The Post-Pandemic Return of Mycoplasma pneumoniae: Why Children Matter and What Clinicians Should Know
Abstract
1. Introduction: Epidemiology—From Silence to Resurgence
2. Pathophysiology and Disease Mechanisms of Mycoplasma pneumoniae
3. Children as a Key Reservoir for Mycoplasma pneumoniae Transmission
4. Diagnostic Challenges and Opportunities
5. Major Regional Outbreaks of Mycoplasma pneumoniae (2023–2025)
6. Respiratory Viral Co-Infections and Microbiome Interactions
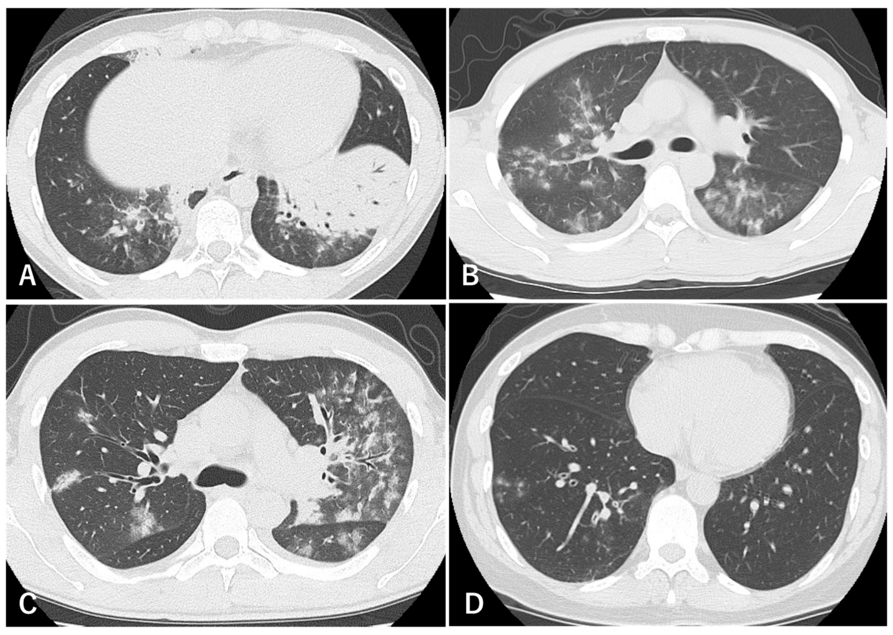
7. Radiological Findings
8. Clinical Manifestations and Treatment Strategies for 2025
8.1. Antibiotic Therapy
8.2. Adjunctive Corticosteroids
9. Future Directions: What Clinicians and Researchers Should Address Now
- Why now: The post-pandemic resurgence of Mycoplasma pneumoniae (Mp) has increased the pre-test probability of Mp pneumonia—especially in school-aged children—and is reshaping outpatient CAP workflows.
- Why children matter: Children likely serve as a major reservoir sustaining community transmission; age-stratified diagnostic and therapeutic pathways are therefore clinically relevant.
- How to diagnose: No single test is definitive. NAATs provide the most actionable early confirmation, whereas serology and culture are more useful for retrospective confirmation and surveillance, respectively (Table 1).
- How to treat: In high macrolide-resistance settings, persistent fever or lack of clinical improvement within 48–72 h on macrolides should prompt reassessment and consideration of age-appropriate alternative therapy.
- What’s next: Linking molecular epidemiology (genotypes/resistance markers) to simple bedside decision pathways is a near-term priority for both stewardship and patient outcomes.
