Verification of the Interaction Target Protein of the Effector ApCE22 of Arthrinium phaeospermum in Bambusa pervariabilis × Dendrocalamopsis grandis
Abstract
1. Introduction
2. Materials and Methods
2.1. Microorganism, Plant and Plasmid Vectors
2.2. Screening of the Effector ApCE22’s Interacting Protein via Yeast Two-Hybrid
2.2.1. Construction of the Bait Expression Vector pGBKT7–ApCE22
2.2.2. Detection of the Self-Activation and Toxicity of the Bait ApCE22
2.2.3. Two-Hybrid Screening Library
2.2.4. One-to-One Interaction Verification between the Prey Plasmid and Bait Plasmid
2.3. Verification of the Interacting Proteins via Bimolecular Fluorescent Complementation Assay
2.3.1. Construction of the Bimolecular Fluorescent Complementary Vectors pSPYNE (R) 173-ApCE22 and pSPYCE(M)-Prey
2.3.2. Bimolecular Fluorescence Verification of the ApCE22 and Interacting Proteins in Tobacco
2.4. Verification of the Interacting Proteins via GST Pull-Down Assay
2.4.1. Construction of the PGEX-6P-1 and pET28a Expression Recombinant Vectors
2.4.2. Expression and Purification of the Fusion Protein
2.4.3. Pull-Down Verification
2.4.4. Modeling and Phylogenetic Analysis
3. Results
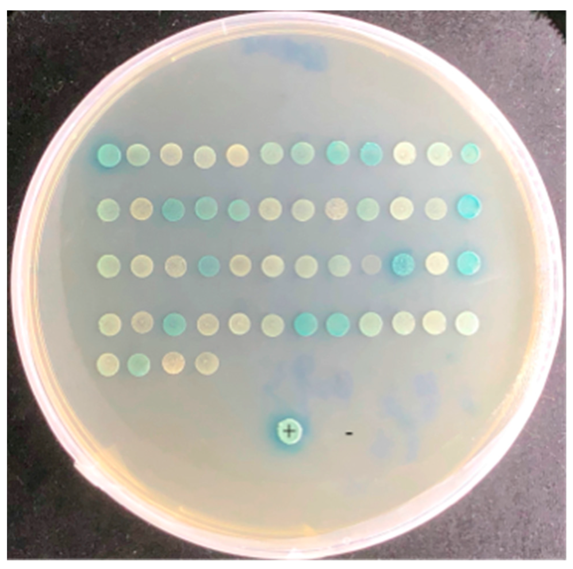
3.1. Screening of the Interaction Proteins of Effector ApCE22
3.2. One-to-One Verification of Effector ApCE22 and the Interacting Proteins
3.3. Verification the Interaction of ApCE22 and the Interacting Proteins via Bimolecular Fluorescence Complementary
3.4. Pull-Down Validation of the Effector ApCE22 and the Interacting Protein
3.5. Advanced Structure Prediction and Phylogenetic Analysis of ApCE22, B2 and DnaJ
4. Discussion
Supplementary Materials
Author Contributions
Funding
Institutional Review Board Statement
Informed Consent Statement
Data Availability Statement
Conflicts of Interest
References
- Yang, X.J.; Zhang, L.C.; Li, Y.W.; Wang, Y.W. Research progress of plant pathogenic effectors. Chin. Sci. Life Sci. 2020, 50, 227. [Google Scholar]
- Jones, J.D.G.; Dangl, J.L. The plant immune system. Nature 2006, 444, 323–329. [Google Scholar] [CrossRef]
- Gassmann, W.; Bhattacharjee, S. Effector-triggered immunity signaling: From gene-for-gene pathways to protein-protein interaction networks. Mol. Plant Microbe Interact. 2012, 25, 862–868. [Google Scholar] [CrossRef] [PubMed]
- Hemetsberger, C.; Herrberger, C.; Zechmann, B.; Hillmer, M.; Doehlemann, G. The Ustilago maydis effector Pep1 suppresses plant immunity by inhibition of host peroxidase activity. PLoS Pathog. 2012, 8, e1002684. [Google Scholar] [CrossRef] [PubMed]
- Yang, Q.; Huai, B.; Lu, Y.; Cai, K.; Guo, J.; Zhu, X.; Kang, Z.; Guo, J.A. Stripe rust effector Pst18363 targets and stabilises TaNUDX23 that promotes stripe rust disease. New Phytol. 2020, 225, 880–895. [Google Scholar] [CrossRef]
- Xu, Q.; Tang, C.; Wang, W.; Sun, S.; Zhao, J.; Kang, Z.; Wang, W. An effector protein of the wheat stripe rust fungus targets chlor- oplasts and suppresses chloroplast function. Nat. Commun. 2019, 10, 5571. [Google Scholar] [CrossRef]
