SOX2/SOX17 Molecular Switching by Polyphenols to Promote Thyroid Differentiation in 2D and 3D Models of Anaplastic Thyroid Cancer † †
Simple Summary
Abstract
1. Introduction
2. Materials and Methods
2.1. Cell Lines and Culture Conditions
2.1.1. Two-Dimensional (2D) Monolayer Cultures
2.1.2. Three-Dimensional (3D) Spheroid Cultures
2.2. Reagents and Polyphenol Treatments
2.3. Cell Viability Assay
2.4. Cell Cycle Distribution Analysis
2.5. Quantitative Real-Time-PCR (qRT-PCR)
2.6. Statistical Analysis and Graphical Representation
3. Results
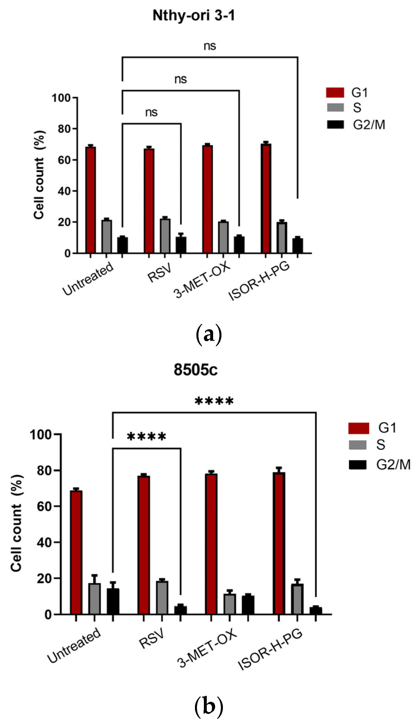
3.1. The Cytostatic Effects of Polyphenol Treatments on ATC Cell Lines
3.2. Basal Expression of Stemness and Thyroid Differentiation Markers in ATC Cell Lines
3.3. The Loss of Spheroid Morphology in ATC 3D Cell Cultures
3.4. Evaluation of Stemness Marker Expression After Polyphenol Treatments in ATC 3D Spheroid Culture
3.5. Impact of Polyphenols on the SOX2/SOX17 Balance in ATC Spheroids
3.6. Expression of Thyroid Differentiation Markers After Treatment with Polyphenols in ATC Compared to Non-Tumoral Control
4. Discussion
- Nthy-ori 3-1 cells-mature and differentiated cells obtained from the immortalization of normal human follicular epithelial cells and often used as a control compared to ATC cells [26]-did not change their growth rate after polyphenol treatments.
- The growth and invasiveness of ATC could be related to the high proliferation rate of its drug-resistant CSCs [27]. Thus, a reduction in proliferation could be caused by the improvement of differentiation and the reduction in CSC stemness.
- As previously stated, in vitro studies showed that RSV can promote the differentiation towards the epithelial lineage by modulation of the SOX2/SOX17 balance [13].