Supplementary Materials

Funding
Institutional Review Board Statement
Informed Consent Statement
Data Availability Statement
Acknowledgments
Conflicts of Interest
References
- Meyer Sauteur, P.M.; Beeton, M.L.; Uldum, S.A.; Bossuyt, N.; Vermeulen, M.; Loens, K.; Pereyre, S.; Bébéar, C.; Keše, D.; Day, J.; et al. Mycoplasma pneumoniae detections before and during the COVID-19 pandemic: Results of a global survey, 2017 to 2021. Eurosurveillance 2022, 27, 2100746. [Google Scholar] [CrossRef] [PubMed]
- Meyer Sauteur, P.M.M.; Chalker, V.J.; Berger, C.; Nir-Paz, R.; Beeton, M.L.; Pereyre, S.; Bébéar, C.; Wagner, N.; Andreutti, C.; Greub, G.; et al. Mycoplasma pneumoniae beyond the COVID-19 pandemic: Where is it? Lancet Microbe 2022, 3, e897. [Google Scholar] [CrossRef]
- Meyer Sauteur, P.M.; Beeton, M.L.; ESGMAC the ESGMAC MAPS Study Group. Mycoplasma pneumoniae: Gone forever? Lancet Microbe 2023, 4, e763. [Google Scholar] [CrossRef]
- Meyer Sauteur, P.M.; Beeton, M.L.; European Society of Clinical Microbiology and Infectious Diseases (ESCMID) Study Group for Mycoplasma and Chlamydia Infections (ESGMAC); ESGMAC Mycoplasma pneumoniae Surveillance (MAPS) Study Group. Mycoplasma pneumoniae: Delayed re-emergence after COVID-19 pandemic restrictions. Lancet Microbe 2024, 5, e100–e101. [Google Scholar]
- WHO. WHO Statement on Reported Clusters of Respiratory Illness in Children in Northern China; WHO: Geneva, Switzerland, 2023. [Google Scholar]
- ESGMAC MAPS Study Group. Global spatiotemporal dynamics of Mycoplasma pneumoniae re-emergence after COVID-19 pandemic restrictions: An epidemiological and transmission modelling study. Lancet Microbe 2025, 6, 101019. [Google Scholar] [CrossRef] [PubMed]
- Meyer Sauteur, P.M.; European Society of Clinical Microbiology and Infectious Diseases Study Group for Mycoplasma and Chlamydia Infections (ESGMAC) Mycoplasma pneumoniae Surveillance (MAPS) Study Group. Mycoplasma pneumoniae: Re-emergence and beyond. Lancet Microbe 2025, 6, 101191. [Google Scholar] [CrossRef]
- Munro, A.P.; House, T. Cycles of susceptibility: Immunity debt explains altered infectious disease dynamics post-pandemic. Clin. Infect. Dis. 2024, 81, 1173–1176. [Google Scholar] [CrossRef]
- Liu, P.; Xu, M.; Lu, L.; Zhu, X.; Jia, R.; Dong, N.; Su, L.; Xu, J. Resurgence of common respiratory viruses and Mycoplasma pneumoniae after ending the zero-COVID policy in Shanghai. Sci. Rep. 2025, 15, 1765. [Google Scholar] [CrossRef]
- Edens, C.; Clopper, B.R.; DeVies, J.; Benitez, A.; McKeever, E.R.; Johns, D.; Wolff, B.; Selvarangan, R.; Schuster, J.E.; Weinberg, G.A.; et al. Notes from the Field: Reemergence of Mycoplasma pneumoniae Infections in Children and Adolescents After the COVID-19 Pandemic, United States, 2018–2024. MMWR Morb. Mortal. Wkly. Rep. 2024, 73, 149–151. [Google Scholar] [CrossRef]
- Kim, K.; Jung, S.; Kim, M.; Park, S.; Yang, H.J.; Lee, E. Global Trends in the Proportion of Macrolide-Resistant Mycoplasma pneumoniae Infections: A Systematic Review and Meta-analysis. JAMA Netw. Open 2022, 5, e2220949. [Google Scholar] [CrossRef] [PubMed]
- Saraya, T.; Kurai, D.; Nakagaki, K.; Sasaki, Y.; Niwa, S.; Tsukagoshi, H.; Nunokawa, H.; Ohkuma, K.; Tsujimoto, N.; Hirao, S.; et al. Novel aspects on the pathogenesis of Mycoplasma pneumoniae pneumonia and therapeutic implications. Front. Microbiol. 2014, 5, 410. [Google Scholar] [CrossRef]
- Kannan, T.R.; Baseman, J.B. ADP-ribosylating and vacuolating cytotoxin of Mycoplasma pneumoniae represents unique virulence determinant among bacterial pathogens. Proc. Natl. Acad. Sci. USA 2006, 103, 6724–6729. [Google Scholar] [CrossRef] [PubMed]
