence levels among subsets of Rhizoctonia solani anastomosis group-2 AG-2 and AG-BI. Phytopathology 2002, 92, 43–50. [Google Scholar] [CrossRef] [PubMed] [Green Version]
- Punja, Z.K. The biology, ecology, and control of Sclerotium rolfsii. Annu. Rev. Phytopathol. 1985, 23, 97–127. [Google Scholar] [CrossRef]
- Gerlagh, M. Introduction of Ophiobolus graminis into new polders and its decline. Neth. J. Plant Pathol. 1968, 74, 1–97. [Google Scholar] [CrossRef] [Green Version]
- Weinhold, A.R.; Oswald, J.W.; Bowman, T.; Bishop, J.; Wright, D. Influence of green manures and crop rotation on common scab of potato. Am. Potato J. 1964, 41, 265–273. [Google Scholar] [CrossRef]
- Hyakumachi, M.; Ui, T. Decline of damping-off of sugar beet seedlings caused by Rhizoctonia solani AG2-2. Ann. Phytopathol. Soc. Jpn. 1982, 48, 600–606. [Google Scholar] [CrossRef]
- Hyakumachi, M.; Kanzawa, K.; Ui, T. Rhizoctonia root rot decline in sugar beet monoculture. In Biological Control of Soil-Borne Plant Pathogens; Hornby, D., Cook, R.J., Henis, Y., Ko, W.H., Rovira, A.D., Sxhipers, B., Scott, P.R., Eds.; CAB International: Wallingford, CT, USA, 1990; pp. 227–247. [Google Scholar]
- Hornby, D. Take-all decline: A theorist’s paradise. In Soil-Borne Plant Pathogens; Schippers, B., Gams, W., Eds.; Academic Press: London, UK; New York, NY, USA; San Francisco, CA, USA, 1979; pp. 133–156. [Google Scholar]
- Wildermuth, G.B. Soils suppressive to Gaeumannomyces graminis var. tritici: Effect on other fungi. Soil Biol. Biochem. 1982, 14, 569–573. [Google Scholar]
- Shipton, P.J. Monoculture and soilborne plant pathogens. Ann. Rev. Phytopathol. 1977, 15, 387–407. [Google Scholar] [CrossRef]
- Henis, Y.; Ghaffar, A.; Baker, R. Factors affecting suppressiveness to Rhizoctonia solani. Phytopathology 1979, 69, 1164–1169. [Google Scholar] [CrossRef]
- Wijetunga, C.; Baker, R. Modeling of phenomena associated with Rev. P1 Path. 1979, 54, 387–407. [Google Scholar]
- Liu, S.; Baker, R. Mechanism of biological control in soil suppressive to Rhizoctonia solani. Phytopathology 1980, 70, 404–412. [Google Scholar] [CrossRef]
- Chet, I.; Baker, R. Induction of suppressiveness to Rhizoctonia solani in soil. Phytopathology 1980, 70, 994–998. [Google Scholar] [CrossRef]
- Chern, L.L.; Ko, W.H. Characteristic of inhibition of suppressive soil created by monoculture with radish in the presence of Rhizoctonia solani. Phytopathology 1989, 126, 237–245. [Google Scholar] [CrossRef]
- Mghalu, J.M.; Tsuji, T.; Kubo, N.; Kubota, M.; Hyakumachi, M. Selective accumulation of Trichoderma species in soils suppressive to radish damping-off disease after repeated inoculations with Rhizoctonia solani, binucleate Rhizoctonia and Sclerotium rolfsii. J. Gen. Plant Pathol. 2007, 73, 250–259. [Google Scholar] [CrossRef]
- Lucas, P.; Similey, R.W.; Collins, H.P. Decline of Rhizoctonia root rot on wheat in soils infested with Rhizoctonia solani AG-8. Phytopathology 1993, 83, 260–265. [Google Scholar] [CrossRef]