5. Conclusions
Supplementary Materials
Author Contributions
Funding
Institutional Review Board Statement
Informed Consent Statement
Data Availability Statement
Acknowledgments
Conflicts of Interest
Abbreviations
| 3-MET-OX | 3,4′,5-Trimethoxy-trans-stilbene |
| ATC | Anaplastic Thyroid Cancer |
| CSCs | Cancer Stem Cells |
| EMT | Epithelial–Mesenchymal Transition |
| ISOR-H-PG | Isorhapontigenin |
| NANOG | Homeobox Protein NANOG |
| NIS | Sodium–Iodide Symporter |
| OCT4 | Octamer-binding Transcription Factor 4 (POU5F1) |
| PAX-8 | Paired Box Gene 8 |
| PTC | Papillary Thyroid Cancer |
| RSV | Resveratrol |
| SOX17 | SRY-related HMG-box 17 |
| SOX2 | SRY-related HMG-box 2 |
| Tg | Thyroglobulin |
| TPO | Thyroid Peroxidase |
| TTF-1 | Thyroid Transcription Factor-1 (NKX2-1) |
References
- Molinaro, E.; Romei, C.; Biagini, A.; Sabini, E.; Agate, L.; Mazzeo, S.; Materazzi, G.; Sellari-Franceschini, S.; Ribechini, A.; Torregrossa, L.; et al. Anaplastic Thyroid Carcinoma: From Clinicopathology to Genetics and Advanced Therapies. Nat. Rev. Endocrinol. 2017, 13, 644–660. [Google Scholar] [CrossRef]
- Liu, Q.; Guo, Z.; Li, G.; Zhang, Y.; Liu, X.; Li, B.; Wang, J.; Li, X. Cancer Stem Cells and Their Niche in Cancer Progression and Therapy. Cancer Cell Int. 2023, 23, 305. [Google Scholar] [CrossRef] [PubMed]
- Silver Karcioglu, A.; Slough, C.; Jordan, S.V.; Brown, T.D.; Kenzie J Reece, M.; Campbell, D.T.; Dennis, D.; Kinua, A.G.; Spaulding, S.L.; Goli, A.; et al. Anaplastic Thyroid Carcinoma: A Contemporary Review of Challenges and Advances. Endocr. Pract. 2025; in press. [Google Scholar] [CrossRef]
- Hamidi, S.; Maniakas, A.; Cabanillas, M.E. Advances in Anaplastic Thyroid Cancer Treatment. Endocrinol. Metab. Clin. N. Am. 2025, 54, 361–375. [Google Scholar] [CrossRef] [PubMed]
- Zhang, K.; Wang, X.; Lei, J.; Su, A.; Wei, T.; Li, Z.; Chen, Y.W. Stratified Impact of Therapies on Anaplastic Thyroid Cancer Outcomes in the Pre-Gene-Targeted Therapy Era. Ann. Surg. Oncol. 2025, 32, 2732–2742. [Google Scholar] [CrossRef]
- Carina, V.; Zito, G.; Pizzolanti, G.; Richiusa, P.; Criscimanna, A.; Rodolico, V.; Tomasello, L.; Pitrone, M.; Arancio, W.; Giordano, C. Multiple Pluripotent Stem Cell Markers in Human Anaplastic Thyroid Cancer: The Putative Upstream Role of SOX2. Thyroid 2013, 23, 829–837. [Google Scholar] [CrossRef]
- Zhang, S.; Xiong, X.; Sun, Y. Functional Characterization of SOX2 as an Anticancer Target. Signal Transduct. Target. Ther. 2020, 5, 135. [Google Scholar] [CrossRef]
- Mei, Z.; Zhou, L.; Zhu, Y.; Jie, K.; Fan, D.; Chen, J.; Liu, X.; Jiang, L.; Jia, Q.; Li, W. Interleukin-22 Promotes Papillary Thyroid Cancer Cell Migration and Invasion through MicroRNA-595/Sox17 Axis. Tumor Biol. 2016, 37, 11753–11762. [Google Scholar] [CrossRef]
- Li, W.; Li, F.; Lei, W.; Tao, Z. TRIM30 Modulates Interleukin-22-Regulated Papillary Thyroid Cancer Cell Migration and Invasion by Targeting Sox17 for K48-Linked Polyubiquitination. Cell Commun. Signal. 2019, 17, 91. [Google Scholar] [CrossRef]