- Hardy, R.D.; Coalson, J.J.; Peters, J.; Chaparro, A.; Techasaensiri, C.; Giavedoni, L.D.; Cantwell, A.M.; Kannan, T.R.; Baseman, J.B.; Dube, P.H. Analysis of pulmonary inflammation and function in the mouse and baboon after exposure to Mycoplasma pneumoniae CARDS toxin. PLoS ONE 2009, 4, e7562. [Google Scholar] [CrossRef]
- Ramasamy, K.; Balasubramanian, S.; Manickam, K.; Pandranki, L.; Taylor, A.B.; Hart, P.J.; Baseman, J.B.; Kannan, T.R. Mycoplasma pneumoniae Community-Acquired Respiratory Distress Syndrome Toxin Uses a Novel KELED Sequence for Retrograde Transport and Subsequent Cytotoxicity. mBio 2018, 9, 10–1128. [Google Scholar] [CrossRef] [PubMed]
- Medina, J.L.; Coalson, J.J.; Brooks, E.G.; Winter, V.T.; Chaparro, A.; Principe, M.F.R.; Kannan, T.R.; Baseman, J.B.; Dube, P.H. Mycoplasma pneumoniae CARDS toxin induces pulmonary eosinophilic and lymphocytic inflammation. Am. J. Respir. Cell Mol. Biol. 2012, 46, 815–822. [Google Scholar] [CrossRef]
- Wang, T.; Sun, H.; Lu, Z.; Jiang, W.; Dai, G.; Huang, L.; Wang, Z.; Zhu, H.; Wang, Y.; Hao, C.; et al. The CARDS toxin of Mycoplasma pneumoniae induces a positive feedback loop of type 1 immune response. Front. Immunol. 2022, 13, 1054788. [Google Scholar] [CrossRef]
- Fang, Y.; Xie, P.; Zhang, X.; Zhang, Y.; Yang, N.; Shi, Y.; Xin, R.; Bai, Y.; Niu, W.; Yuan, X. Rapid detection of Mycoplasma pneumoniae CARDS toxin in clinical respiratory specimens by a loop-mediated isothermal amplification assay. Front. Cell. Infect. Microbiol. 2025, 15, 1496829. [Google Scholar] [CrossRef]
- Saraya, T.; Nakata, K.; Nakagaki, K.; Motoi, N.; Iihara, K.; Fujioka, Y.; Oka, T.; Kurai, D.; Wada, H.; Ishii, H.; et al. Identification of a mechanism for lung inflammation caused by Mycoplasma pneumoniae using a novel mouse model. Results Immunol. 2011, 1, 76–87. [Google Scholar] [CrossRef][Green Version]
- Takagi, R.; Saraya, T.; Yamada, S.; Nakajima, K.; Doi, K.; Akizawa, T.; Ishikawa, N.; Kurokawa, N.; Kobayashi, F.; Nunokawa, H.; et al. Clinical Evaluation of Acute Exacerbation of Interstitial Lung Disease in a Single Tertiary Center: Perspectives before and after the Coronavirus Disease 2019 Pandemic. J. Clin. Med. 2024, 13, 5733. [Google Scholar] [CrossRef]
- Kurai, D.; Sasaki, Y.; Saraya, T.; Ishii, H.; Tsukagoshi, H.; Kozawa, K.; Ryo, A.; Ishioka, T.; Kuroda, M.; Oishi, K.; et al. Pathogen profiles and molecular epidemiology of respiratory viruses in Japanese inpatients with community-acquired pneumonia. Respir. Investig. 2016, 54, 255–263. [Google Scholar] [CrossRef]
- Spuesens, E.B.M.; Fraaij, P.L.A.; Visser, E.G.; Hoogenboezem, T.; Hop, W.C.J.; van Adrichem, L.N.A.; Weber, F.; Moll, H.A.; Broekman, B.; Berger, M.Y.; et al. Carriage of Mycoplasma pneumoniae in the upper respiratory tract of symptomatic and asymptomatic children: An observational study. PLoS Med. 2013, 10, e1001444. [Google Scholar] [CrossRef]
- Dorigo-Zetsma, J.W.; Wilbrink, B.; van der Nat, H.; Bartelds, A.I.; Heijnen, M.L.; Dankert, J. Results of molecular detection of Mycoplasma pneumoniae among patients with acute respiratory infection and in their household contacts reveals children as human reservoirs. J. Infect. Dis. 2001, 183, 675–678. [Google Scholar] [CrossRef]
- Francois Watkins, L.K.; Olson, D.; Diaz, M.H.; Lin, X.; Demirjian, A.; Benitez, A.J.; Winchell, J.M.; Robinson, C.C.; Bol, K.A.; Glodé, M.P.; et al. Epidemiology and Molecular Characteristics of Mycoplasma pneumoniae During an Outbreak of M. pneumoniae-associated Stevens-Johnson Syndrome. Pediatr. Infect. Dis. J. 2017, 36, 564–571. [Google Scholar] [CrossRef]