- Singh, R.; Dangol, S.; Chen, Y.; Choi, J.; Cho, Y.S.; Lee, J.E.; Choi, M.O.; Jwa, N.S. Magnaporthe oryzae effector AVR-Pii helps to establish compatibility by inhibition of the rice NADP-malic enzyme resulting in disruption of oxidative burst and host innate immunity. Mol. Cells 2016, 39, 426–438. [Google Scholar]
- Li, S.J.; Qiao, T.M.; Han, S.; Zhu, T.H.; Che, G.N. Effects of Protein Toxin from Arthrinium phaeospermum on Biophysical Char-acteristic and Respiration of Bambusa pervariabilis × Dendrocalamopsis grandis Mitochondria. Sci. Silvae Sin. 2014, 50, 119–125. [Google Scholar]
- Li, S.J.; Zhu, T.H. Purification of the toxin protein PC from Arthrinium phaeospermum and its effect on the defence enzymes of Bambusa pervariabilis × Dendrocalamopsis grandis varieties. Forest Pathol. 2013, 44, 96–106. [Google Scholar] [CrossRef]
- Li, S.J.; Zhu, T.H.; Zhu, H.M.Y.; Liang, M.; Qiao, T.M.; Han, S.; Che, G. Purification of protein AP-Toxin from Arthrinium phae-ospermum causing blight in Bambusa pervariabilis× Dendrocalamopisis grandis and its metabolic effects on four bamboo varieties. Phytopathology 2013, 103, 135–145. [Google Scholar] [CrossRef]
- Li, S.J.; Tang, Y.W.; Fang, X.M.; Qiao, T.M.; Han, S.; Zhu, T.H. Whole-genome sequence of Arthrinium phaeospermum, a glob-ally distributed pathogenic fungus. Genomics 2020, 112, 919–929. [Google Scholar] [CrossRef] [PubMed]
- Li, S.J.; Fang, X.M.; Han, S.; Zhu, T.H.; Zhu, H.M.Y. Differential proteome analysis of hybrid Bamboo (Bambusa pervariabilis× Dendrocalamopsis grandis) under fungal stress (Arthrinium phaeospermum). Sci. Rep. 2019, 9, 18681. [Google Scholar] [CrossRef]
- Fang, X.M.; Yan, P.; Guan, M.M.; Han, S.; Qiao, T.M.; Lin, T.T.; Zhu, T.H.; Li, S.Y. Comparative Transcriptomics and Gene Knockout Reveal Virulence Factors of Arthrinium Phaeospermum in Bambusa Pervariabilis × Dendrocalamopsis Grandis. J. Fungi 2021, 7, 1001. [Google Scholar] [CrossRef] [PubMed]
- Peng, Q.; Fang, X.M.; Zong, X.Z.; He, Q.Q.; Zhu, T.H.; Han, S.; Li, S.J. Comparative transcriptome analysis of Bambusa pervariabilis× Dendrocalamopsis grandis against Arthrinium phaeospermum under protein AP-toxin induction. Gene 2020, 725, 144–160. [Google Scholar] [CrossRef]
- He, Q.Q.; Fang, X.M.; Zhu, T.H.; Han, S.; Zhu, H.M.Y.; Li, S.J. Differential Proteomics Based on TMT and PRM Reveal the Resistance Response of Bambusa pervariabilis× Dendrocalamopisis grandis Induced by AP-Toxin. Metabolites 2019, 9, 166. [Google Scholar] [CrossRef] [PubMed]
- Luo, F.Y.; Fang, X.M.; Liu, H.; Zhu, T.H.; Han, S.; Peng, Q.; Li, S.J. Differential transcriptome analysis and identification of genes related to resistance to blight in three varieties of Bambusa pervariabilis × Dendrocalamopsis grandis. PeerJ 2021, 9, e12301. [Google Scholar] [CrossRef]