- Hughes, J.B.; Hellmann, J.J.; Ricketts, T.H.; Bohannan, B.J.M. Counting the uncountable: Statistical approaches to estimating microbial diversity. Appl. Environ. Microbiol. 2001, 67, 4399–4406. [Google Scholar] [CrossRef] [PubMed] [Green Version]
- Schabereiter-Gurtner, C.; Piñar, G.; Lubitz, W.; Rölleke, S. An advanced molecular strategy to identify bacterial communities on art objects. J. Microbiol. Methods 2001, 45, 77–87. [Google Scholar] [CrossRef]
- Orphan, V.J.; Hinrichs, K.-U.; Ussler, W., III; Paull, C.K.; Taylor, L.T.; Sylva, S.P.; Hayes, J.M.; Delong, E.F. Comparative analysis of methane-oxidizing archaea and sulfate-reducing bacteria in anoxic marine sediments. Appl. Environ. Microbiol. 2001, 67, 1922–1934. [Google Scholar] [CrossRef] [Green Version]
- Singh, S.; Goswami, P.; Singh, R.; Heller, K.J. Application of molecular identification tools for Lactobacillus, with a focus on discrimination between closely related species. LWT Food Sci. Technol. 2009, 42, 448–457. [Google Scholar] [CrossRef]
- Chen, H.C.; Wang, S.Y.; Chen, M.J. Microbiological study of lactic acid bacteria in kefir grains by culture-dependent and culture-independent methods. Food Microbiol. 2008, 25, 492–501. [Google Scholar] [CrossRef]
- Kim, T.W.; Lee, J.H.; Kim, S.E.; Park, M.H.; Chang, H.C.; Kim, H.Y. Analysis of microbial communities in doenjang, a Korean fermented soybean paste, using nested PCR-denaturing gradient gel electrophoresis. Int. J. Food Microbiol. 2009, 131, 265–271. [Google Scholar] [CrossRef]
- Gonzalez, J.M.; Ortiz-Martinez, A.; Gonzalez-delValle, M.A.; Laiz, L.; Saiz-Jimenez, C. An efficient strategy for screening large cloned libraries of amplified 16S rDNA sequences from complex environmental communities. J. Microbiol. Methods 2003, 55, 459–463. [Google Scholar] [CrossRef]
- Ishii, K.; Fukui, M.; Taki, S. Microbial succession during a composting process as evaluated by denaturing gradient gel electrophoresis analysis. J. Appl. Microbiol. 2000, 89, 768–777. [Google Scholar] [CrossRef] [PubMed] [Green Version]
- Elsharkawy, M.M.; Hassan, N.; Villajuan-Abgona, R.; Hyakumachi, M. Mechanism of biological control of Rhizoctonia damping-off of cucumber by a non-pathogenic isolate of binucleate Rhizoctonia. Afr. J. Biotechnol. 2014, 13, 640–650. [Google Scholar]
- Hassan, N.; Elsharkawy, M.M.; Villajuan-Abgona, R.; Hyakumachi, M. A nonpathogenic species of binucleate Rhizoctonia inhibits the formation of infection structures caused by Rhizoctonia solani on cucumber. Acta Agric. Scand. Sect. B Soil Plant Sci. 2014, 65, 208–214. [Google Scholar]
- Hyakumachi, M.; Mondal, S.N.; Elsharkawy, M.M.; Hassan, N. Carbon loss by sclerotia of Sclerotium rolfsii under the influence of soil pH, temperature and matric potential and its effect on sclerotial germination and virulence. Appl. Soil Ecol. 2014, 77, 34–41. [Google Scholar] [CrossRef]
