Encapsulation of rhBMP-2 as a Strategy for Dose Shielding Whilst Preserving Structural Integrity, Bioactivity, and Osteogenic Potential
Abstract
1. Introduction
2. Materials and Methods
2.1. rhBMP-2 Encapsulation and Feedstock Preparation
2.2. Molecular Weight Determination of Released rhBMP-2 from Pellets by SDS-PAGE
2.3. Receptor Binding Analysis of rhBMP-2 to rhBMPR-IA/ALK-3 by BLI
2.4. Molecular Stability Assessment Using Capillary Electrophoresis
2.5. Cell-Based ALP Assay to Assess the Osteogenic Potential of Released rhBMP-2
3. Results
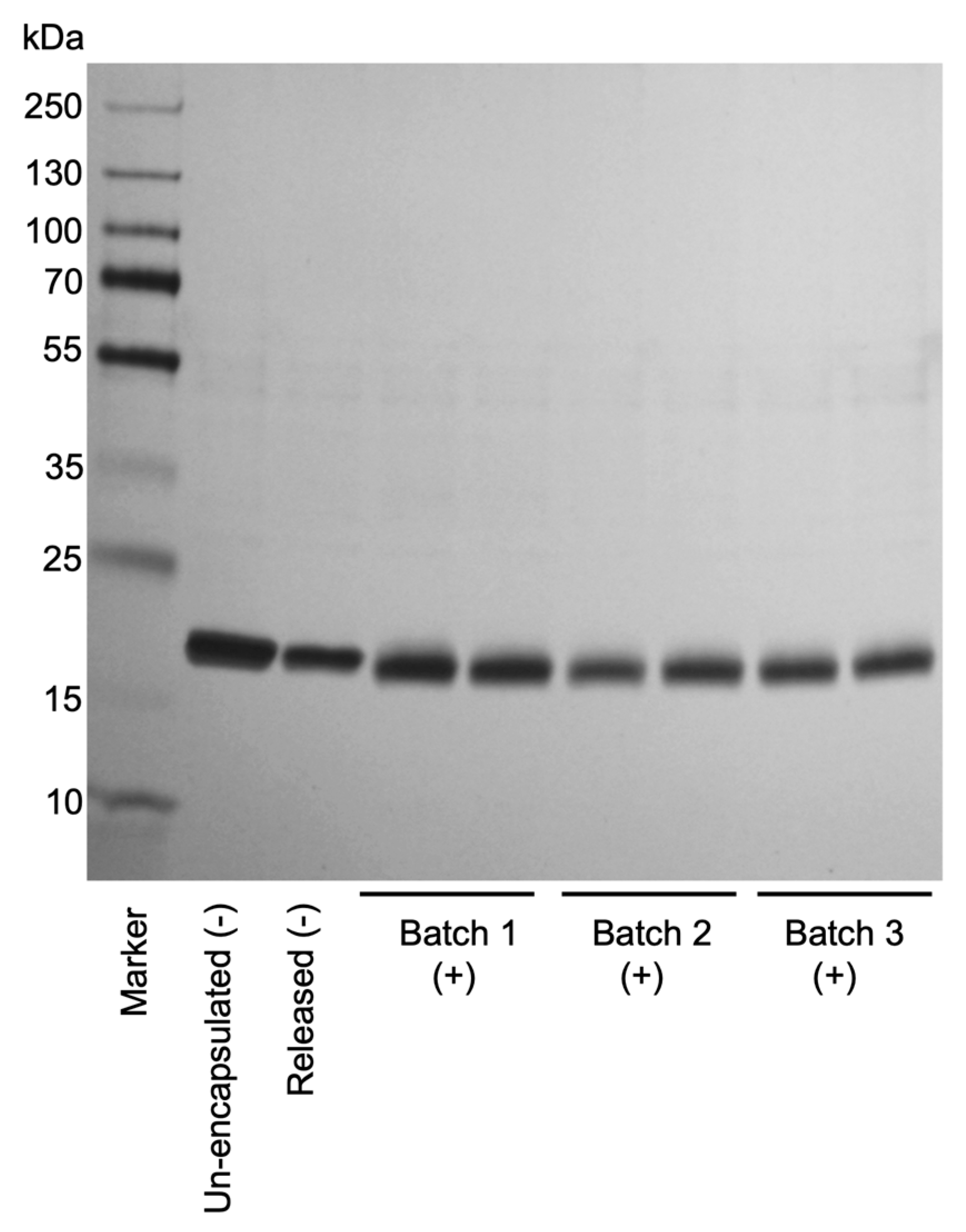
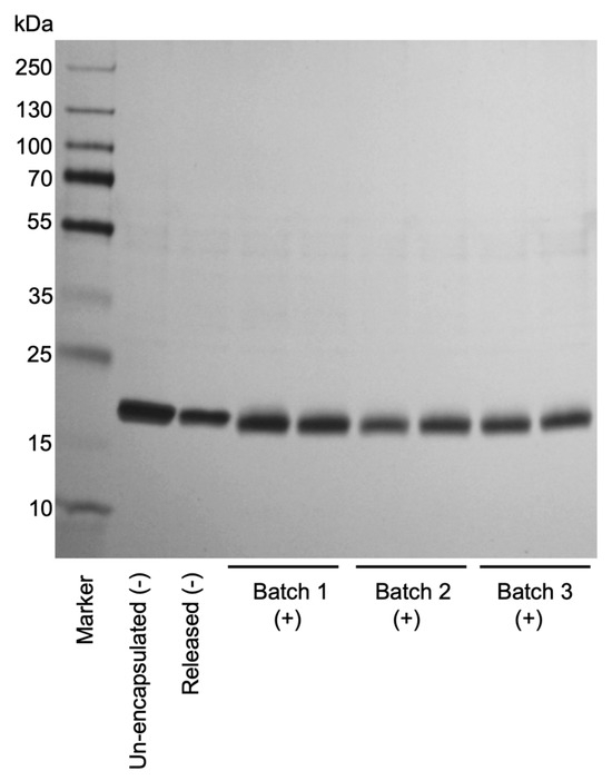
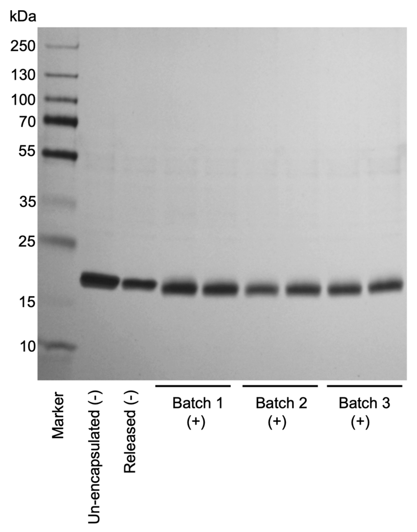
3.1. Structural Analysis of Released rhBMP-2 by SDS-PAGE
3.2. Molecular Stability Assessment of Released rhBMP-2 by Capillary Electrophoresis
3.3. Binding Affinity of Released rhBMP-2 to BMPR-IA Measured by Bio-Layer Interferometry
3.4. ALP Activity Induced by Released rhBMP-2 in Cell-Based Assay
4. Discussion
5. Conclusions
Author Contributions
Funding
Data Availability Statement
Acknowledgments
Conflicts of Interest
Abbreviations
| ALK-3 | Activin receptor-like kinase 3 |
| ALP | Alkaline phosphatase |
| BLI | Bio-layer Interferometry |
| BMPR-IA | Bone morphogenetic protein receptor type I A |
| BSA | Bovine serum albumin |
| CE-SDS | Capillary electrophoresis–sodium dodecyl sulfate |
| CV | Coefficient Variation |
| E. coli | Escherichia coli |
| ECM | Extracellular Matrix |
| EP | Empty Pellets |
| FDA | US Food And Drug Administration |
| FRAP | Fluorescence Recovery After Photobleaching |
| GCP | Gel Permeation Chromatography |
| HMWS | High molecular weight species |
| KB | Kinetics Buffer |
| LMWS | Low molecular weight species |
| Ni–NTA | Nickel–Nitrilotriacetic Acid |
| PBS | Phosphate-Buffered Saline |
| PDLLGA | Poly(DL-lactide-co-glycolide) |
| PET | Polyethylene terephthalate |
| PLGA | Poly(lactic-co-glycolic acid). |
| PLLA | Poly(L-lactic acid) |
| rhBMP-2 | Recombinant human bone morphogenetic protein-2 |
| rpm | Revolutions per minute |
| UV | Ultraviolet |
| β-TCP | β-Tricalciumphosphate |
Appendix A
Appendix A.1


Appendix A.2
| Time Point (d) | Molecular Weight (kDA) | Polydispersity |
|---|---|---|
| 0 | 47 | 1.579 |
| 129 | 47 | 1.572 |
| 227 | 47 | 1.615 |
| 551 | 47 | 1.517 |
| 732 | 50 | 1.610 |
References
- Urist, M.R. Bone: Formation by Autoinduction. Science 1965, 150, 893–899. [Google Scholar] [CrossRef] [PubMed]
- Von Benecke, J.P.; Tarsitano, E.; Zimmermann, L.-M.A.; Shakesheff, K.M.; Walsh, W.R.; Bae, H.W. A Narrative Review on Recombinant Human Bone Morphogenetic Protein 2: Where Are We Now? Cureus 2024, 16, e67785. [Google Scholar] [CrossRef]
