Molecular Characterization and Efficacy Evaluation of Transgenic Maize Harboring cry2Ab-vip3A-cp4epsps for Insect Resistance and Herbicide Tolerance
Abstract
1. Introduction
2. Results
2.1. Development of Transgenic Plants Expressing cry2Ab, vip3A and cp4epsps
2.2. Identification of Integration Sites of Exogenous T-DNA in the Maize Genome
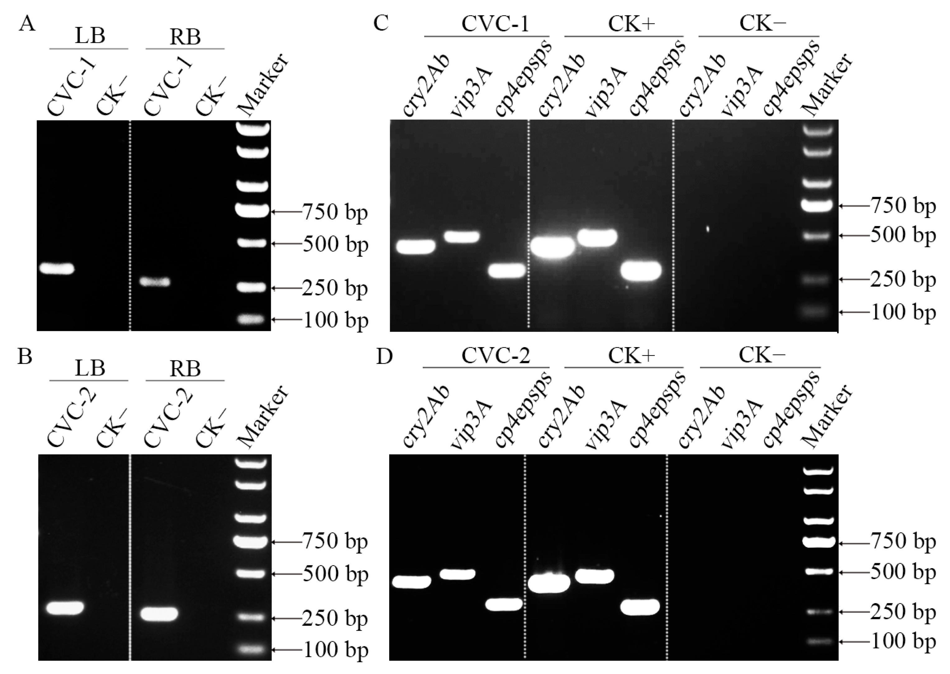
2.3. Analysis of Flanking Sequences and Specific PCR Detection
2.4. Insect Bioassays of Transgenic Maize against Three Lepidopteran Pests
2.5. Glyphosate Tolerance in Transgenic CVC-1 Fields
2.6. Transcriptional Expression of Exogenous Target Genes in CVC-1
2.7. Protein Expression of Exogenous Target Genes in CVC-1
3. Discussion
4. Materials and Methods
4.1. Vector Construction and Maize Transformation
4.2. ImmunoStrip Test
4.3. Whole Genome Sequencing and Identification of the Insertion Sites of Transgenic Maize
4.4. PCR Detection of Foreign Target Genes
4.5. Laboratory Insect Bioassays
4.6. Evaluation of Glyphosate Tolerance of Transgenic Maize CVC-1
4.7. Detection of Transcript Expression Levels with qRT-PCR
4.8. Measurement of Protein Concentration with ELISA
4.9. Statistical Analysis
Supplementary Materials
Author Contributions
Funding
Data Availability Statement
Conflicts of Interest
References
- Liu, Q.; Hallerman, E.; Peng, Y.; Li, Y. Development of Bt rice and Bt maize in China and their efficacy in target pest control. Int. J. Mol. Sci. 2016, 17, 1561. [Google Scholar] [CrossRef]
- Li, G.; Feng, H.; Ji, T.; Huang, J.; Tian, C. What type of Bt corn is suitable for a region with diverse lepidopteran pests: A laboratory evaluation. GM Crops Food 2021, 12, 115–124. [Google Scholar] [CrossRef] [PubMed]
- Li, B.-L.; Li, M.-M.; Li, T.-T.; Wu, J.-X.; Xu, X.-L. Demography of Mythimna separata (Lepidoptera: Noctuidae) at outdoor fluctuating temperatures. Bull. Entomol. Res. 2021, 111, 385–393. [Google Scholar] [CrossRef]
- Zhao, X.C.; Feng, H.Q.; Wu, B.; Wu, X.F.; Liu, Z.F.; Wu, K.M.; McNeil, J.N. Does the onset of sexual maturation terminate the expression of migratory behaviour in moths? A study of the oriental armyworm, Mythimna separata. J. Insect Physiol. 2009, 55, 1039–1043. [Google Scholar] [CrossRef]
- Wang, Z.-Y.; He, K.-L.; Wen, L.-P.; Zhang, G.-Y.; Li, Z. Spatial and temporal distributions of the fourth generation cotton bollworm eggs on summer corn seeded at different times in north China. Agric. Sci. China 2002, 1, 96–100. [Google Scholar]
- Kriticos, D.J.; Ota, N.; Hutchison, W.D.; Beddow, J.; Walsh, T.; Tay, W.T.; Borchert, D.M.; Paula-Moraes, S.V.; Czepak, C.; Zalucki, M.P. The potential distribution of invading Helicoverpa armigera in north America: Is it just a matter of time? PLoS ONE 2015, 10, e0119618. [Google Scholar] [CrossRef]