- Elsharkawy, M.M.; Shimizu, M.; Takahashi, H.; Hyakumachi, M. Induction of systemic resistance against Cucumber mosaic virus by Penicillium simplicissimum GP17-2 in Arabidopsis and tobacco. Plant Pathol. 2012, 61, 964–976. [Google Scholar] [CrossRef]
- Heuer, H.; Kresk, M.; Baker, P.; Smalla, K.; Wellington, E.M. Analysis of actinomycete communities by specific amplification of genes encoding 16S rDNA and gel-electrophoretic separation in denaturing gradients. Applied and Environmental. Microbiology 1997, 63, 3233–3241. [Google Scholar]
- May, L.A.; Smiley, B.; Schmidt, M.G. Comparative denaturing gradient gel-electrophoresis analysis of fungal communities associated with whole plant corn silage. Can. J. Microbiol. 2001, 47, 829–841. [Google Scholar] [CrossRef]
- Altschul, S.F.; Madden, T.L.; Schaffer, A.A.; Zhang, J.; Zhang, Z.; Miler, W.; Lipman, D.J. Gapped BLAST and PSI-BLAST: A new generation of protein database search programs. Nucletic Acids Res. 1997, 25, 3389–3402. [Google Scholar] [CrossRef] [Green Version]
- Elad, Y.; Chet, I.; Henis, Y. A selective medium for improving quantitative isolation of Trichoderma spp. Soil Phytoparasit. 1981, 9, 59–67. [Google Scholar] [CrossRef]
- Nakahara, K.; Hataya, T.; Uyeda, I. A simple, rapid method of nucleic acid extraction without tissue homogenization for detecting viroids by hybridization and RT-PCR. Virol. Methods 1999, 77, 44–58. [Google Scholar] [CrossRef]
- White, T.J.; Bruns, T.; Lee, S.; Taylaor, J. Amplification and Direct Sequencing of Fungal Ribosomal RNA Genes for Phylogenetics; Academic Press: San Diego, CA, USA, 1990; pp. 315–322. [Google Scholar]
- Sayama, M.; Homma, Y.; Furuya, H.; Takenaka, S. Some microbial properties of suppressive soil induced by successive inoculations of Rhizoctonia solani anastomosis group 2-2 (in Japanese with English summary). Soil Microorg. 2001, 55, 37–44. [Google Scholar]
- Ghisalberti, E.L.; Narbey, M.J.; Dewan, M.M.; Sivaithamparam, K. Variability among strains of Trichoderma harzianum in their ability to reduce take all and to produce pyrones. Plant Soil 1990, 121, 287–291. [Google Scholar] [CrossRef]
- Agrios, G.N. Plant Pathology, 4th ed.; Academic: San Diego, CA, USA, 1997; pp. 182–196. [Google Scholar]
- Chet, I.; Benhamou, N.; Haran, S. Enzymes, Biological Control and Commercial Application; Trichoderma and Gliocladium; Harman, G.E., Kubicek, C.P., Eds.; Taylor and Francis: London, UK, 1998; pp. 153–172. [Google Scholar]
- Harman, E.G. Overview of mechanisms and uses of Trichoderma spp. Phytopathology 2005, 96, 190–194. [Google Scholar] [CrossRef] [Green Version]
- Elsharkawy, M.M.; Shimizu, M.; Takahashi, H.; Ozaki, K.; Hyakumachi, M. Induction of systemic resistance against Cucumber mosaic virus in Arabidopsis thaliana by Trichoderma asperellum SKT-1. Plant Pathol. J. 2013, 29, 193–200. [Google Scholar] [CrossRef] [Green Version]



| Treatment | Disease Severity 1 | ||
|---|---|---|---|