- Fang, X.M.; Yan, P.; Luo, F.Y.; Han, S.; Lin, T.T.; Li, S.Y.; Li, S.J.; Zhu, T.H. Functional Identification of Arthrinium phaeospermum Effectors Related to Bambusa pervariabilis × Dendrocalamopsis grandis Shoot Blight. Biomolecules 2022, 12, 1264. [Google Scholar] [CrossRef]
- Amponsah, P.S.; Yahya, G.; Zimmermann, J.; Mai, M.; Mergel, S.; Mühlhaus, T.; Storchova, Z.; Morgan, B. Peroxiredoxins couple metabolism and cell division in an ultradian cycle. Nat. Chem. Boil. 2021, 17, 477–484. [Google Scholar] [CrossRef] [PubMed]
- Yahya, G.; Menges, P.; Amponsah, P.S.; Ngandiri, D.A.; Schulz, D.; Wallek, A.; Kulak, N.; Mann, M.; Cramer, P.; Savage, V.; et al. Sublinear scaling of the cellular proteome with ploidy. Nat. Commun. 2022, 13, 6182. [Google Scholar] [CrossRef]
- Yahya, G.; Wu, Y.; Peplowska, K.; Röhrl, J.; Soh, Y.M.; Bürmann, F.; Gruber, S.; Storchova, Z. Phospho-regulation of the Shugoshin—Condensin interaction at the centromere in budding yeast. PLoS Genet. 2020, 16, e1008569. [Google Scholar] [CrossRef]
- Bolton, M.D.; van Esse, H.P.; Vossen, J.H.; Jonge, R.D.; Stergiopoulos, I.; Stulemeijer, I.J.E. The novel Cladosporium fulvum lysin motif effector Ecp6 is a virulence factor with orthologues in other fungal species. Mol. Microbiol. 2010, 69, 119–136. [Google Scholar] [CrossRef] [PubMed]
- Konstantin, A.; Lorenza, B.; Jürgen, K.; Torsten, S. The SWISS-MODEL workspace: A web-based environment for protein structure homology modelling. Bioinformatics 2006, 2, 195–201. [Google Scholar]
- Yan, P.; Yu, J.W.; Fang, X.M.; Li, S.Y.; Han, S.; Lin, T.T.; Liu, Y.G.; Yang, C.L.; Fang, H.; Zhu, T.H.; et al. Identification of the interacting proteins of Bambusa pervariabilis × Dendrocalamopsis grandis in response to the transcription factor ApCtf1β in Arthrinium phaeospermum. Front. Plant Sci. 2022, 13, 991077. [Google Scholar] [CrossRef] [PubMed]
- Costa, M.D.L.; Reis, P.A.B.; Valente, M.A.S. A new branch of endoplasmic reticulum stress signaling and the osmotic signal converge on plant-specific asparagine-rich proteins to promote cell death. J Biol. Chem. 2008, 283, 20209–20219. [Google Scholar] [CrossRef]
- Reis, P.A.; Carpinetti, P.P.; Freitas, P.P. Functional and regulatory conservation of the soybean ER stress-induced DCD/NRP-mediated cell death signaling in plants. BMC Plant Biol. 2016, 16, 156. [Google Scholar] [CrossRef]
- De Camargos, L.F.; Fraga, O.T.; Oliveira, C.C.; da Silva, J.C.F.; Fontes, E.P.B.; Reis, P.A.B. Development and cell death domain-containing asparagine-rich protein (DCD/NRP): An essential protein in plant development and stress responses. Theor. Exp. Plant Physiol. 2019, 31, 59–70. [Google Scholar] [CrossRef]
- Zhou, R.; Zhu, T.; Han, L. The asparagine-rich protein NRP interacts with the Verticillium effector PevD1 and regulates the subcellular localization of cryptochrome 2. J. Exp. Bot. 2017, 68, 3427–3440. [Google Scholar] [CrossRef]
- Zhu, T.; Wu, Y.; Yang, X.; Chen, W.; Gong, Q.; Liu, X. The asparagine-rich protein NRP facilitates the degradation of the PP6-type phosphatase FyPP3 to promote ABA response in Arabidopsis. Mol. Plant 2018, 11, 257–268. [Google Scholar] [CrossRef]
