Quality-Switched Nd:YAG 1064 nm Laser for Management of Hyperpigmentation and Atrophic Scars after Long-Pulsed Nd:YAG Laser for Treatment of Leg Telangiectasias—A Case Report
Abstract
1. Introduction
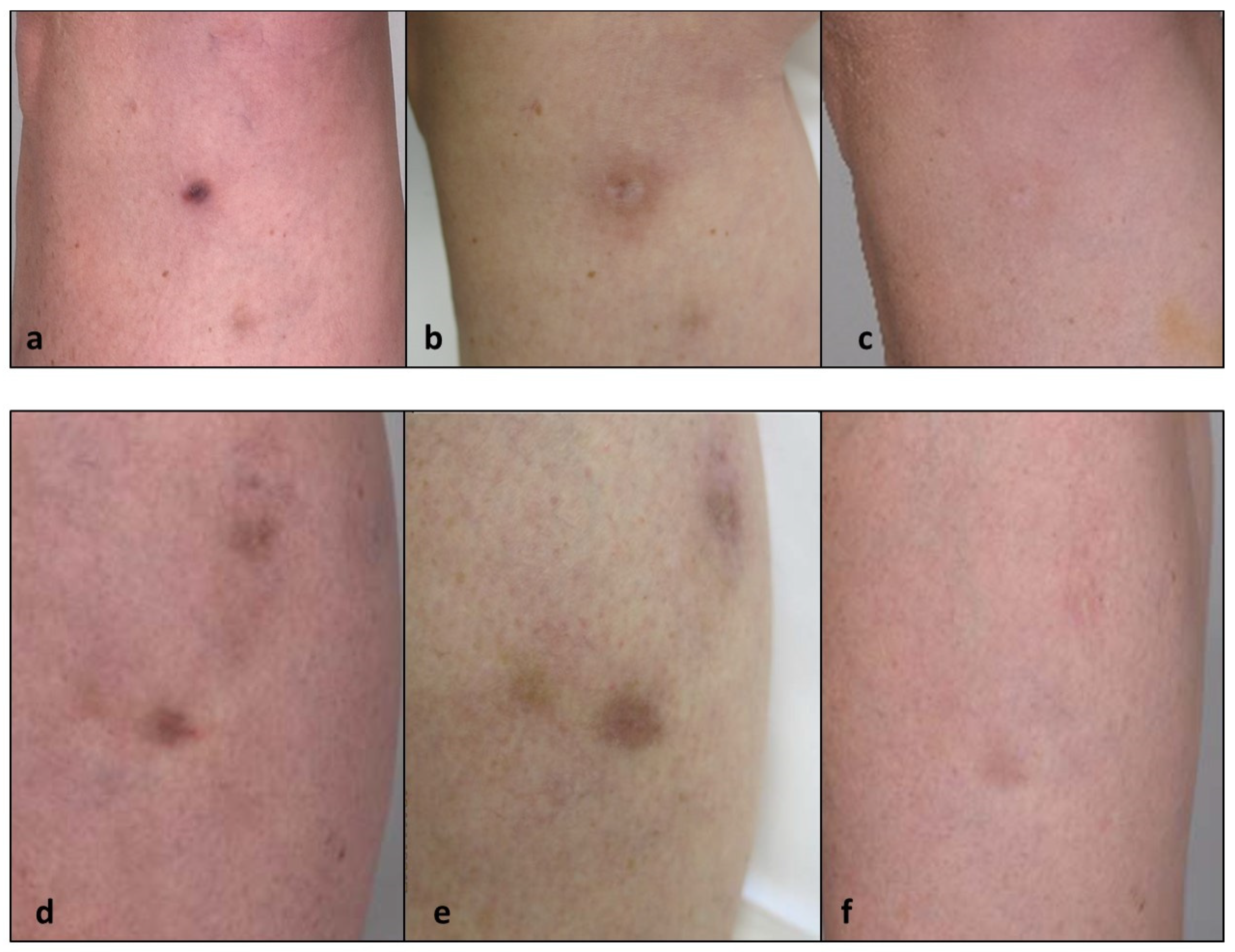
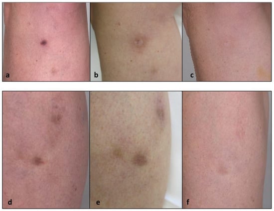
2. Case Report
3. Discussion
4. Conclusions
Author Contributions
Funding
Institutional Review Board Statement
Informed Consent Statement
Data Availability Statement
Conflicts of Interest
References
- Meesters, A.A.; Pitassi, L.H.; Campos, V.; Wolkerstorfer, A.; Dierickx, C.C. Transcutaneous laser treatment of leg veins. Lasers Med. Sci. 2014, 29, 481–492. [Google Scholar] [CrossRef] [PubMed]
- Bossart, S.; Daneluzzi, C.; Cazzaniga, S.; Ramelet, A.A.; Uthoff, H.; Seyed Jafari, S.M.; Baumgartner, M.; Hunger, R.E.; Heidemeyer, K.; Willenberg, T. Skin hyperpigmentation after sclerotherapy with polidocanol: A systematic review. J. Eur. Acad. Dermatol. Venereol. 2023, 37, 274–283. [Google Scholar] [CrossRef] [PubMed]
- Ianosi, G.; Ianosi, S.; Calbureanu-Popescu, M.X.; Tutunaru, C.; Calina, D.; Neagoe, D. Comparative study in leg telangiectasias treatment with Nd:YAG laser and sclerotherapy. Exp. Ther. Med. 2019, 17, 1106–1112. [Google Scholar] [CrossRef] [PubMed]
- Asiran Serdar, Z.; Fisek Izci, N. The evaluation of long-pulsed Nd:YAG laser efficacy and side effects in the treatment of cutaneous vessels on the face and legs. J. Cosmet. Dermatol. 2020, 19, 1656–1661. [Google Scholar] [CrossRef] [PubMed]
- Ianosi, N.G.; Calbureanu-Popescu, M.X.; Dragusin, L.; Ianosi, S.L.; Tutunaru, C.V.; Neagoe, C.D. Treatment of Lower Limbs Telangiectasias with Nd: Yag Laser-Prospective Study on 446 Patients. Curr. Health Sci. J. 2018, 44, 235–242. [Google Scholar] [CrossRef] [PubMed]
- Goldman, M.P.; Kaplan, R.P.; Duffy, D.M. Postsclerotherapy hyperpigmentation: A histologic evaluation. J. Dermatol. Surg. Oncol. 1987, 13, 547–550. [Google Scholar] [CrossRef] [PubMed]
- Heidemeyer, K.; Feldmeyer, L.; Raeber, I.; Dietrich, N.; Cazzaniga, S.; Yawalkar, N.; Seyed Jafari, S.M.; Borradori, L.; Adatto, M. Successful Treatment of Iatrogenic Cutaneous Siderosis with Pigment Lasers: A Retrospective Study in 15 Consecutive Patients. Acta Derm. Venereol. 2020, 100, adv00148. [Google Scholar] [CrossRef] [PubMed]