- Li, Y.; Zhang, J.; Zhou, H.; Du, Z. Anticancer Effects of Natural Phytochemicals in Anaplastic Thyroid Cancer (Review). Oncol. Rep. 2022, 48, 156. [Google Scholar] [CrossRef] [PubMed]
- Yu, X.M.; Jaskula-Sztul, R.; Ahmed, K.; Harrison, A.D.; Kunnimalaiyaan, M.; Chen, H. Resveratrol Induces Differentiation Markers Expression in Anaplastic Thyroid Carcinoma via Activation of Notch1 Signaling and Suppresses Cell Growth. Mol. Cancer Ther. 2013, 12, 1276–1287. [Google Scholar] [CrossRef]
- Kocdor, M.A.; Cengiz, H.; Ates, H.; Kocdor, H. Inhibition of Cancer Stem-like Phenotype by Curcumin and Deguelin in CAL-62 Anaplastic Thyroid Cancer Cells. Anti-Cancer Agents Med. Chem. 2019, 19, 1887–1898. [Google Scholar] [CrossRef] [PubMed]
- Tomasello, L.; Coppola, A.; Pitrone, M.; Failla, V.; Cillino, S.; Pizzolanti, G.; Giordano, C. PFN1 and Integrin-Β1/MTOR Axis Involvement in Cornea Differentiation of Fibroblast Limbal Stem Cells. J. Cell. Mol. Med. 2019, 23, 7210–7221. [Google Scholar] [CrossRef]
- Jubelin, C.; Muñoz-Garcia, J.; Griscom, L.; Cochonneau, D.; Ollivier, E.; Heymann, M.F.; Vallette, F.M.; Oliver, L.; Heymann, D. Three-Dimensional in Vitro Culture Models in Oncology Research. Cell Biosci. 2022, 12, 155. [Google Scholar] [CrossRef]
- Livak, K.J.; Schmittgen, T.D. Analysis of Relative Gene Expression Data Using Real-Time Quantitative PCR and the 2−ΔΔCT Method. Methods 2001, 25, 402–408. [Google Scholar] [CrossRef]
- Bergstrom, T.; Bergman, J.; Moller, L. Vitamin A and C Compounds Permitted in Supplements Differ in Their Abilities to Affect Cell Viability, DNA and the DNA Nucleoside Deoxyguanosine. Mutagenesis 2011, 26, 735–744. [Google Scholar] [CrossRef]
- Maisto, M.; Ben Hsouna, A.; Tenore, G.C. Editorial: Synergic Combination of Natural Bioactive Compounds for Preventing and Treating Human Diseases. Front. Nutr. 2025, 12, 1580609. [Google Scholar] [CrossRef]
- Giuliani, C.; Dalmazi, G.; Bucci, I.; Napolitano, G. Quercetin and thyroid. Antioxidants 2024, 13, 1202. [Google Scholar] [CrossRef]
- Aldawsari, F.S.; Velázquez-Martínez, C.A. 3,4′,5-Trans-Trimethoxystilbene: A Natural Analogue of Resveratrol with Enhanced Anticancer Potency. Investig. New Drugs 2015, 33, 775–786. [Google Scholar] [CrossRef]
- Kowalczyk, T.; Piekarski, J.; Merecz-Sadowska, A.; Muskała, M.; Sitarek, P. Investigation of the Molecular Mechanisms Un-Derlying the Anti-Inflammatory and Antitumour Effects of Isorhapontigenin: Insights from in Vitro and in Vivo Studies. Biomed. Pharmacother. 2024, 180, 117479. [Google Scholar] [CrossRef] [PubMed]
- Nazir, M.M.; Mustafa, G.; Saeed, S.; Ghaffar, W.; Ijaz, M.U.; Ashraf, A. Isorhapontigenin: Exploring a Promising Resveratrol Analog for Disease Management through Diverse Signaling Pathways—A Review with Computational Insights. Naunyn-Schmiedeberg’s Arch. Pharmacol. 2025, 398, 12987–13012. [Google Scholar] [CrossRef] [PubMed]
- Juthani, R.; Punatar, S.; Mittra, I. New Light on Chemotherapy Toxicity and Its Prevention. BJC Rep. 2024, 2, 41. [Google Scholar] [CrossRef] [PubMed]