- Ludwig, A.; Tenhaken, R.A. new cell wall located N- rich protein is strongly induced during the hypersensitive response in Glycine max L. Eur. J. Plant Pathol. 2001, 107, 323–336. [Google Scholar] [CrossRef]
- Tenhaken, R.; Doerks, T.; Bork, P. DCD—A novel plant specific domain in proteins involved in development and programmed cell death. BMC Bioinform. 2005, 6, 169. [Google Scholar] [CrossRef]
- Kim, J.S.; Liu, L.; Vázquez-Torres, A. The DnaK/DnaJ Chaperone System Enables RNA Polymerase-DksA Complex Formation in Salmonella Experiencing Oxidative Stress. mBio 2021, 12, e03443-20. [Google Scholar] [CrossRef]
- Silva, J.C.; Borges, J.C.; Cyr, D.M.; Ramos, C.H.; Torriani, I.L. Central domain deletions affect the SAXS solution structure and function of yeast Hsp40 proteins Sis1 and Ydj1. BMC Struct. Biol. 2011, 11, 40. [Google Scholar] [CrossRef]
- Kamal, K.Y.; Khodaeiaminjan, M.; Yahya, G.; EI-Tantawy, A.A.; Abdel El-Moneim, M.A.; El-Esawi, A.A. Nassrallah, Modulation of cell cycle progression and chromatin dynamic as tolerance mechanisms to salinity and drought stress in maize. Physiol. Plant. 2021, 172, 684–695. [Google Scholar] [CrossRef] [PubMed]
- Moreno, D.F.; Parisi, F.; Yahya, G.; Vaggi, F.; Csikasz-Nagy, A.; Aldea, M. Competition in the chaperone-client network subordinates cell-cycle entry to growth and stress. Life Sci. Alliance 2019, 2, e201800277. [Google Scholar] [CrossRef] [PubMed]
- Parisi, E.; Yahya, G.; Flores, A.; Aldea, M. Cdc48/p97 segregase is modulated by cyclin- dependent kinase to determine cyclin fate during G1 progression. EMBO J. 2018, 37, e98724. [Google Scholar] [CrossRef] [PubMed]
- Yahya, G.; Parisi, E.; Flores, A.; Gallego, C.; Aldea, M.A. Whi7-Anchored Loop Controls the G1 Cdk-Cyclin Complex at Start. Mol. Cell 2014, 53, 115–126. [Google Scholar] [CrossRef]
- Georgieva, M.V.; Yahya, G.; Codó, L.; Ortiz, R.; Teixidó, L.; Claros, J.; Jara, R.; Jara, M.; Iborra, A.; Lluís Gelpí, J.; et al. Inntags: Small self-structured epitopes for innocuous protein tagging. Nat. Methods 2015, 12, 955–958. [Google Scholar] [CrossRef] [PubMed]
- Yahya, G.; Mohamed, N.H.; Pijuan, J.; Seleem, N.M.; Mosbah, R.; Hess, S.; Abdelmoaty, A.A.; Almeer, R.; Abdel-Daim, M.M.; Alshaman, H.S.; et al. Profiling the physiological pitfalls of anti-hepatitis C direct-acting agents in budding yeast. Microb. Biotechnol. 2021, 14, 2199–2213. [Google Scholar] [CrossRef] [PubMed]
- Zhu, X.; Liang, S.; Yin, J.; Yuan, C.; Wang, J.; Li, W.; Chen, X. The DnaJ OsDjA7/8 is essential for chloroplast development in rice (Oryza sativa). Gene 2015, 574, 11–19. [Google Scholar] [CrossRef]
- Wang, G.; Cai, G.; Xu, N.; Zhang, L.; Sun, X.; Guan, J.; Meng, Q. Novel DnaJ protein facilitates thermotolerance of transgenic tomatoes. Int. J. Mol. Sci. 2019, 20, 367. [Google Scholar] [CrossRef]