- Jing, D.-P.; Guo, J.-F.; Jiang, Y.-Y.; Zhao, J.-Z.; Sethi, A.; He, K.-L.; Wang, Z.-Y. Initial detections and spread of invasive Spodoptera frugiperda in China and comparisons with other noctuid larvae in cornfields using molecular techniques. Insect Sci. 2020, 27, 780–790. [Google Scholar] [CrossRef] [PubMed]
- Van den Berg, J.; du Plessis, H. Chemical control and insecticide resistance in Spodoptera frugiperda (Lepidoptera: Noctuidae). J. Econ. Entomol. 2022, 115, 1761–1771. [Google Scholar] [CrossRef]
- Mhlanga, B.; Chauhan, B.S.; Thierfelder, C. Weed management in maize using crop competition: A review. Crop Prot. 2016, 88, 28–36. [Google Scholar] [CrossRef]
- Naqvi, R.Z.; Asif, M.; Saeed, M.; Asad, S.; Khatoon, A.; Amin, I.; Mukhtar, Z.; Bashir, A.; Mansoor, S. Development of a triple gene cry1Ac-cry2Ab-epsps construct and its expression in Nicotiana benthamiana for insect resistance and herbicide tolerance in plants. Front. Plant Sci. 2017, 8, 55. [Google Scholar] [CrossRef]
- Domínguez-Arrizabalaga, M.; Villanueva, M.; Escriche, B.; Ancín-Azpilicueta, C.; Caballero, P. Insecticidal activity of Bacillus thuringiensis proteins against Coleopteran pests. Toxins 2020, 12, 430. [Google Scholar] [CrossRef] [PubMed]
- Yang, J.; Quan, Y.; Sivaprasath, P.; Shabbir, M.Z.; Wang, Z.; Ferré, J.; He, K. Insecticidal activity and synergistic combinations of ten different Bt toxins against Mythimna separata (Walker). Toxins 2018, 10, 454. [Google Scholar] [CrossRef] [PubMed]
- Carrière, Y.; Fabrick, J.A.; Tabashnik, B.E. Can pyramids and seed mixtures delay resistance to Bt crops? Trends Biotechnol. 2016, 34, 291–302. [Google Scholar] [CrossRef] [PubMed]
- Welch, K.L.; Unnithan, G.C.; Degain, B.A.; Wei, J.; Zhang, J.; Li, X.; Tabashnik, B.E.; Carrière, Y. Cross-resistance to toxins used in pyramided Bt crops and resistance to Bt sprays in Helicoverpa zea. J. Invertebr. Pathol. 2015, 132, 149–156. [Google Scholar] [CrossRef] [PubMed]
- Hernández-Rodríguez, C.S.; van Vliet, A.; Bautsoens, N.; van Rie, J.; Ferré, J. Specific binding of Bacillus thuringiensis Cry2A insecticidal proteins to a common site in the midgut of Helicoverpa species. Appl. Environ. Microbiol. 2008, 74, 7654–7659. [Google Scholar] [CrossRef] [PubMed]
- Li, X.; Miyamoto, K.; Takasu, Y.; Wada, S.; Iizuka, T.; Adegawa, S.; Sato, R.; Watanabe, K. ATP-binding cassette subfamily a member 2 is a functional receptor for Bacillus thuringiensis Cry2A toxins in Bombyx mori, but not for Cry1A, Cry1C, Cry1D, Cry1F, or Cry9A toxins. Toxins 2020, 12, 104. [Google Scholar] [CrossRef]