- Koenen, M.H.; de Groot, R.C.A.; de Steenhuijsen Piters, W.A.A.; Chu, M.L.J.N.; Arp, K.; Hasrat, R.; de Bruijn, A.C.J.M.; Estevão, S.C.; van der Vries, E.; Langereis, J.D.; et al. Mycoplasma pneumoniae carriage in children with recurrent respiratory tract infections is associated with a less diverse and altered microbiota. eBioMedicine 2023, 98, 104868. [Google Scholar] [CrossRef] [PubMed]
- The Committee of Japanese Society of Mycoplasmology. Guiding Principles for Treating Mycoplasma pneumoniae Pneumonia; Japanese Society of Mycoplasmology: Tokyo, Japan, 2014; pp. 1–20. [Google Scholar]
- Kitagawa, D.; Nishihara, S.; Murata, M.; Onishi, M.; Mori, T.; Hachisuka, S.; Okubo, T.; Yamamoto, N.; Nishikawa, H.; Onaka, M.; et al. PCR sensitivity for Mycoplasma pneumoniae detection in nasopharyngeal and oropharyngeal swabs: A comparative study. J. Clin. Microbiol. 2025, 63, e0045825. [Google Scholar] [CrossRef] [PubMed]
- Xiao, Y.; Wang, X.; Feng, S.; Wang, Y.; Liao, L.; Wang, S.; Deng, Y.; Zheng, J.; Zhao, D. Predominance of A2063G mutant strains in the Mycoplasma pneumoniae epidemic in children: A clinical and epidemiological study in 2023 in Wuhan, China. Int. J. Infect. Dis. 2024, 145, 107074. [Google Scholar] [CrossRef]
- Chen, Y.; Jia, X.; Gao, Y.; Ren, X.; Du, B.; Zhao, H.; Feng, Y.; Xue, G.; Cui, J.; Gan, L.; et al. Increased macrolide resistance rate of Mycoplasma pneumoniae correlated with epidemic in Beijing, China in 2023. Front. Microbiol. 2024, 15, 1449511. [Google Scholar] [CrossRef]
- Jiao, W.; Wang, J.; Li, C.; Wang, P.; Xu, S.; Bi, J.; Yue, L.; Liu, F.; Sun, L.; Qi, H.; et al. Genetic factors driving the Mycoplasma pneumoniae outbreak among children post-COVID-19 in China: A whole genome analysis. Lancet Reg. Health West. Pac 2025, 59, 101578. [Google Scholar] [CrossRef] [PubMed]
- Nordholm, A.C.; Søborg, B.; Jokelainen, P.; Møller, K.L.; Sørensen, L.F.; Krause, T.G.; Uldum, S.A.; Emborg, H.-D. Mycoplasma pneumoniae epidemic in Denmark, October to December, 2023. Euro Surveill. 2024, 29, 2300707. [Google Scholar] [CrossRef]
- Edouard, S.; Boughammoura, H.; Colson, P.; La Scola, B.; Fournier, P.E.; Fenollar, F. Large-Scale Outbreak of Mycoplasma pneumoniae Infection, Marseille, France, 2023–2024. Emerg. Infect. Dis. 2024, 30, 1481–1484. [Google Scholar] [CrossRef]
- Garzoni, C.; Bernasconi, E.; Zehnder, C.; Malossa, S.F.; Merlani, G.; Bongiovanni, M. Unexpected increase of severe Mycoplasma pneumoniae pneumonia in adults in Southern Switzerland. Clin. Microbiol. Infect. 2024, 30, 953–954. [Google Scholar] [CrossRef] [PubMed]
- Oishi, T.; Kenri, T.; Yoshioka, D. Macrolide-Resistant Mycoplasma pneumoniae Among Japanese Children from 2008 to 2024. Microorganisms 2025, 13, 2243. [Google Scholar] [CrossRef] [PubMed]
- Yan, C.; Tong, S.; Wu, Y.; Chen, Y.; Jia, X.; Guo, Y.; Cui, M.; Pei, G.; Zhang, Z.; Zhou, H.; et al. Macrolide-resistant Mycoplasma pneumoniae resurgence in Chinese children in 2023: A longitudinal, cross-sectional, genomic epidemiology study. Lancet Microbe 2025, 6, 101200. [Google Scholar] [CrossRef] [PubMed]
- Wang, Y.; Xu, B.; Wu, X.; Yin, Q.; Wang, Y.; Li, J.; Jiao, W.; Quan, S.; Sun, L.; Wang, Y.; et al. Increased Macrolide Resistance Rate of M3562 Mycoplasma pneumoniae Correlated with Macrolide Usage and Genotype Shifting. Front. Cell. Infect. Microbiol. 2021, 11, 675466. [Google Scholar] [CrossRef]