- Seeherman, H.J.; Wilson, C.G.; Vanderploeg, E.J.; Brown, C.T.; Morales, P.R.; Fredricks, D.C.; Wozney, J.M. A BMP/Activin A Chimera Induces Posterolateral Spine Fusion in Nonhuman Primates at Lower Concentrations Than BMP-2. J. Bone Jt. Surg. 2021, 103, e64. [Google Scholar] [CrossRef]
- Friess, W.; Uludag, H.; Foskett, S.; Biron, R.; Sargeant, C. Characterization of Absorbable Collagen Sponges as RhBMP-2 Carriers. Int. J. Pharm. 1999, 187, 91–99. [Google Scholar] [CrossRef]
- Seeherman, H.I.; Jian, V.X.; Mary, L.; Bouxsein, L.; Wozney, J.M. RhBMP-2 Induces Transient Bone Resorption Followed by Bone Formation in a Nonhuman Primate Core-Defect Model. J. Bone Jt. Surg. Am. 2010, 92, 411–426. [Google Scholar] [CrossRef]
- Claes, L.; Recknagel, S.; Ignatius, A. Fracture Healing under Healthy and Inflammatory Conditions. Nat. Rev. Rheumatol. 2012, 8, 133–143. [Google Scholar] [CrossRef] [PubMed]
- Taguchi, T.; Lopez, M.J. An Overview of de Novo Bone Generation in Animal Models. J. Orthop. Res. 2021, 39, 7–21. [Google Scholar] [CrossRef]
- Hara, Y.; Ghazizadeh, M.; Shimizu, H.; Matsumoto, H.; Saito, N.; Yagi, T.; Mashiko, K.; Mashiko, K.; Kawai, M.; Yokota, H. Delayed Expression of Circulating TGF-Β1 and BMP-2 Levels in Human Nonunion Long Bone Fracture Healing. J. Nippon. Med. Sch. 2017, 84, 12–18. [Google Scholar] [CrossRef]
- Xuman, M.; Haifeng, C.B.W. Detection of Bone Morphogenetic Protein-2 Levels in Peripheral Blood of Patients with Delayed Fracture Healing. Jilin Med. 2007, 15. [Google Scholar] [CrossRef]
- Zimmermann, L.; Correns, A.; Furlan, A.G.; Spanou, C.E.S.; Sengle, G. Controlling BMP Growth Factor Bioavailability: The Extracellular Matrix as Multi Skilled Platform. Cell. Signal. 2021, 85, 110071. [Google Scholar] [CrossRef]
- Correns, A.; Zimmermann, L.M.A.; Baldock, C.; Sengle, G. BMP Antagonists in Tissue Development and Disease. Matrix Biol. Plus 2021, 11, 100071. [Google Scholar] [CrossRef]
- Maruyama, M.; Rhee, C.; Utsunomiya, T.; Zhang, N.; Ueno, M.; Yao, Z.; Goodman, S.B. Modulation of the Inflammatory Response and Bone Healing. Front. Endocrinol. Lausanne 2020, 11, 386. [Google Scholar] [CrossRef]
- Lee, K.B.; Taghavi, C.E.; Song, K.J.; Sintuu, C.; Yoo, J.H.; Keorochana, G.; Tzeng, S.T.; Fei, Z.; Liao, J.C.; Wang, J.C. Inflammatory Characteristics of RhBMP-2 in Vitro and in an in Vivo Rodent Model. Spine (Phila Pa 1976) 2011, 36, 149–154. [Google Scholar] [CrossRef]