- Liu, S.; Wang, S.; Wu, S.; Wu, Y.; Yang, Y. Proteolysis activation of Cry1Ac and Cry2Ab protoxins by larval midgut juice proteases from Helicoverpa armigera. PLoS ONE 2020, 15, e0228159. [Google Scholar] [CrossRef]
- Fan, J.B.; van de Velde, S.; Sun, W.B.; Yu, H.; Zhang, Y.L.; Wang, D. Enhanced toxicity of Cry2Ab with cantharidin and its analogues on Mythimna separata. J. Appl. Entomol. 2017, 141, 363–371. [Google Scholar] [CrossRef]
- Tabashnik, B.E.; Carrière, Y. Surge in insect resistance to transgenic crops and prospects for sustainability. Nat. Biotechnol. 2017, 35, 926–935. [Google Scholar] [CrossRef]
- Lee, M.K.; Walters, F.S.; Hart, H.; Palekar, N.; Chen, J.S. The mode of action of the Bacillus thuringiensis vegetative insecticidal protein Vip3A differs from that of Cry1Ab delta-endotoxin. Appl. Environ. Microbiol. 2003, 69, 4648–4657. [Google Scholar] [CrossRef]
- Chakrabarty, S.; Jin, M.; Wu, C.; Chakraborty, P.; Xiao, Y. Bacillus thuringiensis vegetative insecticidal protein family Vip3A and mode of action against pest Lepidoptera. Pest Manag. Sci. 2020, 76, 1612–1617. [Google Scholar] [CrossRef]
- Carrière, Y.; Crickmore, N.; Tabashnik, B.E. Optimizing pyramided transgenic Bt crops for sustainable pest management. Nat. Biotechnol. 2015, 33, 161–168. [Google Scholar] [CrossRef]
- Yu, C.G.; Mullins, M.A.; Warren, G.W.; Koziel, M.G.; Estruch, J.J. The Bacillus thuringiensis vegetative insecticidal protein Vip3A lyses midgut epithelium cells of susceptible insects. Appl. Environ. Microbiol. 1997, 63, 532–536. [Google Scholar] [CrossRef]
- Liao, C.; Heckel, D.G.; Akhurst, R. Toxicity of Bacillus thuringiensis insecticidal proteins for Helicoverpa armigera and Helicoverpa punctigera (Lepidoptera: Noctuidae), major pests of cotton. J. Invertebr. Pathol. 2002, 80, 55–63. [Google Scholar] [CrossRef]
- Gupta, M.; Kumar, H.; Kaur, S. Vegetative insecticidal protein (Vip): A potential contender from Bacillus thuringiensis for efficient management of various detrimental agricultural pests. Front. Microbiol. 2021, 12, 659736. [Google Scholar] [CrossRef]
- Storer, N.P.; Thompson, G.D.; Head, G.P. Application of pyramided traits against Lepidoptera in insect resistance management for Bt crops. GM Crops Food 2012, 3, 154–162. [Google Scholar] [CrossRef]
- Duke, S.O.; Powles, S.B. Glyphosate: A once-in-a-century herbicide. Pest Manag. Sci. 2008, 64, 319–325. [Google Scholar] [CrossRef] [PubMed]