- Cannarozzo, G.; Negosanti, F.; Sannino, M.; Santoli, M.; Bennardo, L.; Banzola, N.; Negosanti, L.; Nistico, S.P. Q-switched Nd:YAG laser for cosmetic tattoo removal. Dermatol. Ther. 2019, 32, e13042. [Google Scholar] [CrossRef] [PubMed]
- Ruchiatan, K.; Suhada, K.U.; Hindritiani, R.; Puspitosari, D.; Septrina, R. Combination of 1064 nm Long-Pulsed and Q-Switched Nd:YAG Laser for Facial Hypertrophic Scar and Hyperpigmentation Following Burn Injury. Int. Med. Case Rep. J. 2022, 15, 23–27. [Google Scholar] [CrossRef] [PubMed]
- Sowash, M.; Alster, T. Review of Laser Treatments for Post-Inflammatory Hyperpigmentation in Skin of Color. Am. J. Clin. Dermatol. 2023, 24, 381–396. [Google Scholar] [CrossRef] [PubMed]
- Moore, M.; Mishra, V.; Friedmann, D.P.; Goldman, M.P. Minocycline-Induced Postsclerotherapy Pigmentation Successfully Treated With a Picosecond Alexandrite Laser. Dermatol. Surg. 2016, 42, 133–134. [Google Scholar] [CrossRef] [PubMed]
- Tafazzoli, A.; Rostan, E.F.; Goldman, M.P. Q-switched ruby laser treatment for postsclerotherapy hyperpigmentation. Dermatol. Surg. 2000, 26, 653–656. [Google Scholar] [CrossRef] [PubMed]
- Friedman, P.M.; Jih, M.H.; Skover, G.R.; Payonk, G.S.; Kimyai-Asadi, A.; Geronemus, R.G. Treatment of atrophic facial acne scars with the 1064-nm Q-switched Nd:YAG laser: Six-month follow-up study. Arch. Dermatol. 2004, 140, 1337–1341. [Google Scholar] [CrossRef] [PubMed][Green Version]
- Levy, J.L.; Elbahr, C.; Jouve, E.; Mordon, S. Comparison and sequential study of long pulsed Nd:YAG 1064 nm laser and sclerotherapy in leg telangiectasias treatment. Lasers Surg. Med. 2004, 34, 273–276. [Google Scholar] [CrossRef] [PubMed]
- Cho, S.B.; Park, S.J.; Kim, J.S.; Kim, M.J.; Bu, T.S. Treatment of post-inflammatory hyperpigmentation using 1064-nm Q-switched Nd:YAG laser with low fluence: Report of three cases. J. Eur. Acad. Dermatol. Venereol. 2009, 23, 1206–1207. [Google Scholar] [CrossRef] [PubMed]