- Lee, K.B.; Taghavi, C.E.; Murray, S.S.; Song, K.J.; Keorochana, G.; Wang, J.C. BMP Induced Inflammation: A Comparison of RhBMP-7 and RhBMP-2. J. Orthop. Res. 2012, 30, 1985–1994. [Google Scholar] [CrossRef] [PubMed]
- Liau, Z.Q.G.; Lam, R.W.M.; Hu, T.; Wong, H.-K. Dose-Dependent Nerve Inflammatory Response to RhBMP-2 in a Rodent Spinal Nerve Model. Spine (Phila Pa 1976) 2017, 42, E933–E938. [Google Scholar] [CrossRef] [PubMed]
- Xiong, C.; Daubs, M.D.; Montgomery, S.R.; Aghdasi, B.; Inoue, H.; Tian, H.; Suzuki, A.; Tan, Y.; Hayashi, T.; Ruangchainikom, M.; et al. BMP-2 Adverse Reactions Treated with Human Dose Equivalent Dexamethasone in a Rodent Model of Soft-Tissue Inflammation. Spine (Phila Pa 1976) 2013, 38, 1640–1647. [Google Scholar] [CrossRef]
- Wang, M.; Abbah, S.A.; Hu, T.; Toh, S.Y.; Lam, R.W.M.; Goh, J.C.-H.; Wong, H.-K. Minimizing the Severity of RhBMP-2–Induced Inflammation and Heterotopic Ossification with a Polyelectrolyte Carrier Incorporating Heparin on Microbead Templates. Spine (Phila Pa 1976) 2013, 38, 1452–1458. [Google Scholar] [CrossRef] [PubMed]
- Shim, J.H.; Kim, S.E.; Park, J.Y.; Kundu, J.; Kim, S.W.; Kang, S.S.; Cho, D.W. Three-Dimensional Printing of RhBMP-2-Loaded Scaffolds with Long-Term Delivery for Enhanced Bone Regeneration in a Rabbit Diaphyseal Defect. Tissue Eng. Part. A 2014, 20, 1980–1992. [Google Scholar] [CrossRef]
- Yue, S.; He, H.; Li, B.; Hou, T. Hydrogel as a Biomaterial for Bone Tissue Engineering: A Review. Nanomaterials 2020, 10, 1511. [Google Scholar] [CrossRef]
- Bai, X.; Gao, M.; Syed, S.; Zhuang, J.; Xu, X.; Zhang, X.Q. Bioactive Hydrogels for Bone Regeneration. Bioact. Mater. 2018, 3, 401–417. [Google Scholar] [CrossRef]
- Seeherman, H.; Li, R.; Li, X.J.; Wozney, J. Injectable RhBMP-2/CPM Paste for Closed Fracture and Minimally Invasive Orthopaedic Repairs. J. Musculoskelet. Neuronal Interact. 2003, 3, 317–319; discussion 320-1. [Google Scholar] [PubMed]
- Seeherman, H. RhBMP-2/Calcium Phosphate Matrix Accelerates Osteotomy-Site Healing in a Nonhuman Primate Model at Multiple Treatment Times and Concentrations. J. Bone Jt. Surg. Am. 2006, 88, 144. [Google Scholar] [CrossRef]
- Spanou, C.E.S.; Wohl, A.P.; Doherr, S.; Correns, A.; Sonntag, N.; Lütke, S.; Mörgelin, M.; Imhof, T.; Gebauer, J.M.; Baumann, U.; et al. Targeting of Bone Morphogenetic Protein Complexes to Heparin/Heparan Sulfate Glycosaminoglycans in Bioactive Conformation. FASEB J. 2023, 37, e22717. [Google Scholar] [CrossRef]
- Migliorini, E.; Valat, A.; Picart, C.; Cavalcanti-Adam, E.A. Tuning Cellular Responses to BMP-2 with Material Surfaces. Cytokine Growth Factor. Rev. 2016, 27, 43–54. [Google Scholar] [CrossRef]