- Steinrücken, H.C.; Amrhein, N. The herbicide glyphosate is a potent inhibitor of 5-enolpyruvyl-shikimic acid-3-phosphate synthase. Biochem. Biophys. Res. Commun. 1980, 94, 1207–1212. [Google Scholar] [CrossRef] [PubMed]
- Padgette, S.R.; Kolacz, K.H.; Delannay, X.; Re, D.B.; la Vallee, B.J.; Tinius, C.N.; Rhodes, W.K.; Otero, Y.I.; Barry, G.F.; Eichholtz, D.A.; et al. Development, identification, and characterization of a glyphosate-tolerant soybean line. Crop Sci. 1995, 35, 1451–1461. [Google Scholar] [CrossRef]
- Niu, L.; He, H.; Zhang, Y.; Yang, J.; Zhao, Q.; Xing, G.; Zhong, X.; Yang, X. Efficient identification of genomic insertions and flanking regions through whole-genome sequencing in three transgenic soybean events. Transgenic Res. 2021, 30, 1–9. [Google Scholar] [CrossRef]
- Park, D.; Park, S.-H.; Ban, Y.W.; Kim, Y.S.; Park, K.-C.; Kim, N.-S.; Kim, J.-K.; Choi, I.-Y. A bioinformatics approach for identifying transgene insertion sites using whole genome sequencing data. BMC Biotechnol. 2017, 17, 67. [Google Scholar] [CrossRef]
- Guo, B.; Guo, Y.; Hong, H.; Qiu, L.-J. Identification of genomic insertion and flanking sequence of G2-EPSPS and GAT transgenes in soybean using whole genome sequencing method. Front. Plant Sci. 2016, 7, 01009. [Google Scholar] [CrossRef] [PubMed]
- Katta, S.; Talakayala, A.; Reddy, M.K.; Addepally, U.; Garladinne, M. Development of transgenic cotton (Narasimha) using triple gene Cry2Ab-Cry1F-Cry1Ac construct conferring resistance to lepidopteran pest. J. Biosci. 2020, 45, 31. [Google Scholar] [CrossRef] [PubMed]
- Siddiqui, H.A.; Asif, M.; Asad, S.; Naqvi, R.Z.; Ajaz, S.; Umer, N.; Anjum, N.; Rauf, I.; Sarwar, M.; Arshad, M.; et al. Development and evaluation of double gene transgenic cotton lines expressing Cry toxins for protection against chewing insect pests. Sci. Rep. 2019, 9, 11774. [Google Scholar] [CrossRef] [PubMed]
- Xue, S.; Hua, B.Z. Proboscis sensilla of the black cutworm Agrotis ypsilon (Rottemberg) (Lepidoptera: Noctuidae). J. Asia-Pac. Entomol. 2014, 17, 295–301. [Google Scholar] [CrossRef]
- Mendelsohn, M.; Kough, J.; Vaituzis, Z.; Matthews, K. Are Bt crops safe? Nat. Biotechnol. 2003, 21, 1003–1009. [Google Scholar] [CrossRef]
- Meissle, M.; Romeis, J.; Bigler, F. Bt maize and integrated pest management—A European perspective. Pest Manag. Sci. 2011, 67, 1049–1058. [Google Scholar] [CrossRef]
- Xu, C.; Cheng, J.; Lin, H.; Lin, C.; Gao, J.; Shen, Z. Characterization of transgenic rice expressing fusion protein Cry1Ab/Vip3A for insect resistance. Sci. Rep. 2018, 8, 15788. [Google Scholar] [CrossRef] [PubMed]
- Tabashnik, B.E.; van Rensburg, J.B.J.; Carrière, Y. Field-evolved insect resistance to Bt crops: Definition, theory, and data. J. Econ. Entomol. 2009, 102, 2011–2025. [Google Scholar] [CrossRef]