- Jin, T.; Shan, Z.; Zhou, S.; Yang, Q.; Gai, J.; Li, Y. GmDNAJC7 from Soybean Is Involved in Plant Tolerance to Alkaline-Salt, Salt, and Drought Stresses. Agronomy 2022, 12, 1419. [Google Scholar] [CrossRef]
- Wang, G.; Cai, G.; Kong, F.; Deng, Y.; Ma, N.; Meng, Q. Overexpression of to-mato chloroplast-targeted DnaJ protein enhances tolerance to drought stress and re-sistance to Pseudomonas solanacearum in transgenic tobacco. Plant Physiol. Biochem. 2014, 82, 95–104. [Google Scholar] [CrossRef] [PubMed]
- Feng, H.; Li, C.; Zhou, J. Cotton WAKL protein interacted with a DnaJ protein and was involved in defense against Verticillium dahliae. Int. J. Biol. Macromol. 2021, 167, 633–643. [Google Scholar] [CrossRef] [PubMed]
- Hofius, D.; Maier, A.T.; Dietrich, C.; Jungkunz, I.; Bornke, F.; Maiss, E.; Sonnewald, U. Capsid protein-mediated recruitment of host DnaJ-like pro- teins is required for Potato virus Y infection in tobacco plants. J. Virol. 2007, 81, 870–880. [Google Scholar] [CrossRef] [PubMed]
- Du, Y.; Zhao, J.; Chen, T.; Liu, Q.; Zhang, H.; Wang, Y.; Hong, Y.; Xiao, F.; Zhang, L.; Shen, Q. Type I J-domain NbMIP1 proteins are required for both Tobacco mosaic vi-rus infection and plant innate immunity. PLoS Pathog. 2013, 9, e1003659. [Google Scholar] [CrossRef] [PubMed]
- Liu, J.; Whitham, S.A. Overexpression of a soybean nuclear localized type-III DnaJ domain-containing HSP40 reveals its roles in cell death and disease resistance. Plant J. 2013, 74, 110–121. [Google Scholar] [CrossRef]
- Chen, K.M.; Holmström, M.; Raksajit, W.; Suorsa, M.; Piippo, M.; AroE, M. Small chloroplast-targeted DnaJ proteins are involved in optimization of photosynthetic reac-tions in Arabidopsis thaliana. BMC Plant Biol. 2010, 10, 43. [Google Scholar] [CrossRef]






| Plasmid | Positive CK | Negative CK1 | Negative CK2 | Negative CK3 | Treatment 1 | Treatment 2 |
|---|---|---|---|---|---|---|
| pSPYNE(R)173–bZIP6 | + | − | − | − | − | − |
| pSPYCE(M)–bZIP | + | − | − | − | − | − |
| pSPYCE(M)–DnaJ | − | + | − | − | − | + |
| pSPYCE(M)–B2 | − | − | + | − | + | − |
| pSPYNE(R)173–ApCE22 | − | − | − | + | + | + |
| Gene Number | Gene Name | Gene Bank |
|---|---|---|
| ApCE22-AD-01 | hypothetical protein GQ55_2G039300 (Panicum hallii var. hallii) | PUZ68577.1 |
| ApCE22-AD-03 | hypothetical protein E2562_020380 (Oryza meyeriana) | KAF0913219.1 |
| ApCE22-AD-04 | hypothetical protein E2562_024347 (Oryza meyeriana) | KAF0896488.1 |
| ApCE22-AD-05 | hypothetical protein E2562_014243 (Oryza meyeriana) | KAF0888431.1 |
| ApCE22-AD-06 | hypothetical protein BRADI_1g16670v3 (Brachypodium distachyon) | PNT74528.1 |
| ApCE22-AD-27 | ||
| ApCE22-AD-07 | 40S ribosomal protein S15a-5 (Setaria italica) | XP_004964360.1 |
| ApCE22-AD-08 | hypothetical protein E2562_030933 (Oryza meyeriana) | KAF0919682.1 |
| ApCE22-AD-09 | putative LRR receptor-like serine/threonine-protein kinase MRH1 | KAE8770201.1 |
| ApCE22-AD-10 | B2 protein (Brachypodium distachyon) | XP_003569184.1 |
| ApCE22-AD-22 | ||