- Pohl, T.L.M.; Boergermann, J.H.; Schwaerzer, G.K.; Knaus, P.; Cavalcanti-Adam, E.A. Surface Immobilization of Bone Morphogenetic Protein 2 via a Self-Assembled Monolayer Formation Induces Cell Differentiation. Acta Biomater. 2012, 8, 772–780. [Google Scholar] [CrossRef]
- Dong, R.; Zheng, S.; Cheng, X. Designing Hydrogel for Application in Spinal Surgery. Mater. Today Bio 2025, 31, 101536. [Google Scholar] [CrossRef]
- Hwang, H.S.; Lee, C.S. Nanoclay-Composite Hydrogels for Bone Tissue Engineering. Gels 2024, 10, 513. [Google Scholar] [CrossRef]
- Cai, Z.; Jiang, H.; Lin, T.; Wang, C.; Ma, J.; Gao, R.; Jiang, Y.; Zhou, X. Microspheres in Bone Regeneration: Fabrication, Properties and Applications. Mater. Today Adv. 2022, 16, 100315. [Google Scholar] [CrossRef]
- Liu, X.; Sun, S.; Wang, N.; Kang, R.; Xie, L.; Liu, X. Therapeutic Application of Hydrogels for Bone-Related Diseases. Front. Bioeng. Biotechnol. 2022, 10, 998988. [Google Scholar] [CrossRef] [PubMed]
- Gao, Y.; Zhang, X.; Zhou, H. Biomimetic Hydrogel Applications and Challenges in Bone, Cartilage, and Nerve Repair. Pharmaceutics 2023, 15, 2405. [Google Scholar] [CrossRef]
- Farjaminejad, S.; Farjaminejad, R.; Garcia-Godoy, F. Nanoparticles in Bone Regeneration: A Narrative Review of Current Advances and Future Directions in Tissue Engineering. J. Funct. Biomater. 2024, 15, 241. [Google Scholar] [CrossRef]
- Cai, X.; Lv, Z.; Wang, Z.; Wang, Y.; Xu, J.; Yang, X.; Wang, H.; Bian, Y.; Zhu, Y.; Feng, B.; et al. Two-Dimensional Nanomaterials for Bone Disease Therapy: Multifunctional Platforms for Regeneration, Anti-Infection and Tumor Ablation. J. Nanobiotechnol. 2025, 23, 566. [Google Scholar] [CrossRef]
- Han, F.Y.; Thurecht, K.J.; Whittaker, A.K.; Smith, M.T. Bioerodable PLGA-Based Microparticles for Producing Sustained-Release Drug Formulations and Strategies for Improving Drug Loading. Front. Pharmacol. 2016, 7, 185. [Google Scholar] [CrossRef]
- Lu, H.; Zhou, Y.; Ma, Y.; Xiao, L.; Ji, W.; Zhang, Y.; Wang, X. Current Application of Beta-Tricalcium Phosphate in Bone Repair and Its Mechanism to Regulate Osteogenesis. Front. Mater. 2021, 8, 698915. [Google Scholar] [CrossRef]
- Schilling, A.F.; Linhart, W.; Filke, S.; Gebauer, M.; Schinke, T.; Rueger, J.M.; Amling, M. Resorbability of Bone Substitute Biomaterials by Human Osteoclasts. Biomaterials 2004, 25, 3963–3972. [Google Scholar] [CrossRef]
- Zheng, J.; Nozaki, K.; Hashimoto, K.; Yamashita, K.; Wakabayashi, N. Exploring the Biological Impact of β-TCP Surface Polarization on Osteoblast and Osteoclast Activity. Int. J. Mol. Sci. 2025, 26, 141. [Google Scholar] [CrossRef] [PubMed]