- Tabashnik, B.E.; Brévault, T.; Carrière, Y. Insect resistance to Bt crops: Lessons from the first billion acres. Nat. Biotechnol. 2013, 31, 510–521. [Google Scholar] [CrossRef] [PubMed]
- Razze, J.M.; Mason, C.E. Dispersal behavior of neonate European corn borer (Lepidoptera: Crambidae) on Bt corn. J. Econ. Entomol. 2012, 105, 1214–1223. [Google Scholar] [CrossRef]
- Roush, R.T. Two-toxin strategies for management of insecticidal transgenic crops: Can pyramiding succeed where pesticide mixtures have not? Philos. Trans. R. Soc. Lond. B 1998, 353, 1777–1786. [Google Scholar] [CrossRef]
- Tabashnik, B.E.; Carrière, Y. Evaluating cross-resistance between Vip and Cry toxins of Bacillus thuringiensis. J. Econ. Entomol. 2020, 113, 553–561. [Google Scholar] [CrossRef] [PubMed]
- Ren, Z.J.; Cao, G.Y.; Zhang, Y.W.; Liu, Y.; Liu, Y.J. Overexpression of a modified AM79 aroA gene in transgenic maize confers high tolerance to glyphosate. J. Integr. Agric. 2015, 14, 414–422. [Google Scholar] [CrossRef]
- Liu, M.M.; Zhang, X.J.; Gao, Y.; Shen, Z.C.; Lin, C.Y. Molecular characterization and efficacy evaluation of a transgenic corn event for insect resistance and glyphosate tolerance. J. Zhejiang Univ.-Sci. B 2018, 19, 610–619. [Google Scholar] [CrossRef] [PubMed]
- Frame, B.R.; Shou, H.; Chikwamba, R.K.; Zhang, Z.; Xiang, C.; Fonger, T.M.; Pegg, S.E.K.; Li, B.; Nettleton, D.S.; Pei, D.; et al. Agrobacterium tumefaciens-mediated transformation of maize embryos using a standard binary vector system. Plant Physiol. 2002, 129, 13–22. [Google Scholar] [CrossRef]
- Robinson, J.T.; Thorvaldsdóttir, H.; Winckler, W.; Guttman, M.; Lander, E.S.; Getz, G.; Mesirov, J.P. Integrative Genomics Viewer. Nat. Biotechnol. 2011, 29, 24–26. [Google Scholar] [CrossRef]
- Thorvaldsdóttir, H.; Robinson, J.T.; Mesirov, J.P. Integrative Genomics Viewer (IGV): High-performance genomics data visualization and exploration. Brief. Bioinform. 2013, 14, 178–192. [Google Scholar] [CrossRef]
- Allen, G.C.; Flores-Vergara, M.A.; Krasnyanski, S.; Kumar, S.; Thompson, W.F. A modified protocol for rapid DNA isolation from plant tissues using cetyltrimethylammonium bromide. Nat. Protoc. 2006, 1, 2320–2325. [Google Scholar] [CrossRef]
- Wang, X.; Wang, H.; Liu, S.; Ferjani, A.; Li, J.; Yan, J.; Yang, X.; Qin, F. Genetic variation in ZmVPP1 contributes to drought tolerance in maize seedlings. Nat. Genet. 2016, 48, 1233–1241. [Google Scholar] [CrossRef]