- Grabarczyk, M.; Justyńska, W.; Czpakowska, J.; Smolińska, E.; Bielenin, A.; Glabinski, A.; Szpakowski, P. Role of Plant Phytochemicals: Resveratrol, Curcumin, Luteolin and Quercetin in Demyelination, Neurodegeneration, and Epilepsy. Antioxidants 2024, 13, 1364. [Google Scholar] [CrossRef] [PubMed]
- Prete, A.; Matrone, A.; Plebani, R. State of the Art in 3D Culture Models Applied to Thyroid Cancer. Medicina 2024, 60, 520. [Google Scholar] [CrossRef] [PubMed]
- Hu, J.; Liu, K.; Ghosh, C.; Khaket, T.P.; Shih, H.; Kebebew, E. Anaplastic Thyroid Cancer Spheroids as Preclinical Models to Test Therapeutics. J. Exp. Clin. Cancer Res. 2024, 43, 85. [Google Scholar] [CrossRef]
- Qian, K.; Feng, Q.; Wang, J.R.; Zhu, J.D.; Wang, P.; Guo, Y.; Zhou, T.; Zhu, Q.-W.; Cai, L.; Zhang, Z.; et al. Identification and Validation of a Novel Prognostic Signature and Key Genes Related to Development of Anaplastic Thyroid Carcinoma. Discov. Oncol. 2024, 15, 680. [Google Scholar] [CrossRef]
- Gianì, F.; Vella, V.; Tumino, D.; Malandrino, P.; Frasca, F. The Possible Role of Cancer Stem Cells in the Resistance to Kinase In-Hibitors of Advanced Thyroid Cancer. Cancers 2020, 12, 2249. [Google Scholar] [CrossRef]
- Ma, R.; Latif, R.; Davies, T.F. Thyroid Follicle Formation and Thyroglobulin Expression in Multipotent Endodermal Stem Cells. Thyroid 2013, 23, 385–391. [Google Scholar] [CrossRef]
- Ma, R.; Latif, R.; Davies, T.F. Human Embryonic Stem Cells Form Functional Thyroid Follicles. Thyroid 2015, 25, 455–461. [Google Scholar] [CrossRef]
- Sun, Y.; Li, H.; Yang, H.; Rao, M.S.; Zhan, M. Mechanisms Controlling Embryonic Stem Cell Self-Renewal and Differentiation. Crit. Rev. Eukaryot. Gene Expr. 2006, 16, 211–232. [Google Scholar] [CrossRef]
- Wang, J.; Rao, S.; Chu, J.; Shen, X.; Levasseur, D.N.; Theunissen, T.W. A Protein Interaction Network for Pluripotency of Embryonic Stem Cells. Nature 2006, 444, 364–368. [Google Scholar] [CrossRef]
- Jia, Y.; Zhang, L.; Zhou, W.; Chen, S.; Zhang, H.; Liu, L.; Guo, H.; Wang, Z.; Cui, Y.; Niu, R.; et al. Rack1 Promotes Breast Cancer Stemness Properties and Tumor-Igenesis through the E2F1–SOX2 Axis. Cancer Cell Int. 2025, 25, 40. [Google Scholar] [CrossRef]
- Fang, W.Q.; Zhang, X.B.; Yu, Y.; Ge, J.; Meng, R. Propofol Reduces Breast Cancer Cell Stemness via FOXO3/SOX2 Axis. J. Cancer 2025, 16, 1555–1562. [Google Scholar] [CrossRef] [PubMed]
- Zhu, X.Y.; Li, P.S.; Qu, H.; Ai, X.; Zhao, Z.T.; He, J.B. Replication Factor C4, Which Is Regulated by Insulin-like Growth Factor 2 MRNA Binding Protein 2, Enhances the Radioresistance of Breast Cancer by Promoting the Stemness of Tumor Cells. Hum. Cell 2025, 38, 65. [Google Scholar] [CrossRef]
- Sengottuvel, N.; Whately, K.M.; Modliszewski, J.L.; Sellers, R.S.; Green, W.D.; Gong, W.; Woods, A.T.; Livingston, E.W.; Fagan-Solis, K.D.; Cannon, G.; et al. Tumor Suppressors in Sox2-Mediated Lung Cancers Promote Distinct Cell Intrinsic and Immunologic Remodeling. JCI Insight 2025, 10, e171364. [Google Scholar] [CrossRef]