- Kang, Y.; Scully, A.; Young, D.A.; Kim, S.; Tsao, H.; Sen, M.; Yang, Y. Enhanced Mechanical Performance and Biological Evaluation of a PLGA Coated β-TCP Composite Scaffold for Load-Bearing Applications. Eur. Polym. J. 2011, 47, 1569–1577. [Google Scholar] [CrossRef] [PubMed]
- Zhao, D.; Zhu, T.; Li, J.; Cui, L.; Zhang, Z.; Zhuang, X.; Ding, J. Poly(Lactic-Co-Glycolic Acid)-Based Composite Bone-Substitute Materials. Bioact. Mater. 2021, 6, 346–360. [Google Scholar] [CrossRef]
- Maadani, A.M.; Salahinejad, E. Performance Comparison of PLA- and PLGA-Coated Porous Bioceramic Scaffolds: Mechanical, Biodegradability, Bioactivity, Delivery and Biocompatibility Assessments. J. Control. Release 2022, 351, 1–7. [Google Scholar] [CrossRef] [PubMed]
- Furuichi, T.; Hirai, H.; Kitahara, T.; Bun, M.; Ikuta, M.; Ukon, Y.; Furuya, M.; Oreffo, R.O.C.; Janeczek, A.A.; Dawson, J.I.; et al. Nanoclay Gels Attenuate BMP2-Associated Inflammation and Promote Chondrogenesis to Enhance BMP2-Spinal Fusion. Bioact. Mater. 2025, 44, 474–487. [Google Scholar] [CrossRef]
- Oldham, J.B.; Lu, L.; Zhu, X.; Porter, B.D.; Hefferan, T.E.; Larson, D.R.; Currier, B.L.; Mikos, A.G.; Yaszemski, M.J. Biological Activity of RhBMP-2 Released from PLGA Microspheres. J. Biomech. Eng. 2000, 122, 289–292. [Google Scholar] [CrossRef]
- Lee, P.W.; Pokorski, J.K. Poly(Lactic-co-glycolic Acid) Devices: Production and Applications for Sustained Protein Delivery. Wiley Interdiscip. Rev. Nanomed. Nanobiotechnol 2018, 10, e1516. [Google Scholar] [CrossRef]
- Kirby, G.T.S.; White, L.J.; Rahman, C.V.; Cox, H.C.; Qutachi, O.; Rose, F.R.A.J.; Hutmacher, D.W.; Shakesheff, K.M.; Woodruff, M.A. PLGA-Based Microparticles for the Sustained Release of BMP-2. Polymers 2011, 3, 571–586. [Google Scholar] [CrossRef]
- Sundermann, J.; Zagst, H.; Kuntsche, J.; Wätzig, H.; Bunjes, H. Bone Morphogenetic Protein 2 (BMP-2) Aggregates Can Be Solubilized by Albumin—Investigation of BMP-2 Aggregation by Light Scattering and Electrophoresis. Pharmaceutics 2020, 12, 1143. [Google Scholar] [CrossRef]
- Quaas, B.; Burmeister, L.; Li, Z.; Nimtz, M.; Hoffmann, A.; Rinas, U. Properties of Dimeric, Disulfide-Linked RhBMP-2 Recovered from E. Coli Derived Inclusion Bodies by Mild Extraction or Chaotropic Solubilization and Subsequent Refolding. Process Biochem. 2018, 67, 80–87. [Google Scholar] [CrossRef]