| ApCE22-AD-11 | hypothetical protein E2562_003088 (Oryza meyeriana) | KAF0921280.1 |
| ApCE22-AD-12 | myb-related protein P (Brachypodium distachyon) | XP_003558096.1 |
| ApCE22-AD-23 | ||
| ApCE22-AD-13 | laccase-22 (Brachypodium distachyon) | XP_003558760.1 |
| ApCE22-AD-14 | chaperone protein dnaJ A6 chloroplastic (Zea mays) | AQK41669.1 |
| ApCE22-AD-21 | ||
| ApCE22-AD-15 | macrodontain-1 (Brachypodium distachyon) | XP_003562772.1 |
| ApCE22-AD-17 | PREDICTED: Oryza sativa Japonica group histone H1, mRNA | XM_015788867.2 |
| ApCE22-AD-18 | elongation factor 1-alpha (Dichanthelium oligosanthes) | OEL30955.1 |
| ApCE22-AD-19 | myb-related protein Hv33 (Setaria italica) | XP_004961344.1 |
| ApCE22-AD-20 | hypothetical protein PFICI_14414 (Pestalotiopsis fici W106-1) | XP_007841186.1 |
| ApCE22-AD-16 | acidic ribosomal protein P2a-2 (Zea mays) | AQK92355.1 |
| ApCE22-AD-02 | hypothetical protein EE612_052460, partial (Oryza sativa) | KAB8113458.1 |
| ApCE22-AD-24 | Os10g0555900, partial (Oryza sativa Japonica Group) | BAT11994.1 |
| ApCE22-AD-25 | aldose 1-epimerase-like (Hordeum vulgare) | KAE8818356.1 |
| ApCE22-AD-26 | hypothetical protein EJB05_39871, partial (Eragrostis curvula) | TVU16314.1 |
Disclaimer/Publisher’s Note: The statements, opinions and data contained in all publications are solely those of the individual author(s) and contributor(s) and not of MDPI and/or the editor(s). MDPI and/or the editor(s) disclaim responsibility for any injury to people or property resulting from any ideas, methods, instructions or products referred to in the content. |
© 2023 by the authors. Licensee MDPI, Basel, Switzerland. This article is an open access article distributed under the terms and conditions of the Creative Commons Attribution (CC BY) license (https://creativecommons.org/licenses/by/4.0/).
Share and Cite
Fang, X.; Yan, P.; Owusu, A.M.; Zhu, T.; Li, S. Verification of the Interaction Target Protein of the Effector ApCE22 of Arthrinium phaeospermum in Bambusa pervariabilis × Dendrocalamopsis grandis. Biomolecules 2023, 13, 590. https://doi.org/10.3390/biom13040590
Fang X, Yan P, Owusu AM, Zhu T, Li S. Verification of the Interaction Target Protein of the Effector ApCE22 of Arthrinium phaeospermum in Bambusa pervariabilis × Dendrocalamopsis grandis. Biomolecules. 2023; 13(4):590. https://doi.org/10.3390/biom13040590
Chicago/Turabian StyleFang, Xinmei, Peng Yan, Adjei Mark Owusu, Tianhui Zhu, and Shujiang Li. 2023. "Verification of the Interaction Target Protein of the Effector ApCE22 of Arthrinium phaeospermum in Bambusa pervariabilis × Dendrocalamopsis grandis" Biomolecules 13, no. 4: 590. https://doi.org/10.3390/biom13040590
APA StyleFang, X., Yan, P., Owusu, A. M., Zhu, T., & Li, S. (2023). Verification of the Interaction Target Protein of the Effector ApCE22 of Arthrinium phaeospermum in Bambusa pervariabilis × Dendrocalamopsis grandis. Biomolecules, 13(4), 590. https://doi.org/10.3390/biom13040590