- Ruz-Caracuel, I.; Caniego-Casas, T.; Alonso-Gordoa, T.; Carretero-Barrio, I.; Ariño-Palao, C.; Santón, A.; Rosas, M.; Pian, H.; Molina-Cerrillo, J.; Luengo, P.; et al. Transcriptomic Differences in Medullary Thyroid Carcinoma According to Grade. Endocr. Pathol. 2024, 35, 207–218. [Google Scholar] [CrossRef]
- Cheng, X.; Xu, S.; Wu, J.; Gao, W.; Bao, J.; Yu, H.; Zhang, L. Lomibuvir Sensitizes Radioiodine-Resistant Thyroid Cancer Cell Lines to Radioiodine Treatment by Targeting HTERT RNA-Dependent Polymerase Activity. J. Endocrinol. Investig. 2025, 48, 733–745. [Google Scholar] [CrossRef]
- Grimm, D.; Bauer, J.; Wise, P.; Krüger, M.; Simonsen, U.; Wehland, M.; Infanger, M.; Corydon, T.J. The Role of SOX Family Members in Solid Tumours and Metastasis. Semin. Cancer Biol. 2020, 67, 122–153. [Google Scholar] [CrossRef] [PubMed]
- Pastushenko, I.; Blanpain, C. EMT Transition States during Tumor Progression and Metastasis. Trends Cell Biol. 2019, 29, 212–226. [Google Scholar] [CrossRef] [PubMed]
- Li, J.Y.; Han, C.; Zheng, L.L.; Guo, M.Z. Epigenetic Regulation of Wnt Signaling Pathway Gene SRY-Related HMG-Box 17 in Papillary Thyroid Carcinoma. Chin. Med. J. 2012, 125, 3526–3531. [Google Scholar]
- Li, Y.; Lv, Z.; He, G.; Wang, J.; Zhang, X.; Lu, G.; Ren, X.; Wang, F.; Zhu, X.; Ding, Y.; et al. The SOX17/MiR-371-5p/SOX2 Axis Inhibits EMT, Stem Cell Properties and Metastasis in Colorectal Cancer. Oncotarget 2015, 6, 9099–9112. [Google Scholar] [CrossRef]
- Moshi, J.M.; Hoogduin, K.J.; Ummelen, M.; Henfling, M.E.R.; Engeland, M.; Wouters, K.A.D.; Stoop, H.; Demers, I.; Looijenga, L.H.J.; Ramaekers, F.C.S.; et al. Switches of SOX17 and SOX2 Expression in the Development of Squamous Metaplasia and Squamous Intraepithelial Lesions of the Uterine Cervix. Cancer Med. 2020, 9, 6330–6343. [Google Scholar] [CrossRef] [PubMed]
- Stefanovic, S.; Abboud, N.; Désilets, S.; Nury, D.; Cowan, C.; Pucéat, M. Interplay of Oct4 with Sox2 and Sox17: A Molecular Switch from Stem Cell Pluripotency to Specifying a Cardiac Fate. J. Cell Biol. 2009, 186, 665–673. [Google Scholar] [CrossRef] [PubMed]
- Aksoy, I.; Jauch, R.; Chen, J.; Dyla, M.; Divakar, U.; Bogu, G.K.; Teo, R.; Leng Ng, C.K.; Herath, W.; Lili, S.; et al. Oct4 Switches Partnering from Sox2 to Sox17 to Reinterpret the Enhancer Code and Specify Endoderm. EMBO J. 2013, 32, 938–953. [Google Scholar] [CrossRef] [PubMed]
- Séguin, C.A.; Draper, J.S.; Nagy, A.; Rossant, J. Establishment of Endoderm Progenitors by SOX Transcription Factor Expression in Human Embryonic Stem Cells. Cell Stem Cell 2008, 3, 182–195. [Google Scholar] [CrossRef]
- Ito, T.; Seyama, T.; Hayashi, Y.; Hayashi, T.; Dohi, K.; Mizuno, T.; Iwamoto, K.; Tsuyama, N.; Nakamura, N.; Akiyama, M. Establishment of Two Human Thyroid Carcinoma Cell Lines (8305C, 8505C) Bearing P53 Gene Mutations. Int. J. Oncol 1994, 4, 583–586. [Google Scholar]
- Aust, G.; Eichler, W.; Laue, S.; Lehmann, I.; Heldin, N.E.; Lotz, O. CD97: A Dedifferentiation Marker in Human Thyroid Carcinomas. Cancer Res. 1997, 57, 1798–1806. [Google Scholar]