- Marom, B.; Heining, E.; Knaus, P.; Henis, Y.I. Formation of Stable Homomeric and Transient Heteromeric Bone Morphogenetic Protein (BMP) Receptor Complexes Regulates Smad Protein Signaling. J. Biol. Chem. 2011, 286, 19287–19296. [Google Scholar] [CrossRef]
- Khodr, V.; Machillot, P.; Migliorini, E.; Reiser, J.-B.; Picart, C. High-Throughput Measurements of Bone Morphogenetic Protein/Bone Morphogenetic Protein Receptor Interactions Using Biolayer Interferometry. Biointerphases 2021, 16, 031001. [Google Scholar] [CrossRef]
- Swed, A. Protein Encapsulation into PLGA Nanoparticles by a Novel Phase Separation Method Using Non-Toxic Solvents. J. Nanomed. Nanotechnol. 2014, 5, 1–8. [Google Scholar] [CrossRef]
- Biddlecombe, J.G.; Smith, G.; Uddin, S.; Mulot, S.; Spencer, D.; Gee, C.; Fish, B.C.; Bracewell, D.G. Factors Influencing Antibody Stability at Solid–Liquid Interfaces in a High Shear Environment. Biotechnol. Prog. 2009, 25, 1499–1507. [Google Scholar] [CrossRef]
- Kiese, S.; Pappenberger, A.; Friess, W.; Mahler, H.-C. Equilibrium Studies of Protein Aggregates and Homogeneous Nucleation in Protein Formulation. J. Pharm. Sci. 2010, 99, 632–644. [Google Scholar] [CrossRef]
- Paborji, M.; Pochopin, N.L.; Coppola, W.P.; Bogardus, J.B. Chemical and Physical Stability of Chimeric L6, a Mouse-Human Monoclonal Antibody. Pharm. Res. 1994, 11, 764–771. [Google Scholar] [CrossRef]
- Vermeer, A.W.P.; Bremer, M.G.E.G.; Norde, W. Structural Changes of IgG Induced by Heat Treatment and by Adsorption onto a Hydrophobic Teflon Surface Studied by Circular Dichroism Spectroscopy. Biochim. Biophys. Acta Gen. Subj. 1998, 1425, 1–12. [Google Scholar] [CrossRef]
- Li, S.-Q.; Bomser, J.A.; Zhang, Q.H. Effects of Pulsed Electric Fields and Heat Treatment on Stability and Secondary Structure of Bovine Immunoglobulin G. J. Agric. Food Chem. 2005, 53, 663–670. [Google Scholar] [CrossRef]
- Pekkarinen, T.; Hietala, O.; Jämsä, T.; Jalovaara, P. Gamma Irradiation and Ethylene Oxide in the Sterilization of Native Reindeer Bone Morphogenetic Protein Extract. Scand. J. Surg. 2005, 94, 67–70. [Google Scholar] [CrossRef] [PubMed]
- Pekkarinen, T.; Hietala, O.; Lindholm, T.S.; Jalovaara, P. Influence of Ethylene Oxide Sterilization on the Activity of Native Reindeer Bone Morphogenetic Protein. Int. Orthop. 2004, 28, 97–101. [Google Scholar] [CrossRef][Green Version]
- Ijiri, S.; Yamamuro, T.; Nakamura, T.; Kotani, S.; Notoya, K. Effect of Sterilization on Bone Morphogenetic Protein. J. Orthop. Res. 1994, 12, 628–636. [Google Scholar] [CrossRef]
- Kirsch, T. BMP-2 Antagonists Emerge from Alterations in the Low-Affinity Binding Epitope for Receptor BMPR-II. EMBO J. 2000, 19, 3314–3324. [Google Scholar] [CrossRef]