- Wang, H.; Embry, T.; Everhart, K.; Szekely, M.; Taveras, J.; Oyeniran, S.J.; Leber, A.L. Macrolide-Resistant Mycoplasma pneumoniae in Children, Ohio, USA. Emerg. Infect. Dis. 2025, 31, 2341–2343. [Google Scholar] [CrossRef]
- Diaz, M.H.; Cross, K.E.; Benitez, A.J.; Hicks, L.A.; Kutty, P.; Bramley, A.M.; Chappell, J.D.; Hymas, W.; Patel, A.; Qi, C.; et al. Identification of Bacterial and Viral Codetections with Mycoplasma pneumoniae Using the TaqMan Array Card in Patients Hospitalized with Community-Acquired Pneumonia. Open Forum Infect. Dis. 2016, 3, ofw071. [Google Scholar] [CrossRef]
- Cho, Y.J.; Han, M.S.; Kim, W.S.; Choi, E.H.; Choi, Y.H.; Yun, K.W.; Lee, S.; Cheon, J.-E.; Kim, I.-O.; Lee, H.J. Correlation between chest radiographic findings and clinical features in hospitalized children with Mycoplasma pneumoniae pneumonia. PLoS ONE 2019, 14, e0219463. [Google Scholar] [CrossRef]
- Severino, C.; Ravasio, F.; Ledda, M.A.; Dui, G.; Rosetti, L. Mycoplasma pneumoniae pneumonia. Can radiologic features suggest the etiologic agent? Radiol. Med. 1993, 85, 411–415. [Google Scholar]
- Balk, D.S.; Lee, C.; Schafer, J.; Welwarth, J.; Hardin, J.; Novack, V.; Yarza, S.; Hoffmann, B. Lung ultrasound compared to chest X-ray for diagnosis of pediatric pneumonia: A meta-analysis. Pediatr. Pulmonol. 2018, 53, 1130–1139. [Google Scholar] [CrossRef]
- Shi, C.; Xu, X.; Xu, Y. Systematic review and meta-analysis of the accuracy of lung ultrasound and chest radiography in diagnosing community acquired pneumonia in children. Pediatr. Pulmonol. 2024, 59, 3130–3147. [Google Scholar] [CrossRef]
- Tanaka, H. Correlation between Radiological and Pathological Findings in Patients with Mycoplasma pneumoniae Pneumonia. Front. Microbiol. 2016, 7, 695. [Google Scholar] [CrossRef] [PubMed]
- Saraya, T. Mycoplasma pneumoniae infection: Basics. J. Gen. Fam. Med. 2017, 18, 118–125. [Google Scholar] [CrossRef] [PubMed]
- Miyashita, N.; Sugiu, T.; Kawai, Y.; Oda, K.; Yamaguchi, T.; Ouchi, K.; Kobashi, Y.; Oka, M. Radiographic features of Mycoplasma pneumoniae pneumonia: Differential diagnosis and performance timing. BMC Med. Imaging 2009, 9, 7. [Google Scholar] [CrossRef]
- Woodhead, M.; Blasi, F.; Ewig, S.; Garau, J.; Huchon, G.; Ieven, M.; Ortqvist, A.; Schaberg, T.; Torres, A.; van der Heijden, G.; et al. Guidelines for the management of adult lower respiratory tract infections—Full version. Clin. Microbiol. Infect. 2011, 17, E1–59. [Google Scholar] [CrossRef]
- Martin-Loeches, I.; Torres, A.; Nagavci, B.; Aliberti, S.; Antonelli, M.; Bassetti, M.; Bos, L.D.; Chalmers, J.D.; Derde, L.; De Waele, J.; et al. ERS/ESICM/ESCMID/ALAT guidelines for the management of severe community-acquired pneumonia. Intensive Care Med. 2023, 49, 615–632. [Google Scholar] [CrossRef] [PubMed]
- Metlay, J.P.; Waterer, G.W.; Long, A.C.; Anzueto, A.; Brozek, J.; Crothers, K.; Cooley, L.A.; Dean, N.C.; Fine, M.J.; Flanders, S.A.; et al. Diagnosis and Treatment of Adults with Community-acquired Pneumonia. An Official Clinical Practice Guideline of the American Thoracic Society and Infectious Diseases Society of America. Am. J. Respir. Crit. Care Med. 2019, 200, e45–e67. [Google Scholar] [CrossRef] [PubMed]
- Mukae, H.; Iwanaga, N.; Horita, N.; Komiya, K.; Maruyama, T.; Shindo, Y.; Imamura, Y.; Yatera, K.; Yamamoto, Y.; Yanagihara, K.; et al. The JRS guideline for the management of pneumonia in adults 2024. Respir. Investig. 2025, 63, 811–828. [Google Scholar] [CrossRef] [PubMed]