- Kakun, R.R.; Melamed, Z.; Perets, R. PAX8 in the junction between development and tumorigenesis. Int. J. Mol. Sci. 2022, 23, 7410. [Google Scholar] [CrossRef]
- Sharifi-Rad, J.; Rajabi, S.; Martorell, M.; López, M.D.; Toro, M.T.; Barollo, S.; Armanini, D.; Fokou, P.V.T.; Zagotto, G.; Ribaudo, G.; et al. Plant Natural Products with Anti-Thyroid Cancer Activity. Fitoterapia 2020, 146, 104640. [Google Scholar] [CrossRef]
- Gonçalves, P.P.; da Silva, C.L.; Bernardes, N. Advancing Cancer Therapeutics: Integrating Scalable 3D Cancer Models, Extracellular Vesicles, and Omics for Enhanced Therapy Efficacy. Adv. Cancer Res. 2024, 163, 137–185. [Google Scholar] [CrossRef]










| Genes | Sequence (5′-3′)/Code | Company |
|---|---|---|
| NANOG | QT01025850 | Qiagen |
| SOX2 | QT00237601 | Qiagen |
| SOX17 | QT00204099 | Qiagen |
| PAX-8 | QT01010583 | Qiagen |
| TTF-1 | QT00010682 | Qiagen |
| Tg | QT00095053 | Qiagen |
| TPO | QT00072982 | Qiagen |
| NIS | F: CTATGGCCTCAAGTTCCTCT | MWG |
| R: TCGTGGCTACAATGTACTGC | ||
| β-actin | QT00095431 | Qiagen |
Disclaimer/Publisher’s Note: The statements, opinions and data contained in all publications are solely those of the individual author(s) and contributor(s) and not of MDPI and/or the editor(s). MDPI and/or the editor(s) disclaim responsibility for any injury to people or property resulting from any ideas, methods, instructions or products referred to in the content. |
© 2025 by the authors. Licensee MDPI, Basel, Switzerland. This article is an open access article distributed under the terms and conditions of the Creative Commons Attribution (CC BY) license (https://creativecommons.org/licenses/by/4.0/).
Share and Cite
Vaglica, F.; Biondo, M.; Siragusa, G.; Arnaldi, G.; Guarnotta, V.; Pizzolanti, G.; Tomasello, L. SOX2/SOX17 Molecular Switching by Polyphenols to Promote Thyroid Differentiation in 2D and 3D Models of Anaplastic Thyroid Cancer †. Biology 2025, 14, 1730. https://doi.org/10.3390/biology14121730
Vaglica F, Biondo M, Siragusa G, Arnaldi G, Guarnotta V, Pizzolanti G, Tomasello L. SOX2/SOX17 Molecular Switching by Polyphenols to Promote Thyroid Differentiation in 2D and 3D Models of Anaplastic Thyroid Cancer †. Biology. 2025; 14(12):1730. https://doi.org/10.3390/biology14121730
Chicago/Turabian StyleVaglica, Fabiola, Mattia Biondo, Giuseppe Siragusa, Giorgio Arnaldi, Valentina Guarnotta, Giuseppe Pizzolanti, and Laura Tomasello. 2025. "SOX2/SOX17 Molecular Switching by Polyphenols to Promote Thyroid Differentiation in 2D and 3D Models of Anaplastic Thyroid Cancer †" Biology 14, no. 12: 1730. https://doi.org/10.3390/biology14121730
APA StyleVaglica, F., Biondo, M., Siragusa, G., Arnaldi, G., Guarnotta, V., Pizzolanti, G., & Tomasello, L. (2025). SOX2/SOX17 Molecular Switching by Polyphenols to Promote Thyroid Differentiation in 2D and 3D Models of Anaplastic Thyroid Cancer †. Biology, 14(12), 1730. https://doi.org/10.3390/biology14121730