- Livak, K.J.; Schmittgen, T.D. Analysis of relative gene expression data using real-time quantitative PCR and the 2−∆∆CT method. Methods 2001, 25, 402–408. [Google Scholar] [CrossRef] [PubMed]






| Pests | Feeding Time/d | Mortality Rate of Larvae/% | ||
|---|---|---|---|---|
| CVC-1 | CVC-2 | Zheng 58 | ||
| Mythimna separata | 2 d | 90.0 ± 7.1 b | 88.8 ± 13.1 b | 2.5 ± 2.9 a |
| 4 d | 96.3 ± 2.5 b | 96.3 ± 4.8 b | 6.3 ± 4.8 a | |
| 6 d | 98.8 ± 2.5 b | 96.3 ± 4.8 b | 10.0 ± 4.1 a | |
| Helicoverpa armigera | 2 d | 24.0 ± 12.4 b | 21.9 ± 8.6 b | 3.1 ± 6.3 a |
| 4 d | 100.0 ± 0.0 b | 99.0 ± 2.1 b | 29.2 ± 9.6 a | |
| 6 d | 100.0 ± 0.0 b | 100.0 ± 0.0 b | 52.1 ± 9.9 a | |
| Spodoptera frugiperda | 2 d | 9.4 ± 5.2 a | 21.9 ± 8.6 b | 4.2 ± 5.9 a |
| 4 d | 100.0 ± 0.0 b | 100.0 ± 0.0 b | 7.3 ± 7.1 a | |
| 6 d | 100.0 ± 0.0 b | 100.0 ± 0.0 b | 7.3 ± 7.1 a | |
Disclaimer/Publisher’s Note: The statements, opinions and data contained in all publications are solely those of the individual author(s) and contributor(s) and not of MDPI and/or the editor(s). MDPI and/or the editor(s) disclaim responsibility for any injury to people or property resulting from any ideas, methods, instructions or products referred to in the content. |
© 2023 by the authors. Licensee MDPI, Basel, Switzerland. This article is an open access article distributed under the terms and conditions of the Creative Commons Attribution (CC BY) license (https://creativecommons.org/licenses/by/4.0/).
Share and Cite
Liu, F.; Liu, Y.; Zou, J.; Zhang, L.; Zheng, H.; Luo, Y.; Wang, X.; Wang, L. Molecular Characterization and Efficacy Evaluation of Transgenic Maize Harboring cry2Ab-vip3A-cp4epsps for Insect Resistance and Herbicide Tolerance. Plants 2023, 12, 612. https://doi.org/10.3390/plants12030612
Liu F, Liu Y, Zou J, Zhang L, Zheng H, Luo Y, Wang X, Wang L. Molecular Characterization and Efficacy Evaluation of Transgenic Maize Harboring cry2Ab-vip3A-cp4epsps for Insect Resistance and Herbicide Tolerance. Plants. 2023; 12(3):612. https://doi.org/10.3390/plants12030612
Chicago/Turabian StyleLiu, Fantao, Yuan Liu, Junjie Zou, Lan Zhang, Hongyan Zheng, Yanzhong Luo, Xiaoping Wang, and Lei Wang. 2023. "Molecular Characterization and Efficacy Evaluation of Transgenic Maize Harboring cry2Ab-vip3A-cp4epsps for Insect Resistance and Herbicide Tolerance" Plants 12, no. 3: 612. https://doi.org/10.3390/plants12030612
APA StyleLiu, F., Liu, Y., Zou, J., Zhang, L., Zheng, H., Luo, Y., Wang, X., & Wang, L. (2023). Molecular Characterization and Efficacy Evaluation of Transgenic Maize Harboring cry2Ab-vip3A-cp4epsps for Insect Resistance and Herbicide Tolerance. Plants, 12(3), 612. https://doi.org/10.3390/plants12030612