- Saraya, T.; Kimura, H.; Kurai, D.; Ishii, H.; Takizawa, H. The molecular epidemiology of respiratory viruses associated with asthma attacks: A single-center observational study in Japan. Medicine 2017, 96, e8204. [Google Scholar] [CrossRef]
- Canavan, T.N.; Mathes, E.F.; Frieden, I.; Shinkai, K. Mycoplasma pneumoniae-induced rash and mucositis as a syndrome distinct from Stevens-Johnson syndrome and erythema multiforme: A systematic review. J. Am. Acad. Dermatol. 2015, 72, 239–245. [Google Scholar] [CrossRef]
- Wang, Y.-S.; Zhou, Y.-L.; Bai, G.-N.; Li, S.-X.; Xu, D.; Chen, L.-N.; Chen, X.; Dong, X.-Y.; Fu, H.-M.; Fu, Z.; et al. Expert consensus on the diagnosis and treatment of macrolide-resistant Mycoplasma pneumoniae pneumonia in children. World J. Pediatr. 2024, 20, 901–914. [Google Scholar] [CrossRef] [PubMed]
- Izumikawa, K.; Izumikawa, K.; Takazono, T.; Kosai, K.; Morinaga, Y.; Nakamura, S.; Kurihara, S.; Imamura, Y.; Miyazaki, T.; Tsukamoto, M.; et al. Clinical features, risk factors and treatment of fulminant Mycoplasma pneumoniae pneumonia: A review of the Japanese literature. J. Infect. Chemother. 2014, 20, 181–185. [Google Scholar] [CrossRef] [PubMed]


| Modality | Sample | Turnaround Time * | Key Advantages | Key Limitations/Pitfalls | Recommended Clinical Use | Ref. |
|---|---|---|---|---|---|---|
| Culture (PPLO medium) | Respiratory specimen (e.g., throat/nasopharyngeal swab, sputum) | 1–3 (up to 4) weeks | Reference method; enables isolate-based downstream analyses (e.g., phenotypic susceptibility testing, molecular epidemiology) | Too slow for rapid decisions; limited availability; technically demanding; yield may be reduced by prior antibiotics | Surveillance/research, outbreak investigation, or when an isolate is specifically required | [12,26] |
| Serology (IgM/IgG; CF/PA/ELISA) | Serum | Same day–2 days (paired sera: 2–4 weeks) | Widely accessible; useful for retrospective confirmation; paired sera can support acute infection | Single acute-phase results are difficult to interpret; timing dependent; variable IgM response; potential cross-reactivity; not optimal for early therapy decisions | When NAAT is unavailable/negative, but suspicion persists; paired sera for confirmation/epidemiology | [12,26] |
| NAAT (singleplex PCR/real-time PCR) | Oropharyngeal/throat swab, nasopharyngeal swab, BAL, tracheal aspirate specimen, sputum(when available) | Hours–1 day | Rapid, sensitive direct detection; suitable for respiratory specimens; supports early decision-making | Institution-dependent assay availability/workflow; NAAT positivity does not always establish causality (possible carriage, especially in children); assay/specimen variability; typically, does not provide phenotypic susceptibility | First-line test when available; interpret with clinical context and timing from symptom onset | [12,26] |
| LAMP | Oropharyngeal/throat swab, sputum (kit-/platform-dependent) | ~30–90 min | Rapid; isothermal workflow; potentially deployable with less complex equipment | Performance depends on kit/specimen; limited add-on information (e.g., resistance) unless specifically designed; still requires appropriate sampling/handling | When rapid testing is needed in settings without full PCR infrastructure; triage/outpatient/smaller facilities | [12,26] |
| Q-probe PCR | Oropharyngeal/throat swab, sputum (kit-/platform-dependent) | ~1–2 h (platform dependent) | Rapid NAAT format; some assays can simultaneously detect macrolide-resistance–associated mutations (e.g., 23S rRNA) to inform early optimization | Availability and cost; mutation coverage is assay-specific; requires careful interpretation (detection does not necessarily indicate causality) | High-MRMP settings or when resistance-aware decision-making is prioritized (e.g., persistent fever on macrolides) | [26] |