- Gharib, K.; Seoudy, W.; Rageh, M.A.; Abdelsatar, S.; Khater, E. Treatment of Post-acne Scarring with Long-pulsed and Q-switched 1064 nm Nd:YAG Laser. J. Clin. Aesthet. Dermatol. 2023, 16, 32–37. [Google Scholar] [PubMed]


Disclaimer/Publisher’s Note: The statements, opinions and data contained in all publications are solely those of the individual author(s) and contributor(s) and not of MDPI and/or the editor(s). MDPI and/or the editor(s) disclaim responsibility for any injury to people or property resulting from any ideas, methods, instructions or products referred to in the content. |
© 2023 by the authors. Licensee MDPI, Basel, Switzerland. This article is an open access article distributed under the terms and conditions of the Creative Commons Attribution (CC BY) license (https://creativecommons.org/licenses/by/4.0/).
Share and Cite
Heidemeyer, K.; Seyed Jafari, S.M.; Adatto, M.A.; Feldmeyer, L.; Yawalkar, N.; Bossart, S. Quality-Switched Nd:YAG 1064 nm Laser for Management of Hyperpigmentation and Atrophic Scars after Long-Pulsed Nd:YAG Laser for Treatment of Leg Telangiectasias—A Case Report. Cosmetics 2023, 10, 147. https://doi.org/10.3390/cosmetics10060147
Heidemeyer K, Seyed Jafari SM, Adatto MA, Feldmeyer L, Yawalkar N, Bossart S. Quality-Switched Nd:YAG 1064 nm Laser for Management of Hyperpigmentation and Atrophic Scars after Long-Pulsed Nd:YAG Laser for Treatment of Leg Telangiectasias—A Case Report. Cosmetics. 2023; 10(6):147. https://doi.org/10.3390/cosmetics10060147
Chicago/Turabian StyleHeidemeyer, Kristine, S. Morteza Seyed Jafari, Maurice A. Adatto, Laurence Feldmeyer, Nikhil Yawalkar, and Simon Bossart. 2023. "Quality-Switched Nd:YAG 1064 nm Laser for Management of Hyperpigmentation and Atrophic Scars after Long-Pulsed Nd:YAG Laser for Treatment of Leg Telangiectasias—A Case Report" Cosmetics 10, no. 6: 147. https://doi.org/10.3390/cosmetics10060147
APA StyleHeidemeyer, K., Seyed Jafari, S. M., Adatto, M. A., Feldmeyer, L., Yawalkar, N., & Bossart, S. (2023). Quality-Switched Nd:YAG 1064 nm Laser for Management of Hyperpigmentation and Atrophic Scars after Long-Pulsed Nd:YAG Laser for Treatment of Leg Telangiectasias—A Case Report. Cosmetics, 10(6), 147. https://doi.org/10.3390/cosmetics10060147