- Nickel, J.; Dreyer, M.K.; Kirsch, T.; Sebald, W. The Crystal Structure of the BMP-2:BMPR-IA Complex and the Generation of BMP-2 Antagonists. J. Bone Jt. Surg. Am. 2001, 83-A (Suppl. 1), S7–S14. [Google Scholar] [CrossRef]
- Kim, N.H.; Jung, S.K.; Lee, J.; Chang, P.S.; Kang, S.H. Modulation of Osteogenic Differentiation by Escherichia Coli-Derived Recombinant Bone Morphogenetic Protein-2. AMB Express 2022, 12, 106. [Google Scholar] [CrossRef]
- Yoon, B.-H.; Esquivies, L.; Ahn, C.; Gray, P.C.; Ye, S.-K.; Kwiatkowski, W.; Choe, S. An Activin A/BMP2 Chimera, AB204, Displays Bone-Healing Properties Superior to Those of BMP2. J. Bone Min. Miner. Res. 2014, 29, 1950–1959. [Google Scholar] [CrossRef] [PubMed]
- Abarrategi, A.; Moreno-Vicente, C.; Ramos, V.; Aranaz, I.; Sanz Casado, J.V.; López-Lacomba, J.L. Improvement of Porous β-TCP Scaffolds with RhBMP-2 Chitosan Carrier Film for Bone Tissue Application. Tissue Eng. Part. A 2008, 14, 1305–1319. [Google Scholar] [CrossRef]
- Lo, K.W.H.; Ulery, B.D.; Ashe, K.M.; Laurencin, C.T. Studies of Bone Morphogenetic Protein-Based Surgical Repair. Adv. Drug Deliv. Rev. 2012, 64, 1277–1291. [Google Scholar] [CrossRef]
- Tannoury, C.A.; An, H.S. Complications with the Use of Bone Morphogenetic Protein 2 (BMP-2) in Spine Surgery. Spine J. 2014, 14, 552–559. [Google Scholar] [CrossRef] [PubMed]
- James, A.W.; LaChaud, G.; Shen, J.; Asatrian, G.; Nguyen, V.; Zhang, X.; Ting, K.; Soo, C. A Review of the Clinical Side Effects of Bone Morphogenetic Protein-2. Tissue Eng. Part. B Rev. 2016, 22, 284–297. [Google Scholar] [CrossRef] [PubMed]
- Epstein, N. Complications Due to the Use of BMP/INFUSE in Spine Surgery: The Evidence Continues to Mount. Surg. Neurol. Int. 2013, 4, 343–352. [Google Scholar] [CrossRef]
- Ma, S.; Feng, X.; Liu, F.; Wang, B.; Zhang, H.; Niu, X. The Pro-Inflammatory Response of Macrophages Regulated by Acid Degradation Products of Poly(Lactide-Co-Glycolide) Nanoparticles. Eng. Life Sci. 2021, 21, 709–720. [Google Scholar] [CrossRef] [PubMed]





| Time Point | LMW | Main Peak | HMW | |||
|---|---|---|---|---|---|---|
| Mean (%) | SD | Mean (%) | SD | Mean (%) | SD | |
| 0 | 6.300 | 0.028 | 89.240 | 0.453 | 4.450 | 0.481 |
| 129 | 8.400 | 0.438 | 89.750 | 0.453 | 1.845 | 0.021 |
| 227 | 9.135 | 0.700 | 85.705 | 1.803 | 5.160 | 1.103 |
| 551 | 7.585 | 0.177 | 82.185 | 0.884 | 10.230 | 0.707 |
| 732 | 8.805 | 0.120 | 85.200 | 0.283 | 5.990 | 0.410 |
| Run Number | Analyst | KD (M) | kon (M−1 s−1) | koff (s−1) |
|---|---|---|---|---|