| Number of Inoculation Times | |||
| 1 | 2 | 3 | |
| Control | 0.24 ± 0.08a 2 | 0.21 ± 0.08a | 0.35 ± 0.10a |
| R. solani | 3.89 ± 0.07a | 2.71 ± 0.20b | 1.33 ± 0.14c |
| S. rolfsii | 3.97 ± 0.03a | 2.34 ± 0.31b | 1.38 ± 0.16c |
| BNR | 0.27 ± 0.08a | 0.19 ± 0.10a | 0.35 ± 0.15a |
| Treatment | Disease Severity 1 | |||
|---|---|---|---|---|
| Repeatedly Inoculated Soil | ||||
| Control | R. solani | S. rolfsii | BNR | |
| R. solani | 4.00 ± 0.00a 2 | 1.40 ± 0.15b | 4.00 ± 0.00a | 0.90 ± 0.25b |
| S. rolfsii | 4.00 ± 0.00a | 1.70 ± 0.06b | 1.50 ± 0.06b | 1.20 ± 0.20b |
| Band | Base Sequence Length (bp) | Homology Search Results (DDBJ BLAST Search) | ||
|---|---|---|---|---|
| Species Name | Percentage of Homology (%) | Access No. | ||
| 1 | 267 | Rhizoctonia solani | 100 | D85641 |
| 2 | 309 | Trichoderma sp. | 100 | AF406811 |
| 3 | 219 | Cunninghamella sp. | 93 | JF824699 |
| 4 | 288 | Sclerotium rolfsii | 100 | JF819726 |
| 5 | 211 | Trichoderma sp. | 83 | AJ783947 |
| 6 | 292 | Penicillium sp. | 97 | GU733355 |
| 7 | 275 | Trichoderma sp. | 100 | DQ310767 |
| Treatment | Trichoderma spp. Quantity (×104 cfu/g Dry Soil) 1 | ||
|---|---|---|---|
| Number of Inoculation Times | |||
| 1 | 2 | 3 | |
| Control | 1.4 ± 0.2c | 7.2 ± 0.2a | 6.2 ± 0.2b |
| R. solani | 3.7 ± 0.4c | 14.8 ± 0.6a | 10.1 ± 0.8b |
| S. rolfsii | 2.3 ± 0.1c | 14.0 ± 0.3a | 10.3 ± 0.1b |
| BNR | 21.1 ± 0.5b | 32.9 ± 0.6a | 23.6 ± 0.3b |
Publisher’s Note: MDPI stays neutral with regard to jurisdictional claims in published maps and institutional affiliations. |
© 2022 by the authors. Licensee MDPI, Basel, Switzerland. This article is an open access article distributed under the terms and conditions of the Creative Commons Attribution (CC BY) license (https://creativecommons.org/licenses/by/4.0/).
Share and Cite
Elsharkawy, M.M.; Kuno, S.; Hyakumachi, M.; Mostafa, Y.S.; Alamri, S.A.; Alrumman, S.A. PCR-DGGE Analysis Proves the Suppression of Rhizoctonia and Sclerotium Root Rot Due to Successive Inoculations. J. Fungi 2022, 8, 133. https://doi.org/10.3390/jof8020133
Elsharkawy MM, Kuno S, Hyakumachi M, Mostafa YS, Alamri SA, Alrumman SA. PCR-DGGE Analysis Proves the Suppression of Rhizoctonia and Sclerotium Root Rot Due to Successive Inoculations. Journal of Fungi. 2022; 8(2):133. https://doi.org/10.3390/jof8020133
Chicago/Turabian StyleElsharkawy, Mohsen Mohamed, Shuhei Kuno, Mitsuro Hyakumachi, Yasser S. Mostafa, Saad A. Alamri, and Sulaiman A. Alrumman. 2022. "PCR-DGGE Analysis Proves the Suppression of Rhizoctonia and Sclerotium Root Rot Due to Successive Inoculations" Journal of Fungi 8, no. 2: 133. https://doi.org/10.3390/jof8020133
APA StyleElsharkawy, M. M., Kuno, S., Hyakumachi, M., Mostafa, Y. S., Alamri, S. A., & Alrumman, S. A. (2022). PCR-DGGE Analysis Proves the Suppression of Rhizoctonia and Sclerotium Root Rot Due to Successive Inoculations. Journal of Fungi, 8(2), 133. https://doi.org/10.3390/jof8020133