| Multiplex PCR panel (syndromic testing) | Nasopharyngeal swab/sputum/saliva (panel-/platform-dependent) | ~1–2 h (often same day) | Broad detection of viruses/bacteria (including Mp) from one specimen; helpful when co-pathogens may affect management | Target performance varies; cost; detection does not necessarily indicate causality; may detect colonizers; stewardship concerns (risk of unnecessary antibiotics) | Moderate–severe CAP, immunocompromised hosts, diagnostic uncertainty, or when co-infection is likely/clinically relevant | [27] |
| Antigen test (immunochromatographic) | Oropharyngeal/throat or nasopharyngeal swab (kit-dependent) | ~10–30 min | Very rapid; simple workflow; may assist front-line screening | Lower sensitivity than NAAT; false negatives; mucus-rich/highly viscous specimens may cause nonspecific reactivity and occasional false positives; confirm with NAAT when discordant with clinical suspicion | Rapid screening when NAAT is not immediately available; confirm with NAAT and/or paired serology if suspicion remains high | [12,26] |
| Country/Region | Period | Age Group | MRMP Rate | Ref. |
|---|---|---|---|---|
| China—Wuhan | 2023 | Children | 84.52% | [28] |
| China—Beijing | Late 2023 | Children | 100% | [29] |
| China—Beijing —Baoding | November 2023–February 2024 | Children | 99.41% | [30] |
| Denmark—National | October–December 2023 | Children Adolescents Adults | 3.6% | [31] |
| France—Marseille | 2023–2024 | Children Adolescents Adults | Not examined | [32] |
| Switzerland—Southern region | November 2023 onward | Adults | Not examined | [33] |
| Japan | 2024 | Children | 54.1% | [34] |
| Items Used for Diagnosis |
|---|
| Under 60 y of age |
| No or minor underlying disease |
| Stubborn cough |
| Poor chest auscultatory findings |
| No sputum or etiological agent identified by rapid diagnosis * |
| A peripheral white blood cell count <10,000/μL |
Disclaimer/Publisher’s Note: The statements, opinions and data contained in all publications are solely those of the individual author(s) and contributor(s) and not of MDPI and/or the editor(s). MDPI and/or the editor(s) disclaim responsibility for any injury to people or property resulting from any ideas, methods, instructions or products referred to in the content. |
© 2026 by the author. Licensee MDPI, Basel, Switzerland. This article is an open access article distributed under the terms and conditions of the Creative Commons Attribution (CC BY) license.
Share and Cite
Saraya, T. The Post-Pandemic Return of Mycoplasma pneumoniae: Why Children Matter and What Clinicians Should Know. J. Clin. Med. 2026, 15, 1644. https://doi.org/10.3390/jcm15041644
Saraya T. The Post-Pandemic Return of Mycoplasma pneumoniae: Why Children Matter and What Clinicians Should Know. Journal of Clinical Medicine. 2026; 15(4):1644. https://doi.org/10.3390/jcm15041644
Chicago/Turabian StyleSaraya, Takeshi. 2026. "The Post-Pandemic Return of Mycoplasma pneumoniae: Why Children Matter and What Clinicians Should Know" Journal of Clinical Medicine 15, no. 4: 1644. https://doi.org/10.3390/jcm15041644
APA StyleSaraya, T. (2026). The Post-Pandemic Return of Mycoplasma pneumoniae: Why Children Matter and What Clinicians Should Know. Journal of Clinical Medicine, 15(4), 1644. https://doi.org/10.3390/jcm15041644