| 1 | A | 5.61 × 10−8 | 1.85 × 104 | 1.04 × 10−3 |
| 2 | B | 5.98 × 10−8 | 2.09 × 104 | 1.25 × 10−3 |
| 3 | A | 4.66 × 10−8 | 2.15 × 104 | 1.00 × 10−3 |
| 4 | B | 3.33 × 10−8 | 1.96 × 104 | 6.52 × 10−4 |
| Average | 4.89 × 10−8 | 2.01 × 104 | 9.85 × 10−4 | |
| CV (%) | 24.1 | 6.6 | 25.1 | |
| Run Number | Analyst | KD (M) | kon (M−1 s−1) | koff (s−1) |
|---|---|---|---|---|
| 1 | A | 5.61 × 10−8 | 1.85 × 104 | 1.04 × 10−3 |
| 3 | A | 4.66 × 10−8 | 2.15 × 104 | 1.00 × 10−3 |
| Average | 5.13 ×10−8 | 2.00 × 104 | 1.02 × 10−3 | |
| CV (%) | 13.0 | 10.4 | 2.6 | |
Disclaimer/Publisher’s Note: The statements, opinions and data contained in all publications are solely those of the individual author(s) and contributor(s) and not of MDPI and/or the editor(s). MDPI and/or the editor(s) disclaim responsibility for any injury to people or property resulting from any ideas, methods, instructions or products referred to in the content. |
© 2025 by the authors. Licensee MDPI, Basel, Switzerland. This article is an open access article distributed under the terms and conditions of the Creative Commons Attribution (CC BY) license (https://creativecommons.org/licenses/by/4.0/).
Share and Cite
Matthews, C.; Tarsitano, E.; Odedra, S.; Holden, W.; Villalan, D.T.; Kavalakatt, S.; Silva, K.; Zimmermann, L.-M.A.; von Benecke, J. Encapsulation of rhBMP-2 as a Strategy for Dose Shielding Whilst Preserving Structural Integrity, Bioactivity, and Osteogenic Potential. Processes 2025, 13, 3395. https://doi.org/10.3390/pr13113395
Matthews C, Tarsitano E, Odedra S, Holden W, Villalan DT, Kavalakatt S, Silva K, Zimmermann L-MA, von Benecke J. Encapsulation of rhBMP-2 as a Strategy for Dose Shielding Whilst Preserving Structural Integrity, Bioactivity, and Osteogenic Potential. Processes. 2025; 13(11):3395. https://doi.org/10.3390/pr13113395
Chicago/Turabian StyleMatthews, Charles, Elisa Tarsitano, Sejal Odedra, Whitney Holden, Dhanaraman Thillai Villalan, Sina Kavalakatt, Kalhari Silva, Laura-Marie A. Zimmermann, and John von Benecke. 2025. "Encapsulation of rhBMP-2 as a Strategy for Dose Shielding Whilst Preserving Structural Integrity, Bioactivity, and Osteogenic Potential" Processes 13, no. 11: 3395. https://doi.org/10.3390/pr13113395
APA StyleMatthews, C., Tarsitano, E., Odedra, S., Holden, W., Villalan, D. T., Kavalakatt, S., Silva, K., Zimmermann, L.-M. A., & von Benecke, J. (2025). Encapsulation of rhBMP-2 as a Strategy for Dose Shielding Whilst Preserving Structural Integrity, Bioactivity, and Osteogenic Potential. Processes, 13(11), 3395. https://doi.org/10.3390/pr13113395

